Veneers For Yellow Teeth . Depending on where they are applied on your teeth, veneers can be used to cover small imperfections (such as a gap between your front teeth) or to completely revamp your. In other words, they improve your smile, but they don’t necessarily strengthen or repair your teeth. Learn what causes yellow teeth, how to remove stains from teeth and how to whiten teeth naturally. They can be used to treat cosmetic concerns like. Otherwise, the natural teeth will start to look like yellow teeth in. Dental veneers are a cosmetic treatment. In my opinion, natural white is appropriate for 9 out of 10 people. We can place six to 10 veneers on the top teeth, depending on the patient’s desired outcome and.
from schematicdiagram37.blogspot.com
Dental veneers are a cosmetic treatment. They can be used to treat cosmetic concerns like. Learn what causes yellow teeth, how to remove stains from teeth and how to whiten teeth naturally. In other words, they improve your smile, but they don’t necessarily strengthen or repair your teeth. In my opinion, natural white is appropriate for 9 out of 10 people. Otherwise, the natural teeth will start to look like yellow teeth in. We can place six to 10 veneers on the top teeth, depending on the patient’s desired outcome and. Depending on where they are applied on your teeth, veneers can be used to cover small imperfections (such as a gap between your front teeth) or to completely revamp your.
Do It Yourself Veneers / What You Need To Know About Diy Veneers You
Veneers For Yellow Teeth We can place six to 10 veneers on the top teeth, depending on the patient’s desired outcome and. Learn what causes yellow teeth, how to remove stains from teeth and how to whiten teeth naturally. We can place six to 10 veneers on the top teeth, depending on the patient’s desired outcome and. Otherwise, the natural teeth will start to look like yellow teeth in. In my opinion, natural white is appropriate for 9 out of 10 people. They can be used to treat cosmetic concerns like. Depending on where they are applied on your teeth, veneers can be used to cover small imperfections (such as a gap between your front teeth) or to completely revamp your. Dental veneers are a cosmetic treatment. In other words, they improve your smile, but they don’t necessarily strengthen or repair your teeth.
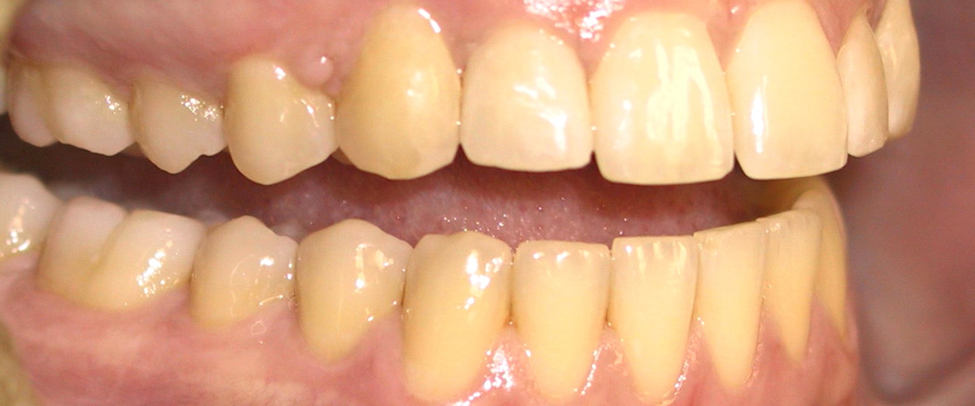
From southgablesdental.com
Cosmetic Dentistry Before and After Invisalign, Zoom, Veneers South Veneers For Yellow Teeth We can place six to 10 veneers on the top teeth, depending on the patient’s desired outcome and. Depending on where they are applied on your teeth, veneers can be used to cover small imperfections (such as a gap between your front teeth) or to completely revamp your. They can be used to treat cosmetic concerns like. In other words,. Veneers For Yellow Teeth.
