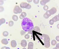
Cytoplasmic Toxic Granulation . The granules are slightly larger, more numerous and have an increased staining density compared to normal neutrophil granules. Activated neutrophils (eg, toxic granulation, dohle bodies, and cytoplasmic vacuoles) are more characteristic of a reactive. Toxic granulation is the presence of large purple or dark blue cytoplasmic granules (primary granules) in neutrophils, bands, and metamyelocytes. These are distinct red granules in the cytoplasm due to the primary granules taking up stain. This abnormal white blood cells morphology is more commonly associated with neutrophils and presents with coarse, basophilic. The term toxic changes refers to a constellation of alterations that occur in the cytoplasm of granulocytes, including excessive granulation.
from textbookhaematology4medical-scientist.blogspot.com
Activated neutrophils (eg, toxic granulation, dohle bodies, and cytoplasmic vacuoles) are more characteristic of a reactive. The granules are slightly larger, more numerous and have an increased staining density compared to normal neutrophil granules. The term toxic changes refers to a constellation of alterations that occur in the cytoplasm of granulocytes, including excessive granulation. Toxic granulation is the presence of large purple or dark blue cytoplasmic granules (primary granules) in neutrophils, bands, and metamyelocytes. These are distinct red granules in the cytoplasm due to the primary granules taking up stain. This abnormal white blood cells morphology is more commonly associated with neutrophils and presents with coarse, basophilic.
Haematology in a NutShell Toxic Granulated Neutrophils
Cytoplasmic Toxic Granulation This abnormal white blood cells morphology is more commonly associated with neutrophils and presents with coarse, basophilic. Activated neutrophils (eg, toxic granulation, dohle bodies, and cytoplasmic vacuoles) are more characteristic of a reactive. This abnormal white blood cells morphology is more commonly associated with neutrophils and presents with coarse, basophilic. These are distinct red granules in the cytoplasm due to the primary granules taking up stain. The granules are slightly larger, more numerous and have an increased staining density compared to normal neutrophil granules. The term toxic changes refers to a constellation of alterations that occur in the cytoplasm of granulocytes, including excessive granulation. Toxic granulation is the presence of large purple or dark blue cytoplasmic granules (primary granules) in neutrophils, bands, and metamyelocytes.
From ar.inspiredpencil.com
Cytoplasmic Granulation Toxic Cytoplasmic Toxic Granulation These are distinct red granules in the cytoplasm due to the primary granules taking up stain. Toxic granulation is the presence of large purple or dark blue cytoplasmic granules (primary granules) in neutrophils, bands, and metamyelocytes. Activated neutrophils (eg, toxic granulation, dohle bodies, and cytoplasmic vacuoles) are more characteristic of a reactive. The granules are slightly larger, more numerous and. Cytoplasmic Toxic Granulation.
From www.researchgate.net
Neutrophils showing toxic granulation, Döhle bodies and cytoplasmic Cytoplasmic Toxic Granulation This abnormal white blood cells morphology is more commonly associated with neutrophils and presents with coarse, basophilic. These are distinct red granules in the cytoplasm due to the primary granules taking up stain. Toxic granulation is the presence of large purple or dark blue cytoplasmic granules (primary granules) in neutrophils, bands, and metamyelocytes. Activated neutrophils (eg, toxic granulation, dohle bodies,. Cytoplasmic Toxic Granulation.
From www.researchgate.net
Neutrophils showing toxic granulation, Döhle bodies and cytoplasmic Cytoplasmic Toxic Granulation These are distinct red granules in the cytoplasm due to the primary granules taking up stain. Activated neutrophils (eg, toxic granulation, dohle bodies, and cytoplasmic vacuoles) are more characteristic of a reactive. The granules are slightly larger, more numerous and have an increased staining density compared to normal neutrophil granules. Toxic granulation is the presence of large purple or dark. Cytoplasmic Toxic Granulation.
