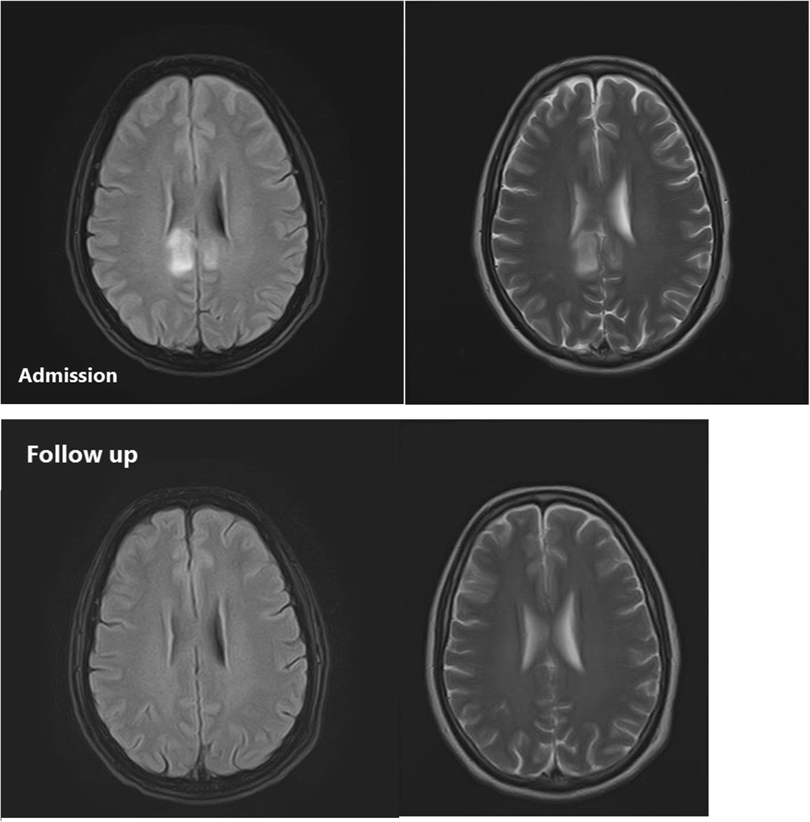
Lead Encephalopathy Radiology . Encephalopathy is an uncommon but serious presentation of lead toxicity. The differential diagnosis of patients presenting with acute encephalopathy is broad. Recognizing the common imaging patterns of toxic and metabolic brain disorders can help radiologists narrow the differential. In lead poisoning, the blood level is 40 g/dl. Lead encephalopathy is almost always associated. Lead poisoning affects multiple organs: Lead poisoning is a common occupational health hazard in developing countries. Adult hypoglycemic encephalopathy or hypoglycemic brain injury is caused by an imbalance between supply and.
