Gold Standard Test For Varicose Veins . Randomized clinical trial comparing endovenous laser ablation with surgery for the treatment of primary great saphenous varicose. Through inspection and palpation, the examiner should note the size and distribution of varicose veins, the presence and type of edema, and the presence of skin. There is a clear worldwide trend toward less invasive methods of treatment. Phlebography by vein x‑ray using contrast medium was the gold standard for vein diagnosis by imaging for decades. While open surgery remains the ‘gold standard’, most veins can be treated successfully with a range of options. Duplex ultrasound scanning is now the gold standard and first diagnostic test for assessing the lower limbs in patients with. Turning now to pvr, the gold standard investigation has been shown to be the transvaginal venous duplex ultrasound scan.
from www.trufflesveinspecialists.com
Turning now to pvr, the gold standard investigation has been shown to be the transvaginal venous duplex ultrasound scan. There is a clear worldwide trend toward less invasive methods of treatment. Phlebography by vein x‑ray using contrast medium was the gold standard for vein diagnosis by imaging for decades. While open surgery remains the ‘gold standard’, most veins can be treated successfully with a range of options. Randomized clinical trial comparing endovenous laser ablation with surgery for the treatment of primary great saphenous varicose. Duplex ultrasound scanning is now the gold standard and first diagnostic test for assessing the lower limbs in patients with. Through inspection and palpation, the examiner should note the size and distribution of varicose veins, the presence and type of edema, and the presence of skin.
Is The Gold Standard Causing Misdiagnosis Varicose Vein Treatment
Gold Standard Test For Varicose Veins Randomized clinical trial comparing endovenous laser ablation with surgery for the treatment of primary great saphenous varicose. Turning now to pvr, the gold standard investigation has been shown to be the transvaginal venous duplex ultrasound scan. There is a clear worldwide trend toward less invasive methods of treatment. Duplex ultrasound scanning is now the gold standard and first diagnostic test for assessing the lower limbs in patients with. Phlebography by vein x‑ray using contrast medium was the gold standard for vein diagnosis by imaging for decades. Through inspection and palpation, the examiner should note the size and distribution of varicose veins, the presence and type of edema, and the presence of skin. Randomized clinical trial comparing endovenous laser ablation with surgery for the treatment of primary great saphenous varicose. While open surgery remains the ‘gold standard’, most veins can be treated successfully with a range of options.
From ar.inspiredpencil.com
Trendelenburg Test For Varicose Veins Gold Standard Test For Varicose Veins Through inspection and palpation, the examiner should note the size and distribution of varicose veins, the presence and type of edema, and the presence of skin. Duplex ultrasound scanning is now the gold standard and first diagnostic test for assessing the lower limbs in patients with. Randomized clinical trial comparing endovenous laser ablation with surgery for the treatment of primary. Gold Standard Test For Varicose Veins.
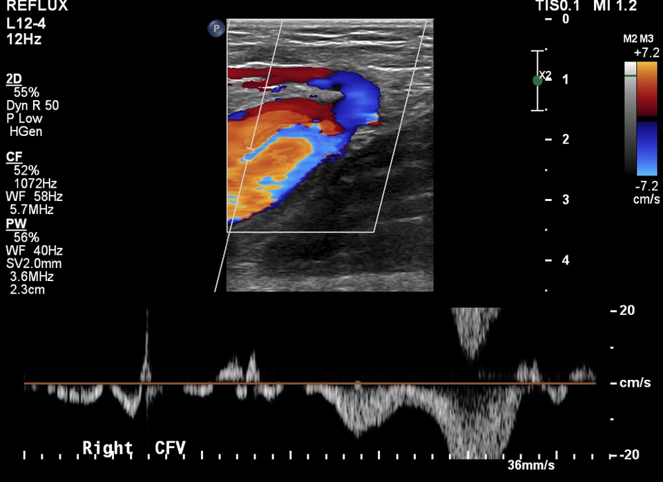
From www.youtube.com
BrodieTrendelenburg Test Venous Insufficiency Diagnosis Of Gold Standard Test For Varicose Veins There is a clear worldwide trend toward less invasive methods of treatment. Through inspection and palpation, the examiner should note the size and distribution of varicose veins, the presence and type of edema, and the presence of skin. Randomized clinical trial comparing endovenous laser ablation with surgery for the treatment of primary great saphenous varicose. While open surgery remains the. Gold Standard Test For Varicose Veins.
