Jabot Oesophagien Chat . Chez le chat et le chien, les principales affections de l’œsophage sont. Une prédisposition raciale est constatée chez le. Le jabot oesophagien est une dilatation localisée de l'oesophage qui résulte d'une malformation vasculaire congénitale (persistance du 4 ème. L’hypomotricité oesophagienne, une prédisposition génétique du siamois, est une des causes de mégaoesophage. Chez le chien et le chat, un jabot oesophagien est une dilatation localisée de l’oesophage en général secondaire à la persistance d’un anneau vasculaire congénital anormal. Le resserrement de l’œsophage induit ce qui est appelé un jabot œsophagien. Dans ce cas, il est fréquent que le chat ait bon. Oesophagite chez le chat et le chien :
from www.slideserve.com
Une prédisposition raciale est constatée chez le. Le resserrement de l’œsophage induit ce qui est appelé un jabot œsophagien. Dans ce cas, il est fréquent que le chat ait bon. Chez le chien et le chat, un jabot oesophagien est une dilatation localisée de l’oesophage en général secondaire à la persistance d’un anneau vasculaire congénital anormal. Chez le chat et le chien, les principales affections de l’œsophage sont. Oesophagite chez le chat et le chien : L’hypomotricité oesophagienne, une prédisposition génétique du siamois, est une des causes de mégaoesophage. Le jabot oesophagien est une dilatation localisée de l'oesophage qui résulte d'une malformation vasculaire congénitale (persistance du 4 ème.
PPT REFLUX OESOPHAGIEN ET OESOPHAGITE PowerPoint Presentation, free
Jabot Oesophagien Chat Chez le chat et le chien, les principales affections de l’œsophage sont. Chez le chat et le chien, les principales affections de l’œsophage sont. Chez le chien et le chat, un jabot oesophagien est une dilatation localisée de l’oesophage en général secondaire à la persistance d’un anneau vasculaire congénital anormal. Dans ce cas, il est fréquent que le chat ait bon. Le jabot oesophagien est une dilatation localisée de l'oesophage qui résulte d'une malformation vasculaire congénitale (persistance du 4 ème. Oesophagite chez le chat et le chien : Une prédisposition raciale est constatée chez le. Le resserrement de l’œsophage induit ce qui est appelé un jabot œsophagien. L’hypomotricité oesophagienne, une prédisposition génétique du siamois, est une des causes de mégaoesophage.
From www.fisiomarket.com
Modèle de reflux gastroœsophagien (RGO), 4 pièces Fisiomarket Jabot Oesophagien Chat Le resserrement de l’œsophage induit ce qui est appelé un jabot œsophagien. Une prédisposition raciale est constatée chez le. Chez le chat et le chien, les principales affections de l’œsophage sont. Oesophagite chez le chat et le chien : L’hypomotricité oesophagienne, une prédisposition génétique du siamois, est une des causes de mégaoesophage. Chez le chien et le chat, un jabot. Jabot Oesophagien Chat.
From www.youtube.com
GASTROENTEROLOGIE CAT devant ingestion d'un produit caustique YouTube Jabot Oesophagien Chat Dans ce cas, il est fréquent que le chat ait bon. Le jabot oesophagien est une dilatation localisée de l'oesophage qui résulte d'une malformation vasculaire congénitale (persistance du 4 ème. Le resserrement de l’œsophage induit ce qui est appelé un jabot œsophagien. Chez le chat et le chien, les principales affections de l’œsophage sont. Oesophagite chez le chat et le. Jabot Oesophagien Chat.
From dhhvethospital.ir
Esophageal diverticulum in German dog and its symptoms DHH Vet Hospital Jabot Oesophagien Chat Dans ce cas, il est fréquent que le chat ait bon. Chez le chat et le chien, les principales affections de l’œsophage sont. Oesophagite chez le chat et le chien : Le jabot oesophagien est une dilatation localisée de l'oesophage qui résulte d'une malformation vasculaire congénitale (persistance du 4 ème. Chez le chien et le chat, un jabot oesophagien est. Jabot Oesophagien Chat.
From kittens.tips
Reflux gastroœsophagien chez le chat. Causes et symptômes. Jabot Oesophagien Chat L’hypomotricité oesophagienne, une prédisposition génétique du siamois, est une des causes de mégaoesophage. Une prédisposition raciale est constatée chez le. Chez le chien et le chat, un jabot oesophagien est une dilatation localisée de l’oesophage en général secondaire à la persistance d’un anneau vasculaire congénital anormal. Dans ce cas, il est fréquent que le chat ait bon. Le jabot oesophagien. Jabot Oesophagien Chat.
