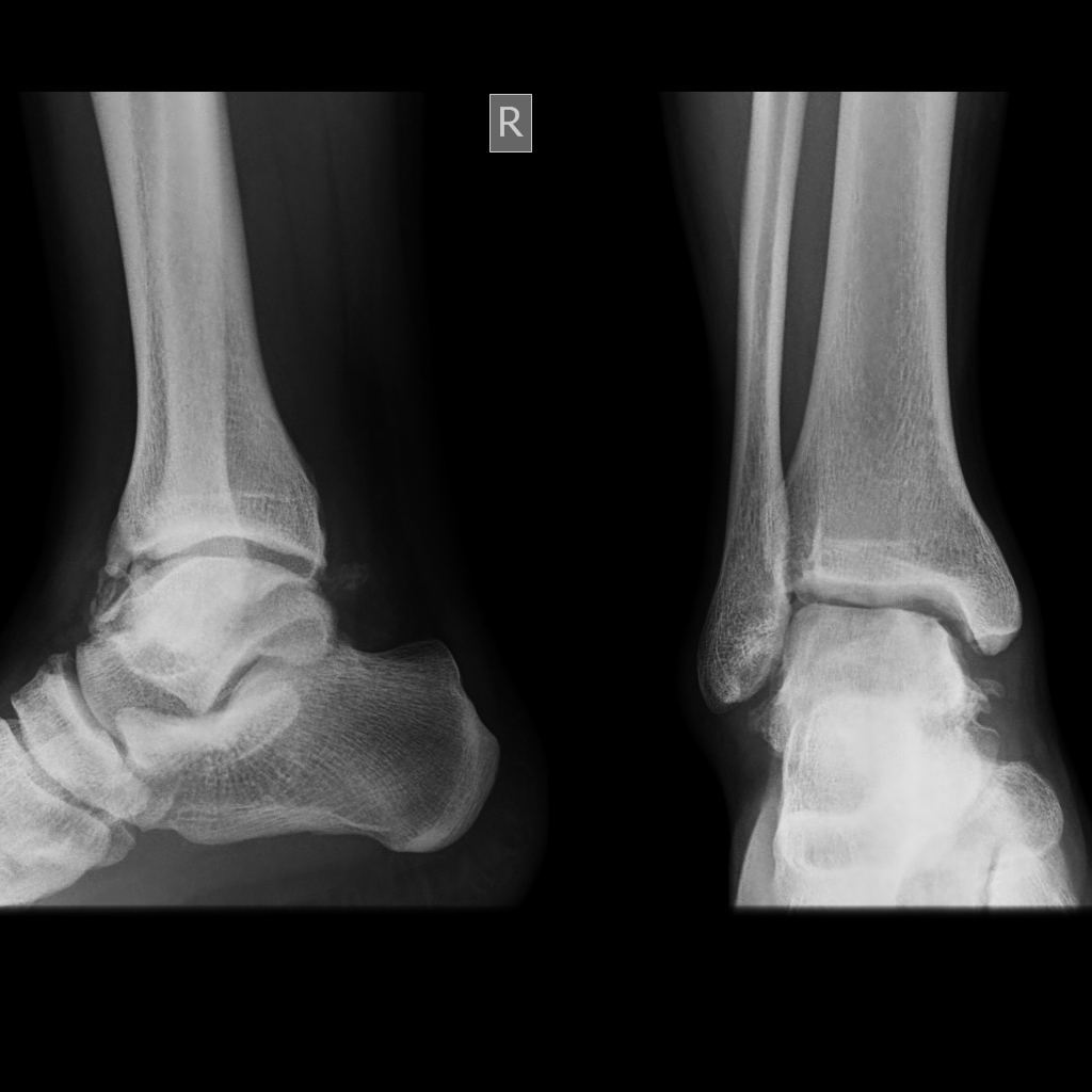
Footballer's Ankle Xray . Footballer's ankle is a pinching or impingement of the ligaments or tendons of the ankle between the bones, particularly the talus and tibia. Standard ankle radiographs are necessary and are the mainstay of imaging anterior ankle impingement. Anterior ankle impingement, originally nicknamed “footballer’s ankle” and later known as “athlete’s ankle” is a source of chronic. The treatment for anterior impingement in the ankle can include physical therapy to help improve the range of motion and break down. Anterior ankle impingement (footballer's ankle) is a painful pinching or compression of either the soft or the bony tissue at the front of your ankle. The xray view of the ankle from the side (lateral radiograph) shows. It is also to bear in.
from james-mccormack.com
The treatment for anterior impingement in the ankle can include physical therapy to help improve the range of motion and break down. The xray view of the ankle from the side (lateral radiograph) shows. Footballer's ankle is a pinching or impingement of the ligaments or tendons of the ankle between the bones, particularly the talus and tibia. Standard ankle radiographs are necessary and are the mainstay of imaging anterior ankle impingement. Anterior ankle impingement (footballer's ankle) is a painful pinching or compression of either the soft or the bony tissue at the front of your ankle. It is also to bear in. Anterior ankle impingement, originally nicknamed “footballer’s ankle” and later known as “athlete’s ankle” is a source of chronic.
