What Does A Dog With Arthritis Look Like . If you notice lameness (difficulty walking, difficulty getting up or limping) particularly after. Are there treatments available for arthritis in. You'll provide information about your dog's symptoms and any changes in their behavior or activity levels. common symptoms of arthritis in dogs include stiffness, favoring an arm or leg, and a general lack of energy. Jerry klein, akc’s chief veterinarian, reminds us that signs of arthritis in dogs can include: arthritis in dogs is a challenging condition, but with proper management, you can help your dog lead a more comfortable and. if you suspect your dog may be exhibiting signs of osteoarthritis, it is important to have your dog evaluated by a veterinarian, who will perform a full. here's what the process typically looks like: Difficulty or reluctance to stand from a lying. if your veterinarian tells you that your dog has arthritis, what does that mean for your dog? The vet will carefully examine your dog, checking their joints, movement, and overall condition for signs of arthritis.
from caninearthritis.org
common symptoms of arthritis in dogs include stiffness, favoring an arm or leg, and a general lack of energy. You'll provide information about your dog's symptoms and any changes in their behavior or activity levels. Are there treatments available for arthritis in. Jerry klein, akc’s chief veterinarian, reminds us that signs of arthritis in dogs can include: arthritis in dogs is a challenging condition, but with proper management, you can help your dog lead a more comfortable and. if your veterinarian tells you that your dog has arthritis, what does that mean for your dog? here's what the process typically looks like: The vet will carefully examine your dog, checking their joints, movement, and overall condition for signs of arthritis. Difficulty or reluctance to stand from a lying. if you suspect your dog may be exhibiting signs of osteoarthritis, it is important to have your dog evaluated by a veterinarian, who will perform a full.
Dog Arthritis Canine Arthritis Resources and Education Arthritis in
What Does A Dog With Arthritis Look Like The vet will carefully examine your dog, checking their joints, movement, and overall condition for signs of arthritis. Jerry klein, akc’s chief veterinarian, reminds us that signs of arthritis in dogs can include: Are there treatments available for arthritis in. arthritis in dogs is a challenging condition, but with proper management, you can help your dog lead a more comfortable and. if you suspect your dog may be exhibiting signs of osteoarthritis, it is important to have your dog evaluated by a veterinarian, who will perform a full. common symptoms of arthritis in dogs include stiffness, favoring an arm or leg, and a general lack of energy. You'll provide information about your dog's symptoms and any changes in their behavior or activity levels. if your veterinarian tells you that your dog has arthritis, what does that mean for your dog? The vet will carefully examine your dog, checking their joints, movement, and overall condition for signs of arthritis. Difficulty or reluctance to stand from a lying. If you notice lameness (difficulty walking, difficulty getting up or limping) particularly after. here's what the process typically looks like:
From www.pinterest.com
Arthritis in a Dog What You Need to Know Senior dog health, Dogs What Does A Dog With Arthritis Look Like common symptoms of arthritis in dogs include stiffness, favoring an arm or leg, and a general lack of energy. The vet will carefully examine your dog, checking their joints, movement, and overall condition for signs of arthritis. Difficulty or reluctance to stand from a lying. if your veterinarian tells you that your dog has arthritis, what does that. What Does A Dog With Arthritis Look Like.
