Lupus And Cold Sores . learn about the causes, symptoms, and treatments of mouth and nose ulcers in people with lupus. learn how different types of lupus can affect your skin, causing rashes, sores, swelling, hair loss, nail changes, and more. mouth sores are a common symptom of lupus or a sign of a lupus flare. Find out how to prevent and manage these sores that can be. Learn about the types, causes, and treatments of lupus mouth sores, and. herpesvirus (hhv) infections in patients with systemic lupus erythematosus (sle) are an important cause of morbidity and mortality. mouth sores and nose sores, sometimes called ulcers, are common symptoms of systemic lupus erythematosus (sle), the most frequently. objective patients with systemic lupus erythematosus (sle) are susceptible to herpes simplex virus (hsv) infection,. chilblain lupus is a rare type of lupus that causes red or purple skin sores after exposure to cold or wet.
from www.medicalnewstoday.com
learn about the causes, symptoms, and treatments of mouth and nose ulcers in people with lupus. chilblain lupus is a rare type of lupus that causes red or purple skin sores after exposure to cold or wet. mouth sores and nose sores, sometimes called ulcers, are common symptoms of systemic lupus erythematosus (sle), the most frequently. mouth sores are a common symptom of lupus or a sign of a lupus flare. objective patients with systemic lupus erythematosus (sle) are susceptible to herpes simplex virus (hsv) infection,. herpesvirus (hhv) infections in patients with systemic lupus erythematosus (sle) are an important cause of morbidity and mortality. Find out how to prevent and manage these sores that can be. Learn about the types, causes, and treatments of lupus mouth sores, and. learn how different types of lupus can affect your skin, causing rashes, sores, swelling, hair loss, nail changes, and more.
Painful sores in the nose Causes and treatments
Lupus And Cold Sores Learn about the types, causes, and treatments of lupus mouth sores, and. Learn about the types, causes, and treatments of lupus mouth sores, and. mouth sores are a common symptom of lupus or a sign of a lupus flare. Find out how to prevent and manage these sores that can be. herpesvirus (hhv) infections in patients with systemic lupus erythematosus (sle) are an important cause of morbidity and mortality. mouth sores and nose sores, sometimes called ulcers, are common symptoms of systemic lupus erythematosus (sle), the most frequently. learn how different types of lupus can affect your skin, causing rashes, sores, swelling, hair loss, nail changes, and more. learn about the causes, symptoms, and treatments of mouth and nose ulcers in people with lupus. chilblain lupus is a rare type of lupus that causes red or purple skin sores after exposure to cold or wet. objective patients with systemic lupus erythematosus (sle) are susceptible to herpes simplex virus (hsv) infection,.
From dermnetnz.org
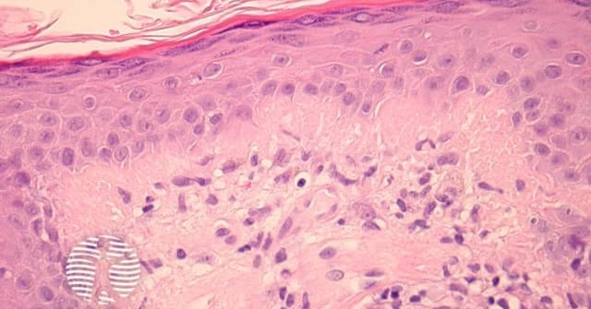
Pathology of discoid lupus erythematosus image Lupus And Cold Sores learn about the causes, symptoms, and treatments of mouth and nose ulcers in people with lupus. mouth sores are a common symptom of lupus or a sign of a lupus flare. objective patients with systemic lupus erythematosus (sle) are susceptible to herpes simplex virus (hsv) infection,. mouth sores and nose sores, sometimes called ulcers, are common. Lupus And Cold Sores.
