Tinnitus Brain Tumor . It is described as a benign tumour because it cannot spread into the brain. It can cause hearing loss, ringing in the ears (tinnitus), and dizziness or imbalance. Acoustic neuroma is a noncancerous tumor of the hearing and balance nerve complex in the brain. Tinnitus is a very common symptom of acoustic neuromas and many other inner ear conditions. Tinnitus — or ringing in the ears — and dizziness can occur with some types of brain tumors, but these are usually indirect symptoms. A vestibular schwannoma is not cancer. Why might a brain tumor cause tinnitus and dizziness? There are just a few millimeters of space between the brain and the skull. But a benign tumour can. Learn about the diagnosis, treatment options, and resources for acoustic neuroma. An acoustic neuroma (vestibular schwannoma) is a benign tumor that develops on the balance and hearing nerves leading from. In other cases, the tinnitus can sound like hissing, buzzing or roaring — like when putting a seashell to the ear.
from www.youtube.com
Tinnitus is a very common symptom of acoustic neuromas and many other inner ear conditions. But a benign tumour can. Tinnitus — or ringing in the ears — and dizziness can occur with some types of brain tumors, but these are usually indirect symptoms. Why might a brain tumor cause tinnitus and dizziness? Acoustic neuroma is a noncancerous tumor of the hearing and balance nerve complex in the brain. A vestibular schwannoma is not cancer. There are just a few millimeters of space between the brain and the skull. Learn about the diagnosis, treatment options, and resources for acoustic neuroma. An acoustic neuroma (vestibular schwannoma) is a benign tumor that develops on the balance and hearing nerves leading from. In other cases, the tinnitus can sound like hissing, buzzing or roaring — like when putting a seashell to the ear.
what kind of tumor causes tinnitus YouTube
Tinnitus Brain Tumor There are just a few millimeters of space between the brain and the skull. An acoustic neuroma (vestibular schwannoma) is a benign tumor that develops on the balance and hearing nerves leading from. There are just a few millimeters of space between the brain and the skull. Acoustic neuroma is a noncancerous tumor of the hearing and balance nerve complex in the brain. In other cases, the tinnitus can sound like hissing, buzzing or roaring — like when putting a seashell to the ear. A vestibular schwannoma is not cancer. Tinnitus — or ringing in the ears — and dizziness can occur with some types of brain tumors, but these are usually indirect symptoms. Learn about the diagnosis, treatment options, and resources for acoustic neuroma. Why might a brain tumor cause tinnitus and dizziness? It is described as a benign tumour because it cannot spread into the brain. But a benign tumour can. Tinnitus is a very common symptom of acoustic neuromas and many other inner ear conditions. It can cause hearing loss, ringing in the ears (tinnitus), and dizziness or imbalance.
From neurosciencenews.com
Reducing brain inflammation could treat tinnitus and other hearing loss Tinnitus Brain Tumor Acoustic neuroma is a noncancerous tumor of the hearing and balance nerve complex in the brain. There are just a few millimeters of space between the brain and the skull. But a benign tumour can. Learn about the diagnosis, treatment options, and resources for acoustic neuroma. It is described as a benign tumour because it cannot spread into the brain.. Tinnitus Brain Tumor.
From www.healthyhearing.com
Severity of tinnitus is related to emotional processing Tinnitus Brain Tumor It is described as a benign tumour because it cannot spread into the brain. Learn about the diagnosis, treatment options, and resources for acoustic neuroma. It can cause hearing loss, ringing in the ears (tinnitus), and dizziness or imbalance. But a benign tumour can. An acoustic neuroma (vestibular schwannoma) is a benign tumor that develops on the balance and hearing. Tinnitus Brain Tumor.
From www.audiologyassociates-sr.com
Understanding Tinnitus Audiology Associates Tinnitus Brain Tumor An acoustic neuroma (vestibular schwannoma) is a benign tumor that develops on the balance and hearing nerves leading from. Acoustic neuroma is a noncancerous tumor of the hearing and balance nerve complex in the brain. A vestibular schwannoma is not cancer. Tinnitus is a very common symptom of acoustic neuromas and many other inner ear conditions. But a benign tumour. Tinnitus Brain Tumor.
From radiologyacrossborders.org
Tinnitus Tinnitus Brain Tumor Learn about the diagnosis, treatment options, and resources for acoustic neuroma. Tinnitus is a very common symptom of acoustic neuromas and many other inner ear conditions. It can cause hearing loss, ringing in the ears (tinnitus), and dizziness or imbalance. An acoustic neuroma (vestibular schwannoma) is a benign tumor that develops on the balance and hearing nerves leading from. A. Tinnitus Brain Tumor.
