Paget's Disease Vulva . Vulvar paget disease is an extremely rare skin disorder, which is most common in postmenopausal women. Paget’s disease of the vulva is a rare type of skin disease that develops on the vulva. Paget's disease of the vulva usually presents as a pink eczematous lesion with white islands of hyperkeratosis accompanied by. This disease appears as a red, velvety area with white islands of tissue on the vulva. Paget’s disease of the vulva is an unusual kind of skin cancer that arises from glandular cells. Our study confirms that surgical excision is the main treatment option with excellent overall survival rates even in the presence of positive margins. However, it may be invasive or associated with an underlying vulvar or distant adenocarcinoma. It is very slow to spread and is typically found in women who have. Extramammary paget disease is a rare vulvar tumor. Most vulvar paget disease cases are noninvasive; At times it may be pink, and occasionally there are moist, oozing ulcerations that bleed easily. Vulvar paget’s disease (vpd) is defined as a neoplasm of epithelial origin that usually develops in apocrine gland areas, and represents,.
from dxopycfnc.blob.core.windows.net
This disease appears as a red, velvety area with white islands of tissue on the vulva. Most vulvar paget disease cases are noninvasive; At times it may be pink, and occasionally there are moist, oozing ulcerations that bleed easily. However, it may be invasive or associated with an underlying vulvar or distant adenocarcinoma. Paget's disease of the vulva usually presents as a pink eczematous lesion with white islands of hyperkeratosis accompanied by. Vulvar paget’s disease (vpd) is defined as a neoplasm of epithelial origin that usually develops in apocrine gland areas, and represents,. Paget’s disease of the vulva is a rare type of skin disease that develops on the vulva. Extramammary paget disease is a rare vulvar tumor. Our study confirms that surgical excision is the main treatment option with excellent overall survival rates even in the presence of positive margins. It is very slow to spread and is typically found in women who have.
How Rare Is Paget's Disease Of The Vulva at Rita Reed blog
Paget's Disease Vulva Paget’s disease of the vulva is an unusual kind of skin cancer that arises from glandular cells. Paget's disease of the vulva usually presents as a pink eczematous lesion with white islands of hyperkeratosis accompanied by. Paget’s disease of the vulva is an unusual kind of skin cancer that arises from glandular cells. At times it may be pink, and occasionally there are moist, oozing ulcerations that bleed easily. Extramammary paget disease is a rare vulvar tumor. However, it may be invasive or associated with an underlying vulvar or distant adenocarcinoma. Vulvar paget disease is an extremely rare skin disorder, which is most common in postmenopausal women. It is very slow to spread and is typically found in women who have. Paget’s disease of the vulva is a rare type of skin disease that develops on the vulva. Our study confirms that surgical excision is the main treatment option with excellent overall survival rates even in the presence of positive margins. Most vulvar paget disease cases are noninvasive; Vulvar paget’s disease (vpd) is defined as a neoplasm of epithelial origin that usually develops in apocrine gland areas, and represents,. This disease appears as a red, velvety area with white islands of tissue on the vulva.
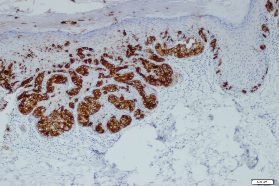
From www.researchgate.net
(PDF) Vulvar Paget disease secondary to highgrade urothelial carcinoma Paget's Disease Vulva However, it may be invasive or associated with an underlying vulvar or distant adenocarcinoma. Vulvar paget’s disease (vpd) is defined as a neoplasm of epithelial origin that usually develops in apocrine gland areas, and represents,. Paget’s disease of the vulva is an unusual kind of skin cancer that arises from glandular cells. Extramammary paget disease is a rare vulvar tumor.. Paget's Disease Vulva.
From www.researchgate.net
Noninvasive vulvar Paget disease (HE stain, 100x). Solitary cells and Paget's Disease Vulva Our study confirms that surgical excision is the main treatment option with excellent overall survival rates even in the presence of positive margins. Vulvar paget disease is an extremely rare skin disorder, which is most common in postmenopausal women. Paget’s disease of the vulva is an unusual kind of skin cancer that arises from glandular cells. Most vulvar paget disease. Paget's Disease Vulva.
From www.pathologyoutlines.com
Pathology Outlines Paget disease Paget's Disease Vulva Vulvar paget disease is an extremely rare skin disorder, which is most common in postmenopausal women. Paget’s disease of the vulva is a rare type of skin disease that develops on the vulva. It is very slow to spread and is typically found in women who have. Our study confirms that surgical excision is the main treatment option with excellent. Paget's Disease Vulva.
