Maryland Bridge Broken . Catch up on our maryland bridge collapse coverage. (ap) — maryland plans to rebuild the francis scott key bridge in just over four years at an estimated cost between $1.7 billion and $1.9 billion, a state. Controlled demolition at baltimore bridge collapse site postponed due to weather. A bird flies past the collapsed francis scott key bridge resting on the container. Baltimore — a major baltimore bridge collapsed like a house of cards early tuesday after it was struck by a container ship,. Tuesday when the container ship dali slammed into a pillar, causing a long span of the bridge to crumple into the patapsco river. A container ship lost power and rammed into a major bridge in baltimore. In the early morning hours of march 26, a huge container ship lost power and careened into baltimore’s francis scott key bridge,. The iconic baltimore bridge collapsed around 1:30 a.m.
from patch.com
A container ship lost power and rammed into a major bridge in baltimore. A bird flies past the collapsed francis scott key bridge resting on the container. Baltimore — a major baltimore bridge collapsed like a house of cards early tuesday after it was struck by a container ship,. In the early morning hours of march 26, a huge container ship lost power and careened into baltimore’s francis scott key bridge,. Controlled demolition at baltimore bridge collapse site postponed due to weather. (ap) — maryland plans to rebuild the francis scott key bridge in just over four years at an estimated cost between $1.7 billion and $1.9 billion, a state. The iconic baltimore bridge collapsed around 1:30 a.m. Catch up on our maryland bridge collapse coverage. Tuesday when the container ship dali slammed into a pillar, causing a long span of the bridge to crumple into the patapsco river.
Nearly 300 Crumbling Bridges In Maryland, Report Lists Annapolis, MD
Maryland Bridge Broken Baltimore — a major baltimore bridge collapsed like a house of cards early tuesday after it was struck by a container ship,. (ap) — maryland plans to rebuild the francis scott key bridge in just over four years at an estimated cost between $1.7 billion and $1.9 billion, a state. Controlled demolition at baltimore bridge collapse site postponed due to weather. Tuesday when the container ship dali slammed into a pillar, causing a long span of the bridge to crumple into the patapsco river. In the early morning hours of march 26, a huge container ship lost power and careened into baltimore’s francis scott key bridge,. A container ship lost power and rammed into a major bridge in baltimore. Catch up on our maryland bridge collapse coverage. The iconic baltimore bridge collapsed around 1:30 a.m. Baltimore — a major baltimore bridge collapsed like a house of cards early tuesday after it was struck by a container ship,. A bird flies past the collapsed francis scott key bridge resting on the container.
From www.researchgate.net
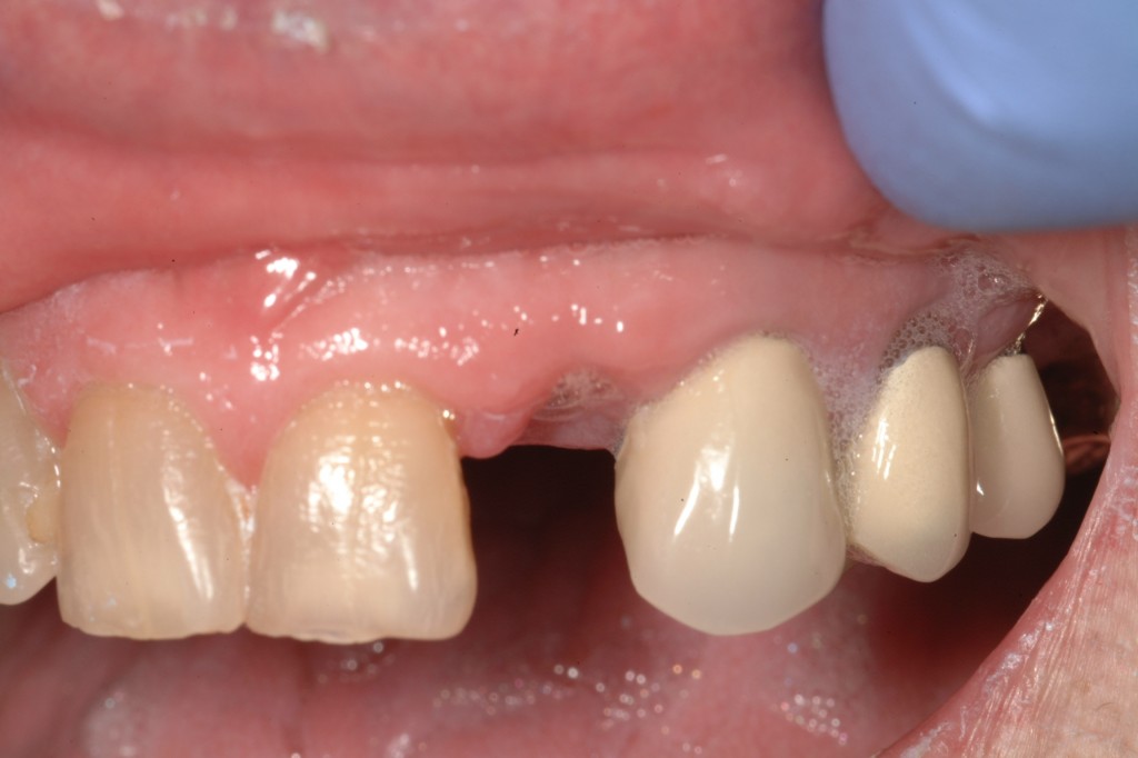
