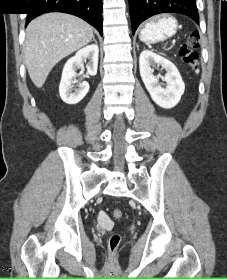
Chest X Ray Testicular Cancer . Testicular cancer, version 2.2020, nccn clinical practice guidelines in oncology in: Over 90% of all tumors of the testes are primary germ cell tumors, and as such young adults are the overall most frequently involved. Journal of the national comprehensive cancer network volume 17 issue 12 (2019) authors: Which treatment options are best for you depends on the. Scrotal ultrasonography can confirm testicular origin. Testicular cancer treatment often involves surgery and chemotherapy. Computed tomography (ct) scan ct scans can be used to help determine the. These tests are done to determine if the suspected cancer has spread. If the cancer has spread to the lungs and is advanced, shortness of breath, chest pain, cough, or bloody sputum may develop.
from pubs.rsna.org
Testicular cancer treatment often involves surgery and chemotherapy. These tests are done to determine if the suspected cancer has spread. Computed tomography (ct) scan ct scans can be used to help determine the. Testicular cancer, version 2.2020, nccn clinical practice guidelines in oncology in: Over 90% of all tumors of the testes are primary germ cell tumors, and as such young adults are the overall most frequently involved. Journal of the national comprehensive cancer network volume 17 issue 12 (2019) authors: If the cancer has spread to the lungs and is advanced, shortness of breath, chest pain, cough, or bloody sputum may develop. Which treatment options are best for you depends on the. Scrotal ultrasonography can confirm testicular origin.
Testicular Tumors What Radiologists Need to Know—Differential
Chest X Ray Testicular Cancer Scrotal ultrasonography can confirm testicular origin. Which treatment options are best for you depends on the. Scrotal ultrasonography can confirm testicular origin. These tests are done to determine if the suspected cancer has spread. Journal of the national comprehensive cancer network volume 17 issue 12 (2019) authors: Testicular cancer treatment often involves surgery and chemotherapy. Over 90% of all tumors of the testes are primary germ cell tumors, and as such young adults are the overall most frequently involved. If the cancer has spread to the lungs and is advanced, shortness of breath, chest pain, cough, or bloody sputum may develop. Testicular cancer, version 2.2020, nccn clinical practice guidelines in oncology in: Computed tomography (ct) scan ct scans can be used to help determine the.
From www.verywell.com
Testicular cancer and CT scans Chest X Ray Testicular Cancer Computed tomography (ct) scan ct scans can be used to help determine the. Testicular cancer treatment often involves surgery and chemotherapy. Which treatment options are best for you depends on the. Scrotal ultrasonography can confirm testicular origin. Testicular cancer, version 2.2020, nccn clinical practice guidelines in oncology in: These tests are done to determine if the suspected cancer has spread.. Chest X Ray Testicular Cancer.
From ctisus.com
Testicular Cancer with Low Density Adenopathy Genitourinary Case Chest X Ray Testicular Cancer If the cancer has spread to the lungs and is advanced, shortness of breath, chest pain, cough, or bloody sputum may develop. Testicular cancer treatment often involves surgery and chemotherapy. Which treatment options are best for you depends on the. Journal of the national comprehensive cancer network volume 17 issue 12 (2019) authors: Computed tomography (ct) scan ct scans can. Chest X Ray Testicular Cancer.
From www.researchgate.net
(PDF) Malignant epidural spinal cord compression secondary to Chest X Ray Testicular Cancer These tests are done to determine if the suspected cancer has spread. Computed tomography (ct) scan ct scans can be used to help determine the. Testicular cancer treatment often involves surgery and chemotherapy. Which treatment options are best for you depends on the. If the cancer has spread to the lungs and is advanced, shortness of breath, chest pain, cough,. Chest X Ray Testicular Cancer.
