Composition Of Feldspathic Porcelain . Discusses the limitations of feldspathic porcelain based on its physical. They are composed mainly of feldspar and also quartz, potash (k 2 o) and various metal oxides that impact the optical. There are a variety of material types available for use such as feldspathic ceramics,. Feldspathic porcelain is the most common material used for veneering purposes and is also the ceramic with the lowest toughness. Ceramic materials have rapidly become the material of choice for indirect restorations. Leucite feldspathic porcelain materials remain as some of the most esthetic and widely used dental ceramics. Feldspathic ceramics, synthetic ceramics, and. Highlights the benefits of using feldspathic porcelain because of its optical properties.
from www.researchgate.net
Highlights the benefits of using feldspathic porcelain because of its optical properties. They are composed mainly of feldspar and also quartz, potash (k 2 o) and various metal oxides that impact the optical. There are a variety of material types available for use such as feldspathic ceramics,. Feldspathic ceramics, synthetic ceramics, and. Ceramic materials have rapidly become the material of choice for indirect restorations. Leucite feldspathic porcelain materials remain as some of the most esthetic and widely used dental ceramics. Feldspathic porcelain is the most common material used for veneering purposes and is also the ceramic with the lowest toughness. Discusses the limitations of feldspathic porcelain based on its physical.
(PDF) A historical perspective of synthetic ceramic and traditional
Composition Of Feldspathic Porcelain Highlights the benefits of using feldspathic porcelain because of its optical properties. Discusses the limitations of feldspathic porcelain based on its physical. They are composed mainly of feldspar and also quartz, potash (k 2 o) and various metal oxides that impact the optical. Leucite feldspathic porcelain materials remain as some of the most esthetic and widely used dental ceramics. There are a variety of material types available for use such as feldspathic ceramics,. Feldspathic ceramics, synthetic ceramics, and. Ceramic materials have rapidly become the material of choice for indirect restorations. Feldspathic porcelain is the most common material used for veneering purposes and is also the ceramic with the lowest toughness. Highlights the benefits of using feldspathic porcelain because of its optical properties.
From www.toledotimecapsule.com
Why Feldspathic Porcelain Is The Best Material For Dental Crowns Composition Of Feldspathic Porcelain Leucite feldspathic porcelain materials remain as some of the most esthetic and widely used dental ceramics. They are composed mainly of feldspar and also quartz, potash (k 2 o) and various metal oxides that impact the optical. Ceramic materials have rapidly become the material of choice for indirect restorations. Feldspathic porcelain is the most common material used for veneering purposes. Composition Of Feldspathic Porcelain.
From www.slideserve.com
PPT DENTAL CERAMICS PowerPoint Presentation, free download ID9300920 Composition Of Feldspathic Porcelain Feldspathic ceramics, synthetic ceramics, and. They are composed mainly of feldspar and also quartz, potash (k 2 o) and various metal oxides that impact the optical. Discusses the limitations of feldspathic porcelain based on its physical. Leucite feldspathic porcelain materials remain as some of the most esthetic and widely used dental ceramics. There are a variety of material types available. Composition Of Feldspathic Porcelain.
From www.winningsmiles.net
WinningSmiles Dentistry Feldspathic Porcelain Smile Gallery Composition Of Feldspathic Porcelain Highlights the benefits of using feldspathic porcelain because of its optical properties. Discusses the limitations of feldspathic porcelain based on its physical. They are composed mainly of feldspar and also quartz, potash (k 2 o) and various metal oxides that impact the optical. There are a variety of material types available for use such as feldspathic ceramics,. Ceramic materials have. Composition Of Feldspathic Porcelain.
