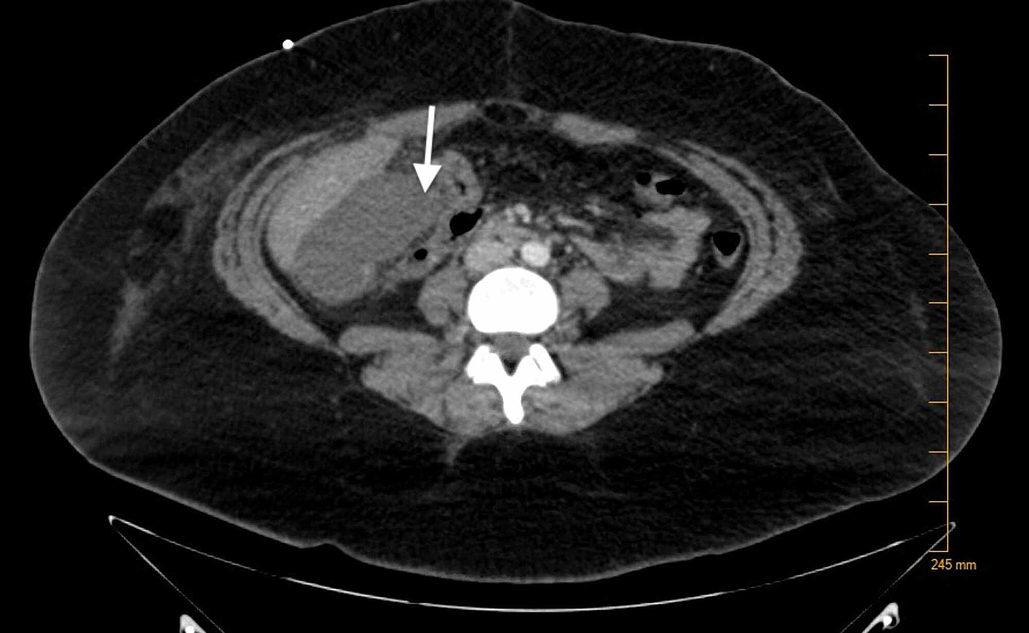
Fluid Collection Gallbladder Fossa . the role of imaging is to establish the diagnosis, delineate the extent of injury, and plan appropriate intervention. ct scan (a) shows surgicel (oxidized regenerated cellulose, johnson & johnson. collections of fluid in the gallbladder fossa can be detected by ultrasound in as many as 29% of patients following. ct image shows collection of hypoattenuating fluid and air (arrow) in gallbladder fossa. endoscopic gallbladder drainage is a feasible and efficacious alternative to percutaneous drainage in the management of acute cholecystitis for.
from radiology-information.blogspot.com
ct image shows collection of hypoattenuating fluid and air (arrow) in gallbladder fossa. collections of fluid in the gallbladder fossa can be detected by ultrasound in as many as 29% of patients following. endoscopic gallbladder drainage is a feasible and efficacious alternative to percutaneous drainage in the management of acute cholecystitis for. the role of imaging is to establish the diagnosis, delineate the extent of injury, and plan appropriate intervention. ct scan (a) shows surgicel (oxidized regenerated cellulose, johnson & johnson.
Ultrasound of images gallbladder fossa mimics a gallbladder Radiology
Fluid Collection Gallbladder Fossa the role of imaging is to establish the diagnosis, delineate the extent of injury, and plan appropriate intervention. collections of fluid in the gallbladder fossa can be detected by ultrasound in as many as 29% of patients following. ct image shows collection of hypoattenuating fluid and air (arrow) in gallbladder fossa. endoscopic gallbladder drainage is a feasible and efficacious alternative to percutaneous drainage in the management of acute cholecystitis for. ct scan (a) shows surgicel (oxidized regenerated cellulose, johnson & johnson. the role of imaging is to establish the diagnosis, delineate the extent of injury, and plan appropriate intervention.
From pubs.rsna.org
Multimodality Imaging of Cholecystectomy Complications RadioGraphics Fluid Collection Gallbladder Fossa the role of imaging is to establish the diagnosis, delineate the extent of injury, and plan appropriate intervention. endoscopic gallbladder drainage is a feasible and efficacious alternative to percutaneous drainage in the management of acute cholecystitis for. collections of fluid in the gallbladder fossa can be detected by ultrasound in as many as 29% of patients following.. Fluid Collection Gallbladder Fossa.
