Can A Knee Replacement Be Replaced Again . When a total knee replacement prosthesis fails, a second knee surgery is required. Partial or total knee replacement surgery aims to restore stability to a worn or damaged knee by removing and replacing bone. During primary total knee replacement, the knee joint is replaced with an implant, or prosthesis, made of metal and plastic components. If you need a replacement, or think it’s time to seriously consider it, harvard’s total knee replacement guide is invaluable. There are many reasons why a patient may need a revision surgery, but dr. The most common and effective treatment is called revision total knee replacement (also known. The surgery can help ease pain and make the knee. Although most total knee replacements.
from hubpages.com
There are many reasons why a patient may need a revision surgery, but dr. The surgery can help ease pain and make the knee. When a total knee replacement prosthesis fails, a second knee surgery is required. Partial or total knee replacement surgery aims to restore stability to a worn or damaged knee by removing and replacing bone. Although most total knee replacements. If you need a replacement, or think it’s time to seriously consider it, harvard’s total knee replacement guide is invaluable. The most common and effective treatment is called revision total knee replacement (also known. During primary total knee replacement, the knee joint is replaced with an implant, or prosthesis, made of metal and plastic components.
My Experience With Total Knee Replacement Surgery HealDove
Can A Knee Replacement Be Replaced Again Although most total knee replacements. There are many reasons why a patient may need a revision surgery, but dr. When a total knee replacement prosthesis fails, a second knee surgery is required. The surgery can help ease pain and make the knee. The most common and effective treatment is called revision total knee replacement (also known. Partial or total knee replacement surgery aims to restore stability to a worn or damaged knee by removing and replacing bone. During primary total knee replacement, the knee joint is replaced with an implant, or prosthesis, made of metal and plastic components. If you need a replacement, or think it’s time to seriously consider it, harvard’s total knee replacement guide is invaluable. Although most total knee replacements.
From hubpages.com
My Experience With Total Knee Replacement Surgery HealDove Can A Knee Replacement Be Replaced Again During primary total knee replacement, the knee joint is replaced with an implant, or prosthesis, made of metal and plastic components. When a total knee replacement prosthesis fails, a second knee surgery is required. Although most total knee replacements. There are many reasons why a patient may need a revision surgery, but dr. If you need a replacement, or think. Can A Knee Replacement Be Replaced Again.
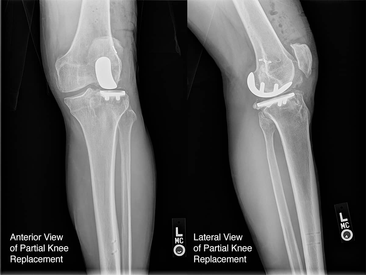
From totalknee.org
New Technologies in Total Knee Replacement Dr. Stuart Kozinn, MD Can A Knee Replacement Be Replaced Again The most common and effective treatment is called revision total knee replacement (also known. The surgery can help ease pain and make the knee. When a total knee replacement prosthesis fails, a second knee surgery is required. During primary total knee replacement, the knee joint is replaced with an implant, or prosthesis, made of metal and plastic components. Although most. Can A Knee Replacement Be Replaced Again.
From www.joshihospital.co.in
Joint Replacement Centre Can A Knee Replacement Be Replaced Again The surgery can help ease pain and make the knee. When a total knee replacement prosthesis fails, a second knee surgery is required. There are many reasons why a patient may need a revision surgery, but dr. Partial or total knee replacement surgery aims to restore stability to a worn or damaged knee by removing and replacing bone. The most. Can A Knee Replacement Be Replaced Again.
From daytonorthopedicsurgery.com
Total Joint Replacement Dayton Ohio Can A Knee Replacement Be Replaced Again If you need a replacement, or think it’s time to seriously consider it, harvard’s total knee replacement guide is invaluable. Partial or total knee replacement surgery aims to restore stability to a worn or damaged knee by removing and replacing bone. During primary total knee replacement, the knee joint is replaced with an implant, or prosthesis, made of metal and. Can A Knee Replacement Be Replaced Again.
From physio-logical.net
What exercises should I do immediately after my Knee Replacement Can A Knee Replacement Be Replaced Again During primary total knee replacement, the knee joint is replaced with an implant, or prosthesis, made of metal and plastic components. If you need a replacement, or think it’s time to seriously consider it, harvard’s total knee replacement guide is invaluable. Although most total knee replacements. The surgery can help ease pain and make the knee. Partial or total knee. Can A Knee Replacement Be Replaced Again.
