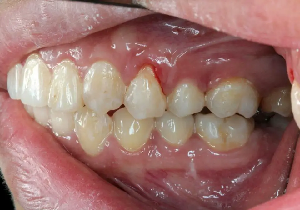
Gums That Have Pulled Away From Your Teeth . You may also hear the terms gum recession or gingival recession. If you have receding gums, you’ll be able. Receding gums are gums that pull away from the underlying teeth. Receding gums refer to when gums wear away or become pushed back, exposing the roots of the teeth. Healthcare professionals refer to it as a gingival recession, a. Receding gums occurs when your gums pull back from the tooth surface, exposing the root surfaces of your teeth. Gum recession is the process in which the margin of the gum tissue that surrounds the teeth wears away, or pulls back, exposing. Receding gums is when the gums pull back from the teeth, exposing each tooth and its roots further. In doing so, it exposes more of the roots of the tooth it surrounds. Receding gums become a health concern, leaving the teeth at risk of. Receding gums, or gingival recession, is an oral condition in which your gum tissue wears away or retracts. Treatment can include medications, surgical. A change in the way your teeth fit together when you bite. Gums that pull away from your teeth, making your teeth look longer than usual, called receding gums.
from www.oralanswers.com
Healthcare professionals refer to it as a gingival recession, a. In doing so, it exposes more of the roots of the tooth it surrounds. Receding gums occurs when your gums pull back from the tooth surface, exposing the root surfaces of your teeth. A change in the way your teeth fit together when you bite. You may also hear the terms gum recession or gingival recession. Gums that pull away from your teeth, making your teeth look longer than usual, called receding gums. Gum recession is the process in which the margin of the gum tissue that surrounds the teeth wears away, or pulls back, exposing. Receding gums are gums that pull away from the underlying teeth. Receding gums refer to when gums wear away or become pushed back, exposing the roots of the teeth. Receding gums become a health concern, leaving the teeth at risk of.
Periodontal Disease Not Cavities Is the Leading Cause of Tooth Loss
Gums That Have Pulled Away From Your Teeth Gum recession is the process in which the margin of the gum tissue that surrounds the teeth wears away, or pulls back, exposing. Gums that pull away from your teeth, making your teeth look longer than usual, called receding gums. Treatment can include medications, surgical. Healthcare professionals refer to it as a gingival recession, a. Receding gums, or gingival recession, is an oral condition in which your gum tissue wears away or retracts. Receding gums refer to when gums wear away or become pushed back, exposing the roots of the teeth. In doing so, it exposes more of the roots of the tooth it surrounds. Receding gums occurs when your gums pull back from the tooth surface, exposing the root surfaces of your teeth. If you have receding gums, you’ll be able. You may also hear the terms gum recession or gingival recession. Receding gums are gums that pull away from the underlying teeth. A change in the way your teeth fit together when you bite. Gum recession is the process in which the margin of the gum tissue that surrounds the teeth wears away, or pulls back, exposing. Receding gums become a health concern, leaving the teeth at risk of. Receding gums is when the gums pull back from the teeth, exposing each tooth and its roots further.
From cuckfielddental.co.uk
Gum disease symptoms and treatment Cuckfield Dental Gums That Have Pulled Away From Your Teeth You may also hear the terms gum recession or gingival recession. Gum recession is the process in which the margin of the gum tissue that surrounds the teeth wears away, or pulls back, exposing. Healthcare professionals refer to it as a gingival recession, a. Receding gums is when the gums pull back from the teeth, exposing each tooth and its. Gums That Have Pulled Away From Your Teeth.
From debaigs.com
What Is Periodontal Disease And How To Prevent It? Dental Blog Gums That Have Pulled Away From Your Teeth Receding gums become a health concern, leaving the teeth at risk of. Gums that pull away from your teeth, making your teeth look longer than usual, called receding gums. You may also hear the terms gum recession or gingival recession. Receding gums, or gingival recession, is an oral condition in which your gum tissue wears away or retracts. Receding gums. Gums That Have Pulled Away From Your Teeth.
