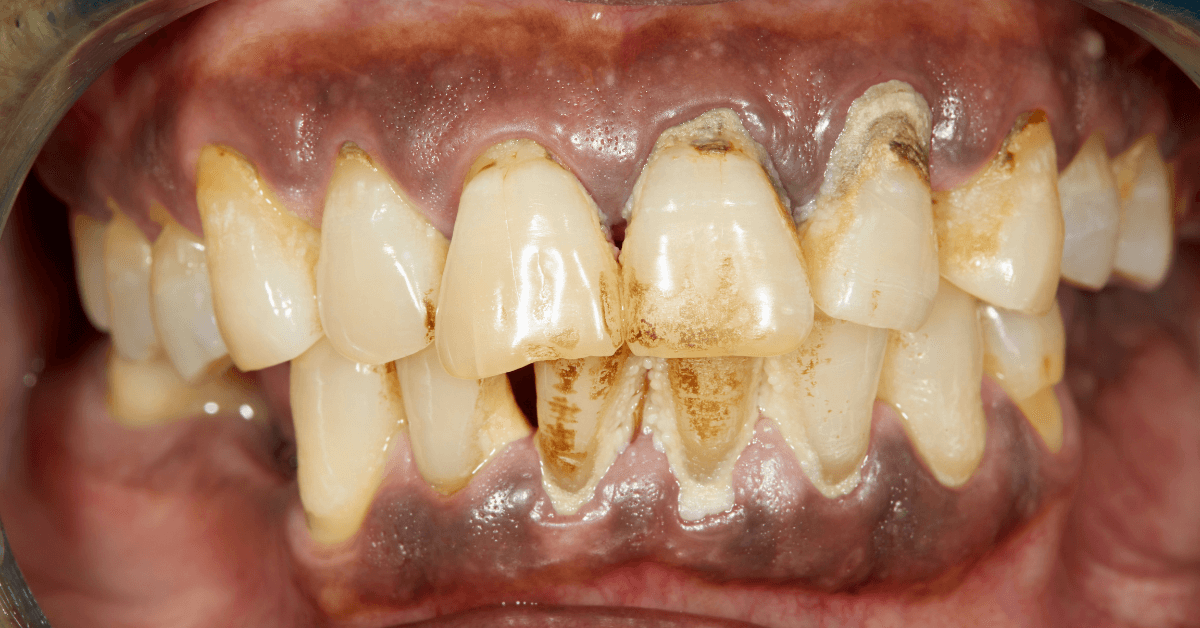
Apa Itu Spesialis Periodonsia . Spesialis periodonsia (spperio) periodontal adalah jaringan pendukung yang mengelilingi gigi dan melekat pada tulang rahang. Dokter gigi spesialis periodonsia atau periodontis menangani kondisi yang memengaruhi gusi dan struktur pendukung gigi. Dokter spesialis periodonsia atau periodontist adalah dokter gigi yang berfokus pada pencegahan, diagnosis, dan pengobatan penyakit periodontal. Ini adalah penyakit peradangan kronis yang mempengaruhi gusi dan tulang penyangga gigi. Dokter spesialis periodonsia atau yang disebut juga periodontis merupakan spesialis gigi yang berfokus mengatasi masalah periodontal (gusi). Dokter spesialis periodonsia adalah dokter gigi yang berfokus pada pencegahan, diagnosis, dan pengobatan penyakit periodontal. Periodonsia adalah cabang dari kedokteran gigi yang berfokus pada struktur pendukung gigi, termasuk gusi, tulang alveolar, dan ligamen periodontal. Nah, permasalah pada bagian ini merupakan ranahnya seorang dokter spesialis periodonsia. Spesialis periodonsia adalah dokter gigi yang fokus pada pencegahan, diagnosis, dan pengobatan penyakit periodontal, yang. Beberapa kondisi dan penyakit yang dapat ditangani oleh spesialis periodonsia, meliputi gingivitis, periodontitis, perikoronitis, resesi gingiva, dan abses periodontal. Ini adalah penyakit peradangan kronis. Apa itu dokter spesialis periodonsia? Apa itu dokter spesialis periodonsia?