Footballer's Ankle Diagnosis, Causes, Symptoms and Treatment
Footballer's Ankle Xray It is also to bear in. Anterior ankle impingement, originally nicknamed “footballer’s ankle” and later known as “athlete’s ankle” is a source of chronic. The xray view of the ankle from the side (lateral radiograph) shows. Footballer's ankle is a pinching or impingement of the ligaments or tendons of the ankle between the bones, particularly the talus and tibia. The treatment for anterior impingement in the ankle can include physical therapy to help improve the range of motion and break down. Standard ankle radiographs are necessary and are the mainstay of imaging anterior ankle impingement. It is also to bear in. Anterior ankle impingement (footballer's ankle) is a painful pinching or compression of either the soft or the bony tissue at the front of your ankle.
From animalia-life.club
Normal Left Ankle Xray Footballer's Ankle Xray Anterior ankle impingement (footballer's ankle) is a painful pinching or compression of either the soft or the bony tissue at the front of your ankle. Anterior ankle impingement, originally nicknamed “footballer’s ankle” and later known as “athlete’s ankle” is a source of chronic. Footballer's ankle is a pinching or impingement of the ligaments or tendons of the ankle between the. Footballer's Ankle Xray.
From www.alamy.com
Normal ankle joint, Xray Stock Photo, Royalty Free Image 26886997 Alamy Footballer's Ankle Xray Anterior ankle impingement, originally nicknamed “footballer’s ankle” and later known as “athlete’s ankle” is a source of chronic. Anterior ankle impingement (footballer's ankle) is a painful pinching or compression of either the soft or the bony tissue at the front of your ankle. Footballer's ankle is a pinching or impingement of the ligaments or tendons of the ankle between the. Footballer's Ankle Xray.
From quizlet.com
Foot and Ankle Anatomy on XRay Diagram Quizlet Footballer's Ankle Xray Anterior ankle impingement, originally nicknamed “footballer’s ankle” and later known as “athlete’s ankle” is a source of chronic. Anterior ankle impingement (footballer's ankle) is a painful pinching or compression of either the soft or the bony tissue at the front of your ankle. The treatment for anterior impingement in the ankle can include physical therapy to help improve the range. Footballer's Ankle Xray.
From geekymedics.com
Ankle Xray Interpretation Ankle Fracture Geeky Medics Footballer's Ankle Xray Standard ankle radiographs are necessary and are the mainstay of imaging anterior ankle impingement. The treatment for anterior impingement in the ankle can include physical therapy to help improve the range of motion and break down. The xray view of the ankle from the side (lateral radiograph) shows. Anterior ankle impingement, originally nicknamed “footballer’s ankle” and later known as “athlete’s. Footballer's Ankle Xray.
From www.researchgate.net
Xray of the right ankle. Marked soft tissue swelling around the right Footballer's Ankle Xray Anterior ankle impingement, originally nicknamed “footballer’s ankle” and later known as “athlete’s ankle” is a source of chronic. Anterior ankle impingement (footballer's ankle) is a painful pinching or compression of either the soft or the bony tissue at the front of your ankle. The xray view of the ankle from the side (lateral radiograph) shows. It is also to bear. Footballer's Ankle Xray.
From knee-replacement-india.blogspot.com
Joint Preservation and Replacement 18 year old adolescent footballer Footballer's Ankle Xray The treatment for anterior impingement in the ankle can include physical therapy to help improve the range of motion and break down. The xray view of the ankle from the side (lateral radiograph) shows. It is also to bear in. Anterior ankle impingement (footballer's ankle) is a painful pinching or compression of either the soft or the bony tissue at. Footballer's Ankle Xray.