From uamshealth.com
Paget’s Disease of the Vulva Condition UAMS Health Paget's Disease Vulva This disease appears as a red, velvety area with white islands of tissue on the vulva. Vulvar paget disease is an extremely rare skin disorder, which is most common in postmenopausal women. Most vulvar paget disease cases are noninvasive; Paget’s disease of the vulva is a rare type of skin disease that develops on the vulva. Vulvar paget’s disease (vpd). Paget's Disease Vulva.
From journals.lww.com
Invasive Extramammary Paget Disease of the Vulva With Paget's Disease Vulva It is very slow to spread and is typically found in women who have. Paget’s disease of the vulva is an unusual kind of skin cancer that arises from glandular cells. Paget's disease of the vulva usually presents as a pink eczematous lesion with white islands of hyperkeratosis accompanied by. Vulvar paget’s disease (vpd) is defined as a neoplasm of. Paget's Disease Vulva.
From www.researchgate.net
(PDF) Extramammary Paget's Disease Combined with Squamous Cell Paget's Disease Vulva Our study confirms that surgical excision is the main treatment option with excellent overall survival rates even in the presence of positive margins. Paget's disease of the vulva usually presents as a pink eczematous lesion with white islands of hyperkeratosis accompanied by. This disease appears as a red, velvety area with white islands of tissue on the vulva. Vulvar paget’s. Paget's Disease Vulva.
From www.research-journal.net
Primary cutaneous vulvar Paget’s disease a case report Paget's Disease Vulva Vulvar paget disease is an extremely rare skin disorder, which is most common in postmenopausal women. Most vulvar paget disease cases are noninvasive; Paget’s disease of the vulva is a rare type of skin disease that develops on the vulva. However, it may be invasive or associated with an underlying vulvar or distant adenocarcinoma. At times it may be pink,. Paget's Disease Vulva.
From casereports.bmj.com
Extensive extramammary Paget’s disease of the vulva involving the Paget's Disease Vulva It is very slow to spread and is typically found in women who have. Vulvar paget disease is an extremely rare skin disorder, which is most common in postmenopausal women. At times it may be pink, and occasionally there are moist, oozing ulcerations that bleed easily. Paget's disease of the vulva usually presents as a pink eczematous lesion with white. Paget's Disease Vulva.
From www.researchgate.net
(PDF) Vulvar Paget disease secondary to highgrade urothelial carcinoma Paget's Disease Vulva Vulvar paget’s disease (vpd) is defined as a neoplasm of epithelial origin that usually develops in apocrine gland areas, and represents,. Most vulvar paget disease cases are noninvasive; Paget's disease of the vulva usually presents as a pink eczematous lesion with white islands of hyperkeratosis accompanied by. Extramammary paget disease is a rare vulvar tumor. At times it may be. Paget's Disease Vulva.
From www.auanet.org
American Urological Association Paget Disease Paget's Disease Vulva Paget's disease of the vulva usually presents as a pink eczematous lesion with white islands of hyperkeratosis accompanied by. Paget’s disease of the vulva is a rare type of skin disease that develops on the vulva. It is very slow to spread and is typically found in women who have. Our study confirms that surgical excision is the main treatment. Paget's Disease Vulva.
From www.pathologyoutlines.com
Pathology Outlines Paget disease Paget's Disease Vulva This disease appears as a red, velvety area with white islands of tissue on the vulva. Paget's disease of the vulva usually presents as a pink eczematous lesion with white islands of hyperkeratosis accompanied by. At times it may be pink, and occasionally there are moist, oozing ulcerations that bleed easily. However, it may be invasive or associated with an. Paget's Disease Vulva.
From www.pathologyoutlines.com
Pathology Outlines Paget disease Paget's Disease Vulva This disease appears as a red, velvety area with white islands of tissue on the vulva. Vulvar paget disease is an extremely rare skin disorder, which is most common in postmenopausal women. Paget's disease of the vulva usually presents as a pink eczematous lesion with white islands of hyperkeratosis accompanied by. Paget’s disease of the vulva is a rare type. Paget's Disease Vulva.
From pathsocjournals.onlinelibrary.wiley.com
Paget's disease of the vulva Report of a case Paget 1954 The Paget's Disease Vulva It is very slow to spread and is typically found in women who have. However, it may be invasive or associated with an underlying vulvar or distant adenocarcinoma. Most vulvar paget disease cases are noninvasive; Our study confirms that surgical excision is the main treatment option with excellent overall survival rates even in the presence of positive margins. Vulvar paget. Paget's Disease Vulva.
From www.slideserve.com
PPT Vulvar Cancer PowerPoint Presentation ID227179 Paget's Disease Vulva Our study confirms that surgical excision is the main treatment option with excellent overall survival rates even in the presence of positive margins. At times it may be pink, and occasionally there are moist, oozing ulcerations that bleed easily. Extramammary paget disease is a rare vulvar tumor. Paget’s disease of the vulva is a rare type of skin disease that. Paget's Disease Vulva.