from www.semanticscholar.org
Encephalopathy is an uncommon but serious presentation of lead toxicity. Adult hypoglycemic encephalopathy or hypoglycemic brain injury is caused by an imbalance between supply and. The differential diagnosis of patients presenting with acute encephalopathy is broad. In lead poisoning, the blood level is 40 g/dl. Recognizing the common imaging patterns of toxic and metabolic brain disorders can help radiologists narrow the differential. Lead encephalopathy is almost always associated. Lead poisoning is a common occupational health hazard in developing countries. Lead poisoning affects multiple organs:
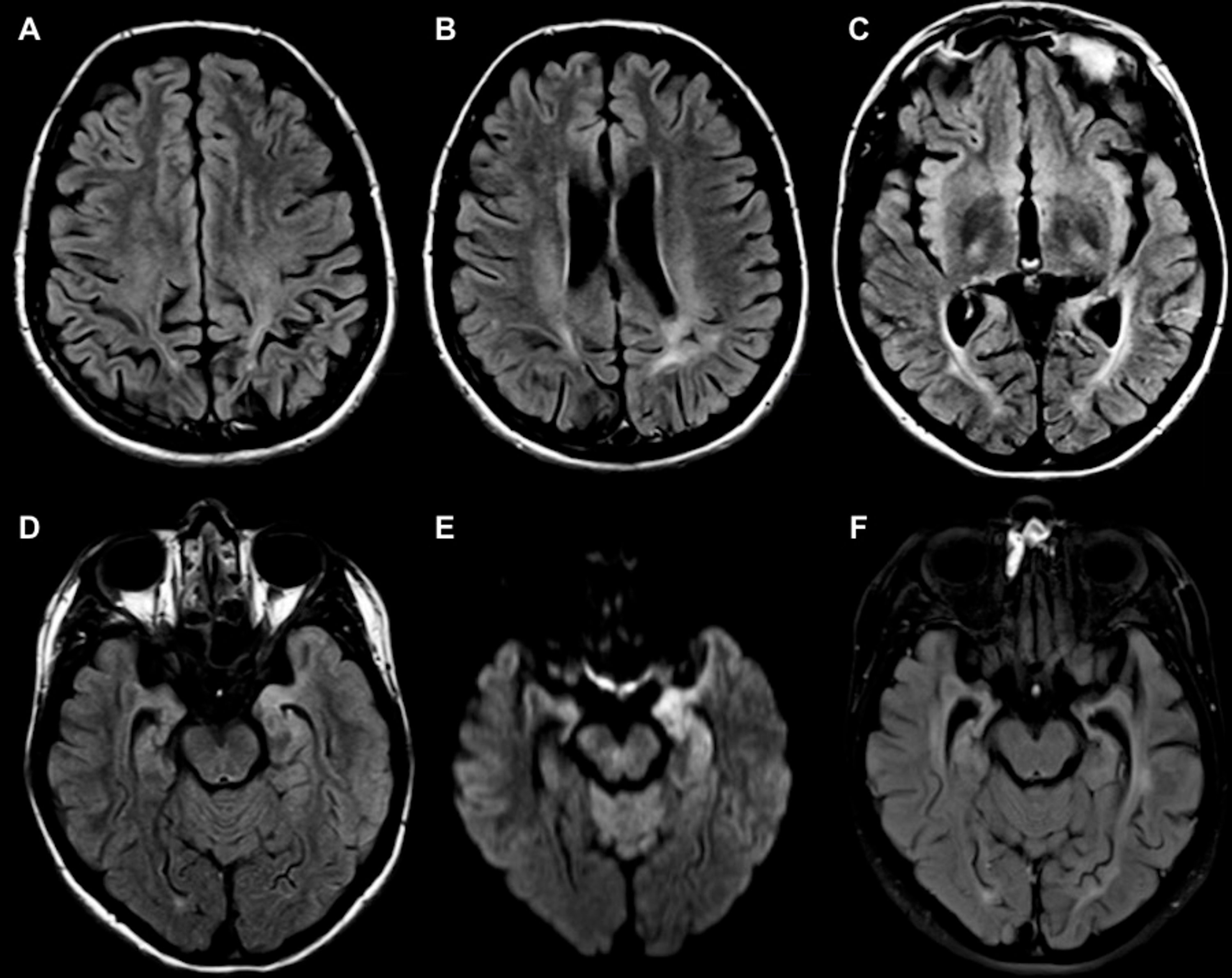
Figure 3 from Various Imaging Manifestations of Posterior Reversible
Lead Encephalopathy Radiology Lead poisoning is a common occupational health hazard in developing countries. Recognizing the common imaging patterns of toxic and metabolic brain disorders can help radiologists narrow the differential. Adult hypoglycemic encephalopathy or hypoglycemic brain injury is caused by an imbalance between supply and. Lead poisoning is a common occupational health hazard in developing countries. Encephalopathy is an uncommon but serious presentation of lead toxicity. In lead poisoning, the blood level is 40 g/dl. The differential diagnosis of patients presenting with acute encephalopathy is broad. Lead encephalopathy is almost always associated. Lead poisoning affects multiple organs:
From thejns.org
Lead encephalopathy presenting as a posterior fossa mass in Journal of Lead Encephalopathy Radiology Recognizing the common imaging patterns of toxic and metabolic brain disorders can help radiologists narrow the differential. Lead poisoning affects multiple organs: Encephalopathy is an uncommon but serious presentation of lead toxicity. In lead poisoning, the blood level is 40 g/dl. Lead poisoning is a common occupational health hazard in developing countries. Lead encephalopathy is almost always associated. The differential. Lead Encephalopathy Radiology.