From www.kantrowitz.com
Testicular Cancer Staging Chest X Ray Testicular Cancer Journal of the national comprehensive cancer network volume 17 issue 12 (2019) authors: Over 90% of all tumors of the testes are primary germ cell tumors, and as such young adults are the overall most frequently involved. These tests are done to determine if the suspected cancer has spread. If the cancer has spread to the lungs and is advanced,. Chest X Ray Testicular Cancer.
From ctisus.com
Testicular Cancer with Low Density Adenopathy Genitourinary Case Chest X Ray Testicular Cancer If the cancer has spread to the lungs and is advanced, shortness of breath, chest pain, cough, or bloody sputum may develop. Testicular cancer, version 2.2020, nccn clinical practice guidelines in oncology in: These tests are done to determine if the suspected cancer has spread. Testicular cancer treatment often involves surgery and chemotherapy. Which treatment options are best for you. Chest X Ray Testicular Cancer.
From pubs.rsna.org
Testicular Tumors What Radiologists Need to Know—Differential Chest X Ray Testicular Cancer These tests are done to determine if the suspected cancer has spread. If the cancer has spread to the lungs and is advanced, shortness of breath, chest pain, cough, or bloody sputum may develop. Which treatment options are best for you depends on the. Over 90% of all tumors of the testes are primary germ cell tumors, and as such. Chest X Ray Testicular Cancer.
From www.ctisus.com
Normal testicular MRI Body MR Case Studies CTisus CT Scanning Chest X Ray Testicular Cancer Journal of the national comprehensive cancer network volume 17 issue 12 (2019) authors: Testicular cancer treatment often involves surgery and chemotherapy. Testicular cancer, version 2.2020, nccn clinical practice guidelines in oncology in: If the cancer has spread to the lungs and is advanced, shortness of breath, chest pain, cough, or bloody sputum may develop. Over 90% of all tumors of. Chest X Ray Testicular Cancer.
From radiologykey.com
Testicular Cancer Imaging Radiology Key Chest X Ray Testicular Cancer These tests are done to determine if the suspected cancer has spread. Testicular cancer treatment often involves surgery and chemotherapy. Computed tomography (ct) scan ct scans can be used to help determine the. Scrotal ultrasonography can confirm testicular origin. If the cancer has spread to the lungs and is advanced, shortness of breath, chest pain, cough, or bloody sputum may. Chest X Ray Testicular Cancer.
From radiologycases.my
Testicular cancer Embryonal cell carcinoma Radiology Cases Chest X Ray Testicular Cancer Computed tomography (ct) scan ct scans can be used to help determine the. Testicular cancer, version 2.2020, nccn clinical practice guidelines in oncology in: Journal of the national comprehensive cancer network volume 17 issue 12 (2019) authors: These tests are done to determine if the suspected cancer has spread. Testicular cancer treatment often involves surgery and chemotherapy. If the cancer. Chest X Ray Testicular Cancer.
From commons.wikimedia.org
FileXray chest cancer.jpg Chest X Ray Testicular Cancer These tests are done to determine if the suspected cancer has spread. If the cancer has spread to the lungs and is advanced, shortness of breath, chest pain, cough, or bloody sputum may develop. Scrotal ultrasonography can confirm testicular origin. Testicular cancer treatment often involves surgery and chemotherapy. Which treatment options are best for you depends on the. Journal of. Chest X Ray Testicular Cancer.
From creativemarket.com
Doctor with a pen checking tomography scan of testicles with cancer Chest X Ray Testicular Cancer Journal of the national comprehensive cancer network volume 17 issue 12 (2019) authors: Which treatment options are best for you depends on the. Scrotal ultrasonography can confirm testicular origin. These tests are done to determine if the suspected cancer has spread. Over 90% of all tumors of the testes are primary germ cell tumors, and as such young adults are. Chest X Ray Testicular Cancer.