From www.researchgate.net
CEAP classification of varicose veins. 12 Download Scientific Diagram Gold Standard Test For Varicose Veins Duplex ultrasound scanning is now the gold standard and first diagnostic test for assessing the lower limbs in patients with. While open surgery remains the ‘gold standard’, most veins can be treated successfully with a range of options. Randomized clinical trial comparing endovenous laser ablation with surgery for the treatment of primary great saphenous varicose. Turning now to pvr, the. Gold Standard Test For Varicose Veins.
From www.trufflesveinspecialists.com
Is The Gold Standard Causing Misdiagnosis Varicose Vein Treatment Gold Standard Test For Varicose Veins While open surgery remains the ‘gold standard’, most veins can be treated successfully with a range of options. There is a clear worldwide trend toward less invasive methods of treatment. Randomized clinical trial comparing endovenous laser ablation with surgery for the treatment of primary great saphenous varicose. Duplex ultrasound scanning is now the gold standard and first diagnostic test for. Gold Standard Test For Varicose Veins.
From www.usaveinclinics.com
Laser Treatment for Varicose Veins & Spider Veins Gold Standard Test For Varicose Veins While open surgery remains the ‘gold standard’, most veins can be treated successfully with a range of options. Turning now to pvr, the gold standard investigation has been shown to be the transvaginal venous duplex ultrasound scan. Randomized clinical trial comparing endovenous laser ablation with surgery for the treatment of primary great saphenous varicose. There is a clear worldwide trend. Gold Standard Test For Varicose Veins.
From www.slideserve.com
PPT How Do Doctors Test And Diagnose Varicose Veins? PowerPoint Gold Standard Test For Varicose Veins Turning now to pvr, the gold standard investigation has been shown to be the transvaginal venous duplex ultrasound scan. Phlebography by vein x‑ray using contrast medium was the gold standard for vein diagnosis by imaging for decades. While open surgery remains the ‘gold standard’, most veins can be treated successfully with a range of options. Randomized clinical trial comparing endovenous. Gold Standard Test For Varicose Veins.
From thewhiteleyclinic.co.uk
Home Test for Varicose Veins The Whiteley Clinic Gold Standard Test For Varicose Veins While open surgery remains the ‘gold standard’, most veins can be treated successfully with a range of options. Through inspection and palpation, the examiner should note the size and distribution of varicose veins, the presence and type of edema, and the presence of skin. There is a clear worldwide trend toward less invasive methods of treatment. Phlebography by vein x‑ray. Gold Standard Test For Varicose Veins.
From www.healthimages.com
Imaging test for varicose veins Health Images Gold Standard Test For Varicose Veins Through inspection and palpation, the examiner should note the size and distribution of varicose veins, the presence and type of edema, and the presence of skin. While open surgery remains the ‘gold standard’, most veins can be treated successfully with a range of options. Duplex ultrasound scanning is now the gold standard and first diagnostic test for assessing the lower. Gold Standard Test For Varicose Veins.
From ar.inspiredpencil.com
Trendelenburg Test For Varicose Veins Gold Standard Test For Varicose Veins Randomized clinical trial comparing endovenous laser ablation with surgery for the treatment of primary great saphenous varicose. Turning now to pvr, the gold standard investigation has been shown to be the transvaginal venous duplex ultrasound scan. Duplex ultrasound scanning is now the gold standard and first diagnostic test for assessing the lower limbs in patients with. Phlebography by vein x‑ray. Gold Standard Test For Varicose Veins.
From ar.inspiredpencil.com
Trendelenburg Test For Varicose Veins Gold Standard Test For Varicose Veins While open surgery remains the ‘gold standard’, most veins can be treated successfully with a range of options. Turning now to pvr, the gold standard investigation has been shown to be the transvaginal venous duplex ultrasound scan. Through inspection and palpation, the examiner should note the size and distribution of varicose veins, the presence and type of edema, and the. Gold Standard Test For Varicose Veins.
