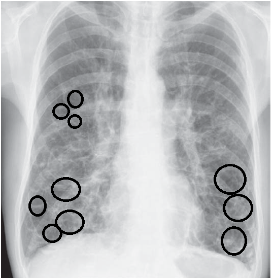
Chest X-Ray Showing Bronchiectasis . Diagnosis of bronchiectasis is usually made using chest computed tomography (ct) scan, the current gold standard method. Chest radiography is usually the initial study performed in suspected bronchiectasis. Imaging plays a pivotal role in the diagnosis of bronchiectasis. Signs in severe disease include tram lines and ring shadows. Findings include bronchial diameter exceeding that of the adjacent pulmonary artery and lack of normal tapering of terminal bronchioles as they course toward the lung periphery.
from www.eurorad.org
Signs in severe disease include tram lines and ring shadows. Chest radiography is usually the initial study performed in suspected bronchiectasis. Findings include bronchial diameter exceeding that of the adjacent pulmonary artery and lack of normal tapering of terminal bronchioles as they course toward the lung periphery. Diagnosis of bronchiectasis is usually made using chest computed tomography (ct) scan, the current gold standard method. Imaging plays a pivotal role in the diagnosis of bronchiectasis.
Late diagnosis of cystic fibrosis A casebased radiological approach
Chest X-Ray Showing Bronchiectasis Findings include bronchial diameter exceeding that of the adjacent pulmonary artery and lack of normal tapering of terminal bronchioles as they course toward the lung periphery. Findings include bronchial diameter exceeding that of the adjacent pulmonary artery and lack of normal tapering of terminal bronchioles as they course toward the lung periphery. Chest radiography is usually the initial study performed in suspected bronchiectasis. Diagnosis of bronchiectasis is usually made using chest computed tomography (ct) scan, the current gold standard method. Signs in severe disease include tram lines and ring shadows. Imaging plays a pivotal role in the diagnosis of bronchiectasis.
From chestarchives.blogspot.com
Chest Archives C X Ray Bronchiectasis Chest X-Ray Showing Bronchiectasis Diagnosis of bronchiectasis is usually made using chest computed tomography (ct) scan, the current gold standard method. Imaging plays a pivotal role in the diagnosis of bronchiectasis. Signs in severe disease include tram lines and ring shadows. Findings include bronchial diameter exceeding that of the adjacent pulmonary artery and lack of normal tapering of terminal bronchioles as they course toward. Chest X-Ray Showing Bronchiectasis.
From thorax.bmj.com
A patient with bronchiectasis presented with progressive dyspnoea and Chest X-Ray Showing Bronchiectasis Diagnosis of bronchiectasis is usually made using chest computed tomography (ct) scan, the current gold standard method. Imaging plays a pivotal role in the diagnosis of bronchiectasis. Findings include bronchial diameter exceeding that of the adjacent pulmonary artery and lack of normal tapering of terminal bronchioles as they course toward the lung periphery. Chest radiography is usually the initial study. Chest X-Ray Showing Bronchiectasis.
From mavink.com
Fibrosis Chest X Ray Chest X-Ray Showing Bronchiectasis Chest radiography is usually the initial study performed in suspected bronchiectasis. Signs in severe disease include tram lines and ring shadows. Diagnosis of bronchiectasis is usually made using chest computed tomography (ct) scan, the current gold standard method. Imaging plays a pivotal role in the diagnosis of bronchiectasis. Findings include bronchial diameter exceeding that of the adjacent pulmonary artery and. Chest X-Ray Showing Bronchiectasis.
From www.alamy.com
Bronchiectasis . Xray chest show multiple lung bleb and cyst due to Chest X-Ray Showing Bronchiectasis Findings include bronchial diameter exceeding that of the adjacent pulmonary artery and lack of normal tapering of terminal bronchioles as they course toward the lung periphery. Chest radiography is usually the initial study performed in suspected bronchiectasis. Diagnosis of bronchiectasis is usually made using chest computed tomography (ct) scan, the current gold standard method. Imaging plays a pivotal role in. Chest X-Ray Showing Bronchiectasis.