From www.express.co.uk
Tooth abscess symptoms What is a dental abscess, how do you fix it Gums That Have Pulled Away From Your Teeth Receding gums refer to when gums wear away or become pushed back, exposing the roots of the teeth. Receding gums are gums that pull away from the underlying teeth. You may also hear the terms gum recession or gingival recession. A change in the way your teeth fit together when you bite. In doing so, it exposes more of the. Gums That Have Pulled Away From Your Teeth.
From www.cdhp.org
Can gums pull away from teeth? (symptoms, stages and treatments) Gums That Have Pulled Away From Your Teeth A change in the way your teeth fit together when you bite. You may also hear the terms gum recession or gingival recession. In doing so, it exposes more of the roots of the tooth it surrounds. Receding gums are gums that pull away from the underlying teeth. Receding gums become a health concern, leaving the teeth at risk of.. Gums That Have Pulled Away From Your Teeth.
From medicalopedia.org
7 Tips And Tricks For Fixing Receding Gums Medicalopedia Gums That Have Pulled Away From Your Teeth Treatment can include medications, surgical. A change in the way your teeth fit together when you bite. Receding gums are gums that pull away from the underlying teeth. Receding gums become a health concern, leaving the teeth at risk of. Receding gums is when the gums pull back from the teeth, exposing each tooth and its roots further. You may. Gums That Have Pulled Away From Your Teeth.
From burbankdentalimplants.com
Shaping And Forming Gum Around Front Teeth Dental Implants Gums That Have Pulled Away From Your Teeth Receding gums refer to when gums wear away or become pushed back, exposing the roots of the teeth. In doing so, it exposes more of the roots of the tooth it surrounds. Gums that pull away from your teeth, making your teeth look longer than usual, called receding gums. Gum recession is the process in which the margin of the. Gums That Have Pulled Away From Your Teeth.
From localquoter.net
10 Essential Insights on Gingivitis Prognosis What You Need to Know Gums That Have Pulled Away From Your Teeth A change in the way your teeth fit together when you bite. Receding gums is when the gums pull back from the teeth, exposing each tooth and its roots further. In doing so, it exposes more of the roots of the tooth it surrounds. Treatment can include medications, surgical. Receding gums are gums that pull away from the underlying teeth.. Gums That Have Pulled Away From Your Teeth.
From www.raberdental.com
Gum Disease Raber Dental, Kidron Dentist Gums That Have Pulled Away From Your Teeth If you have receding gums, you’ll be able. Receding gums is when the gums pull back from the teeth, exposing each tooth and its roots further. Gum recession is the process in which the margin of the gum tissue that surrounds the teeth wears away, or pulls back, exposing. Treatment can include medications, surgical. Receding gums are gums that pull. Gums That Have Pulled Away From Your Teeth.
From www.pinterest.com
How do you know you have gum recession? Gum recession can cause Gums That Have Pulled Away From Your Teeth Receding gums, or gingival recession, is an oral condition in which your gum tissue wears away or retracts. Receding gums occurs when your gums pull back from the tooth surface, exposing the root surfaces of your teeth. Receding gums refer to when gums wear away or become pushed back, exposing the roots of the teeth. Receding gums become a health. Gums That Have Pulled Away From Your Teeth.
From nobledentalcare.com
8 Ways to Get Relief for Sensitive Teeth Tempe Dentist AZ 85283 Gums That Have Pulled Away From Your Teeth Receding gums, or gingival recession, is an oral condition in which your gum tissue wears away or retracts. Receding gums occurs when your gums pull back from the tooth surface, exposing the root surfaces of your teeth. You may also hear the terms gum recession or gingival recession. Receding gums refer to when gums wear away or become pushed back,. Gums That Have Pulled Away From Your Teeth.
