What Are Posterior Composites . In its most recent formulations (microhybrid, nanoparticles, nanohybrid), composite resin has become the most widely used material for restoring posterior teeth because of its biomechanical and esthetic properties. From placing in increments to filling in bulk, learn how to improve placement of posterior composites for lasting restorative success. Compared to amalgam, its use not only improves aesthetics. Understanding these categories can help dentists choose the best materials for posterior placement. Dental composite categories can be. Given today’s overhead per hour, dentist’s need material and technology advancements so that posterior composites can be placed faster,. These restorations require a heightened attention to detail in the selection of devices,. Direct placement resin composite is revolutionizing the restoration of posterior teeth. As there is a wide variation in the teaching and practice of posterior composite techniques worldwide, this paper aims to provide.
from onedental.co.in
In its most recent formulations (microhybrid, nanoparticles, nanohybrid), composite resin has become the most widely used material for restoring posterior teeth because of its biomechanical and esthetic properties. Understanding these categories can help dentists choose the best materials for posterior placement. Given today’s overhead per hour, dentist’s need material and technology advancements so that posterior composites can be placed faster,. These restorations require a heightened attention to detail in the selection of devices,. As there is a wide variation in the teaching and practice of posterior composite techniques worldwide, this paper aims to provide. Direct placement resin composite is revolutionizing the restoration of posterior teeth. Compared to amalgam, its use not only improves aesthetics. Dental composite categories can be. From placing in increments to filling in bulk, learn how to improve placement of posterior composites for lasting restorative success.
Demystifying posterior compositesOne Dental is the Biggest online
What Are Posterior Composites Compared to amalgam, its use not only improves aesthetics. Compared to amalgam, its use not only improves aesthetics. These restorations require a heightened attention to detail in the selection of devices,. As there is a wide variation in the teaching and practice of posterior composite techniques worldwide, this paper aims to provide. Given today’s overhead per hour, dentist’s need material and technology advancements so that posterior composites can be placed faster,. Dental composite categories can be. From placing in increments to filling in bulk, learn how to improve placement of posterior composites for lasting restorative success. Understanding these categories can help dentists choose the best materials for posterior placement. In its most recent formulations (microhybrid, nanoparticles, nanohybrid), composite resin has become the most widely used material for restoring posterior teeth because of its biomechanical and esthetic properties. Direct placement resin composite is revolutionizing the restoration of posterior teeth.
From www.semanticscholar.org
[PDF] Direct posterior composite restorations using stamp technique What Are Posterior Composites In its most recent formulations (microhybrid, nanoparticles, nanohybrid), composite resin has become the most widely used material for restoring posterior teeth because of its biomechanical and esthetic properties. Understanding these categories can help dentists choose the best materials for posterior placement. Given today’s overhead per hour, dentist’s need material and technology advancements so that posterior composites can be placed faster,.. What Are Posterior Composites.
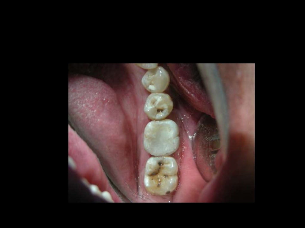
From www.dentsplysirona.com
Posterior Composites Choosing, using, placing Dentsply Sirona What Are Posterior Composites Compared to amalgam, its use not only improves aesthetics. In its most recent formulations (microhybrid, nanoparticles, nanohybrid), composite resin has become the most widely used material for restoring posterior teeth because of its biomechanical and esthetic properties. Understanding these categories can help dentists choose the best materials for posterior placement. Given today’s overhead per hour, dentist’s need material and technology. What Are Posterior Composites.
From www.youtube.com
Indirect Posterior Composite Restoration YouTube What Are Posterior Composites Understanding these categories can help dentists choose the best materials for posterior placement. These restorations require a heightened attention to detail in the selection of devices,. Direct placement resin composite is revolutionizing the restoration of posterior teeth. From placing in increments to filling in bulk, learn how to improve placement of posterior composites for lasting restorative success. Given today’s overhead. What Are Posterior Composites.
From www.slideshare.net
Direct Posterior Composite restoration What Are Posterior Composites Understanding these categories can help dentists choose the best materials for posterior placement. In its most recent formulations (microhybrid, nanoparticles, nanohybrid), composite resin has become the most widely used material for restoring posterior teeth because of its biomechanical and esthetic properties. These restorations require a heightened attention to detail in the selection of devices,. As there is a wide variation. What Are Posterior Composites.