From pdfslide.net
(PPT) REFLUX GASTRO OESOPHAGIEN Jabot Oesophagien Chat Le resserrement de l’œsophage induit ce qui est appelé un jabot œsophagien. Oesophagite chez le chat et le chien : Chez le chat et le chien, les principales affections de l’œsophage sont. Chez le chien et le chat, un jabot oesophagien est une dilatation localisée de l’oesophage en général secondaire à la persistance d’un anneau vasculaire congénital anormal. Dans ce. Jabot Oesophagien Chat.
From fr.dreamstime.com
Portrait D'un Chat Noir Avec Des Yeux Verts Et Un Jabot Blanc Image Jabot Oesophagien Chat Chez le chat et le chien, les principales affections de l’œsophage sont. Dans ce cas, il est fréquent que le chat ait bon. Une prédisposition raciale est constatée chez le. L’hypomotricité oesophagienne, une prédisposition génétique du siamois, est une des causes de mégaoesophage. Oesophagite chez le chat et le chien : Chez le chien et le chat, un jabot oesophagien. Jabot Oesophagien Chat.
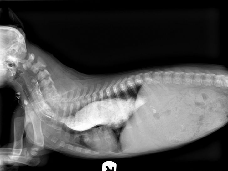
From www.vetpixel.com
VetPixel 1er site de Téléradiologie Vétérinaire en France Jabot Oesophagien Chat L’hypomotricité oesophagienne, une prédisposition génétique du siamois, est une des causes de mégaoesophage. Chez le chien et le chat, un jabot oesophagien est une dilatation localisée de l’oesophage en général secondaire à la persistance d’un anneau vasculaire congénital anormal. Chez le chat et le chien, les principales affections de l’œsophage sont. Dans ce cas, il est fréquent que le chat. Jabot Oesophagien Chat.
From dokumen.tips
(PPT) REFLUX GASTROOESOPHAGIEN Définition Physiopathologie Jabot Oesophagien Chat L’hypomotricité oesophagienne, une prédisposition génétique du siamois, est une des causes de mégaoesophage. Une prédisposition raciale est constatée chez le. Chez le chien et le chat, un jabot oesophagien est une dilatation localisée de l’oesophage en général secondaire à la persistance d’un anneau vasculaire congénital anormal. Dans ce cas, il est fréquent que le chat ait bon. Oesophagite chez le. Jabot Oesophagien Chat.
From lactualite.com
Comment traiter le reflux gastroœsophagien ? L’actualité Jabot Oesophagien Chat Oesophagite chez le chat et le chien : Une prédisposition raciale est constatée chez le. Chez le chat et le chien, les principales affections de l’œsophage sont. Chez le chien et le chat, un jabot oesophagien est une dilatation localisée de l’oesophage en général secondaire à la persistance d’un anneau vasculaire congénital anormal. Dans ce cas, il est fréquent que. Jabot Oesophagien Chat.
From veteriankey.com
The Canine and Feline Esophagus Veterian Key Jabot Oesophagien Chat L’hypomotricité oesophagienne, une prédisposition génétique du siamois, est une des causes de mégaoesophage. Oesophagite chez le chat et le chien : Le resserrement de l’œsophage induit ce qui est appelé un jabot œsophagien. Chez le chat et le chien, les principales affections de l’œsophage sont. Une prédisposition raciale est constatée chez le. Dans ce cas, il est fréquent que le. Jabot Oesophagien Chat.
From www.youtube.com
Demonstration of esophagostomy tube feeding a cat YouTube Jabot Oesophagien Chat Dans ce cas, il est fréquent que le chat ait bon. Le resserrement de l’œsophage induit ce qui est appelé un jabot œsophagien. Le jabot oesophagien est une dilatation localisée de l'oesophage qui résulte d'une malformation vasculaire congénitale (persistance du 4 ème. Chez le chien et le chat, un jabot oesophagien est une dilatation localisée de l’oesophage en général secondaire. Jabot Oesophagien Chat.