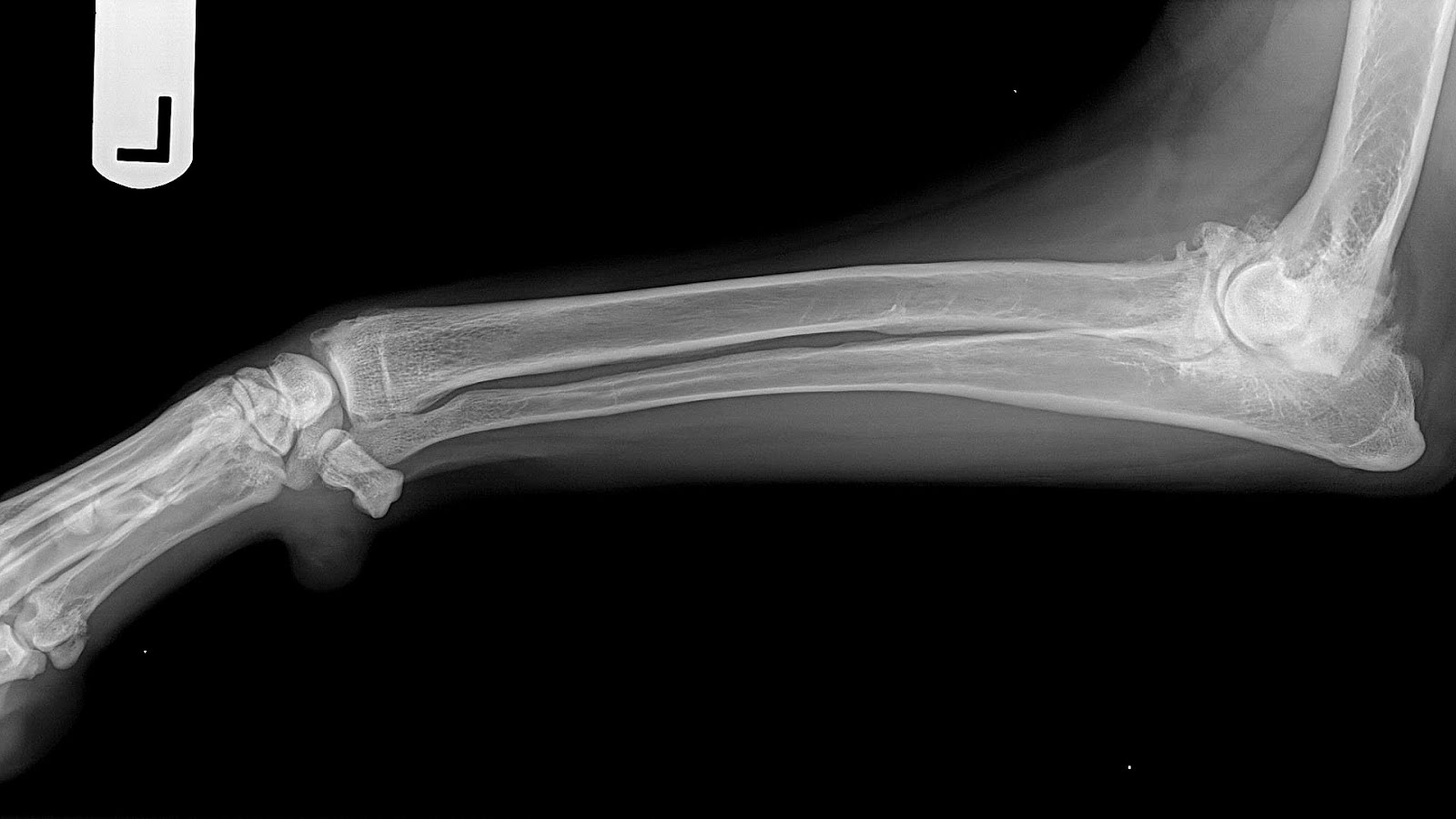
From animalife.co.uk
Dog Arthirits Animalife What Does A Dog With Arthritis Look Like arthritis in dogs is a challenging condition, but with proper management, you can help your dog lead a more comfortable and. Jerry klein, akc’s chief veterinarian, reminds us that signs of arthritis in dogs can include: if your veterinarian tells you that your dog has arthritis, what does that mean for your dog? You'll provide information about your. What Does A Dog With Arthritis Look Like.