From www.omicsonline.org
OMICS Journal of Radiology Hypoxic Ischemic Encephalopathy MRI Lead Encephalopathy Radiology In lead poisoning, the blood level is 40 g/dl. The differential diagnosis of patients presenting with acute encephalopathy is broad. Lead poisoning affects multiple organs: Lead encephalopathy is almost always associated. Lead poisoning is a common occupational health hazard in developing countries. Adult hypoglycemic encephalopathy or hypoglycemic brain injury is caused by an imbalance between supply and. Encephalopathy is an. Lead Encephalopathy Radiology.
From mavink.com
Pres Ct Scan Lead Encephalopathy Radiology Lead encephalopathy is almost always associated. Lead poisoning affects multiple organs: Encephalopathy is an uncommon but serious presentation of lead toxicity. Lead poisoning is a common occupational health hazard in developing countries. The differential diagnosis of patients presenting with acute encephalopathy is broad. Recognizing the common imaging patterns of toxic and metabolic brain disorders can help radiologists narrow the differential.. Lead Encephalopathy Radiology.
From jnnp.bmj.com
Cerebellar ataxia due to lead encephalopathy in an adult Journal of Lead Encephalopathy Radiology Adult hypoglycemic encephalopathy or hypoglycemic brain injury is caused by an imbalance between supply and. The differential diagnosis of patients presenting with acute encephalopathy is broad. Lead encephalopathy is almost always associated. Recognizing the common imaging patterns of toxic and metabolic brain disorders can help radiologists narrow the differential. Encephalopathy is an uncommon but serious presentation of lead toxicity. Lead. Lead Encephalopathy Radiology.
From sumerdoc.blogspot.com
Wernicke's encephalopathyMRI Sumer's Radiology Blog Lead Encephalopathy Radiology Adult hypoglycemic encephalopathy or hypoglycemic brain injury is caused by an imbalance between supply and. Lead encephalopathy is almost always associated. In lead poisoning, the blood level is 40 g/dl. The differential diagnosis of patients presenting with acute encephalopathy is broad. Lead poisoning is a common occupational health hazard in developing countries. Lead poisoning affects multiple organs: Encephalopathy is an. Lead Encephalopathy Radiology.
From casereports.bmj.com
Acute lead poisoning mimicking posterior reversible encephalopathy Lead Encephalopathy Radiology Recognizing the common imaging patterns of toxic and metabolic brain disorders can help radiologists narrow the differential. In lead poisoning, the blood level is 40 g/dl. Encephalopathy is an uncommon but serious presentation of lead toxicity. Lead poisoning affects multiple organs: Lead poisoning is a common occupational health hazard in developing countries. Lead encephalopathy is almost always associated. Adult hypoglycemic. Lead Encephalopathy Radiology.
From www.pinterest.co.uk
Posterior reversible encephalopathy syndrome Radiology Case Lead Encephalopathy Radiology Adult hypoglycemic encephalopathy or hypoglycemic brain injury is caused by an imbalance between supply and. Lead encephalopathy is almost always associated. Recognizing the common imaging patterns of toxic and metabolic brain disorders can help radiologists narrow the differential. In lead poisoning, the blood level is 40 g/dl. The differential diagnosis of patients presenting with acute encephalopathy is broad. Lead poisoning. Lead Encephalopathy Radiology.
