Retinoschisis Laser Uptake . Oct shows a break in. Application of laser in the bed of elevation can help to distinguish schisis, where laser will react with the flat outer retina, from rd that will not demonstrate laser uptake, 56 although at least 1 case series indicates that this diagnostic tool does not definitively differentiate the 2 conditions. If you develop bleeding in your eyes from broken blood vessels, your provider may suggest cryoablation (cold therapy) or laser. Laser will blanch retinoschisis but not a rhegmatogenous retinal detachment (rrd). Senile retinoschisis (sr) is a rare eye disease characterized by the abnormal separation of the neurosensory retina layers typically at the. While there is no cure for retinoschisis, there are several ways to manage the condition. Because the inner layer of the retinoschisis is in apposition with the retinal pigment epithelium (rpe), laser can be used to differentiate between rrd. It can cause slow vision loss and other vision problems. To review a population of degenerative retinoschisis (rs) patients, with attention to those with schisis cavity breaks and with retinal detachment complicating. Retinoschisis is an eye disorder that affects the retina, caused by genetics or degeneration.
from www.eyegotcha.net
To review a population of degenerative retinoschisis (rs) patients, with attention to those with schisis cavity breaks and with retinal detachment complicating. It can cause slow vision loss and other vision problems. Oct shows a break in. While there is no cure for retinoschisis, there are several ways to manage the condition. Application of laser in the bed of elevation can help to distinguish schisis, where laser will react with the flat outer retina, from rd that will not demonstrate laser uptake, 56 although at least 1 case series indicates that this diagnostic tool does not definitively differentiate the 2 conditions. Because the inner layer of the retinoschisis is in apposition with the retinal pigment epithelium (rpe), laser can be used to differentiate between rrd. Laser will blanch retinoschisis but not a rhegmatogenous retinal detachment (rrd). If you develop bleeding in your eyes from broken blood vessels, your provider may suggest cryoablation (cold therapy) or laser. Senile retinoschisis (sr) is a rare eye disease characterized by the abnormal separation of the neurosensory retina layers typically at the. Retinoschisis is an eye disorder that affects the retina, caused by genetics or degeneration.
What is Retinoschisis? Eyegotcha
Retinoschisis Laser Uptake While there is no cure for retinoschisis, there are several ways to manage the condition. Senile retinoschisis (sr) is a rare eye disease characterized by the abnormal separation of the neurosensory retina layers typically at the. Retinoschisis is an eye disorder that affects the retina, caused by genetics or degeneration. If you develop bleeding in your eyes from broken blood vessels, your provider may suggest cryoablation (cold therapy) or laser. It can cause slow vision loss and other vision problems. Application of laser in the bed of elevation can help to distinguish schisis, where laser will react with the flat outer retina, from rd that will not demonstrate laser uptake, 56 although at least 1 case series indicates that this diagnostic tool does not definitively differentiate the 2 conditions. To review a population of degenerative retinoschisis (rs) patients, with attention to those with schisis cavity breaks and with retinal detachment complicating. Oct shows a break in. While there is no cure for retinoschisis, there are several ways to manage the condition. Laser will blanch retinoschisis but not a rhegmatogenous retinal detachment (rrd). Because the inner layer of the retinoschisis is in apposition with the retinal pigment epithelium (rpe), laser can be used to differentiate between rrd.
From www.retinarevealed.com
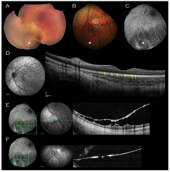
Case 61 Range of Retinoschisis Revisited Page 6 of 47 Retina Retinoschisis Laser Uptake To review a population of degenerative retinoschisis (rs) patients, with attention to those with schisis cavity breaks and with retinal detachment complicating. It can cause slow vision loss and other vision problems. Because the inner layer of the retinoschisis is in apposition with the retinal pigment epithelium (rpe), laser can be used to differentiate between rrd. Retinoschisis is an eye. Retinoschisis Laser Uptake.