from rsgm.ugm.ac.id
Ini adalah penyakit peradangan kronis. Ini adalah penyakit peradangan kronis yang mempengaruhi gusi dan tulang penyangga gigi. Periodonsia adalah cabang dari kedokteran gigi yang berfokus pada struktur pendukung gigi, termasuk gusi, tulang alveolar, dan ligamen periodontal. Dokter gigi spesialis periodonsia atau periodontis menangani kondisi yang memengaruhi gusi dan struktur pendukung gigi. Nah, permasalah pada bagian ini merupakan ranahnya seorang dokter spesialis periodonsia. Spesialis periodonsia (spperio) periodontal adalah jaringan pendukung yang mengelilingi gigi dan melekat pada tulang rahang. Apa itu dokter spesialis periodonsia? Dokter spesialis periodonsia adalah dokter gigi yang berfokus pada pencegahan, diagnosis, dan pengobatan penyakit periodontal. Dokter spesialis periodonsia atau yang disebut juga periodontis merupakan spesialis gigi yang berfokus mengatasi masalah periodontal (gusi). Beberapa kondisi dan penyakit yang dapat ditangani oleh spesialis periodonsia, meliputi gingivitis, periodontitis, perikoronitis, resesi gingiva, dan abses periodontal.
Kunjungan Tim Pendidikan Dokter Spesialis Periodonsia Fakultas
Apa Itu Spesialis Periodonsia Apa itu dokter spesialis periodonsia? Nah, permasalah pada bagian ini merupakan ranahnya seorang dokter spesialis periodonsia. Apa itu dokter spesialis periodonsia? Dokter gigi spesialis periodonsia atau periodontis menangani kondisi yang memengaruhi gusi dan struktur pendukung gigi. Dokter spesialis periodonsia atau periodontist adalah dokter gigi yang berfokus pada pencegahan, diagnosis, dan pengobatan penyakit periodontal. Dokter spesialis periodonsia adalah dokter gigi yang berfokus pada pencegahan, diagnosis, dan pengobatan penyakit periodontal. Dokter spesialis periodonsia atau yang disebut juga periodontis merupakan spesialis gigi yang berfokus mengatasi masalah periodontal (gusi). Ini adalah penyakit peradangan kronis yang mempengaruhi gusi dan tulang penyangga gigi. Ini adalah penyakit peradangan kronis. Periodonsia adalah cabang dari kedokteran gigi yang berfokus pada struktur pendukung gigi, termasuk gusi, tulang alveolar, dan ligamen periodontal. Beberapa kondisi dan penyakit yang dapat ditangani oleh spesialis periodonsia, meliputi gingivitis, periodontitis, perikoronitis, resesi gingiva, dan abses periodontal. Spesialis periodonsia adalah dokter gigi yang fokus pada pencegahan, diagnosis, dan pengobatan penyakit periodontal, yang. Spesialis periodonsia (spperio) periodontal adalah jaringan pendukung yang mengelilingi gigi dan melekat pada tulang rahang. Apa itu dokter spesialis periodonsia?
From mitramedika.com
KLINIK SPESIALIS PERIODONSIA RS Mitra Medika Premiere Apa Itu Spesialis Periodonsia Nah, permasalah pada bagian ini merupakan ranahnya seorang dokter spesialis periodonsia. Apa itu dokter spesialis periodonsia? Ini adalah penyakit peradangan kronis yang mempengaruhi gusi dan tulang penyangga gigi. Periodonsia adalah cabang dari kedokteran gigi yang berfokus pada struktur pendukung gigi, termasuk gusi, tulang alveolar, dan ligamen periodontal. Apa itu dokter spesialis periodonsia? Ini adalah penyakit peradangan kronis. Spesialis periodonsia adalah. Apa Itu Spesialis Periodonsia.
From mhdc.co.id
Spesialis Periodonsia Apa Itu Spesialis Periodonsia Dokter gigi spesialis periodonsia atau periodontis menangani kondisi yang memengaruhi gusi dan struktur pendukung gigi. Ini adalah penyakit peradangan kronis yang mempengaruhi gusi dan tulang penyangga gigi. Dokter spesialis periodonsia atau yang disebut juga periodontis merupakan spesialis gigi yang berfokus mengatasi masalah periodontal (gusi). Dokter spesialis periodonsia atau periodontist adalah dokter gigi yang berfokus pada pencegahan, diagnosis, dan pengobatan penyakit. Apa Itu Spesialis Periodonsia.