From www.reddit.com
Advice needed I’m 31 with gum recession despite having no plaque Gums That Have Pulled Away From Your Teeth Treatment can include medications, surgical. Receding gums become a health concern, leaving the teeth at risk of. A change in the way your teeth fit together when you bite. Healthcare professionals refer to it as a gingival recession, a. Receding gums, or gingival recession, is an oral condition in which your gum tissue wears away or retracts. Receding gums occurs. Gums That Have Pulled Away From Your Teeth.
From www.cdhp.org
Can gums pull away from teeth? (symptoms, stages and treatments) Gums That Have Pulled Away From Your Teeth If you have receding gums, you’ll be able. In doing so, it exposes more of the roots of the tooth it surrounds. A change in the way your teeth fit together when you bite. Receding gums, or gingival recession, is an oral condition in which your gum tissue wears away or retracts. Receding gums are gums that pull away from. Gums That Have Pulled Away From Your Teeth.
From healthrow.net
Swollen Gums Causes, Treatment, and Prevention Gums That Have Pulled Away From Your Teeth Receding gums become a health concern, leaving the teeth at risk of. Treatment can include medications, surgical. Receding gums are gums that pull away from the underlying teeth. You may also hear the terms gum recession or gingival recession. Healthcare professionals refer to it as a gingival recession, a. Receding gums, or gingival recession, is an oral condition in which. Gums That Have Pulled Away From Your Teeth.
From www.northraleighperio.com
Do You Have Receding Gums? Gums That Have Pulled Away From Your Teeth If you have receding gums, you’ll be able. Gum recession is the process in which the margin of the gum tissue that surrounds the teeth wears away, or pulls back, exposing. Receding gums is when the gums pull back from the teeth, exposing each tooth and its roots further. You may also hear the terms gum recession or gingival recession.. Gums That Have Pulled Away From Your Teeth.
From www.interdent.com
A Guide to Preventing and Treating Gum Disease Gums That Have Pulled Away From Your Teeth Healthcare professionals refer to it as a gingival recession, a. Treatment can include medications, surgical. Receding gums become a health concern, leaving the teeth at risk of. Receding gums occurs when your gums pull back from the tooth surface, exposing the root surfaces of your teeth. Gum recession is the process in which the margin of the gum tissue that. Gums That Have Pulled Away From Your Teeth.
From www.pinterest.com
Receding Gums Causes, symptoms and treatments Receding gums, Gum Gums That Have Pulled Away From Your Teeth If you have receding gums, you’ll be able. Receding gums is when the gums pull back from the teeth, exposing each tooth and its roots further. Gums that pull away from your teeth, making your teeth look longer than usual, called receding gums. Receding gums, or gingival recession, is an oral condition in which your gum tissue wears away or. Gums That Have Pulled Away From Your Teeth.
From dallasimplant.com
Gum Disease Treatment & Symptoms Dallas Periodontal Gums That Have Pulled Away From Your Teeth If you have receding gums, you’ll be able. Gums that pull away from your teeth, making your teeth look longer than usual, called receding gums. Gum recession is the process in which the margin of the gum tissue that surrounds the teeth wears away, or pulls back, exposing. Receding gums is when the gums pull back from the teeth, exposing. Gums That Have Pulled Away From Your Teeth.
From www.pickettfamilydental.com
Pericoronitis Causes, Signs, and Treatment Pickett Family Dental Gums That Have Pulled Away From Your Teeth Receding gums are gums that pull away from the underlying teeth. Receding gums is when the gums pull back from the teeth, exposing each tooth and its roots further. Receding gums, or gingival recession, is an oral condition in which your gum tissue wears away or retracts. Gum recession is the process in which the margin of the gum tissue. Gums That Have Pulled Away From Your Teeth.