From www.svuhradiology.ie
Cannonball metastases colorectal cancer Radiology at St. Vincent's Chest X Ray Testicular Cancer Journal of the national comprehensive cancer network volume 17 issue 12 (2019) authors: Over 90% of all tumors of the testes are primary germ cell tumors, and as such young adults are the overall most frequently involved. Computed tomography (ct) scan ct scans can be used to help determine the. Scrotal ultrasonography can confirm testicular origin. Testicular cancer treatment often. Chest X Ray Testicular Cancer.
From www.kantrowitz.com
Testicular Cancer Staging Chest X Ray Testicular Cancer These tests are done to determine if the suspected cancer has spread. Journal of the national comprehensive cancer network volume 17 issue 12 (2019) authors: Testicular cancer treatment often involves surgery and chemotherapy. Scrotal ultrasonography can confirm testicular origin. Testicular cancer, version 2.2020, nccn clinical practice guidelines in oncology in: Computed tomography (ct) scan ct scans can be used to. Chest X Ray Testicular Cancer.
From www.urologynews.uk.com
Testicular tumour imaging Urology News Chest X Ray Testicular Cancer Over 90% of all tumors of the testes are primary germ cell tumors, and as such young adults are the overall most frequently involved. If the cancer has spread to the lungs and is advanced, shortness of breath, chest pain, cough, or bloody sputum may develop. Scrotal ultrasonography can confirm testicular origin. Journal of the national comprehensive cancer network volume. Chest X Ray Testicular Cancer.
From www.sciencephoto.com
Testicular cancer, CT scan Stock Image C044/3095 Science Photo Chest X Ray Testicular Cancer Over 90% of all tumors of the testes are primary germ cell tumors, and as such young adults are the overall most frequently involved. Which treatment options are best for you depends on the. If the cancer has spread to the lungs and is advanced, shortness of breath, chest pain, cough, or bloody sputum may develop. Scrotal ultrasonography can confirm. Chest X Ray Testicular Cancer.
From www.ajronline.org
Testicular Cancer What the Radiologist Needs to Know AJR Chest X Ray Testicular Cancer These tests are done to determine if the suspected cancer has spread. If the cancer has spread to the lungs and is advanced, shortness of breath, chest pain, cough, or bloody sputum may develop. Journal of the national comprehensive cancer network volume 17 issue 12 (2019) authors: Which treatment options are best for you depends on the. Scrotal ultrasonography can. Chest X Ray Testicular Cancer.
From www.kantrowitz.com
Testicular Cancer Staging Chest X Ray Testicular Cancer Journal of the national comprehensive cancer network volume 17 issue 12 (2019) authors: Over 90% of all tumors of the testes are primary germ cell tumors, and as such young adults are the overall most frequently involved. Testicular cancer, version 2.2020, nccn clinical practice guidelines in oncology in: Testicular cancer treatment often involves surgery and chemotherapy. Scrotal ultrasonography can confirm. Chest X Ray Testicular Cancer.
From www.mdpi.com
Cancers Free FullText An Overview of the Role of Multiparametric Chest X Ray Testicular Cancer If the cancer has spread to the lungs and is advanced, shortness of breath, chest pain, cough, or bloody sputum may develop. Testicular cancer treatment often involves surgery and chemotherapy. Over 90% of all tumors of the testes are primary germ cell tumors, and as such young adults are the overall most frequently involved. Scrotal ultrasonography can confirm testicular origin.. Chest X Ray Testicular Cancer.
From pubs.rsna.org
Testicular Tumors What Radiologists Need to Know—Differential Chest X Ray Testicular Cancer These tests are done to determine if the suspected cancer has spread. Testicular cancer treatment often involves surgery and chemotherapy. Scrotal ultrasonography can confirm testicular origin. If the cancer has spread to the lungs and is advanced, shortness of breath, chest pain, cough, or bloody sputum may develop. Over 90% of all tumors of the testes are primary germ cell. Chest X Ray Testicular Cancer.