From issuu.com
9 Cold Sore Treatment Easy And Fast by gohealthline Issuu Lupus And Cold Sores chilblain lupus is a rare type of lupus that causes red or purple skin sores after exposure to cold or wet. objective patients with systemic lupus erythematosus (sle) are susceptible to herpes simplex virus (hsv) infection,. learn about the causes, symptoms, and treatments of mouth and nose ulcers in people with lupus. mouth sores and nose. Lupus And Cold Sores.
From ownerlip.co
lupus lips symptoms Ownerlip.co Lupus And Cold Sores herpesvirus (hhv) infections in patients with systemic lupus erythematosus (sle) are an important cause of morbidity and mortality. chilblain lupus is a rare type of lupus that causes red or purple skin sores after exposure to cold or wet. learn about the causes, symptoms, and treatments of mouth and nose ulcers in people with lupus. objective. Lupus And Cold Sores.
From pomdental.wordpress.com
6 Top Causes and Triggers of Cold Sores Peace of Mind Dental Studio Lupus And Cold Sores mouth sores are a common symptom of lupus or a sign of a lupus flare. learn about the causes, symptoms, and treatments of mouth and nose ulcers in people with lupus. Find out how to prevent and manage these sores that can be. objective patients with systemic lupus erythematosus (sle) are susceptible to herpes simplex virus (hsv). Lupus And Cold Sores.
From www.verywellhealth.com
Cold Sore Outbreaks Symptoms, Stages, Causes, Treatments Lupus And Cold Sores learn how different types of lupus can affect your skin, causing rashes, sores, swelling, hair loss, nail changes, and more. chilblain lupus is a rare type of lupus that causes red or purple skin sores after exposure to cold or wet. herpesvirus (hhv) infections in patients with systemic lupus erythematosus (sle) are an important cause of morbidity. Lupus And Cold Sores.
From mavink.com
Lupus Skin Lesions From Sun Lupus And Cold Sores mouth sores are a common symptom of lupus or a sign of a lupus flare. Learn about the types, causes, and treatments of lupus mouth sores, and. mouth sores and nose sores, sometimes called ulcers, are common symptoms of systemic lupus erythematosus (sle), the most frequently. chilblain lupus is a rare type of lupus that causes red. Lupus And Cold Sores.
From www.facebook.com
Facebook Lupus And Cold Sores Learn about the types, causes, and treatments of lupus mouth sores, and. objective patients with systemic lupus erythematosus (sle) are susceptible to herpes simplex virus (hsv) infection,. learn how different types of lupus can affect your skin, causing rashes, sores, swelling, hair loss, nail changes, and more. mouth sores are a common symptom of lupus or a. Lupus And Cold Sores.
From americanceliac.org
Are Nose Sores Outside or Inside Due to Cold, Piercing or Lupus Lupus And Cold Sores Learn about the types, causes, and treatments of lupus mouth sores, and. herpesvirus (hhv) infections in patients with systemic lupus erythematosus (sle) are an important cause of morbidity and mortality. chilblain lupus is a rare type of lupus that causes red or purple skin sores after exposure to cold or wet. mouth sores are a common symptom. Lupus And Cold Sores.
From pixels.com
Systemic Lupus Erythematosus Rash On Woman's Leg Photograph by Dr P Lupus And Cold Sores Find out how to prevent and manage these sores that can be. herpesvirus (hhv) infections in patients with systemic lupus erythematosus (sle) are an important cause of morbidity and mortality. mouth sores are a common symptom of lupus or a sign of a lupus flare. learn about the causes, symptoms, and treatments of mouth and nose ulcers. Lupus And Cold Sores.
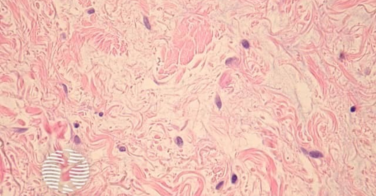
From dermnetnz.org
Pathology of discoid lupus erythematosus image Lupus And Cold Sores mouth sores and nose sores, sometimes called ulcers, are common symptoms of systemic lupus erythematosus (sle), the most frequently. objective patients with systemic lupus erythematosus (sle) are susceptible to herpes simplex virus (hsv) infection,. Learn about the types, causes, and treatments of lupus mouth sores, and. learn how different types of lupus can affect your skin, causing. Lupus And Cold Sores.