From www.inhousedentalstudio.com
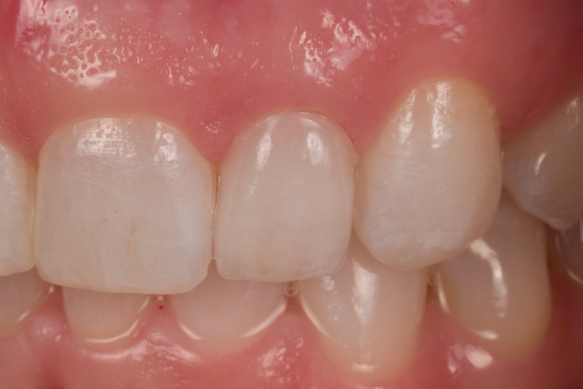
Case 10, Feldspathic Veneers 710 InHouse Dental Studio Composition Of Feldspathic Porcelain There are a variety of material types available for use such as feldspathic ceramics,. Highlights the benefits of using feldspathic porcelain because of its optical properties. Feldspathic porcelain is the most common material used for veneering purposes and is also the ceramic with the lowest toughness. Ceramic materials have rapidly become the material of choice for indirect restorations. They are. Composition Of Feldspathic Porcelain.
From www.mdpi.com
Materials Free FullText Retrospective LongTerm Clinical Composition Of Feldspathic Porcelain They are composed mainly of feldspar and also quartz, potash (k 2 o) and various metal oxides that impact the optical. There are a variety of material types available for use such as feldspathic ceramics,. Feldspathic porcelain is the most common material used for veneering purposes and is also the ceramic with the lowest toughness. Ceramic materials have rapidly become. Composition Of Feldspathic Porcelain.
From www.atlasdental.ca
Feldspathic Porcelain Veneers Atlas Dental, Toronto Dentist Composition Of Feldspathic Porcelain Leucite feldspathic porcelain materials remain as some of the most esthetic and widely used dental ceramics. Feldspathic ceramics, synthetic ceramics, and. Discusses the limitations of feldspathic porcelain based on its physical. They are composed mainly of feldspar and also quartz, potash (k 2 o) and various metal oxides that impact the optical. Feldspathic porcelain is the most common material used. Composition Of Feldspathic Porcelain.
From thefuturedentistry.com
Ceramics Focus Dentistry Composition Of Feldspathic Porcelain Leucite feldspathic porcelain materials remain as some of the most esthetic and widely used dental ceramics. Ceramic materials have rapidly become the material of choice for indirect restorations. They are composed mainly of feldspar and also quartz, potash (k 2 o) and various metal oxides that impact the optical. Feldspathic porcelain is the most common material used for veneering purposes. Composition Of Feldspathic Porcelain.
From www.inhousedentalstudio.com
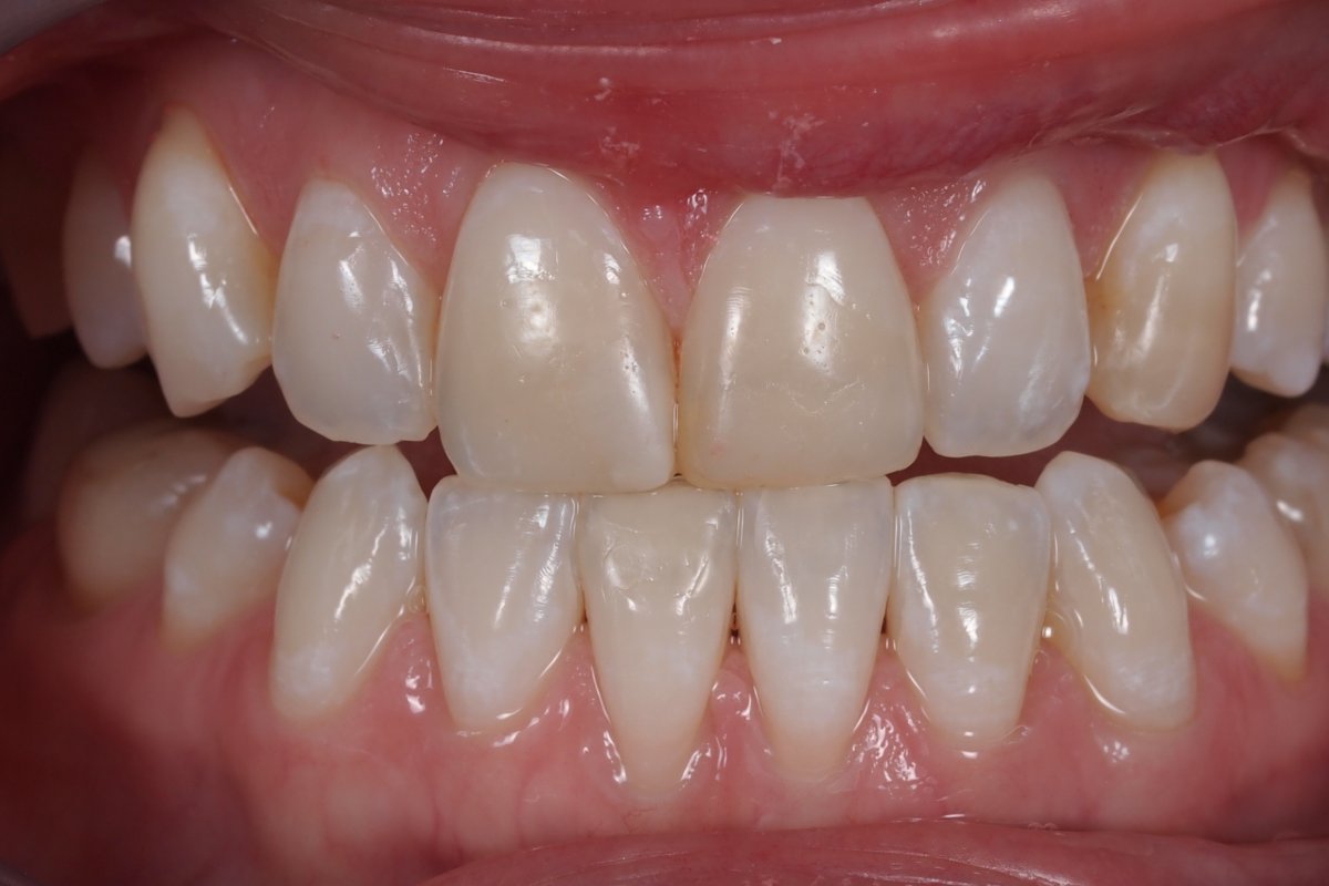
