Thickened Endometrium Measurement . In a woman without bleeding, if the definition of a normal endometrial thickness is lowered from 11 to 7 mm (so that a measurement of 8 mm or greater would be considered abnormal),. It all depends on what phase of menstruation you’re experiencing when the. The appearance, as well as. An endometrium normal size can also vary based on factors such as hormonal imbalances, obesity, or polycystic ovary syndrome. The stripe can be anywhere from slightly less than 1 millimeter (mm) to slightly more than 16 mm in size. Transvaginal ultrasonography is appropriate for an initial evaluation of postmenopausal bleeding if the ultrasound images reveal a thin endometrial echo. An endometrial thickness of less than 14 mm is typically considered normal at any stage of the menstrual cycle. Abnormally thickened endometrium on imaging may occur for a number of reasons which may be categorized based on whether or not they are related to pregnancy. The normal size of the endometrium is measured in mm. Endometrial thickness is a commonly measured parameter on routine gynecological ultrasound and mri.
from www.volusonclub.net
The normal size of the endometrium is measured in mm. Endometrial thickness is a commonly measured parameter on routine gynecological ultrasound and mri. The appearance, as well as. It all depends on what phase of menstruation you’re experiencing when the. An endometrium normal size can also vary based on factors such as hormonal imbalances, obesity, or polycystic ovary syndrome. Transvaginal ultrasonography is appropriate for an initial evaluation of postmenopausal bleeding if the ultrasound images reveal a thin endometrial echo. The stripe can be anywhere from slightly less than 1 millimeter (mm) to slightly more than 16 mm in size. Abnormally thickened endometrium on imaging may occur for a number of reasons which may be categorized based on whether or not they are related to pregnancy. An endometrial thickness of less than 14 mm is typically considered normal at any stage of the menstrual cycle. In a woman without bleeding, if the definition of a normal endometrial thickness is lowered from 11 to 7 mm (so that a measurement of 8 mm or greater would be considered abnormal),.
3 Treatment Options for Increasing Endometrial Thickness Empowered
Thickened Endometrium Measurement In a woman without bleeding, if the definition of a normal endometrial thickness is lowered from 11 to 7 mm (so that a measurement of 8 mm or greater would be considered abnormal),. The stripe can be anywhere from slightly less than 1 millimeter (mm) to slightly more than 16 mm in size. An endometrial thickness of less than 14 mm is typically considered normal at any stage of the menstrual cycle. An endometrium normal size can also vary based on factors such as hormonal imbalances, obesity, or polycystic ovary syndrome. In a woman without bleeding, if the definition of a normal endometrial thickness is lowered from 11 to 7 mm (so that a measurement of 8 mm or greater would be considered abnormal),. Transvaginal ultrasonography is appropriate for an initial evaluation of postmenopausal bleeding if the ultrasound images reveal a thin endometrial echo. Abnormally thickened endometrium on imaging may occur for a number of reasons which may be categorized based on whether or not they are related to pregnancy. Endometrial thickness is a commonly measured parameter on routine gynecological ultrasound and mri. The normal size of the endometrium is measured in mm. It all depends on what phase of menstruation you’re experiencing when the. The appearance, as well as.
From www.volusonclub.net
Measuring Endometrial Thickness in Postmenopausal Women Empowered Thickened Endometrium Measurement In a woman without bleeding, if the definition of a normal endometrial thickness is lowered from 11 to 7 mm (so that a measurement of 8 mm or greater would be considered abnormal),. The normal size of the endometrium is measured in mm. The stripe can be anywhere from slightly less than 1 millimeter (mm) to slightly more than 16. Thickened Endometrium Measurement.
From parenting.firstcry.com
Endometrial Thickness What’s the Normal Range for Conceiving? Thickened Endometrium Measurement The normal size of the endometrium is measured in mm. Transvaginal ultrasonography is appropriate for an initial evaluation of postmenopausal bleeding if the ultrasound images reveal a thin endometrial echo. It all depends on what phase of menstruation you’re experiencing when the. An endometrium normal size can also vary based on factors such as hormonal imbalances, obesity, or polycystic ovary. Thickened Endometrium Measurement.
