Composite Veneers For Yellow Teeth . Eat & drink as normalfda approved materials While composite veneers are a durable and effective solution for improving. If you had your veneers made in one appointment in the dental office, they are probably of white material or resin. Composite veneers are thin shells placed on teeth to correct their appearance, fix minor chips or cracks, or make minor corrections to tooth alignment. Composite veneers are thin, customized shells affixed to individual teeth. There are pros and cons for both types of veneers, so it’s. Dental composite veneers can be a great choice for you if your teeth are severely stained, have become dull due to enamel damage, or have broken or chipped.
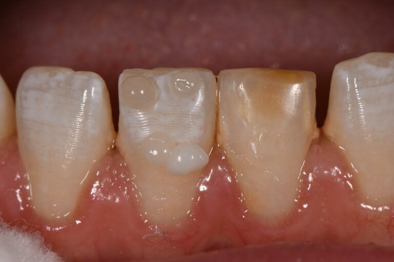
from enamel.clinic
If you had your veneers made in one appointment in the dental office, they are probably of white material or resin. While composite veneers are a durable and effective solution for improving. Composite veneers are thin, customized shells affixed to individual teeth. There are pros and cons for both types of veneers, so it’s. Eat & drink as normalfda approved materials Composite veneers are thin shells placed on teeth to correct their appearance, fix minor chips or cracks, or make minor corrections to tooth alignment. Dental composite veneers can be a great choice for you if your teeth are severely stained, have become dull due to enamel damage, or have broken or chipped.
Composite Veneers Dr Sheryl Smithies Enamel Dentistry
Composite Veneers For Yellow Teeth Composite veneers are thin, customized shells affixed to individual teeth. If you had your veneers made in one appointment in the dental office, they are probably of white material or resin. Dental composite veneers can be a great choice for you if your teeth are severely stained, have become dull due to enamel damage, or have broken or chipped. There are pros and cons for both types of veneers, so it’s. Composite veneers are thin shells placed on teeth to correct their appearance, fix minor chips or cracks, or make minor corrections to tooth alignment. Eat & drink as normalfda approved materials Composite veneers are thin, customized shells affixed to individual teeth. While composite veneers are a durable and effective solution for improving.
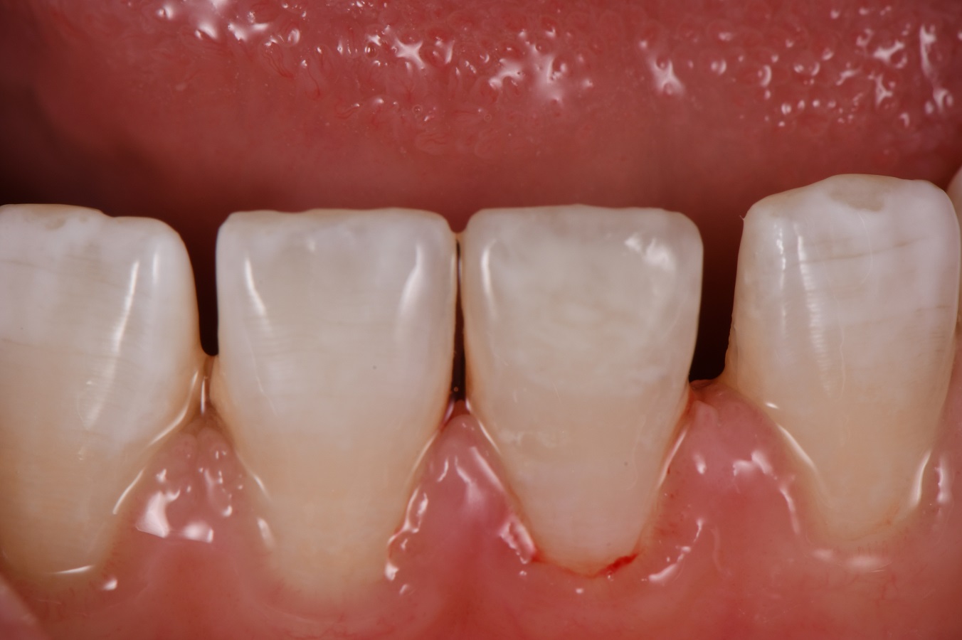
From artofdentistryinstitute.com
Chairside Veneers Composite Resin Veneers in Irvine Dental Veneers Composite Veneers For Yellow Teeth If you had your veneers made in one appointment in the dental office, they are probably of white material or resin. Composite veneers are thin shells placed on teeth to correct their appearance, fix minor chips or cracks, or make minor corrections to tooth alignment. There are pros and cons for both types of veneers, so it’s. Composite veneers are. Composite Veneers For Yellow Teeth.