From www.mdedge.com
Foot and Ankle Injuries in Soccer MDedge Surgery Footballer's Ankle Xray Footballer's ankle is a pinching or impingement of the ligaments or tendons of the ankle between the bones, particularly the talus and tibia. Anterior ankle impingement (footballer's ankle) is a painful pinching or compression of either the soft or the bony tissue at the front of your ankle. Anterior ankle impingement, originally nicknamed “footballer’s ankle” and later known as “athlete’s. Footballer's Ankle Xray.
From www.shutterstock.com
Lateral Projection Xray Foot Ankle Child ภาพสต็อก (แก้ไขตอนนี้) 1431829427 Footballer's Ankle Xray The xray view of the ankle from the side (lateral radiograph) shows. Anterior ankle impingement (footballer's ankle) is a painful pinching or compression of either the soft or the bony tissue at the front of your ankle. The treatment for anterior impingement in the ankle can include physical therapy to help improve the range of motion and break down. Footballer's. Footballer's Ankle Xray.
From www.youtube.com
Xray photo of Neymar Injured ankle 😥 Neymar Will Miss All Group Footballer's Ankle Xray The treatment for anterior impingement in the ankle can include physical therapy to help improve the range of motion and break down. Anterior ankle impingement (footballer's ankle) is a painful pinching or compression of either the soft or the bony tissue at the front of your ankle. It is also to bear in. Footballer's ankle is a pinching or impingement. Footballer's Ankle Xray.
From www.researchgate.net
Xray 2021 left ankle AP and lateral view with cystic, sclerosed lesion Footballer's Ankle Xray The treatment for anterior impingement in the ankle can include physical therapy to help improve the range of motion and break down. The xray view of the ankle from the side (lateral radiograph) shows. Footballer's ankle is a pinching or impingement of the ligaments or tendons of the ankle between the bones, particularly the talus and tibia. Standard ankle radiographs. Footballer's Ankle Xray.
From geekymedics.com
Ankle Xray Interpretation Ankle Fracture Geeky Medics Footballer's Ankle Xray It is also to bear in. The treatment for anterior impingement in the ankle can include physical therapy to help improve the range of motion and break down. The xray view of the ankle from the side (lateral radiograph) shows. Standard ankle radiographs are necessary and are the mainstay of imaging anterior ankle impingement. Anterior ankle impingement (footballer's ankle) is. Footballer's Ankle Xray.
From james-mccormack.com
Footballer's Ankle Diagnosis, Causes, Symptoms and Treatment Footballer's Ankle Xray Standard ankle radiographs are necessary and are the mainstay of imaging anterior ankle impingement. Anterior ankle impingement (footballer's ankle) is a painful pinching or compression of either the soft or the bony tissue at the front of your ankle. The treatment for anterior impingement in the ankle can include physical therapy to help improve the range of motion and break. Footballer's Ankle Xray.
From omahapti.com
When is an XRay Necessary after an Ankle Sprain? Omaha Physical Footballer's Ankle Xray Anterior ankle impingement (footballer's ankle) is a painful pinching or compression of either the soft or the bony tissue at the front of your ankle. Footballer's ankle is a pinching or impingement of the ligaments or tendons of the ankle between the bones, particularly the talus and tibia. The treatment for anterior impingement in the ankle can include physical therapy. Footballer's Ankle Xray.
From www.myorthodoc.com
Can You Still Walk If You Have An Ankle Fracture? Footballer's Ankle Xray Anterior ankle impingement, originally nicknamed “footballer’s ankle” and later known as “athlete’s ankle” is a source of chronic. Footballer's ankle is a pinching or impingement of the ligaments or tendons of the ankle between the bones, particularly the talus and tibia. The xray view of the ankle from the side (lateral radiograph) shows. The treatment for anterior impingement in the. Footballer's Ankle Xray.
From www.researchgate.net
Lateral foot Xray (a) demonstrating talonavicular fracture Footballer's Ankle Xray The treatment for anterior impingement in the ankle can include physical therapy to help improve the range of motion and break down. Anterior ankle impingement (footballer's ankle) is a painful pinching or compression of either the soft or the bony tissue at the front of your ankle. Anterior ankle impingement, originally nicknamed “footballer’s ankle” and later known as “athlete’s ankle”. Footballer's Ankle Xray.
From www.sciencephoto.com
Healthy foot, Xray Stock Image F037/5155 Science Photo Library Footballer's Ankle Xray Standard ankle radiographs are necessary and are the mainstay of imaging anterior ankle impingement. The xray view of the ankle from the side (lateral radiograph) shows. Footballer's ankle is a pinching or impingement of the ligaments or tendons of the ankle between the bones, particularly the talus and tibia. Anterior ankle impingement (footballer's ankle) is a painful pinching or compression. Footballer's Ankle Xray.