From www.youtube.com
Chest xray Bronchiectasis on CT and Chest xray YouTube Chest X-Ray Showing Bronchiectasis Chest radiography is usually the initial study performed in suspected bronchiectasis. Diagnosis of bronchiectasis is usually made using chest computed tomography (ct) scan, the current gold standard method. Signs in severe disease include tram lines and ring shadows. Findings include bronchial diameter exceeding that of the adjacent pulmonary artery and lack of normal tapering of terminal bronchioles as they course. Chest X-Ray Showing Bronchiectasis.
From www.researchgate.net
Chest Xray showing massive cardiomegaly, with poorly defined opacities Chest X-Ray Showing Bronchiectasis Signs in severe disease include tram lines and ring shadows. Findings include bronchial diameter exceeding that of the adjacent pulmonary artery and lack of normal tapering of terminal bronchioles as they course toward the lung periphery. Chest radiography is usually the initial study performed in suspected bronchiectasis. Diagnosis of bronchiectasis is usually made using chest computed tomography (ct) scan, the. Chest X-Ray Showing Bronchiectasis.
From www.researchgate.net
Chest Xray showing bilateral haziness in the lung parenchyma Chest X-Ray Showing Bronchiectasis Findings include bronchial diameter exceeding that of the adjacent pulmonary artery and lack of normal tapering of terminal bronchioles as they course toward the lung periphery. Imaging plays a pivotal role in the diagnosis of bronchiectasis. Chest radiography is usually the initial study performed in suspected bronchiectasis. Signs in severe disease include tram lines and ring shadows. Diagnosis of bronchiectasis. Chest X-Ray Showing Bronchiectasis.
From www.dreamstime.com
Bronchiectasis stock image. Image of communicable, hospital 48513899 Chest X-Ray Showing Bronchiectasis Signs in severe disease include tram lines and ring shadows. Findings include bronchial diameter exceeding that of the adjacent pulmonary artery and lack of normal tapering of terminal bronchioles as they course toward the lung periphery. Chest radiography is usually the initial study performed in suspected bronchiectasis. Diagnosis of bronchiectasis is usually made using chest computed tomography (ct) scan, the. Chest X-Ray Showing Bronchiectasis.
From www.youtube.com
BRONCHIECTASIS XRAYCHEST XRAY OF BILATERAL BRONCHIECTASISMULTIPLE Chest X-Ray Showing Bronchiectasis Chest radiography is usually the initial study performed in suspected bronchiectasis. Diagnosis of bronchiectasis is usually made using chest computed tomography (ct) scan, the current gold standard method. Imaging plays a pivotal role in the diagnosis of bronchiectasis. Signs in severe disease include tram lines and ring shadows. Findings include bronchial diameter exceeding that of the adjacent pulmonary artery and. Chest X-Ray Showing Bronchiectasis.
From www.eurorad.org
Late diagnosis of cystic fibrosis A casebased radiological approach Chest X-Ray Showing Bronchiectasis Chest radiography is usually the initial study performed in suspected bronchiectasis. Signs in severe disease include tram lines and ring shadows. Imaging plays a pivotal role in the diagnosis of bronchiectasis. Diagnosis of bronchiectasis is usually made using chest computed tomography (ct) scan, the current gold standard method. Findings include bronchial diameter exceeding that of the adjacent pulmonary artery and. Chest X-Ray Showing Bronchiectasis.
From www.researchgate.net
Chest Xray showing B/L bronchiectasis with dextrocardia. Download Chest X-Ray Showing Bronchiectasis Chest radiography is usually the initial study performed in suspected bronchiectasis. Diagnosis of bronchiectasis is usually made using chest computed tomography (ct) scan, the current gold standard method. Signs in severe disease include tram lines and ring shadows. Imaging plays a pivotal role in the diagnosis of bronchiectasis. Findings include bronchial diameter exceeding that of the adjacent pulmonary artery and. Chest X-Ray Showing Bronchiectasis.
From www.svuhradiology.ie
Bronchiectasis CXR and CT Radiology at St. Vincent's University Chest X-Ray Showing Bronchiectasis Findings include bronchial diameter exceeding that of the adjacent pulmonary artery and lack of normal tapering of terminal bronchioles as they course toward the lung periphery. Imaging plays a pivotal role in the diagnosis of bronchiectasis. Diagnosis of bronchiectasis is usually made using chest computed tomography (ct) scan, the current gold standard method. Chest radiography is usually the initial study. Chest X-Ray Showing Bronchiectasis.