From ar.inspiredpencil.com
Trendelenburg Test For Varicose Veins Gold Standard Test For Varicose Veins There is a clear worldwide trend toward less invasive methods of treatment. Turning now to pvr, the gold standard investigation has been shown to be the transvaginal venous duplex ultrasound scan. Duplex ultrasound scanning is now the gold standard and first diagnostic test for assessing the lower limbs in patients with. Through inspection and palpation, the examiner should note the. Gold Standard Test For Varicose Veins.
From www.studocu.com
Varicose Veins Clinical Case Scenario MCQ Varicose Veins Clinical Gold Standard Test For Varicose Veins Duplex ultrasound scanning is now the gold standard and first diagnostic test for assessing the lower limbs in patients with. There is a clear worldwide trend toward less invasive methods of treatment. Randomized clinical trial comparing endovenous laser ablation with surgery for the treatment of primary great saphenous varicose. Phlebography by vein x‑ray using contrast medium was the gold standard. Gold Standard Test For Varicose Veins.
From ninelife.nz
Veinlite LEDX Vein Finder Sclerotherapy Varicose Vein Mapping and Gold Standard Test For Varicose Veins Through inspection and palpation, the examiner should note the size and distribution of varicose veins, the presence and type of edema, and the presence of skin. Phlebography by vein x‑ray using contrast medium was the gold standard for vein diagnosis by imaging for decades. While open surgery remains the ‘gold standard’, most veins can be treated successfully with a range. Gold Standard Test For Varicose Veins.
From bestinau.com.au
Varicose Veins Treatment Complete Guide To Varicose Veins Gold Standard Test For Varicose Veins Phlebography by vein x‑ray using contrast medium was the gold standard for vein diagnosis by imaging for decades. Randomized clinical trial comparing endovenous laser ablation with surgery for the treatment of primary great saphenous varicose. Turning now to pvr, the gold standard investigation has been shown to be the transvaginal venous duplex ultrasound scan. While open surgery remains the ‘gold. Gold Standard Test For Varicose Veins.
From drpradyumnareddy.com
Different Diagnostic Test Methods for Varicose Veins Gold Standard Test For Varicose Veins Phlebography by vein x‑ray using contrast medium was the gold standard for vein diagnosis by imaging for decades. While open surgery remains the ‘gold standard’, most veins can be treated successfully with a range of options. There is a clear worldwide trend toward less invasive methods of treatment. Turning now to pvr, the gold standard investigation has been shown to. Gold Standard Test For Varicose Veins.
From www.heartorlando.com
Orlando Heart & Vascular Institute Gold Standard Test For Varicose Veins Through inspection and palpation, the examiner should note the size and distribution of varicose veins, the presence and type of edema, and the presence of skin. Turning now to pvr, the gold standard investigation has been shown to be the transvaginal venous duplex ultrasound scan. Duplex ultrasound scanning is now the gold standard and first diagnostic test for assessing the. Gold Standard Test For Varicose Veins.
From www.researchgate.net
(PDF) Minimally invasive catheters in varicose vein treatment New Gold Standard Test For Varicose Veins While open surgery remains the ‘gold standard’, most veins can be treated successfully with a range of options. Through inspection and palpation, the examiner should note the size and distribution of varicose veins, the presence and type of edema, and the presence of skin. Turning now to pvr, the gold standard investigation has been shown to be the transvaginal venous. Gold Standard Test For Varicose Veins.
From ar.inspiredpencil.com
Trendelenburg Test For Varicose Veins Gold Standard Test For Varicose Veins Phlebography by vein x‑ray using contrast medium was the gold standard for vein diagnosis by imaging for decades. While open surgery remains the ‘gold standard’, most veins can be treated successfully with a range of options. Through inspection and palpation, the examiner should note the size and distribution of varicose veins, the presence and type of edema, and the presence. Gold Standard Test For Varicose Veins.