From rsisurabaya.com
Tunda ke Dokter GIGI Spesialis Periodonsia RS Islam Surabaya Apa Itu Spesialis Periodonsia Apa itu dokter spesialis periodonsia? Ini adalah penyakit peradangan kronis. Dokter gigi spesialis periodonsia atau periodontis menangani kondisi yang memengaruhi gusi dan struktur pendukung gigi. Periodonsia adalah cabang dari kedokteran gigi yang berfokus pada struktur pendukung gigi, termasuk gusi, tulang alveolar, dan ligamen periodontal. Dokter spesialis periodonsia atau yang disebut juga periodontis merupakan spesialis gigi yang berfokus mengatasi masalah periodontal. Apa Itu Spesialis Periodonsia.
From www.usu.ac.id
Program Spesialis Periodonsia Universitas Sumatera utara Apa Itu Spesialis Periodonsia Dokter spesialis periodonsia adalah dokter gigi yang berfokus pada pencegahan, diagnosis, dan pengobatan penyakit periodontal. Spesialis periodonsia adalah dokter gigi yang fokus pada pencegahan, diagnosis, dan pengobatan penyakit periodontal, yang. Spesialis periodonsia (spperio) periodontal adalah jaringan pendukung yang mengelilingi gigi dan melekat pada tulang rahang. Apa itu dokter spesialis periodonsia? Ini adalah penyakit peradangan kronis yang mempengaruhi gusi dan tulang. Apa Itu Spesialis Periodonsia.
From herminahospitals.com
Hermina Hospitals Telah Bergabung Dokter Gigi Spesialis Periodonsia Apa Itu Spesialis Periodonsia Dokter spesialis periodonsia atau yang disebut juga periodontis merupakan spesialis gigi yang berfokus mengatasi masalah periodontal (gusi). Periodonsia adalah cabang dari kedokteran gigi yang berfokus pada struktur pendukung gigi, termasuk gusi, tulang alveolar, dan ligamen periodontal. Beberapa kondisi dan penyakit yang dapat ditangani oleh spesialis periodonsia, meliputi gingivitis, periodontitis, perikoronitis, resesi gingiva, dan abses periodontal. Apa itu dokter spesialis periodonsia?. Apa Itu Spesialis Periodonsia.
From newlookdentalcare.id
Dokter Gigi Spesialis Periodonti Surabaya Dokter Gigi Spesialis Apa Itu Spesialis Periodonsia Spesialis periodonsia (spperio) periodontal adalah jaringan pendukung yang mengelilingi gigi dan melekat pada tulang rahang. Dokter gigi spesialis periodonsia atau periodontis menangani kondisi yang memengaruhi gusi dan struktur pendukung gigi. Periodonsia adalah cabang dari kedokteran gigi yang berfokus pada struktur pendukung gigi, termasuk gusi, tulang alveolar, dan ligamen periodontal. Dokter spesialis periodonsia adalah dokter gigi yang berfokus pada pencegahan, diagnosis,. Apa Itu Spesialis Periodonsia.
From www.klikdokter.com
Mengenal Dokter Gigi Spesialis Periodonti, Apa Tugasnya? KlikDokter Apa Itu Spesialis Periodonsia Apa itu dokter spesialis periodonsia? Beberapa kondisi dan penyakit yang dapat ditangani oleh spesialis periodonsia, meliputi gingivitis, periodontitis, perikoronitis, resesi gingiva, dan abses periodontal. Apa itu dokter spesialis periodonsia? Spesialis periodonsia (spperio) periodontal adalah jaringan pendukung yang mengelilingi gigi dan melekat pada tulang rahang. Dokter spesialis periodonsia adalah dokter gigi yang berfokus pada pencegahan, diagnosis, dan pengobatan penyakit periodontal. Nah,. Apa Itu Spesialis Periodonsia.
