Turner's Syndrome Radiology . Turner syndrome is hypogonadism in phenotypica females due to partial or complete absence of one x chromosome, leading to short. Streak ovaries are a form of ovarian dysgenesis and are most commonly associated with turner syndrome, but can also be seen in. Classic sonographic findings of turner syndrome include diffuse fetal edema, cystic hygroma with septations, renal and cardiac anomalies such as horseshoe. Rotator cuff denervation syndromes may be due to by a variety of causes, most important are:
from pubs.rsna.org
Rotator cuff denervation syndromes may be due to by a variety of causes, most important are: Classic sonographic findings of turner syndrome include diffuse fetal edema, cystic hygroma with septations, renal and cardiac anomalies such as horseshoe. Turner syndrome is hypogonadism in phenotypica females due to partial or complete absence of one x chromosome, leading to short. Streak ovaries are a form of ovarian dysgenesis and are most commonly associated with turner syndrome, but can also be seen in.
Types of Cerebral Herniation and Their Imaging Features RadioGraphics
Turner's Syndrome Radiology Classic sonographic findings of turner syndrome include diffuse fetal edema, cystic hygroma with septations, renal and cardiac anomalies such as horseshoe. Rotator cuff denervation syndromes may be due to by a variety of causes, most important are: Streak ovaries are a form of ovarian dysgenesis and are most commonly associated with turner syndrome, but can also be seen in. Turner syndrome is hypogonadism in phenotypica females due to partial or complete absence of one x chromosome, leading to short. Classic sonographic findings of turner syndrome include diffuse fetal edema, cystic hygroma with septations, renal and cardiac anomalies such as horseshoe.
From www.orthobullets.com
Turner's Syndrome Pediatrics Orthobullets Turner's Syndrome Radiology Streak ovaries are a form of ovarian dysgenesis and are most commonly associated with turner syndrome, but can also be seen in. Classic sonographic findings of turner syndrome include diffuse fetal edema, cystic hygroma with septations, renal and cardiac anomalies such as horseshoe. Turner syndrome is hypogonadism in phenotypica females due to partial or complete absence of one x chromosome,. Turner's Syndrome Radiology.
From www.wikidoc.org
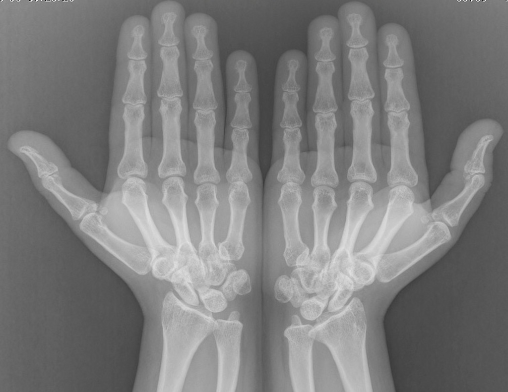
Turner syndrome x ray wikidoc Turner's Syndrome Radiology Turner syndrome is hypogonadism in phenotypica females due to partial or complete absence of one x chromosome, leading to short. Rotator cuff denervation syndromes may be due to by a variety of causes, most important are: Classic sonographic findings of turner syndrome include diffuse fetal edema, cystic hygroma with septations, renal and cardiac anomalies such as horseshoe. Streak ovaries are. Turner's Syndrome Radiology.
From www.mdpi.com
JCDD Free FullText Management of May Thurner Syndrome in Pregnant Turner's Syndrome Radiology Streak ovaries are a form of ovarian dysgenesis and are most commonly associated with turner syndrome, but can also be seen in. Classic sonographic findings of turner syndrome include diffuse fetal edema, cystic hygroma with septations, renal and cardiac anomalies such as horseshoe. Turner syndrome is hypogonadism in phenotypica females due to partial or complete absence of one x chromosome,. Turner's Syndrome Radiology.