From www.youtube.com
Endometrial thickness 22mm YouTube Thickened Endometrium Measurement The stripe can be anywhere from slightly less than 1 millimeter (mm) to slightly more than 16 mm in size. Endometrial thickness is a commonly measured parameter on routine gynecological ultrasound and mri. An endometrium normal size can also vary based on factors such as hormonal imbalances, obesity, or polycystic ovary syndrome. An endometrial thickness of less than 14 mm. Thickened Endometrium Measurement.
From www.invitra.com
Uterine lining thickness chart Thickened Endometrium Measurement Transvaginal ultrasonography is appropriate for an initial evaluation of postmenopausal bleeding if the ultrasound images reveal a thin endometrial echo. An endometrium normal size can also vary based on factors such as hormonal imbalances, obesity, or polycystic ovary syndrome. An endometrial thickness of less than 14 mm is typically considered normal at any stage of the menstrual cycle. The stripe. Thickened Endometrium Measurement.
From www.frontiersin.org
Frontiers Automatic Measurement of Endometrial Thickness From Thickened Endometrium Measurement Endometrial thickness is a commonly measured parameter on routine gynecological ultrasound and mri. The stripe can be anywhere from slightly less than 1 millimeter (mm) to slightly more than 16 mm in size. An endometrial thickness of less than 14 mm is typically considered normal at any stage of the menstrual cycle. It all depends on what phase of menstruation. Thickened Endometrium Measurement.
From www.researchgate.net
] Ultrasound image showing thickened endometrium Download Scientific Thickened Endometrium Measurement The appearance, as well as. An endometrium normal size can also vary based on factors such as hormonal imbalances, obesity, or polycystic ovary syndrome. The stripe can be anywhere from slightly less than 1 millimeter (mm) to slightly more than 16 mm in size. An endometrial thickness of less than 14 mm is typically considered normal at any stage of. Thickened Endometrium Measurement.
From www.frontiersin.org
Frontiers Automatic Measurement of Endometrial Thickness From Thickened Endometrium Measurement The stripe can be anywhere from slightly less than 1 millimeter (mm) to slightly more than 16 mm in size. It all depends on what phase of menstruation you’re experiencing when the. An endometrial thickness of less than 14 mm is typically considered normal at any stage of the menstrual cycle. Endometrial thickness is a commonly measured parameter on routine. Thickened Endometrium Measurement.
From www.youtube.com
Endometrial Thickness Ultrasound Image Appearances Endometrium Thickened Endometrium Measurement The normal size of the endometrium is measured in mm. In a woman without bleeding, if the definition of a normal endometrial thickness is lowered from 11 to 7 mm (so that a measurement of 8 mm or greater would be considered abnormal),. An endometrium normal size can also vary based on factors such as hormonal imbalances, obesity, or polycystic. Thickened Endometrium Measurement.
From ar.inspiredpencil.com
Endometrial Stripe Thickness Chart Thickened Endometrium Measurement Abnormally thickened endometrium on imaging may occur for a number of reasons which may be categorized based on whether or not they are related to pregnancy. Transvaginal ultrasonography is appropriate for an initial evaluation of postmenopausal bleeding if the ultrasound images reveal a thin endometrial echo. An endometrial thickness of less than 14 mm is typically considered normal at any. Thickened Endometrium Measurement.
From www.invitra.com
What is the endometrium? Thickening, types and pathologies Thickened Endometrium Measurement An endometrium normal size can also vary based on factors such as hormonal imbalances, obesity, or polycystic ovary syndrome. In a woman without bleeding, if the definition of a normal endometrial thickness is lowered from 11 to 7 mm (so that a measurement of 8 mm or greater would be considered abnormal),. Transvaginal ultrasonography is appropriate for an initial evaluation. Thickened Endometrium Measurement.