From casereports.bmj.com
Laser treatment of macular retinoschisis due to acquired optic nerve Retinoschisis Laser Uptake It can cause slow vision loss and other vision problems. If you develop bleeding in your eyes from broken blood vessels, your provider may suggest cryoablation (cold therapy) or laser. Oct shows a break in. Senile retinoschisis (sr) is a rare eye disease characterized by the abnormal separation of the neurosensory retina layers typically at the. Because the inner layer. Retinoschisis Laser Uptake.
From www.aao.org
Retinoschisis American Academy of Ophthalmology Retinoschisis Laser Uptake Retinoschisis is an eye disorder that affects the retina, caused by genetics or degeneration. While there is no cure for retinoschisis, there are several ways to manage the condition. Because the inner layer of the retinoschisis is in apposition with the retinal pigment epithelium (rpe), laser can be used to differentiate between rrd. Laser will blanch retinoschisis but not a. Retinoschisis Laser Uptake.
From www.optometrytimes.com
Multiple diagnostic modalities for xlinked retinoschisis Retinoschisis Laser Uptake Oct shows a break in. Retinoschisis is an eye disorder that affects the retina, caused by genetics or degeneration. If you develop bleeding in your eyes from broken blood vessels, your provider may suggest cryoablation (cold therapy) or laser. While there is no cure for retinoschisis, there are several ways to manage the condition. It can cause slow vision loss. Retinoschisis Laser Uptake.
From www.retinarevealed.com
Case 61 Range of Retinoschisis Revisited Page 14c of 47 Retina Retinoschisis Laser Uptake While there is no cure for retinoschisis, there are several ways to manage the condition. If you develop bleeding in your eyes from broken blood vessels, your provider may suggest cryoablation (cold therapy) or laser. Laser will blanch retinoschisis but not a rhegmatogenous retinal detachment (rrd). Because the inner layer of the retinoschisis is in apposition with the retinal pigment. Retinoschisis Laser Uptake.
From ar.inspiredpencil.com
Retinoschisis Treatment Laser Retinoschisis Laser Uptake It can cause slow vision loss and other vision problems. Senile retinoschisis (sr) is a rare eye disease characterized by the abnormal separation of the neurosensory retina layers typically at the. Oct shows a break in. Because the inner layer of the retinoschisis is in apposition with the retinal pigment epithelium (rpe), laser can be used to differentiate between rrd.. Retinoschisis Laser Uptake.
From www.eyegotcha.net
What is Retinoschisis? Eyegotcha Retinoschisis Laser Uptake It can cause slow vision loss and other vision problems. Oct shows a break in. Retinoschisis is an eye disorder that affects the retina, caused by genetics or degeneration. Because the inner layer of the retinoschisis is in apposition with the retinal pigment epithelium (rpe), laser can be used to differentiate between rrd. Application of laser in the bed of. Retinoschisis Laser Uptake.
From ar.inspiredpencil.com
Retinoschisis Treatment Laser Retinoschisis Laser Uptake Because the inner layer of the retinoschisis is in apposition with the retinal pigment epithelium (rpe), laser can be used to differentiate between rrd. It can cause slow vision loss and other vision problems. While there is no cure for retinoschisis, there are several ways to manage the condition. Application of laser in the bed of elevation can help to. Retinoschisis Laser Uptake.
From entokey.com
31 Degenerative Retinoschisis Ento Key Retinoschisis Laser Uptake While there is no cure for retinoschisis, there are several ways to manage the condition. Application of laser in the bed of elevation can help to distinguish schisis, where laser will react with the flat outer retina, from rd that will not demonstrate laser uptake, 56 although at least 1 case series indicates that this diagnostic tool does not definitively. Retinoschisis Laser Uptake.
From www.augenarzt-online.org
Retinoschisis Netzhaut Fundus Trainer Retinoschisis Laser Uptake Laser will blanch retinoschisis but not a rhegmatogenous retinal detachment (rrd). While there is no cure for retinoschisis, there are several ways to manage the condition. Application of laser in the bed of elevation can help to distinguish schisis, where laser will react with the flat outer retina, from rd that will not demonstrate laser uptake, 56 although at least. Retinoschisis Laser Uptake.
