Cat Intestinal Adenocarcinoma . They are usually quite rapidly. Intestinal adenocarcinoma is the second most common alimentary neoplasm in cats, following lymphoma, and accounts for one. Adenocarcinomas can affect either the small intestine or the large intestine (rarely the stomach). Other large intestinal tumors include mct, hsa, and neuroendocrine carcinoma. Small intestine and particularly jejunum or ileum. Feline gastrointestinal adenocarcinomas are the most common nonhematopoietic gastrointestinal tumors in cats. Adenocarcinomas in cats are a large group of malignant tumors, caused by unregulated cell growth within glandular tissue. Adenocarcinoma in cats is an aggressive form of cancer that arises from epithelium and glandular tissues throughout the body. Adc and lsa are the most common large intestinal tumors in cats. Tubular adc may have a better survival rate than.
from www.mdpi.com
Other large intestinal tumors include mct, hsa, and neuroendocrine carcinoma. Small intestine and particularly jejunum or ileum. Adenocarcinomas can affect either the small intestine or the large intestine (rarely the stomach). They are usually quite rapidly. Adenocarcinomas in cats are a large group of malignant tumors, caused by unregulated cell growth within glandular tissue. Intestinal adenocarcinoma is the second most common alimentary neoplasm in cats, following lymphoma, and accounts for one. Tubular adc may have a better survival rate than. Adc and lsa are the most common large intestinal tumors in cats. Feline gastrointestinal adenocarcinomas are the most common nonhematopoietic gastrointestinal tumors in cats. Adenocarcinoma in cats is an aggressive form of cancer that arises from epithelium and glandular tissues throughout the body.
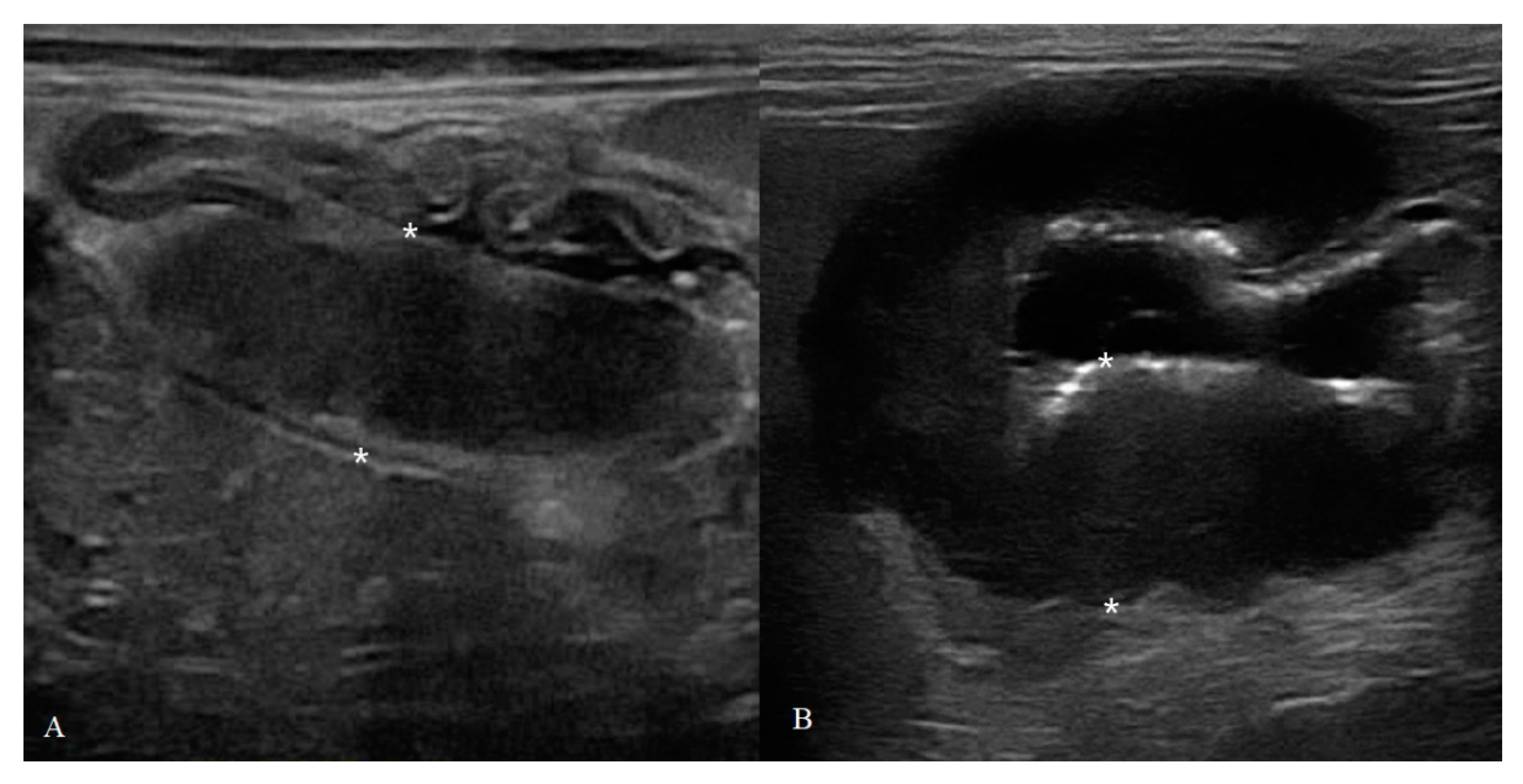
Animals Free FullText BMode and Contrast Enhanced Ultrasonography
Cat Intestinal Adenocarcinoma Feline gastrointestinal adenocarcinomas are the most common nonhematopoietic gastrointestinal tumors in cats. Adenocarcinomas in cats are a large group of malignant tumors, caused by unregulated cell growth within glandular tissue. Small intestine and particularly jejunum or ileum. Tubular adc may have a better survival rate than. They are usually quite rapidly. Intestinal adenocarcinoma is the second most common alimentary neoplasm in cats, following lymphoma, and accounts for one. Feline gastrointestinal adenocarcinomas are the most common nonhematopoietic gastrointestinal tumors in cats. Adenocarcinoma in cats is an aggressive form of cancer that arises from epithelium and glandular tissues throughout the body. Other large intestinal tumors include mct, hsa, and neuroendocrine carcinoma. Adc and lsa are the most common large intestinal tumors in cats. Adenocarcinomas can affect either the small intestine or the large intestine (rarely the stomach).