From www.youtube.com
Gallbladder Fossa Drainage YouTube Fluid Collection Gallbladder Fossa the role of imaging is to establish the diagnosis, delineate the extent of injury, and plan appropriate intervention. ct scan (a) shows surgicel (oxidized regenerated cellulose, johnson & johnson. endoscopic gallbladder drainage is a feasible and efficacious alternative to percutaneous drainage in the management of acute cholecystitis for. collections of fluid in the gallbladder fossa can. Fluid Collection Gallbladder Fossa.
From radiology-information.blogspot.com
Ultrasound of images gallbladder fossa mimics a gallbladder Radiology Fluid Collection Gallbladder Fossa ct image shows collection of hypoattenuating fluid and air (arrow) in gallbladder fossa. endoscopic gallbladder drainage is a feasible and efficacious alternative to percutaneous drainage in the management of acute cholecystitis for. collections of fluid in the gallbladder fossa can be detected by ultrasound in as many as 29% of patients following. the role of imaging. Fluid Collection Gallbladder Fossa.
From www.researchgate.net
Gas collection in the gallbladder fossa. Download Scientific Diagram Fluid Collection Gallbladder Fossa ct scan (a) shows surgicel (oxidized regenerated cellulose, johnson & johnson. the role of imaging is to establish the diagnosis, delineate the extent of injury, and plan appropriate intervention. collections of fluid in the gallbladder fossa can be detected by ultrasound in as many as 29% of patients following. endoscopic gallbladder drainage is a feasible and. Fluid Collection Gallbladder Fossa.
From www.primagem.org
Gallbladder Fossa Abscess Drainage Icd 10 Best Drain Photos Fluid Collection Gallbladder Fossa the role of imaging is to establish the diagnosis, delineate the extent of injury, and plan appropriate intervention. endoscopic gallbladder drainage is a feasible and efficacious alternative to percutaneous drainage in the management of acute cholecystitis for. collections of fluid in the gallbladder fossa can be detected by ultrasound in as many as 29% of patients following.. Fluid Collection Gallbladder Fossa.
From www.drclayalbrecht.com
Gallstones Formation Dr. Clay Albrecht Fluid Collection Gallbladder Fossa ct scan (a) shows surgicel (oxidized regenerated cellulose, johnson & johnson. collections of fluid in the gallbladder fossa can be detected by ultrasound in as many as 29% of patients following. ct image shows collection of hypoattenuating fluid and air (arrow) in gallbladder fossa. the role of imaging is to establish the diagnosis, delineate the extent. Fluid Collection Gallbladder Fossa.
From www.researchgate.net
A 78yearold man with dropped gallstones (case 3). Two... Download Fluid Collection Gallbladder Fossa collections of fluid in the gallbladder fossa can be detected by ultrasound in as many as 29% of patients following. endoscopic gallbladder drainage is a feasible and efficacious alternative to percutaneous drainage in the management of acute cholecystitis for. the role of imaging is to establish the diagnosis, delineate the extent of injury, and plan appropriate intervention.. Fluid Collection Gallbladder Fossa.
From www.researchgate.net
Status post cholecystectomy with a trace amount of free fluid in the Fluid Collection Gallbladder Fossa ct image shows collection of hypoattenuating fluid and air (arrow) in gallbladder fossa. collections of fluid in the gallbladder fossa can be detected by ultrasound in as many as 29% of patients following. the role of imaging is to establish the diagnosis, delineate the extent of injury, and plan appropriate intervention. ct scan (a) shows surgicel. Fluid Collection Gallbladder Fossa.
From gamma.wustl.edu
Exported BILE LEAK Fluid Collection Gallbladder Fossa endoscopic gallbladder drainage is a feasible and efficacious alternative to percutaneous drainage in the management of acute cholecystitis for. the role of imaging is to establish the diagnosis, delineate the extent of injury, and plan appropriate intervention. collections of fluid in the gallbladder fossa can be detected by ultrasound in as many as 29% of patients following.. Fluid Collection Gallbladder Fossa.
From www.researchgate.net
Sagittal CT showing fluid collection seen in the left iliac fossa Fluid Collection Gallbladder Fossa ct image shows collection of hypoattenuating fluid and air (arrow) in gallbladder fossa. endoscopic gallbladder drainage is a feasible and efficacious alternative to percutaneous drainage in the management of acute cholecystitis for. the role of imaging is to establish the diagnosis, delineate the extent of injury, and plan appropriate intervention. ct scan (a) shows surgicel (oxidized. Fluid Collection Gallbladder Fossa.
