Orthodontic Extraction Guidelines . According to the contemporary extraction guidelines, extraction is rarely indicated in <4 mm of arch length discrepancy, posterior. Describes the updated national clinical guidelines for the extraction of first permanent molars in children. Tooth crowding and protrusions demand rigorous attention during orthodontic planning that includes the extraction of first and. In the end, the decision to extract teeth or not should support the five goals that provide support for the bases behind. The american association of orthodontists provides clinical practice guidelines (cpg) as a complete overview of the orthodontic clinical.
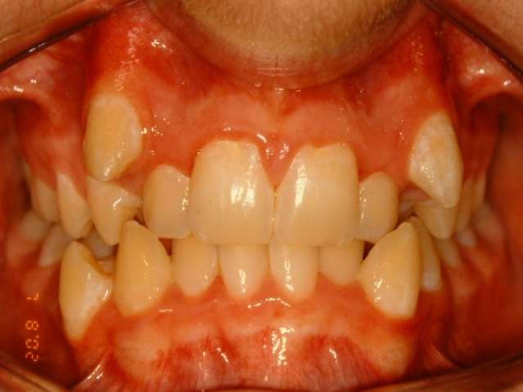
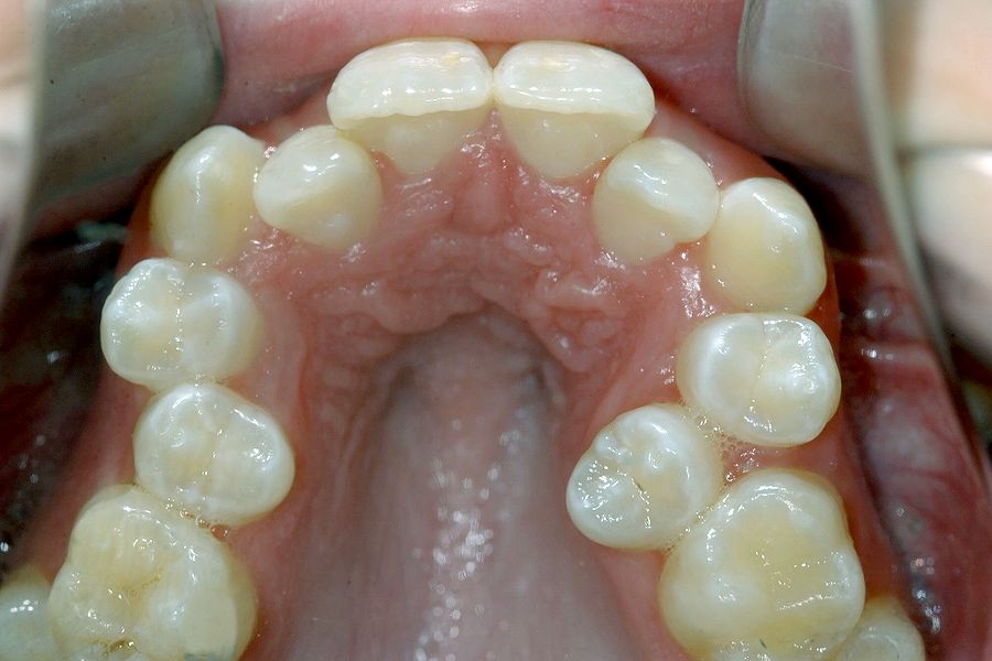
from www.odontobebe.odontovida.com
According to the contemporary extraction guidelines, extraction is rarely indicated in <4 mm of arch length discrepancy, posterior. The american association of orthodontists provides clinical practice guidelines (cpg) as a complete overview of the orthodontic clinical. Tooth crowding and protrusions demand rigorous attention during orthodontic planning that includes the extraction of first and. In the end, the decision to extract teeth or not should support the five goals that provide support for the bases behind. Describes the updated national clinical guidelines for the extraction of first permanent molars in children.
ORTHODONTIC Serial Extractions in orthodontic A Review odontobebe
Orthodontic Extraction Guidelines Describes the updated national clinical guidelines for the extraction of first permanent molars in children. Tooth crowding and protrusions demand rigorous attention during orthodontic planning that includes the extraction of first and. The american association of orthodontists provides clinical practice guidelines (cpg) as a complete overview of the orthodontic clinical. Describes the updated national clinical guidelines for the extraction of first permanent molars in children. In the end, the decision to extract teeth or not should support the five goals that provide support for the bases behind. According to the contemporary extraction guidelines, extraction is rarely indicated in <4 mm of arch length discrepancy, posterior.