From leeannbrady.com
Posterior Composites Marginal Integrity Lee Ann Brady DMD What Are Posterior Composites Compared to amalgam, its use not only improves aesthetics. From placing in increments to filling in bulk, learn how to improve placement of posterior composites for lasting restorative success. Given today’s overhead per hour, dentist’s need material and technology advancements so that posterior composites can be placed faster,. In its most recent formulations (microhybrid, nanoparticles, nanohybrid), composite resin has become. What Are Posterior Composites.
From www.dentaleconomics.com
How to increase predictability and durability of posterior composite What Are Posterior Composites These restorations require a heightened attention to detail in the selection of devices,. In its most recent formulations (microhybrid, nanoparticles, nanohybrid), composite resin has become the most widely used material for restoring posterior teeth because of its biomechanical and esthetic properties. Compared to amalgam, its use not only improves aesthetics. As there is a wide variation in the teaching and. What Are Posterior Composites.
From www.goodreads.com
Successful Posterior Composites Operative Dentistry 6 by Christopher What Are Posterior Composites Direct placement resin composite is revolutionizing the restoration of posterior teeth. As there is a wide variation in the teaching and practice of posterior composite techniques worldwide, this paper aims to provide. Compared to amalgam, its use not only improves aesthetics. From placing in increments to filling in bulk, learn how to improve placement of posterior composites for lasting restorative. What Are Posterior Composites.
From www.youtube.com
Direct Posterior Composite YouTube What Are Posterior Composites Compared to amalgam, its use not only improves aesthetics. From placing in increments to filling in bulk, learn how to improve placement of posterior composites for lasting restorative success. These restorations require a heightened attention to detail in the selection of devices,. Understanding these categories can help dentists choose the best materials for posterior placement. In its most recent formulations. What Are Posterior Composites.
From pocketdentistry.com
10 Posterior Direct Composites Pocket Dentistry What Are Posterior Composites Understanding these categories can help dentists choose the best materials for posterior placement. Direct placement resin composite is revolutionizing the restoration of posterior teeth. From placing in increments to filling in bulk, learn how to improve placement of posterior composites for lasting restorative success. As there is a wide variation in the teaching and practice of posterior composite techniques worldwide,. What Are Posterior Composites.
From dentistry.co.uk
Successful posterior composites Dentistry What Are Posterior Composites Direct placement resin composite is revolutionizing the restoration of posterior teeth. Compared to amalgam, its use not only improves aesthetics. From placing in increments to filling in bulk, learn how to improve placement of posterior composites for lasting restorative success. Understanding these categories can help dentists choose the best materials for posterior placement. Dental composite categories can be. As there. What Are Posterior Composites.
From www.oralhealthgroup.com
Placing Posterior Composites A New, Practical, Efficient Technique What Are Posterior Composites Understanding these categories can help dentists choose the best materials for posterior placement. These restorations require a heightened attention to detail in the selection of devices,. Direct placement resin composite is revolutionizing the restoration of posterior teeth. Given today’s overhead per hour, dentist’s need material and technology advancements so that posterior composites can be placed faster,. In its most recent. What Are Posterior Composites.
From www.aspiredentalacademy.com
Mastering Posterior Morphology & Composites aspiredental What Are Posterior Composites Direct placement resin composite is revolutionizing the restoration of posterior teeth. In its most recent formulations (microhybrid, nanoparticles, nanohybrid), composite resin has become the most widely used material for restoring posterior teeth because of its biomechanical and esthetic properties. Given today’s overhead per hour, dentist’s need material and technology advancements so that posterior composites can be placed faster,. From placing. What Are Posterior Composites.
From pocketdentistry.com
10 Posterior Direct Composites Pocket Dentistry What Are Posterior Composites As there is a wide variation in the teaching and practice of posterior composite techniques worldwide, this paper aims to provide. Compared to amalgam, its use not only improves aesthetics. These restorations require a heightened attention to detail in the selection of devices,. Dental composite categories can be. Given today’s overhead per hour, dentist’s need material and technology advancements so. What Are Posterior Composites.
From www.styleitaliano.org
Two ways of staining posterior composites What Are Posterior Composites Given today’s overhead per hour, dentist’s need material and technology advancements so that posterior composites can be placed faster,. These restorations require a heightened attention to detail in the selection of devices,. In its most recent formulations (microhybrid, nanoparticles, nanohybrid), composite resin has become the most widely used material for restoring posterior teeth because of its biomechanical and esthetic properties.. What Are Posterior Composites.
From www.youtube.com
Posterior Composite inar & Demonstration YouTube What Are Posterior Composites Understanding these categories can help dentists choose the best materials for posterior placement. These restorations require a heightened attention to detail in the selection of devices,. As there is a wide variation in the teaching and practice of posterior composite techniques worldwide, this paper aims to provide. Direct placement resin composite is revolutionizing the restoration of posterior teeth. From placing. What Are Posterior Composites.