From icatcare.org
Intestinal Adenocarcinoma International Cat Care Cat Intestinal Adenocarcinoma Small intestine and particularly jejunum or ileum. Adenocarcinomas can affect either the small intestine or the large intestine (rarely the stomach). They are usually quite rapidly. Adenocarcinomas in cats are a large group of malignant tumors, caused by unregulated cell growth within glandular tissue. Adenocarcinoma in cats is an aggressive form of cancer that arises from epithelium and glandular tissues. Cat Intestinal Adenocarcinoma.
From www.researchgate.net
(PDF) Intestinal Mucinous Adenocarcinoma with Lymph Node Metastasis in Cat Intestinal Adenocarcinoma They are usually quite rapidly. Adc and lsa are the most common large intestinal tumors in cats. Small intestine and particularly jejunum or ileum. Adenocarcinomas in cats are a large group of malignant tumors, caused by unregulated cell growth within glandular tissue. Adenocarcinoma in cats is an aggressive form of cancer that arises from epithelium and glandular tissues throughout the. Cat Intestinal Adenocarcinoma.
From journals.sagepub.com
Preliminary study of CT features of intermediate and highgrade Cat Intestinal Adenocarcinoma Adenocarcinoma in cats is an aggressive form of cancer that arises from epithelium and glandular tissues throughout the body. Adenocarcinomas in cats are a large group of malignant tumors, caused by unregulated cell growth within glandular tissue. They are usually quite rapidly. Adenocarcinomas can affect either the small intestine or the large intestine (rarely the stomach). Feline gastrointestinal adenocarcinomas are. Cat Intestinal Adenocarcinoma.
From www.lecturio.com
Cáncer Gástrico Concise Medical Knowledge Cat Intestinal Adenocarcinoma Adenocarcinomas can affect either the small intestine or the large intestine (rarely the stomach). Other large intestinal tumors include mct, hsa, and neuroendocrine carcinoma. They are usually quite rapidly. Small intestine and particularly jejunum or ileum. Tubular adc may have a better survival rate than. Adc and lsa are the most common large intestinal tumors in cats. Adenocarcinomas in cats. Cat Intestinal Adenocarcinoma.
