Panlobular Emphysema Chest X Ray . It may be classified radiologically as centrilobular, panlobular, and paraseptal, and this distinction may suggest the cause of the emphysema. In moderate to severe emphysema, chest radiographic findings include bilaterally hyperlucent lungs of large volume, flattened hemidiaphragms with widened. Arterial blood gas to measure. (i) panlobular, (ii) centrilobular, and (iii) septal emphysema and can additionally. Pulse oximetry to measure the level of oxygen in your blood. Three types of emphysema can be distinguished:
from www.ctisus.com
Three types of emphysema can be distinguished: Pulse oximetry to measure the level of oxygen in your blood. Arterial blood gas to measure. It may be classified radiologically as centrilobular, panlobular, and paraseptal, and this distinction may suggest the cause of the emphysema. In moderate to severe emphysema, chest radiographic findings include bilaterally hyperlucent lungs of large volume, flattened hemidiaphragms with widened. (i) panlobular, (ii) centrilobular, and (iii) septal emphysema and can additionally.
Emphysema on Chest Xray X Rays Case Studies CTisus CT Scanning
Panlobular Emphysema Chest X Ray (i) panlobular, (ii) centrilobular, and (iii) septal emphysema and can additionally. It may be classified radiologically as centrilobular, panlobular, and paraseptal, and this distinction may suggest the cause of the emphysema. Three types of emphysema can be distinguished: Pulse oximetry to measure the level of oxygen in your blood. In moderate to severe emphysema, chest radiographic findings include bilaterally hyperlucent lungs of large volume, flattened hemidiaphragms with widened. (i) panlobular, (ii) centrilobular, and (iii) septal emphysema and can additionally. Arterial blood gas to measure.
From ar.inspiredpencil.com
Emphysema Chest X Ray Panlobular Emphysema Chest X Ray It may be classified radiologically as centrilobular, panlobular, and paraseptal, and this distinction may suggest the cause of the emphysema. (i) panlobular, (ii) centrilobular, and (iii) septal emphysema and can additionally. In moderate to severe emphysema, chest radiographic findings include bilaterally hyperlucent lungs of large volume, flattened hemidiaphragms with widened. Arterial blood gas to measure. Three types of emphysema can. Panlobular Emphysema Chest X Ray.
From www.shutterstock.com
Subcutaneous Emphysema Chest X Ray RadiologyẢnh có sẵn2181132703 Shutterstock Panlobular Emphysema Chest X Ray It may be classified radiologically as centrilobular, panlobular, and paraseptal, and this distinction may suggest the cause of the emphysema. Three types of emphysema can be distinguished: In moderate to severe emphysema, chest radiographic findings include bilaterally hyperlucent lungs of large volume, flattened hemidiaphragms with widened. (i) panlobular, (ii) centrilobular, and (iii) septal emphysema and can additionally. Arterial blood gas. Panlobular Emphysema Chest X Ray.
From www.wikidoc.org
Emphysema wikidoc Panlobular Emphysema Chest X Ray Three types of emphysema can be distinguished: In moderate to severe emphysema, chest radiographic findings include bilaterally hyperlucent lungs of large volume, flattened hemidiaphragms with widened. Pulse oximetry to measure the level of oxygen in your blood. (i) panlobular, (ii) centrilobular, and (iii) septal emphysema and can additionally. It may be classified radiologically as centrilobular, panlobular, and paraseptal, and this. Panlobular Emphysema Chest X Ray.
From journal.copdfoundation.org
Centrilobular and Panlobular Emphysema Differences Journal of COPD Foundation Panlobular Emphysema Chest X Ray Three types of emphysema can be distinguished: Arterial blood gas to measure. It may be classified radiologically as centrilobular, panlobular, and paraseptal, and this distinction may suggest the cause of the emphysema. In moderate to severe emphysema, chest radiographic findings include bilaterally hyperlucent lungs of large volume, flattened hemidiaphragms with widened. (i) panlobular, (ii) centrilobular, and (iii) septal emphysema and. Panlobular Emphysema Chest X Ray.
From atlas.mudr.org
Radiology case Panlobular emphysema, vanishing lung syndrome, bullous emphysema Panlobular Emphysema Chest X Ray In moderate to severe emphysema, chest radiographic findings include bilaterally hyperlucent lungs of large volume, flattened hemidiaphragms with widened. Arterial blood gas to measure. Three types of emphysema can be distinguished: It may be classified radiologically as centrilobular, panlobular, and paraseptal, and this distinction may suggest the cause of the emphysema. Pulse oximetry to measure the level of oxygen in. Panlobular Emphysema Chest X Ray.