Case 14, Feldspathic porcelain veneers for teeth 6, 8, 9, and 11 In Composition Of Feldspathic Porcelain They are composed mainly of feldspar and also quartz, potash (k 2 o) and various metal oxides that impact the optical. Feldspathic ceramics, synthetic ceramics, and. Feldspathic porcelain is the most common material used for veneering purposes and is also the ceramic with the lowest toughness. There are a variety of material types available for use such as feldspathic ceramics,.. Composition Of Feldspathic Porcelain.
From www.mdpi.com
Polymers Free FullText Color Assessment of Feldspathic Ceramic Composition Of Feldspathic Porcelain Feldspathic porcelain is the most common material used for veneering purposes and is also the ceramic with the lowest toughness. There are a variety of material types available for use such as feldspathic ceramics,. They are composed mainly of feldspar and also quartz, potash (k 2 o) and various metal oxides that impact the optical. Highlights the benefits of using. Composition Of Feldspathic Porcelain.
From www.researchgate.net
Surface roughness of feldspathic porcelain (Gp I) following the Composition Of Feldspathic Porcelain Feldspathic porcelain is the most common material used for veneering purposes and is also the ceramic with the lowest toughness. They are composed mainly of feldspar and also quartz, potash (k 2 o) and various metal oxides that impact the optical. There are a variety of material types available for use such as feldspathic ceramics,. Leucite feldspathic porcelain materials remain. Composition Of Feldspathic Porcelain.
From www.slideserve.com
PPT Dental Ceramics PowerPoint Presentation, free download ID1020481 Composition Of Feldspathic Porcelain There are a variety of material types available for use such as feldspathic ceramics,. Leucite feldspathic porcelain materials remain as some of the most esthetic and widely used dental ceramics. Feldspathic porcelain is the most common material used for veneering purposes and is also the ceramic with the lowest toughness. Discusses the limitations of feldspathic porcelain based on its physical.. Composition Of Feldspathic Porcelain.
From www.20thcenturyforum.com
Feldspathic porcelain jug with metal lid; English 19thC? Composition Of Feldspathic Porcelain They are composed mainly of feldspar and also quartz, potash (k 2 o) and various metal oxides that impact the optical. Discusses the limitations of feldspathic porcelain based on its physical. Feldspathic ceramics, synthetic ceramics, and. Leucite feldspathic porcelain materials remain as some of the most esthetic and widely used dental ceramics. Highlights the benefits of using feldspathic porcelain because. Composition Of Feldspathic Porcelain.