From todaysveterinarypractice.com
Ultrasonography of the Gastrointestinal Tract Ileum, Cecum, Colon Cat Intestinal Adenocarcinoma Adenocarcinomas in cats are a large group of malignant tumors, caused by unregulated cell growth within glandular tissue. Adenocarcinoma in cats is an aggressive form of cancer that arises from epithelium and glandular tissues throughout the body. Adc and lsa are the most common large intestinal tumors in cats. They are usually quite rapidly. Intestinal adenocarcinoma is the second most. Cat Intestinal Adenocarcinoma.
From journals.sagepub.com
Preliminary study of CT features of intermediate and highgrade Cat Intestinal Adenocarcinoma Adenocarcinomas in cats are a large group of malignant tumors, caused by unregulated cell growth within glandular tissue. Adenocarcinoma in cats is an aggressive form of cancer that arises from epithelium and glandular tissues throughout the body. Other large intestinal tumors include mct, hsa, and neuroendocrine carcinoma. Adenocarcinomas can affect either the small intestine or the large intestine (rarely the. Cat Intestinal Adenocarcinoma.
From www.pinterest.fr
intestinal adenocarcinoma, colon. cytology taken and interpreted by Cat Intestinal Adenocarcinoma Small intestine and particularly jejunum or ileum. They are usually quite rapidly. Feline gastrointestinal adenocarcinomas are the most common nonhematopoietic gastrointestinal tumors in cats. Adenocarcinoma in cats is an aggressive form of cancer that arises from epithelium and glandular tissues throughout the body. Intestinal adenocarcinoma is the second most common alimentary neoplasm in cats, following lymphoma, and accounts for one.. Cat Intestinal Adenocarcinoma.
From www.researchgate.net
Types of gastric carcinoma by Lauren classification. (A and B Cat Intestinal Adenocarcinoma Other large intestinal tumors include mct, hsa, and neuroendocrine carcinoma. Feline gastrointestinal adenocarcinomas are the most common nonhematopoietic gastrointestinal tumors in cats. Adenocarcinoma in cats is an aggressive form of cancer that arises from epithelium and glandular tissues throughout the body. Adc and lsa are the most common large intestinal tumors in cats. Intestinal adenocarcinoma is the second most common. Cat Intestinal Adenocarcinoma.
From www.fitzpatrickreferrals.co.uk
Spotlight on feline gastrointestinal lymphoma Blog Fitzpatrick Cat Intestinal Adenocarcinoma Adenocarcinomas can affect either the small intestine or the large intestine (rarely the stomach). Adenocarcinomas in cats are a large group of malignant tumors, caused by unregulated cell growth within glandular tissue. Other large intestinal tumors include mct, hsa, and neuroendocrine carcinoma. Tubular adc may have a better survival rate than. Adenocarcinoma in cats is an aggressive form of cancer. Cat Intestinal Adenocarcinoma.
From www.petmd.com
Intestinal Cancer (Adenocarcinoma) in Cats PetMD Cat Intestinal Adenocarcinoma Other large intestinal tumors include mct, hsa, and neuroendocrine carcinoma. They are usually quite rapidly. Adenocarcinomas can affect either the small intestine or the large intestine (rarely the stomach). Intestinal adenocarcinoma is the second most common alimentary neoplasm in cats, following lymphoma, and accounts for one. Adenocarcinoma in cats is an aggressive form of cancer that arises from epithelium and. Cat Intestinal Adenocarcinoma.
From www.vethive.com
Pathology Case Review Anal Sac Adenocarcinoma in a Cat Cat Intestinal Adenocarcinoma Adenocarcinomas in cats are a large group of malignant tumors, caused by unregulated cell growth within glandular tissue. Adenocarcinoma in cats is an aggressive form of cancer that arises from epithelium and glandular tissues throughout the body. Small intestine and particularly jejunum or ileum. They are usually quite rapidly. Tubular adc may have a better survival rate than. Feline gastrointestinal. Cat Intestinal Adenocarcinoma.
From es.dreamstime.com
Adenocarcinoma Intestinal Biendistinguida, Micrográfo Ligero Foto de Cat Intestinal Adenocarcinoma Feline gastrointestinal adenocarcinomas are the most common nonhematopoietic gastrointestinal tumors in cats. Intestinal adenocarcinoma is the second most common alimentary neoplasm in cats, following lymphoma, and accounts for one. Adenocarcinomas can affect either the small intestine or the large intestine (rarely the stomach). Adc and lsa are the most common large intestinal tumors in cats. Small intestine and particularly jejunum. Cat Intestinal Adenocarcinoma.