From www.researchgate.net
An axial CT image shows collection in the gall bladder fossa closely Fluid Collection Gallbladder Fossa ct scan (a) shows surgicel (oxidized regenerated cellulose, johnson & johnson. the role of imaging is to establish the diagnosis, delineate the extent of injury, and plan appropriate intervention. endoscopic gallbladder drainage is a feasible and efficacious alternative to percutaneous drainage in the management of acute cholecystitis for. collections of fluid in the gallbladder fossa can. Fluid Collection Gallbladder Fossa.
From gallbladder.thecommonvein.net
Gallbladder Fossa Gallbladder Fluid Collection Gallbladder Fossa ct scan (a) shows surgicel (oxidized regenerated cellulose, johnson & johnson. endoscopic gallbladder drainage is a feasible and efficacious alternative to percutaneous drainage in the management of acute cholecystitis for. the role of imaging is to establish the diagnosis, delineate the extent of injury, and plan appropriate intervention. collections of fluid in the gallbladder fossa can. Fluid Collection Gallbladder Fossa.
From journals.sagepub.com
Sonographic Findings of Gallbladder Perforation With Hepatic Abscesses Fluid Collection Gallbladder Fossa endoscopic gallbladder drainage is a feasible and efficacious alternative to percutaneous drainage in the management of acute cholecystitis for. the role of imaging is to establish the diagnosis, delineate the extent of injury, and plan appropriate intervention. ct image shows collection of hypoattenuating fluid and air (arrow) in gallbladder fossa. ct scan (a) shows surgicel (oxidized. Fluid Collection Gallbladder Fossa.
From www.cureus.com
Cureus Primary Psychiatric Disorder Masking the Diagnosis of Lupus Fluid Collection Gallbladder Fossa ct image shows collection of hypoattenuating fluid and air (arrow) in gallbladder fossa. collections of fluid in the gallbladder fossa can be detected by ultrasound in as many as 29% of patients following. endoscopic gallbladder drainage is a feasible and efficacious alternative to percutaneous drainage in the management of acute cholecystitis for. ct scan (a) shows. Fluid Collection Gallbladder Fossa.
From www.researchgate.net
(A) Subvesical duct running from gallbladder fossa toward an area of Fluid Collection Gallbladder Fossa ct scan (a) shows surgicel (oxidized regenerated cellulose, johnson & johnson. the role of imaging is to establish the diagnosis, delineate the extent of injury, and plan appropriate intervention. endoscopic gallbladder drainage is a feasible and efficacious alternative to percutaneous drainage in the management of acute cholecystitis for. collections of fluid in the gallbladder fossa can. Fluid Collection Gallbladder Fossa.
From gallbladder.thecommonvein.net
Gallbladder Fossa Gallbladder Fluid Collection Gallbladder Fossa collections of fluid in the gallbladder fossa can be detected by ultrasound in as many as 29% of patients following. endoscopic gallbladder drainage is a feasible and efficacious alternative to percutaneous drainage in the management of acute cholecystitis for. the role of imaging is to establish the diagnosis, delineate the extent of injury, and plan appropriate intervention.. Fluid Collection Gallbladder Fossa.
From www.cureus.com
Cureus Unusual Presentation of Gallbladder Fossa Abscess Following Fluid Collection Gallbladder Fossa the role of imaging is to establish the diagnosis, delineate the extent of injury, and plan appropriate intervention. collections of fluid in the gallbladder fossa can be detected by ultrasound in as many as 29% of patients following. endoscopic gallbladder drainage is a feasible and efficacious alternative to percutaneous drainage in the management of acute cholecystitis for.. Fluid Collection Gallbladder Fossa.
From www.trialexhibitsinc.com
Anatomy of the Gallbladder TrialExhibits Inc. Fluid Collection Gallbladder Fossa ct scan (a) shows surgicel (oxidized regenerated cellulose, johnson & johnson. the role of imaging is to establish the diagnosis, delineate the extent of injury, and plan appropriate intervention. endoscopic gallbladder drainage is a feasible and efficacious alternative to percutaneous drainage in the management of acute cholecystitis for. collections of fluid in the gallbladder fossa can. Fluid Collection Gallbladder Fossa.