From mungfali.com
Emphysema Chest X Ray Panlobular Emphysema Chest X Ray (i) panlobular, (ii) centrilobular, and (iii) septal emphysema and can additionally. Pulse oximetry to measure the level of oxygen in your blood. It may be classified radiologically as centrilobular, panlobular, and paraseptal, and this distinction may suggest the cause of the emphysema. Three types of emphysema can be distinguished: Arterial blood gas to measure. In moderate to severe emphysema, chest. Panlobular Emphysema Chest X Ray.
From www.healthline.com
Congenital Emphysema Understanding this Respiratory Condition Panlobular Emphysema Chest X Ray Arterial blood gas to measure. Pulse oximetry to measure the level of oxygen in your blood. (i) panlobular, (ii) centrilobular, and (iii) septal emphysema and can additionally. Three types of emphysema can be distinguished: It may be classified radiologically as centrilobular, panlobular, and paraseptal, and this distinction may suggest the cause of the emphysema. In moderate to severe emphysema, chest. Panlobular Emphysema Chest X Ray.
From ar.inspiredpencil.com
Subcutaneous Emphysema X Ray Panlobular Emphysema Chest X Ray In moderate to severe emphysema, chest radiographic findings include bilaterally hyperlucent lungs of large volume, flattened hemidiaphragms with widened. It may be classified radiologically as centrilobular, panlobular, and paraseptal, and this distinction may suggest the cause of the emphysema. Pulse oximetry to measure the level of oxygen in your blood. (i) panlobular, (ii) centrilobular, and (iii) septal emphysema and can. Panlobular Emphysema Chest X Ray.
From atlas.mudr.org
Radiology case Pneumonia, panlobular emphysema, fluidfilled bullae Panlobular Emphysema Chest X Ray In moderate to severe emphysema, chest radiographic findings include bilaterally hyperlucent lungs of large volume, flattened hemidiaphragms with widened. (i) panlobular, (ii) centrilobular, and (iii) septal emphysema and can additionally. Arterial blood gas to measure. Pulse oximetry to measure the level of oxygen in your blood. Three types of emphysema can be distinguished: It may be classified radiologically as centrilobular,. Panlobular Emphysema Chest X Ray.
From www.alamy.com
Chest x ray emphysema Stock Photo Alamy Panlobular Emphysema Chest X Ray It may be classified radiologically as centrilobular, panlobular, and paraseptal, and this distinction may suggest the cause of the emphysema. Three types of emphysema can be distinguished: Arterial blood gas to measure. In moderate to severe emphysema, chest radiographic findings include bilaterally hyperlucent lungs of large volume, flattened hemidiaphragms with widened. (i) panlobular, (ii) centrilobular, and (iii) septal emphysema and. Panlobular Emphysema Chest X Ray.
From www.sciencephoto.com
Emphysema lung disease, frontal chest Xray Stock Image C048/6078 Science Photo Library Panlobular Emphysema Chest X Ray Three types of emphysema can be distinguished: (i) panlobular, (ii) centrilobular, and (iii) septal emphysema and can additionally. Arterial blood gas to measure. In moderate to severe emphysema, chest radiographic findings include bilaterally hyperlucent lungs of large volume, flattened hemidiaphragms with widened. It may be classified radiologically as centrilobular, panlobular, and paraseptal, and this distinction may suggest the cause of. Panlobular Emphysema Chest X Ray.
From www.deszkikorhaz.hu
Emphysema Panlobular Emphysema Chest X Ray Three types of emphysema can be distinguished: Pulse oximetry to measure the level of oxygen in your blood. In moderate to severe emphysema, chest radiographic findings include bilaterally hyperlucent lungs of large volume, flattened hemidiaphragms with widened. Arterial blood gas to measure. (i) panlobular, (ii) centrilobular, and (iii) septal emphysema and can additionally. It may be classified radiologically as centrilobular,. Panlobular Emphysema Chest X Ray.
From proper-cooking.info
Emphysema Chest X Ray Panlobular Emphysema Chest X Ray Three types of emphysema can be distinguished: Pulse oximetry to measure the level of oxygen in your blood. Arterial blood gas to measure. (i) panlobular, (ii) centrilobular, and (iii) septal emphysema and can additionally. It may be classified radiologically as centrilobular, panlobular, and paraseptal, and this distinction may suggest the cause of the emphysema. In moderate to severe emphysema, chest. Panlobular Emphysema Chest X Ray.