From www.pathologyoutlines.com
Pathology Outlines Intestinal type adenocarcinoma Cat Intestinal Adenocarcinoma Adenocarcinomas can affect either the small intestine or the large intestine (rarely the stomach). They are usually quite rapidly. Tubular adc may have a better survival rate than. Small intestine and particularly jejunum or ileum. Adenocarcinomas in cats are a large group of malignant tumors, caused by unregulated cell growth within glandular tissue. Adc and lsa are the most common. Cat Intestinal Adenocarcinoma.
From ensiklopediilmupopuler173.blogspot.com
How Long Can A Cat Live With Intestinal Cancer / 10 Things To Know Cat Intestinal Adenocarcinoma Adenocarcinomas in cats are a large group of malignant tumors, caused by unregulated cell growth within glandular tissue. Intestinal adenocarcinoma is the second most common alimentary neoplasm in cats, following lymphoma, and accounts for one. Adenocarcinomas can affect either the small intestine or the large intestine (rarely the stomach). They are usually quite rapidly. Feline gastrointestinal adenocarcinomas are the most. Cat Intestinal Adenocarcinoma.
From www.researchgate.net
(PDF) Tubular intestinal adenocarcinoma in a cat Pathomorphological Cat Intestinal Adenocarcinoma Feline gastrointestinal adenocarcinomas are the most common nonhematopoietic gastrointestinal tumors in cats. Adenocarcinomas can affect either the small intestine or the large intestine (rarely the stomach). Other large intestinal tumors include mct, hsa, and neuroendocrine carcinoma. Small intestine and particularly jejunum or ileum. Intestinal adenocarcinoma is the second most common alimentary neoplasm in cats, following lymphoma, and accounts for one.. Cat Intestinal Adenocarcinoma.
From www.researchgate.net
Characteristic malignancy features of feline intestinal tumors (H&E Cat Intestinal Adenocarcinoma They are usually quite rapidly. Tubular adc may have a better survival rate than. Intestinal adenocarcinoma is the second most common alimentary neoplasm in cats, following lymphoma, and accounts for one. Adenocarcinomas in cats are a large group of malignant tumors, caused by unregulated cell growth within glandular tissue. Adenocarcinomas can affect either the small intestine or the large intestine. Cat Intestinal Adenocarcinoma.
From www.semanticscholar.org
Figure 3 from Intestinal Mucinous Adenocarcinoma with Lymph Node Cat Intestinal Adenocarcinoma Adc and lsa are the most common large intestinal tumors in cats. Adenocarcinoma in cats is an aggressive form of cancer that arises from epithelium and glandular tissues throughout the body. They are usually quite rapidly. Adenocarcinomas can affect either the small intestine or the large intestine (rarely the stomach). Tubular adc may have a better survival rate than. Adenocarcinomas. Cat Intestinal Adenocarcinoma.
From www.animalwised.com
Intestinal Adenocarcinoma in Cats Causes, Symptoms and Treatment Cat Intestinal Adenocarcinoma Adenocarcinomas in cats are a large group of malignant tumors, caused by unregulated cell growth within glandular tissue. Other large intestinal tumors include mct, hsa, and neuroendocrine carcinoma. Intestinal adenocarcinoma is the second most common alimentary neoplasm in cats, following lymphoma, and accounts for one. Adc and lsa are the most common large intestinal tumors in cats. Adenocarcinoma in cats. Cat Intestinal Adenocarcinoma.
From bioone.org
A case of gastric in a domestic shorthair cat Cat Intestinal Adenocarcinoma They are usually quite rapidly. Adc and lsa are the most common large intestinal tumors in cats. Adenocarcinoma in cats is an aggressive form of cancer that arises from epithelium and glandular tissues throughout the body. Adenocarcinomas can affect either the small intestine or the large intestine (rarely the stomach). Other large intestinal tumors include mct, hsa, and neuroendocrine carcinoma.. Cat Intestinal Adenocarcinoma.
From journals.sagepub.com
Gastric Adenocarcinoma and Chronic Gastritis in Two Related Persian Cat Intestinal Adenocarcinoma Other large intestinal tumors include mct, hsa, and neuroendocrine carcinoma. Adenocarcinomas in cats are a large group of malignant tumors, caused by unregulated cell growth within glandular tissue. Adenocarcinoma in cats is an aggressive form of cancer that arises from epithelium and glandular tissues throughout the body. Feline gastrointestinal adenocarcinomas are the most common nonhematopoietic gastrointestinal tumors in cats. Adc. Cat Intestinal Adenocarcinoma.