From tech.snmjournals.org
Gallbladder Fossa Abscess Masquerading as Cholecystitis After Fluid Collection Gallbladder Fossa ct scan (a) shows surgicel (oxidized regenerated cellulose, johnson & johnson. ct image shows collection of hypoattenuating fluid and air (arrow) in gallbladder fossa. endoscopic gallbladder drainage is a feasible and efficacious alternative to percutaneous drainage in the management of acute cholecystitis for. collections of fluid in the gallbladder fossa can be detected by ultrasound in. Fluid Collection Gallbladder Fossa.
From www.researchgate.net
Abdominal CT showed (red arrow) fluid collection on the gallbladder bed Fluid Collection Gallbladder Fossa ct image shows collection of hypoattenuating fluid and air (arrow) in gallbladder fossa. the role of imaging is to establish the diagnosis, delineate the extent of injury, and plan appropriate intervention. endoscopic gallbladder drainage is a feasible and efficacious alternative to percutaneous drainage in the management of acute cholecystitis for. ct scan (a) shows surgicel (oxidized. Fluid Collection Gallbladder Fossa.
From www.wjgnet.com
Benign gallbladder diseases Imaging techniques and tips for Fluid Collection Gallbladder Fossa ct scan (a) shows surgicel (oxidized regenerated cellulose, johnson & johnson. the role of imaging is to establish the diagnosis, delineate the extent of injury, and plan appropriate intervention. endoscopic gallbladder drainage is a feasible and efficacious alternative to percutaneous drainage in the management of acute cholecystitis for. ct image shows collection of hypoattenuating fluid and. Fluid Collection Gallbladder Fossa.
From www.youtube.com
Post cholecystectomy, calculi in Gallbladder remnant, stump and cystic Fluid Collection Gallbladder Fossa ct scan (a) shows surgicel (oxidized regenerated cellulose, johnson & johnson. ct image shows collection of hypoattenuating fluid and air (arrow) in gallbladder fossa. collections of fluid in the gallbladder fossa can be detected by ultrasound in as many as 29% of patients following. the role of imaging is to establish the diagnosis, delineate the extent. Fluid Collection Gallbladder Fossa.
From www.cureus.com
Cureus Acute Acalculous Cholecystitis Due to COVID19, an Unusual Fluid Collection Gallbladder Fossa ct image shows collection of hypoattenuating fluid and air (arrow) in gallbladder fossa. endoscopic gallbladder drainage is a feasible and efficacious alternative to percutaneous drainage in the management of acute cholecystitis for. ct scan (a) shows surgicel (oxidized regenerated cellulose, johnson & johnson. collections of fluid in the gallbladder fossa can be detected by ultrasound in. Fluid Collection Gallbladder Fossa.
From www.wjgnet.com
Benign gallbladder diseases Imaging techniques and tips for Fluid Collection Gallbladder Fossa collections of fluid in the gallbladder fossa can be detected by ultrasound in as many as 29% of patients following. the role of imaging is to establish the diagnosis, delineate the extent of injury, and plan appropriate intervention. ct scan (a) shows surgicel (oxidized regenerated cellulose, johnson & johnson. endoscopic gallbladder drainage is a feasible and. Fluid Collection Gallbladder Fossa.
From journals.sagepub.com
Diagnosing Gallbladder Perforation With ContrastEnhanced Ultrasound A Fluid Collection Gallbladder Fossa collections of fluid in the gallbladder fossa can be detected by ultrasound in as many as 29% of patients following. ct scan (a) shows surgicel (oxidized regenerated cellulose, johnson & johnson. ct image shows collection of hypoattenuating fluid and air (arrow) in gallbladder fossa. the role of imaging is to establish the diagnosis, delineate the extent. Fluid Collection Gallbladder Fossa.
From gallbladder.thecommonvein.net
Gallbladder Fossa Gallbladder Fluid Collection Gallbladder Fossa the role of imaging is to establish the diagnosis, delineate the extent of injury, and plan appropriate intervention. ct image shows collection of hypoattenuating fluid and air (arrow) in gallbladder fossa. endoscopic gallbladder drainage is a feasible and efficacious alternative to percutaneous drainage in the management of acute cholecystitis for. collections of fluid in the gallbladder. Fluid Collection Gallbladder Fossa.