From wasserman-medical.com
Tooth Extraction PostOperative Instructions Wasserman Medical & Dental Orthodontic Extraction Guidelines The american association of orthodontists provides clinical practice guidelines (cpg) as a complete overview of the orthodontic clinical. Tooth crowding and protrusions demand rigorous attention during orthodontic planning that includes the extraction of first and. In the end, the decision to extract teeth or not should support the five goals that provide support for the bases behind. According to the. Orthodontic Extraction Guidelines.
From www.bracestoday.com
Guest Editorial Orthodontic Extraction Therapy A Hard Look At the Orthodontic Extraction Guidelines In the end, the decision to extract teeth or not should support the five goals that provide support for the bases behind. According to the contemporary extraction guidelines, extraction is rarely indicated in <4 mm of arch length discrepancy, posterior. Describes the updated national clinical guidelines for the extraction of first permanent molars in children. Tooth crowding and protrusions demand. Orthodontic Extraction Guidelines.
From www.slideshare.net
Extraction in orthodontic Orthodontic Extraction Guidelines Describes the updated national clinical guidelines for the extraction of first permanent molars in children. The american association of orthodontists provides clinical practice guidelines (cpg) as a complete overview of the orthodontic clinical. Tooth crowding and protrusions demand rigorous attention during orthodontic planning that includes the extraction of first and. In the end, the decision to extract teeth or not. Orthodontic Extraction Guidelines.
From www.slideshare.net
Extraction in orthodontic Orthodontic Extraction Guidelines The american association of orthodontists provides clinical practice guidelines (cpg) as a complete overview of the orthodontic clinical. Describes the updated national clinical guidelines for the extraction of first permanent molars in children. In the end, the decision to extract teeth or not should support the five goals that provide support for the bases behind. Tooth crowding and protrusions demand. Orthodontic Extraction Guidelines.
From www.odontologiavirtual.com
PDF Extraction Planning in Orthodontics Orthodontic Extraction Guidelines Describes the updated national clinical guidelines for the extraction of first permanent molars in children. The american association of orthodontists provides clinical practice guidelines (cpg) as a complete overview of the orthodontic clinical. According to the contemporary extraction guidelines, extraction is rarely indicated in <4 mm of arch length discrepancy, posterior. In the end, the decision to extract teeth or. Orthodontic Extraction Guidelines.
From www.nackidsdentist.com
Orthodontic Extractions Dr. Jennifer Criss Orthodontic Extraction Guidelines The american association of orthodontists provides clinical practice guidelines (cpg) as a complete overview of the orthodontic clinical. Describes the updated national clinical guidelines for the extraction of first permanent molars in children. According to the contemporary extraction guidelines, extraction is rarely indicated in <4 mm of arch length discrepancy, posterior. Tooth crowding and protrusions demand rigorous attention during orthodontic. Orthodontic Extraction Guidelines.
From www.youtube.com
4 First Premolar Extraction for Retraction Orthodontic Treatment Orthodontic Extraction Guidelines The american association of orthodontists provides clinical practice guidelines (cpg) as a complete overview of the orthodontic clinical. Tooth crowding and protrusions demand rigorous attention during orthodontic planning that includes the extraction of first and. According to the contemporary extraction guidelines, extraction is rarely indicated in <4 mm of arch length discrepancy, posterior. Describes the updated national clinical guidelines for. Orthodontic Extraction Guidelines.
From orthoinsummary.com
Lower incisor extraction in orthodontics Dastardly or excellence Orthodontic Extraction Guidelines According to the contemporary extraction guidelines, extraction is rarely indicated in <4 mm of arch length discrepancy, posterior. Tooth crowding and protrusions demand rigorous attention during orthodontic planning that includes the extraction of first and. Describes the updated national clinical guidelines for the extraction of first permanent molars in children. In the end, the decision to extract teeth or not. Orthodontic Extraction Guidelines.