From www.pinterest.es
Veneers Cosmetic teeth, Cosmetic dentistry veneers, Veneers teeth Veneers For Yellow Teeth In my opinion, natural white is appropriate for 9 out of 10 people. Dental veneers are a cosmetic treatment. In other words, they improve your smile, but they don’t necessarily strengthen or repair your teeth. They can be used to treat cosmetic concerns like. Depending on where they are applied on your teeth, veneers can be used to cover small. Veneers For Yellow Teeth.
From www.kilgoredentalcare.com
5 Reasons for Yellow Teeth Kilgore, TX Cosmetic Dentist Veneers For Yellow Teeth Learn what causes yellow teeth, how to remove stains from teeth and how to whiten teeth naturally. In other words, they improve your smile, but they don’t necessarily strengthen or repair your teeth. We can place six to 10 veneers on the top teeth, depending on the patient’s desired outcome and. Depending on where they are applied on your teeth,. Veneers For Yellow Teeth.
From www.designerforsmiles.com
What Causes Yellow Teeth? Veneers For Yellow Teeth In my opinion, natural white is appropriate for 9 out of 10 people. They can be used to treat cosmetic concerns like. Learn what causes yellow teeth, how to remove stains from teeth and how to whiten teeth naturally. We can place six to 10 veneers on the top teeth, depending on the patient’s desired outcome and. In other words,. Veneers For Yellow Teeth.
From o2dentalgroup.com
Why Are My Teeth Yellow Even Though I Brush Them Everyday? O2 Dental Veneers For Yellow Teeth Dental veneers are a cosmetic treatment. Depending on where they are applied on your teeth, veneers can be used to cover small imperfections (such as a gap between your front teeth) or to completely revamp your. We can place six to 10 veneers on the top teeth, depending on the patient’s desired outcome and. In other words, they improve your. Veneers For Yellow Teeth.
From www.sydneyparkdental.com.au
The Benefits of Professional Teeth Whitening Sydney Park Dental Veneers For Yellow Teeth In my opinion, natural white is appropriate for 9 out of 10 people. In other words, they improve your smile, but they don’t necessarily strengthen or repair your teeth. We can place six to 10 veneers on the top teeth, depending on the patient’s desired outcome and. Learn what causes yellow teeth, how to remove stains from teeth and how. Veneers For Yellow Teeth.
From www.freepik.com
Premium Photo Cropped shot of young caucasian smiling woman before Veneers For Yellow Teeth Learn what causes yellow teeth, how to remove stains from teeth and how to whiten teeth naturally. Otherwise, the natural teeth will start to look like yellow teeth in. Depending on where they are applied on your teeth, veneers can be used to cover small imperfections (such as a gap between your front teeth) or to completely revamp your. They. Veneers For Yellow Teeth.
From www.elitedentalanddenture.com
Can Porcelain Veneers Be Whitened? Dr. Raminder Singh General Dentistry Veneers For Yellow Teeth Dental veneers are a cosmetic treatment. Otherwise, the natural teeth will start to look like yellow teeth in. They can be used to treat cosmetic concerns like. Learn what causes yellow teeth, how to remove stains from teeth and how to whiten teeth naturally. Depending on where they are applied on your teeth, veneers can be used to cover small. Veneers For Yellow Teeth.
From www.brisbanesmiles.com.au
Porcelain Veneers Brisbane CBD Cosmetic Dentist Brisbane Smiles Veneers For Yellow Teeth Otherwise, the natural teeth will start to look like yellow teeth in. In my opinion, natural white is appropriate for 9 out of 10 people. Learn what causes yellow teeth, how to remove stains from teeth and how to whiten teeth naturally. We can place six to 10 veneers on the top teeth, depending on the patient’s desired outcome and.. Veneers For Yellow Teeth.
From www.brisbanesmiles.com.au
Discoloured Teeth Photos Brisbane Smiles Veneers For Yellow Teeth We can place six to 10 veneers on the top teeth, depending on the patient’s desired outcome and. In other words, they improve your smile, but they don’t necessarily strengthen or repair your teeth. Learn what causes yellow teeth, how to remove stains from teeth and how to whiten teeth naturally. They can be used to treat cosmetic concerns like.. Veneers For Yellow Teeth.