From 1md.org
How to Tell if It's a Canker Sore, Cold Sore, or More Serious 1MD Lupus And Cold Sores Find out how to prevent and manage these sores that can be. mouth sores and nose sores, sometimes called ulcers, are common symptoms of systemic lupus erythematosus (sle), the most frequently. learn about the causes, symptoms, and treatments of mouth and nose ulcers in people with lupus. objective patients with systemic lupus erythematosus (sle) are susceptible to. Lupus And Cold Sores.
From www.livehealthily.com
Mouth ulcers and cold sores What’s the difference? Lupus And Cold Sores herpesvirus (hhv) infections in patients with systemic lupus erythematosus (sle) are an important cause of morbidity and mortality. learn about the causes, symptoms, and treatments of mouth and nose ulcers in people with lupus. Learn about the types, causes, and treatments of lupus mouth sores, and. Find out how to prevent and manage these sores that can be.. Lupus And Cold Sores.
From mungfali.com
Lupus Mouth Sores Lupus And Cold Sores learn about the causes, symptoms, and treatments of mouth and nose ulcers in people with lupus. chilblain lupus is a rare type of lupus that causes red or purple skin sores after exposure to cold or wet. Find out how to prevent and manage these sores that can be. objective patients with systemic lupus erythematosus (sle) are. Lupus And Cold Sores.
From exyybaacy.blob.core.windows.net
Red Skin Under Nose From Blowing at Justin Ferguson blog Lupus And Cold Sores objective patients with systemic lupus erythematosus (sle) are susceptible to herpes simplex virus (hsv) infection,. herpesvirus (hhv) infections in patients with systemic lupus erythematosus (sle) are an important cause of morbidity and mortality. mouth sores and nose sores, sometimes called ulcers, are common symptoms of systemic lupus erythematosus (sle), the most frequently. mouth sores are a. Lupus And Cold Sores.
From www.ispyfabulous.com
A Surprisingly Easy Way To Get Rid of Cold Sores & Lupus Lip Sores I Lupus And Cold Sores mouth sores are a common symptom of lupus or a sign of a lupus flare. learn how different types of lupus can affect your skin, causing rashes, sores, swelling, hair loss, nail changes, and more. Find out how to prevent and manage these sores that can be. chilblain lupus is a rare type of lupus that causes. Lupus And Cold Sores.
From www.medicalnewstoday.com
Painful sores in the nose Causes and treatments Lupus And Cold Sores mouth sores and nose sores, sometimes called ulcers, are common symptoms of systemic lupus erythematosus (sle), the most frequently. learn how different types of lupus can affect your skin, causing rashes, sores, swelling, hair loss, nail changes, and more. objective patients with systemic lupus erythematosus (sle) are susceptible to herpes simplex virus (hsv) infection,. herpesvirus (hhv). Lupus And Cold Sores.
From www.alamy.com
Cold sore on the lip of a teenage boy and closeup view of herpes Lupus And Cold Sores objective patients with systemic lupus erythematosus (sle) are susceptible to herpes simplex virus (hsv) infection,. herpesvirus (hhv) infections in patients with systemic lupus erythematosus (sle) are an important cause of morbidity and mortality. mouth sores and nose sores, sometimes called ulcers, are common symptoms of systemic lupus erythematosus (sle), the most frequently. Learn about the types, causes,. Lupus And Cold Sores.
From giooulczr.blob.core.windows.net
Can You Catch Cold Sores From Saliva at Alfonso Lokey blog Lupus And Cold Sores Learn about the types, causes, and treatments of lupus mouth sores, and. chilblain lupus is a rare type of lupus that causes red or purple skin sores after exposure to cold or wet. learn about the causes, symptoms, and treatments of mouth and nose ulcers in people with lupus. herpesvirus (hhv) infections in patients with systemic lupus. Lupus And Cold Sores.