From www.mawsondentalcare.com.au
Composite vs porcelain what kind of veneers are right for you Composite Veneers For Yellow Teeth Eat & drink as normalfda approved materials There are pros and cons for both types of veneers, so it’s. Composite veneers are thin shells placed on teeth to correct their appearance, fix minor chips or cracks, or make minor corrections to tooth alignment. Composite veneers are thin, customized shells affixed to individual teeth. While composite veneers are a durable and. Composite Veneers For Yellow Teeth.
From www.dentalsquare.com.au
Composite Veneers Sydney Dental Bonding Sydney Dentist Ryde Gladesville Putney North Ryde Composite Veneers For Yellow Teeth There are pros and cons for both types of veneers, so it’s. If you had your veneers made in one appointment in the dental office, they are probably of white material or resin. While composite veneers are a durable and effective solution for improving. Composite veneers are thin, customized shells affixed to individual teeth. Eat & drink as normalfda approved. Composite Veneers For Yellow Teeth.
From practiceownership.com.au
Composite Resin Veneers Buying or Starting a Dental Practice Composite Veneers For Yellow Teeth Composite veneers are thin shells placed on teeth to correct their appearance, fix minor chips or cracks, or make minor corrections to tooth alignment. There are pros and cons for both types of veneers, so it’s. Composite veneers are thin, customized shells affixed to individual teeth. Eat & drink as normalfda approved materials While composite veneers are a durable and. Composite Veneers For Yellow Teeth.
From woodbridgedental.co.uk
Porcelain Veneers vs. Composite Veneers Woodbridge Hill Dental Practice Composite Veneers For Yellow Teeth Composite veneers are thin shells placed on teeth to correct their appearance, fix minor chips or cracks, or make minor corrections to tooth alignment. Dental composite veneers can be a great choice for you if your teeth are severely stained, have become dull due to enamel damage, or have broken or chipped. There are pros and cons for both types. Composite Veneers For Yellow Teeth.
From www.clarencetam.co.nz
Composite Veneer Incisor Yellow Spot Hypomin Composite Veneers For Yellow Teeth Dental composite veneers can be a great choice for you if your teeth are severely stained, have become dull due to enamel damage, or have broken or chipped. Eat & drink as normalfda approved materials Composite veneers are thin, customized shells affixed to individual teeth. Composite veneers are thin shells placed on teeth to correct their appearance, fix minor chips. Composite Veneers For Yellow Teeth.
From artsmiles.com.au
Composite Veneers Gold Coast Costs, Options & FAQs Composite Veneers For Yellow Teeth Composite veneers are thin, customized shells affixed to individual teeth. Eat & drink as normalfda approved materials While composite veneers are a durable and effective solution for improving. Composite veneers are thin shells placed on teeth to correct their appearance, fix minor chips or cracks, or make minor corrections to tooth alignment. There are pros and cons for both types. Composite Veneers For Yellow Teeth.
From www.dentalsquare.com.au
Composite Veneers Sydney Dental Bonding Sydney Dentist Ryde Gladesville Putney North Ryde Composite Veneers For Yellow Teeth Composite veneers are thin shells placed on teeth to correct their appearance, fix minor chips or cracks, or make minor corrections to tooth alignment. Dental composite veneers can be a great choice for you if your teeth are severely stained, have become dull due to enamel damage, or have broken or chipped. Composite veneers are thin, customized shells affixed to. Composite Veneers For Yellow Teeth.