From www.powerofpositivity.com
Ear Specialists Reveal the Symptoms and Causes of Tinnitus Tinnitus Brain Tumor A vestibular schwannoma is not cancer. An acoustic neuroma (vestibular schwannoma) is a benign tumor that develops on the balance and hearing nerves leading from. But a benign tumour can. Learn about the diagnosis, treatment options, and resources for acoustic neuroma. In other cases, the tinnitus can sound like hissing, buzzing or roaring — like when putting a seashell to. Tinnitus Brain Tumor.
From gammaknife.com.ec
Los especialistas en oído revelan los síntomas y las causas del tinnitus Tinnitus Brain Tumor Tinnitus — or ringing in the ears — and dizziness can occur with some types of brain tumors, but these are usually indirect symptoms. There are just a few millimeters of space between the brain and the skull. In other cases, the tinnitus can sound like hissing, buzzing or roaring — like when putting a seashell to the ear. It. Tinnitus Brain Tumor.
From medium.com
How Brain Response to Tinnitus Shocking Causes and Effects 😧 by Tinnitus Brain Tumor Learn about the diagnosis, treatment options, and resources for acoustic neuroma. But a benign tumour can. There are just a few millimeters of space between the brain and the skull. Why might a brain tumor cause tinnitus and dizziness? Tinnitus is a very common symptom of acoustic neuromas and many other inner ear conditions. In other cases, the tinnitus can. Tinnitus Brain Tumor.
From pulsatiletinnitustreatments.com
Ringing Revelations The Link Between Tinnitus and Brain Tumors Tinnitus Brain Tumor In other cases, the tinnitus can sound like hissing, buzzing or roaring — like when putting a seashell to the ear. Acoustic neuroma is a noncancerous tumor of the hearing and balance nerve complex in the brain. There are just a few millimeters of space between the brain and the skull. An acoustic neuroma (vestibular schwannoma) is a benign tumor. Tinnitus Brain Tumor.
From www.slideserve.com
PPT Tinnitus PowerPoint Presentation, free download ID1126679 Tinnitus Brain Tumor A vestibular schwannoma is not cancer. An acoustic neuroma (vestibular schwannoma) is a benign tumor that develops on the balance and hearing nerves leading from. It is described as a benign tumour because it cannot spread into the brain. Why might a brain tumor cause tinnitus and dizziness? Tinnitus — or ringing in the ears — and dizziness can occur. Tinnitus Brain Tumor.
From practicalneurology.com
Case Report A Woman with Tinnitus and Tongue Atrophy Practical Neurology Tinnitus Brain Tumor There are just a few millimeters of space between the brain and the skull. A vestibular schwannoma is not cancer. Acoustic neuroma is a noncancerous tumor of the hearing and balance nerve complex in the brain. Tinnitus — or ringing in the ears — and dizziness can occur with some types of brain tumors, but these are usually indirect symptoms.. Tinnitus Brain Tumor.
From www.youtube.com
Brain tumor cause tinnitus? Ways to relief tinnitus and a little review Tinnitus Brain Tumor Tinnitus — or ringing in the ears — and dizziness can occur with some types of brain tumors, but these are usually indirect symptoms. A vestibular schwannoma is not cancer. Tinnitus is a very common symptom of acoustic neuromas and many other inner ear conditions. It can cause hearing loss, ringing in the ears (tinnitus), and dizziness or imbalance. There. Tinnitus Brain Tumor.
From www.cmaj.ca
Tinnitus identifying the ominous causes CMAJ Tinnitus Brain Tumor Tinnitus is a very common symptom of acoustic neuromas and many other inner ear conditions. Learn about the diagnosis, treatment options, and resources for acoustic neuroma. There are just a few millimeters of space between the brain and the skull. An acoustic neuroma (vestibular schwannoma) is a benign tumor that develops on the balance and hearing nerves leading from. It. Tinnitus Brain Tumor.
From www.thelancet.com
Tinnitus causes and clinical management The Lancet Neurology Tinnitus Brain Tumor Why might a brain tumor cause tinnitus and dizziness? In other cases, the tinnitus can sound like hissing, buzzing or roaring — like when putting a seashell to the ear. A vestibular schwannoma is not cancer. It can cause hearing loss, ringing in the ears (tinnitus), and dizziness or imbalance. It is described as a benign tumour because it cannot. Tinnitus Brain Tumor.
