Maryland Bridge Design . A 'quick reference' summary of things to consider. Learn how to improve survival and aesthetics of resin bonded bridges. Esthetics, occlusion, lab and doctor experience all impact maryland bridges final design. A maryland bridge is a dental restoration that replaces a missing tooth. How one designs a maryland bridge depends on several factors. The main difference is that a maryland bridge attaches to metal wings that are bonded to the backs of the supporting teeth. It functions similarly to a conventional dental bridge in that it involves a false tooth supported by neighboring teeth.
from www.clarencetam.co.nz
Esthetics, occlusion, lab and doctor experience all impact maryland bridges final design. The main difference is that a maryland bridge attaches to metal wings that are bonded to the backs of the supporting teeth. How one designs a maryland bridge depends on several factors. A maryland bridge is a dental restoration that replaces a missing tooth. A 'quick reference' summary of things to consider. Learn how to improve survival and aesthetics of resin bonded bridges. It functions similarly to a conventional dental bridge in that it involves a false tooth supported by neighboring teeth.
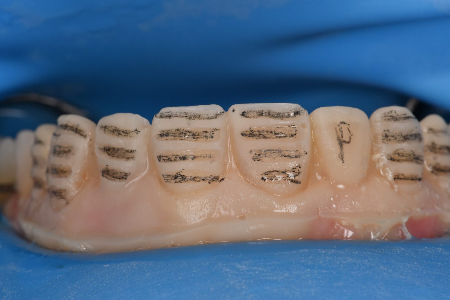
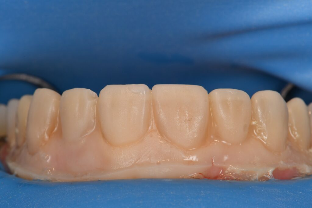
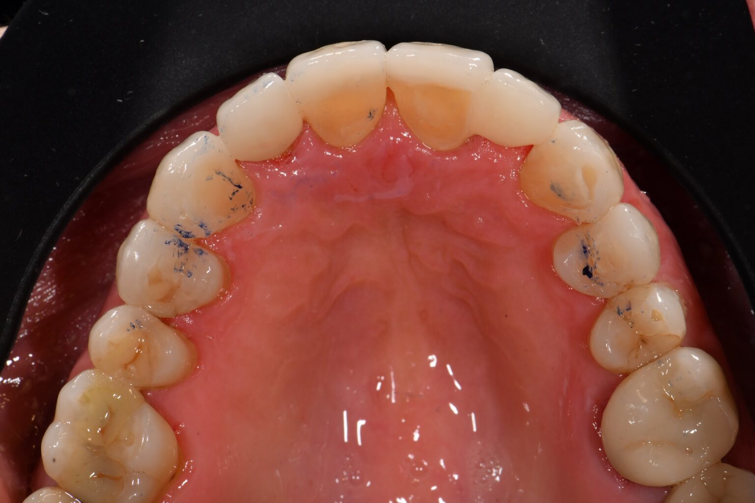
Orthodontics and Veneers with a Maryland Bridge design
Maryland Bridge Design The main difference is that a maryland bridge attaches to metal wings that are bonded to the backs of the supporting teeth. It functions similarly to a conventional dental bridge in that it involves a false tooth supported by neighboring teeth. How one designs a maryland bridge depends on several factors. A 'quick reference' summary of things to consider. A maryland bridge is a dental restoration that replaces a missing tooth. The main difference is that a maryland bridge attaches to metal wings that are bonded to the backs of the supporting teeth. Esthetics, occlusion, lab and doctor experience all impact maryland bridges final design. Learn how to improve survival and aesthetics of resin bonded bridges.
From www.youtube.com
How to design modified Maryland bridge YouTube Maryland Bridge Design A 'quick reference' summary of things to consider. How one designs a maryland bridge depends on several factors. A maryland bridge is a dental restoration that replaces a missing tooth. Esthetics, occlusion, lab and doctor experience all impact maryland bridges final design. Learn how to improve survival and aesthetics of resin bonded bridges. The main difference is that a maryland. Maryland Bridge Design.
From www.youtube.com
Mandibular Anterior Maryland Bridge Dental Minute with Steven T Maryland Bridge Design A 'quick reference' summary of things to consider. A maryland bridge is a dental restoration that replaces a missing tooth. The main difference is that a maryland bridge attaches to metal wings that are bonded to the backs of the supporting teeth. It functions similarly to a conventional dental bridge in that it involves a false tooth supported by neighboring. Maryland Bridge Design.
From www.researchgate.net
(PDF) The Origin of the Maryland Bridge Maryland Bridge Design The main difference is that a maryland bridge attaches to metal wings that are bonded to the backs of the supporting teeth. A 'quick reference' summary of things to consider. It functions similarly to a conventional dental bridge in that it involves a false tooth supported by neighboring teeth. Esthetics, occlusion, lab and doctor experience all impact maryland bridges final. Maryland Bridge Design.
