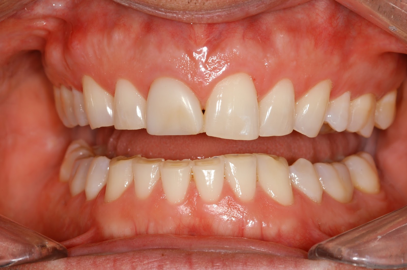
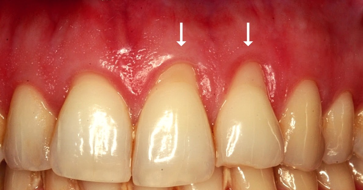
Teeth Grinding Gum Recession . If a misaligned bite or teeth grinding is the cause of gum recession, talk to your dentist about how to correct the problem. Gum recession is when your gum tissue pulls away from your teeth, exposing the roots underneath. Gum recession happens when your gum tissue starts to die off and your gum line shrinks higher and higher up the tooth. Find out what causes it, what the associated symptoms are, when to get medical help and how it can be. Bruxism causes gum recession and is considered a sleep related movement disorder. Once this happens, small gaps (called “pockets”) open. This is known as gum recession, and it can progress and lead to loose teeth and eventual tooth loss. Read about teeth grinding (bruxism). It’s caused by a number of factors,. Typically, people who grind their teeth during sleep have sleeping. This treatment is generally effective for individuals whose gum recession was specifically caused by the position of a certain tooth (or.
from www.drlufidrleah.com
Gum recession is when your gum tissue pulls away from your teeth, exposing the roots underneath. This treatment is generally effective for individuals whose gum recession was specifically caused by the position of a certain tooth (or. Bruxism causes gum recession and is considered a sleep related movement disorder. Gum recession happens when your gum tissue starts to die off and your gum line shrinks higher and higher up the tooth. Read about teeth grinding (bruxism). Typically, people who grind their teeth during sleep have sleeping. If a misaligned bite or teeth grinding is the cause of gum recession, talk to your dentist about how to correct the problem. Find out what causes it, what the associated symptoms are, when to get medical help and how it can be. Once this happens, small gaps (called “pockets”) open. It’s caused by a number of factors,.
FACT SHEET TEETH GRINDING/BRUXISM
Teeth Grinding Gum Recession Gum recession is when your gum tissue pulls away from your teeth, exposing the roots underneath. Gum recession happens when your gum tissue starts to die off and your gum line shrinks higher and higher up the tooth. Typically, people who grind their teeth during sleep have sleeping. This is known as gum recession, and it can progress and lead to loose teeth and eventual tooth loss. Gum recession is when your gum tissue pulls away from your teeth, exposing the roots underneath. This treatment is generally effective for individuals whose gum recession was specifically caused by the position of a certain tooth (or. Read about teeth grinding (bruxism). Find out what causes it, what the associated symptoms are, when to get medical help and how it can be. If a misaligned bite or teeth grinding is the cause of gum recession, talk to your dentist about how to correct the problem. It’s caused by a number of factors,. Once this happens, small gaps (called “pockets”) open. Bruxism causes gum recession and is considered a sleep related movement disorder.
From orthodonticsaustralia.org.au
Orthodontics Australia Everything you need to know about night guards Teeth Grinding Gum Recession Gum recession is when your gum tissue pulls away from your teeth, exposing the roots underneath. Read about teeth grinding (bruxism). Bruxism causes gum recession and is considered a sleep related movement disorder. Find out what causes it, what the associated symptoms are, when to get medical help and how it can be. Once this happens, small gaps (called “pockets”). Teeth Grinding Gum Recession.
From www.sarasotadentistry.com
Recession? Exposed Tooth Root Causes and Treatments Sarasota Dentistry Teeth Grinding Gum Recession Read about teeth grinding (bruxism). Typically, people who grind their teeth during sleep have sleeping. Find out what causes it, what the associated symptoms are, when to get medical help and how it can be. This is known as gum recession, and it can progress and lead to loose teeth and eventual tooth loss. Once this happens, small gaps (called. Teeth Grinding Gum Recession.
From dentifixers.com
Gum Recession From Grinding Teeth Causes And Treatments Teeth Grinding Gum Recession It’s caused by a number of factors,. Gum recession happens when your gum tissue starts to die off and your gum line shrinks higher and higher up the tooth. Bruxism causes gum recession and is considered a sleep related movement disorder. This treatment is generally effective for individuals whose gum recession was specifically caused by the position of a certain. Teeth Grinding Gum Recession.
From stadsklevdental.blogspot.com
Stadsklev Dental Blog What is Gum Recession and Why is it a Concern? Teeth Grinding Gum Recession Read about teeth grinding (bruxism). This treatment is generally effective for individuals whose gum recession was specifically caused by the position of a certain tooth (or. It’s caused by a number of factors,. Typically, people who grind their teeth during sleep have sleeping. Once this happens, small gaps (called “pockets”) open. Find out what causes it, what the associated symptoms. Teeth Grinding Gum Recession.
