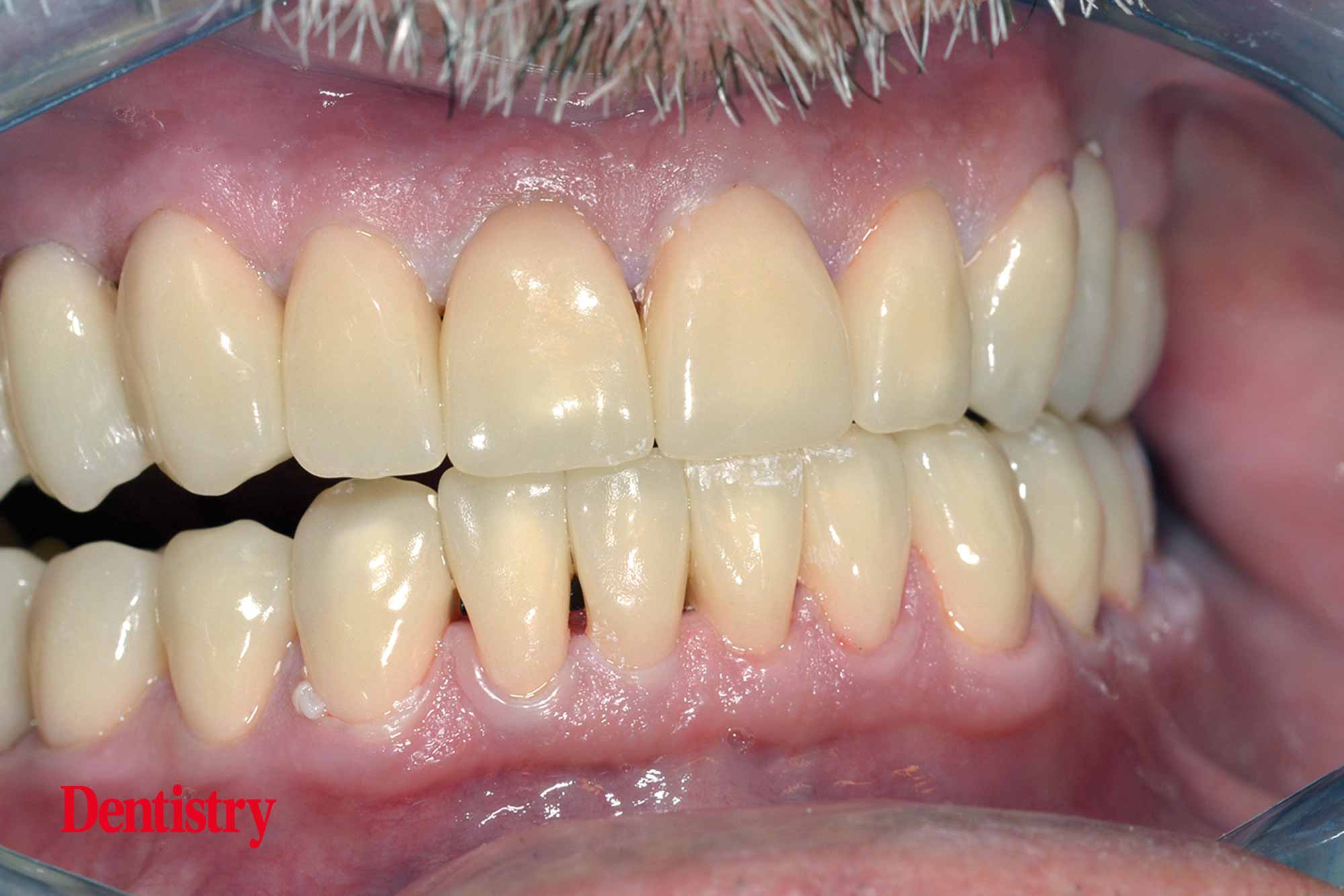
Cementation Of Crowns . When cemented prostheses are made on implants, the problem of cement residues is important and often associated with biological. Before initiating the crown cementation process, certain preparations are necessary to ensure optimal results. The stages of fitting and cementation of crowns are considered including:
from dentistry.co.uk
The stages of fitting and cementation of crowns are considered including: When cemented prostheses are made on implants, the problem of cement residues is important and often associated with biological. Before initiating the crown cementation process, certain preparations are necessary to ensure optimal results.