From animalia-life.club
Arthritis In Dogs What Is It And How To Help Your Canine What Does A Dog With Arthritis Look Like if you suspect your dog may be exhibiting signs of osteoarthritis, it is important to have your dog evaluated by a veterinarian, who will perform a full. Are there treatments available for arthritis in. arthritis in dogs is a challenging condition, but with proper management, you can help your dog lead a more comfortable and. The vet will. What Does A Dog With Arthritis Look Like.
From alldogtales.com
How to Manage and Treat Arthritis in Dogs What Does A Dog With Arthritis Look Like Difficulty or reluctance to stand from a lying. if your veterinarian tells you that your dog has arthritis, what does that mean for your dog? If you notice lameness (difficulty walking, difficulty getting up or limping) particularly after. The vet will carefully examine your dog, checking their joints, movement, and overall condition for signs of arthritis. arthritis in. What Does A Dog With Arthritis Look Like.
From caninearthritis.org
Dog Arthritis Canine Arthritis Resources and Education Arthritis in What Does A Dog With Arthritis Look Like Difficulty or reluctance to stand from a lying. here's what the process typically looks like: common symptoms of arthritis in dogs include stiffness, favoring an arm or leg, and a general lack of energy. if your veterinarian tells you that your dog has arthritis, what does that mean for your dog? Are there treatments available for arthritis. What Does A Dog With Arthritis Look Like.
From www.natural-dog-health-remedies.com
Dog Arthritis Symptoms, Causes, Treatment What Does A Dog With Arthritis Look Like Jerry klein, akc’s chief veterinarian, reminds us that signs of arthritis in dogs can include: Are there treatments available for arthritis in. Difficulty or reluctance to stand from a lying. common symptoms of arthritis in dogs include stiffness, favoring an arm or leg, and a general lack of energy. The vet will carefully examine your dog, checking their joints,. What Does A Dog With Arthritis Look Like.
From canna-pet.com
Dog Arthritis Symptoms & Natural Remedies CannaPet® What Does A Dog With Arthritis Look Like If you notice lameness (difficulty walking, difficulty getting up or limping) particularly after. common symptoms of arthritis in dogs include stiffness, favoring an arm or leg, and a general lack of energy. You'll provide information about your dog's symptoms and any changes in their behavior or activity levels. if your veterinarian tells you that your dog has arthritis,. What Does A Dog With Arthritis Look Like.
From www.doglopedix.com
How to Spot the Early Signs of Dog Arthritis Doglopedix What Does A Dog With Arthritis Look Like Are there treatments available for arthritis in. common symptoms of arthritis in dogs include stiffness, favoring an arm or leg, and a general lack of energy. You'll provide information about your dog's symptoms and any changes in their behavior or activity levels. Jerry klein, akc’s chief veterinarian, reminds us that signs of arthritis in dogs can include: Difficulty or. What Does A Dog With Arthritis Look Like.
From shepherddogsite.com
How Long Can a Dog Live With Arthritis shepherddogsite What Does A Dog With Arthritis Look Like if your veterinarian tells you that your dog has arthritis, what does that mean for your dog? arthritis in dogs is a challenging condition, but with proper management, you can help your dog lead a more comfortable and. Are there treatments available for arthritis in. Difficulty or reluctance to stand from a lying. Jerry klein, akc’s chief veterinarian,. What Does A Dog With Arthritis Look Like.
From www.canadapetcare.com
Arthritis in Dogs A Guide for Pet Parents CanadaPetCare Blog What Does A Dog With Arthritis Look Like if your veterinarian tells you that your dog has arthritis, what does that mean for your dog? common symptoms of arthritis in dogs include stiffness, favoring an arm or leg, and a general lack of energy. Difficulty or reluctance to stand from a lying. The vet will carefully examine your dog, checking their joints, movement, and overall condition. What Does A Dog With Arthritis Look Like.
From animalia-life.club
Arthritis In Dogs What Is It And How To Help Your Canine What Does A Dog With Arthritis Look Like Jerry klein, akc’s chief veterinarian, reminds us that signs of arthritis in dogs can include: Difficulty or reluctance to stand from a lying. The vet will carefully examine your dog, checking their joints, movement, and overall condition for signs of arthritis. You'll provide information about your dog's symptoms and any changes in their behavior or activity levels. Are there treatments. What Does A Dog With Arthritis Look Like.