From www.youtube.com
3Shape Dental System Maryland Bridge Design YouTube Maryland Bridge Design The main difference is that a maryland bridge attaches to metal wings that are bonded to the backs of the supporting teeth. A maryland bridge is a dental restoration that replaces a missing tooth. Learn how to improve survival and aesthetics of resin bonded bridges. Esthetics, occlusion, lab and doctor experience all impact maryland bridges final design. How one designs. Maryland Bridge Design.
From www.facialart.com
Maryland Bridge Conversion to an ImplantSupported Crown Maryland Maryland Bridge Design It functions similarly to a conventional dental bridge in that it involves a false tooth supported by neighboring teeth. Esthetics, occlusion, lab and doctor experience all impact maryland bridges final design. A maryland bridge is a dental restoration that replaces a missing tooth. How one designs a maryland bridge depends on several factors. A 'quick reference' summary of things to. Maryland Bridge Design.
From www.msdental.com.au
Dental Bridge Cardiff Singleton Fletcher Newcastle Maryland Bridge Design The main difference is that a maryland bridge attaches to metal wings that are bonded to the backs of the supporting teeth. A 'quick reference' summary of things to consider. A maryland bridge is a dental restoration that replaces a missing tooth. How one designs a maryland bridge depends on several factors. Learn how to improve survival and aesthetics of. Maryland Bridge Design.
From xdentcenter.com
Gallery Xdent Center Maryland Bridge Design It functions similarly to a conventional dental bridge in that it involves a false tooth supported by neighboring teeth. A maryland bridge is a dental restoration that replaces a missing tooth. Esthetics, occlusion, lab and doctor experience all impact maryland bridges final design. A 'quick reference' summary of things to consider. The main difference is that a maryland bridge attaches. Maryland Bridge Design.
From www.midentalclinic.com
What is a Dental Bridge? Mi DENTAL Maryland Bridge Design It functions similarly to a conventional dental bridge in that it involves a false tooth supported by neighboring teeth. How one designs a maryland bridge depends on several factors. Esthetics, occlusion, lab and doctor experience all impact maryland bridges final design. Learn how to improve survival and aesthetics of resin bonded bridges. The main difference is that a maryland bridge. Maryland Bridge Design.
From pixels.com
Key Bridge Baltimore, Maryland Photograph by Arlane Crump Pixels Maryland Bridge Design A 'quick reference' summary of things to consider. Learn how to improve survival and aesthetics of resin bonded bridges. It functions similarly to a conventional dental bridge in that it involves a false tooth supported by neighboring teeth. The main difference is that a maryland bridge attaches to metal wings that are bonded to the backs of the supporting teeth.. Maryland Bridge Design.
From www.ajodo.org
Supplemental Materials for The Maryland bridge retainer A modification Maryland Bridge Design It functions similarly to a conventional dental bridge in that it involves a false tooth supported by neighboring teeth. A 'quick reference' summary of things to consider. A maryland bridge is a dental restoration that replaces a missing tooth. Learn how to improve survival and aesthetics of resin bonded bridges. How one designs a maryland bridge depends on several factors.. Maryland Bridge Design.
From www.clarencetam.co.nz
Orthodontics and Veneers with a Maryland Bridge design Maryland Bridge Design Learn how to improve survival and aesthetics of resin bonded bridges. A maryland bridge is a dental restoration that replaces a missing tooth. A 'quick reference' summary of things to consider. How one designs a maryland bridge depends on several factors. It functions similarly to a conventional dental bridge in that it involves a false tooth supported by neighboring teeth.. Maryland Bridge Design.
From www.youtube.com
Exocad Maryland Bridge Design (엑소캐드 매릴랜드 브릿지 디자인 방법) YouTube Maryland Bridge Design Learn how to improve survival and aesthetics of resin bonded bridges. The main difference is that a maryland bridge attaches to metal wings that are bonded to the backs of the supporting teeth. How one designs a maryland bridge depends on several factors. It functions similarly to a conventional dental bridge in that it involves a false tooth supported by. Maryland Bridge Design.
From www.youtube.com
inLAB 4.0 Maryland Bridge with Anatomic Connectors YouTube Maryland Bridge Design Esthetics, occlusion, lab and doctor experience all impact maryland bridges final design. It functions similarly to a conventional dental bridge in that it involves a false tooth supported by neighboring teeth. The main difference is that a maryland bridge attaches to metal wings that are bonded to the backs of the supporting teeth. How one designs a maryland bridge depends. Maryland Bridge Design.