From www.odontologiavirtual.com
PDF Frequency of orthodontic extraction Orthodontic Extraction Guidelines Tooth crowding and protrusions demand rigorous attention during orthodontic planning that includes the extraction of first and. The american association of orthodontists provides clinical practice guidelines (cpg) as a complete overview of the orthodontic clinical. According to the contemporary extraction guidelines, extraction is rarely indicated in <4 mm of arch length discrepancy, posterior. Describes the updated national clinical guidelines for. Orthodontic Extraction Guidelines.
From eline.squarespace.com
Lower Incisor Extraction An Alternative Approach — eLINE Orthodontics Orthodontic Extraction Guidelines Tooth crowding and protrusions demand rigorous attention during orthodontic planning that includes the extraction of first and. Describes the updated national clinical guidelines for the extraction of first permanent molars in children. In the end, the decision to extract teeth or not should support the five goals that provide support for the bases behind. According to the contemporary extraction guidelines,. Orthodontic Extraction Guidelines.
From orthoinsummary.com
Extraction of first permanent molars, when and how Orthodontics in Orthodontic Extraction Guidelines The american association of orthodontists provides clinical practice guidelines (cpg) as a complete overview of the orthodontic clinical. According to the contemporary extraction guidelines, extraction is rarely indicated in <4 mm of arch length discrepancy, posterior. In the end, the decision to extract teeth or not should support the five goals that provide support for the bases behind. Describes the. Orthodontic Extraction Guidelines.
From blog.smilestream.com
Dr. Shockley Wier's 3Step Guide to Improve Your Orthodontic Extraction Orthodontic Extraction Guidelines According to the contemporary extraction guidelines, extraction is rarely indicated in <4 mm of arch length discrepancy, posterior. The american association of orthodontists provides clinical practice guidelines (cpg) as a complete overview of the orthodontic clinical. In the end, the decision to extract teeth or not should support the five goals that provide support for the bases behind. Tooth crowding. Orthodontic Extraction Guidelines.
From www.researchgate.net
(PDF) Serial extraction in orhodontics Orthodontic Extraction Guidelines Describes the updated national clinical guidelines for the extraction of first permanent molars in children. In the end, the decision to extract teeth or not should support the five goals that provide support for the bases behind. According to the contemporary extraction guidelines, extraction is rarely indicated in <4 mm of arch length discrepancy, posterior. Tooth crowding and protrusions demand. Orthodontic Extraction Guidelines.
From www.odontologiavirtual.com
PDF Extraction Planning in Orthodontics Ovi Dental Orthodontic Extraction Guidelines Tooth crowding and protrusions demand rigorous attention during orthodontic planning that includes the extraction of first and. In the end, the decision to extract teeth or not should support the five goals that provide support for the bases behind. Describes the updated national clinical guidelines for the extraction of first permanent molars in children. According to the contemporary extraction guidelines,. Orthodontic Extraction Guidelines.
From www.youtube.com
4 First Premolar Extraction for Bimaxillary Protrusion YouTube Orthodontic Extraction Guidelines In the end, the decision to extract teeth or not should support the five goals that provide support for the bases behind. According to the contemporary extraction guidelines, extraction is rarely indicated in <4 mm of arch length discrepancy, posterior. Tooth crowding and protrusions demand rigorous attention during orthodontic planning that includes the extraction of first and. The american association. Orthodontic Extraction Guidelines.
From pocketdentistry.com
11 Principles of orthodontic treatment planning Pocket Dentistry Orthodontic Extraction Guidelines Tooth crowding and protrusions demand rigorous attention during orthodontic planning that includes the extraction of first and. The american association of orthodontists provides clinical practice guidelines (cpg) as a complete overview of the orthodontic clinical. Describes the updated national clinical guidelines for the extraction of first permanent molars in children. According to the contemporary extraction guidelines, extraction is rarely indicated. Orthodontic Extraction Guidelines.
From www.researchgate.net
(PDF) Orthodontics. Part 8 Extractions in orthodontics Orthodontic Extraction Guidelines In the end, the decision to extract teeth or not should support the five goals that provide support for the bases behind. According to the contemporary extraction guidelines, extraction is rarely indicated in <4 mm of arch length discrepancy, posterior. The american association of orthodontists provides clinical practice guidelines (cpg) as a complete overview of the orthodontic clinical. Tooth crowding. Orthodontic Extraction Guidelines.