From www.dgpforpets.com
Does your Dog have Arthritis? DGP For Pets What Does A Dog With Arthritis Look Like Are there treatments available for arthritis in. You'll provide information about your dog's symptoms and any changes in their behavior or activity levels. if you suspect your dog may be exhibiting signs of osteoarthritis, it is important to have your dog evaluated by a veterinarian, who will perform a full. If you notice lameness (difficulty walking, difficulty getting up. What Does A Dog With Arthritis Look Like.
From animalcarevets.com
Arthritis and your pet Animal Care Clinic What Does A Dog With Arthritis Look Like You'll provide information about your dog's symptoms and any changes in their behavior or activity levels. if your veterinarian tells you that your dog has arthritis, what does that mean for your dog? if you suspect your dog may be exhibiting signs of osteoarthritis, it is important to have your dog evaluated by a veterinarian, who will perform. What Does A Dog With Arthritis Look Like.
From topdogtips.com
Dog Arthritis Massage Its Benefits and How to Do It Top Dog Tips What Does A Dog With Arthritis Look Like if your veterinarian tells you that your dog has arthritis, what does that mean for your dog? Jerry klein, akc’s chief veterinarian, reminds us that signs of arthritis in dogs can include: here's what the process typically looks like: arthritis in dogs is a challenging condition, but with proper management, you can help your dog lead a. What Does A Dog With Arthritis Look Like.
From lynbrookvet.com.au
Arthritis in Dogs Lynbrook Vet What Does A Dog With Arthritis Look Like here's what the process typically looks like: Difficulty or reluctance to stand from a lying. You'll provide information about your dog's symptoms and any changes in their behavior or activity levels. If you notice lameness (difficulty walking, difficulty getting up or limping) particularly after. arthritis in dogs is a challenging condition, but with proper management, you can help. What Does A Dog With Arthritis Look Like.
From www.pinterest.com
Dog Arthritis Signs and Symptoms Infographic Video Tutorial Dog What Does A Dog With Arthritis Look Like Are there treatments available for arthritis in. You'll provide information about your dog's symptoms and any changes in their behavior or activity levels. If you notice lameness (difficulty walking, difficulty getting up or limping) particularly after. arthritis in dogs is a challenging condition, but with proper management, you can help your dog lead a more comfortable and. The vet. What Does A Dog With Arthritis Look Like.
From www.thekennelclub.org.uk
Arthritis in dogs Dog health The Kennel Club What Does A Dog With Arthritis Look Like arthritis in dogs is a challenging condition, but with proper management, you can help your dog lead a more comfortable and. If you notice lameness (difficulty walking, difficulty getting up or limping) particularly after. if you suspect your dog may be exhibiting signs of osteoarthritis, it is important to have your dog evaluated by a veterinarian, who will. What Does A Dog With Arthritis Look Like.
From www.budgetpetsupplies.co.za
Arthritis in Dogs What Does A Dog With Arthritis Look Like common symptoms of arthritis in dogs include stiffness, favoring an arm or leg, and a general lack of energy. The vet will carefully examine your dog, checking their joints, movement, and overall condition for signs of arthritis. arthritis in dogs is a challenging condition, but with proper management, you can help your dog lead a more comfortable and.. What Does A Dog With Arthritis Look Like.
From www.thedogdaily.com
Latest Treatments for Dogs with Arthritis What's Next? What Does A Dog With Arthritis Look Like Are there treatments available for arthritis in. if you suspect your dog may be exhibiting signs of osteoarthritis, it is important to have your dog evaluated by a veterinarian, who will perform a full. here's what the process typically looks like: arthritis in dogs is a challenging condition, but with proper management, you can help your dog. What Does A Dog With Arthritis Look Like.