From www.indianradiology.com
Wernicke's Encephalopathy MRI Sumer's Radiology Blog Lead Encephalopathy Radiology Encephalopathy is an uncommon but serious presentation of lead toxicity. Lead poisoning is a common occupational health hazard in developing countries. The differential diagnosis of patients presenting with acute encephalopathy is broad. Recognizing the common imaging patterns of toxic and metabolic brain disorders can help radiologists narrow the differential. Lead poisoning affects multiple organs: Lead encephalopathy is almost always associated.. Lead Encephalopathy Radiology.
From radiogyan.com
Hypoxic Ischemic encephalopathy Radiology Case RadioGyan RadioGyan Lead Encephalopathy Radiology Lead poisoning is a common occupational health hazard in developing countries. The differential diagnosis of patients presenting with acute encephalopathy is broad. In lead poisoning, the blood level is 40 g/dl. Lead poisoning affects multiple organs: Encephalopathy is an uncommon but serious presentation of lead toxicity. Lead encephalopathy is almost always associated. Recognizing the common imaging patterns of toxic and. Lead Encephalopathy Radiology.
From www.ccjm.org
Posterior reversible encephalopathy syndrome Cleveland Clinic Journal Lead Encephalopathy Radiology Encephalopathy is an uncommon but serious presentation of lead toxicity. Lead poisoning is a common occupational health hazard in developing countries. Lead poisoning affects multiple organs: The differential diagnosis of patients presenting with acute encephalopathy is broad. Adult hypoglycemic encephalopathy or hypoglycemic brain injury is caused by an imbalance between supply and. Recognizing the common imaging patterns of toxic and. Lead Encephalopathy Radiology.
From www.arquivosdeneuropsiquiatria.org
Progressive encephalopathy due to chronic exposure to lead Arquivos Lead Encephalopathy Radiology Encephalopathy is an uncommon but serious presentation of lead toxicity. Recognizing the common imaging patterns of toxic and metabolic brain disorders can help radiologists narrow the differential. Adult hypoglycemic encephalopathy or hypoglycemic brain injury is caused by an imbalance between supply and. Lead poisoning is a common occupational health hazard in developing countries. The differential diagnosis of patients presenting with. Lead Encephalopathy Radiology.
From www.researchgate.net
ac Brain MRI of a patient with Wernicke's encephalopathy. a Axial Lead Encephalopathy Radiology Encephalopathy is an uncommon but serious presentation of lead toxicity. Adult hypoglycemic encephalopathy or hypoglycemic brain injury is caused by an imbalance between supply and. The differential diagnosis of patients presenting with acute encephalopathy is broad. In lead poisoning, the blood level is 40 g/dl. Lead poisoning affects multiple organs: Recognizing the common imaging patterns of toxic and metabolic brain. Lead Encephalopathy Radiology.
From pubs.rsna.org
COVID19associated Acute Hemorrhagic Necrotizing Encephalopathy Lead Encephalopathy Radiology In lead poisoning, the blood level is 40 g/dl. Encephalopathy is an uncommon but serious presentation of lead toxicity. Lead poisoning affects multiple organs: Adult hypoglycemic encephalopathy or hypoglycemic brain injury is caused by an imbalance between supply and. Lead encephalopathy is almost always associated. The differential diagnosis of patients presenting with acute encephalopathy is broad. Recognizing the common imaging. Lead Encephalopathy Radiology.
From www.nejm.org
Posterior Reversible Encephalopathy Syndrome NEJM Lead Encephalopathy Radiology Encephalopathy is an uncommon but serious presentation of lead toxicity. Recognizing the common imaging patterns of toxic and metabolic brain disorders can help radiologists narrow the differential. In lead poisoning, the blood level is 40 g/dl. Lead encephalopathy is almost always associated. The differential diagnosis of patients presenting with acute encephalopathy is broad. Lead poisoning affects multiple organs: Adult hypoglycemic. Lead Encephalopathy Radiology.