From chirurgie-besancon.fr
Cancer de l’œsophage Chirurgie viscerale & digestive Jabot Oesophagien Chat Dans ce cas, il est fréquent que le chat ait bon. Le resserrement de l’œsophage induit ce qui est appelé un jabot œsophagien. L’hypomotricité oesophagienne, une prédisposition génétique du siamois, est une des causes de mégaoesophage. Chez le chien et le chat, un jabot oesophagien est une dilatation localisée de l’oesophage en général secondaire à la persistance d’un anneau vasculaire. Jabot Oesophagien Chat.
From www.amazon.com
Comprendre et soigner le reflux gastroœsophagien question / réponse Jabot Oesophagien Chat L’hypomotricité oesophagienne, une prédisposition génétique du siamois, est une des causes de mégaoesophage. Une prédisposition raciale est constatée chez le. Chez le chien et le chat, un jabot oesophagien est une dilatation localisée de l’oesophage en général secondaire à la persistance d’un anneau vasculaire congénital anormal. Oesophagite chez le chat et le chien : Dans ce cas, il est fréquent. Jabot Oesophagien Chat.
From www.1stdibs.com
Martin Margiela Black Mesh "Jabot" SS 1994 at 1stDibs margiela jabot Jabot Oesophagien Chat Oesophagite chez le chat et le chien : L’hypomotricité oesophagienne, une prédisposition génétique du siamois, est une des causes de mégaoesophage. Dans ce cas, il est fréquent que le chat ait bon. Chez le chat et le chien, les principales affections de l’œsophage sont. Le jabot oesophagien est une dilatation localisée de l'oesophage qui résulte d'une malformation vasculaire congénitale (persistance. Jabot Oesophagien Chat.
From www.animedis.fr
La gastroentérologie chez le chien et le chat Animedis Jabot Oesophagien Chat Oesophagite chez le chat et le chien : Dans ce cas, il est fréquent que le chat ait bon. Une prédisposition raciale est constatée chez le. Le jabot oesophagien est une dilatation localisée de l'oesophage qui résulte d'une malformation vasculaire congénitale (persistance du 4 ème. L’hypomotricité oesophagienne, une prédisposition génétique du siamois, est une des causes de mégaoesophage. Chez le. Jabot Oesophagien Chat.
From www.chien.com
Le mégaoesophage chez le chien Jabot Oesophagien Chat Chez le chat et le chien, les principales affections de l’œsophage sont. Dans ce cas, il est fréquent que le chat ait bon. Le resserrement de l’œsophage induit ce qui est appelé un jabot œsophagien. Le jabot oesophagien est une dilatation localisée de l'oesophage qui résulte d'une malformation vasculaire congénitale (persistance du 4 ème. Une prédisposition raciale est constatée chez. Jabot Oesophagien Chat.
From www.oreille-malade.com
Nausée et RGO (reflux gastrooesophagien) • Oreille malade Jabot Oesophagien Chat Le jabot oesophagien est une dilatation localisée de l'oesophage qui résulte d'une malformation vasculaire congénitale (persistance du 4 ème. Dans ce cas, il est fréquent que le chat ait bon. Chez le chat et le chien, les principales affections de l’œsophage sont. Une prédisposition raciale est constatée chez le. Chez le chien et le chat, un jabot oesophagien est une. Jabot Oesophagien Chat.
From www.high-everydaycouture.com
TEMPTATION Silk satin shirt with asymmetrical jabot Jabot Oesophagien Chat L’hypomotricité oesophagienne, une prédisposition génétique du siamois, est une des causes de mégaoesophage. Le resserrement de l’œsophage induit ce qui est appelé un jabot œsophagien. Oesophagite chez le chat et le chien : Le jabot oesophagien est une dilatation localisée de l'oesophage qui résulte d'une malformation vasculaire congénitale (persistance du 4 ème. Chez le chien et le chat, un jabot. Jabot Oesophagien Chat.
From www.slideserve.com
PPT REFLUX OESOPHAGIEN ET OESOPHAGITE PowerPoint Presentation, free Jabot Oesophagien Chat Le resserrement de l’œsophage induit ce qui est appelé un jabot œsophagien. Dans ce cas, il est fréquent que le chat ait bon. Une prédisposition raciale est constatée chez le. Chez le chien et le chat, un jabot oesophagien est une dilatation localisée de l’oesophage en général secondaire à la persistance d’un anneau vasculaire congénital anormal. Chez le chat et. Jabot Oesophagien Chat.