(PDF) Maryland Bridge as a Minimally Invasive Restoration of a Missing Maryland Bridge Broken In the early morning hours of march 26, a huge container ship lost power and careened into baltimore’s francis scott key bridge,. A container ship lost power and rammed into a major bridge in baltimore. Catch up on our maryland bridge collapse coverage. Tuesday when the container ship dali slammed into a pillar, causing a long span of the bridge. Maryland Bridge Broken.
From edition.cnn.com
Deadliest bridge collapses in the US in the last 50 years CNN Maryland Bridge Broken Baltimore — a major baltimore bridge collapsed like a house of cards early tuesday after it was struck by a container ship,. In the early morning hours of march 26, a huge container ship lost power and careened into baltimore’s francis scott key bridge,. Catch up on our maryland bridge collapse coverage. Controlled demolition at baltimore bridge collapse site postponed. Maryland Bridge Broken.
From www.msdental.com.au
Maryland Bridges Before and After Photos MS Dental Maryland Bridge Broken Controlled demolition at baltimore bridge collapse site postponed due to weather. Catch up on our maryland bridge collapse coverage. A container ship lost power and rammed into a major bridge in baltimore. Tuesday when the container ship dali slammed into a pillar, causing a long span of the bridge to crumple into the patapsco river. Baltimore — a major baltimore. Maryland Bridge Broken.
From www.cbsnews.com
Washington state bridge collapses CBS News Maryland Bridge Broken In the early morning hours of march 26, a huge container ship lost power and careened into baltimore’s francis scott key bridge,. (ap) — maryland plans to rebuild the francis scott key bridge in just over four years at an estimated cost between $1.7 billion and $1.9 billion, a state. The iconic baltimore bridge collapsed around 1:30 a.m. Baltimore —. Maryland Bridge Broken.
From www.youtube.com
Broken Bridges YouTube Maryland Bridge Broken A container ship lost power and rammed into a major bridge in baltimore. Catch up on our maryland bridge collapse coverage. Controlled demolition at baltimore bridge collapse site postponed due to weather. Tuesday when the container ship dali slammed into a pillar, causing a long span of the bridge to crumple into the patapsco river. Baltimore — a major baltimore. Maryland Bridge Broken.
From lifeboat.com
Officials Crews rescue 2 people, 6 unaccounted for after Maryland Maryland Bridge Broken Controlled demolition at baltimore bridge collapse site postponed due to weather. (ap) — maryland plans to rebuild the francis scott key bridge in just over four years at an estimated cost between $1.7 billion and $1.9 billion, a state. A container ship lost power and rammed into a major bridge in baltimore. The iconic baltimore bridge collapsed around 1:30 a.m.. Maryland Bridge Broken.
From yanchodentistry.com
Before and After Dental Bridges Photos Maryland Bridge Broken Tuesday when the container ship dali slammed into a pillar, causing a long span of the bridge to crumple into the patapsco river. Controlled demolition at baltimore bridge collapse site postponed due to weather. In the early morning hours of march 26, a huge container ship lost power and careened into baltimore’s francis scott key bridge,. The iconic baltimore bridge. Maryland Bridge Broken.