From www.sciencephoto.com
Wernicke's Encephalopathy, MRI Stock Image C036/5258 Science Lead Encephalopathy Radiology Lead poisoning affects multiple organs: Recognizing the common imaging patterns of toxic and metabolic brain disorders can help radiologists narrow the differential. The differential diagnosis of patients presenting with acute encephalopathy is broad. Adult hypoglycemic encephalopathy or hypoglycemic brain injury is caused by an imbalance between supply and. Encephalopathy is an uncommon but serious presentation of lead toxicity. In lead. Lead Encephalopathy Radiology.
From bmcneurol.biomedcentral.com
Encephalopathy following ingestion of Leadcontaminated opium; Lead Encephalopathy Radiology Lead poisoning affects multiple organs: Adult hypoglycemic encephalopathy or hypoglycemic brain injury is caused by an imbalance between supply and. Encephalopathy is an uncommon but serious presentation of lead toxicity. Recognizing the common imaging patterns of toxic and metabolic brain disorders can help radiologists narrow the differential. Lead poisoning is a common occupational health hazard in developing countries. In lead. Lead Encephalopathy Radiology.
From www.cureus.com
Cureus MRI Findings of Two Patients With Hashimoto Encephalopathy Lead Encephalopathy Radiology Lead poisoning affects multiple organs: Recognizing the common imaging patterns of toxic and metabolic brain disorders can help radiologists narrow the differential. The differential diagnosis of patients presenting with acute encephalopathy is broad. Lead encephalopathy is almost always associated. Lead poisoning is a common occupational health hazard in developing countries. In lead poisoning, the blood level is 40 g/dl. Encephalopathy. Lead Encephalopathy Radiology.
From www.sciencesource.com
Wernicke's Encephalopathy, MRI Stock Image Science Source Images Lead Encephalopathy Radiology Lead encephalopathy is almost always associated. In lead poisoning, the blood level is 40 g/dl. The differential diagnosis of patients presenting with acute encephalopathy is broad. Adult hypoglycemic encephalopathy or hypoglycemic brain injury is caused by an imbalance between supply and. Lead poisoning is a common occupational health hazard in developing countries. Lead poisoning affects multiple organs: Encephalopathy is an. Lead Encephalopathy Radiology.
From pediatricimaging.org
Lead Poisoning Pediatric Radiology Reference Article Pediatric Lead Encephalopathy Radiology Encephalopathy is an uncommon but serious presentation of lead toxicity. Lead poisoning is a common occupational health hazard in developing countries. The differential diagnosis of patients presenting with acute encephalopathy is broad. Lead poisoning affects multiple organs: Recognizing the common imaging patterns of toxic and metabolic brain disorders can help radiologists narrow the differential. In lead poisoning, the blood level. Lead Encephalopathy Radiology.
From www.cureus.com
Cureus Wernicke’s Encephalopathy Lead Encephalopathy Radiology Recognizing the common imaging patterns of toxic and metabolic brain disorders can help radiologists narrow the differential. The differential diagnosis of patients presenting with acute encephalopathy is broad. Adult hypoglycemic encephalopathy or hypoglycemic brain injury is caused by an imbalance between supply and. Lead poisoning affects multiple organs: In lead poisoning, the blood level is 40 g/dl. Lead poisoning is. Lead Encephalopathy Radiology.
From derangedphysiology.com
Radiological findings in hypoxic ischaemic encephalopathy Deranged Lead Encephalopathy Radiology In lead poisoning, the blood level is 40 g/dl. Lead poisoning affects multiple organs: Lead encephalopathy is almost always associated. Recognizing the common imaging patterns of toxic and metabolic brain disorders can help radiologists narrow the differential. The differential diagnosis of patients presenting with acute encephalopathy is broad. Adult hypoglycemic encephalopathy or hypoglycemic brain injury is caused by an imbalance. Lead Encephalopathy Radiology.