From dokumen.tips
(PPT) LAPPAREIL DIGESTIF. Reflux gastrœsophagien (RGE) DÉF reflux du Jabot Oesophagien Chat Oesophagite chez le chat et le chien : L’hypomotricité oesophagienne, une prédisposition génétique du siamois, est une des causes de mégaoesophage. Une prédisposition raciale est constatée chez le. Chez le chien et le chat, un jabot oesophagien est une dilatation localisée de l’oesophage en général secondaire à la persistance d’un anneau vasculaire congénital anormal. Chez le chat et le chien,. Jabot Oesophagien Chat.
From www.youtube.com
LE MEGA OESOPHAGE CHEZ LE CHIEN YouTube Jabot Oesophagien Chat L’hypomotricité oesophagienne, une prédisposition génétique du siamois, est une des causes de mégaoesophage. Le jabot oesophagien est une dilatation localisée de l'oesophage qui résulte d'une malformation vasculaire congénitale (persistance du 4 ème. Le resserrement de l’œsophage induit ce qui est appelé un jabot œsophagien. Une prédisposition raciale est constatée chez le. Chez le chien et le chat, un jabot oesophagien. Jabot Oesophagien Chat.
From aixiancevet.com
Radiologie Clinique Vétérinaire AixianceVet AixenProvence Puyricard Jabot Oesophagien Chat Dans ce cas, il est fréquent que le chat ait bon. Chez le chien et le chat, un jabot oesophagien est une dilatation localisée de l’oesophage en général secondaire à la persistance d’un anneau vasculaire congénital anormal. Le jabot oesophagien est une dilatation localisée de l'oesophage qui résulte d'une malformation vasculaire congénitale (persistance du 4 ème. Oesophagite chez le chat. Jabot Oesophagien Chat.
From mon-osteo-paris.fr
Reflux GastroOesophagien Ostéopathe à Paris 13 et Paris 15 Jabot Oesophagien Chat Oesophagite chez le chat et le chien : Une prédisposition raciale est constatée chez le. Dans ce cas, il est fréquent que le chat ait bon. Le resserrement de l’œsophage induit ce qui est appelé un jabot œsophagien. Chez le chat et le chien, les principales affections de l’œsophage sont. Chez le chien et le chat, un jabot oesophagien est. Jabot Oesophagien Chat.
From pdfslide.net
(PPT) Reflux gastrooesophagien et toux chronique de ladulte Prise en Jabot Oesophagien Chat Chez le chat et le chien, les principales affections de l’œsophage sont. Chez le chien et le chat, un jabot oesophagien est une dilatation localisée de l’oesophage en général secondaire à la persistance d’un anneau vasculaire congénital anormal. Une prédisposition raciale est constatée chez le. L’hypomotricité oesophagienne, une prédisposition génétique du siamois, est une des causes de mégaoesophage. Le jabot. Jabot Oesophagien Chat.
From open.lib.umn.edu
Regurgitation Vet Med Applied GI Physiology Supplemental Notes Jabot Oesophagien Chat Oesophagite chez le chat et le chien : Le resserrement de l’œsophage induit ce qui est appelé un jabot œsophagien. Chez le chien et le chat, un jabot oesophagien est une dilatation localisée de l’oesophage en général secondaire à la persistance d’un anneau vasculaire congénital anormal. Une prédisposition raciale est constatée chez le. Le jabot oesophagien est une dilatation localisée. Jabot Oesophagien Chat.
From www.vetpixel.com
Cas Un cas d'invagination gastrooesophagienne chez un jeune chien Jabot Oesophagien Chat Une prédisposition raciale est constatée chez le. Oesophagite chez le chat et le chien : Dans ce cas, il est fréquent que le chat ait bon. Chez le chat et le chien, les principales affections de l’œsophage sont. L’hypomotricité oesophagienne, une prédisposition génétique du siamois, est une des causes de mégaoesophage. Le resserrement de l’œsophage induit ce qui est appelé. Jabot Oesophagien Chat.
From www.linuxadictos.com
ChatGPT Plus the best service with the best AI will cost €20/month Jabot Oesophagien Chat Chez le chat et le chien, les principales affections de l’œsophage sont. Dans ce cas, il est fréquent que le chat ait bon. Le resserrement de l’œsophage induit ce qui est appelé un jabot œsophagien. L’hypomotricité oesophagienne, une prédisposition génétique du siamois, est une des causes de mégaoesophage. Oesophagite chez le chat et le chien : Le jabot oesophagien est. Jabot Oesophagien Chat.