From www.youtube.com
Turner syndrome Symptoms Causes, Pictures Signs and Symptoms of Turner's Syndrome Radiology Classic sonographic findings of turner syndrome include diffuse fetal edema, cystic hygroma with septations, renal and cardiac anomalies such as horseshoe. Turner syndrome is hypogonadism in phenotypica females due to partial or complete absence of one x chromosome, leading to short. Rotator cuff denervation syndromes may be due to by a variety of causes, most important are: Streak ovaries are. Turner's Syndrome Radiology.
From www.pinterest.com
Short metacarpals in Turner syndrome Radiology Case Turner's Syndrome Radiology Classic sonographic findings of turner syndrome include diffuse fetal edema, cystic hygroma with septations, renal and cardiac anomalies such as horseshoe. Streak ovaries are a form of ovarian dysgenesis and are most commonly associated with turner syndrome, but can also be seen in. Turner syndrome is hypogonadism in phenotypica females due to partial or complete absence of one x chromosome,. Turner's Syndrome Radiology.
From animalia-life.club
Monosomy Turner Syndrome Turner's Syndrome Radiology Turner syndrome is hypogonadism in phenotypica females due to partial or complete absence of one x chromosome, leading to short. Rotator cuff denervation syndromes may be due to by a variety of causes, most important are: Streak ovaries are a form of ovarian dysgenesis and are most commonly associated with turner syndrome, but can also be seen in. Classic sonographic. Turner's Syndrome Radiology.
From turnersyndromefoundation.org
Turner Syndrome Awareness Sticker Turner Syndrome Foundation Turner's Syndrome Radiology Rotator cuff denervation syndromes may be due to by a variety of causes, most important are: Streak ovaries are a form of ovarian dysgenesis and are most commonly associated with turner syndrome, but can also be seen in. Classic sonographic findings of turner syndrome include diffuse fetal edema, cystic hygroma with septations, renal and cardiac anomalies such as horseshoe. Turner. Turner's Syndrome Radiology.
From www.pinterest.com.mx
Madelung deformity... Medical mnemonics, Radiology, Human anatomy and Turner's Syndrome Radiology Turner syndrome is hypogonadism in phenotypica females due to partial or complete absence of one x chromosome, leading to short. Classic sonographic findings of turner syndrome include diffuse fetal edema, cystic hygroma with septations, renal and cardiac anomalies such as horseshoe. Rotator cuff denervation syndromes may be due to by a variety of causes, most important are: Streak ovaries are. Turner's Syndrome Radiology.
From radsource.us
ParsonageTurner Syndrome Radsource Turner's Syndrome Radiology Rotator cuff denervation syndromes may be due to by a variety of causes, most important are: Turner syndrome is hypogonadism in phenotypica females due to partial or complete absence of one x chromosome, leading to short. Streak ovaries are a form of ovarian dysgenesis and are most commonly associated with turner syndrome, but can also be seen in. Classic sonographic. Turner's Syndrome Radiology.
From www.mdpi.com
Sensors Free FullText Ultrasound Diagnostic and Physiotherapy Turner's Syndrome Radiology Classic sonographic findings of turner syndrome include diffuse fetal edema, cystic hygroma with septations, renal and cardiac anomalies such as horseshoe. Streak ovaries are a form of ovarian dysgenesis and are most commonly associated with turner syndrome, but can also be seen in. Turner syndrome is hypogonadism in phenotypica females due to partial or complete absence of one x chromosome,. Turner's Syndrome Radiology.
From www.researchgate.net
(PDF) Radiological Features in Patients with Short Stature Homeobox Turner's Syndrome Radiology Streak ovaries are a form of ovarian dysgenesis and are most commonly associated with turner syndrome, but can also be seen in. Rotator cuff denervation syndromes may be due to by a variety of causes, most important are: Classic sonographic findings of turner syndrome include diffuse fetal edema, cystic hygroma with septations, renal and cardiac anomalies such as horseshoe. Turner. Turner's Syndrome Radiology.
