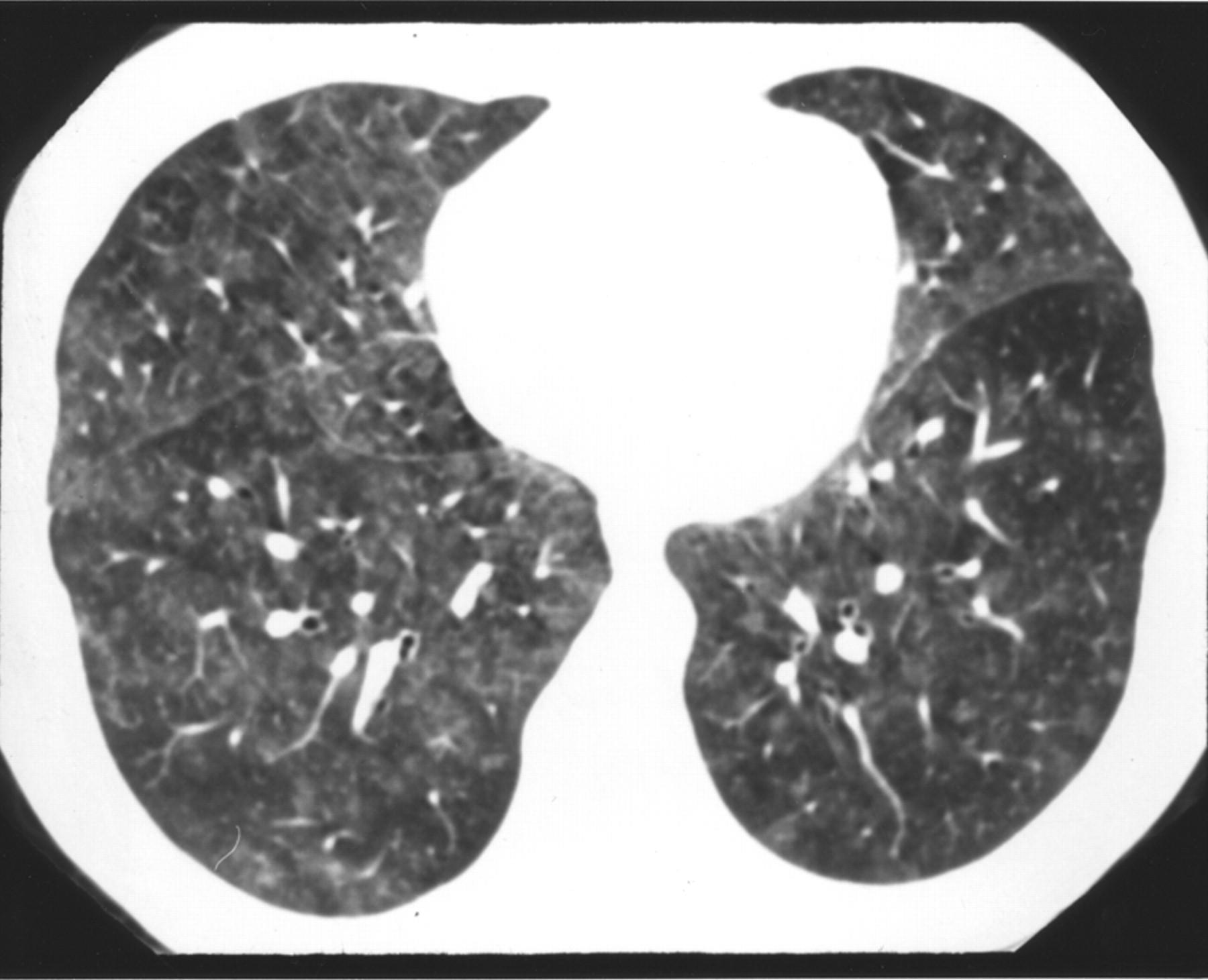
Head Cheese Hypersensitivity Pneumonitis . Hypersensitivity pneumonitis (hp) classified as an interstitial lung disease is characterized by a complex. Red arrows indicate hyperinflated lobules, red stars indicate.
from www.ajronline.org
Red arrows indicate hyperinflated lobules, red stars indicate. Hypersensitivity pneumonitis (hp) classified as an interstitial lung disease is characterized by a complex.