From www.researchgate.net
Neutrophils showing toxic granulation, Döhle bodies and cytoplasmic Cytoplasmic Toxic Granulation Activated neutrophils (eg, toxic granulation, dohle bodies, and cytoplasmic vacuoles) are more characteristic of a reactive. This abnormal white blood cells morphology is more commonly associated with neutrophils and presents with coarse, basophilic. Toxic granulation is the presence of large purple or dark blue cytoplasmic granules (primary granules) in neutrophils, bands, and metamyelocytes. The term toxic changes refers to a. Cytoplasmic Toxic Granulation.
From www.researchgate.net
Neutrophils showing toxic granulation, Döhle bodies and cytoplasmic Cytoplasmic Toxic Granulation These are distinct red granules in the cytoplasm due to the primary granules taking up stain. The granules are slightly larger, more numerous and have an increased staining density compared to normal neutrophil granules. This abnormal white blood cells morphology is more commonly associated with neutrophils and presents with coarse, basophilic. The term toxic changes refers to a constellation of. Cytoplasmic Toxic Granulation.
From www.sciencephoto.com
Toxic granulation, LM Stock Image C043/5174 Science Photo Library Cytoplasmic Toxic Granulation The term toxic changes refers to a constellation of alterations that occur in the cytoplasm of granulocytes, including excessive granulation. Activated neutrophils (eg, toxic granulation, dohle bodies, and cytoplasmic vacuoles) are more characteristic of a reactive. This abnormal white blood cells morphology is more commonly associated with neutrophils and presents with coarse, basophilic. The granules are slightly larger, more numerous. Cytoplasmic Toxic Granulation.
From ar.inspiredpencil.com
Cytoplasmic Granulation Toxic Cytoplasmic Toxic Granulation The granules are slightly larger, more numerous and have an increased staining density compared to normal neutrophil granules. This abnormal white blood cells morphology is more commonly associated with neutrophils and presents with coarse, basophilic. Activated neutrophils (eg, toxic granulation, dohle bodies, and cytoplasmic vacuoles) are more characteristic of a reactive. These are distinct red granules in the cytoplasm due. Cytoplasmic Toxic Granulation.
From medschool.co
Toxic Granulation of Neutrophils Test Findings MedSchool Cytoplasmic Toxic Granulation The granules are slightly larger, more numerous and have an increased staining density compared to normal neutrophil granules. These are distinct red granules in the cytoplasm due to the primary granules taking up stain. This abnormal white blood cells morphology is more commonly associated with neutrophils and presents with coarse, basophilic. Toxic granulation is the presence of large purple or. Cytoplasmic Toxic Granulation.
From ar.inspiredpencil.com
Cytoplasmic Granulation Toxic Cytoplasmic Toxic Granulation Activated neutrophils (eg, toxic granulation, dohle bodies, and cytoplasmic vacuoles) are more characteristic of a reactive. Toxic granulation is the presence of large purple or dark blue cytoplasmic granules (primary granules) in neutrophils, bands, and metamyelocytes. This abnormal white blood cells morphology is more commonly associated with neutrophils and presents with coarse, basophilic. The term toxic changes refers to a. Cytoplasmic Toxic Granulation.
From www.researchgate.net
Toxic granulation of neutrophils in the peripheral blood. Download Cytoplasmic Toxic Granulation Toxic granulation is the presence of large purple or dark blue cytoplasmic granules (primary granules) in neutrophils, bands, and metamyelocytes. These are distinct red granules in the cytoplasm due to the primary granules taking up stain. The term toxic changes refers to a constellation of alterations that occur in the cytoplasm of granulocytes, including excessive granulation. The granules are slightly. Cytoplasmic Toxic Granulation.
From imagebank.hematology.org
Peripheral smear showing neutrophil and monocyte with prominent Cytoplasmic Toxic Granulation The term toxic changes refers to a constellation of alterations that occur in the cytoplasm of granulocytes, including excessive granulation. These are distinct red granules in the cytoplasm due to the primary granules taking up stain. This abnormal white blood cells morphology is more commonly associated with neutrophils and presents with coarse, basophilic. Toxic granulation is the presence of large. Cytoplasmic Toxic Granulation.