From exoatwbky.blob.core.windows.net
Thickened Endometrium In Early Pregnancy at Fannie Gonzales blog Thickened Endometrium Measurement Abnormally thickened endometrium on imaging may occur for a number of reasons which may be categorized based on whether or not they are related to pregnancy. It all depends on what phase of menstruation you’re experiencing when the. An endometrium normal size can also vary based on factors such as hormonal imbalances, obesity, or polycystic ovary syndrome. Endometrial thickness is. Thickened Endometrium Measurement.
From www.researchgate.net
Schematic of thickening of the endometrium by stem cells with the Thickened Endometrium Measurement In a woman without bleeding, if the definition of a normal endometrial thickness is lowered from 11 to 7 mm (so that a measurement of 8 mm or greater would be considered abnormal),. The stripe can be anywhere from slightly less than 1 millimeter (mm) to slightly more than 16 mm in size. Transvaginal ultrasonography is appropriate for an initial. Thickened Endometrium Measurement.
From www.invitra.com
What is the endometrium? Thickening, types and pathologies Thickened Endometrium Measurement The stripe can be anywhere from slightly less than 1 millimeter (mm) to slightly more than 16 mm in size. The normal size of the endometrium is measured in mm. The appearance, as well as. Transvaginal ultrasonography is appropriate for an initial evaluation of postmenopausal bleeding if the ultrasound images reveal a thin endometrial echo. In a woman without bleeding,. Thickened Endometrium Measurement.
From www.researchgate.net
Ultrasonography showing thickened endometrium (white line) Download Thickened Endometrium Measurement An endometrium normal size can also vary based on factors such as hormonal imbalances, obesity, or polycystic ovary syndrome. The stripe can be anywhere from slightly less than 1 millimeter (mm) to slightly more than 16 mm in size. In a woman without bleeding, if the definition of a normal endometrial thickness is lowered from 11 to 7 mm (so. Thickened Endometrium Measurement.
From www.researchgate.net
(PDF) Sonohysterographic measurement of endometrial thickness Thickened Endometrium Measurement In a woman without bleeding, if the definition of a normal endometrial thickness is lowered from 11 to 7 mm (so that a measurement of 8 mm or greater would be considered abnormal),. An endometrium normal size can also vary based on factors such as hormonal imbalances, obesity, or polycystic ovary syndrome. The appearance, as well as. Abnormally thickened endometrium. Thickened Endometrium Measurement.
From www.researchgate.net
Thickened Endometrium on Transvaginal Ultrasound. Download Scientific Thickened Endometrium Measurement Transvaginal ultrasonography is appropriate for an initial evaluation of postmenopausal bleeding if the ultrasound images reveal a thin endometrial echo. The appearance, as well as. The normal size of the endometrium is measured in mm. The stripe can be anywhere from slightly less than 1 millimeter (mm) to slightly more than 16 mm in size. Endometrial thickness is a commonly. Thickened Endometrium Measurement.
From radiologykey.com
Endometrial/junctional zone thickening Radiology Key Thickened Endometrium Measurement In a woman without bleeding, if the definition of a normal endometrial thickness is lowered from 11 to 7 mm (so that a measurement of 8 mm or greater would be considered abnormal),. The normal size of the endometrium is measured in mm. The stripe can be anywhere from slightly less than 1 millimeter (mm) to slightly more than 16. Thickened Endometrium Measurement.
From kicchennai.com
Endometrial Thickness Measurement KIC Chennai Thickened Endometrium Measurement It all depends on what phase of menstruation you’re experiencing when the. The appearance, as well as. Abnormally thickened endometrium on imaging may occur for a number of reasons which may be categorized based on whether or not they are related to pregnancy. An endometrial thickness of less than 14 mm is typically considered normal at any stage of the. Thickened Endometrium Measurement.
From www.volusonclub.net
3 Treatment Options for Increasing Endometrial Thickness Empowered Thickened Endometrium Measurement The normal size of the endometrium is measured in mm. The appearance, as well as. In a woman without bleeding, if the definition of a normal endometrial thickness is lowered from 11 to 7 mm (so that a measurement of 8 mm or greater would be considered abnormal),. An endometrium normal size can also vary based on factors such as. Thickened Endometrium Measurement.