From dentocaredentalclinic.blogspot.com
DENTO CARE DENTAL CLINICS MARYLAND BRIDGE Maryland Bridge Design It functions similarly to a conventional dental bridge in that it involves a false tooth supported by neighboring teeth. Esthetics, occlusion, lab and doctor experience all impact maryland bridges final design. The main difference is that a maryland bridge attaches to metal wings that are bonded to the backs of the supporting teeth. Learn how to improve survival and aesthetics. Maryland Bridge Design.
From www.youtube.com
Maryland Bridge Design YouTube Maryland Bridge Design A maryland bridge is a dental restoration that replaces a missing tooth. Learn how to improve survival and aesthetics of resin bonded bridges. Esthetics, occlusion, lab and doctor experience all impact maryland bridges final design. A 'quick reference' summary of things to consider. It functions similarly to a conventional dental bridge in that it involves a false tooth supported by. Maryland Bridge Design.
From www.youtube.com
Maryland Bridge Indirect Procedure YouTube Maryland Bridge Design A maryland bridge is a dental restoration that replaces a missing tooth. The main difference is that a maryland bridge attaches to metal wings that are bonded to the backs of the supporting teeth. A 'quick reference' summary of things to consider. It functions similarly to a conventional dental bridge in that it involves a false tooth supported by neighboring. Maryland Bridge Design.
From www.youtube.com
Maryland Bridge YouTube Maryland Bridge Design A maryland bridge is a dental restoration that replaces a missing tooth. It functions similarly to a conventional dental bridge in that it involves a false tooth supported by neighboring teeth. A 'quick reference' summary of things to consider. Learn how to improve survival and aesthetics of resin bonded bridges. Esthetics, occlusion, lab and doctor experience all impact maryland bridges. Maryland Bridge Design.
From www.youtube.com
Tutorial Meshmixer Adhesion Bridge (Maryland bridge) design YouTube Maryland Bridge Design A 'quick reference' summary of things to consider. Learn how to improve survival and aesthetics of resin bonded bridges. How one designs a maryland bridge depends on several factors. The main difference is that a maryland bridge attaches to metal wings that are bonded to the backs of the supporting teeth. A maryland bridge is a dental restoration that replaces. Maryland Bridge Design.
From www.youtube.com
How to order Maryland Bridge Design in 3Shape Dental System 2016 YouTube Maryland Bridge Design Learn how to improve survival and aesthetics of resin bonded bridges. How one designs a maryland bridge depends on several factors. A maryland bridge is a dental restoration that replaces a missing tooth. The main difference is that a maryland bridge attaches to metal wings that are bonded to the backs of the supporting teeth. It functions similarly to a. Maryland Bridge Design.
From www.youtube.com
Maryland Bridge YouTube Maryland Bridge Design A 'quick reference' summary of things to consider. How one designs a maryland bridge depends on several factors. A maryland bridge is a dental restoration that replaces a missing tooth. Learn how to improve survival and aesthetics of resin bonded bridges. Esthetics, occlusion, lab and doctor experience all impact maryland bridges final design. It functions similarly to a conventional dental. Maryland Bridge Design.
From www.youtube.com
Maryland Bridge Resin Bonded Bridge YouTube Maryland Bridge Design A 'quick reference' summary of things to consider. Learn how to improve survival and aesthetics of resin bonded bridges. The main difference is that a maryland bridge attaches to metal wings that are bonded to the backs of the supporting teeth. How one designs a maryland bridge depends on several factors. A maryland bridge is a dental restoration that replaces. Maryland Bridge Design.
From www.athens-dental.com
Maryland Bridges advantagesdisadvantagesathens dental Maryland Bridge Design Learn how to improve survival and aesthetics of resin bonded bridges. How one designs a maryland bridge depends on several factors. A 'quick reference' summary of things to consider. The main difference is that a maryland bridge attaches to metal wings that are bonded to the backs of the supporting teeth. It functions similarly to a conventional dental bridge in. Maryland Bridge Design.
From www.youtube.com
Dentapreg Maryland Bridge YouTube Maryland Bridge Design Learn how to improve survival and aesthetics of resin bonded bridges. The main difference is that a maryland bridge attaches to metal wings that are bonded to the backs of the supporting teeth. A 'quick reference' summary of things to consider. A maryland bridge is a dental restoration that replaces a missing tooth. Esthetics, occlusion, lab and doctor experience all. Maryland Bridge Design.
From burbankdental.com
Single Tooth Restoration Options Evaluating Maryland Bridges Maryland Bridge Design How one designs a maryland bridge depends on several factors. It functions similarly to a conventional dental bridge in that it involves a false tooth supported by neighboring teeth. Esthetics, occlusion, lab and doctor experience all impact maryland bridges final design. A maryland bridge is a dental restoration that replaces a missing tooth. The main difference is that a maryland. Maryland Bridge Design.