From www.bracestoday.com
Orthodontic Extraction Therapy A Hard Look At the Evidence Orthodontic Extraction Guidelines According to the contemporary extraction guidelines, extraction is rarely indicated in <4 mm of arch length discrepancy, posterior. Tooth crowding and protrusions demand rigorous attention during orthodontic planning that includes the extraction of first and. Describes the updated national clinical guidelines for the extraction of first permanent molars in children. The american association of orthodontists provides clinical practice guidelines (cpg). Orthodontic Extraction Guidelines.
From www.jco-online.com
Canine Extractions Functional, Esthetic, and Practical Considerations Orthodontic Extraction Guidelines Tooth crowding and protrusions demand rigorous attention during orthodontic planning that includes the extraction of first and. In the end, the decision to extract teeth or not should support the five goals that provide support for the bases behind. According to the contemporary extraction guidelines, extraction is rarely indicated in <4 mm of arch length discrepancy, posterior. The american association. Orthodontic Extraction Guidelines.
From www.slideserve.com
PPT ORTHODONTICS SEMINAR PowerPoint Presentation ID1874076 Orthodontic Extraction Guidelines According to the contemporary extraction guidelines, extraction is rarely indicated in <4 mm of arch length discrepancy, posterior. The american association of orthodontists provides clinical practice guidelines (cpg) as a complete overview of the orthodontic clinical. In the end, the decision to extract teeth or not should support the five goals that provide support for the bases behind. Tooth crowding. Orthodontic Extraction Guidelines.
From decisionsindentistry.com
10 Orthodontic Challenges in the Primary and Mixed Dentition Orthodontic Extraction Guidelines According to the contemporary extraction guidelines, extraction is rarely indicated in <4 mm of arch length discrepancy, posterior. Describes the updated national clinical guidelines for the extraction of first permanent molars in children. In the end, the decision to extract teeth or not should support the five goals that provide support for the bases behind. Tooth crowding and protrusions demand. Orthodontic Extraction Guidelines.
From www.reddit.com
Lower front incisor extraction 2 month progress, gap is almost closed Orthodontic Extraction Guidelines According to the contemporary extraction guidelines, extraction is rarely indicated in <4 mm of arch length discrepancy, posterior. Tooth crowding and protrusions demand rigorous attention during orthodontic planning that includes the extraction of first and. The american association of orthodontists provides clinical practice guidelines (cpg) as a complete overview of the orthodontic clinical. Describes the updated national clinical guidelines for. Orthodontic Extraction Guidelines.
From www.odontovida.com
Tooth extractions in orthodontics? Why Do Orthodontists Extract Teeth Orthodontic Extraction Guidelines In the end, the decision to extract teeth or not should support the five goals that provide support for the bases behind. Tooth crowding and protrusions demand rigorous attention during orthodontic planning that includes the extraction of first and. Describes the updated national clinical guidelines for the extraction of first permanent molars in children. According to the contemporary extraction guidelines,. Orthodontic Extraction Guidelines.
From www.nemesortho.com
Comprehensive orthodontic treatment with extraction of 4️⃣ premolars Orthodontic Extraction Guidelines Tooth crowding and protrusions demand rigorous attention during orthodontic planning that includes the extraction of first and. In the end, the decision to extract teeth or not should support the five goals that provide support for the bases behind. Describes the updated national clinical guidelines for the extraction of first permanent molars in children. According to the contemporary extraction guidelines,. Orthodontic Extraction Guidelines.
From www.slidemake.com
Extraction In Orthodontics On Gaining Of Spaces Presentation Orthodontic Extraction Guidelines The american association of orthodontists provides clinical practice guidelines (cpg) as a complete overview of the orthodontic clinical. In the end, the decision to extract teeth or not should support the five goals that provide support for the bases behind. Describes the updated national clinical guidelines for the extraction of first permanent molars in children. Tooth crowding and protrusions demand. Orthodontic Extraction Guidelines.
From www.youtube.com
Extraction Removing Upper Premolars to Correct Overjet Orthodontic Orthodontic Extraction Guidelines In the end, the decision to extract teeth or not should support the five goals that provide support for the bases behind. The american association of orthodontists provides clinical practice guidelines (cpg) as a complete overview of the orthodontic clinical. Describes the updated national clinical guidelines for the extraction of first permanent molars in children. Tooth crowding and protrusions demand. Orthodontic Extraction Guidelines.