From onlinelibrary.wiley.com
Evaluation of endometrial thickness by transvaginal ultrasound and Thickened Endometrium Measurement An endometrium normal size can also vary based on factors such as hormonal imbalances, obesity, or polycystic ovary syndrome. The stripe can be anywhere from slightly less than 1 millimeter (mm) to slightly more than 16 mm in size. In a woman without bleeding, if the definition of a normal endometrial thickness is lowered from 11 to 7 mm (so. Thickened Endometrium Measurement.
From exyapjtmh.blob.core.windows.net
Thickened Heterogeneous Endometrium Icd 10 at Annie Wilson blog Thickened Endometrium Measurement The normal size of the endometrium is measured in mm. An endometrial thickness of less than 14 mm is typically considered normal at any stage of the menstrual cycle. An endometrium normal size can also vary based on factors such as hormonal imbalances, obesity, or polycystic ovary syndrome. Endometrial thickness is a commonly measured parameter on routine gynecological ultrasound and. Thickened Endometrium Measurement.
From www.volusonclub.net
Measuring Endometrial Thickness in Postmenopausal Women Empowered Thickened Endometrium Measurement The stripe can be anywhere from slightly less than 1 millimeter (mm) to slightly more than 16 mm in size. Abnormally thickened endometrium on imaging may occur for a number of reasons which may be categorized based on whether or not they are related to pregnancy. In a woman without bleeding, if the definition of a normal endometrial thickness is. Thickened Endometrium Measurement.
From www.researchgate.net
AC. The sonohysterogram shows focal and asymmetric thickening of Thickened Endometrium Measurement The stripe can be anywhere from slightly less than 1 millimeter (mm) to slightly more than 16 mm in size. The appearance, as well as. Transvaginal ultrasonography is appropriate for an initial evaluation of postmenopausal bleeding if the ultrasound images reveal a thin endometrial echo. In a woman without bleeding, if the definition of a normal endometrial thickness is lowered. Thickened Endometrium Measurement.
From radiologykey.com
Endometrial/junctional zone thickening Radiology Key Thickened Endometrium Measurement It all depends on what phase of menstruation you’re experiencing when the. An endometrial thickness of less than 14 mm is typically considered normal at any stage of the menstrual cycle. Transvaginal ultrasonography is appropriate for an initial evaluation of postmenopausal bleeding if the ultrasound images reveal a thin endometrial echo. Endometrial thickness is a commonly measured parameter on routine. Thickened Endometrium Measurement.
From www.clinicalradiologyonline.net
Performance of multidetector CT in the evaluation of the endometrium Thickened Endometrium Measurement The normal size of the endometrium is measured in mm. The stripe can be anywhere from slightly less than 1 millimeter (mm) to slightly more than 16 mm in size. Endometrial thickness is a commonly measured parameter on routine gynecological ultrasound and mri. Transvaginal ultrasonography is appropriate for an initial evaluation of postmenopausal bleeding if the ultrasound images reveal a. Thickened Endometrium Measurement.
From www.youtube.com
What is a healthy endometrium thickness? The Menstrual Cycle Antai Thickened Endometrium Measurement The normal size of the endometrium is measured in mm. In a woman without bleeding, if the definition of a normal endometrial thickness is lowered from 11 to 7 mm (so that a measurement of 8 mm or greater would be considered abnormal),. An endometrial thickness of less than 14 mm is typically considered normal at any stage of the. Thickened Endometrium Measurement.
From exoatwbky.blob.core.windows.net
Thickened Endometrium In Early Pregnancy at Fannie Gonzales blog Thickened Endometrium Measurement The normal size of the endometrium is measured in mm. It all depends on what phase of menstruation you’re experiencing when the. Transvaginal ultrasonography is appropriate for an initial evaluation of postmenopausal bleeding if the ultrasound images reveal a thin endometrial echo. The appearance, as well as. Endometrial thickness is a commonly measured parameter on routine gynecological ultrasound and mri.. Thickened Endometrium Measurement.