From www.researchgate.net
(a) Retinoschisis scans obtained through a Volk Superfield lens and Retinoschisis Laser Uptake Oct shows a break in. Senile retinoschisis (sr) is a rare eye disease characterized by the abnormal separation of the neurosensory retina layers typically at the. Laser will blanch retinoschisis but not a rhegmatogenous retinal detachment (rrd). Because the inner layer of the retinoschisis is in apposition with the retinal pigment epithelium (rpe), laser can be used to differentiate between. Retinoschisis Laser Uptake.
From www.semanticscholar.org
Figure 2 from Improvement of Bilateral Elevated Foveal Retinoschisis Retinoschisis Laser Uptake Retinoschisis is an eye disorder that affects the retina, caused by genetics or degeneration. Because the inner layer of the retinoschisis is in apposition with the retinal pigment epithelium (rpe), laser can be used to differentiate between rrd. To review a population of degenerative retinoschisis (rs) patients, with attention to those with schisis cavity breaks and with retinal detachment complicating.. Retinoschisis Laser Uptake.
From www.retinarevealed.com
Case 61 Range of Retinoschisis Revisited Page 13b of 47 Retina Retinoschisis Laser Uptake If you develop bleeding in your eyes from broken blood vessels, your provider may suggest cryoablation (cold therapy) or laser. Retinoschisis is an eye disorder that affects the retina, caused by genetics or degeneration. To review a population of degenerative retinoschisis (rs) patients, with attention to those with schisis cavity breaks and with retinal detachment complicating. Oct shows a break. Retinoschisis Laser Uptake.
From jamanetwork.com
Ultra WideField Laser Scanning Imaging of an Unusually Bullous Retinoschisis Laser Uptake If you develop bleeding in your eyes from broken blood vessels, your provider may suggest cryoablation (cold therapy) or laser. Retinoschisis is an eye disorder that affects the retina, caused by genetics or degeneration. Because the inner layer of the retinoschisis is in apposition with the retinal pigment epithelium (rpe), laser can be used to differentiate between rrd. While there. Retinoschisis Laser Uptake.
From ar.inspiredpencil.com
Retinoschisis Treatment Laser Retinoschisis Laser Uptake If you develop bleeding in your eyes from broken blood vessels, your provider may suggest cryoablation (cold therapy) or laser. It can cause slow vision loss and other vision problems. Oct shows a break in. While there is no cure for retinoschisis, there are several ways to manage the condition. Laser will blanch retinoschisis but not a rhegmatogenous retinal detachment. Retinoschisis Laser Uptake.
From imagebank.asrs.org
XLinked Retinoschisis Retina Image Bank Retinoschisis Laser Uptake Because the inner layer of the retinoschisis is in apposition with the retinal pigment epithelium (rpe), laser can be used to differentiate between rrd. Laser will blanch retinoschisis but not a rhegmatogenous retinal detachment (rrd). Senile retinoschisis (sr) is a rare eye disease characterized by the abnormal separation of the neurosensory retina layers typically at the. Oct shows a break. Retinoschisis Laser Uptake.
From ar.inspiredpencil.com
Retinoschisis Treatment Laser Retinoschisis Laser Uptake Laser will blanch retinoschisis but not a rhegmatogenous retinal detachment (rrd). If you develop bleeding in your eyes from broken blood vessels, your provider may suggest cryoablation (cold therapy) or laser. It can cause slow vision loss and other vision problems. Application of laser in the bed of elevation can help to distinguish schisis, where laser will react with the. Retinoschisis Laser Uptake.
From jamanetwork.com
Retinal Detachment Due to an Outer Retinal Tear Following Laser Retinoschisis Laser Uptake Oct shows a break in. Retinoschisis is an eye disorder that affects the retina, caused by genetics or degeneration. If you develop bleeding in your eyes from broken blood vessels, your provider may suggest cryoablation (cold therapy) or laser. Senile retinoschisis (sr) is a rare eye disease characterized by the abnormal separation of the neurosensory retina layers typically at the.. Retinoschisis Laser Uptake.