From www.researchgate.net
(PDF) A young woman with cystic bronchiectasis mystery revealed Chest X-Ray Showing Bronchiectasis Chest radiography is usually the initial study performed in suspected bronchiectasis. Findings include bronchial diameter exceeding that of the adjacent pulmonary artery and lack of normal tapering of terminal bronchioles as they course toward the lung periphery. Imaging plays a pivotal role in the diagnosis of bronchiectasis. Diagnosis of bronchiectasis is usually made using chest computed tomography (ct) scan, the. Chest X-Ray Showing Bronchiectasis.
From hubpages.com
Reading The Chest XRay (Chest Radiography) Identifying A Normal Chest Chest X-Ray Showing Bronchiectasis Diagnosis of bronchiectasis is usually made using chest computed tomography (ct) scan, the current gold standard method. Chest radiography is usually the initial study performed in suspected bronchiectasis. Findings include bronchial diameter exceeding that of the adjacent pulmonary artery and lack of normal tapering of terminal bronchioles as they course toward the lung periphery. Signs in severe disease include tram. Chest X-Ray Showing Bronchiectasis.
From www.youtube.com
Bronchiectasis Chest Xray What is bronchiectasis YouTube Chest X-Ray Showing Bronchiectasis Signs in severe disease include tram lines and ring shadows. Imaging plays a pivotal role in the diagnosis of bronchiectasis. Diagnosis of bronchiectasis is usually made using chest computed tomography (ct) scan, the current gold standard method. Chest radiography is usually the initial study performed in suspected bronchiectasis. Findings include bronchial diameter exceeding that of the adjacent pulmonary artery and. Chest X-Ray Showing Bronchiectasis.
From www.alamy.com
"Bronchiectasis" Xray chest show multiple lung bleb and cyst due to Chest X-Ray Showing Bronchiectasis Chest radiography is usually the initial study performed in suspected bronchiectasis. Imaging plays a pivotal role in the diagnosis of bronchiectasis. Findings include bronchial diameter exceeding that of the adjacent pulmonary artery and lack of normal tapering of terminal bronchioles as they course toward the lung periphery. Diagnosis of bronchiectasis is usually made using chest computed tomography (ct) scan, the. Chest X-Ray Showing Bronchiectasis.
From www.vrogue.co
Chest Xray Showing Interstitial Pulmonary Infiltratio vrogue.co Chest X-Ray Showing Bronchiectasis Imaging plays a pivotal role in the diagnosis of bronchiectasis. Chest radiography is usually the initial study performed in suspected bronchiectasis. Findings include bronchial diameter exceeding that of the adjacent pulmonary artery and lack of normal tapering of terminal bronchioles as they course toward the lung periphery. Signs in severe disease include tram lines and ring shadows. Diagnosis of bronchiectasis. Chest X-Ray Showing Bronchiectasis.
From www.cureus.com
Cureus Primary Spontaneous Pneumothorax in Typhoid Chest X-Ray Showing Bronchiectasis Signs in severe disease include tram lines and ring shadows. Imaging plays a pivotal role in the diagnosis of bronchiectasis. Chest radiography is usually the initial study performed in suspected bronchiectasis. Findings include bronchial diameter exceeding that of the adjacent pulmonary artery and lack of normal tapering of terminal bronchioles as they course toward the lung periphery. Diagnosis of bronchiectasis. Chest X-Ray Showing Bronchiectasis.
From www.verywellhealth.com
Chest XRay for the Diagnosis of Lung Cancer Chest X-Ray Showing Bronchiectasis Imaging plays a pivotal role in the diagnosis of bronchiectasis. Diagnosis of bronchiectasis is usually made using chest computed tomography (ct) scan, the current gold standard method. Chest radiography is usually the initial study performed in suspected bronchiectasis. Signs in severe disease include tram lines and ring shadows. Findings include bronchial diameter exceeding that of the adjacent pulmonary artery and. Chest X-Ray Showing Bronchiectasis.