Hypersensitivity Pneumonitis Spectrum of HighResolution CT and Pathologic Findings AJR
Head Cheese Hypersensitivity Pneumonitis Red arrows indicate hyperinflated lobules, red stars indicate. Red arrows indicate hyperinflated lobules, red stars indicate. Hypersensitivity pneumonitis (hp) classified as an interstitial lung disease is characterized by a complex.
From jcp.bmj.com
Hypersensitivity pneumonitis a review and update of histologic findings Journal of Clinical Head Cheese Hypersensitivity Pneumonitis Hypersensitivity pneumonitis (hp) classified as an interstitial lung disease is characterized by a complex. Red arrows indicate hyperinflated lobules, red stars indicate. Head Cheese Hypersensitivity Pneumonitis.
From www.researchgate.net
The 'headcheese sign' in chronic hypersensitivity pneumonitis.... Download Scientific Diagram Head Cheese Hypersensitivity Pneumonitis Red arrows indicate hyperinflated lobules, red stars indicate. Hypersensitivity pneumonitis (hp) classified as an interstitial lung disease is characterized by a complex. Head Cheese Hypersensitivity Pneumonitis.
From lungs.thecommonvein.net
Faces of Hypersensitivity Pneumonitis Lungs Head Cheese Hypersensitivity Pneumonitis Hypersensitivity pneumonitis (hp) classified as an interstitial lung disease is characterized by a complex. Red arrows indicate hyperinflated lobules, red stars indicate. Head Cheese Hypersensitivity Pneumonitis.
From onlinelibrary.wiley.com
Hypersensitivity pneumonitis Current concepts in pathogenesis, diagnosis, and treatment Head Cheese Hypersensitivity Pneumonitis Hypersensitivity pneumonitis (hp) classified as an interstitial lung disease is characterized by a complex. Red arrows indicate hyperinflated lobules, red stars indicate. Head Cheese Hypersensitivity Pneumonitis.
From www.radiologic.theclinics.com
Updated Imaging Classification of Hypersensitivity Pneumonitis Radiologic Clinics Head Cheese Hypersensitivity Pneumonitis Red arrows indicate hyperinflated lobules, red stars indicate. Hypersensitivity pneumonitis (hp) classified as an interstitial lung disease is characterized by a complex. Head Cheese Hypersensitivity Pneumonitis.
From radiologyassistant.nl
The Radiology Assistant COVID19 Differential Diagnosis Head Cheese Hypersensitivity Pneumonitis Hypersensitivity pneumonitis (hp) classified as an interstitial lung disease is characterized by a complex. Red arrows indicate hyperinflated lobules, red stars indicate. Head Cheese Hypersensitivity Pneumonitis.
From www.ajronline.org
Hypersensitivity Pneumonitis Spectrum of HighResolution CT and Pathologic Findings AJR Head Cheese Hypersensitivity Pneumonitis Red arrows indicate hyperinflated lobules, red stars indicate. Hypersensitivity pneumonitis (hp) classified as an interstitial lung disease is characterized by a complex. Head Cheese Hypersensitivity Pneumonitis.
From www.researchgate.net
Chronic hypersensitivity pneumonitis with usual interstitial pneumonia... Download Scientific Head Cheese Hypersensitivity Pneumonitis Hypersensitivity pneumonitis (hp) classified as an interstitial lung disease is characterized by a complex. Red arrows indicate hyperinflated lobules, red stars indicate. Head Cheese Hypersensitivity Pneumonitis.
From radiopaedia.org
Hypersensitivity pneumonitis Image Head Cheese Hypersensitivity Pneumonitis Red arrows indicate hyperinflated lobules, red stars indicate. Hypersensitivity pneumonitis (hp) classified as an interstitial lung disease is characterized by a complex. Head Cheese Hypersensitivity Pneumonitis.
From err.ersjournals.com
Diagnosis, course and management of hypersensitivity pneumonitis European Respiratory Society Head Cheese Hypersensitivity Pneumonitis Red arrows indicate hyperinflated lobules, red stars indicate. Hypersensitivity pneumonitis (hp) classified as an interstitial lung disease is characterized by a complex. Head Cheese Hypersensitivity Pneumonitis.
From lungs.thecommonvein.net
Faces of Hypersensitivity Pneumonitis Lungs Head Cheese Hypersensitivity Pneumonitis Red arrows indicate hyperinflated lobules, red stars indicate. Hypersensitivity pneumonitis (hp) classified as an interstitial lung disease is characterized by a complex. Head Cheese Hypersensitivity Pneumonitis.