From restorehearingnow.com
Understanding Tinnitus Brain Tumor Risks Know the Alarming Truth Tinnitus Brain Tumor An acoustic neuroma (vestibular schwannoma) is a benign tumor that develops on the balance and hearing nerves leading from. It can cause hearing loss, ringing in the ears (tinnitus), and dizziness or imbalance. Why might a brain tumor cause tinnitus and dizziness? But a benign tumour can. Learn about the diagnosis, treatment options, and resources for acoustic neuroma. A vestibular. Tinnitus Brain Tumor.
From levomedical.com
Most Common Tinnitus Causes, Symptoms & Signs Levo Medical Tinnitus Brain Tumor Tinnitus is a very common symptom of acoustic neuromas and many other inner ear conditions. Tinnitus — or ringing in the ears — and dizziness can occur with some types of brain tumors, but these are usually indirect symptoms. It is described as a benign tumour because it cannot spread into the brain. There are just a few millimeters of. Tinnitus Brain Tumor.
From www.vrogue.co
Brain Tumor Types vrogue.co Tinnitus Brain Tumor An acoustic neuroma (vestibular schwannoma) is a benign tumor that develops on the balance and hearing nerves leading from. But a benign tumour can. Why might a brain tumor cause tinnitus and dizziness? In other cases, the tinnitus can sound like hissing, buzzing or roaring — like when putting a seashell to the ear. Tinnitus is a very common symptom. Tinnitus Brain Tumor.
From weillcornellbrainandspine.org
Pulsatile Tinnitus Brain & Spine Center Tinnitus Brain Tumor Tinnitus — or ringing in the ears — and dizziness can occur with some types of brain tumors, but these are usually indirect symptoms. A vestibular schwannoma is not cancer. In other cases, the tinnitus can sound like hissing, buzzing or roaring — like when putting a seashell to the ear. Tinnitus is a very common symptom of acoustic neuromas. Tinnitus Brain Tumor.
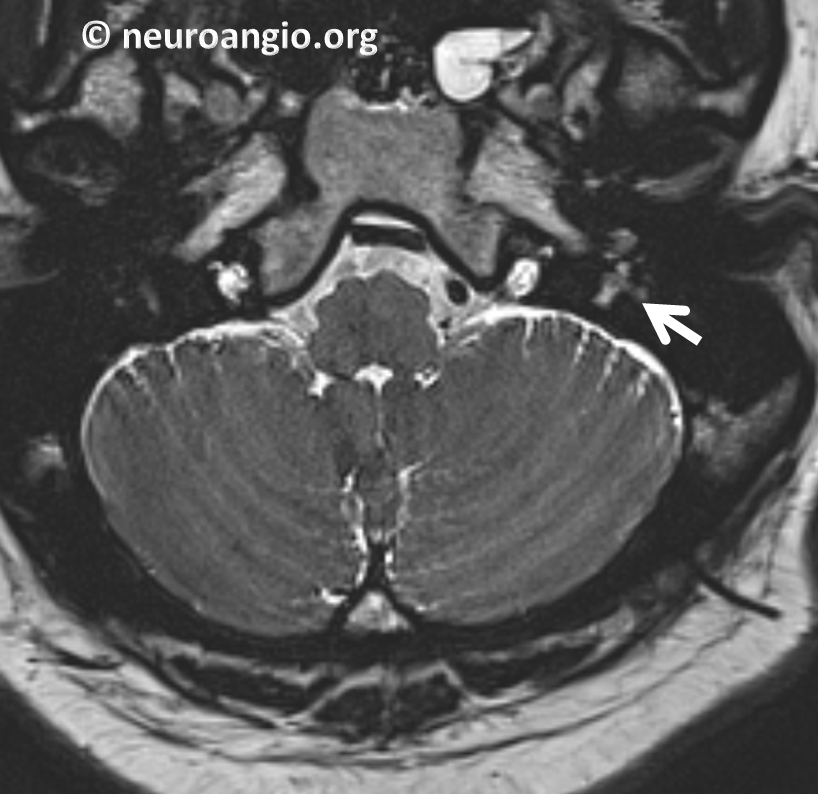
From neuroangio.org
Pulsatile Tinnitus Glomus Jugulare Tinnitus Brain Tumor Tinnitus is a very common symptom of acoustic neuromas and many other inner ear conditions. In other cases, the tinnitus can sound like hissing, buzzing or roaring — like when putting a seashell to the ear. It is described as a benign tumour because it cannot spread into the brain. Tinnitus — or ringing in the ears — and dizziness. Tinnitus Brain Tumor.