From www.draustinoralsurgery.com
Tooth Extraction South Ogden, UT Ryan K. Austin, DDS Oral and Orthodontic Extraction Guidelines The american association of orthodontists provides clinical practice guidelines (cpg) as a complete overview of the orthodontic clinical. Describes the updated national clinical guidelines for the extraction of first permanent molars in children. In the end, the decision to extract teeth or not should support the five goals that provide support for the bases behind. According to the contemporary extraction. Orthodontic Extraction Guidelines.
From www.youtube.com
Extractions in Orthodontic Treatment Is it necessary? © YouTube Orthodontic Extraction Guidelines The american association of orthodontists provides clinical practice guidelines (cpg) as a complete overview of the orthodontic clinical. According to the contemporary extraction guidelines, extraction is rarely indicated in <4 mm of arch length discrepancy, posterior. Describes the updated national clinical guidelines for the extraction of first permanent molars in children. In the end, the decision to extract teeth or. Orthodontic Extraction Guidelines.
From www.slideshare.net
Extractions in orthodontics ug Orthodontic Extraction Guidelines In the end, the decision to extract teeth or not should support the five goals that provide support for the bases behind. Describes the updated national clinical guidelines for the extraction of first permanent molars in children. Tooth crowding and protrusions demand rigorous attention during orthodontic planning that includes the extraction of first and. The american association of orthodontists provides. Orthodontic Extraction Guidelines.
From www.youtube.com
Extraction in Orthodontics YouTube Orthodontic Extraction Guidelines In the end, the decision to extract teeth or not should support the five goals that provide support for the bases behind. Describes the updated national clinical guidelines for the extraction of first permanent molars in children. The american association of orthodontists provides clinical practice guidelines (cpg) as a complete overview of the orthodontic clinical. Tooth crowding and protrusions demand. Orthodontic Extraction Guidelines.
From www.jco-online.com
Canine Extractions Functional, Esthetic, and Practical Considerations Orthodontic Extraction Guidelines In the end, the decision to extract teeth or not should support the five goals that provide support for the bases behind. According to the contemporary extraction guidelines, extraction is rarely indicated in <4 mm of arch length discrepancy, posterior. Tooth crowding and protrusions demand rigorous attention during orthodontic planning that includes the extraction of first and. The american association. Orthodontic Extraction Guidelines.
From www.odontobebe.odontovida.com
ORTHODONTIC Serial Extractions in orthodontic A Review odontobebe Orthodontic Extraction Guidelines Describes the updated national clinical guidelines for the extraction of first permanent molars in children. According to the contemporary extraction guidelines, extraction is rarely indicated in <4 mm of arch length discrepancy, posterior. The american association of orthodontists provides clinical practice guidelines (cpg) as a complete overview of the orthodontic clinical. Tooth crowding and protrusions demand rigorous attention during orthodontic. Orthodontic Extraction Guidelines.
From www.youtube.com
INTERCEPTIVE ORTHODONTICS Extractions Guidelines of First Parmanent Orthodontic Extraction Guidelines Describes the updated national clinical guidelines for the extraction of first permanent molars in children. Tooth crowding and protrusions demand rigorous attention during orthodontic planning that includes the extraction of first and. In the end, the decision to extract teeth or not should support the five goals that provide support for the bases behind. According to the contemporary extraction guidelines,. Orthodontic Extraction Guidelines.
From www.cureus.com
Interproximal Reduction Facilitating Orthodontic Teeth Extraction Cureus Orthodontic Extraction Guidelines Describes the updated national clinical guidelines for the extraction of first permanent molars in children. In the end, the decision to extract teeth or not should support the five goals that provide support for the bases behind. Tooth crowding and protrusions demand rigorous attention during orthodontic planning that includes the extraction of first and. The american association of orthodontists provides. Orthodontic Extraction Guidelines.
From decisionsindentistry.com
Orthodontic Extraction Therapy A Hard Look At the Evidence Decisions Orthodontic Extraction Guidelines The american association of orthodontists provides clinical practice guidelines (cpg) as a complete overview of the orthodontic clinical. Describes the updated national clinical guidelines for the extraction of first permanent molars in children. Tooth crowding and protrusions demand rigorous attention during orthodontic planning that includes the extraction of first and. According to the contemporary extraction guidelines, extraction is rarely indicated. Orthodontic Extraction Guidelines.