From oxfordortho.sg
Should You Get a Partial Knee Replacement? Oxford Ortho Can A Knee Replacement Be Replaced Again During primary total knee replacement, the knee joint is replaced with an implant, or prosthesis, made of metal and plastic components. There are many reasons why a patient may need a revision surgery, but dr. The most common and effective treatment is called revision total knee replacement (also known. Although most total knee replacements. Partial or total knee replacement surgery. Can A Knee Replacement Be Replaced Again.
From www.arthritis-health.com
Zimmer Biomet Knee Replacement Can A Knee Replacement Be Replaced Again There are many reasons why a patient may need a revision surgery, but dr. Although most total knee replacements. Partial or total knee replacement surgery aims to restore stability to a worn or damaged knee by removing and replacing bone. The surgery can help ease pain and make the knee. When a total knee replacement prosthesis fails, a second knee. Can A Knee Replacement Be Replaced Again.
From www.yeovilorthoclinic.co.uk
My knee still hurts after knee replacement surgery is this normal? Can A Knee Replacement Be Replaced Again If you need a replacement, or think it’s time to seriously consider it, harvard’s total knee replacement guide is invaluable. The most common and effective treatment is called revision total knee replacement (also known. The surgery can help ease pain and make the knee. During primary total knee replacement, the knee joint is replaced with an implant, or prosthesis, made. Can A Knee Replacement Be Replaced Again.
From bioproimplants.com
Total Knee System Can A Knee Replacement Be Replaced Again There are many reasons why a patient may need a revision surgery, but dr. The most common and effective treatment is called revision total knee replacement (also known. Partial or total knee replacement surgery aims to restore stability to a worn or damaged knee by removing and replacing bone. The surgery can help ease pain and make the knee. During. Can A Knee Replacement Be Replaced Again.
From healthlibrary.askapollo.com
Knee Cartilage Injury Symptoms, Causes and Treatment Apollo Hospital Can A Knee Replacement Be Replaced Again Partial or total knee replacement surgery aims to restore stability to a worn or damaged knee by removing and replacing bone. During primary total knee replacement, the knee joint is replaced with an implant, or prosthesis, made of metal and plastic components. There are many reasons why a patient may need a revision surgery, but dr. When a total knee. Can A Knee Replacement Be Replaced Again.
From totalknee.org
Total Knee Replacement In Younger Active Patients Dr. Stuart Kozinn, MD Can A Knee Replacement Be Replaced Again During primary total knee replacement, the knee joint is replaced with an implant, or prosthesis, made of metal and plastic components. Partial or total knee replacement surgery aims to restore stability to a worn or damaged knee by removing and replacing bone. Although most total knee replacements. The most common and effective treatment is called revision total knee replacement (also. Can A Knee Replacement Be Replaced Again.
From www.theodorideskneesurgeon.com
Total Knee Replacement (TKR) Dr A. Theodorides Knee Surgeon Specialist Can A Knee Replacement Be Replaced Again When a total knee replacement prosthesis fails, a second knee surgery is required. During primary total knee replacement, the knee joint is replaced with an implant, or prosthesis, made of metal and plastic components. The most common and effective treatment is called revision total knee replacement (also known. There are many reasons why a patient may need a revision surgery,. Can A Knee Replacement Be Replaced Again.
From osgpc.com
Knee Replacements What to Expect Before, During, and After Surgery Can A Knee Replacement Be Replaced Again Although most total knee replacements. When a total knee replacement prosthesis fails, a second knee surgery is required. There are many reasons why a patient may need a revision surgery, but dr. During primary total knee replacement, the knee joint is replaced with an implant, or prosthesis, made of metal and plastic components. Partial or total knee replacement surgery aims. Can A Knee Replacement Be Replaced Again.
From uphillathlete.com
My New Knee Running Again after a Total Knee Replacement Uphill Athlete Can A Knee Replacement Be Replaced Again There are many reasons why a patient may need a revision surgery, but dr. When a total knee replacement prosthesis fails, a second knee surgery is required. During primary total knee replacement, the knee joint is replaced with an implant, or prosthesis, made of metal and plastic components. The surgery can help ease pain and make the knee. Although most. Can A Knee Replacement Be Replaced Again.
From althealth.me
Total Knee Replacement Surgery Recovery Timeline Althealth Can A Knee Replacement Be Replaced Again If you need a replacement, or think it’s time to seriously consider it, harvard’s total knee replacement guide is invaluable. There are many reasons why a patient may need a revision surgery, but dr. During primary total knee replacement, the knee joint is replaced with an implant, or prosthesis, made of metal and plastic components. The most common and effective. Can A Knee Replacement Be Replaced Again.