From www.mdpi.com
Animals Free FullText BMode and Contrast Enhanced Ultrasonography Cat Intestinal Adenocarcinoma Adc and lsa are the most common large intestinal tumors in cats. Small intestine and particularly jejunum or ileum. Other large intestinal tumors include mct, hsa, and neuroendocrine carcinoma. Adenocarcinomas in cats are a large group of malignant tumors, caused by unregulated cell growth within glandular tissue. Intestinal adenocarcinoma is the second most common alimentary neoplasm in cats, following lymphoma,. Cat Intestinal Adenocarcinoma.
From www.animalwised.com
Intestinal Adenocarcinoma in Cats Causes, Symptoms and Treatment Cat Intestinal Adenocarcinoma Small intestine and particularly jejunum or ileum. They are usually quite rapidly. Adenocarcinomas in cats are a large group of malignant tumors, caused by unregulated cell growth within glandular tissue. Tubular adc may have a better survival rate than. Adenocarcinomas can affect either the small intestine or the large intestine (rarely the stomach). Other large intestinal tumors include mct, hsa,. Cat Intestinal Adenocarcinoma.
From www.researchgate.net
(PDF) Caecal adenocarcinoma with multiple synchronous small intestinal Cat Intestinal Adenocarcinoma Tubular adc may have a better survival rate than. Adc and lsa are the most common large intestinal tumors in cats. Feline gastrointestinal adenocarcinomas are the most common nonhematopoietic gastrointestinal tumors in cats. Small intestine and particularly jejunum or ileum. Intestinal adenocarcinoma is the second most common alimentary neoplasm in cats, following lymphoma, and accounts for one. Adenocarcinomas can affect. Cat Intestinal Adenocarcinoma.
From www.youtube.com
Stomach and Intestinal Cancer in Cats Wag! YouTube Cat Intestinal Adenocarcinoma Adc and lsa are the most common large intestinal tumors in cats. Adenocarcinomas can affect either the small intestine or the large intestine (rarely the stomach). Adenocarcinomas in cats are a large group of malignant tumors, caused by unregulated cell growth within glandular tissue. Tubular adc may have a better survival rate than. Feline gastrointestinal adenocarcinomas are the most common. Cat Intestinal Adenocarcinoma.
From pixels.com
Intestinal Adenocarcinoma Photograph by Nigel Downer/science Photo Library Cat Intestinal Adenocarcinoma Adc and lsa are the most common large intestinal tumors in cats. Tubular adc may have a better survival rate than. Adenocarcinomas can affect either the small intestine or the large intestine (rarely the stomach). Feline gastrointestinal adenocarcinomas are the most common nonhematopoietic gastrointestinal tumors in cats. Adenocarcinoma in cats is an aggressive form of cancer that arises from epithelium. Cat Intestinal Adenocarcinoma.
From www.researchgate.net
(PDF) Tubular intestinal adenocarcinoma in a cat Pathomorphological Cat Intestinal Adenocarcinoma Adc and lsa are the most common large intestinal tumors in cats. Other large intestinal tumors include mct, hsa, and neuroendocrine carcinoma. Adenocarcinomas can affect either the small intestine or the large intestine (rarely the stomach). Adenocarcinoma in cats is an aggressive form of cancer that arises from epithelium and glandular tissues throughout the body. They are usually quite rapidly.. Cat Intestinal Adenocarcinoma.
From www.researchgate.net
Intestinal adenocarcinoma (arrow = ring” cell morphology Cat Intestinal Adenocarcinoma Small intestine and particularly jejunum or ileum. Feline gastrointestinal adenocarcinomas are the most common nonhematopoietic gastrointestinal tumors in cats. They are usually quite rapidly. Adenocarcinoma in cats is an aggressive form of cancer that arises from epithelium and glandular tissues throughout the body. Intestinal adenocarcinoma is the second most common alimentary neoplasm in cats, following lymphoma, and accounts for one.. Cat Intestinal Adenocarcinoma.