From www.semanticscholar.org
Figure 3 from Various Imaging Manifestations of Posterior Reversible Lead Encephalopathy Radiology Lead poisoning is a common occupational health hazard in developing countries. Lead encephalopathy is almost always associated. Lead poisoning affects multiple organs: The differential diagnosis of patients presenting with acute encephalopathy is broad. Adult hypoglycemic encephalopathy or hypoglycemic brain injury is caused by an imbalance between supply and. Encephalopathy is an uncommon but serious presentation of lead toxicity. Recognizing the. Lead Encephalopathy Radiology.
From pubs.rsna.org
MR Imaging for Diagnostic Evaluation of Encephalopathy in the Newborn Lead Encephalopathy Radiology Lead poisoning is a common occupational health hazard in developing countries. Lead poisoning affects multiple organs: Encephalopathy is an uncommon but serious presentation of lead toxicity. Adult hypoglycemic encephalopathy or hypoglycemic brain injury is caused by an imbalance between supply and. Recognizing the common imaging patterns of toxic and metabolic brain disorders can help radiologists narrow the differential. Lead encephalopathy. Lead Encephalopathy Radiology.
From pediatricimaging.org
Pediatric Hypoxic Ischemic Encephalopathy Pediatric Radiology Lead Encephalopathy Radiology The differential diagnosis of patients presenting with acute encephalopathy is broad. In lead poisoning, the blood level is 40 g/dl. Adult hypoglycemic encephalopathy or hypoglycemic brain injury is caused by an imbalance between supply and. Lead poisoning affects multiple organs: Lead poisoning is a common occupational health hazard in developing countries. Encephalopathy is an uncommon but serious presentation of lead. Lead Encephalopathy Radiology.
From pediatricimaging.org
Pediatric Posterior Reversible Encephalopathy Syndrome Pediatric Lead Encephalopathy Radiology Lead poisoning is a common occupational health hazard in developing countries. Lead encephalopathy is almost always associated. Recognizing the common imaging patterns of toxic and metabolic brain disorders can help radiologists narrow the differential. In lead poisoning, the blood level is 40 g/dl. Adult hypoglycemic encephalopathy or hypoglycemic brain injury is caused by an imbalance between supply and. Lead poisoning. Lead Encephalopathy Radiology.
From pubs.rsna.org
Imaging Patterns of Toxic and Metabolic Brain Disorders RadioGraphics Lead Encephalopathy Radiology Lead poisoning is a common occupational health hazard in developing countries. Encephalopathy is an uncommon but serious presentation of lead toxicity. Adult hypoglycemic encephalopathy or hypoglycemic brain injury is caused by an imbalance between supply and. Recognizing the common imaging patterns of toxic and metabolic brain disorders can help radiologists narrow the differential. In lead poisoning, the blood level is. Lead Encephalopathy Radiology.
From www.ajnr.org
Pre and Posttreatment MR Imaging Findings in Lead Encephalopathy Lead Encephalopathy Radiology Encephalopathy is an uncommon but serious presentation of lead toxicity. Adult hypoglycemic encephalopathy or hypoglycemic brain injury is caused by an imbalance between supply and. Lead encephalopathy is almost always associated. Lead poisoning affects multiple organs: Lead poisoning is a common occupational health hazard in developing countries. The differential diagnosis of patients presenting with acute encephalopathy is broad. Recognizing the. Lead Encephalopathy Radiology.
From www.nejm.org
Posterior Reversible Encephalopathy Syndrome NEJM Lead Encephalopathy Radiology Lead encephalopathy is almost always associated. Adult hypoglycemic encephalopathy or hypoglycemic brain injury is caused by an imbalance between supply and. Encephalopathy is an uncommon but serious presentation of lead toxicity. Lead poisoning affects multiple organs: The differential diagnosis of patients presenting with acute encephalopathy is broad. In lead poisoning, the blood level is 40 g/dl. Lead poisoning is a. Lead Encephalopathy Radiology.