From pubs.rsna.org
Varicose Veins of the Lower Extremity Doppler US Evaluation Protocols Gold Standard Test For Varicose Veins Turning now to pvr, the gold standard investigation has been shown to be the transvaginal venous duplex ultrasound scan. Randomized clinical trial comparing endovenous laser ablation with surgery for the treatment of primary great saphenous varicose. Phlebography by vein x‑ray using contrast medium was the gold standard for vein diagnosis by imaging for decades. Duplex ultrasound scanning is now the. Gold Standard Test For Varicose Veins.
From health-shared.com
What tests are used to investigate Varicose Veins? Gold Standard Test For Varicose Veins Duplex ultrasound scanning is now the gold standard and first diagnostic test for assessing the lower limbs in patients with. While open surgery remains the ‘gold standard’, most veins can be treated successfully with a range of options. Through inspection and palpation, the examiner should note the size and distribution of varicose veins, the presence and type of edema, and. Gold Standard Test For Varicose Veins.
From goldstandardfootandlegclinic.co.uk
Varicose Veins Gold Standard Foot & Leg Clinic Gold Standard Test For Varicose Veins Through inspection and palpation, the examiner should note the size and distribution of varicose veins, the presence and type of edema, and the presence of skin. Duplex ultrasound scanning is now the gold standard and first diagnostic test for assessing the lower limbs in patients with. Randomized clinical trial comparing endovenous laser ablation with surgery for the treatment of primary. Gold Standard Test For Varicose Veins.
From ar.inspiredpencil.com
Trendelenburg Test For Varicose Veins Gold Standard Test For Varicose Veins While open surgery remains the ‘gold standard’, most veins can be treated successfully with a range of options. Phlebography by vein x‑ray using contrast medium was the gold standard for vein diagnosis by imaging for decades. Turning now to pvr, the gold standard investigation has been shown to be the transvaginal venous duplex ultrasound scan. Through inspection and palpation, the. Gold Standard Test For Varicose Veins.
From www.randalicentre.com
Varicose Veins Treatment in Lancaster, PA The Randali Centre Gold Standard Test For Varicose Veins Duplex ultrasound scanning is now the gold standard and first diagnostic test for assessing the lower limbs in patients with. Phlebography by vein x‑ray using contrast medium was the gold standard for vein diagnosis by imaging for decades. Turning now to pvr, the gold standard investigation has been shown to be the transvaginal venous duplex ultrasound scan. Through inspection and. Gold Standard Test For Varicose Veins.
From www.veinhealth.com.au
Ultrasound A crucial diagnostic test for varicose and spider veins Gold Standard Test For Varicose Veins Phlebography by vein x‑ray using contrast medium was the gold standard for vein diagnosis by imaging for decades. There is a clear worldwide trend toward less invasive methods of treatment. Randomized clinical trial comparing endovenous laser ablation with surgery for the treatment of primary great saphenous varicose. Turning now to pvr, the gold standard investigation has been shown to be. Gold Standard Test For Varicose Veins.
From ar.inspiredpencil.com
Trendelenburg Test For Varicose Veins Gold Standard Test For Varicose Veins Phlebography by vein x‑ray using contrast medium was the gold standard for vein diagnosis by imaging for decades. Duplex ultrasound scanning is now the gold standard and first diagnostic test for assessing the lower limbs in patients with. Turning now to pvr, the gold standard investigation has been shown to be the transvaginal venous duplex ultrasound scan. Randomized clinical trial. Gold Standard Test For Varicose Veins.
From thesecretveinclinic.com
San Diego Varicose Vein Treatment The Secret Vein Clinic in La Jolla, CA Gold Standard Test For Varicose Veins Through inspection and palpation, the examiner should note the size and distribution of varicose veins, the presence and type of edema, and the presence of skin. Randomized clinical trial comparing endovenous laser ablation with surgery for the treatment of primary great saphenous varicose. There is a clear worldwide trend toward less invasive methods of treatment. Turning now to pvr, the. Gold Standard Test For Varicose Veins.
From toplaserclinic.com
4 Diagnostic test for varicose veins Top Laser Clinic Gold Standard Test For Varicose Veins Duplex ultrasound scanning is now the gold standard and first diagnostic test for assessing the lower limbs in patients with. Through inspection and palpation, the examiner should note the size and distribution of varicose veins, the presence and type of edema, and the presence of skin. Randomized clinical trial comparing endovenous laser ablation with surgery for the treatment of primary. Gold Standard Test For Varicose Veins.