From dentalopolis.com
Gum Recession How To Grow Back Your Lost Gums Teeth Grinding Gum Recession Typically, people who grind their teeth during sleep have sleeping. Find out what causes it, what the associated symptoms are, when to get medical help and how it can be. This treatment is generally effective for individuals whose gum recession was specifically caused by the position of a certain tooth (or. Gum recession happens when your gum tissue starts to. Teeth Grinding Gum Recession.
From www.macombsmiles.com
Can Gum Recession Be Reversed At Home? Hoffman Dental Care Teeth Grinding Gum Recession Bruxism causes gum recession and is considered a sleep related movement disorder. Gum recession is when your gum tissue pulls away from your teeth, exposing the roots underneath. If a misaligned bite or teeth grinding is the cause of gum recession, talk to your dentist about how to correct the problem. Read about teeth grinding (bruxism). It’s caused by a. Teeth Grinding Gum Recession.
From www.animalia-life.club
Receding Gums Stages Teeth Grinding Gum Recession If a misaligned bite or teeth grinding is the cause of gum recession, talk to your dentist about how to correct the problem. Bruxism causes gum recession and is considered a sleep related movement disorder. Find out what causes it, what the associated symptoms are, when to get medical help and how it can be. Gum recession is when your. Teeth Grinding Gum Recession.
From alencarodontologia.blogspot.com
Dicas e Artigos Como tratar a raíz exposta do dente? Teeth Grinding Gum Recession Read about teeth grinding (bruxism). It’s caused by a number of factors,. Gum recession is when your gum tissue pulls away from your teeth, exposing the roots underneath. Gum recession happens when your gum tissue starts to die off and your gum line shrinks higher and higher up the tooth. If a misaligned bite or teeth grinding is the cause. Teeth Grinding Gum Recession.
From createsmiles.com
Gum Recession CreateSmiles by Dr. Brad Lockhart Tustin Dentist Teeth Grinding Gum Recession Bruxism causes gum recession and is considered a sleep related movement disorder. If a misaligned bite or teeth grinding is the cause of gum recession, talk to your dentist about how to correct the problem. This treatment is generally effective for individuals whose gum recession was specifically caused by the position of a certain tooth (or. Gum recession happens when. Teeth Grinding Gum Recession.
From dentifixers.com
Gum Recession From Grinding Teeth Causes And Treatments Teeth Grinding Gum Recession Read about teeth grinding (bruxism). It’s caused by a number of factors,. Once this happens, small gaps (called “pockets”) open. Gum recession is when your gum tissue pulls away from your teeth, exposing the roots underneath. If a misaligned bite or teeth grinding is the cause of gum recession, talk to your dentist about how to correct the problem. Find. Teeth Grinding Gum Recession.
From www.oklahomacitydentalimplant.com
Gum Recession Treatment Video Ryan Lanman DDS, MSD Teeth Grinding Gum Recession This is known as gum recession, and it can progress and lead to loose teeth and eventual tooth loss. Read about teeth grinding (bruxism). Find out what causes it, what the associated symptoms are, when to get medical help and how it can be. Once this happens, small gaps (called “pockets”) open. Gum recession happens when your gum tissue starts. Teeth Grinding Gum Recession.
From cornerstonedentalcaresmiles.blogspot.com
Cornerstone Dental Care Teeth Grinding Gum Recession Once this happens, small gaps (called “pockets”) open. Find out what causes it, what the associated symptoms are, when to get medical help and how it can be. Gum recession happens when your gum tissue starts to die off and your gum line shrinks higher and higher up the tooth. This treatment is generally effective for individuals whose gum recession. Teeth Grinding Gum Recession.
From www.randyfongdds.com
Bruxism Santa Ana, CA Randy Fong, DDS Teeth Grinding Gum Recession Find out what causes it, what the associated symptoms are, when to get medical help and how it can be. Once this happens, small gaps (called “pockets”) open. Bruxism causes gum recession and is considered a sleep related movement disorder. If a misaligned bite or teeth grinding is the cause of gum recession, talk to your dentist about how to. Teeth Grinding Gum Recession.
From www.drwilliammckenzie.com
Why are my Gums Receding? — The McKenzie Center Implants & Periodontics Teeth Grinding Gum Recession Find out what causes it, what the associated symptoms are, when to get medical help and how it can be. This is known as gum recession, and it can progress and lead to loose teeth and eventual tooth loss. Read about teeth grinding (bruxism). Bruxism causes gum recession and is considered a sleep related movement disorder. It’s caused by a. Teeth Grinding Gum Recession.