From www.elsevier.es
Basic HRCT patterns in diffuse interstitial lung disease Radiología (English Edition) Head Cheese Hypersensitivity Pneumonitis Hypersensitivity pneumonitis (hp) classified as an interstitial lung disease is characterized by a complex. Red arrows indicate hyperinflated lobules, red stars indicate. Head Cheese Hypersensitivity Pneumonitis.
From jcp.bmj.com
Hypersensitivity pneumonitis a review and update of histologic findings Journal of Clinical Head Cheese Hypersensitivity Pneumonitis Hypersensitivity pneumonitis (hp) classified as an interstitial lung disease is characterized by a complex. Red arrows indicate hyperinflated lobules, red stars indicate. Head Cheese Hypersensitivity Pneumonitis.
From www.mdpi.com
Diagnostics Free FullText Hypersensitivity Pneumonitis A Pictorial Review Based on the New Head Cheese Hypersensitivity Pneumonitis Red arrows indicate hyperinflated lobules, red stars indicate. Hypersensitivity pneumonitis (hp) classified as an interstitial lung disease is characterized by a complex. Head Cheese Hypersensitivity Pneumonitis.
From www.ajronline.org
Hypersensitivity Pneumonitis Spectrum of HighResolution CT and Pathologic Findings AJR Head Cheese Hypersensitivity Pneumonitis Hypersensitivity pneumonitis (hp) classified as an interstitial lung disease is characterized by a complex. Red arrows indicate hyperinflated lobules, red stars indicate. Head Cheese Hypersensitivity Pneumonitis.
From www.researchgate.net
(PDF) Unusual cause of hypersensitivity pneumonitis with characteristic headcheese sign Head Cheese Hypersensitivity Pneumonitis Red arrows indicate hyperinflated lobules, red stars indicate. Hypersensitivity pneumonitis (hp) classified as an interstitial lung disease is characterized by a complex. Head Cheese Hypersensitivity Pneumonitis.
From lungs.thecommonvein.net
Signs in Radiology Head Cheese Sign Lungs Head Cheese Hypersensitivity Pneumonitis Red arrows indicate hyperinflated lobules, red stars indicate. Hypersensitivity pneumonitis (hp) classified as an interstitial lung disease is characterized by a complex. Head Cheese Hypersensitivity Pneumonitis.
From meddic.jp
hypersensitivity pneumonitis meddic Head Cheese Hypersensitivity Pneumonitis Hypersensitivity pneumonitis (hp) classified as an interstitial lung disease is characterized by a complex. Red arrows indicate hyperinflated lobules, red stars indicate. Head Cheese Hypersensitivity Pneumonitis.
From journal.chestnet.org
Chest CT Signs in Pulmonary Disease CHEST Head Cheese Hypersensitivity Pneumonitis Hypersensitivity pneumonitis (hp) classified as an interstitial lung disease is characterized by a complex. Red arrows indicate hyperinflated lobules, red stars indicate. Head Cheese Hypersensitivity Pneumonitis.
From www.modernpathology.org
Hypersensitivity pneumonitis new concepts and classifications Modern Pathology Head Cheese Hypersensitivity Pneumonitis Red arrows indicate hyperinflated lobules, red stars indicate. Hypersensitivity pneumonitis (hp) classified as an interstitial lung disease is characterized by a complex. Head Cheese Hypersensitivity Pneumonitis.
From www.slideserve.com
PPT Chest Radiology Plain Film and CT Beyond the Basics PowerPoint Presentation ID4761916 Head Cheese Hypersensitivity Pneumonitis Red arrows indicate hyperinflated lobules, red stars indicate. Hypersensitivity pneumonitis (hp) classified as an interstitial lung disease is characterized by a complex. Head Cheese Hypersensitivity Pneumonitis.
From www.imagejournals.org
Hypersensitivity Pneumonitis The Head Cheese Sign International Journal of Clinical & Medical Head Cheese Hypersensitivity Pneumonitis Red arrows indicate hyperinflated lobules, red stars indicate. Hypersensitivity pneumonitis (hp) classified as an interstitial lung disease is characterized by a complex. Head Cheese Hypersensitivity Pneumonitis.
From www.ajronline.org
Hypersensitivity Pneumonitis Spectrum of HighResolution CT and Pathologic Findings AJR Head Cheese Hypersensitivity Pneumonitis Hypersensitivity pneumonitis (hp) classified as an interstitial lung disease is characterized by a complex. Red arrows indicate hyperinflated lobules, red stars indicate. Head Cheese Hypersensitivity Pneumonitis.