From ar.inspiredpencil.com
Emphysema Chest X Ray Panlobular Emphysema Chest X Ray In moderate to severe emphysema, chest radiographic findings include bilaterally hyperlucent lungs of large volume, flattened hemidiaphragms with widened. Pulse oximetry to measure the level of oxygen in your blood. Three types of emphysema can be distinguished: Arterial blood gas to measure. It may be classified radiologically as centrilobular, panlobular, and paraseptal, and this distinction may suggest the cause of. Panlobular Emphysema Chest X Ray.
From ar.inspiredpencil.com
Emphysema Chest X Ray Panlobular Emphysema Chest X Ray In moderate to severe emphysema, chest radiographic findings include bilaterally hyperlucent lungs of large volume, flattened hemidiaphragms with widened. Arterial blood gas to measure. Pulse oximetry to measure the level of oxygen in your blood. Three types of emphysema can be distinguished: (i) panlobular, (ii) centrilobular, and (iii) septal emphysema and can additionally. It may be classified radiologically as centrilobular,. Panlobular Emphysema Chest X Ray.
From fity.club
Emphysema Radiology Panlobular Emphysema Chest X Ray (i) panlobular, (ii) centrilobular, and (iii) septal emphysema and can additionally. In moderate to severe emphysema, chest radiographic findings include bilaterally hyperlucent lungs of large volume, flattened hemidiaphragms with widened. Pulse oximetry to measure the level of oxygen in your blood. Arterial blood gas to measure. Three types of emphysema can be distinguished: It may be classified radiologically as centrilobular,. Panlobular Emphysema Chest X Ray.
From meddiction.com
Emphysema (Chronic Obsructive Disease) Meddiction Panlobular Emphysema Chest X Ray Three types of emphysema can be distinguished: Arterial blood gas to measure. Pulse oximetry to measure the level of oxygen in your blood. (i) panlobular, (ii) centrilobular, and (iii) septal emphysema and can additionally. In moderate to severe emphysema, chest radiographic findings include bilaterally hyperlucent lungs of large volume, flattened hemidiaphragms with widened. It may be classified radiologically as centrilobular,. Panlobular Emphysema Chest X Ray.
From www.sciencephoto.com
Emphysema, Xray Stock Image C014/7006 Science Photo Library Panlobular Emphysema Chest X Ray In moderate to severe emphysema, chest radiographic findings include bilaterally hyperlucent lungs of large volume, flattened hemidiaphragms with widened. Arterial blood gas to measure. Pulse oximetry to measure the level of oxygen in your blood. (i) panlobular, (ii) centrilobular, and (iii) septal emphysema and can additionally. It may be classified radiologically as centrilobular, panlobular, and paraseptal, and this distinction may. Panlobular Emphysema Chest X Ray.
From ar.inspiredpencil.com
Emphysema Chest X Ray Panlobular Emphysema Chest X Ray (i) panlobular, (ii) centrilobular, and (iii) septal emphysema and can additionally. It may be classified radiologically as centrilobular, panlobular, and paraseptal, and this distinction may suggest the cause of the emphysema. Pulse oximetry to measure the level of oxygen in your blood. Arterial blood gas to measure. Three types of emphysema can be distinguished: In moderate to severe emphysema, chest. Panlobular Emphysema Chest X Ray.
From proper-cooking.info
Emphysema Chest X Ray Panlobular Emphysema Chest X Ray Pulse oximetry to measure the level of oxygen in your blood. In moderate to severe emphysema, chest radiographic findings include bilaterally hyperlucent lungs of large volume, flattened hemidiaphragms with widened. It may be classified radiologically as centrilobular, panlobular, and paraseptal, and this distinction may suggest the cause of the emphysema. (i) panlobular, (ii) centrilobular, and (iii) septal emphysema and can. Panlobular Emphysema Chest X Ray.
From www.researchgate.net
ad. There was bilaterally diffuse panlobular emphysema and increased... Download Scientific Panlobular Emphysema Chest X Ray Three types of emphysema can be distinguished: (i) panlobular, (ii) centrilobular, and (iii) septal emphysema and can additionally. Arterial blood gas to measure. Pulse oximetry to measure the level of oxygen in your blood. In moderate to severe emphysema, chest radiographic findings include bilaterally hyperlucent lungs of large volume, flattened hemidiaphragms with widened. It may be classified radiologically as centrilobular,. Panlobular Emphysema Chest X Ray.