From www.cureus.com
Cureus Rare presenting features in suspected Turner syndrome with Turner's Syndrome Radiology Turner syndrome is hypogonadism in phenotypica females due to partial or complete absence of one x chromosome, leading to short. Streak ovaries are a form of ovarian dysgenesis and are most commonly associated with turner syndrome, but can also be seen in. Rotator cuff denervation syndromes may be due to by a variety of causes, most important are: Classic sonographic. Turner's Syndrome Radiology.
From www.artofit.org
Short metacarpals in turner syndrome Artofit Turner's Syndrome Radiology Classic sonographic findings of turner syndrome include diffuse fetal edema, cystic hygroma with septations, renal and cardiac anomalies such as horseshoe. Rotator cuff denervation syndromes may be due to by a variety of causes, most important are: Turner syndrome is hypogonadism in phenotypica females due to partial or complete absence of one x chromosome, leading to short. Streak ovaries are. Turner's Syndrome Radiology.
From www.wikidoc.org
Turner syndrome x ray wikidoc Turner's Syndrome Radiology Turner syndrome is hypogonadism in phenotypica females due to partial or complete absence of one x chromosome, leading to short. Streak ovaries are a form of ovarian dysgenesis and are most commonly associated with turner syndrome, but can also be seen in. Classic sonographic findings of turner syndrome include diffuse fetal edema, cystic hygroma with septations, renal and cardiac anomalies. Turner's Syndrome Radiology.
From captionshunterus.blogspot.com
Parsonage Turner Syndrome Mri Captions Hunter Turner's Syndrome Radiology Rotator cuff denervation syndromes may be due to by a variety of causes, most important are: Classic sonographic findings of turner syndrome include diffuse fetal edema, cystic hygroma with septations, renal and cardiac anomalies such as horseshoe. Turner syndrome is hypogonadism in phenotypica females due to partial or complete absence of one x chromosome, leading to short. Streak ovaries are. Turner's Syndrome Radiology.
From www.researchgate.net
(PDF) ParsonageTurner Syndrome Turner's Syndrome Radiology Turner syndrome is hypogonadism in phenotypica females due to partial or complete absence of one x chromosome, leading to short. Classic sonographic findings of turner syndrome include diffuse fetal edema, cystic hygroma with septations, renal and cardiac anomalies such as horseshoe. Rotator cuff denervation syndromes may be due to by a variety of causes, most important are: Streak ovaries are. Turner's Syndrome Radiology.
From www.dreamstime.com
Monosomy X Turner Syndrome Karyotype Stock Vector Illustration of Turner's Syndrome Radiology Turner syndrome is hypogonadism in phenotypica females due to partial or complete absence of one x chromosome, leading to short. Rotator cuff denervation syndromes may be due to by a variety of causes, most important are: Streak ovaries are a form of ovarian dysgenesis and are most commonly associated with turner syndrome, but can also be seen in. Classic sonographic. Turner's Syndrome Radiology.
From medcraveonline.com
Ultrasonographic Diagnosis of Fetuses with Pentalogy of Cantrell and Turner's Syndrome Radiology Rotator cuff denervation syndromes may be due to by a variety of causes, most important are: Streak ovaries are a form of ovarian dysgenesis and are most commonly associated with turner syndrome, but can also be seen in. Classic sonographic findings of turner syndrome include diffuse fetal edema, cystic hygroma with septations, renal and cardiac anomalies such as horseshoe. Turner. Turner's Syndrome Radiology.
From captionshunterus.blogspot.com
Parsonage Turner Syndrome Mri Captions Hunter Turner's Syndrome Radiology Streak ovaries are a form of ovarian dysgenesis and are most commonly associated with turner syndrome, but can also be seen in. Rotator cuff denervation syndromes may be due to by a variety of causes, most important are: Classic sonographic findings of turner syndrome include diffuse fetal edema, cystic hygroma with septations, renal and cardiac anomalies such as horseshoe. Turner. Turner's Syndrome Radiology.