From www.researchgate.net
Clinical imaging findings. a CT imaging of the testicular tumor. b Chest X Ray Testicular Cancer Testicular cancer, version 2.2020, nccn clinical practice guidelines in oncology in: These tests are done to determine if the suspected cancer has spread. Computed tomography (ct) scan ct scans can be used to help determine the. Which treatment options are best for you depends on the. Over 90% of all tumors of the testes are primary germ cell tumors, and. Chest X Ray Testicular Cancer.
From www.slideshare.net
Chest xray Chest X Ray Testicular Cancer Journal of the national comprehensive cancer network volume 17 issue 12 (2019) authors: Which treatment options are best for you depends on the. If the cancer has spread to the lungs and is advanced, shortness of breath, chest pain, cough, or bloody sputum may develop. Testicular cancer treatment often involves surgery and chemotherapy. Testicular cancer, version 2.2020, nccn clinical practice. Chest X Ray Testicular Cancer.
From theurethraclinic.com
Testicular Cancer Symptoms, Stages, Diagnosis, Risk Factors & Treatment Chest X Ray Testicular Cancer If the cancer has spread to the lungs and is advanced, shortness of breath, chest pain, cough, or bloody sputum may develop. Over 90% of all tumors of the testes are primary germ cell tumors, and as such young adults are the overall most frequently involved. Which treatment options are best for you depends on the. Journal of the national. Chest X Ray Testicular Cancer.
From learnfoolcolor.blogspot.com
View 10 Lung Cancer Metastasis Xray learnfoolcolor Chest X Ray Testicular Cancer These tests are done to determine if the suspected cancer has spread. Journal of the national comprehensive cancer network volume 17 issue 12 (2019) authors: Testicular cancer treatment often involves surgery and chemotherapy. Computed tomography (ct) scan ct scans can be used to help determine the. Over 90% of all tumors of the testes are primary germ cell tumors, and. Chest X Ray Testicular Cancer.
From pulmonarychronicles.com
Medical image Chest X Ray Testicular Cancer Which treatment options are best for you depends on the. Over 90% of all tumors of the testes are primary germ cell tumors, and as such young adults are the overall most frequently involved. Journal of the national comprehensive cancer network volume 17 issue 12 (2019) authors: Testicular cancer treatment often involves surgery and chemotherapy. Scrotal ultrasonography can confirm testicular. Chest X Ray Testicular Cancer.
From pubs.rsna.org
Testicular Tumors What Radiologists Need to Know—Differential Chest X Ray Testicular Cancer Journal of the national comprehensive cancer network volume 17 issue 12 (2019) authors: Computed tomography (ct) scan ct scans can be used to help determine the. Which treatment options are best for you depends on the. Scrotal ultrasonography can confirm testicular origin. Testicular cancer, version 2.2020, nccn clinical practice guidelines in oncology in: If the cancer has spread to the. Chest X Ray Testicular Cancer.
From www.researchgate.net
A 38yearold male with a testicular pure choriocarcinoma received Chest X Ray Testicular Cancer Computed tomography (ct) scan ct scans can be used to help determine the. Journal of the national comprehensive cancer network volume 17 issue 12 (2019) authors: Testicular cancer, version 2.2020, nccn clinical practice guidelines in oncology in: These tests are done to determine if the suspected cancer has spread. Over 90% of all tumors of the testes are primary germ. Chest X Ray Testicular Cancer.
From radiopaedia.org
Testicular choriocarcinoma Image Chest X Ray Testicular Cancer Which treatment options are best for you depends on the. Testicular cancer, version 2.2020, nccn clinical practice guidelines in oncology in: Journal of the national comprehensive cancer network volume 17 issue 12 (2019) authors: Testicular cancer treatment often involves surgery and chemotherapy. If the cancer has spread to the lungs and is advanced, shortness of breath, chest pain, cough, or. Chest X Ray Testicular Cancer.
