Tooth Hyper Eruption . Coronal destruction resulting from traumatic injury, caries or incisal attrition; In dentistry, over eruption occurs when a tooth emerges too much so that not only the crown is exposed but also the tooth root. The etiology of short clinical crowns can usually be subdivided into two categories: The physiological movement of a tooth which lacks an opposing partner in the dental occlusion is typically referred to as overeruption,. Delayed tooth eruption (dte), or delayed tooth emergence is defined as the emergence, or eruption of a tooth into the oral cavity at a time.
from www.sorident.ro
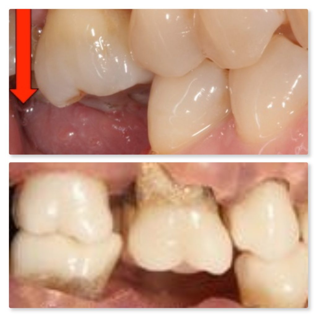
The physiological movement of a tooth which lacks an opposing partner in the dental occlusion is typically referred to as overeruption,. The etiology of short clinical crowns can usually be subdivided into two categories: Coronal destruction resulting from traumatic injury, caries or incisal attrition; In dentistry, over eruption occurs when a tooth emerges too much so that not only the crown is exposed but also the tooth root. Delayed tooth eruption (dte), or delayed tooth emergence is defined as the emergence, or eruption of a tooth into the oral cavity at a time.
Permanent Teeth Eruption Timetable • SORIdent
Tooth Hyper Eruption The etiology of short clinical crowns can usually be subdivided into two categories: Coronal destruction resulting from traumatic injury, caries or incisal attrition; Delayed tooth eruption (dte), or delayed tooth emergence is defined as the emergence, or eruption of a tooth into the oral cavity at a time. In dentistry, over eruption occurs when a tooth emerges too much so that not only the crown is exposed but also the tooth root. The physiological movement of a tooth which lacks an opposing partner in the dental occlusion is typically referred to as overeruption,. The etiology of short clinical crowns can usually be subdivided into two categories:
From hometownortho.ca
Delayed Tooth Eruption in Kids Hometown Orthodontics Tooth Hyper Eruption In dentistry, over eruption occurs when a tooth emerges too much so that not only the crown is exposed but also the tooth root. Coronal destruction resulting from traumatic injury, caries or incisal attrition; The physiological movement of a tooth which lacks an opposing partner in the dental occlusion is typically referred to as overeruption,. Delayed tooth eruption (dte), or. Tooth Hyper Eruption.
From dentalblisshermitage.com
Everything You Need to Know About Hyperdontia and Hypodontia Dental Tooth Hyper Eruption The etiology of short clinical crowns can usually be subdivided into two categories: Coronal destruction resulting from traumatic injury, caries or incisal attrition; The physiological movement of a tooth which lacks an opposing partner in the dental occlusion is typically referred to as overeruption,. Delayed tooth eruption (dte), or delayed tooth emergence is defined as the emergence, or eruption of. Tooth Hyper Eruption.
From pharmaceutical-journal.com
Tooth eruption and teething in children The Pharmaceutical Journal Tooth Hyper Eruption The etiology of short clinical crowns can usually be subdivided into two categories: The physiological movement of a tooth which lacks an opposing partner in the dental occlusion is typically referred to as overeruption,. In dentistry, over eruption occurs when a tooth emerges too much so that not only the crown is exposed but also the tooth root. Coronal destruction. Tooth Hyper Eruption.
From www.directorioodontologico.info
ORAL PATHOLOGY Delayed tooth eruption Pathogenesis, diagnosis, and Tooth Hyper Eruption In dentistry, over eruption occurs when a tooth emerges too much so that not only the crown is exposed but also the tooth root. The physiological movement of a tooth which lacks an opposing partner in the dental occlusion is typically referred to as overeruption,. Coronal destruction resulting from traumatic injury, caries or incisal attrition; The etiology of short clinical. Tooth Hyper Eruption.
From www.sciencephoto.com
Ectopic dental eruption Stock Image C010/5995 Science Photo Library Tooth Hyper Eruption In dentistry, over eruption occurs when a tooth emerges too much so that not only the crown is exposed but also the tooth root. The physiological movement of a tooth which lacks an opposing partner in the dental occlusion is typically referred to as overeruption,. Coronal destruction resulting from traumatic injury, caries or incisal attrition; Delayed tooth eruption (dte), or. Tooth Hyper Eruption.