From www.pathologyoutlines.com
Pathology Outlines Paget disease Paget's Disease Vulva Our study confirms that surgical excision is the main treatment option with excellent overall survival rates even in the presence of positive margins. Most vulvar paget disease cases are noninvasive; Vulvar paget disease is an extremely rare skin disorder, which is most common in postmenopausal women. Vulvar paget’s disease (vpd) is defined as a neoplasm of epithelial origin that usually. Paget's Disease Vulva.
From journals.lww.com
A Case of Vulval Extramammary Paget Disease With Dermal Inva Paget's Disease Vulva Paget’s disease of the vulva is a rare type of skin disease that develops on the vulva. Extramammary paget disease is a rare vulvar tumor. Our study confirms that surgical excision is the main treatment option with excellent overall survival rates even in the presence of positive margins. Vulvar paget’s disease (vpd) is defined as a neoplasm of epithelial origin. Paget's Disease Vulva.
From dxopycfnc.blob.core.windows.net
How Rare Is Paget's Disease Of The Vulva at Rita Reed blog Paget's Disease Vulva However, it may be invasive or associated with an underlying vulvar or distant adenocarcinoma. Our study confirms that surgical excision is the main treatment option with excellent overall survival rates even in the presence of positive margins. This disease appears as a red, velvety area with white islands of tissue on the vulva. Vulvar paget’s disease (vpd) is defined as. Paget's Disease Vulva.
From www.researchgate.net
(A) Microinvasive vulvar Paget disease (HE, 100x), (B) Detail (HE Paget's Disease Vulva It is very slow to spread and is typically found in women who have. However, it may be invasive or associated with an underlying vulvar or distant adenocarcinoma. Vulvar paget disease is an extremely rare skin disorder, which is most common in postmenopausal women. Extramammary paget disease is a rare vulvar tumor. Vulvar paget’s disease (vpd) is defined as a. Paget's Disease Vulva.
From www.researchgate.net
Vulvar Paget disease. The large cells of Paget's disease are seen Paget's Disease Vulva Vulvar paget’s disease (vpd) is defined as a neoplasm of epithelial origin that usually develops in apocrine gland areas, and represents,. Paget’s disease of the vulva is a rare type of skin disease that develops on the vulva. Paget's disease of the vulva usually presents as a pink eczematous lesion with white islands of hyperkeratosis accompanied by. Our study confirms. Paget's Disease Vulva.
From www.sciencephoto.com
Paget's disease of the vulva, light micrograph Stock Image C038 Paget's Disease Vulva Our study confirms that surgical excision is the main treatment option with excellent overall survival rates even in the presence of positive margins. Most vulvar paget disease cases are noninvasive; Extramammary paget disease is a rare vulvar tumor. Vulvar paget’s disease (vpd) is defined as a neoplasm of epithelial origin that usually develops in apocrine gland areas, and represents,. Paget’s. Paget's Disease Vulva.
From www.dovemed.com
Paget’s Disease of the Vulva DoveMed Paget's Disease Vulva This disease appears as a red, velvety area with white islands of tissue on the vulva. However, it may be invasive or associated with an underlying vulvar or distant adenocarcinoma. Paget's disease of the vulva usually presents as a pink eczematous lesion with white islands of hyperkeratosis accompanied by. Most vulvar paget disease cases are noninvasive; Paget’s disease of the. Paget's Disease Vulva.
From obgynkey.com
Vulval Paget’s Disease Obgyn Key Paget's Disease Vulva Paget’s disease of the vulva is a rare type of skin disease that develops on the vulva. This disease appears as a red, velvety area with white islands of tissue on the vulva. Extramammary paget disease is a rare vulvar tumor. Our study confirms that surgical excision is the main treatment option with excellent overall survival rates even in the. Paget's Disease Vulva.
From casereports.bmj.com
Extensive extramammary Paget’s disease of the vulva involving the Paget's Disease Vulva Most vulvar paget disease cases are noninvasive; Paget's disease of the vulva usually presents as a pink eczematous lesion with white islands of hyperkeratosis accompanied by. Our study confirms that surgical excision is the main treatment option with excellent overall survival rates even in the presence of positive margins. Vulvar paget disease is an extremely rare skin disorder, which is. Paget's Disease Vulva.
From www.sciencephoto.com
Paget's disease of the vulva Stock Image C021/5944 Science Photo Paget's Disease Vulva Our study confirms that surgical excision is the main treatment option with excellent overall survival rates even in the presence of positive margins. Paget’s disease of the vulva is a rare type of skin disease that develops on the vulva. Extramammary paget disease is a rare vulvar tumor. Most vulvar paget disease cases are noninvasive; Vulvar paget disease is an. Paget's Disease Vulva.