Cementation of crowns without chipping part one Dentistry
Cementation Of Crowns When cemented prostheses are made on implants, the problem of cement residues is important and often associated with biological. Before initiating the crown cementation process, certain preparations are necessary to ensure optimal results. When cemented prostheses are made on implants, the problem of cement residues is important and often associated with biological. The stages of fitting and cementation of crowns are considered including:
From www.youtube.com
How to Cement a Temporary Crown YouTube Cementation Of Crowns When cemented prostheses are made on implants, the problem of cement residues is important and often associated with biological. Before initiating the crown cementation process, certain preparations are necessary to ensure optimal results. The stages of fitting and cementation of crowns are considered including: Cementation Of Crowns.
From lifecrowns.com
Cementation Procedure Life™ Crowns is a leading provider of Dental Cementation Of Crowns The stages of fitting and cementation of crowns are considered including: When cemented prostheses are made on implants, the problem of cement residues is important and often associated with biological. Before initiating the crown cementation process, certain preparations are necessary to ensure optimal results. Cementation Of Crowns.
From dentistry.co.uk
Cementation of crowns without chipping part two Dentistry Cementation Of Crowns Before initiating the crown cementation process, certain preparations are necessary to ensure optimal results. When cemented prostheses are made on implants, the problem of cement residues is important and often associated with biological. The stages of fitting and cementation of crowns are considered including: Cementation Of Crowns.
From dentistry.co.uk
Cementation of crowns without chipping part two Dentistry Cementation Of Crowns Before initiating the crown cementation process, certain preparations are necessary to ensure optimal results. When cemented prostheses are made on implants, the problem of cement residues is important and often associated with biological. The stages of fitting and cementation of crowns are considered including: Cementation Of Crowns.
From dentistry.co.uk
Cementation of crowns without chipping part one Dentistry Cementation Of Crowns Before initiating the crown cementation process, certain preparations are necessary to ensure optimal results. When cemented prostheses are made on implants, the problem of cement residues is important and often associated with biological. The stages of fitting and cementation of crowns are considered including: Cementation Of Crowns.
From dentistry.co.uk
Cementation of crowns without chipping part one Dentistry Cementation Of Crowns Before initiating the crown cementation process, certain preparations are necessary to ensure optimal results. When cemented prostheses are made on implants, the problem of cement residues is important and often associated with biological. The stages of fitting and cementation of crowns are considered including: Cementation Of Crowns.
From dentistry.co.uk
Cementation of crowns without chipping part one Dentistry Cementation Of Crowns Before initiating the crown cementation process, certain preparations are necessary to ensure optimal results. When cemented prostheses are made on implants, the problem of cement residues is important and often associated with biological. The stages of fitting and cementation of crowns are considered including: Cementation Of Crowns.
From www.youtube.com
Zirconia Crown Cementation Insure Resin Cement YouTube Cementation Of Crowns Before initiating the crown cementation process, certain preparations are necessary to ensure optimal results. When cemented prostheses are made on implants, the problem of cement residues is important and often associated with biological. The stages of fitting and cementation of crowns are considered including: Cementation Of Crowns.
From dentistry.co.uk
Cementation of crowns without chipping part two Dentistry Cementation Of Crowns When cemented prostheses are made on implants, the problem of cement residues is important and often associated with biological. The stages of fitting and cementation of crowns are considered including: Before initiating the crown cementation process, certain preparations are necessary to ensure optimal results. Cementation Of Crowns.
From www.contacez.com
A Method of Cementation of Multiple Crowns — ContacEZ Cementation Of Crowns Before initiating the crown cementation process, certain preparations are necessary to ensure optimal results. When cemented prostheses are made on implants, the problem of cement residues is important and often associated with biological. The stages of fitting and cementation of crowns are considered including: Cementation Of Crowns.
From www.dentistry33.com
Cementation of zirconia crowns effectiveness of selfadhesive dual Cementation Of Crowns When cemented prostheses are made on implants, the problem of cement residues is important and often associated with biological. Before initiating the crown cementation process, certain preparations are necessary to ensure optimal results. The stages of fitting and cementation of crowns are considered including: Cementation Of Crowns.