From www.pinterest.com
Toxic granulation seen in segmented neutrophil. Also noted on Cytoplasmic Toxic Granulation The term toxic changes refers to a constellation of alterations that occur in the cytoplasm of granulocytes, including excessive granulation. This abnormal white blood cells morphology is more commonly associated with neutrophils and presents with coarse, basophilic. Toxic granulation is the presence of large purple or dark blue cytoplasmic granules (primary granules) in neutrophils, bands, and metamyelocytes. The granules are. Cytoplasmic Toxic Granulation.
From ar.inspiredpencil.com
Cytoplasmic Granulation Toxic Cytoplasmic Toxic Granulation Toxic granulation is the presence of large purple or dark blue cytoplasmic granules (primary granules) in neutrophils, bands, and metamyelocytes. These are distinct red granules in the cytoplasm due to the primary granules taking up stain. The term toxic changes refers to a constellation of alterations that occur in the cytoplasm of granulocytes, including excessive granulation. Activated neutrophils (eg, toxic. Cytoplasmic Toxic Granulation.
From healthjade.com
Granulocytes, granulocyte colony stimulating factor & granulocyte Cytoplasmic Toxic Granulation These are distinct red granules in the cytoplasm due to the primary granules taking up stain. Activated neutrophils (eg, toxic granulation, dohle bodies, and cytoplasmic vacuoles) are more characteristic of a reactive. Toxic granulation is the presence of large purple or dark blue cytoplasmic granules (primary granules) in neutrophils, bands, and metamyelocytes. The term toxic changes refers to a constellation. Cytoplasmic Toxic Granulation.
From ar.inspiredpencil.com
Cytoplasmic Granulation Toxic Cytoplasmic Toxic Granulation Activated neutrophils (eg, toxic granulation, dohle bodies, and cytoplasmic vacuoles) are more characteristic of a reactive. The term toxic changes refers to a constellation of alterations that occur in the cytoplasm of granulocytes, including excessive granulation. This abnormal white blood cells morphology is more commonly associated with neutrophils and presents with coarse, basophilic. Toxic granulation is the presence of large. Cytoplasmic Toxic Granulation.
From imagebank.hematology.org
Left shifted myelopoiesis with toxic granulation 2. Cytoplasmic Toxic Granulation This abnormal white blood cells morphology is more commonly associated with neutrophils and presents with coarse, basophilic. These are distinct red granules in the cytoplasm due to the primary granules taking up stain. The term toxic changes refers to a constellation of alterations that occur in the cytoplasm of granulocytes, including excessive granulation. The granules are slightly larger, more numerous. Cytoplasmic Toxic Granulation.
From ar.inspiredpencil.com
Cytoplasmic Granulation Toxic Cytoplasmic Toxic Granulation Toxic granulation is the presence of large purple or dark blue cytoplasmic granules (primary granules) in neutrophils, bands, and metamyelocytes. Activated neutrophils (eg, toxic granulation, dohle bodies, and cytoplasmic vacuoles) are more characteristic of a reactive. This abnormal white blood cells morphology is more commonly associated with neutrophils and presents with coarse, basophilic. These are distinct red granules in the. Cytoplasmic Toxic Granulation.
From ar.inspiredpencil.com
Cytoplasmic Granulation Toxic Cytoplasmic Toxic Granulation The term toxic changes refers to a constellation of alterations that occur in the cytoplasm of granulocytes, including excessive granulation. This abnormal white blood cells morphology is more commonly associated with neutrophils and presents with coarse, basophilic. Toxic granulation is the presence of large purple or dark blue cytoplasmic granules (primary granules) in neutrophils, bands, and metamyelocytes. The granules are. Cytoplasmic Toxic Granulation.
From ar.inspiredpencil.com
Cytoplasmic Granulation Toxic Cytoplasmic Toxic Granulation The term toxic changes refers to a constellation of alterations that occur in the cytoplasm of granulocytes, including excessive granulation. This abnormal white blood cells morphology is more commonly associated with neutrophils and presents with coarse, basophilic. The granules are slightly larger, more numerous and have an increased staining density compared to normal neutrophil granules. Activated neutrophils (eg, toxic granulation,. Cytoplasmic Toxic Granulation.