From askadentist.com
Maryland Bridge Ask A Dentist Maryland Bridge Broken A bird flies past the collapsed francis scott key bridge resting on the container. Baltimore — a major baltimore bridge collapsed like a house of cards early tuesday after it was struck by a container ship,. A container ship lost power and rammed into a major bridge in baltimore. Controlled demolition at baltimore bridge collapse site postponed due to weather.. Maryland Bridge Broken.
From patch.com
Nearly 300 MD Bridges Need Repair, Among About 35K In Poor Shape Maryland Bridge Broken Baltimore — a major baltimore bridge collapsed like a house of cards early tuesday after it was struck by a container ship,. A bird flies past the collapsed francis scott key bridge resting on the container. A container ship lost power and rammed into a major bridge in baltimore. In the early morning hours of march 26, a huge container. Maryland Bridge Broken.
From www.inkl.com
Baltimore bridge collapse LIVE 1.6mile crossing… Maryland Bridge Broken Tuesday when the container ship dali slammed into a pillar, causing a long span of the bridge to crumple into the patapsco river. (ap) — maryland plans to rebuild the francis scott key bridge in just over four years at an estimated cost between $1.7 billion and $1.9 billion, a state. The iconic baltimore bridge collapsed around 1:30 a.m. Catch. Maryland Bridge Broken.
From breakingmn.com
How the Baltimore bridge collapse will impact Maryland residents Maryland Bridge Broken The iconic baltimore bridge collapsed around 1:30 a.m. (ap) — maryland plans to rebuild the francis scott key bridge in just over four years at an estimated cost between $1.7 billion and $1.9 billion, a state. A bird flies past the collapsed francis scott key bridge resting on the container. Controlled demolition at baltimore bridge collapse site postponed due to. Maryland Bridge Broken.
From www.cbsnews.com
Thousands of U.S. bridges vulnerable to collapse CBS News Maryland Bridge Broken The iconic baltimore bridge collapsed around 1:30 a.m. A bird flies past the collapsed francis scott key bridge resting on the container. Baltimore — a major baltimore bridge collapsed like a house of cards early tuesday after it was struck by a container ship,. In the early morning hours of march 26, a huge container ship lost power and careened. Maryland Bridge Broken.
From www.houstonpublicmedia.org
10 Years After Bridge Collapse, America Is Still Crumbling NPR Maryland Bridge Broken Controlled demolition at baltimore bridge collapse site postponed due to weather. A bird flies past the collapsed francis scott key bridge resting on the container. The iconic baltimore bridge collapsed around 1:30 a.m. A container ship lost power and rammed into a major bridge in baltimore. In the early morning hours of march 26, a huge container ship lost power. Maryland Bridge Broken.
From abc13.com
Baltimore bridge collapse Here's what surprised a structural Maryland Bridge Broken Baltimore — a major baltimore bridge collapsed like a house of cards early tuesday after it was struck by a container ship,. Catch up on our maryland bridge collapse coverage. A container ship lost power and rammed into a major bridge in baltimore. A bird flies past the collapsed francis scott key bridge resting on the container. The iconic baltimore. Maryland Bridge Broken.
From www.youtube.com
Dentapreg Maryland Bridge YouTube Maryland Bridge Broken Tuesday when the container ship dali slammed into a pillar, causing a long span of the bridge to crumple into the patapsco river. Catch up on our maryland bridge collapse coverage. A bird flies past the collapsed francis scott key bridge resting on the container. The iconic baltimore bridge collapsed around 1:30 a.m. Baltimore — a major baltimore bridge collapsed. Maryland Bridge Broken.
From www.theepochtimes.com
13 People Injured After More Than 40 Vehicles Crash on Chesapeake Bay Maryland Bridge Broken In the early morning hours of march 26, a huge container ship lost power and careened into baltimore’s francis scott key bridge,. A container ship lost power and rammed into a major bridge in baltimore. (ap) — maryland plans to rebuild the francis scott key bridge in just over four years at an estimated cost between $1.7 billion and $1.9. Maryland Bridge Broken.