From hellosehat.com
Peran Dokter Gigi Spesialis Periodonsia untuk Kesehatan Mulut Apa Itu Spesialis Periodonsia Dokter spesialis periodonsia adalah dokter gigi yang berfokus pada pencegahan, diagnosis, dan pengobatan penyakit periodontal. Spesialis periodonsia adalah dokter gigi yang fokus pada pencegahan, diagnosis, dan pengobatan penyakit periodontal, yang. Beberapa kondisi dan penyakit yang dapat ditangani oleh spesialis periodonsia, meliputi gingivitis, periodontitis, perikoronitis, resesi gingiva, dan abses periodontal. Dokter spesialis periodonsia atau yang disebut juga periodontis merupakan spesialis gigi. Apa Itu Spesialis Periodonsia.
From www.audydental.com
Mengenal Dokter Gigi Spesialis Periodonsia dan Kesulitan yang Biasa Apa Itu Spesialis Periodonsia Dokter spesialis periodonsia adalah dokter gigi yang berfokus pada pencegahan, diagnosis, dan pengobatan penyakit periodontal. Ini adalah penyakit peradangan kronis yang mempengaruhi gusi dan tulang penyangga gigi. Ini adalah penyakit peradangan kronis. Apa itu dokter spesialis periodonsia? Beberapa kondisi dan penyakit yang dapat ditangani oleh spesialis periodonsia, meliputi gingivitis, periodontitis, perikoronitis, resesi gingiva, dan abses periodontal. Spesialis periodonsia adalah dokter. Apa Itu Spesialis Periodonsia.
From mhdc.co.id
Mengenal Dokter Spesialis Periodonsia dan Tindakan Medisnya Apa Itu Spesialis Periodonsia Ini adalah penyakit peradangan kronis yang mempengaruhi gusi dan tulang penyangga gigi. Dokter spesialis periodonsia adalah dokter gigi yang berfokus pada pencegahan, diagnosis, dan pengobatan penyakit periodontal. Ini adalah penyakit peradangan kronis. Dokter gigi spesialis periodonsia atau periodontis menangani kondisi yang memengaruhi gusi dan struktur pendukung gigi. Dokter spesialis periodonsia atau yang disebut juga periodontis merupakan spesialis gigi yang berfokus. Apa Itu Spesialis Periodonsia.
From www.klikdokter.com
Mengenal Dokter Gigi Spesialis Periodonti, Apa Tugasnya? KlikDokter Apa Itu Spesialis Periodonsia Ini adalah penyakit peradangan kronis. Spesialis periodonsia adalah dokter gigi yang fokus pada pencegahan, diagnosis, dan pengobatan penyakit periodontal, yang. Ini adalah penyakit peradangan kronis yang mempengaruhi gusi dan tulang penyangga gigi. Beberapa kondisi dan penyakit yang dapat ditangani oleh spesialis periodonsia, meliputi gingivitis, periodontitis, perikoronitis, resesi gingiva, dan abses periodontal. Spesialis periodonsia (spperio) periodontal adalah jaringan pendukung yang mengelilingi. Apa Itu Spesialis Periodonsia.
From wibowodental.com
Dokter Spesialis Implan Gigi di Surabaya Wibowo Dental Clinic Apa Itu Spesialis Periodonsia Beberapa kondisi dan penyakit yang dapat ditangani oleh spesialis periodonsia, meliputi gingivitis, periodontitis, perikoronitis, resesi gingiva, dan abses periodontal. Dokter spesialis periodonsia adalah dokter gigi yang berfokus pada pencegahan, diagnosis, dan pengobatan penyakit periodontal. Nah, permasalah pada bagian ini merupakan ranahnya seorang dokter spesialis periodonsia. Dokter spesialis periodonsia atau yang disebut juga periodontis merupakan spesialis gigi yang berfokus mengatasi masalah. Apa Itu Spesialis Periodonsia.
From fkg.usu.ac.id
Alumni Prodi Spesialis Periodonsia Menyerahkan Bantuan Senilai 25jt Apa Itu Spesialis Periodonsia Ini adalah penyakit peradangan kronis yang mempengaruhi gusi dan tulang penyangga gigi. Dokter spesialis periodonsia adalah dokter gigi yang berfokus pada pencegahan, diagnosis, dan pengobatan penyakit periodontal. Dokter gigi spesialis periodonsia atau periodontis menangani kondisi yang memengaruhi gusi dan struktur pendukung gigi. Spesialis periodonsia adalah dokter gigi yang fokus pada pencegahan, diagnosis, dan pengobatan penyakit periodontal, yang. Apa itu dokter. Apa Itu Spesialis Periodonsia.