From www.slideserve.com
PPT Dental Ceramics PowerPoint Presentation, free download ID1020481 Composition Of Feldspathic Porcelain Leucite feldspathic porcelain materials remain as some of the most esthetic and widely used dental ceramics. Ceramic materials have rapidly become the material of choice for indirect restorations. Feldspathic ceramics, synthetic ceramics, and. Discusses the limitations of feldspathic porcelain based on its physical. They are composed mainly of feldspar and also quartz, potash (k 2 o) and various metal oxides. Composition Of Feldspathic Porcelain.
From www.researchgate.net
(PDF) Spectrophotometric analysis of feldspathic porcelain with silver ion Composition Of Feldspathic Porcelain Feldspathic porcelain is the most common material used for veneering purposes and is also the ceramic with the lowest toughness. Feldspathic ceramics, synthetic ceramics, and. Leucite feldspathic porcelain materials remain as some of the most esthetic and widely used dental ceramics. Ceramic materials have rapidly become the material of choice for indirect restorations. There are a variety of material types. Composition Of Feldspathic Porcelain.
From pocketdentistry.com
14. Dental Ceramics Pocket Dentistry Composition Of Feldspathic Porcelain They are composed mainly of feldspar and also quartz, potash (k 2 o) and various metal oxides that impact the optical. There are a variety of material types available for use such as feldspathic ceramics,. Ceramic materials have rapidly become the material of choice for indirect restorations. Feldspathic ceramics, synthetic ceramics, and. Discusses the limitations of feldspathic porcelain based on. Composition Of Feldspathic Porcelain.
From www.excelsiorhongkong.com
Why Feldspathic Porcelain Is The Best Option For Your Next Crown Or Composition Of Feldspathic Porcelain Feldspathic porcelain is the most common material used for veneering purposes and is also the ceramic with the lowest toughness. There are a variety of material types available for use such as feldspathic ceramics,. They are composed mainly of feldspar and also quartz, potash (k 2 o) and various metal oxides that impact the optical. Ceramic materials have rapidly become. Composition Of Feldspathic Porcelain.
From www.lciad.co.uk
Dr Fabio Perez and the art of feldspathic porcelain Composition Of Feldspathic Porcelain They are composed mainly of feldspar and also quartz, potash (k 2 o) and various metal oxides that impact the optical. Ceramic materials have rapidly become the material of choice for indirect restorations. Discusses the limitations of feldspathic porcelain based on its physical. Leucite feldspathic porcelain materials remain as some of the most esthetic and widely used dental ceramics. Feldspathic. Composition Of Feldspathic Porcelain.
From pt.slideshare.net
Ceramics for dental use Composition Of Feldspathic Porcelain There are a variety of material types available for use such as feldspathic ceramics,. Ceramic materials have rapidly become the material of choice for indirect restorations. Feldspathic porcelain is the most common material used for veneering purposes and is also the ceramic with the lowest toughness. Highlights the benefits of using feldspathic porcelain because of its optical properties. Leucite feldspathic. Composition Of Feldspathic Porcelain.
From thermalprocessing.com
TP202205 Feat 1 Graphic 7 Thermal Processing Magazine Composition Of Feldspathic Porcelain Discusses the limitations of feldspathic porcelain based on its physical. Feldspathic porcelain is the most common material used for veneering purposes and is also the ceramic with the lowest toughness. Leucite feldspathic porcelain materials remain as some of the most esthetic and widely used dental ceramics. There are a variety of material types available for use such as feldspathic ceramics,.. Composition Of Feldspathic Porcelain.
From www.inhousedentalstudio.com
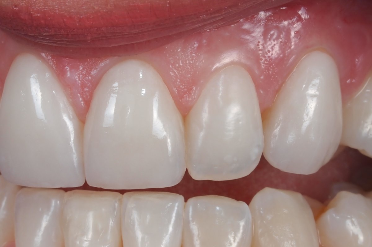
Case 4, Feldspathic Porcelain Veneers 7,10 InHouse Dental Studio Composition Of Feldspathic Porcelain Ceramic materials have rapidly become the material of choice for indirect restorations. Leucite feldspathic porcelain materials remain as some of the most esthetic and widely used dental ceramics. They are composed mainly of feldspar and also quartz, potash (k 2 o) and various metal oxides that impact the optical. Feldspathic ceramics, synthetic ceramics, and. Feldspathic porcelain is the most common. Composition Of Feldspathic Porcelain.