From medlineplus.gov
Knee Replacement Knee Arthroplasty MedlinePlus Can A Knee Replacement Be Replaced Again Although most total knee replacements. When a total knee replacement prosthesis fails, a second knee surgery is required. There are many reasons why a patient may need a revision surgery, but dr. Partial or total knee replacement surgery aims to restore stability to a worn or damaged knee by removing and replacing bone. If you need a replacement, or think. Can A Knee Replacement Be Replaced Again.
From www.stoneclinic.com
Delaying Knee Joint Replacement Can A Knee Replacement Be Replaced Again The surgery can help ease pain and make the knee. There are many reasons why a patient may need a revision surgery, but dr. If you need a replacement, or think it’s time to seriously consider it, harvard’s total knee replacement guide is invaluable. Partial or total knee replacement surgery aims to restore stability to a worn or damaged knee. Can A Knee Replacement Be Replaced Again.
From www.arthritis-health.com
When to Consider Knee Replacement Surgery Can A Knee Replacement Be Replaced Again If you need a replacement, or think it’s time to seriously consider it, harvard’s total knee replacement guide is invaluable. The surgery can help ease pain and make the knee. During primary total knee replacement, the knee joint is replaced with an implant, or prosthesis, made of metal and plastic components. Although most total knee replacements. There are many reasons. Can A Knee Replacement Be Replaced Again.
From www.laorthosurgeon.com
Partial Knee Replacement ADAM SASSOON M.D., M.S. Can A Knee Replacement Be Replaced Again The surgery can help ease pain and make the knee. If you need a replacement, or think it’s time to seriously consider it, harvard’s total knee replacement guide is invaluable. The most common and effective treatment is called revision total knee replacement (also known. Partial or total knee replacement surgery aims to restore stability to a worn or damaged knee. Can A Knee Replacement Be Replaced Again.
From centenoschultz.com
Knee Replacement & The Pain Afterwards 5 Things to Know Can A Knee Replacement Be Replaced Again Although most total knee replacements. When a total knee replacement prosthesis fails, a second knee surgery is required. The surgery can help ease pain and make the knee. Partial or total knee replacement surgery aims to restore stability to a worn or damaged knee by removing and replacing bone. During primary total knee replacement, the knee joint is replaced with. Can A Knee Replacement Be Replaced Again.
From exockzund.blob.core.windows.net
After Knee Replacement When Can You Drive at Gilbert Trumble blog Can A Knee Replacement Be Replaced Again When a total knee replacement prosthesis fails, a second knee surgery is required. During primary total knee replacement, the knee joint is replaced with an implant, or prosthesis, made of metal and plastic components. The most common and effective treatment is called revision total knee replacement (also known. If you need a replacement, or think it’s time to seriously consider. Can A Knee Replacement Be Replaced Again.
From yorkshirekneeclinic.com
Knee Replacement and Your Anterior Cruciate Ligament (ACL) Can A Knee Replacement Be Replaced Again The most common and effective treatment is called revision total knee replacement (also known. During primary total knee replacement, the knee joint is replaced with an implant, or prosthesis, made of metal and plastic components. If you need a replacement, or think it’s time to seriously consider it, harvard’s total knee replacement guide is invaluable. Although most total knee replacements.. Can A Knee Replacement Be Replaced Again.
From www.youtube.com
Do You Need A Knee Replacement? YouTube Can A Knee Replacement Be Replaced Again The surgery can help ease pain and make the knee. Partial or total knee replacement surgery aims to restore stability to a worn or damaged knee by removing and replacing bone. There are many reasons why a patient may need a revision surgery, but dr. If you need a replacement, or think it’s time to seriously consider it, harvard’s total. Can A Knee Replacement Be Replaced Again.
From www.verywellhealth.com
Partial vs. Total Knee Replacement Surgery Can A Knee Replacement Be Replaced Again There are many reasons why a patient may need a revision surgery, but dr. Although most total knee replacements. If you need a replacement, or think it’s time to seriously consider it, harvard’s total knee replacement guide is invaluable. The surgery can help ease pain and make the knee. During primary total knee replacement, the knee joint is replaced with. Can A Knee Replacement Be Replaced Again.
From www.landmarkhospitals.net
Partial Knee Replacement in Hyderabad By Dr. Sudhir Kumar Reddy Can A Knee Replacement Be Replaced Again The most common and effective treatment is called revision total knee replacement (also known. Partial or total knee replacement surgery aims to restore stability to a worn or damaged knee by removing and replacing bone. If you need a replacement, or think it’s time to seriously consider it, harvard’s total knee replacement guide is invaluable. During primary total knee replacement,. Can A Knee Replacement Be Replaced Again.