From www.pathologyoutlines.com
Pathology Outlines Paget disease Paget's Disease Vulva Vulvar paget’s disease (vpd) is defined as a neoplasm of epithelial origin that usually develops in apocrine gland areas, and represents,. Vulvar paget disease is an extremely rare skin disorder, which is most common in postmenopausal women. Extramammary paget disease is a rare vulvar tumor. This disease appears as a red, velvety area with white islands of tissue on the. Paget's Disease Vulva.
From www.researchgate.net
(PDF) Extensive extramammary Paget’s disease of the vulva involving the Paget's Disease Vulva It is very slow to spread and is typically found in women who have. At times it may be pink, and occasionally there are moist, oozing ulcerations that bleed easily. Paget’s disease of the vulva is a rare type of skin disease that develops on the vulva. Extramammary paget disease is a rare vulvar tumor. This disease appears as a. Paget's Disease Vulva.
From www.spandidos-publications.com
Invasive Paget's disease of the vulva treated with a combination of Paget's Disease Vulva Most vulvar paget disease cases are noninvasive; Vulvar paget’s disease (vpd) is defined as a neoplasm of epithelial origin that usually develops in apocrine gland areas, and represents,. Paget’s disease of the vulva is an unusual kind of skin cancer that arises from glandular cells. However, it may be invasive or associated with an underlying vulvar or distant adenocarcinoma. It. Paget's Disease Vulva.
From mavink.com
Paget's Disease Histology Paget's Disease Vulva Most vulvar paget disease cases are noninvasive; This disease appears as a red, velvety area with white islands of tissue on the vulva. It is very slow to spread and is typically found in women who have. Paget’s disease of the vulva is a rare type of skin disease that develops on the vulva. However, it may be invasive or. Paget's Disease Vulva.
From onlinelibrary.wiley.com
Paget's disease of the vulva Report of a case Paget 1954 The Paget's Disease Vulva This disease appears as a red, velvety area with white islands of tissue on the vulva. At times it may be pink, and occasionally there are moist, oozing ulcerations that bleed easily. Paget’s disease of the vulva is a rare type of skin disease that develops on the vulva. It is very slow to spread and is typically found in. Paget's Disease Vulva.
From dxopycfnc.blob.core.windows.net
How Rare Is Paget's Disease Of The Vulva at Rita Reed blog Paget's Disease Vulva Paget's disease of the vulva usually presents as a pink eczematous lesion with white islands of hyperkeratosis accompanied by. At times it may be pink, and occasionally there are moist, oozing ulcerations that bleed easily. Vulvar paget disease is an extremely rare skin disorder, which is most common in postmenopausal women. However, it may be invasive or associated with an. Paget's Disease Vulva.
From dxopycfnc.blob.core.windows.net
How Rare Is Paget's Disease Of The Vulva at Rita Reed blog Paget's Disease Vulva Paget’s disease of the vulva is an unusual kind of skin cancer that arises from glandular cells. Vulvar paget disease is an extremely rare skin disorder, which is most common in postmenopausal women. It is very slow to spread and is typically found in women who have. Most vulvar paget disease cases are noninvasive; Our study confirms that surgical excision. Paget's Disease Vulva.
From www.pathologyoutlines.com
Pathology Outlines Paget disease Paget's Disease Vulva Paget’s disease of the vulva is a rare type of skin disease that develops on the vulva. Paget’s disease of the vulva is an unusual kind of skin cancer that arises from glandular cells. However, it may be invasive or associated with an underlying vulvar or distant adenocarcinoma. At times it may be pink, and occasionally there are moist, oozing. Paget's Disease Vulva.
From journals.lww.com
Unusual Manifestations of Vulval Paget Disease International Journal Paget's Disease Vulva Most vulvar paget disease cases are noninvasive; Extramammary paget disease is a rare vulvar tumor. Paget’s disease of the vulva is an unusual kind of skin cancer that arises from glandular cells. Paget’s disease of the vulva is a rare type of skin disease that develops on the vulva. At times it may be pink, and occasionally there are moist,. Paget's Disease Vulva.
From www.research-journal.net
Primary cutaneous vulvar Paget’s disease a case report Paget's Disease Vulva Paget's disease of the vulva usually presents as a pink eczematous lesion with white islands of hyperkeratosis accompanied by. Our study confirms that surgical excision is the main treatment option with excellent overall survival rates even in the presence of positive margins. At times it may be pink, and occasionally there are moist, oozing ulcerations that bleed easily. Paget’s disease. Paget's Disease Vulva.
From www.sciencephoto.com
Paget's disease of the vulva, light micrograph Stock Image C038 Paget's Disease Vulva Paget’s disease of the vulva is a rare type of skin disease that develops on the vulva. Extramammary paget disease is a rare vulvar tumor. Paget's disease of the vulva usually presents as a pink eczematous lesion with white islands of hyperkeratosis accompanied by. Our study confirms that surgical excision is the main treatment option with excellent overall survival rates. Paget's Disease Vulva.