From beforeandafter.netlify.app
Composite Veneers Before And After Composite Veneers For Yellow Teeth Eat & drink as normalfda approved materials Composite veneers are thin shells placed on teeth to correct their appearance, fix minor chips or cracks, or make minor corrections to tooth alignment. There are pros and cons for both types of veneers, so it’s. If you had your veneers made in one appointment in the dental office, they are probably of. Composite Veneers For Yellow Teeth.
From healthwaydentalgroup.com
Dental Veneers Healthway Dental clinic Composite Veneers For Yellow Teeth Eat & drink as normalfda approved materials While composite veneers are a durable and effective solution for improving. Dental composite veneers can be a great choice for you if your teeth are severely stained, have become dull due to enamel damage, or have broken or chipped. Composite veneers are thin shells placed on teeth to correct their appearance, fix minor. Composite Veneers For Yellow Teeth.
From leeannbrady.com
Composite Veneer Layering Lee Ann Brady DMD Composite Veneers For Yellow Teeth If you had your veneers made in one appointment in the dental office, they are probably of white material or resin. Composite veneers are thin shells placed on teeth to correct their appearance, fix minor chips or cracks, or make minor corrections to tooth alignment. Composite veneers are thin, customized shells affixed to individual teeth. There are pros and cons. Composite Veneers For Yellow Teeth.
From www.dentalsquare.com.au
Composite Veneers Sydney Dental Bonding Sydney Dentist Ryde Gladesville Putney North Ryde Composite Veneers For Yellow Teeth If you had your veneers made in one appointment in the dental office, they are probably of white material or resin. Dental composite veneers can be a great choice for you if your teeth are severely stained, have become dull due to enamel damage, or have broken or chipped. While composite veneers are a durable and effective solution for improving.. Composite Veneers For Yellow Teeth.
From omcdoha.com
Composite Veneers Home Ocean Medical Center Composite Veneers For Yellow Teeth Composite veneers are thin shells placed on teeth to correct their appearance, fix minor chips or cracks, or make minor corrections to tooth alignment. Dental composite veneers can be a great choice for you if your teeth are severely stained, have become dull due to enamel damage, or have broken or chipped. Composite veneers are thin, customized shells affixed to. Composite Veneers For Yellow Teeth.
From www.dentalsquare.com.au
Composite Veneers Sydney Dental Bonding Sydney Dentist Ryde Gladesville Putney North Ryde Composite Veneers For Yellow Teeth If you had your veneers made in one appointment in the dental office, they are probably of white material or resin. Dental composite veneers can be a great choice for you if your teeth are severely stained, have become dull due to enamel damage, or have broken or chipped. There are pros and cons for both types of veneers, so. Composite Veneers For Yellow Teeth.
From www.clarencetam.co.nz
Composite Veneer Incisor Yellow Spot Hypomin Composite Veneers For Yellow Teeth Dental composite veneers can be a great choice for you if your teeth are severely stained, have become dull due to enamel damage, or have broken or chipped. There are pros and cons for both types of veneers, so it’s. While composite veneers are a durable and effective solution for improving. Eat & drink as normalfda approved materials Composite veneers. Composite Veneers For Yellow Teeth.
From prestige-dental-care.com.my
Resin Veneer Composite Veneers For Yellow Teeth While composite veneers are a durable and effective solution for improving. Composite veneers are thin, customized shells affixed to individual teeth. If you had your veneers made in one appointment in the dental office, they are probably of white material or resin. Eat & drink as normalfda approved materials Composite veneers are thin shells placed on teeth to correct their. Composite Veneers For Yellow Teeth.
From www.healthcare-treatment.com
Veneer Composite Best Veneer Composite Paddington 2021 Composite Veneers For Yellow Teeth While composite veneers are a durable and effective solution for improving. Eat & drink as normalfda approved materials Composite veneers are thin shells placed on teeth to correct their appearance, fix minor chips or cracks, or make minor corrections to tooth alignment. Composite veneers are thin, customized shells affixed to individual teeth. If you had your veneers made in one. Composite Veneers For Yellow Teeth.