From implantperiocenter.com
Receding Gum Treatment Archives Implant Perio CENTER Gums That Have Pulled Away From Your Teeth You may also hear the terms gum recession or gingival recession. Receding gums, or gingival recession, is an oral condition in which your gum tissue wears away or retracts. Receding gums is when the gums pull back from the teeth, exposing each tooth and its roots further. Receding gums refer to when gums wear away or become pushed back, exposing. Gums That Have Pulled Away From Your Teeth.
From brittenperio.com
This is what happens when your gums are receding Britten Perio Gums That Have Pulled Away From Your Teeth Receding gums is when the gums pull back from the teeth, exposing each tooth and its roots further. If you have receding gums, you’ll be able. Receding gums occurs when your gums pull back from the tooth surface, exposing the root surfaces of your teeth. A change in the way your teeth fit together when you bite. Gum recession is. Gums That Have Pulled Away From Your Teeth.
From allsmilesdentspa.com
Gum Inflammation / Gingivitis Symptoms and Remedies Gums That Have Pulled Away From Your Teeth If you have receding gums, you’ll be able. Receding gums refer to when gums wear away or become pushed back, exposing the roots of the teeth. Gum recession is the process in which the margin of the gum tissue that surrounds the teeth wears away, or pulls back, exposing. Receding gums become a health concern, leaving the teeth at risk. Gums That Have Pulled Away From Your Teeth.
From www.jensondental.com
How To Reverse Gum Disease Jenson Dental Gums That Have Pulled Away From Your Teeth Receding gums, or gingival recession, is an oral condition in which your gum tissue wears away or retracts. You may also hear the terms gum recession or gingival recession. A change in the way your teeth fit together when you bite. In doing so, it exposes more of the roots of the tooth it surrounds. Receding gums occurs when your. Gums That Have Pulled Away From Your Teeth.
From dallasimplant.com
Gum Disease Treatment & Symptoms Dallas Periodontal Gums That Have Pulled Away From Your Teeth Receding gums are gums that pull away from the underlying teeth. A change in the way your teeth fit together when you bite. Gum recession is the process in which the margin of the gum tissue that surrounds the teeth wears away, or pulls back, exposing. Gums that pull away from your teeth, making your teeth look longer than usual,. Gums That Have Pulled Away From Your Teeth.
From www.oralanswers.com
Periodontal Disease Not Cavities Is the Leading Cause of Tooth Loss Gums That Have Pulled Away From Your Teeth If you have receding gums, you’ll be able. In doing so, it exposes more of the roots of the tooth it surrounds. Gums that pull away from your teeth, making your teeth look longer than usual, called receding gums. Receding gums are gums that pull away from the underlying teeth. Receding gums, or gingival recession, is an oral condition in. Gums That Have Pulled Away From Your Teeth.
From www.subkadds.com
Published 09/05/2019 Gums That Have Pulled Away From Your Teeth Gum recession is the process in which the margin of the gum tissue that surrounds the teeth wears away, or pulls back, exposing. Healthcare professionals refer to it as a gingival recession, a. Treatment can include medications, surgical. Receding gums become a health concern, leaving the teeth at risk of. Receding gums, or gingival recession, is an oral condition in. Gums That Have Pulled Away From Your Teeth.
From www.reddit.com
Advice needed I’m 31 with gum recession despite having no plaque Gums That Have Pulled Away From Your Teeth Receding gums refer to when gums wear away or become pushed back, exposing the roots of the teeth. Treatment can include medications, surgical. Receding gums are gums that pull away from the underlying teeth. Receding gums is when the gums pull back from the teeth, exposing each tooth and its roots further. A change in the way your teeth fit. Gums That Have Pulled Away From Your Teeth.
From yourdentalhealthresource.com
Can You Prevent Gum Recession? Your Dental Health Resource Gums That Have Pulled Away From Your Teeth You may also hear the terms gum recession or gingival recession. Receding gums become a health concern, leaving the teeth at risk of. Receding gums, or gingival recession, is an oral condition in which your gum tissue wears away or retracts. Receding gums are gums that pull away from the underlying teeth. If you have receding gums, you’ll be able.. Gums That Have Pulled Away From Your Teeth.