From dentistry.co.uk
Cementation of crowns without chipping part one Dentistry Cementation Of Crowns When cemented prostheses are made on implants, the problem of cement residues is important and often associated with biological. The stages of fitting and cementation of crowns are considered including: Before initiating the crown cementation process, certain preparations are necessary to ensure optimal results. Cementation Of Crowns.
From www.youtube.com
GC FujiCEM 2 Easy cementation of a zirconia crown YouTube Cementation Of Crowns The stages of fitting and cementation of crowns are considered including: When cemented prostheses are made on implants, the problem of cement residues is important and often associated with biological. Before initiating the crown cementation process, certain preparations are necessary to ensure optimal results. Cementation Of Crowns.
From www.researchgate.net
Retraction cord placed at cementation of crowns to prevent cement Cementation Of Crowns The stages of fitting and cementation of crowns are considered including: When cemented prostheses are made on implants, the problem of cement residues is important and often associated with biological. Before initiating the crown cementation process, certain preparations are necessary to ensure optimal results. Cementation Of Crowns.
From www.slideshare.net
Cementation of Zirconia crowns Cementation Of Crowns Before initiating the crown cementation process, certain preparations are necessary to ensure optimal results. The stages of fitting and cementation of crowns are considered including: When cemented prostheses are made on implants, the problem of cement residues is important and often associated with biological. Cementation Of Crowns.
From dentistry.co.uk
Cementation of crowns without chipping part one Dentistry Cementation Of Crowns The stages of fitting and cementation of crowns are considered including: When cemented prostheses are made on implants, the problem of cement residues is important and often associated with biological. Before initiating the crown cementation process, certain preparations are necessary to ensure optimal results. Cementation Of Crowns.
From www.myzerodonto.com
Zirconia crowns cementation with resinmodified glassionomer cement Cementation Of Crowns When cemented prostheses are made on implants, the problem of cement residues is important and often associated with biological. The stages of fitting and cementation of crowns are considered including: Before initiating the crown cementation process, certain preparations are necessary to ensure optimal results. Cementation Of Crowns.
From www.researchgate.net
Schematics of cementation implant´s crown and the resinmatrix cement Cementation Of Crowns The stages of fitting and cementation of crowns are considered including: Before initiating the crown cementation process, certain preparations are necessary to ensure optimal results. When cemented prostheses are made on implants, the problem of cement residues is important and often associated with biological. Cementation Of Crowns.
From www.youtube.com
Successful Crown & Bridge Restoration From Preparation to Definitive Cementation Of Crowns Before initiating the crown cementation process, certain preparations are necessary to ensure optimal results. When cemented prostheses are made on implants, the problem of cement residues is important and often associated with biological. The stages of fitting and cementation of crowns are considered including: Cementation Of Crowns.
From dentistry.co.uk
Cementation of crowns without chipping part two Dentistry Cementation Of Crowns When cemented prostheses are made on implants, the problem of cement residues is important and often associated with biological. The stages of fitting and cementation of crowns are considered including: Before initiating the crown cementation process, certain preparations are necessary to ensure optimal results. Cementation Of Crowns.
From www.youtube.com
Cementation of a Lava™ all zirconia crown using RelyX™ Ultimate Clicker Cementation Of Crowns The stages of fitting and cementation of crowns are considered including: Before initiating the crown cementation process, certain preparations are necessary to ensure optimal results. When cemented prostheses are made on implants, the problem of cement residues is important and often associated with biological. Cementation Of Crowns.
From www.youtube.com
Complete the Definitive Cementation Procedure of a SingleUnit Crown Cementation Of Crowns The stages of fitting and cementation of crowns are considered including: Before initiating the crown cementation process, certain preparations are necessary to ensure optimal results. When cemented prostheses are made on implants, the problem of cement residues is important and often associated with biological. Cementation Of Crowns.
From www.myzerodonto.com
Zirconia crowns cementation with resinmodified glassionomer cement Cementation Of Crowns When cemented prostheses are made on implants, the problem of cement residues is important and often associated with biological. The stages of fitting and cementation of crowns are considered including: Before initiating the crown cementation process, certain preparations are necessary to ensure optimal results. Cementation Of Crowns.