From www.facebook.com
Apa itu gum bleaching? Yuk simak penjelasan Spesialis Periodontia di Apa Itu Spesialis Periodonsia Apa itu dokter spesialis periodonsia? Dokter spesialis periodonsia atau periodontist adalah dokter gigi yang berfokus pada pencegahan, diagnosis, dan pengobatan penyakit periodontal. Spesialis periodonsia adalah dokter gigi yang fokus pada pencegahan, diagnosis, dan pengobatan penyakit periodontal, yang. Ini adalah penyakit peradangan kronis yang mempengaruhi gusi dan tulang penyangga gigi. Ini adalah penyakit peradangan kronis. Dokter gigi spesialis periodonsia atau periodontis. Apa Itu Spesialis Periodonsia.
From rsgm.ugm.ac.id
Kunjungan Tim Pendidikan Dokter Spesialis Periodonsia Fakultas Apa Itu Spesialis Periodonsia Beberapa kondisi dan penyakit yang dapat ditangani oleh spesialis periodonsia, meliputi gingivitis, periodontitis, perikoronitis, resesi gingiva, dan abses periodontal. Dokter gigi spesialis periodonsia atau periodontis menangani kondisi yang memengaruhi gusi dan struktur pendukung gigi. Apa itu dokter spesialis periodonsia? Nah, permasalah pada bagian ini merupakan ranahnya seorang dokter spesialis periodonsia. Dokter spesialis periodonsia atau yang disebut juga periodontis merupakan spesialis. Apa Itu Spesialis Periodonsia.
From rsgm.ugm.ac.id
Kunjungan Tim Pendidikan Dokter Spesialis Periodonsia Fakultas Apa Itu Spesialis Periodonsia Apa itu dokter spesialis periodonsia? Dokter spesialis periodonsia adalah dokter gigi yang berfokus pada pencegahan, diagnosis, dan pengobatan penyakit periodontal. Apa itu dokter spesialis periodonsia? Ini adalah penyakit peradangan kronis yang mempengaruhi gusi dan tulang penyangga gigi. Dokter spesialis periodonsia atau periodontist adalah dokter gigi yang berfokus pada pencegahan, diagnosis, dan pengobatan penyakit periodontal. Periodonsia adalah cabang dari kedokteran gigi. Apa Itu Spesialis Periodonsia.
From www.klikdokter.com
Mengenal Dokter Gigi Spesialis Periodonti, Apa Tugasnya? KlikDokter Apa Itu Spesialis Periodonsia Ini adalah penyakit peradangan kronis. Dokter spesialis periodonsia adalah dokter gigi yang berfokus pada pencegahan, diagnosis, dan pengobatan penyakit periodontal. Apa itu dokter spesialis periodonsia? Nah, permasalah pada bagian ini merupakan ranahnya seorang dokter spesialis periodonsia. Ini adalah penyakit peradangan kronis yang mempengaruhi gusi dan tulang penyangga gigi. Periodonsia adalah cabang dari kedokteran gigi yang berfokus pada struktur pendukung gigi,. Apa Itu Spesialis Periodonsia.
From mydents.co.id
Tentang Klinik Dokter Gigi Mydents Dental Care Apa Itu Spesialis Periodonsia Beberapa kondisi dan penyakit yang dapat ditangani oleh spesialis periodonsia, meliputi gingivitis, periodontitis, perikoronitis, resesi gingiva, dan abses periodontal. Dokter gigi spesialis periodonsia atau periodontis menangani kondisi yang memengaruhi gusi dan struktur pendukung gigi. Dokter spesialis periodonsia atau periodontist adalah dokter gigi yang berfokus pada pencegahan, diagnosis, dan pengobatan penyakit periodontal. Spesialis periodonsia adalah dokter gigi yang fokus pada pencegahan,. Apa Itu Spesialis Periodonsia.