From fr.depositphotos.com
Reflux gastroœsophagien image vectorielle par Pikovit © Illustration Jabot Oesophagien Chat Dans ce cas, il est fréquent que le chat ait bon. Une prédisposition raciale est constatée chez le. Le jabot oesophagien est une dilatation localisée de l'oesophage qui résulte d'une malformation vasculaire congénitale (persistance du 4 ème. Le resserrement de l’œsophage induit ce qui est appelé un jabot œsophagien. L’hypomotricité oesophagienne, une prédisposition génétique du siamois, est une des causes. Jabot Oesophagien Chat.
From www.joliesplumesetcretesauvent.fr
La vilaine aventure du jabot bouché chez une poule Jolies plumes et Jabot Oesophagien Chat Dans ce cas, il est fréquent que le chat ait bon. L’hypomotricité oesophagienne, une prédisposition génétique du siamois, est une des causes de mégaoesophage. Le jabot oesophagien est une dilatation localisée de l'oesophage qui résulte d'une malformation vasculaire congénitale (persistance du 4 ème. Oesophagite chez le chat et le chien : Une prédisposition raciale est constatée chez le. Chez le. Jabot Oesophagien Chat.
From www.slideserve.com
PPT causes d'oesophagites en dehors du reflux gastrooesophagien Jabot Oesophagien Chat Une prédisposition raciale est constatée chez le. Le resserrement de l’œsophage induit ce qui est appelé un jabot œsophagien. Chez le chat et le chien, les principales affections de l’œsophage sont. Dans ce cas, il est fréquent que le chat ait bon. Oesophagite chez le chat et le chien : Le jabot oesophagien est une dilatation localisée de l'oesophage qui. Jabot Oesophagien Chat.
From www.slideserve.com
PPT REFLUX OESOPHAGIEN ET OESOPHAGITE PowerPoint Presentation, free Jabot Oesophagien Chat Le resserrement de l’œsophage induit ce qui est appelé un jabot œsophagien. L’hypomotricité oesophagienne, une prédisposition génétique du siamois, est une des causes de mégaoesophage. Chez le chat et le chien, les principales affections de l’œsophage sont. Dans ce cas, il est fréquent que le chat ait bon. Oesophagite chez le chat et le chien : Une prédisposition raciale est. Jabot Oesophagien Chat.
From www.petcoach.co
Esophageal foreign bodies in dogs PetCoach Jabot Oesophagien Chat Chez le chien et le chat, un jabot oesophagien est une dilatation localisée de l’oesophage en général secondaire à la persistance d’un anneau vasculaire congénital anormal. Chez le chat et le chien, les principales affections de l’œsophage sont. Le resserrement de l’œsophage induit ce qui est appelé un jabot œsophagien. Une prédisposition raciale est constatée chez le. Le jabot oesophagien. Jabot Oesophagien Chat.
From www.leetchi.com
Cagnotte Opération jabot oesophagien de Pablo le petit sphynx Jabot Oesophagien Chat Le jabot oesophagien est une dilatation localisée de l'oesophage qui résulte d'une malformation vasculaire congénitale (persistance du 4 ème. Dans ce cas, il est fréquent que le chat ait bon. Chez le chien et le chat, un jabot oesophagien est une dilatation localisée de l’oesophage en général secondaire à la persistance d’un anneau vasculaire congénital anormal. Oesophagite chez le chat. Jabot Oesophagien Chat.
From www.brisbanepetsurgery.com.au
Oesophageal Foreign Bodies in Dogs, Treatment and Cost in Brisbane Jabot Oesophagien Chat Chez le chien et le chat, un jabot oesophagien est une dilatation localisée de l’oesophage en général secondaire à la persistance d’un anneau vasculaire congénital anormal. Une prédisposition raciale est constatée chez le. Le jabot oesophagien est une dilatation localisée de l'oesophage qui résulte d'une malformation vasculaire congénitale (persistance du 4 ème. Le resserrement de l’œsophage induit ce qui est. Jabot Oesophagien Chat.
From www.vetpixel.com
Cas Un cas de jabot oesophagien secondaire a une persistance du Jabot Oesophagien Chat L’hypomotricité oesophagienne, une prédisposition génétique du siamois, est une des causes de mégaoesophage. Une prédisposition raciale est constatée chez le. Oesophagite chez le chat et le chien : Dans ce cas, il est fréquent que le chat ait bon. Le jabot oesophagien est une dilatation localisée de l'oesophage qui résulte d'une malformation vasculaire congénitale (persistance du 4 ème. Chez le. Jabot Oesophagien Chat.