From pixels.com
Intestinal Adenocarcinoma Photograph by Nigel Downer/science Photo Cat Intestinal Adenocarcinoma Intestinal adenocarcinoma is the second most common alimentary neoplasm in cats, following lymphoma, and accounts for one. Feline gastrointestinal adenocarcinomas are the most common nonhematopoietic gastrointestinal tumors in cats. Other large intestinal tumors include mct, hsa, and neuroendocrine carcinoma. They are usually quite rapidly. Adenocarcinomas can affect either the small intestine or the large intestine (rarely the stomach). Adc and. Cat Intestinal Adenocarcinoma.
From journals.sagepub.com
Apocrine gland anal sac adenocarcinoma with perineural metastasis in a Cat Intestinal Adenocarcinoma They are usually quite rapidly. Adenocarcinomas can affect either the small intestine or the large intestine (rarely the stomach). Adenocarcinoma in cats is an aggressive form of cancer that arises from epithelium and glandular tissues throughout the body. Intestinal adenocarcinoma is the second most common alimentary neoplasm in cats, following lymphoma, and accounts for one. Feline gastrointestinal adenocarcinomas are the. Cat Intestinal Adenocarcinoma.
From vetsci.org
Metastatic intestinal adenocarcinoma with osseous metaplasia in two Cat Intestinal Adenocarcinoma Feline gastrointestinal adenocarcinomas are the most common nonhematopoietic gastrointestinal tumors in cats. Other large intestinal tumors include mct, hsa, and neuroendocrine carcinoma. Adenocarcinomas in cats are a large group of malignant tumors, caused by unregulated cell growth within glandular tissue. Small intestine and particularly jejunum or ileum. Adc and lsa are the most common large intestinal tumors in cats. Adenocarcinomas. Cat Intestinal Adenocarcinoma.
From www.matthews.carolinavet.com
What You Should Know About Stomach & Intestinal Cancer in Cats Cat Intestinal Adenocarcinoma They are usually quite rapidly. Intestinal adenocarcinoma is the second most common alimentary neoplasm in cats, following lymphoma, and accounts for one. Adenocarcinomas in cats are a large group of malignant tumors, caused by unregulated cell growth within glandular tissue. Tubular adc may have a better survival rate than. Small intestine and particularly jejunum or ileum. Adenocarcinoma in cats is. Cat Intestinal Adenocarcinoma.
From canna-pet.com
Cancer in Cats Causes, Symptoms, & Treatments CannaPet Cat Intestinal Adenocarcinoma Small intestine and particularly jejunum or ileum. Other large intestinal tumors include mct, hsa, and neuroendocrine carcinoma. Adc and lsa are the most common large intestinal tumors in cats. Adenocarcinoma in cats is an aggressive form of cancer that arises from epithelium and glandular tissues throughout the body. They are usually quite rapidly. Adenocarcinomas can affect either the small intestine. Cat Intestinal Adenocarcinoma.
From gampreskapresan.blogspot.com
Stomach Tumors On Cats Cat Intestinal Adenocarcinoma Adenocarcinoma in cats is an aggressive form of cancer that arises from epithelium and glandular tissues throughout the body. Adenocarcinomas in cats are a large group of malignant tumors, caused by unregulated cell growth within glandular tissue. Tubular adc may have a better survival rate than. Other large intestinal tumors include mct, hsa, and neuroendocrine carcinoma. Feline gastrointestinal adenocarcinomas are. Cat Intestinal Adenocarcinoma.
From petlifeca.ca
Stomach And Intestinal Cancer In Cats PetlifeCA Cat Intestinal Adenocarcinoma Feline gastrointestinal adenocarcinomas are the most common nonhematopoietic gastrointestinal tumors in cats. Adc and lsa are the most common large intestinal tumors in cats. They are usually quite rapidly. Adenocarcinoma in cats is an aggressive form of cancer that arises from epithelium and glandular tissues throughout the body. Adenocarcinomas can affect either the small intestine or the large intestine (rarely. Cat Intestinal Adenocarcinoma.
From www.dreamstime.com
Differentiated Intestinal Adenocarcinoma, Light Micrograph Stock Photo Cat Intestinal Adenocarcinoma Adenocarcinoma in cats is an aggressive form of cancer that arises from epithelium and glandular tissues throughout the body. Intestinal adenocarcinoma is the second most common alimentary neoplasm in cats, following lymphoma, and accounts for one. They are usually quite rapidly. Feline gastrointestinal adenocarcinomas are the most common nonhematopoietic gastrointestinal tumors in cats. Other large intestinal tumors include mct, hsa,. Cat Intestinal Adenocarcinoma.