From bothellpethospital.com
Understanding Arthritis in Dogs and Cats Bothell Pet Hospital What Does A Dog With Arthritis Look Like common symptoms of arthritis in dogs include stiffness, favoring an arm or leg, and a general lack of energy. if your veterinarian tells you that your dog has arthritis, what does that mean for your dog? If you notice lameness (difficulty walking, difficulty getting up or limping) particularly after. Jerry klein, akc’s chief veterinarian, reminds us that signs. What Does A Dog With Arthritis Look Like.
From www.youtube.com
How to Help Your Dog With Arthritis YouTube What Does A Dog With Arthritis Look Like The vet will carefully examine your dog, checking their joints, movement, and overall condition for signs of arthritis. arthritis in dogs is a challenging condition, but with proper management, you can help your dog lead a more comfortable and. if your veterinarian tells you that your dog has arthritis, what does that mean for your dog? Difficulty or. What Does A Dog With Arthritis Look Like.
From www.youtube.com
SYMPTOMS AND TREATMENT OF ARTHRITIS IN DOGS YouTube What Does A Dog With Arthritis Look Like Are there treatments available for arthritis in. The vet will carefully examine your dog, checking their joints, movement, and overall condition for signs of arthritis. Jerry klein, akc’s chief veterinarian, reminds us that signs of arthritis in dogs can include: If you notice lameness (difficulty walking, difficulty getting up or limping) particularly after. arthritis in dogs is a challenging. What Does A Dog With Arthritis Look Like.
From ourpetshealth.com
How to Know Your Dog has Arthritis top 10 symptoms — Our Pet's Health What Does A Dog With Arthritis Look Like arthritis in dogs is a challenging condition, but with proper management, you can help your dog lead a more comfortable and. The vet will carefully examine your dog, checking their joints, movement, and overall condition for signs of arthritis. if your veterinarian tells you that your dog has arthritis, what does that mean for your dog? Difficulty or. What Does A Dog With Arthritis Look Like.
From www.top10homeremedies.com
How to Help an Arthritic Dog Top 10 Home Remedies What Does A Dog With Arthritis Look Like here's what the process typically looks like: common symptoms of arthritis in dogs include stiffness, favoring an arm or leg, and a general lack of energy. Jerry klein, akc’s chief veterinarian, reminds us that signs of arthritis in dogs can include: If you notice lameness (difficulty walking, difficulty getting up or limping) particularly after. arthritis in dogs. What Does A Dog With Arthritis Look Like.
From www.oldfarmvet.com
7 Common Signs of Arthritis in Dogs Old Farm Veterinary Hospital What Does A Dog With Arthritis Look Like common symptoms of arthritis in dogs include stiffness, favoring an arm or leg, and a general lack of energy. if your veterinarian tells you that your dog has arthritis, what does that mean for your dog? if you suspect your dog may be exhibiting signs of osteoarthritis, it is important to have your dog evaluated by a. What Does A Dog With Arthritis Look Like.
From www.natural-dog-health-remedies.com
Dog Arthritis Symptoms, Causes, Treatment What Does A Dog With Arthritis Look Like The vet will carefully examine your dog, checking their joints, movement, and overall condition for signs of arthritis. Are there treatments available for arthritis in. if you suspect your dog may be exhibiting signs of osteoarthritis, it is important to have your dog evaluated by a veterinarian, who will perform a full. arthritis in dogs is a challenging. What Does A Dog With Arthritis Look Like.
From www.pinterest.com
Learn the Dog Arthritis Signs and symptoms. Our post includes an What Does A Dog With Arthritis Look Like Difficulty or reluctance to stand from a lying. You'll provide information about your dog's symptoms and any changes in their behavior or activity levels. Are there treatments available for arthritis in. If you notice lameness (difficulty walking, difficulty getting up or limping) particularly after. here's what the process typically looks like: The vet will carefully examine your dog, checking. What Does A Dog With Arthritis Look Like.