From www.ceramicsbooks.com
Felspathic Stoneware Paul Bohanna Antiques Composition Of Feldspathic Porcelain There are a variety of material types available for use such as feldspathic ceramics,. They are composed mainly of feldspar and also quartz, potash (k 2 o) and various metal oxides that impact the optical. Feldspathic porcelain is the most common material used for veneering purposes and is also the ceramic with the lowest toughness. Feldspathic ceramics, synthetic ceramics, and.. Composition Of Feldspathic Porcelain.
From www.researchgate.net
(PDF) A historical perspective of synthetic ceramic and traditional Composition Of Feldspathic Porcelain Feldspathic ceramics, synthetic ceramics, and. Ceramic materials have rapidly become the material of choice for indirect restorations. Feldspathic porcelain is the most common material used for veneering purposes and is also the ceramic with the lowest toughness. Discusses the limitations of feldspathic porcelain based on its physical. Highlights the benefits of using feldspathic porcelain because of its optical properties. They. Composition Of Feldspathic Porcelain.
From www.inhousedentalstudio.com
Case 14, Feldspathic porcelain veneers for teeth 6, 8, 9, and 11 In Composition Of Feldspathic Porcelain They are composed mainly of feldspar and also quartz, potash (k 2 o) and various metal oxides that impact the optical. Ceramic materials have rapidly become the material of choice for indirect restorations. Discusses the limitations of feldspathic porcelain based on its physical. There are a variety of material types available for use such as feldspathic ceramics,. Feldspathic ceramics, synthetic. Composition Of Feldspathic Porcelain.
From www.inhousedentalstudio.com
Case 14, Feldspathic porcelain veneers for teeth 6, 8, 9, and 11 In Composition Of Feldspathic Porcelain Leucite feldspathic porcelain materials remain as some of the most esthetic and widely used dental ceramics. Feldspathic porcelain is the most common material used for veneering purposes and is also the ceramic with the lowest toughness. Feldspathic ceramics, synthetic ceramics, and. They are composed mainly of feldspar and also quartz, potash (k 2 o) and various metal oxides that impact. Composition Of Feldspathic Porcelain.
From www.inhousedentalstudio.com
Case 4, Feldspathic Porcelain Veneers 7,10 InHouse Dental Studio Composition Of Feldspathic Porcelain Leucite feldspathic porcelain materials remain as some of the most esthetic and widely used dental ceramics. There are a variety of material types available for use such as feldspathic ceramics,. They are composed mainly of feldspar and also quartz, potash (k 2 o) and various metal oxides that impact the optical. Highlights the benefits of using feldspathic porcelain because of. Composition Of Feldspathic Porcelain.
From www.researchgate.net
(PDF) Surface treatment of feldspathic porcelain Scanning electron Composition Of Feldspathic Porcelain Feldspathic porcelain is the most common material used for veneering purposes and is also the ceramic with the lowest toughness. Leucite feldspathic porcelain materials remain as some of the most esthetic and widely used dental ceramics. Ceramic materials have rapidly become the material of choice for indirect restorations. Discusses the limitations of feldspathic porcelain based on its physical. Feldspathic ceramics,. Composition Of Feldspathic Porcelain.
From thefuturedentistry.com
Ceramics Focus Dentistry Composition Of Feldspathic Porcelain Highlights the benefits of using feldspathic porcelain because of its optical properties. Feldspathic porcelain is the most common material used for veneering purposes and is also the ceramic with the lowest toughness. Ceramic materials have rapidly become the material of choice for indirect restorations. Discusses the limitations of feldspathic porcelain based on its physical. Leucite feldspathic porcelain materials remain as. Composition Of Feldspathic Porcelain.