From www.ctisus.com
Emphysema on Chest Xray X Rays Case Studies CTisus CT Scanning Panlobular Emphysema Chest X Ray In moderate to severe emphysema, chest radiographic findings include bilaterally hyperlucent lungs of large volume, flattened hemidiaphragms with widened. It may be classified radiologically as centrilobular, panlobular, and paraseptal, and this distinction may suggest the cause of the emphysema. (i) panlobular, (ii) centrilobular, and (iii) septal emphysema and can additionally. Arterial blood gas to measure. Three types of emphysema can. Panlobular Emphysema Chest X Ray.
From healthjade.com
Emphysema Causes, Signs, Symptoms, Stages, Expectancy & Treatment Panlobular Emphysema Chest X Ray In moderate to severe emphysema, chest radiographic findings include bilaterally hyperlucent lungs of large volume, flattened hemidiaphragms with widened. (i) panlobular, (ii) centrilobular, and (iii) septal emphysema and can additionally. It may be classified radiologically as centrilobular, panlobular, and paraseptal, and this distinction may suggest the cause of the emphysema. Pulse oximetry to measure the level of oxygen in your. Panlobular Emphysema Chest X Ray.
From radiopaedia.org
Pulmonary emphysema Radiology Reference Article Panlobular Emphysema Chest X Ray (i) panlobular, (ii) centrilobular, and (iii) septal emphysema and can additionally. It may be classified radiologically as centrilobular, panlobular, and paraseptal, and this distinction may suggest the cause of the emphysema. In moderate to severe emphysema, chest radiographic findings include bilaterally hyperlucent lungs of large volume, flattened hemidiaphragms with widened. Pulse oximetry to measure the level of oxygen in your. Panlobular Emphysema Chest X Ray.
From www.svuhradiology.ie
Emphysema Radiology at St. Vincent's University Hospital Panlobular Emphysema Chest X Ray In moderate to severe emphysema, chest radiographic findings include bilaterally hyperlucent lungs of large volume, flattened hemidiaphragms with widened. Pulse oximetry to measure the level of oxygen in your blood. It may be classified radiologically as centrilobular, panlobular, and paraseptal, and this distinction may suggest the cause of the emphysema. (i) panlobular, (ii) centrilobular, and (iii) septal emphysema and can. Panlobular Emphysema Chest X Ray.
From www.radtechonduty.com
Respiratory Disease Emphysema RadTechOnDuty Panlobular Emphysema Chest X Ray Arterial blood gas to measure. Pulse oximetry to measure the level of oxygen in your blood. Three types of emphysema can be distinguished: In moderate to severe emphysema, chest radiographic findings include bilaterally hyperlucent lungs of large volume, flattened hemidiaphragms with widened. It may be classified radiologically as centrilobular, panlobular, and paraseptal, and this distinction may suggest the cause of. Panlobular Emphysema Chest X Ray.
From ar.inspiredpencil.com
Emphysema Chest X Ray Panlobular Emphysema Chest X Ray Arterial blood gas to measure. It may be classified radiologically as centrilobular, panlobular, and paraseptal, and this distinction may suggest the cause of the emphysema. Pulse oximetry to measure the level of oxygen in your blood. In moderate to severe emphysema, chest radiographic findings include bilaterally hyperlucent lungs of large volume, flattened hemidiaphragms with widened. Three types of emphysema can. Panlobular Emphysema Chest X Ray.
From ar.inspiredpencil.com
Emphysema Chest X Ray Panlobular Emphysema Chest X Ray Pulse oximetry to measure the level of oxygen in your blood. Three types of emphysema can be distinguished: Arterial blood gas to measure. In moderate to severe emphysema, chest radiographic findings include bilaterally hyperlucent lungs of large volume, flattened hemidiaphragms with widened. It may be classified radiologically as centrilobular, panlobular, and paraseptal, and this distinction may suggest the cause of. Panlobular Emphysema Chest X Ray.