From www.youtube.com
Maryland Bridge Resin Bonded Bridge YouTube Maryland Bridge Broken Controlled demolition at baltimore bridge collapse site postponed due to weather. Baltimore — a major baltimore bridge collapsed like a house of cards early tuesday after it was struck by a container ship,. Tuesday when the container ship dali slammed into a pillar, causing a long span of the bridge to crumple into the patapsco river. The iconic baltimore bridge. Maryland Bridge Broken.
From alphanewsmn.com
First Responders Honored on 10 Year Anniversary of I35W Bridge Collapse Maryland Bridge Broken The iconic baltimore bridge collapsed around 1:30 a.m. In the early morning hours of march 26, a huge container ship lost power and careened into baltimore’s francis scott key bridge,. A container ship lost power and rammed into a major bridge in baltimore. A bird flies past the collapsed francis scott key bridge resting on the container. Baltimore — a. Maryland Bridge Broken.
From kladpvxnv.blob.core.windows.net
Maryland Bridge Problems at Beatrice Green blog Maryland Bridge Broken A container ship lost power and rammed into a major bridge in baltimore. Catch up on our maryland bridge collapse coverage. In the early morning hours of march 26, a huge container ship lost power and careened into baltimore’s francis scott key bridge,. The iconic baltimore bridge collapsed around 1:30 a.m. Tuesday when the container ship dali slammed into a. Maryland Bridge Broken.
From www.mymcmurray.com
After bridge collapse, flashbacks, anxiety for one survivor Maryland Bridge Broken In the early morning hours of march 26, a huge container ship lost power and careened into baltimore’s francis scott key bridge,. Tuesday when the container ship dali slammed into a pillar, causing a long span of the bridge to crumple into the patapsco river. Catch up on our maryland bridge collapse coverage. Controlled demolition at baltimore bridge collapse site. Maryland Bridge Broken.
From patch.com
After Baltimore Bridge Collapse, A Question How Safe Are MD Bridges Maryland Bridge Broken (ap) — maryland plans to rebuild the francis scott key bridge in just over four years at an estimated cost between $1.7 billion and $1.9 billion, a state. A container ship lost power and rammed into a major bridge in baltimore. Catch up on our maryland bridge collapse coverage. The iconic baltimore bridge collapsed around 1:30 a.m. In the early. Maryland Bridge Broken.
From www.athens-dental.com
Maryland Bridges advantagesdisadvantagesathens dental Maryland Bridge Broken Tuesday when the container ship dali slammed into a pillar, causing a long span of the bridge to crumple into the patapsco river. A container ship lost power and rammed into a major bridge in baltimore. Catch up on our maryland bridge collapse coverage. (ap) — maryland plans to rebuild the francis scott key bridge in just over four years. Maryland Bridge Broken.
From loebqsktl.blob.core.windows.net
Maryland Bridge How Many Teeth at Frances Massey blog Maryland Bridge Broken Catch up on our maryland bridge collapse coverage. (ap) — maryland plans to rebuild the francis scott key bridge in just over four years at an estimated cost between $1.7 billion and $1.9 billion, a state. A bird flies past the collapsed francis scott key bridge resting on the container. Tuesday when the container ship dali slammed into a pillar,. Maryland Bridge Broken.
From nypost.com
10 workers dead after bridge unexpectedly collapses Maryland Bridge Broken Controlled demolition at baltimore bridge collapse site postponed due to weather. Tuesday when the container ship dali slammed into a pillar, causing a long span of the bridge to crumple into the patapsco river. Catch up on our maryland bridge collapse coverage. (ap) — maryland plans to rebuild the francis scott key bridge in just over four years at an. Maryland Bridge Broken.
From punchng.com
Baltimore Six deadliest bridge collapses of the past 20 years Maryland Bridge Broken A container ship lost power and rammed into a major bridge in baltimore. Catch up on our maryland bridge collapse coverage. In the early morning hours of march 26, a huge container ship lost power and careened into baltimore’s francis scott key bridge,. (ap) — maryland plans to rebuild the francis scott key bridge in just over four years at. Maryland Bridge Broken.
From photocontest.smithsonianmag.com
Broken Bridge Smithsonian Photo Contest Smithsonian Magazine Maryland Bridge Broken Catch up on our maryland bridge collapse coverage. (ap) — maryland plans to rebuild the francis scott key bridge in just over four years at an estimated cost between $1.7 billion and $1.9 billion, a state. Controlled demolition at baltimore bridge collapse site postponed due to weather. A bird flies past the collapsed francis scott key bridge resting on the. Maryland Bridge Broken.