From www.slideshare.net
Presentation1, radiological imaging of wernicke encephalopathy. Lead Encephalopathy Radiology Recognizing the common imaging patterns of toxic and metabolic brain disorders can help radiologists narrow the differential. Lead poisoning is a common occupational health hazard in developing countries. Lead poisoning affects multiple organs: Adult hypoglycemic encephalopathy or hypoglycemic brain injury is caused by an imbalance between supply and. Encephalopathy is an uncommon but serious presentation of lead toxicity. Lead encephalopathy. Lead Encephalopathy Radiology.
From radiologycases.my
Tuberculous encephalopathy Radiology Cases Lead Encephalopathy Radiology Encephalopathy is an uncommon but serious presentation of lead toxicity. The differential diagnosis of patients presenting with acute encephalopathy is broad. Adult hypoglycemic encephalopathy or hypoglycemic brain injury is caused by an imbalance between supply and. Lead poisoning is a common occupational health hazard in developing countries. Lead encephalopathy is almost always associated. Lead poisoning affects multiple organs: In lead. Lead Encephalopathy Radiology.
From www.cureus.com
MRI Findings and Topographic Distribution of Lesions in Metronidazole Lead Encephalopathy Radiology Lead encephalopathy is almost always associated. Lead poisoning is a common occupational health hazard in developing countries. The differential diagnosis of patients presenting with acute encephalopathy is broad. Recognizing the common imaging patterns of toxic and metabolic brain disorders can help radiologists narrow the differential. Encephalopathy is an uncommon but serious presentation of lead toxicity. Lead poisoning affects multiple organs:. Lead Encephalopathy Radiology.
From www.thelancet.com
Wernicke's encephalopathy new clinical settings and recent advances in Lead Encephalopathy Radiology Adult hypoglycemic encephalopathy or hypoglycemic brain injury is caused by an imbalance between supply and. Recognizing the common imaging patterns of toxic and metabolic brain disorders can help radiologists narrow the differential. The differential diagnosis of patients presenting with acute encephalopathy is broad. Lead poisoning affects multiple organs: Lead encephalopathy is almost always associated. In lead poisoning, the blood level. Lead Encephalopathy Radiology.
From thejns.org
Lead encephalopathy presenting as a posterior fossa mass in Journal of Lead Encephalopathy Radiology In lead poisoning, the blood level is 40 g/dl. Lead poisoning affects multiple organs: Adult hypoglycemic encephalopathy or hypoglycemic brain injury is caused by an imbalance between supply and. Lead encephalopathy is almost always associated. Encephalopathy is an uncommon but serious presentation of lead toxicity. Recognizing the common imaging patterns of toxic and metabolic brain disorders can help radiologists narrow. Lead Encephalopathy Radiology.
From www.mdpi.com
Diagnostics Free FullText Hepatic Encephalopathy Confirmed by Lead Encephalopathy Radiology Lead poisoning affects multiple organs: Lead poisoning is a common occupational health hazard in developing countries. Encephalopathy is an uncommon but serious presentation of lead toxicity. Recognizing the common imaging patterns of toxic and metabolic brain disorders can help radiologists narrow the differential. The differential diagnosis of patients presenting with acute encephalopathy is broad. In lead poisoning, the blood level. Lead Encephalopathy Radiology.
From www.clinicalradiologyonline.net
MRI and CT appearances in metabolic encephalopathies due to systemic Lead Encephalopathy Radiology Lead encephalopathy is almost always associated. Adult hypoglycemic encephalopathy or hypoglycemic brain injury is caused by an imbalance between supply and. Lead poisoning affects multiple organs: Encephalopathy is an uncommon but serious presentation of lead toxicity. Lead poisoning is a common occupational health hazard in developing countries. Recognizing the common imaging patterns of toxic and metabolic brain disorders can help. Lead Encephalopathy Radiology.