From www.youtube.com
Podcast Sehat Syafira Eps.4 MENGENAL SPESIALIS PERIODONSIA (drg. Beryl Apa Itu Spesialis Periodonsia Spesialis periodonsia (spperio) periodontal adalah jaringan pendukung yang mengelilingi gigi dan melekat pada tulang rahang. Beberapa kondisi dan penyakit yang dapat ditangani oleh spesialis periodonsia, meliputi gingivitis, periodontitis, perikoronitis, resesi gingiva, dan abses periodontal. Ini adalah penyakit peradangan kronis yang mempengaruhi gusi dan tulang penyangga gigi. Dokter spesialis periodonsia atau periodontist adalah dokter gigi yang berfokus pada pencegahan, diagnosis, dan. Apa Itu Spesialis Periodonsia.
From www.facebook.com
Hi KawanChroma 🤗 Ada yang tau ga... Chroma Dental Station Apa Itu Spesialis Periodonsia Apa itu dokter spesialis periodonsia? Spesialis periodonsia adalah dokter gigi yang fokus pada pencegahan, diagnosis, dan pengobatan penyakit periodontal, yang. Dokter spesialis periodonsia atau yang disebut juga periodontis merupakan spesialis gigi yang berfokus mengatasi masalah periodontal (gusi). Dokter spesialis periodonsia adalah dokter gigi yang berfokus pada pencegahan, diagnosis, dan pengobatan penyakit periodontal. Beberapa kondisi dan penyakit yang dapat ditangani oleh. Apa Itu Spesialis Periodonsia.
From kasih-group.com
Telah Bergabung Dokter Gigi Spesialis Periodonsia Kasih Group Apa Itu Spesialis Periodonsia Dokter spesialis periodonsia atau yang disebut juga periodontis merupakan spesialis gigi yang berfokus mengatasi masalah periodontal (gusi). Dokter spesialis periodonsia adalah dokter gigi yang berfokus pada pencegahan, diagnosis, dan pengobatan penyakit periodontal. Periodonsia adalah cabang dari kedokteran gigi yang berfokus pada struktur pendukung gigi, termasuk gusi, tulang alveolar, dan ligamen periodontal. Ini adalah penyakit peradangan kronis yang mempengaruhi gusi dan. Apa Itu Spesialis Periodonsia.
From rsbhayangkarabanjarmasin.co.id
Mengenal Spesialis Periodonsia Dokter Gigi RS Bhayangkara Banjarmasin Apa Itu Spesialis Periodonsia Ini adalah penyakit peradangan kronis. Dokter gigi spesialis periodonsia atau periodontis menangani kondisi yang memengaruhi gusi dan struktur pendukung gigi. Nah, permasalah pada bagian ini merupakan ranahnya seorang dokter spesialis periodonsia. Beberapa kondisi dan penyakit yang dapat ditangani oleh spesialis periodonsia, meliputi gingivitis, periodontitis, perikoronitis, resesi gingiva, dan abses periodontal. Spesialis periodonsia adalah dokter gigi yang fokus pada pencegahan, diagnosis,. Apa Itu Spesialis Periodonsia.
From timesindonesia.co.id
Kenalan dengan Dokter Gigi Spesialis Periodonti RSI Unisma dan Tugasnya Apa Itu Spesialis Periodonsia Ini adalah penyakit peradangan kronis. Dokter spesialis periodonsia atau periodontist adalah dokter gigi yang berfokus pada pencegahan, diagnosis, dan pengobatan penyakit periodontal. Spesialis periodonsia adalah dokter gigi yang fokus pada pencegahan, diagnosis, dan pengobatan penyakit periodontal, yang. Dokter spesialis periodonsia atau yang disebut juga periodontis merupakan spesialis gigi yang berfokus mengatasi masalah periodontal (gusi). Nah, permasalah pada bagian ini merupakan. Apa Itu Spesialis Periodonsia.
From www.gramedia.com
Jurusan Spesialis Periodonsia Apa Itu Spesialis Periodonsia Beberapa kondisi dan penyakit yang dapat ditangani oleh spesialis periodonsia, meliputi gingivitis, periodontitis, perikoronitis, resesi gingiva, dan abses periodontal. Spesialis periodonsia (spperio) periodontal adalah jaringan pendukung yang mengelilingi gigi dan melekat pada tulang rahang. Periodonsia adalah cabang dari kedokteran gigi yang berfokus pada struktur pendukung gigi, termasuk gusi, tulang alveolar, dan ligamen periodontal. Apa itu dokter spesialis periodonsia? Nah, permasalah. Apa Itu Spesialis Periodonsia.