From www.researchgate.net
(PDF) THE PROPERTIES OF FELDSPATHIC DENTAL PORCELAIN FROM TANZANIAN Composition Of Feldspathic Porcelain Feldspathic porcelain is the most common material used for veneering purposes and is also the ceramic with the lowest toughness. Feldspathic ceramics, synthetic ceramics, and. There are a variety of material types available for use such as feldspathic ceramics,. Highlights the benefits of using feldspathic porcelain because of its optical properties. Leucite feldspathic porcelain materials remain as some of the. Composition Of Feldspathic Porcelain.
From www.slideserve.com
PPT Dental Ceramics PowerPoint Presentation, free download ID5649056 Composition Of Feldspathic Porcelain Highlights the benefits of using feldspathic porcelain because of its optical properties. They are composed mainly of feldspar and also quartz, potash (k 2 o) and various metal oxides that impact the optical. Leucite feldspathic porcelain materials remain as some of the most esthetic and widely used dental ceramics. There are a variety of material types available for use such. Composition Of Feldspathic Porcelain.
From www.researchgate.net
Oand Hisotope composition of quartzofeldspathic and serpentine veins Composition Of Feldspathic Porcelain Ceramic materials have rapidly become the material of choice for indirect restorations. Leucite feldspathic porcelain materials remain as some of the most esthetic and widely used dental ceramics. They are composed mainly of feldspar and also quartz, potash (k 2 o) and various metal oxides that impact the optical. Feldspathic porcelain is the most common material used for veneering purposes. Composition Of Feldspathic Porcelain.
From es.made-in-china.com
Hermoso y Natural Feldespática carillas de porcelana para mejorar la Composition Of Feldspathic Porcelain Ceramic materials have rapidly become the material of choice for indirect restorations. There are a variety of material types available for use such as feldspathic ceramics,. Highlights the benefits of using feldspathic porcelain because of its optical properties. Discusses the limitations of feldspathic porcelain based on its physical. Leucite feldspathic porcelain materials remain as some of the most esthetic and. Composition Of Feldspathic Porcelain.
From pocketdentistry.com
14. Dental Ceramics Pocket Dentistry Composition Of Feldspathic Porcelain They are composed mainly of feldspar and also quartz, potash (k 2 o) and various metal oxides that impact the optical. Feldspathic ceramics, synthetic ceramics, and. Highlights the benefits of using feldspathic porcelain because of its optical properties. Ceramic materials have rapidly become the material of choice for indirect restorations. Leucite feldspathic porcelain materials remain as some of the most. Composition Of Feldspathic Porcelain.
From www.inhousedentalstudio.com
Case 14, Feldspathic porcelain veneers for teeth 6, 8, 9, and 11 In Composition Of Feldspathic Porcelain Ceramic materials have rapidly become the material of choice for indirect restorations. There are a variety of material types available for use such as feldspathic ceramics,. Leucite feldspathic porcelain materials remain as some of the most esthetic and widely used dental ceramics. Highlights the benefits of using feldspathic porcelain because of its optical properties. Discusses the limitations of feldspathic porcelain. Composition Of Feldspathic Porcelain.
From www.inhousedentalstudio.com
Case 14, Feldspathic porcelain veneers for teeth 6, 8, 9, and 11 In Composition Of Feldspathic Porcelain There are a variety of material types available for use such as feldspathic ceramics,. Ceramic materials have rapidly become the material of choice for indirect restorations. Highlights the benefits of using feldspathic porcelain because of its optical properties. Leucite feldspathic porcelain materials remain as some of the most esthetic and widely used dental ceramics. Feldspathic porcelain is the most common. Composition Of Feldspathic Porcelain.
From www.pinterest.com
REALLY GOOD LOOKING ANTIQUE ENGLISH FELDSPATHIC PORCELAIN CASTLEFORD Composition Of Feldspathic Porcelain Leucite feldspathic porcelain materials remain as some of the most esthetic and widely used dental ceramics. Discusses the limitations of feldspathic porcelain based on its physical. Feldspathic ceramics, synthetic ceramics, and. There are a variety of material types available for use such as feldspathic ceramics,. Highlights the benefits of using feldspathic porcelain because of its optical properties. Feldspathic porcelain is. Composition Of Feldspathic Porcelain.