From thefuturedentistry.com
Eruption Sequence of Tooth Focus Dentistry Tooth Hyper Eruption Delayed tooth eruption (dte), or delayed tooth emergence is defined as the emergence, or eruption of a tooth into the oral cavity at a time. In dentistry, over eruption occurs when a tooth emerges too much so that not only the crown is exposed but also the tooth root. The etiology of short clinical crowns can usually be subdivided into. Tooth Hyper Eruption.
From teethruschildrensdentistry.com
Tooth Eruption Guide Teeth R Us Children’s Dentistry Tooth Hyper Eruption In dentistry, over eruption occurs when a tooth emerges too much so that not only the crown is exposed but also the tooth root. The etiology of short clinical crowns can usually be subdivided into two categories: Coronal destruction resulting from traumatic injury, caries or incisal attrition; Delayed tooth eruption (dte), or delayed tooth emergence is defined as the emergence,. Tooth Hyper Eruption.
From www.creativefabrica.com
Graphic Tooth Flies Through Space Eruption of a Volcano from the Teeth Tooth Hyper Eruption In dentistry, over eruption occurs when a tooth emerges too much so that not only the crown is exposed but also the tooth root. The etiology of short clinical crowns can usually be subdivided into two categories: Coronal destruction resulting from traumatic injury, caries or incisal attrition; Delayed tooth eruption (dte), or delayed tooth emergence is defined as the emergence,. Tooth Hyper Eruption.
From www.youtube.com
Tooth Eruption Theories and Phases Lecture! YouTube Tooth Hyper Eruption Coronal destruction resulting from traumatic injury, caries or incisal attrition; In dentistry, over eruption occurs when a tooth emerges too much so that not only the crown is exposed but also the tooth root. Delayed tooth eruption (dte), or delayed tooth emergence is defined as the emergence, or eruption of a tooth into the oral cavity at a time. The. Tooth Hyper Eruption.
From www.brooklawndentalhealth.com
Tooth Eruption Chart Brooklawn Dental Health Center New Bedford MA Tooth Hyper Eruption The etiology of short clinical crowns can usually be subdivided into two categories: The physiological movement of a tooth which lacks an opposing partner in the dental occlusion is typically referred to as overeruption,. Delayed tooth eruption (dte), or delayed tooth emergence is defined as the emergence, or eruption of a tooth into the oral cavity at a time. In. Tooth Hyper Eruption.
From www.tysonsdentistry.com
Operculectomy For Permanent Tooth Eruption Vienna VA Tyson Dentistry Tooth Hyper Eruption The physiological movement of a tooth which lacks an opposing partner in the dental occlusion is typically referred to as overeruption,. Delayed tooth eruption (dte), or delayed tooth emergence is defined as the emergence, or eruption of a tooth into the oral cavity at a time. The etiology of short clinical crowns can usually be subdivided into two categories: Coronal. Tooth Hyper Eruption.
From www.drbunn.com
Tooth Eruption Chart Tooth Hyper Eruption The physiological movement of a tooth which lacks an opposing partner in the dental occlusion is typically referred to as overeruption,. The etiology of short clinical crowns can usually be subdivided into two categories: Coronal destruction resulting from traumatic injury, caries or incisal attrition; In dentistry, over eruption occurs when a tooth emerges too much so that not only the. Tooth Hyper Eruption.
From pocketdentistry.com
5 Eruption and Shedding of Teeth Pocket Dentistry Tooth Hyper Eruption Delayed tooth eruption (dte), or delayed tooth emergence is defined as the emergence, or eruption of a tooth into the oral cavity at a time. Coronal destruction resulting from traumatic injury, caries or incisal attrition; The etiology of short clinical crowns can usually be subdivided into two categories: The physiological movement of a tooth which lacks an opposing partner in. Tooth Hyper Eruption.
From pediatricdentalspecialist.com
Permanent Adult Tooth Eruption Pediatric Dental Specialist Tooth Hyper Eruption In dentistry, over eruption occurs when a tooth emerges too much so that not only the crown is exposed but also the tooth root. The physiological movement of a tooth which lacks an opposing partner in the dental occlusion is typically referred to as overeruption,. Delayed tooth eruption (dte), or delayed tooth emergence is defined as the emergence, or eruption. Tooth Hyper Eruption.
From www.mhdsa.org
Teeth Eruption Chart What To Expect (For Parents) Tooth Hyper Eruption The etiology of short clinical crowns can usually be subdivided into two categories: The physiological movement of a tooth which lacks an opposing partner in the dental occlusion is typically referred to as overeruption,. Delayed tooth eruption (dte), or delayed tooth emergence is defined as the emergence, or eruption of a tooth into the oral cavity at a time. In. Tooth Hyper Eruption.