From mavink.com
Bronchiectasis X Ray Chest X-Ray Showing Bronchiectasis Imaging plays a pivotal role in the diagnosis of bronchiectasis. Findings include bronchial diameter exceeding that of the adjacent pulmonary artery and lack of normal tapering of terminal bronchioles as they course toward the lung periphery. Signs in severe disease include tram lines and ring shadows. Diagnosis of bronchiectasis is usually made using chest computed tomography (ct) scan, the current. Chest X-Ray Showing Bronchiectasis.
From mavink.com
Bronchiectasis Chest X Ray Chest X-Ray Showing Bronchiectasis Findings include bronchial diameter exceeding that of the adjacent pulmonary artery and lack of normal tapering of terminal bronchioles as they course toward the lung periphery. Chest radiography is usually the initial study performed in suspected bronchiectasis. Imaging plays a pivotal role in the diagnosis of bronchiectasis. Diagnosis of bronchiectasis is usually made using chest computed tomography (ct) scan, the. Chest X-Ray Showing Bronchiectasis.
From medizzy.com
CT Findings in Bronchiectasis MEDizzy Chest X-Ray Showing Bronchiectasis Chest radiography is usually the initial study performed in suspected bronchiectasis. Signs in severe disease include tram lines and ring shadows. Imaging plays a pivotal role in the diagnosis of bronchiectasis. Findings include bronchial diameter exceeding that of the adjacent pulmonary artery and lack of normal tapering of terminal bronchioles as they course toward the lung periphery. Diagnosis of bronchiectasis. Chest X-Ray Showing Bronchiectasis.
From www.cureus.com
Cureus A FullBlown Case of Bronchiectasis Kartagener Syndrome Chest X-Ray Showing Bronchiectasis Imaging plays a pivotal role in the diagnosis of bronchiectasis. Diagnosis of bronchiectasis is usually made using chest computed tomography (ct) scan, the current gold standard method. Findings include bronchial diameter exceeding that of the adjacent pulmonary artery and lack of normal tapering of terminal bronchioles as they course toward the lung periphery. Signs in severe disease include tram lines. Chest X-Ray Showing Bronchiectasis.
From www.medicalimages.com
STOCK IMAGE, xray of the chest frontal view showing bronchiectasis Chest X-Ray Showing Bronchiectasis Findings include bronchial diameter exceeding that of the adjacent pulmonary artery and lack of normal tapering of terminal bronchioles as they course toward the lung periphery. Imaging plays a pivotal role in the diagnosis of bronchiectasis. Signs in severe disease include tram lines and ring shadows. Chest radiography is usually the initial study performed in suspected bronchiectasis. Diagnosis of bronchiectasis. Chest X-Ray Showing Bronchiectasis.
From www.imagingpathways.health.wa.gov.au
Bronchiectasis Chest X-Ray Showing Bronchiectasis Chest radiography is usually the initial study performed in suspected bronchiectasis. Findings include bronchial diameter exceeding that of the adjacent pulmonary artery and lack of normal tapering of terminal bronchioles as they course toward the lung periphery. Imaging plays a pivotal role in the diagnosis of bronchiectasis. Signs in severe disease include tram lines and ring shadows. Diagnosis of bronchiectasis. Chest X-Ray Showing Bronchiectasis.
From www.vrogue.co
Chest X Ray And Ct Scan Showing Bronchiectasis With A vrogue.co Chest X-Ray Showing Bronchiectasis Chest radiography is usually the initial study performed in suspected bronchiectasis. Diagnosis of bronchiectasis is usually made using chest computed tomography (ct) scan, the current gold standard method. Findings include bronchial diameter exceeding that of the adjacent pulmonary artery and lack of normal tapering of terminal bronchioles as they course toward the lung periphery. Signs in severe disease include tram. Chest X-Ray Showing Bronchiectasis.
From bronchiectasis.com.au
Radiology Bronchiectasis Chest X-Ray Showing Bronchiectasis Imaging plays a pivotal role in the diagnosis of bronchiectasis. Chest radiography is usually the initial study performed in suspected bronchiectasis. Diagnosis of bronchiectasis is usually made using chest computed tomography (ct) scan, the current gold standard method. Findings include bronchial diameter exceeding that of the adjacent pulmonary artery and lack of normal tapering of terminal bronchioles as they course. Chest X-Ray Showing Bronchiectasis.