From www.radiology.expert
XAnkle Footballer's Ankle Xray It is also to bear in. The xray view of the ankle from the side (lateral radiograph) shows. Footballer's ankle is a pinching or impingement of the ligaments or tendons of the ankle between the bones, particularly the talus and tibia. Standard ankle radiographs are necessary and are the mainstay of imaging anterior ankle impingement. Anterior ankle impingement (footballer's ankle). Footballer's Ankle Xray.
From drdavidgeier.com
Metatarsal Stress Fracture Dr Geier Footballer's Ankle Xray Anterior ankle impingement (footballer's ankle) is a painful pinching or compression of either the soft or the bony tissue at the front of your ankle. Anterior ankle impingement, originally nicknamed “footballer’s ankle” and later known as “athlete’s ankle” is a source of chronic. Footballer's ankle is a pinching or impingement of the ligaments or tendons of the ankle between the. Footballer's Ankle Xray.
From animalia-life.club
Normal Left Ankle Xray Footballer's Ankle Xray Anterior ankle impingement (footballer's ankle) is a painful pinching or compression of either the soft or the bony tissue at the front of your ankle. The treatment for anterior impingement in the ankle can include physical therapy to help improve the range of motion and break down. Anterior ankle impingement, originally nicknamed “footballer’s ankle” and later known as “athlete’s ankle”. Footballer's Ankle Xray.
From mavink.com
Anterior Ankle Impingement X Ray Footballer's Ankle Xray It is also to bear in. The treatment for anterior impingement in the ankle can include physical therapy to help improve the range of motion and break down. Footballer's ankle is a pinching or impingement of the ligaments or tendons of the ankle between the bones, particularly the talus and tibia. Anterior ankle impingement, originally nicknamed “footballer’s ankle” and later. Footballer's Ankle Xray.
From animalia-life.club
Normal Left Ankle Xray Footballer's Ankle Xray Anterior ankle impingement (footballer's ankle) is a painful pinching or compression of either the soft or the bony tissue at the front of your ankle. The xray view of the ankle from the side (lateral radiograph) shows. Footballer's ankle is a pinching or impingement of the ligaments or tendons of the ankle between the bones, particularly the talus and tibia.. Footballer's Ankle Xray.
From www.orthopaedicsurgeon.com.sg
Ankle Fracture Specialist 🩺Singapore Sports & Orthopaedic Surgeon Footballer's Ankle Xray The xray view of the ankle from the side (lateral radiograph) shows. The treatment for anterior impingement in the ankle can include physical therapy to help improve the range of motion and break down. Footballer's ankle is a pinching or impingement of the ligaments or tendons of the ankle between the bones, particularly the talus and tibia. It is also. Footballer's Ankle Xray.
From www.istockphoto.com
10+ X Ray Football Player Stock Photos, Pictures & RoyaltyFree Images Footballer's Ankle Xray Standard ankle radiographs are necessary and are the mainstay of imaging anterior ankle impingement. Footballer's ankle is a pinching or impingement of the ligaments or tendons of the ankle between the bones, particularly the talus and tibia. The xray view of the ankle from the side (lateral radiograph) shows. It is also to bear in. Anterior ankle impingement (footballer's ankle). Footballer's Ankle Xray.
From mavink.com
Foot And Ankle X Ray Footballer's Ankle Xray Anterior ankle impingement, originally nicknamed “footballer’s ankle” and later known as “athlete’s ankle” is a source of chronic. Footballer's ankle is a pinching or impingement of the ligaments or tendons of the ankle between the bones, particularly the talus and tibia. It is also to bear in. Anterior ankle impingement (footballer's ankle) is a painful pinching or compression of either. Footballer's Ankle Xray.
From www.dreamstime.com
Xray Tarsal and Ankle Front. Stock Image Image of lateral Footballer's Ankle Xray Standard ankle radiographs are necessary and are the mainstay of imaging anterior ankle impingement. Anterior ankle impingement (footballer's ankle) is a painful pinching or compression of either the soft or the bony tissue at the front of your ankle. Footballer's ankle is a pinching or impingement of the ligaments or tendons of the ankle between the bones, particularly the talus. Footballer's Ankle Xray.
From ladyblackwood.blogspot.com
The Blog Life of Lady Blackwood Football Follies Footballer's Ankle Xray It is also to bear in. The xray view of the ankle from the side (lateral radiograph) shows. Footballer's ankle is a pinching or impingement of the ligaments or tendons of the ankle between the bones, particularly the talus and tibia. The treatment for anterior impingement in the ankle can include physical therapy to help improve the range of motion. Footballer's Ankle Xray.