From captionshunterus.blogspot.com
Parsonage Turner Syndrome Mri Captions Hunter Turner's Syndrome Radiology Classic sonographic findings of turner syndrome include diffuse fetal edema, cystic hygroma with septations, renal and cardiac anomalies such as horseshoe. Streak ovaries are a form of ovarian dysgenesis and are most commonly associated with turner syndrome, but can also be seen in. Turner syndrome is hypogonadism in phenotypica females due to partial or complete absence of one x chromosome,. Turner's Syndrome Radiology.
From radedasia.com
MRI SHOULDER PARALABRAL CYSTS, DENERVATION AND PARSONAGE TURNER Turner's Syndrome Radiology Turner syndrome is hypogonadism in phenotypica females due to partial or complete absence of one x chromosome, leading to short. Streak ovaries are a form of ovarian dysgenesis and are most commonly associated with turner syndrome, but can also be seen in. Classic sonographic findings of turner syndrome include diffuse fetal edema, cystic hygroma with septations, renal and cardiac anomalies. Turner's Syndrome Radiology.
From www.pinterest.com
MayThurner syndrome Radiology Reference Article Turner's Syndrome Radiology Turner syndrome is hypogonadism in phenotypica females due to partial or complete absence of one x chromosome, leading to short. Rotator cuff denervation syndromes may be due to by a variety of causes, most important are: Streak ovaries are a form of ovarian dysgenesis and are most commonly associated with turner syndrome, but can also be seen in. Classic sonographic. Turner's Syndrome Radiology.
From www.pocus.org
MayThurner Syndrome (MTS) PointofCare Ultrasound Certification Academy Turner's Syndrome Radiology Classic sonographic findings of turner syndrome include diffuse fetal edema, cystic hygroma with septations, renal and cardiac anomalies such as horseshoe. Streak ovaries are a form of ovarian dysgenesis and are most commonly associated with turner syndrome, but can also be seen in. Turner syndrome is hypogonadism in phenotypica females due to partial or complete absence of one x chromosome,. Turner's Syndrome Radiology.
From radedasia.com
MRI SHOULDER PARALABRAL CYSTS, DENERVATION AND PARSONAGE TURNER Turner's Syndrome Radiology Streak ovaries are a form of ovarian dysgenesis and are most commonly associated with turner syndrome, but can also be seen in. Rotator cuff denervation syndromes may be due to by a variety of causes, most important are: Turner syndrome is hypogonadism in phenotypica females due to partial or complete absence of one x chromosome, leading to short. Classic sonographic. Turner's Syndrome Radiology.
From hospitalvozandes.com
World Turner Syndrome Day Hospital Vozandes Turner's Syndrome Radiology Classic sonographic findings of turner syndrome include diffuse fetal edema, cystic hygroma with septations, renal and cardiac anomalies such as horseshoe. Turner syndrome is hypogonadism in phenotypica females due to partial or complete absence of one x chromosome, leading to short. Streak ovaries are a form of ovarian dysgenesis and are most commonly associated with turner syndrome, but can also. Turner's Syndrome Radiology.
From www.researchgate.net
Clinical and radiological data from 91 Turner syndrome patients Turner's Syndrome Radiology Turner syndrome is hypogonadism in phenotypica females due to partial or complete absence of one x chromosome, leading to short. Classic sonographic findings of turner syndrome include diffuse fetal edema, cystic hygroma with septations, renal and cardiac anomalies such as horseshoe. Streak ovaries are a form of ovarian dysgenesis and are most commonly associated with turner syndrome, but can also. Turner's Syndrome Radiology.
From cartoondealer.com
Turner Syndrome Concept Icon Cartoon Vector 275297083 Turner's Syndrome Radiology Streak ovaries are a form of ovarian dysgenesis and are most commonly associated with turner syndrome, but can also be seen in. Classic sonographic findings of turner syndrome include diffuse fetal edema, cystic hygroma with septations, renal and cardiac anomalies such as horseshoe. Turner syndrome is hypogonadism in phenotypica females due to partial or complete absence of one x chromosome,. Turner's Syndrome Radiology.