From wynnewooddentalarts.com
Does Teeth Grinding Cause Gum Recession? Teeth Grinding Gum Recession Find out what causes it, what the associated symptoms are, when to get medical help and how it can be. If a misaligned bite or teeth grinding is the cause of gum recession, talk to your dentist about how to correct the problem. This treatment is generally effective for individuals whose gum recession was specifically caused by the position of. Teeth Grinding Gum Recession.
From www.drnemeth.com
BRUXISM CAUSES & SYMPTOMS (MAJOR CONTRIBUTOR TO GUM RECESSION Teeth Grinding Gum Recession If a misaligned bite or teeth grinding is the cause of gum recession, talk to your dentist about how to correct the problem. This is known as gum recession, and it can progress and lead to loose teeth and eventual tooth loss. Typically, people who grind their teeth during sleep have sleeping. Bruxism causes gum recession and is considered a. Teeth Grinding Gum Recession.
From nigentigar.weebly.com
teeth grinding and receding gums Teeth Grinding Gum Recession It’s caused by a number of factors,. This is known as gum recession, and it can progress and lead to loose teeth and eventual tooth loss. Gum recession happens when your gum tissue starts to die off and your gum line shrinks higher and higher up the tooth. Once this happens, small gaps (called “pockets”) open. This treatment is generally. Teeth Grinding Gum Recession.
From blog.drhc.ae
Teeth Grinding and Gum Recession Teeth Grinding Gum Recession Once this happens, small gaps (called “pockets”) open. Gum recession happens when your gum tissue starts to die off and your gum line shrinks higher and higher up the tooth. This is known as gum recession, and it can progress and lead to loose teeth and eventual tooth loss. Bruxism causes gum recession and is considered a sleep related movement. Teeth Grinding Gum Recession.
From docraminmehregan.blogspot.com
Ramin Mehregan D.M.D. HOW YOUR SMILE CHANGES WITH AGE Teeth Grinding Gum Recession If a misaligned bite or teeth grinding is the cause of gum recession, talk to your dentist about how to correct the problem. Bruxism causes gum recession and is considered a sleep related movement disorder. Gum recession happens when your gum tissue starts to die off and your gum line shrinks higher and higher up the tooth. Find out what. Teeth Grinding Gum Recession.
From www.appletreedentistry.co.uk
Gum Recession Dentist Cambridge Teeth Grinding Gum Recession It’s caused by a number of factors,. Typically, people who grind their teeth during sleep have sleeping. This treatment is generally effective for individuals whose gum recession was specifically caused by the position of a certain tooth (or. Gum recession is when your gum tissue pulls away from your teeth, exposing the roots underneath. Gum recession happens when your gum. Teeth Grinding Gum Recession.
From gumdiseaseguide.org
How Does Teeth Grinding Cause Gum Recession GDG Teeth Grinding Gum Recession Gum recession happens when your gum tissue starts to die off and your gum line shrinks higher and higher up the tooth. Bruxism causes gum recession and is considered a sleep related movement disorder. It’s caused by a number of factors,. Typically, people who grind their teeth during sleep have sleeping. Read about teeth grinding (bruxism). If a misaligned bite. Teeth Grinding Gum Recession.
From alexandria.dental
How Does Teeth Grinding Causes Gum Recession? Teeth Grinding Gum Recession Once this happens, small gaps (called “pockets”) open. Bruxism causes gum recession and is considered a sleep related movement disorder. This treatment is generally effective for individuals whose gum recession was specifically caused by the position of a certain tooth (or. Gum recession is when your gum tissue pulls away from your teeth, exposing the roots underneath. It’s caused by. Teeth Grinding Gum Recession.
From www.archwired.com
What Is Gum Recession in Dentistry? ArchWired Teeth Grinding Gum Recession Find out what causes it, what the associated symptoms are, when to get medical help and how it can be. This treatment is generally effective for individuals whose gum recession was specifically caused by the position of a certain tooth (or. Once this happens, small gaps (called “pockets”) open. Read about teeth grinding (bruxism). If a misaligned bite or teeth. Teeth Grinding Gum Recession.
From animalia-life.club
Why Am I Clenching My Teeth In My Sleep Teeth Grinding Gum Recession Bruxism causes gum recession and is considered a sleep related movement disorder. Typically, people who grind their teeth during sleep have sleeping. Gum recession is when your gum tissue pulls away from your teeth, exposing the roots underneath. Find out what causes it, what the associated symptoms are, when to get medical help and how it can be. Gum recession. Teeth Grinding Gum Recession.