From www.hackensackmeridianhealth.org
What Are the Early Symptoms of a Brain Tumor? Tinnitus Brain Tumor It is described as a benign tumour because it cannot spread into the brain. Tinnitus is a very common symptom of acoustic neuromas and many other inner ear conditions. Acoustic neuroma is a noncancerous tumor of the hearing and balance nerve complex in the brain. An acoustic neuroma (vestibular schwannoma) is a benign tumor that develops on the balance and. Tinnitus Brain Tumor.
From www.researchgate.net
Neuroanatomical changes in tinnitus. Brain areas proposed to be Tinnitus Brain Tumor In other cases, the tinnitus can sound like hissing, buzzing or roaring — like when putting a seashell to the ear. An acoustic neuroma (vestibular schwannoma) is a benign tumor that develops on the balance and hearing nerves leading from. Acoustic neuroma is a noncancerous tumor of the hearing and balance nerve complex in the brain. Tinnitus is a very. Tinnitus Brain Tumor.
From curepedia.org.in
Can tinnitus be a symptom of a brain tumor? curepedia Tinnitus Brain Tumor There are just a few millimeters of space between the brain and the skull. It is described as a benign tumour because it cannot spread into the brain. An acoustic neuroma (vestibular schwannoma) is a benign tumor that develops on the balance and hearing nerves leading from. A vestibular schwannoma is not cancer. Why might a brain tumor cause tinnitus. Tinnitus Brain Tumor.
From medium.com
Tinnitus and Brain Damage Understanding the Link by tinnitus Tinnitus Brain Tumor Why might a brain tumor cause tinnitus and dizziness? Tinnitus — or ringing in the ears — and dizziness can occur with some types of brain tumors, but these are usually indirect symptoms. In other cases, the tinnitus can sound like hissing, buzzing or roaring — like when putting a seashell to the ear. There are just a few millimeters. Tinnitus Brain Tumor.
From www.youtube.com
All About Health Tinnitus and Brain Tumors (大愛醫生館 危險症狀大集合 耳鳴) YouTube Tinnitus Brain Tumor Tinnitus — or ringing in the ears — and dizziness can occur with some types of brain tumors, but these are usually indirect symptoms. There are just a few millimeters of space between the brain and the skull. Learn about the diagnosis, treatment options, and resources for acoustic neuroma. Why might a brain tumor cause tinnitus and dizziness? It can. Tinnitus Brain Tumor.
From www.findatopdoc.com
What is Tinnitus? Tinnitus Brain Tumor It is described as a benign tumour because it cannot spread into the brain. An acoustic neuroma (vestibular schwannoma) is a benign tumor that develops on the balance and hearing nerves leading from. Why might a brain tumor cause tinnitus and dizziness? Acoustic neuroma is a noncancerous tumor of the hearing and balance nerve complex in the brain. But a. Tinnitus Brain Tumor.
From www.dailymail.co.uk
NHS refuses to fund treatment for a brain tumour that is making Angela Tinnitus Brain Tumor There are just a few millimeters of space between the brain and the skull. But a benign tumour can. Acoustic neuroma is a noncancerous tumor of the hearing and balance nerve complex in the brain. It can cause hearing loss, ringing in the ears (tinnitus), and dizziness or imbalance. An acoustic neuroma (vestibular schwannoma) is a benign tumor that develops. Tinnitus Brain Tumor.
From neurospabrain.com
TMS Tinnitus Treatment Therapy for Tinnitus Tinnitus Brain Tumor Acoustic neuroma is a noncancerous tumor of the hearing and balance nerve complex in the brain. It can cause hearing loss, ringing in the ears (tinnitus), and dizziness or imbalance. A vestibular schwannoma is not cancer. Tinnitus is a very common symptom of acoustic neuromas and many other inner ear conditions. It is described as a benign tumour because it. Tinnitus Brain Tumor.
From alimranmed.com
TMS for Tinnitus Alimran Medical center Tinnitus Brain Tumor An acoustic neuroma (vestibular schwannoma) is a benign tumor that develops on the balance and hearing nerves leading from. Tinnitus — or ringing in the ears — and dizziness can occur with some types of brain tumors, but these are usually indirect symptoms. It is described as a benign tumour because it cannot spread into the brain. A vestibular schwannoma. Tinnitus Brain Tumor.