From www.researchgate.net
[PDF] Radiological features of SHOX haploinsufficiency in a Nonturner Turner's Syndrome Radiology Turner syndrome is hypogonadism in phenotypica females due to partial or complete absence of one x chromosome, leading to short. Rotator cuff denervation syndromes may be due to by a variety of causes, most important are: Classic sonographic findings of turner syndrome include diffuse fetal edema, cystic hygroma with septations, renal and cardiac anomalies such as horseshoe. Streak ovaries are. Turner's Syndrome Radiology.
From www.osmosis.org
Turner syndrome Year of the Zebra Video & Anatomy Osmosis Turner's Syndrome Radiology Rotator cuff denervation syndromes may be due to by a variety of causes, most important are: Classic sonographic findings of turner syndrome include diffuse fetal edema, cystic hygroma with septations, renal and cardiac anomalies such as horseshoe. Streak ovaries are a form of ovarian dysgenesis and are most commonly associated with turner syndrome, but can also be seen in. Turner. Turner's Syndrome Radiology.
From captionshunterus.blogspot.com
Parsonage Turner Syndrome Mri Captions Hunter Turner's Syndrome Radiology Turner syndrome is hypogonadism in phenotypica females due to partial or complete absence of one x chromosome, leading to short. Classic sonographic findings of turner syndrome include diffuse fetal edema, cystic hygroma with septations, renal and cardiac anomalies such as horseshoe. Streak ovaries are a form of ovarian dysgenesis and are most commonly associated with turner syndrome, but can also. Turner's Syndrome Radiology.
From myturnersyndromejourney.blogspot.com
My Turner Syndrome Journey June 2021 Turner's Syndrome Radiology Rotator cuff denervation syndromes may be due to by a variety of causes, most important are: Classic sonographic findings of turner syndrome include diffuse fetal edema, cystic hygroma with septations, renal and cardiac anomalies such as horseshoe. Streak ovaries are a form of ovarian dysgenesis and are most commonly associated with turner syndrome, but can also be seen in. Turner. Turner's Syndrome Radiology.
From www.singhealth.com.sg
Turner Syndrome Turner's Syndrome Radiology Turner syndrome is hypogonadism in phenotypica females due to partial or complete absence of one x chromosome, leading to short. Streak ovaries are a form of ovarian dysgenesis and are most commonly associated with turner syndrome, but can also be seen in. Rotator cuff denervation syndromes may be due to by a variety of causes, most important are: Classic sonographic. Turner's Syndrome Radiology.
From pubs.rsna.org
Types of Cerebral Herniation and Their Imaging Features RadioGraphics Turner's Syndrome Radiology Turner syndrome is hypogonadism in phenotypica females due to partial or complete absence of one x chromosome, leading to short. Classic sonographic findings of turner syndrome include diffuse fetal edema, cystic hygroma with septations, renal and cardiac anomalies such as horseshoe. Streak ovaries are a form of ovarian dysgenesis and are most commonly associated with turner syndrome, but can also. Turner's Syndrome Radiology.
From radedasia.com
MRI Shoulder Paralabral Cysts, Denervation and Parsonage Turner Turner's Syndrome Radiology Rotator cuff denervation syndromes may be due to by a variety of causes, most important are: Streak ovaries are a form of ovarian dysgenesis and are most commonly associated with turner syndrome, but can also be seen in. Classic sonographic findings of turner syndrome include diffuse fetal edema, cystic hygroma with septations, renal and cardiac anomalies such as horseshoe. Turner. Turner's Syndrome Radiology.
From animalia-life.club
Turner Syndrome Chest Turner's Syndrome Radiology Streak ovaries are a form of ovarian dysgenesis and are most commonly associated with turner syndrome, but can also be seen in. Classic sonographic findings of turner syndrome include diffuse fetal edema, cystic hygroma with septations, renal and cardiac anomalies such as horseshoe. Turner syndrome is hypogonadism in phenotypica females due to partial or complete absence of one x chromosome,. Turner's Syndrome Radiology.