From www.dentalsquare.com.au
Composite Veneers Sydney Dental Bonding Sydney Dentist Ryde Gladesville Putney North Ryde Composite Veneers For Yellow Teeth Composite veneers are thin, customized shells affixed to individual teeth. Dental composite veneers can be a great choice for you if your teeth are severely stained, have become dull due to enamel damage, or have broken or chipped. Composite veneers are thin shells placed on teeth to correct their appearance, fix minor chips or cracks, or make minor corrections to. Composite Veneers For Yellow Teeth.
From www.clarencetam.co.nz
Composite Veneer Incisor Yellow Spot Hypomin Composite Veneers For Yellow Teeth There are pros and cons for both types of veneers, so it’s. Eat & drink as normalfda approved materials Composite veneers are thin, customized shells affixed to individual teeth. Composite veneers are thin shells placed on teeth to correct their appearance, fix minor chips or cracks, or make minor corrections to tooth alignment. If you had your veneers made in. Composite Veneers For Yellow Teeth.
From tulipdental.co.nz
Porcelain & Composite Veneers Hamilton Tulip Dental Composite Veneers For Yellow Teeth There are pros and cons for both types of veneers, so it’s. Composite veneers are thin, customized shells affixed to individual teeth. Eat & drink as normalfda approved materials If you had your veneers made in one appointment in the dental office, they are probably of white material or resin. Dental composite veneers can be a great choice for you. Composite Veneers For Yellow Teeth.
From www.smiledentalstudioglenview.com
Glenview, IL Dentist Composite Veneers For Yellow Teeth Composite veneers are thin, customized shells affixed to individual teeth. Dental composite veneers can be a great choice for you if your teeth are severely stained, have become dull due to enamel damage, or have broken or chipped. While composite veneers are a durable and effective solution for improving. There are pros and cons for both types of veneers, so. Composite Veneers For Yellow Teeth.
From mypenndentist.org
Composite and Porcelain Veneers Penn Dental Family Practice Composite Veneers For Yellow Teeth There are pros and cons for both types of veneers, so it’s. Dental composite veneers can be a great choice for you if your teeth are severely stained, have become dull due to enamel damage, or have broken or chipped. Composite veneers are thin, customized shells affixed to individual teeth. Eat & drink as normalfda approved materials While composite veneers. Composite Veneers For Yellow Teeth.
From www.mermaidsmiles.com.au
Your Complete Guide to Composite Veneers Dentist Gold Coast Cosmetic Dentist Dentist Near Composite Veneers For Yellow Teeth There are pros and cons for both types of veneers, so it’s. If you had your veneers made in one appointment in the dental office, they are probably of white material or resin. Dental composite veneers can be a great choice for you if your teeth are severely stained, have become dull due to enamel damage, or have broken or. Composite Veneers For Yellow Teeth.
From www.smileworksliverpool.co.uk
Composite Veneers Unbiased professional review for 2024 Composite Veneers For Yellow Teeth Eat & drink as normalfda approved materials If you had your veneers made in one appointment in the dental office, they are probably of white material or resin. Composite veneers are thin, customized shells affixed to individual teeth. While composite veneers are a durable and effective solution for improving. Composite veneers are thin shells placed on teeth to correct their. Composite Veneers For Yellow Teeth.
From levygoldmandentistry.com
Smile Makeovers Levy Goldman Dentistry Composite Veneers For Yellow Teeth Dental composite veneers can be a great choice for you if your teeth are severely stained, have become dull due to enamel damage, or have broken or chipped. Composite veneers are thin shells placed on teeth to correct their appearance, fix minor chips or cracks, or make minor corrections to tooth alignment. If you had your veneers made in one. Composite Veneers For Yellow Teeth.
From www.dentalsquare.com.au
Composite Veneers Sydney Dental Bonding Sydney Dentist Ryde Gladesville Putney North Ryde Composite Veneers For Yellow Teeth Composite veneers are thin shells placed on teeth to correct their appearance, fix minor chips or cracks, or make minor corrections to tooth alignment. If you had your veneers made in one appointment in the dental office, they are probably of white material or resin. While composite veneers are a durable and effective solution for improving. Eat & drink as. Composite Veneers For Yellow Teeth.