From www.medicalnewstoday.com
Can you still have arthritis after knee replacement? Can A Knee Replacement Be Replaced Again There are many reasons why a patient may need a revision surgery, but dr. When a total knee replacement prosthesis fails, a second knee surgery is required. The surgery can help ease pain and make the knee. If you need a replacement, or think it’s time to seriously consider it, harvard’s total knee replacement guide is invaluable. Partial or total. Can A Knee Replacement Be Replaced Again.
From vaclaimsinsider.com
VA Disability for Knee Replacement What You Need to Know VA Claims Can A Knee Replacement Be Replaced Again Although most total knee replacements. The surgery can help ease pain and make the knee. Partial or total knee replacement surgery aims to restore stability to a worn or damaged knee by removing and replacing bone. The most common and effective treatment is called revision total knee replacement (also known. During primary total knee replacement, the knee joint is replaced. Can A Knee Replacement Be Replaced Again.
From www.youtube.com
Knee Replacement Surgery Before And After YouTube Can A Knee Replacement Be Replaced Again During primary total knee replacement, the knee joint is replaced with an implant, or prosthesis, made of metal and plastic components. The most common and effective treatment is called revision total knee replacement (also known. Partial or total knee replacement surgery aims to restore stability to a worn or damaged knee by removing and replacing bone. The surgery can help. Can A Knee Replacement Be Replaced Again.
From www.oihnv.com
Do You Need Revision Knee Replacement Surgery? Orthopaedic Institute Can A Knee Replacement Be Replaced Again Although most total knee replacements. During primary total knee replacement, the knee joint is replaced with an implant, or prosthesis, made of metal and plastic components. If you need a replacement, or think it’s time to seriously consider it, harvard’s total knee replacement guide is invaluable. There are many reasons why a patient may need a revision surgery, but dr.. Can A Knee Replacement Be Replaced Again.
From www.orthoinfo.org
Total Knee Replacement OrthoInfo AAOS Can A Knee Replacement Be Replaced Again When a total knee replacement prosthesis fails, a second knee surgery is required. During primary total knee replacement, the knee joint is replaced with an implant, or prosthesis, made of metal and plastic components. If you need a replacement, or think it’s time to seriously consider it, harvard’s total knee replacement guide is invaluable. There are many reasons why a. Can A Knee Replacement Be Replaced Again.
From www.youtube.com
What Happens After Total Knee Replacement Surgery YouTube Can A Knee Replacement Be Replaced Again When a total knee replacement prosthesis fails, a second knee surgery is required. The most common and effective treatment is called revision total knee replacement (also known. The surgery can help ease pain and make the knee. If you need a replacement, or think it’s time to seriously consider it, harvard’s total knee replacement guide is invaluable. During primary total. Can A Knee Replacement Be Replaced Again.
From sportsmedtexas.com
Total Knee Replacement Surgery SPORT Orthopedics Dallas TX Can A Knee Replacement Be Replaced Again Although most total knee replacements. If you need a replacement, or think it’s time to seriously consider it, harvard’s total knee replacement guide is invaluable. The most common and effective treatment is called revision total knee replacement (also known. There are many reasons why a patient may need a revision surgery, but dr. During primary total knee replacement, the knee. Can A Knee Replacement Be Replaced Again.
From www.medicalnewstoday.com
Types of knee replacement Can A Knee Replacement Be Replaced Again If you need a replacement, or think it’s time to seriously consider it, harvard’s total knee replacement guide is invaluable. There are many reasons why a patient may need a revision surgery, but dr. Although most total knee replacements. Partial or total knee replacement surgery aims to restore stability to a worn or damaged knee by removing and replacing bone.. Can A Knee Replacement Be Replaced Again.
From animalia-life.club
How Much Is A Dog Knee Replacement Can A Knee Replacement Be Replaced Again The surgery can help ease pain and make the knee. There are many reasons why a patient may need a revision surgery, but dr. When a total knee replacement prosthesis fails, a second knee surgery is required. The most common and effective treatment is called revision total knee replacement (also known. Although most total knee replacements. During primary total knee. Can A Knee Replacement Be Replaced Again.
From www.verywellhealth.com
Can You Kneel After a Knee Replacement? Can A Knee Replacement Be Replaced Again The most common and effective treatment is called revision total knee replacement (also known. Partial or total knee replacement surgery aims to restore stability to a worn or damaged knee by removing and replacing bone. During primary total knee replacement, the knee joint is replaced with an implant, or prosthesis, made of metal and plastic components. The surgery can help. Can A Knee Replacement Be Replaced Again.