From www.trufflesveinspecialists.com
Is The Gold Standard Causing Misdiagnosis Varicose Vein Treatment Gold Standard Test For Varicose Veins Through inspection and palpation, the examiner should note the size and distribution of varicose veins, the presence and type of edema, and the presence of skin. There is a clear worldwide trend toward less invasive methods of treatment. While open surgery remains the ‘gold standard’, most veins can be treated successfully with a range of options. Duplex ultrasound scanning is. Gold Standard Test For Varicose Veins.
From www.vascularcures.org
Varicose Veins The Foundation to Advance Vascular Cures Gold Standard Test For Varicose Veins Through inspection and palpation, the examiner should note the size and distribution of varicose veins, the presence and type of edema, and the presence of skin. Duplex ultrasound scanning is now the gold standard and first diagnostic test for assessing the lower limbs in patients with. While open surgery remains the ‘gold standard’, most veins can be treated successfully with. Gold Standard Test For Varicose Veins.
From www.semanticscholar.org
Figure 1 from Vascular Ultrasound Exam for Varicose Veins . Importance Gold Standard Test For Varicose Veins Randomized clinical trial comparing endovenous laser ablation with surgery for the treatment of primary great saphenous varicose. While open surgery remains the ‘gold standard’, most veins can be treated successfully with a range of options. Phlebography by vein x‑ray using contrast medium was the gold standard for vein diagnosis by imaging for decades. Turning now to pvr, the gold standard. Gold Standard Test For Varicose Veins.
From www.youtube.com
Examination of Varicose Vein for MBBS/ MS Surgery medical students Gold Standard Test For Varicose Veins Duplex ultrasound scanning is now the gold standard and first diagnostic test for assessing the lower limbs in patients with. Phlebography by vein x‑ray using contrast medium was the gold standard for vein diagnosis by imaging for decades. There is a clear worldwide trend toward less invasive methods of treatment. While open surgery remains the ‘gold standard’, most veins can. Gold Standard Test For Varicose Veins.
From thewhiteleyclinic.co.uk
Home Test for Varicose Veins The Whiteley Clinic Gold Standard Test For Varicose Veins Phlebography by vein x‑ray using contrast medium was the gold standard for vein diagnosis by imaging for decades. Turning now to pvr, the gold standard investigation has been shown to be the transvaginal venous duplex ultrasound scan. While open surgery remains the ‘gold standard’, most veins can be treated successfully with a range of options. Duplex ultrasound scanning is now. Gold Standard Test For Varicose Veins.
From www.youtube.com
Army varicose veins medical test VERICOS Veins kya Hota Hai?varicose Gold Standard Test For Varicose Veins Phlebography by vein x‑ray using contrast medium was the gold standard for vein diagnosis by imaging for decades. Duplex ultrasound scanning is now the gold standard and first diagnostic test for assessing the lower limbs in patients with. There is a clear worldwide trend toward less invasive methods of treatment. Through inspection and palpation, the examiner should note the size. Gold Standard Test For Varicose Veins.
From slidetodoc.com
VARICOSE VEINS DEFINITION When a vein dilated Gold Standard Test For Varicose Veins Phlebography by vein x‑ray using contrast medium was the gold standard for vein diagnosis by imaging for decades. Randomized clinical trial comparing endovenous laser ablation with surgery for the treatment of primary great saphenous varicose. Turning now to pvr, the gold standard investigation has been shown to be the transvaginal venous duplex ultrasound scan. While open surgery remains the ‘gold. Gold Standard Test For Varicose Veins.
From www.pristyncare.com
Different Diagnostic Test Methods for Varicose Veins with Their Costs Gold Standard Test For Varicose Veins Turning now to pvr, the gold standard investigation has been shown to be the transvaginal venous duplex ultrasound scan. There is a clear worldwide trend toward less invasive methods of treatment. Phlebography by vein x‑ray using contrast medium was the gold standard for vein diagnosis by imaging for decades. Through inspection and palpation, the examiner should note the size and. Gold Standard Test For Varicose Veins.