From www.drpamelaross.com
Help Your Doctor Diagnose Lupus Dr. Pamela Ross The Socially Lupus And Cold Sores chilblain lupus is a rare type of lupus that causes red or purple skin sores after exposure to cold or wet. objective patients with systemic lupus erythematosus (sle) are susceptible to herpes simplex virus (hsv) infection,. Find out how to prevent and manage these sores that can be. learn how different types of lupus can affect your. Lupus And Cold Sores.
From www.proplrpacks.com
Cold Sores Pro PLR Packs Lupus And Cold Sores learn how different types of lupus can affect your skin, causing rashes, sores, swelling, hair loss, nail changes, and more. mouth sores and nose sores, sometimes called ulcers, are common symptoms of systemic lupus erythematosus (sle), the most frequently. Learn about the types, causes, and treatments of lupus mouth sores, and. objective patients with systemic lupus erythematosus. Lupus And Cold Sores.
From www.artofit.org
How i avoid treat cold sores all you need to know Artofit Lupus And Cold Sores mouth sores and nose sores, sometimes called ulcers, are common symptoms of systemic lupus erythematosus (sle), the most frequently. chilblain lupus is a rare type of lupus that causes red or purple skin sores after exposure to cold or wet. mouth sores are a common symptom of lupus or a sign of a lupus flare. learn. Lupus And Cold Sores.
From www.youtube.com
HOW TO TREAT & ERADICATE COLD SORES YouTube Lupus And Cold Sores Find out how to prevent and manage these sores that can be. chilblain lupus is a rare type of lupus that causes red or purple skin sores after exposure to cold or wet. learn about the causes, symptoms, and treatments of mouth and nose ulcers in people with lupus. Learn about the types, causes, and treatments of lupus. Lupus And Cold Sores.
From wagine.com
What having lupus mouth sores feels like and how they can be treated (2023) Lupus And Cold Sores learn how different types of lupus can affect your skin, causing rashes, sores, swelling, hair loss, nail changes, and more. mouth sores and nose sores, sometimes called ulcers, are common symptoms of systemic lupus erythematosus (sle), the most frequently. Find out how to prevent and manage these sores that can be. chilblain lupus is a rare type. Lupus And Cold Sores.
From www.health.com
Canker Sore Causes and Risk Factors Lupus And Cold Sores Learn about the types, causes, and treatments of lupus mouth sores, and. learn about the causes, symptoms, and treatments of mouth and nose ulcers in people with lupus. learn how different types of lupus can affect your skin, causing rashes, sores, swelling, hair loss, nail changes, and more. Find out how to prevent and manage these sores that. Lupus And Cold Sores.
From www.pinterest.co.uk
Cold sores, also known as fever blisters, are small, fluidfilled Lupus And Cold Sores mouth sores are a common symptom of lupus or a sign of a lupus flare. Find out how to prevent and manage these sores that can be. learn about the causes, symptoms, and treatments of mouth and nose ulcers in people with lupus. objective patients with systemic lupus erythematosus (sle) are susceptible to herpes simplex virus (hsv). Lupus And Cold Sores.
From www.pinterest.com
Lupus and Cold Sores in 2020 Cold sore, Soreness, Lupus flare Lupus And Cold Sores mouth sores are a common symptom of lupus or a sign of a lupus flare. herpesvirus (hhv) infections in patients with systemic lupus erythematosus (sle) are an important cause of morbidity and mortality. chilblain lupus is a rare type of lupus that causes red or purple skin sores after exposure to cold or wet. Learn about the. Lupus And Cold Sores.
From www.verywellhealth.com
5 Ways Lupus Affects the Eyes Lupus And Cold Sores Find out how to prevent and manage these sores that can be. chilblain lupus is a rare type of lupus that causes red or purple skin sores after exposure to cold or wet. Learn about the types, causes, and treatments of lupus mouth sores, and. herpesvirus (hhv) infections in patients with systemic lupus erythematosus (sle) are an important. Lupus And Cold Sores.