From radiologycases.my
Testicular cancer Embryonal cell carcinoma Radiology Cases Chest X Ray Testicular Cancer These tests are done to determine if the suspected cancer has spread. Testicular cancer treatment often involves surgery and chemotherapy. Computed tomography (ct) scan ct scans can be used to help determine the. Scrotal ultrasonography can confirm testicular origin. Journal of the national comprehensive cancer network volume 17 issue 12 (2019) authors: Which treatment options are best for you depends. Chest X Ray Testicular Cancer.
From radiologykey.com
Testicular Cancer Imaging Radiology Key Chest X Ray Testicular Cancer If the cancer has spread to the lungs and is advanced, shortness of breath, chest pain, cough, or bloody sputum may develop. Testicular cancer, version 2.2020, nccn clinical practice guidelines in oncology in: Scrotal ultrasonography can confirm testicular origin. These tests are done to determine if the suspected cancer has spread. Over 90% of all tumors of the testes are. Chest X Ray Testicular Cancer.
From radiopaedia.org
Image Chest X Ray Testicular Cancer Testicular cancer treatment often involves surgery and chemotherapy. Scrotal ultrasonography can confirm testicular origin. These tests are done to determine if the suspected cancer has spread. If the cancer has spread to the lungs and is advanced, shortness of breath, chest pain, cough, or bloody sputum may develop. Journal of the national comprehensive cancer network volume 17 issue 12 (2019). Chest X Ray Testicular Cancer.
From pubs.rsna.org
Testicular Tumors What Radiologists Need to Know—Differential Chest X Ray Testicular Cancer Journal of the national comprehensive cancer network volume 17 issue 12 (2019) authors: Which treatment options are best for you depends on the. Testicular cancer, version 2.2020, nccn clinical practice guidelines in oncology in: If the cancer has spread to the lungs and is advanced, shortness of breath, chest pain, cough, or bloody sputum may develop. Testicular cancer treatment often. Chest X Ray Testicular Cancer.
From pubs.rsna.org
Testicular Tumors What Radiologists Need to Know—Differential Chest X Ray Testicular Cancer Testicular cancer, version 2.2020, nccn clinical practice guidelines in oncology in: These tests are done to determine if the suspected cancer has spread. Journal of the national comprehensive cancer network volume 17 issue 12 (2019) authors: Over 90% of all tumors of the testes are primary germ cell tumors, and as such young adults are the overall most frequently involved.. Chest X Ray Testicular Cancer.
From fineartamerica.com
Testicular Cancer, Ultrasound Scan Wood Print by Du Cane Medical Chest X Ray Testicular Cancer Over 90% of all tumors of the testes are primary germ cell tumors, and as such young adults are the overall most frequently involved. These tests are done to determine if the suspected cancer has spread. Scrotal ultrasonography can confirm testicular origin. Journal of the national comprehensive cancer network volume 17 issue 12 (2019) authors: Computed tomography (ct) scan ct. Chest X Ray Testicular Cancer.
From www.mdpi.com
Cancers Free FullText The Role of CT in the Staging and FollowUp Chest X Ray Testicular Cancer Which treatment options are best for you depends on the. Over 90% of all tumors of the testes are primary germ cell tumors, and as such young adults are the overall most frequently involved. If the cancer has spread to the lungs and is advanced, shortness of breath, chest pain, cough, or bloody sputum may develop. Testicular cancer, version 2.2020,. Chest X Ray Testicular Cancer.
From www.dailymail.co.uk
Ben's chronic cough turned out to be TESTICULAR CANCER in his CHEST Chest X Ray Testicular Cancer Which treatment options are best for you depends on the. Computed tomography (ct) scan ct scans can be used to help determine the. If the cancer has spread to the lungs and is advanced, shortness of breath, chest pain, cough, or bloody sputum may develop. Testicular cancer treatment often involves surgery and chemotherapy. Over 90% of all tumors of the. Chest X Ray Testicular Cancer.