From www.dothandson.com
Direct Resin Bonded Bridges Maryland Bridge Design A maryland bridge is a dental restoration that replaces a missing tooth. A 'quick reference' summary of things to consider. Esthetics, occlusion, lab and doctor experience all impact maryland bridges final design. How one designs a maryland bridge depends on several factors. It functions similarly to a conventional dental bridge in that it involves a false tooth supported by neighboring. Maryland Bridge Design.
From twojaws.com
سلسلة الجسور اللصاقة Maryland Bridges, Minimal Preparation Bridges Maryland Bridge Design A maryland bridge is a dental restoration that replaces a missing tooth. It functions similarly to a conventional dental bridge in that it involves a false tooth supported by neighboring teeth. Learn how to improve survival and aesthetics of resin bonded bridges. How one designs a maryland bridge depends on several factors. The main difference is that a maryland bridge. Maryland Bridge Design.
From www.cdocs.com
ONEWING MARYLAND BRIDGE WITH TWO WINGS...... CDOCS Maryland Bridge Design It functions similarly to a conventional dental bridge in that it involves a false tooth supported by neighboring teeth. How one designs a maryland bridge depends on several factors. A maryland bridge is a dental restoration that replaces a missing tooth. The main difference is that a maryland bridge attaches to metal wings that are bonded to the backs of. Maryland Bridge Design.
From paheld.com
The 15 Most Famous Truss Bridges Around The World (2022) Maryland Bridge Design The main difference is that a maryland bridge attaches to metal wings that are bonded to the backs of the supporting teeth. How one designs a maryland bridge depends on several factors. Learn how to improve survival and aesthetics of resin bonded bridges. Esthetics, occlusion, lab and doctor experience all impact maryland bridges final design. It functions similarly to a. Maryland Bridge Design.
From askadentist.com
Maryland Bridge Ask A Dentist Maryland Bridge Design A maryland bridge is a dental restoration that replaces a missing tooth. Learn how to improve survival and aesthetics of resin bonded bridges. The main difference is that a maryland bridge attaches to metal wings that are bonded to the backs of the supporting teeth. Esthetics, occlusion, lab and doctor experience all impact maryland bridges final design. It functions similarly. Maryland Bridge Design.
From burbankdental.com
Single Tooth Restoration Options Evaluating Maryland Bridges Maryland Bridge Design It functions similarly to a conventional dental bridge in that it involves a false tooth supported by neighboring teeth. A 'quick reference' summary of things to consider. A maryland bridge is a dental restoration that replaces a missing tooth. Esthetics, occlusion, lab and doctor experience all impact maryland bridges final design. How one designs a maryland bridge depends on several. Maryland Bridge Design.
From www.clarencetam.co.nz
Orthodontics and Veneers with a Maryland Bridge design Maryland Bridge Design How one designs a maryland bridge depends on several factors. A 'quick reference' summary of things to consider. Esthetics, occlusion, lab and doctor experience all impact maryland bridges final design. Learn how to improve survival and aesthetics of resin bonded bridges. The main difference is that a maryland bridge attaches to metal wings that are bonded to the backs of. Maryland Bridge Design.
From twojaws.com
جسر ميريلاند Resin bonded bridge Maryland موقع فكين Maryland Bridge Design How one designs a maryland bridge depends on several factors. The main difference is that a maryland bridge attaches to metal wings that are bonded to the backs of the supporting teeth. Esthetics, occlusion, lab and doctor experience all impact maryland bridges final design. A maryland bridge is a dental restoration that replaces a missing tooth. A 'quick reference' summary. Maryland Bridge Design.
From www.youtube.com
MARYLAND bridge A DENTAL BRIDGE alternative for missing teeth © YouTube Maryland Bridge Design How one designs a maryland bridge depends on several factors. Esthetics, occlusion, lab and doctor experience all impact maryland bridges final design. A maryland bridge is a dental restoration that replaces a missing tooth. A 'quick reference' summary of things to consider. The main difference is that a maryland bridge attaches to metal wings that are bonded to the backs. Maryland Bridge Design.
From www.clarencetam.co.nz
Orthodontics and Veneers with a Maryland Bridge design Maryland Bridge Design The main difference is that a maryland bridge attaches to metal wings that are bonded to the backs of the supporting teeth. Learn how to improve survival and aesthetics of resin bonded bridges. A 'quick reference' summary of things to consider. How one designs a maryland bridge depends on several factors. A maryland bridge is a dental restoration that replaces. Maryland Bridge Design.
From www.clarencetam.co.nz
Orthodontics and Veneers with a Maryland Bridge design Maryland Bridge Design Learn how to improve survival and aesthetics of resin bonded bridges. How one designs a maryland bridge depends on several factors. A maryland bridge is a dental restoration that replaces a missing tooth. A 'quick reference' summary of things to consider. The main difference is that a maryland bridge attaches to metal wings that are bonded to the backs of. Maryland Bridge Design.