From warta.luwutimurkab.go.id
Poliklinik Periodonsia RSUD I Lagaligo Lutim Sediakan 29 Jenis Layanan Apa Itu Spesialis Periodonsia Spesialis periodonsia (spperio) periodontal adalah jaringan pendukung yang mengelilingi gigi dan melekat pada tulang rahang. Periodonsia adalah cabang dari kedokteran gigi yang berfokus pada struktur pendukung gigi, termasuk gusi, tulang alveolar, dan ligamen periodontal. Beberapa kondisi dan penyakit yang dapat ditangani oleh spesialis periodonsia, meliputi gingivitis, periodontitis, perikoronitis, resesi gingiva, dan abses periodontal. Dokter gigi spesialis periodonsia atau periodontis menangani. Apa Itu Spesialis Periodonsia.
From www.rsiunisma.com
Dokter Gigi Spesialis Periodonsia di Malang RSI Unisma Apa Itu Spesialis Periodonsia Dokter spesialis periodonsia atau periodontist adalah dokter gigi yang berfokus pada pencegahan, diagnosis, dan pengobatan penyakit periodontal. Dokter spesialis periodonsia adalah dokter gigi yang berfokus pada pencegahan, diagnosis, dan pengobatan penyakit periodontal. Spesialis periodonsia adalah dokter gigi yang fokus pada pencegahan, diagnosis, dan pengobatan penyakit periodontal, yang. Apa itu dokter spesialis periodonsia? Apa itu dokter spesialis periodonsia? Ini adalah penyakit. Apa Itu Spesialis Periodonsia.
From imagesee.biz
Apa Itu Dokter Gigi Periodoncia Raspado IMAGESEE Apa Itu Spesialis Periodonsia Ini adalah penyakit peradangan kronis yang mempengaruhi gusi dan tulang penyangga gigi. Beberapa kondisi dan penyakit yang dapat ditangani oleh spesialis periodonsia, meliputi gingivitis, periodontitis, perikoronitis, resesi gingiva, dan abses periodontal. Ini adalah penyakit peradangan kronis. Dokter gigi spesialis periodonsia atau periodontis menangani kondisi yang memengaruhi gusi dan struktur pendukung gigi. Dokter spesialis periodonsia adalah dokter gigi yang berfokus pada. Apa Itu Spesialis Periodonsia.
From fkg.unair.ac.id
Mahasiswa Spesialis Periodonsia FKG UNAIR Sukses Lulus Ujian Kompetensi Apa Itu Spesialis Periodonsia Spesialis periodonsia (spperio) periodontal adalah jaringan pendukung yang mengelilingi gigi dan melekat pada tulang rahang. Beberapa kondisi dan penyakit yang dapat ditangani oleh spesialis periodonsia, meliputi gingivitis, periodontitis, perikoronitis, resesi gingiva, dan abses periodontal. Periodonsia adalah cabang dari kedokteran gigi yang berfokus pada struktur pendukung gigi, termasuk gusi, tulang alveolar, dan ligamen periodontal. Ini adalah penyakit peradangan kronis. Apa itu. Apa Itu Spesialis Periodonsia.
From rsudcibinong.com
Jadwal Dokter Spesialis Periodonsia RSUD Cibinong Apa Itu Spesialis Periodonsia Dokter spesialis periodonsia adalah dokter gigi yang berfokus pada pencegahan, diagnosis, dan pengobatan penyakit periodontal. Apa itu dokter spesialis periodonsia? Spesialis periodonsia (spperio) periodontal adalah jaringan pendukung yang mengelilingi gigi dan melekat pada tulang rahang. Ini adalah penyakit peradangan kronis. Periodonsia adalah cabang dari kedokteran gigi yang berfokus pada struktur pendukung gigi, termasuk gusi, tulang alveolar, dan ligamen periodontal. Dokter. Apa Itu Spesialis Periodonsia.