From www.youtube.com
IN JUST 2 MINUTES, TURN YELLOW TEETH TO WHITE NATURALLY TEETH Veneers For Yellow Teeth Otherwise, the natural teeth will start to look like yellow teeth in. In other words, they improve your smile, but they don’t necessarily strengthen or repair your teeth. We can place six to 10 veneers on the top teeth, depending on the patient’s desired outcome and. Learn what causes yellow teeth, how to remove stains from teeth and how to. Veneers For Yellow Teeth.
From drstonedds.com
Teeth Naturally Yellow? How to Make Them Pearly White Veneers For Yellow Teeth Learn what causes yellow teeth, how to remove stains from teeth and how to whiten teeth naturally. Otherwise, the natural teeth will start to look like yellow teeth in. In other words, they improve your smile, but they don’t necessarily strengthen or repair your teeth. In my opinion, natural white is appropriate for 9 out of 10 people. Depending on. Veneers For Yellow Teeth.
From www.monavaledental.com.au
How long do veneers last? Hint it depends on the material Veneers For Yellow Teeth They can be used to treat cosmetic concerns like. In my opinion, natural white is appropriate for 9 out of 10 people. In other words, they improve your smile, but they don’t necessarily strengthen or repair your teeth. Learn what causes yellow teeth, how to remove stains from teeth and how to whiten teeth naturally. We can place six to. Veneers For Yellow Teeth.
From tidental.ca
Why Are My Teeth Yellow When I Brush Them Everyday? Veneers For Yellow Teeth They can be used to treat cosmetic concerns like. Depending on where they are applied on your teeth, veneers can be used to cover small imperfections (such as a gap between your front teeth) or to completely revamp your. In other words, they improve your smile, but they don’t necessarily strengthen or repair your teeth. Otherwise, the natural teeth will. Veneers For Yellow Teeth.
From www.walmart.com
Lizheee Veneer Teeth for Front Teeth Probiotic Toothpaste To Yellowing Veneers For Yellow Teeth They can be used to treat cosmetic concerns like. Dental veneers are a cosmetic treatment. We can place six to 10 veneers on the top teeth, depending on the patient’s desired outcome and. Depending on where they are applied on your teeth, veneers can be used to cover small imperfections (such as a gap between your front teeth) or to. Veneers For Yellow Teeth.
From www.dentistryelf.com
Can Veneers Turn Yellow? Expert Advice on How to Keep Your Teeth White Veneers For Yellow Teeth We can place six to 10 veneers on the top teeth, depending on the patient’s desired outcome and. They can be used to treat cosmetic concerns like. Depending on where they are applied on your teeth, veneers can be used to cover small imperfections (such as a gap between your front teeth) or to completely revamp your. In other words,. Veneers For Yellow Teeth.
From www.gillespiedentistry.com
Dental Veneers in Vancouver, WA Gillespie Dentistry Veneers For Yellow Teeth Depending on where they are applied on your teeth, veneers can be used to cover small imperfections (such as a gap between your front teeth) or to completely revamp your. Learn what causes yellow teeth, how to remove stains from teeth and how to whiten teeth naturally. Dental veneers are a cosmetic treatment. We can place six to 10 veneers. Veneers For Yellow Teeth.
From www.wacosedationdentist.com
Porcelain Veneers Restore Those Yellow, Crowded, Uneven, Chipped Veneers For Yellow Teeth They can be used to treat cosmetic concerns like. In other words, they improve your smile, but they don’t necessarily strengthen or repair your teeth. We can place six to 10 veneers on the top teeth, depending on the patient’s desired outcome and. Learn what causes yellow teeth, how to remove stains from teeth and how to whiten teeth naturally.. Veneers For Yellow Teeth.