From bronchiectasis.com.au
Radiology Bronchiectasis Chest X-Ray Showing Bronchiectasis Imaging plays a pivotal role in the diagnosis of bronchiectasis. Findings include bronchial diameter exceeding that of the adjacent pulmonary artery and lack of normal tapering of terminal bronchioles as they course toward the lung periphery. Chest radiography is usually the initial study performed in suspected bronchiectasis. Diagnosis of bronchiectasis is usually made using chest computed tomography (ct) scan, the. Chest X-Ray Showing Bronchiectasis.
From www.stepwards.com
Bronchiectasis Stepwards Chest X-Ray Showing Bronchiectasis Findings include bronchial diameter exceeding that of the adjacent pulmonary artery and lack of normal tapering of terminal bronchioles as they course toward the lung periphery. Signs in severe disease include tram lines and ring shadows. Diagnosis of bronchiectasis is usually made using chest computed tomography (ct) scan, the current gold standard method. Imaging plays a pivotal role in the. Chest X-Ray Showing Bronchiectasis.
From www.sciencephoto.com
Bronchiectasis, Xray Stock Image C037/1495 Science Photo Library Chest X-Ray Showing Bronchiectasis Chest radiography is usually the initial study performed in suspected bronchiectasis. Findings include bronchial diameter exceeding that of the adjacent pulmonary artery and lack of normal tapering of terminal bronchioles as they course toward the lung periphery. Imaging plays a pivotal role in the diagnosis of bronchiectasis. Signs in severe disease include tram lines and ring shadows. Diagnosis of bronchiectasis. Chest X-Ray Showing Bronchiectasis.
From www.dreamstime.com
Chest Xray Film of a Patient with Bronchiectasis Stock Photo Image of Chest X-Ray Showing Bronchiectasis Chest radiography is usually the initial study performed in suspected bronchiectasis. Imaging plays a pivotal role in the diagnosis of bronchiectasis. Signs in severe disease include tram lines and ring shadows. Findings include bronchial diameter exceeding that of the adjacent pulmonary artery and lack of normal tapering of terminal bronchioles as they course toward the lung periphery. Diagnosis of bronchiectasis. Chest X-Ray Showing Bronchiectasis.
From www.researchgate.net
Chest Xray and CT scan showing bronchiectasis with airfluid levels Chest X-Ray Showing Bronchiectasis Imaging plays a pivotal role in the diagnosis of bronchiectasis. Signs in severe disease include tram lines and ring shadows. Findings include bronchial diameter exceeding that of the adjacent pulmonary artery and lack of normal tapering of terminal bronchioles as they course toward the lung periphery. Diagnosis of bronchiectasis is usually made using chest computed tomography (ct) scan, the current. Chest X-Ray Showing Bronchiectasis.
From www.cureus.com
Cureus Tension Pneumothorax During Rigid Bronchoscopy for Chronic Chest X-Ray Showing Bronchiectasis Chest radiography is usually the initial study performed in suspected bronchiectasis. Diagnosis of bronchiectasis is usually made using chest computed tomography (ct) scan, the current gold standard method. Signs in severe disease include tram lines and ring shadows. Imaging plays a pivotal role in the diagnosis of bronchiectasis. Findings include bronchial diameter exceeding that of the adjacent pulmonary artery and. Chest X-Ray Showing Bronchiectasis.
From mavink.com
Bronchiectasis Chest X Ray Chest X-Ray Showing Bronchiectasis Chest radiography is usually the initial study performed in suspected bronchiectasis. Imaging plays a pivotal role in the diagnosis of bronchiectasis. Signs in severe disease include tram lines and ring shadows. Diagnosis of bronchiectasis is usually made using chest computed tomography (ct) scan, the current gold standard method. Findings include bronchial diameter exceeding that of the adjacent pulmonary artery and. Chest X-Ray Showing Bronchiectasis.
From www.researchgate.net
Postoperative chest Xray showing an expanded right lung (star) with Chest X-Ray Showing Bronchiectasis Imaging plays a pivotal role in the diagnosis of bronchiectasis. Findings include bronchial diameter exceeding that of the adjacent pulmonary artery and lack of normal tapering of terminal bronchioles as they course toward the lung periphery. Chest radiography is usually the initial study performed in suspected bronchiectasis. Diagnosis of bronchiectasis is usually made using chest computed tomography (ct) scan, the. Chest X-Ray Showing Bronchiectasis.