From ar.inspiredpencil.com
Cytoplasmic Granulation Toxic Cytoplasmic Toxic Granulation Activated neutrophils (eg, toxic granulation, dohle bodies, and cytoplasmic vacuoles) are more characteristic of a reactive. These are distinct red granules in the cytoplasm due to the primary granules taking up stain. This abnormal white blood cells morphology is more commonly associated with neutrophils and presents with coarse, basophilic. The granules are slightly larger, more numerous and have an increased. Cytoplasmic Toxic Granulation.
From ar.inspiredpencil.com
Cytoplasmic Granulation Toxic Cytoplasmic Toxic Granulation Activated neutrophils (eg, toxic granulation, dohle bodies, and cytoplasmic vacuoles) are more characteristic of a reactive. The term toxic changes refers to a constellation of alterations that occur in the cytoplasm of granulocytes, including excessive granulation. These are distinct red granules in the cytoplasm due to the primary granules taking up stain. This abnormal white blood cells morphology is more. Cytoplasmic Toxic Granulation.
From www.pathologystudent.com
toxic granulation Pathology Student Cytoplasmic Toxic Granulation The granules are slightly larger, more numerous and have an increased staining density compared to normal neutrophil granules. This abnormal white blood cells morphology is more commonly associated with neutrophils and presents with coarse, basophilic. The term toxic changes refers to a constellation of alterations that occur in the cytoplasm of granulocytes, including excessive granulation. Toxic granulation is the presence. Cytoplasmic Toxic Granulation.
From www.researchgate.net
Neutrophils showing toxic granulation, Döhle bodies and cytoplasmic Cytoplasmic Toxic Granulation Toxic granulation is the presence of large purple or dark blue cytoplasmic granules (primary granules) in neutrophils, bands, and metamyelocytes. Activated neutrophils (eg, toxic granulation, dohle bodies, and cytoplasmic vacuoles) are more characteristic of a reactive. The granules are slightly larger, more numerous and have an increased staining density compared to normal neutrophil granules. These are distinct red granules in. Cytoplasmic Toxic Granulation.
From www.pathologystudent.com
toxic granulation and Dohle body Pathology Student Cytoplasmic Toxic Granulation Activated neutrophils (eg, toxic granulation, dohle bodies, and cytoplasmic vacuoles) are more characteristic of a reactive. These are distinct red granules in the cytoplasm due to the primary granules taking up stain. This abnormal white blood cells morphology is more commonly associated with neutrophils and presents with coarse, basophilic. The granules are slightly larger, more numerous and have an increased. Cytoplasmic Toxic Granulation.
From www.hematomorphology.info
Toxic granulation & Döhle inclusion bodies Hematomorphology, a Cytoplasmic Toxic Granulation The term toxic changes refers to a constellation of alterations that occur in the cytoplasm of granulocytes, including excessive granulation. These are distinct red granules in the cytoplasm due to the primary granules taking up stain. Toxic granulation is the presence of large purple or dark blue cytoplasmic granules (primary granules) in neutrophils, bands, and metamyelocytes. This abnormal white blood. Cytoplasmic Toxic Granulation.
From www.slideserve.com
PPT White Blood Cell Abnormalities PowerPoint Presentation, free Cytoplasmic Toxic Granulation The granules are slightly larger, more numerous and have an increased staining density compared to normal neutrophil granules. These are distinct red granules in the cytoplasm due to the primary granules taking up stain. The term toxic changes refers to a constellation of alterations that occur in the cytoplasm of granulocytes, including excessive granulation. Toxic granulation is the presence of. Cytoplasmic Toxic Granulation.
From www.slideserve.com
PPT Morphologic and Distributive Leukocyte Disorders PowerPoint Cytoplasmic Toxic Granulation These are distinct red granules in the cytoplasm due to the primary granules taking up stain. Activated neutrophils (eg, toxic granulation, dohle bodies, and cytoplasmic vacuoles) are more characteristic of a reactive. The term toxic changes refers to a constellation of alterations that occur in the cytoplasm of granulocytes, including excessive granulation. Toxic granulation is the presence of large purple. Cytoplasmic Toxic Granulation.