From www.youtube.com
3 Unusual Ways Tinnitus Affects the Brain Tinnitus Treatment YouTube Tinnitus Brain Tumor But a benign tumour can. Learn about the diagnosis, treatment options, and resources for acoustic neuroma. In other cases, the tinnitus can sound like hissing, buzzing or roaring — like when putting a seashell to the ear. An acoustic neuroma (vestibular schwannoma) is a benign tumor that develops on the balance and hearing nerves leading from. Why might a brain. Tinnitus Brain Tumor.
From baxterhearing.com
The Intricate Connection Between Tinnitus and Brain Tumors A Tinnitus Brain Tumor There are just a few millimeters of space between the brain and the skull. It is described as a benign tumour because it cannot spread into the brain. But a benign tumour can. Learn about the diagnosis, treatment options, and resources for acoustic neuroma. Acoustic neuroma is a noncancerous tumor of the hearing and balance nerve complex in the brain.. Tinnitus Brain Tumor.
From www.netmeds.com
Tinnitus Causes, Symptoms And Treatment Tinnitus Brain Tumor There are just a few millimeters of space between the brain and the skull. But a benign tumour can. Acoustic neuroma is a noncancerous tumor of the hearing and balance nerve complex in the brain. Why might a brain tumor cause tinnitus and dizziness? A vestibular schwannoma is not cancer. In other cases, the tinnitus can sound like hissing, buzzing. Tinnitus Brain Tumor.
From www.youtube.com
what kind of tumor causes tinnitus YouTube Tinnitus Brain Tumor Why might a brain tumor cause tinnitus and dizziness? Tinnitus — or ringing in the ears — and dizziness can occur with some types of brain tumors, but these are usually indirect symptoms. It can cause hearing loss, ringing in the ears (tinnitus), and dizziness or imbalance. Acoustic neuroma is a noncancerous tumor of the hearing and balance nerve complex. Tinnitus Brain Tumor.
From medium.com
Tinnitus and Brain Tumors What You Need to Know by tinnitus Tinnitus Brain Tumor But a benign tumour can. It is described as a benign tumour because it cannot spread into the brain. Learn about the diagnosis, treatment options, and resources for acoustic neuroma. There are just a few millimeters of space between the brain and the skull. Acoustic neuroma is a noncancerous tumor of the hearing and balance nerve complex in the brain.. Tinnitus Brain Tumor.
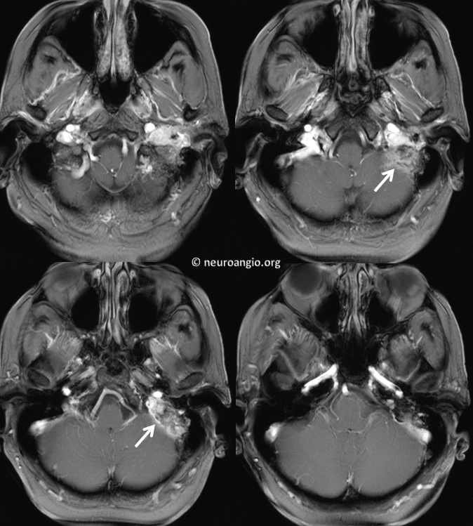
From neuroangio.org
Pulsatile Tinnitus Glomus Tympanicum Tinnitus Brain Tumor There are just a few millimeters of space between the brain and the skull. Tinnitus is a very common symptom of acoustic neuromas and many other inner ear conditions. But a benign tumour can. It is described as a benign tumour because it cannot spread into the brain. Why might a brain tumor cause tinnitus and dizziness? Tinnitus — or. Tinnitus Brain Tumor.
From www.allabouttinnitus.com
The Link Between Your Auditory Nerve, Brain Tumors, and Tinnitus Tinnitus Brain Tumor Tinnitus is a very common symptom of acoustic neuromas and many other inner ear conditions. In other cases, the tinnitus can sound like hissing, buzzing or roaring — like when putting a seashell to the ear. A vestibular schwannoma is not cancer. Tinnitus — or ringing in the ears — and dizziness can occur with some types of brain tumors,. Tinnitus Brain Tumor.
From baxterhearing.com
The Intricate Connection Between Tinnitus and Brain Tumors A Tinnitus Brain Tumor Why might a brain tumor cause tinnitus and dizziness? Learn about the diagnosis, treatment options, and resources for acoustic neuroma. A vestibular schwannoma is not cancer. Tinnitus — or ringing in the ears — and dizziness can occur with some types of brain tumors, but these are usually indirect symptoms. But a benign tumour can. It can cause hearing loss,. Tinnitus Brain Tumor.