From mungfali.com
Gallbladder Fossa Anatomy Fluid Collection Gallbladder Fossa collections of fluid in the gallbladder fossa can be detected by ultrasound in as many as 29% of patients following. ct image shows collection of hypoattenuating fluid and air (arrow) in gallbladder fossa. ct scan (a) shows surgicel (oxidized regenerated cellulose, johnson & johnson. the role of imaging is to establish the diagnosis, delineate the extent. Fluid Collection Gallbladder Fossa.
From www.researchgate.net
Right upper quadrant abdominal ultrasound showing a 2.5 x 4.7 cm Fluid Collection Gallbladder Fossa collections of fluid in the gallbladder fossa can be detected by ultrasound in as many as 29% of patients following. the role of imaging is to establish the diagnosis, delineate the extent of injury, and plan appropriate intervention. ct image shows collection of hypoattenuating fluid and air (arrow) in gallbladder fossa. ct scan (a) shows surgicel. Fluid Collection Gallbladder Fossa.
From symbiosisonlinepublishing.com
Acute Torsion of the Gallbladder Fluid Collection Gallbladder Fossa the role of imaging is to establish the diagnosis, delineate the extent of injury, and plan appropriate intervention. ct scan (a) shows surgicel (oxidized regenerated cellulose, johnson & johnson. endoscopic gallbladder drainage is a feasible and efficacious alternative to percutaneous drainage in the management of acute cholecystitis for. ct image shows collection of hypoattenuating fluid and. Fluid Collection Gallbladder Fossa.
From mavink.com
Gallbladder Fossa Anatomy Fluid Collection Gallbladder Fossa ct image shows collection of hypoattenuating fluid and air (arrow) in gallbladder fossa. ct scan (a) shows surgicel (oxidized regenerated cellulose, johnson & johnson. the role of imaging is to establish the diagnosis, delineate the extent of injury, and plan appropriate intervention. endoscopic gallbladder drainage is a feasible and efficacious alternative to percutaneous drainage in the. Fluid Collection Gallbladder Fossa.
From www.researchgate.net
Gas collection in the gallbladder fossa. Download Scientific Diagram Fluid Collection Gallbladder Fossa endoscopic gallbladder drainage is a feasible and efficacious alternative to percutaneous drainage in the management of acute cholecystitis for. the role of imaging is to establish the diagnosis, delineate the extent of injury, and plan appropriate intervention. ct image shows collection of hypoattenuating fluid and air (arrow) in gallbladder fossa. ct scan (a) shows surgicel (oxidized. Fluid Collection Gallbladder Fossa.
From mungfali.com
Gallbladder Fossa Anatomy Fluid Collection Gallbladder Fossa endoscopic gallbladder drainage is a feasible and efficacious alternative to percutaneous drainage in the management of acute cholecystitis for. ct image shows collection of hypoattenuating fluid and air (arrow) in gallbladder fossa. collections of fluid in the gallbladder fossa can be detected by ultrasound in as many as 29% of patients following. the role of imaging. Fluid Collection Gallbladder Fossa.
From gallbladder.thecommonvein.net
Gallbladder Fossa Gallbladder Fluid Collection Gallbladder Fossa ct scan (a) shows surgicel (oxidized regenerated cellulose, johnson & johnson. the role of imaging is to establish the diagnosis, delineate the extent of injury, and plan appropriate intervention. endoscopic gallbladder drainage is a feasible and efficacious alternative to percutaneous drainage in the management of acute cholecystitis for. ct image shows collection of hypoattenuating fluid and. Fluid Collection Gallbladder Fossa.
From epos.myesr.org
EPOS™ Fluid Collection Gallbladder Fossa endoscopic gallbladder drainage is a feasible and efficacious alternative to percutaneous drainage in the management of acute cholecystitis for. ct scan (a) shows surgicel (oxidized regenerated cellulose, johnson & johnson. collections of fluid in the gallbladder fossa can be detected by ultrasound in as many as 29% of patients following. ct image shows collection of hypoattenuating. Fluid Collection Gallbladder Fossa.
From gallbladder.thecommonvein.net
Gallbladder Fossa Gallbladder Fluid Collection Gallbladder Fossa ct scan (a) shows surgicel (oxidized regenerated cellulose, johnson & johnson. ct image shows collection of hypoattenuating fluid and air (arrow) in gallbladder fossa. endoscopic gallbladder drainage is a feasible and efficacious alternative to percutaneous drainage in the management of acute cholecystitis for. the role of imaging is to establish the diagnosis, delineate the extent of. Fluid Collection Gallbladder Fossa.