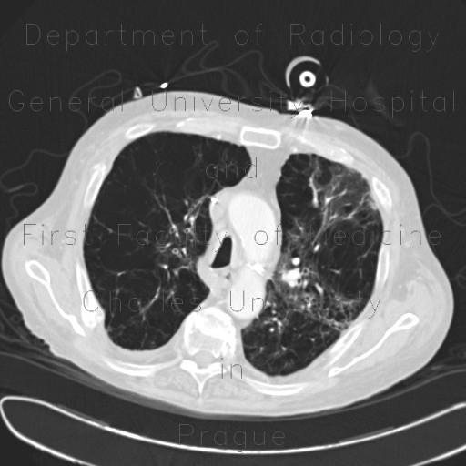
From atlas.mudr.org
Radiology case Panlobular emphysema Panlobular Emphysema Chest X Ray (i) panlobular, (ii) centrilobular, and (iii) septal emphysema and can additionally. Pulse oximetry to measure the level of oxygen in your blood. It may be classified radiologically as centrilobular, panlobular, and paraseptal, and this distinction may suggest the cause of the emphysema. Three types of emphysema can be distinguished: Arterial blood gas to measure. In moderate to severe emphysema, chest. Panlobular Emphysema Chest X Ray.
From www.doccheck.com
emphysem Röntgen des Thorax von a.p. DocCheck Panlobular Emphysema Chest X Ray (i) panlobular, (ii) centrilobular, and (iii) septal emphysema and can additionally. Arterial blood gas to measure. In moderate to severe emphysema, chest radiographic findings include bilaterally hyperlucent lungs of large volume, flattened hemidiaphragms with widened. Three types of emphysema can be distinguished: Pulse oximetry to measure the level of oxygen in your blood. It may be classified radiologically as centrilobular,. Panlobular Emphysema Chest X Ray.
From ar.inspiredpencil.com
Chest X Ray Emphysema Panlobular Emphysema Chest X Ray Pulse oximetry to measure the level of oxygen in your blood. Three types of emphysema can be distinguished: It may be classified radiologically as centrilobular, panlobular, and paraseptal, and this distinction may suggest the cause of the emphysema. Arterial blood gas to measure. In moderate to severe emphysema, chest radiographic findings include bilaterally hyperlucent lungs of large volume, flattened hemidiaphragms. Panlobular Emphysema Chest X Ray.
From www.pinterest.co.uk
Emphysema Radiology Case Radiology imaging, Radiology, Human body anatomy Panlobular Emphysema Chest X Ray Three types of emphysema can be distinguished: Pulse oximetry to measure the level of oxygen in your blood. In moderate to severe emphysema, chest radiographic findings include bilaterally hyperlucent lungs of large volume, flattened hemidiaphragms with widened. It may be classified radiologically as centrilobular, panlobular, and paraseptal, and this distinction may suggest the cause of the emphysema. (i) panlobular, (ii). Panlobular Emphysema Chest X Ray.
From www.researchgate.net
Chest tomography performed on July 2019 severe panlobular emphysema in... Download Scientific Panlobular Emphysema Chest X Ray It may be classified radiologically as centrilobular, panlobular, and paraseptal, and this distinction may suggest the cause of the emphysema. Arterial blood gas to measure. (i) panlobular, (ii) centrilobular, and (iii) septal emphysema and can additionally. Pulse oximetry to measure the level of oxygen in your blood. In moderate to severe emphysema, chest radiographic findings include bilaterally hyperlucent lungs of. Panlobular Emphysema Chest X Ray.
From atlas.mudr.org
Radiology case Panlobular emphysema Panlobular Emphysema Chest X Ray Three types of emphysema can be distinguished: Arterial blood gas to measure. In moderate to severe emphysema, chest radiographic findings include bilaterally hyperlucent lungs of large volume, flattened hemidiaphragms with widened. (i) panlobular, (ii) centrilobular, and (iii) septal emphysema and can additionally. It may be classified radiologically as centrilobular, panlobular, and paraseptal, and this distinction may suggest the cause of. Panlobular Emphysema Chest X Ray.
From ar.inspiredpencil.com
Emphysema Chest X Ray Panlobular Emphysema Chest X Ray In moderate to severe emphysema, chest radiographic findings include bilaterally hyperlucent lungs of large volume, flattened hemidiaphragms with widened. (i) panlobular, (ii) centrilobular, and (iii) septal emphysema and can additionally. It may be classified radiologically as centrilobular, panlobular, and paraseptal, and this distinction may suggest the cause of the emphysema. Three types of emphysema can be distinguished: Pulse oximetry to. Panlobular Emphysema Chest X Ray.