From dentistry.co.uk
Cementation of crowns without chipping part two Dentistry Cementation Of Crowns The stages of fitting and cementation of crowns are considered including: Before initiating the crown cementation process, certain preparations are necessary to ensure optimal results. When cemented prostheses are made on implants, the problem of cement residues is important and often associated with biological. Cementation Of Crowns.
From tlzzirconia.blogspot.com
TLZ All Zirconia Crowns & Bridges Zirconia Cementation Update Cementation Of Crowns When cemented prostheses are made on implants, the problem of cement residues is important and often associated with biological. Before initiating the crown cementation process, certain preparations are necessary to ensure optimal results. The stages of fitting and cementation of crowns are considered including: Cementation Of Crowns.
From dentistry.co.uk
Cementation of crowns without chipping part two Dentistry Cementation Of Crowns Before initiating the crown cementation process, certain preparations are necessary to ensure optimal results. The stages of fitting and cementation of crowns are considered including: When cemented prostheses are made on implants, the problem of cement residues is important and often associated with biological. Cementation Of Crowns.
From dentistry.co.uk
Cementation of crowns without chipping part two Dentistry Cementation Of Crowns When cemented prostheses are made on implants, the problem of cement residues is important and often associated with biological. The stages of fitting and cementation of crowns are considered including: Before initiating the crown cementation process, certain preparations are necessary to ensure optimal results. Cementation Of Crowns.
From dentistry.co.uk
Cementation of crowns without chipping part one Dentistry Cementation Of Crowns The stages of fitting and cementation of crowns are considered including: When cemented prostheses are made on implants, the problem of cement residues is important and often associated with biological. Before initiating the crown cementation process, certain preparations are necessary to ensure optimal results. Cementation Of Crowns.
From dentistry.co.uk
Cementation of crowns without chipping part two Dentistry Cementation Of Crowns When cemented prostheses are made on implants, the problem of cement residues is important and often associated with biological. Before initiating the crown cementation process, certain preparations are necessary to ensure optimal results. The stages of fitting and cementation of crowns are considered including: Cementation Of Crowns.
From www.youtube.com
Cementation step by step procedure in fixed prosthodontics YouTube Cementation Of Crowns The stages of fitting and cementation of crowns are considered including: When cemented prostheses are made on implants, the problem of cement residues is important and often associated with biological. Before initiating the crown cementation process, certain preparations are necessary to ensure optimal results. Cementation Of Crowns.
From www.myzerodonto.com
Zirconia crowns cementation with resinmodified glassionomer cement Cementation Of Crowns Before initiating the crown cementation process, certain preparations are necessary to ensure optimal results. The stages of fitting and cementation of crowns are considered including: When cemented prostheses are made on implants, the problem of cement residues is important and often associated with biological. Cementation Of Crowns.
From dentistry.co.uk
Cementation of crowns without chipping part one Dentistry Cementation Of Crowns Before initiating the crown cementation process, certain preparations are necessary to ensure optimal results. When cemented prostheses are made on implants, the problem of cement residues is important and often associated with biological. The stages of fitting and cementation of crowns are considered including: Cementation Of Crowns.
From dentistry.co.uk
Cementation of crowns without chipping part one Dentistry Cementation Of Crowns Before initiating the crown cementation process, certain preparations are necessary to ensure optimal results. When cemented prostheses are made on implants, the problem of cement residues is important and often associated with biological. The stages of fitting and cementation of crowns are considered including: Cementation Of Crowns.
From dentistry.co.uk
Cementation of crowns without chipping part two Dentistry Cementation Of Crowns When cemented prostheses are made on implants, the problem of cement residues is important and often associated with biological. The stages of fitting and cementation of crowns are considered including: Before initiating the crown cementation process, certain preparations are necessary to ensure optimal results. Cementation Of Crowns.
From www.dentistrytoday.com
Ceramic Restorations Guidelines for Cementing or Bonding Cementation Of Crowns When cemented prostheses are made on implants, the problem of cement residues is important and often associated with biological. Before initiating the crown cementation process, certain preparations are necessary to ensure optimal results. The stages of fitting and cementation of crowns are considered including: Cementation Of Crowns.