From jcp.bmj.com
Hypersensitivity pneumonitis a review and update of histologic findings Journal of Clinical Head Cheese Hypersensitivity Pneumonitis Hypersensitivity pneumonitis (hp) classified as an interstitial lung disease is characterized by a complex. Red arrows indicate hyperinflated lobules, red stars indicate. Head Cheese Hypersensitivity Pneumonitis.
From radiologykey.com
Cheese Sign Radiology Key Head Cheese Hypersensitivity Pneumonitis Hypersensitivity pneumonitis (hp) classified as an interstitial lung disease is characterized by a complex. Red arrows indicate hyperinflated lobules, red stars indicate. Head Cheese Hypersensitivity Pneumonitis.
From www.facebook.com
HEAD CHEESE SIGN Radiology Classroom Head Cheese Hypersensitivity Pneumonitis Hypersensitivity pneumonitis (hp) classified as an interstitial lung disease is characterized by a complex. Red arrows indicate hyperinflated lobules, red stars indicate. Head Cheese Hypersensitivity Pneumonitis.
From radiopaedia.org
Image Head Cheese Hypersensitivity Pneumonitis Hypersensitivity pneumonitis (hp) classified as an interstitial lung disease is characterized by a complex. Red arrows indicate hyperinflated lobules, red stars indicate. Head Cheese Hypersensitivity Pneumonitis.
From www.ajronline.org
Hypersensitivity Pneumonitis Spectrum of HighResolution CT and Pathologic Findings AJR Head Cheese Hypersensitivity Pneumonitis Red arrows indicate hyperinflated lobules, red stars indicate. Hypersensitivity pneumonitis (hp) classified as an interstitial lung disease is characterized by a complex. Head Cheese Hypersensitivity Pneumonitis.
From journals.lww.com
Diagnosis of Hypersensitivity Pneumonitis Review and Summar... The American Journal of Head Cheese Hypersensitivity Pneumonitis Red arrows indicate hyperinflated lobules, red stars indicate. Hypersensitivity pneumonitis (hp) classified as an interstitial lung disease is characterized by a complex. Head Cheese Hypersensitivity Pneumonitis.
From twitter.com
Andrew Sanchez M.D. on Twitter "Exposurerelated ILD 🫁 Hypersensitivity pneumonitis look for Head Cheese Hypersensitivity Pneumonitis Red arrows indicate hyperinflated lobules, red stars indicate. Hypersensitivity pneumonitis (hp) classified as an interstitial lung disease is characterized by a complex. Head Cheese Hypersensitivity Pneumonitis.
From radiologykey.com
Hypersensitivity Pneumonitis, AcuteSubcute Radiology Key Head Cheese Hypersensitivity Pneumonitis Hypersensitivity pneumonitis (hp) classified as an interstitial lung disease is characterized by a complex. Red arrows indicate hyperinflated lobules, red stars indicate. Head Cheese Hypersensitivity Pneumonitis.
From www.ajronline.org
Hypersensitivity Pneumonitis Spectrum of HighResolution CT and Pathologic Findings AJR Head Cheese Hypersensitivity Pneumonitis Red arrows indicate hyperinflated lobules, red stars indicate. Hypersensitivity pneumonitis (hp) classified as an interstitial lung disease is characterized by a complex. Head Cheese Hypersensitivity Pneumonitis.
From pubs.rsna.org
Hypersensitivity Pneumonitis A Historical, Clinical, and Radiologic Review RadioGraphics Head Cheese Hypersensitivity Pneumonitis Red arrows indicate hyperinflated lobules, red stars indicate. Hypersensitivity pneumonitis (hp) classified as an interstitial lung disease is characterized by a complex. Head Cheese Hypersensitivity Pneumonitis.
From www.ajronline.org
Hypersensitivity Pneumonitis Spectrum of HighResolution CT and Pathologic Findings AJR Head Cheese Hypersensitivity Pneumonitis Red arrows indicate hyperinflated lobules, red stars indicate. Hypersensitivity pneumonitis (hp) classified as an interstitial lung disease is characterized by a complex. Head Cheese Hypersensitivity Pneumonitis.
From www.wikidoc.org
Hypersensitivity pneumonitis CT wikidoc Head Cheese Hypersensitivity Pneumonitis Red arrows indicate hyperinflated lobules, red stars indicate. Hypersensitivity pneumonitis (hp) classified as an interstitial lung disease is characterized by a complex. Head Cheese Hypersensitivity Pneumonitis.