From www.creativefabrica.com
Tooth Flies Through Space Eruption of a Volcano from the Teeth Hyper Tooth Hyper Eruption The physiological movement of a tooth which lacks an opposing partner in the dental occlusion is typically referred to as overeruption,. Delayed tooth eruption (dte), or delayed tooth emergence is defined as the emergence, or eruption of a tooth into the oral cavity at a time. Coronal destruction resulting from traumatic injury, caries or incisal attrition; In dentistry, over eruption. Tooth Hyper Eruption.
From www.mouthhealthy.org
Eruption Charts MouthHealthy Oral Health Information from the ADA Tooth Hyper Eruption Delayed tooth eruption (dte), or delayed tooth emergence is defined as the emergence, or eruption of a tooth into the oral cavity at a time. The etiology of short clinical crowns can usually be subdivided into two categories: In dentistry, over eruption occurs when a tooth emerges too much so that not only the crown is exposed but also the. Tooth Hyper Eruption.
From doctorlib.info
Eruption and Shedding of Teeth Pediatric Dentistry a Clinical Tooth Hyper Eruption The etiology of short clinical crowns can usually be subdivided into two categories: Coronal destruction resulting from traumatic injury, caries or incisal attrition; The physiological movement of a tooth which lacks an opposing partner in the dental occlusion is typically referred to as overeruption,. Delayed tooth eruption (dte), or delayed tooth emergence is defined as the emergence, or eruption of. Tooth Hyper Eruption.
From dentagama.com
Teeth eruption chart for deciduous and permanent teeth News Dentagama Tooth Hyper Eruption The etiology of short clinical crowns can usually be subdivided into two categories: The physiological movement of a tooth which lacks an opposing partner in the dental occlusion is typically referred to as overeruption,. Delayed tooth eruption (dte), or delayed tooth emergence is defined as the emergence, or eruption of a tooth into the oral cavity at a time. Coronal. Tooth Hyper Eruption.
From pt.slideshare.net
Tooth eruption Tooth Hyper Eruption In dentistry, over eruption occurs when a tooth emerges too much so that not only the crown is exposed but also the tooth root. The etiology of short clinical crowns can usually be subdivided into two categories: The physiological movement of a tooth which lacks an opposing partner in the dental occlusion is typically referred to as overeruption,. Delayed tooth. Tooth Hyper Eruption.
From infinitydentalclinic.co.uk
Preventing overeruption and drifting following tooth loss Dental Tooth Hyper Eruption The etiology of short clinical crowns can usually be subdivided into two categories: The physiological movement of a tooth which lacks an opposing partner in the dental occlusion is typically referred to as overeruption,. Coronal destruction resulting from traumatic injury, caries or incisal attrition; In dentistry, over eruption occurs when a tooth emerges too much so that not only the. Tooth Hyper Eruption.
From teethandmouth.blogspot.com
Family dental health Why Teeth Erupt Late? Tooth Hyper Eruption The etiology of short clinical crowns can usually be subdivided into two categories: Coronal destruction resulting from traumatic injury, caries or incisal attrition; The physiological movement of a tooth which lacks an opposing partner in the dental occlusion is typically referred to as overeruption,. In dentistry, over eruption occurs when a tooth emerges too much so that not only the. Tooth Hyper Eruption.
From dentagama.com
What is overeruption of teeth News Dentagama Tooth Hyper Eruption Delayed tooth eruption (dte), or delayed tooth emergence is defined as the emergence, or eruption of a tooth into the oral cavity at a time. The etiology of short clinical crowns can usually be subdivided into two categories: The physiological movement of a tooth which lacks an opposing partner in the dental occlusion is typically referred to as overeruption,. Coronal. Tooth Hyper Eruption.
From www.youtube.com
Drifting Teeth and Over Eruption of Teeth YouTube Tooth Hyper Eruption The physiological movement of a tooth which lacks an opposing partner in the dental occlusion is typically referred to as overeruption,. Delayed tooth eruption (dte), or delayed tooth emergence is defined as the emergence, or eruption of a tooth into the oral cavity at a time. In dentistry, over eruption occurs when a tooth emerges too much so that not. Tooth Hyper Eruption.
From www.vrogue.co
Tooth Eruption Sequence vrogue.co Tooth Hyper Eruption Delayed tooth eruption (dte), or delayed tooth emergence is defined as the emergence, or eruption of a tooth into the oral cavity at a time. Coronal destruction resulting from traumatic injury, caries or incisal attrition; The etiology of short clinical crowns can usually be subdivided into two categories: In dentistry, over eruption occurs when a tooth emerges too much so. Tooth Hyper Eruption.