From www.alamy.com
Xray of the right foot ankle joint Stock Photo Alamy Footballer's Ankle Xray Anterior ankle impingement, originally nicknamed “footballer’s ankle” and later known as “athlete’s ankle” is a source of chronic. The treatment for anterior impingement in the ankle can include physical therapy to help improve the range of motion and break down. Standard ankle radiographs are necessary and are the mainstay of imaging anterior ankle impingement. Anterior ankle impingement (footballer's ankle) is. Footballer's Ankle Xray.
From asiamedicalspecialists.hk
Chronic Ankle Instability FAQs Foot and Ankle Doctor Articles Footballer's Ankle Xray The xray view of the ankle from the side (lateral radiograph) shows. Footballer's ankle is a pinching or impingement of the ligaments or tendons of the ankle between the bones, particularly the talus and tibia. The treatment for anterior impingement in the ankle can include physical therapy to help improve the range of motion and break down. Anterior ankle impingement,. Footballer's Ankle Xray.
From www.alamy.com
film xray foot lateral show normal child's foot Stock Photo Alamy Footballer's Ankle Xray Footballer's ankle is a pinching or impingement of the ligaments or tendons of the ankle between the bones, particularly the talus and tibia. Anterior ankle impingement, originally nicknamed “footballer’s ankle” and later known as “athlete’s ankle” is a source of chronic. The treatment for anterior impingement in the ankle can include physical therapy to help improve the range of motion. Footballer's Ankle Xray.
From ankleandfootcentre.com.au
Anterior Ankle Impingement Ankle, Foot and Orthotic Centre Footballer's Ankle Xray It is also to bear in. Anterior ankle impingement, originally nicknamed “footballer’s ankle” and later known as “athlete’s ankle” is a source of chronic. The treatment for anterior impingement in the ankle can include physical therapy to help improve the range of motion and break down. Footballer's ankle is a pinching or impingement of the ligaments or tendons of the. Footballer's Ankle Xray.
From www.clinicaladvisor.com
OrthoDx Ankle Sprain or SalterHarris Injury? Clinical Advisor Footballer's Ankle Xray Anterior ankle impingement (footballer's ankle) is a painful pinching or compression of either the soft or the bony tissue at the front of your ankle. It is also to bear in. The xray view of the ankle from the side (lateral radiograph) shows. Standard ankle radiographs are necessary and are the mainstay of imaging anterior ankle impingement. Footballer's ankle is. Footballer's Ankle Xray.
From www.lybrate.com
Footballer's Ankle Know its Symptoms And Treatment Options! By Dr Footballer's Ankle Xray Anterior ankle impingement (footballer's ankle) is a painful pinching or compression of either the soft or the bony tissue at the front of your ankle. The treatment for anterior impingement in the ankle can include physical therapy to help improve the range of motion and break down. The xray view of the ankle from the side (lateral radiograph) shows. Anterior. Footballer's Ankle Xray.
From animalia-life.club
Normal Left Ankle Xray Footballer's Ankle Xray The xray view of the ankle from the side (lateral radiograph) shows. Anterior ankle impingement (footballer's ankle) is a painful pinching or compression of either the soft or the bony tissue at the front of your ankle. Standard ankle radiographs are necessary and are the mainstay of imaging anterior ankle impingement. Anterior ankle impingement, originally nicknamed “footballer’s ankle” and later. Footballer's Ankle Xray.
From si-instability.com
Rt Lateral Foot Xray 1012013 Footballer's Ankle Xray Footballer's ankle is a pinching or impingement of the ligaments or tendons of the ankle between the bones, particularly the talus and tibia. The treatment for anterior impingement in the ankle can include physical therapy to help improve the range of motion and break down. Anterior ankle impingement (footballer's ankle) is a painful pinching or compression of either the soft. Footballer's Ankle Xray.
From www.mdpi.com
Diagnostics Free FullText Adult Acquired Flatfoot Deformity A Footballer's Ankle Xray It is also to bear in. Footballer's ankle is a pinching or impingement of the ligaments or tendons of the ankle between the bones, particularly the talus and tibia. The xray view of the ankle from the side (lateral radiograph) shows. Standard ankle radiographs are necessary and are the mainstay of imaging anterior ankle impingement. Anterior ankle impingement (footballer's ankle). Footballer's Ankle Xray.