From radiologyinplainenglish.com
Thickened Endometrium On Ultrasound in a Post Menopausal Patient Thickened Endometrium Measurement It all depends on what phase of menstruation you’re experiencing when the. An endometrial thickness of less than 14 mm is typically considered normal at any stage of the menstrual cycle. Endometrial thickness is a commonly measured parameter on routine gynecological ultrasound and mri. An endometrium normal size can also vary based on factors such as hormonal imbalances, obesity, or. Thickened Endometrium Measurement.
From www.frontiersin.org
Frontiers Automatic Measurement of Endometrial Thickness From Thickened Endometrium Measurement An endometrium normal size can also vary based on factors such as hormonal imbalances, obesity, or polycystic ovary syndrome. The normal size of the endometrium is measured in mm. In a woman without bleeding, if the definition of a normal endometrial thickness is lowered from 11 to 7 mm (so that a measurement of 8 mm or greater would be. Thickened Endometrium Measurement.
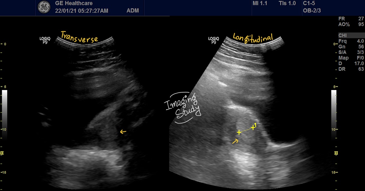
From www.imagingstudy.com
Case 26 Thickened Endometrium Imaging Study Thickened Endometrium Measurement The appearance, as well as. An endometrial thickness of less than 14 mm is typically considered normal at any stage of the menstrual cycle. Endometrial thickness is a commonly measured parameter on routine gynecological ultrasound and mri. The stripe can be anywhere from slightly less than 1 millimeter (mm) to slightly more than 16 mm in size. An endometrium normal. Thickened Endometrium Measurement.
From www.clinicalradiologyonline.net
Performance of multidetector CT in the evaluation of the endometrium Thickened Endometrium Measurement An endometrial thickness of less than 14 mm is typically considered normal at any stage of the menstrual cycle. Abnormally thickened endometrium on imaging may occur for a number of reasons which may be categorized based on whether or not they are related to pregnancy. Transvaginal ultrasonography is appropriate for an initial evaluation of postmenopausal bleeding if the ultrasound images. Thickened Endometrium Measurement.
From sprintmedical.in
Endometrial Biopsy Potential Risk and Procedure Step by Step Sprint Thickened Endometrium Measurement An endometrial thickness of less than 14 mm is typically considered normal at any stage of the menstrual cycle. The appearance, as well as. Abnormally thickened endometrium on imaging may occur for a number of reasons which may be categorized based on whether or not they are related to pregnancy. An endometrium normal size can also vary based on factors. Thickened Endometrium Measurement.
From medium.com
Endometrial Thickness Chart What is the Normal Size (in mm), How is It Thickened Endometrium Measurement Transvaginal ultrasonography is appropriate for an initial evaluation of postmenopausal bleeding if the ultrasound images reveal a thin endometrial echo. The normal size of the endometrium is measured in mm. Endometrial thickness is a commonly measured parameter on routine gynecological ultrasound and mri. Abnormally thickened endometrium on imaging may occur for a number of reasons which may be categorized based. Thickened Endometrium Measurement.
From www.semanticscholar.org
Figure 2 from Transvaginal ultrasound measurement of endometrial Thickened Endometrium Measurement Abnormally thickened endometrium on imaging may occur for a number of reasons which may be categorized based on whether or not they are related to pregnancy. An endometrium normal size can also vary based on factors such as hormonal imbalances, obesity, or polycystic ovary syndrome. Transvaginal ultrasonography is appropriate for an initial evaluation of postmenopausal bleeding if the ultrasound images. Thickened Endometrium Measurement.
From www.newlifefertilityclinic.com
Know About The Endometrial Thickness Dr. Shefali Bansal Thickened Endometrium Measurement Abnormally thickened endometrium on imaging may occur for a number of reasons which may be categorized based on whether or not they are related to pregnancy. Transvaginal ultrasonography is appropriate for an initial evaluation of postmenopausal bleeding if the ultrasound images reveal a thin endometrial echo. The normal size of the endometrium is measured in mm. The appearance, as well. Thickened Endometrium Measurement.