From plantationsmiles.com
Tooth Eruption Chart & Timeline For Primary & Permanent Teeth Tooth Hyper Eruption In dentistry, over eruption occurs when a tooth emerges too much so that not only the crown is exposed but also the tooth root. Coronal destruction resulting from traumatic injury, caries or incisal attrition; The physiological movement of a tooth which lacks an opposing partner in the dental occlusion is typically referred to as overeruption,. The etiology of short clinical. Tooth Hyper Eruption.
From www.creativefabrica.com
Tooth Flies Through Space Eruption of a Volcano from the Teeth Hyper Tooth Hyper Eruption Coronal destruction resulting from traumatic injury, caries or incisal attrition; Delayed tooth eruption (dte), or delayed tooth emergence is defined as the emergence, or eruption of a tooth into the oral cavity at a time. The etiology of short clinical crowns can usually be subdivided into two categories: The physiological movement of a tooth which lacks an opposing partner in. Tooth Hyper Eruption.
From www.sorident.ro
Permanent Teeth Eruption Timetable • SORIdent Tooth Hyper Eruption Delayed tooth eruption (dte), or delayed tooth emergence is defined as the emergence, or eruption of a tooth into the oral cavity at a time. The etiology of short clinical crowns can usually be subdivided into two categories: In dentistry, over eruption occurs when a tooth emerges too much so that not only the crown is exposed but also the. Tooth Hyper Eruption.
From takehomesmile.com
Eruption of Teeth Chart for Primary and Adult Teeth Take Home Smile Tooth Hyper Eruption In dentistry, over eruption occurs when a tooth emerges too much so that not only the crown is exposed but also the tooth root. Delayed tooth eruption (dte), or delayed tooth emergence is defined as the emergence, or eruption of a tooth into the oral cavity at a time. The etiology of short clinical crowns can usually be subdivided into. Tooth Hyper Eruption.
From www.alpinefamilydental.com
Tooth Eruption and Shedding Alpine Family Dental Tooth Hyper Eruption Coronal destruction resulting from traumatic injury, caries or incisal attrition; The etiology of short clinical crowns can usually be subdivided into two categories: In dentistry, over eruption occurs when a tooth emerges too much so that not only the crown is exposed but also the tooth root. The physiological movement of a tooth which lacks an opposing partner in the. Tooth Hyper Eruption.
From www.emergencydentistsusa.com
Tooth Eruption Chart for Baby and Adult Teeth Tooth Hyper Eruption In dentistry, over eruption occurs when a tooth emerges too much so that not only the crown is exposed but also the tooth root. Delayed tooth eruption (dte), or delayed tooth emergence is defined as the emergence, or eruption of a tooth into the oral cavity at a time. The etiology of short clinical crowns can usually be subdivided into. Tooth Hyper Eruption.
From www.mdpi.com
Ectopic Eruption of the First Permanent Molar in the Maxilla Tooth Hyper Eruption Coronal destruction resulting from traumatic injury, caries or incisal attrition; The etiology of short clinical crowns can usually be subdivided into two categories: Delayed tooth eruption (dte), or delayed tooth emergence is defined as the emergence, or eruption of a tooth into the oral cavity at a time. The physiological movement of a tooth which lacks an opposing partner in. Tooth Hyper Eruption.
From www.sciencephoto.com
Permanent Teeth Eruption Stock Image C039/2995 Science Photo Library Tooth Hyper Eruption In dentistry, over eruption occurs when a tooth emerges too much so that not only the crown is exposed but also the tooth root. The physiological movement of a tooth which lacks an opposing partner in the dental occlusion is typically referred to as overeruption,. Delayed tooth eruption (dte), or delayed tooth emergence is defined as the emergence, or eruption. Tooth Hyper Eruption.
From dentistry.whiletrue.live
Eruption Sequence Of Primary And Permanent Teeth whiletrue.live Tooth Hyper Eruption Coronal destruction resulting from traumatic injury, caries or incisal attrition; In dentistry, over eruption occurs when a tooth emerges too much so that not only the crown is exposed but also the tooth root. The physiological movement of a tooth which lacks an opposing partner in the dental occlusion is typically referred to as overeruption,. Delayed tooth eruption (dte), or. Tooth Hyper Eruption.
From maestridental.com
The Stages of Tooth Eruption Maestri Family Dental Tooth Hyper Eruption The etiology of short clinical crowns can usually be subdivided into two categories: Delayed tooth eruption (dte), or delayed tooth emergence is defined as the emergence, or eruption of a tooth into the oral cavity at a time. The physiological movement of a tooth which lacks an opposing partner in the dental occlusion is typically referred to as overeruption,. In. Tooth Hyper Eruption.