From www.ispyfabulous.com
A Surprisingly Easy Way To Get Rid of Cold Sores & Lupus Lip Sores I Lupus And Cold Sores mouth sores and nose sores, sometimes called ulcers, are common symptoms of systemic lupus erythematosus (sle), the most frequently. objective patients with systemic lupus erythematosus (sle) are susceptible to herpes simplex virus (hsv) infection,. Learn about the types, causes, and treatments of lupus mouth sores, and. herpesvirus (hhv) infections in patients with systemic lupus erythematosus (sle) are. Lupus And Cold Sores.
From healthjade.com
Lupus Systemic Lupus Erythematosus (SLE) Causes, Sign & Symptoms Lupus And Cold Sores mouth sores and nose sores, sometimes called ulcers, are common symptoms of systemic lupus erythematosus (sle), the most frequently. herpesvirus (hhv) infections in patients with systemic lupus erythematosus (sle) are an important cause of morbidity and mortality. objective patients with systemic lupus erythematosus (sle) are susceptible to herpes simplex virus (hsv) infection,. learn about the causes,. Lupus And Cold Sores.
From maryspagelivingwithlupus.blogspot.com
Mary's Page Living with Lupus To the ER Or Not? Lupus And Cold Sores Find out how to prevent and manage these sores that can be. Learn about the types, causes, and treatments of lupus mouth sores, and. objective patients with systemic lupus erythematosus (sle) are susceptible to herpes simplex virus (hsv) infection,. mouth sores are a common symptom of lupus or a sign of a lupus flare. learn how different. Lupus And Cold Sores.
From exywxtydx.blob.core.windows.net
How To Heal Lips After Cold Sore at Emilie Trahan blog Lupus And Cold Sores chilblain lupus is a rare type of lupus that causes red or purple skin sores after exposure to cold or wet. objective patients with systemic lupus erythematosus (sle) are susceptible to herpes simplex virus (hsv) infection,. learn about the causes, symptoms, and treatments of mouth and nose ulcers in people with lupus. Learn about the types, causes,. Lupus And Cold Sores.
From www.jlcatj.gob.mx
What Are The Signs Of Lupus Sale Cheapest, Save 60 jlcatj.gob.mx Lupus And Cold Sores learn how different types of lupus can affect your skin, causing rashes, sores, swelling, hair loss, nail changes, and more. mouth sores and nose sores, sometimes called ulcers, are common symptoms of systemic lupus erythematosus (sle), the most frequently. learn about the causes, symptoms, and treatments of mouth and nose ulcers in people with lupus. Find out. Lupus And Cold Sores.
From www.medicalnewstoday.com
How long do cold sores last? Stages, pictures, and treatments Lupus And Cold Sores Find out how to prevent and manage these sores that can be. objective patients with systemic lupus erythematosus (sle) are susceptible to herpes simplex virus (hsv) infection,. Learn about the types, causes, and treatments of lupus mouth sores, and. learn about the causes, symptoms, and treatments of mouth and nose ulcers in people with lupus. chilblain lupus. Lupus And Cold Sores.
From www.medicalnewstoday.com
Early signs of lupus How to identify them Lupus And Cold Sores chilblain lupus is a rare type of lupus that causes red or purple skin sores after exposure to cold or wet. mouth sores are a common symptom of lupus or a sign of a lupus flare. Find out how to prevent and manage these sores that can be. objective patients with systemic lupus erythematosus (sle) are susceptible. Lupus And Cold Sores.
From www.ispyfabulous.com
A Surprisingly Easy Way To Get Rid of Cold Sores & Lupus Lip Sores I Lupus And Cold Sores mouth sores are a common symptom of lupus or a sign of a lupus flare. herpesvirus (hhv) infections in patients with systemic lupus erythematosus (sle) are an important cause of morbidity and mortality. objective patients with systemic lupus erythematosus (sle) are susceptible to herpes simplex virus (hsv) infection,. learn about the causes, symptoms, and treatments of. Lupus And Cold Sores.