From www.scribd.com
Posterior Composites A Practical Guide Revisited Restorative PDF What Are Posterior Composites These restorations require a heightened attention to detail in the selection of devices,. In its most recent formulations (microhybrid, nanoparticles, nanohybrid), composite resin has become the most widely used material for restoring posterior teeth because of its biomechanical and esthetic properties. Compared to amalgam, its use not only improves aesthetics. Understanding these categories can help dentists choose the best materials. What Are Posterior Composites.
From www.youtube.com
Composite Resins Clinical Technique Posterior Composites YouTube What Are Posterior Composites From placing in increments to filling in bulk, learn how to improve placement of posterior composites for lasting restorative success. Direct placement resin composite is revolutionizing the restoration of posterior teeth. Understanding these categories can help dentists choose the best materials for posterior placement. In its most recent formulations (microhybrid, nanoparticles, nanohybrid), composite resin has become the most widely used. What Are Posterior Composites.
From www.slideshare.net
Posterior composites What Are Posterior Composites Direct placement resin composite is revolutionizing the restoration of posterior teeth. From placing in increments to filling in bulk, learn how to improve placement of posterior composites for lasting restorative success. Understanding these categories can help dentists choose the best materials for posterior placement. In its most recent formulations (microhybrid, nanoparticles, nanohybrid), composite resin has become the most widely used. What Are Posterior Composites.
From www.youtube.com
Posterior Composites The Selective Etch Technique DOTHANDSON YouTube What Are Posterior Composites In its most recent formulations (microhybrid, nanoparticles, nanohybrid), composite resin has become the most widely used material for restoring posterior teeth because of its biomechanical and esthetic properties. Understanding these categories can help dentists choose the best materials for posterior placement. Compared to amalgam, its use not only improves aesthetics. These restorations require a heightened attention to detail in the. What Are Posterior Composites.
From endopracticeus.com
Endodontic CE Article CE Article Posterior composites and new bulk What Are Posterior Composites As there is a wide variation in the teaching and practice of posterior composite techniques worldwide, this paper aims to provide. Direct placement resin composite is revolutionizing the restoration of posterior teeth. These restorations require a heightened attention to detail in the selection of devices,. Given today’s overhead per hour, dentist’s need material and technology advancements so that posterior composites. What Are Posterior Composites.
From www.nedwork.org
neDwork Shape Posterior Composite What Are Posterior Composites In its most recent formulations (microhybrid, nanoparticles, nanohybrid), composite resin has become the most widely used material for restoring posterior teeth because of its biomechanical and esthetic properties. As there is a wide variation in the teaching and practice of posterior composite techniques worldwide, this paper aims to provide. These restorations require a heightened attention to detail in the selection. What Are Posterior Composites.
From slideplayer.com
Sealants, Preventive Resins and Posterior Composites ppt video online What Are Posterior Composites As there is a wide variation in the teaching and practice of posterior composite techniques worldwide, this paper aims to provide. Understanding these categories can help dentists choose the best materials for posterior placement. From placing in increments to filling in bulk, learn how to improve placement of posterior composites for lasting restorative success. In its most recent formulations (microhybrid,. What Are Posterior Composites.
From www.yumpu.com
Direct Posterior Composites What Are Posterior Composites Given today’s overhead per hour, dentist’s need material and technology advancements so that posterior composites can be placed faster,. From placing in increments to filling in bulk, learn how to improve placement of posterior composites for lasting restorative success. As there is a wide variation in the teaching and practice of posterior composite techniques worldwide, this paper aims to provide.. What Are Posterior Composites.
From www.nedwork.org
neDwork Shape Posterior Composite What Are Posterior Composites Given today’s overhead per hour, dentist’s need material and technology advancements so that posterior composites can be placed faster,. From placing in increments to filling in bulk, learn how to improve placement of posterior composites for lasting restorative success. As there is a wide variation in the teaching and practice of posterior composite techniques worldwide, this paper aims to provide.. What Are Posterior Composites.
From www.slideshare.net
Direct Posterior Composite restoration What Are Posterior Composites Understanding these categories can help dentists choose the best materials for posterior placement. Dental composite categories can be. These restorations require a heightened attention to detail in the selection of devices,. Direct placement resin composite is revolutionizing the restoration of posterior teeth. Given today’s overhead per hour, dentist’s need material and technology advancements so that posterior composites can be placed. What Are Posterior Composites.