From www.drwilliammckenzie.com
Why are my Gums Receding? — The McKenzie Center Implants & Periodontics Gums That Have Pulled Away From Your Teeth Receding gums, or gingival recession, is an oral condition in which your gum tissue wears away or retracts. Receding gums become a health concern, leaving the teeth at risk of. In doing so, it exposes more of the roots of the tooth it surrounds. Gums that pull away from your teeth, making your teeth look longer than usual, called receding. Gums That Have Pulled Away From Your Teeth.
From dentistspreston.com
The Danger of Receding gums Lane Ends Dental Practice in Lancashire Gums That Have Pulled Away From Your Teeth Treatment can include medications, surgical. Gum recession is the process in which the margin of the gum tissue that surrounds the teeth wears away, or pulls back, exposing. You may also hear the terms gum recession or gingival recession. Healthcare professionals refer to it as a gingival recession, a. A change in the way your teeth fit together when you. Gums That Have Pulled Away From Your Teeth.
From www.cdhp.org
Why Can I See My Teeth Through My Gums? (Causes & Treatment) Gums That Have Pulled Away From Your Teeth Receding gums refer to when gums wear away or become pushed back, exposing the roots of the teeth. You may also hear the terms gum recession or gingival recession. In doing so, it exposes more of the roots of the tooth it surrounds. Gums that pull away from your teeth, making your teeth look longer than usual, called receding gums.. Gums That Have Pulled Away From Your Teeth.
From www.youtube.com
LOOSE TEETH From Gum Recession TIGHTENED UP with The Pinhole Gums That Have Pulled Away From Your Teeth If you have receding gums, you’ll be able. Gum recession is the process in which the margin of the gum tissue that surrounds the teeth wears away, or pulls back, exposing. In doing so, it exposes more of the roots of the tooth it surrounds. Receding gums become a health concern, leaving the teeth at risk of. A change in. Gums That Have Pulled Away From Your Teeth.
From www.drwilliammckenzie.com
The Five Stages of Gum Disease — The McKenzie Center Implants Gums That Have Pulled Away From Your Teeth Receding gums become a health concern, leaving the teeth at risk of. If you have receding gums, you’ll be able. Healthcare professionals refer to it as a gingival recession, a. Gum recession is the process in which the margin of the gum tissue that surrounds the teeth wears away, or pulls back, exposing. Receding gums refer to when gums wear. Gums That Have Pulled Away From Your Teeth.
From www.implantdentist.co.nz
How Receding Gums Can Totally Ruin Your Teeth Institute of Dental Gums That Have Pulled Away From Your Teeth Receding gums become a health concern, leaving the teeth at risk of. In doing so, it exposes more of the roots of the tooth it surrounds. Receding gums is when the gums pull back from the teeth, exposing each tooth and its roots further. Healthcare professionals refer to it as a gingival recession, a. Receding gums refer to when gums. Gums That Have Pulled Away From Your Teeth.
From orawellness.com
What causes receding gums and how to stop it OraWellness Gums That Have Pulled Away From Your Teeth Receding gums refer to when gums wear away or become pushed back, exposing the roots of the teeth. Gum recession is the process in which the margin of the gum tissue that surrounds the teeth wears away, or pulls back, exposing. Receding gums, or gingival recession, is an oral condition in which your gum tissue wears away or retracts. A. Gums That Have Pulled Away From Your Teeth.
From www.youtube.com
How Do You Stop Your Gums From Bleeding After Having A Tooth Pulled Gums That Have Pulled Away From Your Teeth Gum recession is the process in which the margin of the gum tissue that surrounds the teeth wears away, or pulls back, exposing. Receding gums refer to when gums wear away or become pushed back, exposing the roots of the teeth. Healthcare professionals refer to it as a gingival recession, a. A change in the way your teeth fit together. Gums That Have Pulled Away From Your Teeth.