From www.melodywardperiodontics.com
Periodontist Discusses the Best Way To Prevent Gum Recession Teeth Grinding Gum Recession Typically, people who grind their teeth during sleep have sleeping. This treatment is generally effective for individuals whose gum recession was specifically caused by the position of a certain tooth (or. Bruxism causes gum recession and is considered a sleep related movement disorder. Once this happens, small gaps (called “pockets”) open. Find out what causes it, what the associated symptoms. Teeth Grinding Gum Recession.
From www.slideshare.net
How Does Teeth Grinding Cause Gum Recession? Teeth Grinding Gum Recession It’s caused by a number of factors,. If a misaligned bite or teeth grinding is the cause of gum recession, talk to your dentist about how to correct the problem. This treatment is generally effective for individuals whose gum recession was specifically caused by the position of a certain tooth (or. Bruxism causes gum recession and is considered a sleep. Teeth Grinding Gum Recession.
From dentalinsuranceinsiders.com
Why Do Teeth Grinding Cause Gum Recession? Dental Insurance Insiders Teeth Grinding Gum Recession Gum recession happens when your gum tissue starts to die off and your gum line shrinks higher and higher up the tooth. This treatment is generally effective for individuals whose gum recession was specifically caused by the position of a certain tooth (or. If a misaligned bite or teeth grinding is the cause of gum recession, talk to your dentist. Teeth Grinding Gum Recession.
From www.premierdentalohio.com
Receding Gums Common Dental Conditions Premier Dental Teeth Grinding Gum Recession Once this happens, small gaps (called “pockets”) open. This is known as gum recession, and it can progress and lead to loose teeth and eventual tooth loss. Typically, people who grind their teeth during sleep have sleeping. Read about teeth grinding (bruxism). If a misaligned bite or teeth grinding is the cause of gum recession, talk to your dentist about. Teeth Grinding Gum Recession.
From www.konigdds.com
Is Grinding My Teeth Normal? Does this Cause Worn Teeth? Konig Center Teeth Grinding Gum Recession This treatment is generally effective for individuals whose gum recession was specifically caused by the position of a certain tooth (or. Gum recession is when your gum tissue pulls away from your teeth, exposing the roots underneath. Gum recession happens when your gum tissue starts to die off and your gum line shrinks higher and higher up the tooth. If. Teeth Grinding Gum Recession.
From andersonlakedental.com
How to Stop Gum Recession? Anderson Lake Dental Teeth Grinding Gum Recession Typically, people who grind their teeth during sleep have sleeping. Gum recession happens when your gum tissue starts to die off and your gum line shrinks higher and higher up the tooth. Read about teeth grinding (bruxism). Once this happens, small gaps (called “pockets”) open. This treatment is generally effective for individuals whose gum recession was specifically caused by the. Teeth Grinding Gum Recession.
From www.alyseshockey.com
Teeth Grinding Teeth Grinding Gum Recession It’s caused by a number of factors,. Bruxism causes gum recession and is considered a sleep related movement disorder. Once this happens, small gaps (called “pockets”) open. Typically, people who grind their teeth during sleep have sleeping. This is known as gum recession, and it can progress and lead to loose teeth and eventual tooth loss. Read about teeth grinding. Teeth Grinding Gum Recession.
From www.drlufidrleah.com
FACT SHEET TEETH GRINDING/BRUXISM Teeth Grinding Gum Recession This is known as gum recession, and it can progress and lead to loose teeth and eventual tooth loss. Gum recession happens when your gum tissue starts to die off and your gum line shrinks higher and higher up the tooth. Find out what causes it, what the associated symptoms are, when to get medical help and how it can. Teeth Grinding Gum Recession.
From www.brisbanesmiles.com.au
What Is Gum Recession and How to Treat It Brisbane Smiles Teeth Grinding Gum Recession Gum recession is when your gum tissue pulls away from your teeth, exposing the roots underneath. This is known as gum recession, and it can progress and lead to loose teeth and eventual tooth loss. It’s caused by a number of factors,. If a misaligned bite or teeth grinding is the cause of gum recession, talk to your dentist about. Teeth Grinding Gum Recession.
From brittenperio.com
This is what happens when your gums are receding Britten Perio Teeth Grinding Gum Recession This treatment is generally effective for individuals whose gum recession was specifically caused by the position of a certain tooth (or. Once this happens, small gaps (called “pockets”) open. This is known as gum recession, and it can progress and lead to loose teeth and eventual tooth loss. Gum recession happens when your gum tissue starts to die off and. Teeth Grinding Gum Recession.
From onlinelibrary.wiley.com
Eating disorders through the periodontal lens Rangé 2021 Teeth Grinding Gum Recession Read about teeth grinding (bruxism). This is known as gum recession, and it can progress and lead to loose teeth and eventual tooth loss. Bruxism causes gum recession and is considered a sleep related movement disorder. Find out what causes it, what the associated symptoms are, when to get medical help and how it can be. Gum recession is when. Teeth Grinding Gum Recession.