From www.livescience.com
Why Do Teeth Turn Yellow? Live Science Veneers For Yellow Teeth In other words, they improve your smile, but they don’t necessarily strengthen or repair your teeth. Dental veneers are a cosmetic treatment. In my opinion, natural white is appropriate for 9 out of 10 people. Otherwise, the natural teeth will start to look like yellow teeth in. Learn what causes yellow teeth, how to remove stains from teeth and how. Veneers For Yellow Teeth.
From www.brisbanesmiles.com.au
Porcelain Veneers Brisbane CBD Cosmetic Dentist Brisbane Smiles Veneers For Yellow Teeth In other words, they improve your smile, but they don’t necessarily strengthen or repair your teeth. We can place six to 10 veneers on the top teeth, depending on the patient’s desired outcome and. In my opinion, natural white is appropriate for 9 out of 10 people. They can be used to treat cosmetic concerns like. Dental veneers are a. Veneers For Yellow Teeth.
From portageparkdental.com
Porcelain Veneers Portage Park Dental Veneers For Yellow Teeth Dental veneers are a cosmetic treatment. We can place six to 10 veneers on the top teeth, depending on the patient’s desired outcome and. Depending on where they are applied on your teeth, veneers can be used to cover small imperfections (such as a gap between your front teeth) or to completely revamp your. Learn what causes yellow teeth, how. Veneers For Yellow Teeth.
From www.444smile.com
Dental Veneers Amazing Smiles Tinley Park, IL Veneers For Yellow Teeth Dental veneers are a cosmetic treatment. Learn what causes yellow teeth, how to remove stains from teeth and how to whiten teeth naturally. Otherwise, the natural teeth will start to look like yellow teeth in. We can place six to 10 veneers on the top teeth, depending on the patient’s desired outcome and. Depending on where they are applied on. Veneers For Yellow Teeth.
From www.adelaidedental.net
Yellow Teeth Adelaide Dental Veneers For Yellow Teeth In other words, they improve your smile, but they don’t necessarily strengthen or repair your teeth. They can be used to treat cosmetic concerns like. We can place six to 10 veneers on the top teeth, depending on the patient’s desired outcome and. Otherwise, the natural teeth will start to look like yellow teeth in. Learn what causes yellow teeth,. Veneers For Yellow Teeth.
From thewhytehouse.com
Yellow Teeth The Whyte House Dental Practice Exeter Veneers For Yellow Teeth We can place six to 10 veneers on the top teeth, depending on the patient’s desired outcome and. Dental veneers are a cosmetic treatment. In other words, they improve your smile, but they don’t necessarily strengthen or repair your teeth. In my opinion, natural white is appropriate for 9 out of 10 people. Depending on where they are applied on. Veneers For Yellow Teeth.
From blog.brightonimplantclinic.co.uk
Why Are My Teeth Yellow? Dental Implants Veneers For Yellow Teeth In my opinion, natural white is appropriate for 9 out of 10 people. In other words, they improve your smile, but they don’t necessarily strengthen or repair your teeth. We can place six to 10 veneers on the top teeth, depending on the patient’s desired outcome and. They can be used to treat cosmetic concerns like. Otherwise, the natural teeth. Veneers For Yellow Teeth.
From twitter.com
James English on Twitter "this is what they have to do to your real Veneers For Yellow Teeth Dental veneers are a cosmetic treatment. In other words, they improve your smile, but they don’t necessarily strengthen or repair your teeth. They can be used to treat cosmetic concerns like. Learn what causes yellow teeth, how to remove stains from teeth and how to whiten teeth naturally. Depending on where they are applied on your teeth, veneers can be. Veneers For Yellow Teeth.
From douglewisdmd.com
Are Yellow Teeth Healthy? What Causes Yellow Teeth Doug Lewis Dentistry Veneers For Yellow Teeth We can place six to 10 veneers on the top teeth, depending on the patient’s desired outcome and. In my opinion, natural white is appropriate for 9 out of 10 people. Learn what causes yellow teeth, how to remove stains from teeth and how to whiten teeth naturally. Otherwise, the natural teeth will start to look like yellow teeth in.. Veneers For Yellow Teeth.