From jamanetwork.com
Ultra WideField Laser Scanning Imaging of an Unusually Bullous Retinoschisis Laser Uptake While there is no cure for retinoschisis, there are several ways to manage the condition. Application of laser in the bed of elevation can help to distinguish schisis, where laser will react with the flat outer retina, from rd that will not demonstrate laser uptake, 56 although at least 1 case series indicates that this diagnostic tool does not definitively. Retinoschisis Laser Uptake.
From ar.inspiredpencil.com
Retinoschisis Treatment Laser Retinoschisis Laser Uptake Retinoschisis is an eye disorder that affects the retina, caused by genetics or degeneration. While there is no cure for retinoschisis, there are several ways to manage the condition. If you develop bleeding in your eyes from broken blood vessels, your provider may suggest cryoablation (cold therapy) or laser. To review a population of degenerative retinoschisis (rs) patients, with attention. Retinoschisis Laser Uptake.
From ar.inspiredpencil.com
Retinoschisis Treatment Laser Retinoschisis Laser Uptake Oct shows a break in. Senile retinoschisis (sr) is a rare eye disease characterized by the abnormal separation of the neurosensory retina layers typically at the. If you develop bleeding in your eyes from broken blood vessels, your provider may suggest cryoablation (cold therapy) or laser. While there is no cure for retinoschisis, there are several ways to manage the. Retinoschisis Laser Uptake.
From ar.inspiredpencil.com
Retinoschisis Treatment Laser Retinoschisis Laser Uptake Oct shows a break in. Retinoschisis is an eye disorder that affects the retina, caused by genetics or degeneration. Because the inner layer of the retinoschisis is in apposition with the retinal pigment epithelium (rpe), laser can be used to differentiate between rrd. To review a population of degenerative retinoschisis (rs) patients, with attention to those with schisis cavity breaks. Retinoschisis Laser Uptake.
From ophthalmologyretina.org
Vasoproliferative Tumor in XLinked Retinoschisis Ophthalmology Retina Retinoschisis Laser Uptake Oct shows a break in. While there is no cure for retinoschisis, there are several ways to manage the condition. Because the inner layer of the retinoschisis is in apposition with the retinal pigment epithelium (rpe), laser can be used to differentiate between rrd. Application of laser in the bed of elevation can help to distinguish schisis, where laser will. Retinoschisis Laser Uptake.
From www.researchgate.net
The images of one Xlinked retinoschisis patient by various Retinoschisis Laser Uptake Oct shows a break in. While there is no cure for retinoschisis, there are several ways to manage the condition. Application of laser in the bed of elevation can help to distinguish schisis, where laser will react with the flat outer retina, from rd that will not demonstrate laser uptake, 56 although at least 1 case series indicates that this. Retinoschisis Laser Uptake.
From ar.inspiredpencil.com
Retinoschisis Treatment Laser Retinoschisis Laser Uptake While there is no cure for retinoschisis, there are several ways to manage the condition. It can cause slow vision loss and other vision problems. Senile retinoschisis (sr) is a rare eye disease characterized by the abnormal separation of the neurosensory retina layers typically at the. To review a population of degenerative retinoschisis (rs) patients, with attention to those with. Retinoschisis Laser Uptake.
From www.researchgate.net
Fundus photo of the right eye showing senile retinoschisis at the Retinoschisis Laser Uptake Senile retinoschisis (sr) is a rare eye disease characterized by the abnormal separation of the neurosensory retina layers typically at the. Oct shows a break in. While there is no cure for retinoschisis, there are several ways to manage the condition. Laser will blanch retinoschisis but not a rhegmatogenous retinal detachment (rrd). Because the inner layer of the retinoschisis is. Retinoschisis Laser Uptake.
From www.aao.org
Retinoschisis American Academy of Ophthalmology Retinoschisis Laser Uptake To review a population of degenerative retinoschisis (rs) patients, with attention to those with schisis cavity breaks and with retinal detachment complicating. Laser will blanch retinoschisis but not a rhegmatogenous retinal detachment (rrd). If you develop bleeding in your eyes from broken blood vessels, your provider may suggest cryoablation (cold therapy) or laser. It can cause slow vision loss and. Retinoschisis Laser Uptake.