From homecare24.id
Dokter Gigi Spesialis Periodonsia Homecare24 Apa Itu Spesialis Periodonsia Periodonsia adalah cabang dari kedokteran gigi yang berfokus pada struktur pendukung gigi, termasuk gusi, tulang alveolar, dan ligamen periodontal. Dokter spesialis periodonsia adalah dokter gigi yang berfokus pada pencegahan, diagnosis, dan pengobatan penyakit periodontal. Ini adalah penyakit peradangan kronis yang mempengaruhi gusi dan tulang penyangga gigi. Ini adalah penyakit peradangan kronis. Apa itu dokter spesialis periodonsia? Spesialis periodonsia (spperio) periodontal. Apa Itu Spesialis Periodonsia.
From damessa.id
Dokter Gigi Spesialis Periodonsia Terdekat yang Experienced Apa Itu Spesialis Periodonsia Dokter spesialis periodonsia atau periodontist adalah dokter gigi yang berfokus pada pencegahan, diagnosis, dan pengobatan penyakit periodontal. Nah, permasalah pada bagian ini merupakan ranahnya seorang dokter spesialis periodonsia. Beberapa kondisi dan penyakit yang dapat ditangani oleh spesialis periodonsia, meliputi gingivitis, periodontitis, perikoronitis, resesi gingiva, dan abses periodontal. Periodonsia adalah cabang dari kedokteran gigi yang berfokus pada struktur pendukung gigi, termasuk. Apa Itu Spesialis Periodonsia.
From www.gramedia.com
Jurusan Spesialis Periodonsia Apa Itu Spesialis Periodonsia Ini adalah penyakit peradangan kronis. Spesialis periodonsia (spperio) periodontal adalah jaringan pendukung yang mengelilingi gigi dan melekat pada tulang rahang. Beberapa kondisi dan penyakit yang dapat ditangani oleh spesialis periodonsia, meliputi gingivitis, periodontitis, perikoronitis, resesi gingiva, dan abses periodontal. Apa itu dokter spesialis periodonsia? Ini adalah penyakit peradangan kronis yang mempengaruhi gusi dan tulang penyangga gigi. Dokter spesialis periodonsia atau. Apa Itu Spesialis Periodonsia.
From www.audydental.com
Peran Dokter Gigi Spesialis Periodonsia pada Kesehatan Gigi Audy Dental Apa Itu Spesialis Periodonsia Apa itu dokter spesialis periodonsia? Dokter spesialis periodonsia adalah dokter gigi yang berfokus pada pencegahan, diagnosis, dan pengobatan penyakit periodontal. Nah, permasalah pada bagian ini merupakan ranahnya seorang dokter spesialis periodonsia. Dokter gigi spesialis periodonsia atau periodontis menangani kondisi yang memengaruhi gusi dan struktur pendukung gigi. Apa itu dokter spesialis periodonsia? Periodonsia adalah cabang dari kedokteran gigi yang berfokus pada. Apa Itu Spesialis Periodonsia.
From www.scribd.com
Kewenangan Klinis Dokter Gigi Spesialis Periodonsia PDF Apa Itu Spesialis Periodonsia Dokter gigi spesialis periodonsia atau periodontis menangani kondisi yang memengaruhi gusi dan struktur pendukung gigi. Ini adalah penyakit peradangan kronis. Apa itu dokter spesialis periodonsia? Dokter spesialis periodonsia adalah dokter gigi yang berfokus pada pencegahan, diagnosis, dan pengobatan penyakit periodontal. Beberapa kondisi dan penyakit yang dapat ditangani oleh spesialis periodonsia, meliputi gingivitis, periodontitis, perikoronitis, resesi gingiva, dan abses periodontal. Spesialis. Apa Itu Spesialis Periodonsia.
From herminahospitals.com
Hermina Hospitals Telah Bergabung Dokter Gigi Spesialis Periodonsia Apa Itu Spesialis Periodonsia Spesialis periodonsia adalah dokter gigi yang fokus pada pencegahan, diagnosis, dan pengobatan penyakit periodontal, yang. Nah, permasalah pada bagian ini merupakan ranahnya seorang dokter spesialis periodonsia. Apa itu dokter spesialis periodonsia? Dokter spesialis periodonsia atau periodontist adalah dokter gigi yang berfokus pada pencegahan, diagnosis, dan pengobatan penyakit periodontal. Dokter spesialis periodonsia adalah dokter gigi yang berfokus pada pencegahan, diagnosis, dan. Apa Itu Spesialis Periodonsia.