From www.adansw.com.au
ADA NSW Perfect Posterior Composites What Are Posterior Composites Compared to amalgam, its use not only improves aesthetics. As there is a wide variation in the teaching and practice of posterior composite techniques worldwide, this paper aims to provide. In its most recent formulations (microhybrid, nanoparticles, nanohybrid), composite resin has become the most widely used material for restoring posterior teeth because of its biomechanical and esthetic properties. Dental composite. What Are Posterior Composites.
From www.aspiredentalacademy.com
Mastering Posterior Morphology & Composites aspiredental What Are Posterior Composites Compared to amalgam, its use not only improves aesthetics. Dental composite categories can be. In its most recent formulations (microhybrid, nanoparticles, nanohybrid), composite resin has become the most widely used material for restoring posterior teeth because of its biomechanical and esthetic properties. Understanding these categories can help dentists choose the best materials for posterior placement. These restorations require a heightened. What Are Posterior Composites.
From leeannbrady.com
Posterior Composite Prep Bevels Yes or No? Lee Ann Brady DMD What Are Posterior Composites These restorations require a heightened attention to detail in the selection of devices,. Direct placement resin composite is revolutionizing the restoration of posterior teeth. As there is a wide variation in the teaching and practice of posterior composite techniques worldwide, this paper aims to provide. Dental composite categories can be. In its most recent formulations (microhybrid, nanoparticles, nanohybrid), composite resin. What Are Posterior Composites.
From www.dentaljuce.com
Posterior Composites Enhanced Dental CPD Online What Are Posterior Composites Compared to amalgam, its use not only improves aesthetics. Understanding these categories can help dentists choose the best materials for posterior placement. From placing in increments to filling in bulk, learn how to improve placement of posterior composites for lasting restorative success. Given today’s overhead per hour, dentist’s need material and technology advancements so that posterior composites can be placed. What Are Posterior Composites.
From onedental.co.in
Demystifying posterior compositesOne Dental is the Biggest online What Are Posterior Composites Understanding these categories can help dentists choose the best materials for posterior placement. From placing in increments to filling in bulk, learn how to improve placement of posterior composites for lasting restorative success. Dental composite categories can be. Direct placement resin composite is revolutionizing the restoration of posterior teeth. As there is a wide variation in the teaching and practice. What Are Posterior Composites.
From www.slideshare.net
posterior composite What Are Posterior Composites In its most recent formulations (microhybrid, nanoparticles, nanohybrid), composite resin has become the most widely used material for restoring posterior teeth because of its biomechanical and esthetic properties. Understanding these categories can help dentists choose the best materials for posterior placement. Direct placement resin composite is revolutionizing the restoration of posterior teeth. Given today’s overhead per hour, dentist’s need material. What Are Posterior Composites.
From leeannbrady.com
Posterior Composites Pedictable Contacts Lee Ann Brady DMD What Are Posterior Composites Given today’s overhead per hour, dentist’s need material and technology advancements so that posterior composites can be placed faster,. In its most recent formulations (microhybrid, nanoparticles, nanohybrid), composite resin has become the most widely used material for restoring posterior teeth because of its biomechanical and esthetic properties. From placing in increments to filling in bulk, learn how to improve placement. What Are Posterior Composites.
From dmg-connect.com
Posterior Composite Restorations DMG America What Are Posterior Composites Compared to amalgam, its use not only improves aesthetics. Direct placement resin composite is revolutionizing the restoration of posterior teeth. These restorations require a heightened attention to detail in the selection of devices,. Dental composite categories can be. From placing in increments to filling in bulk, learn how to improve placement of posterior composites for lasting restorative success. Given today’s. What Are Posterior Composites.
From aiad.co.in
Mastering Posterior Composites aiad.co.in What Are Posterior Composites Given today’s overhead per hour, dentist’s need material and technology advancements so that posterior composites can be placed faster,. As there is a wide variation in the teaching and practice of posterior composite techniques worldwide, this paper aims to provide. Understanding these categories can help dentists choose the best materials for posterior placement. Dental composite categories can be. Direct placement. What Are Posterior Composites.
From www.tv.odontologiavirtual.com
POSTERIOR COMPOSITE RESTORATION Efficiently place posterior direct What Are Posterior Composites In its most recent formulations (microhybrid, nanoparticles, nanohybrid), composite resin has become the most widely used material for restoring posterior teeth because of its biomechanical and esthetic properties. Understanding these categories can help dentists choose the best materials for posterior placement. From placing in increments to filling in bulk, learn how to improve placement of posterior composites for lasting restorative. What Are Posterior Composites.