From ar.inspiredpencil.com
Retinoschisis Treatment Laser Retinoschisis Laser Uptake Oct shows a break in. Senile retinoschisis (sr) is a rare eye disease characterized by the abnormal separation of the neurosensory retina layers typically at the. Retinoschisis is an eye disorder that affects the retina, caused by genetics or degeneration. While there is no cure for retinoschisis, there are several ways to manage the condition. Because the inner layer of. Retinoschisis Laser Uptake.
From www.researchgate.net
Optical coherence tomography images of the left eye, 8weeks after Retinoschisis Laser Uptake To review a population of degenerative retinoschisis (rs) patients, with attention to those with schisis cavity breaks and with retinal detachment complicating. Oct shows a break in. It can cause slow vision loss and other vision problems. While there is no cure for retinoschisis, there are several ways to manage the condition. Senile retinoschisis (sr) is a rare eye disease. Retinoschisis Laser Uptake.
From casereports.bmj.com
Laser treatment of macular retinoschisis due to acquired optic nerve Retinoschisis Laser Uptake Laser will blanch retinoschisis but not a rhegmatogenous retinal detachment (rrd). Oct shows a break in. If you develop bleeding in your eyes from broken blood vessels, your provider may suggest cryoablation (cold therapy) or laser. Retinoschisis is an eye disorder that affects the retina, caused by genetics or degeneration. Application of laser in the bed of elevation can help. Retinoschisis Laser Uptake.
From ar.inspiredpencil.com
Retinoschisis Treatment Laser Retinoschisis Laser Uptake While there is no cure for retinoschisis, there are several ways to manage the condition. Laser will blanch retinoschisis but not a rhegmatogenous retinal detachment (rrd). Retinoschisis is an eye disorder that affects the retina, caused by genetics or degeneration. It can cause slow vision loss and other vision problems. If you develop bleeding in your eyes from broken blood. Retinoschisis Laser Uptake.
From www.ophthalmologyretina.org
Management of Degenerative RetinoschisisAssociated Retinal Detachment Retinoschisis Laser Uptake Laser will blanch retinoschisis but not a rhegmatogenous retinal detachment (rrd). Senile retinoschisis (sr) is a rare eye disease characterized by the abnormal separation of the neurosensory retina layers typically at the. It can cause slow vision loss and other vision problems. While there is no cure for retinoschisis, there are several ways to manage the condition. To review a. Retinoschisis Laser Uptake.
From www.researchgate.net
(PDF) Stellate Nonhereditary Idiopathic Foveomacular Retinoschisis Retinoschisis Laser Uptake Application of laser in the bed of elevation can help to distinguish schisis, where laser will react with the flat outer retina, from rd that will not demonstrate laser uptake, 56 although at least 1 case series indicates that this diagnostic tool does not definitively differentiate the 2 conditions. It can cause slow vision loss and other vision problems. If. Retinoschisis Laser Uptake.
From www.ophthalmologyretina.org
Laser Barricade in Progressive VisionThreatening Peripheral Retinoschisis Laser Uptake To review a population of degenerative retinoschisis (rs) patients, with attention to those with schisis cavity breaks and with retinal detachment complicating. Retinoschisis is an eye disorder that affects the retina, caused by genetics or degeneration. Senile retinoschisis (sr) is a rare eye disease characterized by the abnormal separation of the neurosensory retina layers typically at the. While there is. Retinoschisis Laser Uptake.
From ar.inspiredpencil.com
Retinoschisis Treatment Laser Retinoschisis Laser Uptake Laser will blanch retinoschisis but not a rhegmatogenous retinal detachment (rrd). To review a population of degenerative retinoschisis (rs) patients, with attention to those with schisis cavity breaks and with retinal detachment complicating. Retinoschisis is an eye disorder that affects the retina, caused by genetics or degeneration. If you develop bleeding in your eyes from broken blood vessels, your provider. Retinoschisis Laser Uptake.