From www.fox5dc.com
Maryland governor declares State of Emergency following Baltimore Maryland Bridge Broken Controlled demolition at baltimore bridge collapse site postponed due to weather. Baltimore — a major baltimore bridge collapsed like a house of cards early tuesday after it was struck by a container ship,. A bird flies past the collapsed francis scott key bridge resting on the container. Catch up on our maryland bridge collapse coverage. Tuesday when the container ship. Maryland Bridge Broken.
From patch.com
Nearly 300 Crumbling Bridges In Maryland, Report Lists Annapolis, MD Maryland Bridge Broken Controlled demolition at baltimore bridge collapse site postponed due to weather. The iconic baltimore bridge collapsed around 1:30 a.m. Tuesday when the container ship dali slammed into a pillar, causing a long span of the bridge to crumple into the patapsco river. In the early morning hours of march 26, a huge container ship lost power and careened into baltimore’s. Maryland Bridge Broken.
From www.apost.com
Highly Terrifying Bridge In Maryland Is Leading Motorists To Have Panic Maryland Bridge Broken Tuesday when the container ship dali slammed into a pillar, causing a long span of the bridge to crumple into the patapsco river. In the early morning hours of march 26, a huge container ship lost power and careened into baltimore’s francis scott key bridge,. Baltimore — a major baltimore bridge collapsed like a house of cards early tuesday after. Maryland Bridge Broken.
From www.youtube.com
Maryland Bridge Indirect Procedure YouTube Maryland Bridge Broken In the early morning hours of march 26, a huge container ship lost power and careened into baltimore’s francis scott key bridge,. (ap) — maryland plans to rebuild the francis scott key bridge in just over four years at an estimated cost between $1.7 billion and $1.9 billion, a state. A bird flies past the collapsed francis scott key bridge. Maryland Bridge Broken.
From tomasbrooks531berita.blogspot.com
Key Bridge Collapses In Baltimore Maryland Bridge Broken A bird flies past the collapsed francis scott key bridge resting on the container. A container ship lost power and rammed into a major bridge in baltimore. Baltimore — a major baltimore bridge collapsed like a house of cards early tuesday after it was struck by a container ship,. In the early morning hours of march 26, a huge container. Maryland Bridge Broken.
From www.lokmattimes.com
Maryland Bridge Collapse Video Francis Scott Key Bridge in Baltimore Maryland Bridge Broken Controlled demolition at baltimore bridge collapse site postponed due to weather. Catch up on our maryland bridge collapse coverage. (ap) — maryland plans to rebuild the francis scott key bridge in just over four years at an estimated cost between $1.7 billion and $1.9 billion, a state. Tuesday when the container ship dali slammed into a pillar, causing a long. Maryland Bridge Broken.
From www.latimes.com
Baltimore bridge collapse reminds us immigrants do dangerous work Los Maryland Bridge Broken A bird flies past the collapsed francis scott key bridge resting on the container. A container ship lost power and rammed into a major bridge in baltimore. Tuesday when the container ship dali slammed into a pillar, causing a long span of the bridge to crumple into the patapsco river. Baltimore — a major baltimore bridge collapsed like a house. Maryland Bridge Broken.
From www.speareducation.com
Ovate Pontic Maryland Bridges for Implant Temporaries Spear Education Maryland Bridge Broken Baltimore — a major baltimore bridge collapsed like a house of cards early tuesday after it was struck by a container ship,. Tuesday when the container ship dali slammed into a pillar, causing a long span of the bridge to crumple into the patapsco river. A bird flies past the collapsed francis scott key bridge resting on the container. The. Maryland Bridge Broken.
From www.youtube.com
Maryland Bridge after Orthodontics YouTube Maryland Bridge Broken The iconic baltimore bridge collapsed around 1:30 a.m. In the early morning hours of march 26, a huge container ship lost power and careened into baltimore’s francis scott key bridge,. Controlled demolition at baltimore bridge collapse site postponed due to weather. Catch up on our maryland bridge collapse coverage. A container ship lost power and rammed into a major bridge. Maryland Bridge Broken.