From ar.inspiredpencil.com
Cytoplasmic Granulation Toxic Cytoplasmic Toxic Granulation The term toxic changes refers to a constellation of alterations that occur in the cytoplasm of granulocytes, including excessive granulation. Toxic granulation is the presence of large purple or dark blue cytoplasmic granules (primary granules) in neutrophils, bands, and metamyelocytes. These are distinct red granules in the cytoplasm due to the primary granules taking up stain. This abnormal white blood. Cytoplasmic Toxic Granulation.
From collections.lib.utah.edu
Toxic granulation and vacuolization in neutrophilic myelocytes in Cytoplasmic Toxic Granulation Toxic granulation is the presence of large purple or dark blue cytoplasmic granules (primary granules) in neutrophils, bands, and metamyelocytes. Activated neutrophils (eg, toxic granulation, dohle bodies, and cytoplasmic vacuoles) are more characteristic of a reactive. This abnormal white blood cells morphology is more commonly associated with neutrophils and presents with coarse, basophilic. These are distinct red granules in the. Cytoplasmic Toxic Granulation.
From atlas.gechem.org
Neutrophils with toxic granulation in bacterial sepsis Cytoplasmic Toxic Granulation The granules are slightly larger, more numerous and have an increased staining density compared to normal neutrophil granules. The term toxic changes refers to a constellation of alterations that occur in the cytoplasm of granulocytes, including excessive granulation. These are distinct red granules in the cytoplasm due to the primary granules taking up stain. Toxic granulation is the presence of. Cytoplasmic Toxic Granulation.
From textbookhaematology4medical-scientist.blogspot.com
Haematology in a NutShell Toxic Granulated Neutrophils Cytoplasmic Toxic Granulation Toxic granulation is the presence of large purple or dark blue cytoplasmic granules (primary granules) in neutrophils, bands, and metamyelocytes. These are distinct red granules in the cytoplasm due to the primary granules taking up stain. Activated neutrophils (eg, toxic granulation, dohle bodies, and cytoplasmic vacuoles) are more characteristic of a reactive. The term toxic changes refers to a constellation. Cytoplasmic Toxic Granulation.
From ar.inspiredpencil.com
Cytoplasmic Granulation Toxic Cytoplasmic Toxic Granulation The granules are slightly larger, more numerous and have an increased staining density compared to normal neutrophil granules. The term toxic changes refers to a constellation of alterations that occur in the cytoplasm of granulocytes, including excessive granulation. This abnormal white blood cells morphology is more commonly associated with neutrophils and presents with coarse, basophilic. Activated neutrophils (eg, toxic granulation,. Cytoplasmic Toxic Granulation.
From www.thebloodproject.com
Toxic Granulation • The Blood Project Cytoplasmic Toxic Granulation The term toxic changes refers to a constellation of alterations that occur in the cytoplasm of granulocytes, including excessive granulation. These are distinct red granules in the cytoplasm due to the primary granules taking up stain. Toxic granulation is the presence of large purple or dark blue cytoplasmic granules (primary granules) in neutrophils, bands, and metamyelocytes. The granules are slightly. Cytoplasmic Toxic Granulation.
From www.youtube.com
What is "Toxic Granulation" of Neutrophils? Why does it happen Cytoplasmic Toxic Granulation The granules are slightly larger, more numerous and have an increased staining density compared to normal neutrophil granules. This abnormal white blood cells morphology is more commonly associated with neutrophils and presents with coarse, basophilic. These are distinct red granules in the cytoplasm due to the primary granules taking up stain. Activated neutrophils (eg, toxic granulation, dohle bodies, and cytoplasmic. Cytoplasmic Toxic Granulation.
From www.researchgate.net
Neutrophils showing toxic granulation, Döhle bodies and cytoplasmic Cytoplasmic Toxic Granulation The granules are slightly larger, more numerous and have an increased staining density compared to normal neutrophil granules. Activated neutrophils (eg, toxic granulation, dohle bodies, and cytoplasmic vacuoles) are more characteristic of a reactive. The term toxic changes refers to a constellation of alterations that occur in the cytoplasm of granulocytes, including excessive granulation. Toxic granulation is the presence of. Cytoplasmic Toxic Granulation.