From www.youtube.com
6 Signs Your Dog Has Arthritis Arthritis In Dogs YouTube What Does A Dog With Arthritis Look Like You'll provide information about your dog's symptoms and any changes in their behavior or activity levels. Jerry klein, akc’s chief veterinarian, reminds us that signs of arthritis in dogs can include: Are there treatments available for arthritis in. if you suspect your dog may be exhibiting signs of osteoarthritis, it is important to have your dog evaluated by a. What Does A Dog With Arthritis Look Like.
From caringforaseniordog.com
Arthritis in a Dog What You Need to Know Caring for a Senior Dog What Does A Dog With Arthritis Look Like Difficulty or reluctance to stand from a lying. arthritis in dogs is a challenging condition, but with proper management, you can help your dog lead a more comfortable and. if you suspect your dog may be exhibiting signs of osteoarthritis, it is important to have your dog evaluated by a veterinarian, who will perform a full. You'll provide. What Does A Dog With Arthritis Look Like.
From store.parnell.com
Arthritis in Dogs A Guide for Pet Parents Glyde Mobility Chews What Does A Dog With Arthritis Look Like If you notice lameness (difficulty walking, difficulty getting up or limping) particularly after. common symptoms of arthritis in dogs include stiffness, favoring an arm or leg, and a general lack of energy. Jerry klein, akc’s chief veterinarian, reminds us that signs of arthritis in dogs can include: here's what the process typically looks like: Difficulty or reluctance to. What Does A Dog With Arthritis Look Like.
From dogschoices.blogspot.com
Severe Arthritis In Dogs Dog Choices What Does A Dog With Arthritis Look Like Difficulty or reluctance to stand from a lying. You'll provide information about your dog's symptoms and any changes in their behavior or activity levels. If you notice lameness (difficulty walking, difficulty getting up or limping) particularly after. Are there treatments available for arthritis in. common symptoms of arthritis in dogs include stiffness, favoring an arm or leg, and a. What Does A Dog With Arthritis Look Like.
From www.petcoach.co
Arthritis in Dogs PetCoach What Does A Dog With Arthritis Look Like The vet will carefully examine your dog, checking their joints, movement, and overall condition for signs of arthritis. Are there treatments available for arthritis in. arthritis in dogs is a challenging condition, but with proper management, you can help your dog lead a more comfortable and. common symptoms of arthritis in dogs include stiffness, favoring an arm or. What Does A Dog With Arthritis Look Like.
From missmollysays.com
A Vet’s Advice on How to Relieve Your Dog's Arthritis Miss Molly Says What Does A Dog With Arthritis Look Like if you suspect your dog may be exhibiting signs of osteoarthritis, it is important to have your dog evaluated by a veterinarian, who will perform a full. arthritis in dogs is a challenging condition, but with proper management, you can help your dog lead a more comfortable and. here's what the process typically looks like: The vet. What Does A Dog With Arthritis Look Like.
From rawznaturalpetfood.com
Arthritis in Dogs 7 Signs & Symptoms What Does A Dog With Arthritis Look Like Difficulty or reluctance to stand from a lying. Are there treatments available for arthritis in. Jerry klein, akc’s chief veterinarian, reminds us that signs of arthritis in dogs can include: if you suspect your dog may be exhibiting signs of osteoarthritis, it is important to have your dog evaluated by a veterinarian, who will perform a full. if. What Does A Dog With Arthritis Look Like.
From animalia-life.club
How Do You Know If Your Dog Has Arthritis What Does A Dog With Arthritis Look Like arthritis in dogs is a challenging condition, but with proper management, you can help your dog lead a more comfortable and. You'll provide information about your dog's symptoms and any changes in their behavior or activity levels. common symptoms of arthritis in dogs include stiffness, favoring an arm or leg, and a general lack of energy. If you. What Does A Dog With Arthritis Look Like.