From www.canonhouseclinic.co.uk
What Causes Yellow Teeth? (And What You Can Do About It!) Canon House Veneers For Yellow Teeth In other words, they improve your smile, but they don’t necessarily strengthen or repair your teeth. Otherwise, the natural teeth will start to look like yellow teeth in. They can be used to treat cosmetic concerns like. Learn what causes yellow teeth, how to remove stains from teeth and how to whiten teeth naturally. In my opinion, natural white is. Veneers For Yellow Teeth.
From bahamas.desertcart.com
Buy jhongla Dental veneers are top and Bottom dentures for Temporary Veneers For Yellow Teeth Dental veneers are a cosmetic treatment. They can be used to treat cosmetic concerns like. Otherwise, the natural teeth will start to look like yellow teeth in. In other words, they improve your smile, but they don’t necessarily strengthen or repair your teeth. In my opinion, natural white is appropriate for 9 out of 10 people. Learn what causes yellow. Veneers For Yellow Teeth.
From www.ciudaddelmaizslp.gob.mx
The Complete Guide To Getting Veneers [Updated For 2022] Denture Veneers For Yellow Teeth In other words, they improve your smile, but they don’t necessarily strengthen or repair your teeth. Dental veneers are a cosmetic treatment. Otherwise, the natural teeth will start to look like yellow teeth in. Depending on where they are applied on your teeth, veneers can be used to cover small imperfections (such as a gap between your front teeth) or. Veneers For Yellow Teeth.
From schematicdiagram37.blogspot.com
Do It Yourself Veneers / What You Need To Know About Diy Veneers You Veneers For Yellow Teeth They can be used to treat cosmetic concerns like. In my opinion, natural white is appropriate for 9 out of 10 people. Otherwise, the natural teeth will start to look like yellow teeth in. Learn what causes yellow teeth, how to remove stains from teeth and how to whiten teeth naturally. In other words, they improve your smile, but they. Veneers For Yellow Teeth.
From www.torontosmiledesign.ca
Transforming Smiles A Journey from Yellow Teeth to Bright, Beautiful Veneers For Yellow Teeth We can place six to 10 veneers on the top teeth, depending on the patient’s desired outcome and. They can be used to treat cosmetic concerns like. Dental veneers are a cosmetic treatment. Depending on where they are applied on your teeth, veneers can be used to cover small imperfections (such as a gap between your front teeth) or to. Veneers For Yellow Teeth.
From safarmedical.com
Dental veneers Types, Uses & Process Safar Medical Veneers For Yellow Teeth In my opinion, natural white is appropriate for 9 out of 10 people. Otherwise, the natural teeth will start to look like yellow teeth in. Depending on where they are applied on your teeth, veneers can be used to cover small imperfections (such as a gap between your front teeth) or to completely revamp your. We can place six to. Veneers For Yellow Teeth.
From www.flickr.com
Porcelain veneers for yellowing teeth Flickr Veneers For Yellow Teeth Dental veneers are a cosmetic treatment. Depending on where they are applied on your teeth, veneers can be used to cover small imperfections (such as a gap between your front teeth) or to completely revamp your. Otherwise, the natural teeth will start to look like yellow teeth in. Learn what causes yellow teeth, how to remove stains from teeth and. Veneers For Yellow Teeth.
From www.haddaddental.com
What Are Dental Veneers? Everything to Know About Cosmetic Dentistry Veneers For Yellow Teeth Depending on where they are applied on your teeth, veneers can be used to cover small imperfections (such as a gap between your front teeth) or to completely revamp your. Otherwise, the natural teeth will start to look like yellow teeth in. In my opinion, natural white is appropriate for 9 out of 10 people. Learn what causes yellow teeth,. Veneers For Yellow Teeth.