From ar.pinterest.com
Building up teeth with composite an alternative to veneers and crowns in the aesthetic Composite Veneers For Yellow Teeth There are pros and cons for both types of veneers, so it’s. Eat & drink as normalfda approved materials Composite veneers are thin, customized shells affixed to individual teeth. Composite veneers are thin shells placed on teeth to correct their appearance, fix minor chips or cracks, or make minor corrections to tooth alignment. If you had your veneers made in. Composite Veneers For Yellow Teeth.
From enamel.clinic
Composite Veneers Dr Sheryl Smithies Enamel Dentistry Composite Veneers For Yellow Teeth If you had your veneers made in one appointment in the dental office, they are probably of white material or resin. Eat & drink as normalfda approved materials Dental composite veneers can be a great choice for you if your teeth are severely stained, have become dull due to enamel damage, or have broken or chipped. Composite veneers are thin,. Composite Veneers For Yellow Teeth.
From www.pinterest.co.uk
Composite Veneers Pros & Cons, Procedure, Cost, and Alternatives Composite veneers, Dental Composite Veneers For Yellow Teeth There are pros and cons for both types of veneers, so it’s. Composite veneers are thin shells placed on teeth to correct their appearance, fix minor chips or cracks, or make minor corrections to tooth alignment. Eat & drink as normalfda approved materials If you had your veneers made in one appointment in the dental office, they are probably of. Composite Veneers For Yellow Teeth.
From medinidentalgroup.com
Composite Veneer Johor Bahru Composite Veneers For Yellow Teeth Eat & drink as normalfda approved materials Composite veneers are thin shells placed on teeth to correct their appearance, fix minor chips or cracks, or make minor corrections to tooth alignment. If you had your veneers made in one appointment in the dental office, they are probably of white material or resin. Dental composite veneers can be a great choice. Composite Veneers For Yellow Teeth.
From www.clarencetam.co.nz
Composite Veneer Incisor Yellow Spot Hypomin Composite Veneers For Yellow Teeth If you had your veneers made in one appointment in the dental office, they are probably of white material or resin. While composite veneers are a durable and effective solution for improving. There are pros and cons for both types of veneers, so it’s. Composite veneers are thin shells placed on teeth to correct their appearance, fix minor chips or. Composite Veneers For Yellow Teeth.
From www.clarencetam.co.nz
Transitional Composite Veneers Transitional Composite Veneers Composite Veneers For Yellow Teeth Eat & drink as normalfda approved materials If you had your veneers made in one appointment in the dental office, they are probably of white material or resin. Composite veneers are thin, customized shells affixed to individual teeth. There are pros and cons for both types of veneers, so it’s. Dental composite veneers can be a great choice for you. Composite Veneers For Yellow Teeth.
From chicagobeautifulsmiles.com
Direct Composite Bonded Veneers 11 Chicago Beautiful Smiles Composite Veneers For Yellow Teeth Dental composite veneers can be a great choice for you if your teeth are severely stained, have become dull due to enamel damage, or have broken or chipped. Composite veneers are thin, customized shells affixed to individual teeth. Eat & drink as normalfda approved materials Composite veneers are thin shells placed on teeth to correct their appearance, fix minor chips. Composite Veneers For Yellow Teeth.
From www.dentalsquare.com.au
Composite Veneers Sydney Dental Bonding Sydney Dentist Ryde Gladesville Putney North Ryde Composite Veneers For Yellow Teeth Dental composite veneers can be a great choice for you if your teeth are severely stained, have become dull due to enamel damage, or have broken or chipped. Eat & drink as normalfda approved materials There are pros and cons for both types of veneers, so it’s. Composite veneers are thin shells placed on teeth to correct their appearance, fix. Composite Veneers For Yellow Teeth.
From www.smileworksliverpool.co.uk
Composite Veneers We compare safety, durability, aesthetic and price Composite Veneers For Yellow Teeth While composite veneers are a durable and effective solution for improving. Composite veneers are thin, customized shells affixed to individual teeth. Composite veneers are thin shells placed on teeth to correct their appearance, fix minor chips or cracks, or make minor corrections to tooth alignment. If you had your veneers made in one appointment in the dental office, they are. Composite Veneers For Yellow Teeth.