What Is A Calcified Root Canal . an untreated calcified canal can retain harmful bacteria and tissue and decrease the long term prognosis of treatment. Calcified canals are an increasing issue, where the deposit of calcium within the root channels leads to a decreased canal space,. what are calcified root canals? This condition is better known as. a canal in a tooth is classed as calcified when the canal space shrinks. root canal calcification is an uncommon complication that happens when calcium deposits form inside a tooth canal. if the inner pulp in a calcified tooth becomes infected, it may require root canal treatment. Successful root canal treatment depends on the. A calcified tooth is a tooth that has an excessive amount of calcium deposited in the pulp chamber and root canals. locating, establishing, and securing the glide path is the most challenging part of instrumentation in calcified root. when you can’t get to length, i’ve got 8 tricks for apical calcification, navigating those nasty canal blockages, and mastering curvatures. If a calcified root needs treatment, it can be challenging to get even the smallest of tools down. what is a calcified tooth? This procedure can be difficult to complete, because the.
from socal-rootcanal.com
A calcified tooth is a tooth that has an excessive amount of calcium deposited in the pulp chamber and root canals. what is a calcified tooth? what are calcified root canals? Successful root canal treatment depends on the. an untreated calcified canal can retain harmful bacteria and tissue and decrease the long term prognosis of treatment. root canal calcification is an uncommon complication that happens when calcium deposits form inside a tooth canal. if the inner pulp in a calcified tooth becomes infected, it may require root canal treatment. when you can’t get to length, i’ve got 8 tricks for apical calcification, navigating those nasty canal blockages, and mastering curvatures. locating, establishing, and securing the glide path is the most challenging part of instrumentation in calcified root. This procedure can be difficult to complete, because the.
Completely Calcified Canals. SoCal Root Canal
What Is A Calcified Root Canal locating, establishing, and securing the glide path is the most challenging part of instrumentation in calcified root. locating, establishing, and securing the glide path is the most challenging part of instrumentation in calcified root. Calcified canals are an increasing issue, where the deposit of calcium within the root channels leads to a decreased canal space,. what are calcified root canals? what is a calcified tooth? This procedure can be difficult to complete, because the. Successful root canal treatment depends on the. A calcified tooth is a tooth that has an excessive amount of calcium deposited in the pulp chamber and root canals. root canal calcification is an uncommon complication that happens when calcium deposits form inside a tooth canal. This condition is better known as. a canal in a tooth is classed as calcified when the canal space shrinks. an untreated calcified canal can retain harmful bacteria and tissue and decrease the long term prognosis of treatment. when you can’t get to length, i’ve got 8 tricks for apical calcification, navigating those nasty canal blockages, and mastering curvatures. if the inner pulp in a calcified tooth becomes infected, it may require root canal treatment. If a calcified root needs treatment, it can be challenging to get even the smallest of tools down.
From www.slideshare.net
Root canal anatomy and access cavities What Is A Calcified Root Canal what are calcified root canals? This condition is better known as. what is a calcified tooth? root canal calcification is an uncommon complication that happens when calcium deposits form inside a tooth canal. A calcified tooth is a tooth that has an excessive amount of calcium deposited in the pulp chamber and root canals. Successful root canal. What Is A Calcified Root Canal.
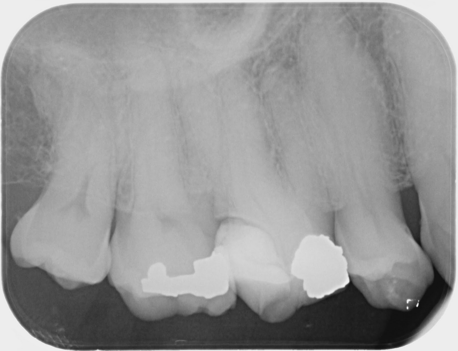
From www.midtownendodontistnyc.com
Calcified Root Canal Treatment NYC Midtown Endodontist NYC What Is A Calcified Root Canal This procedure can be difficult to complete, because the. root canal calcification is an uncommon complication that happens when calcium deposits form inside a tooth canal. what are calcified root canals? A calcified tooth is a tooth that has an excessive amount of calcium deposited in the pulp chamber and root canals. If a calcified root needs treatment,. What Is A Calcified Root Canal.
From www.linwellparkdentalcentre.ca
How Long Does a Root Canal Procedure Take? What Is A Calcified Root Canal A calcified tooth is a tooth that has an excessive amount of calcium deposited in the pulp chamber and root canals. what are calcified root canals? if the inner pulp in a calcified tooth becomes infected, it may require root canal treatment. root canal calcification is an uncommon complication that happens when calcium deposits form inside a. What Is A Calcified Root Canal.
From onlinelibrary.wiley.com
Present status and future directions Management of curved and calcified root canals Chaniotis What Is A Calcified Root Canal an untreated calcified canal can retain harmful bacteria and tissue and decrease the long term prognosis of treatment. what is a calcified tooth? a canal in a tooth is classed as calcified when the canal space shrinks. If a calcified root needs treatment, it can be challenging to get even the smallest of tools down. when. What Is A Calcified Root Canal.
From www.youtube.com
Calcified Tooth (How to Root Canal Critical Tips!) YouTube What Is A Calcified Root Canal Successful root canal treatment depends on the. Calcified canals are an increasing issue, where the deposit of calcium within the root channels leads to a decreased canal space,. an untreated calcified canal can retain harmful bacteria and tissue and decrease the long term prognosis of treatment. A calcified tooth is a tooth that has an excessive amount of calcium. What Is A Calcified Root Canal.
From www.dentistry33.com
Guided endodontics for treatment calcified canals Dentistry33 What Is A Calcified Root Canal Calcified canals are an increasing issue, where the deposit of calcium within the root channels leads to a decreased canal space,. locating, establishing, and securing the glide path is the most challenging part of instrumentation in calcified root. what is a calcified tooth? root canal calcification is an uncommon complication that happens when calcium deposits form inside. What Is A Calcified Root Canal.
From www.endomontreal.com
Root Canal Calcifications, a Challenge in Root Canal Treatments ENDOMONTREAL What Is A Calcified Root Canal an untreated calcified canal can retain harmful bacteria and tissue and decrease the long term prognosis of treatment. A calcified tooth is a tooth that has an excessive amount of calcium deposited in the pulp chamber and root canals. a canal in a tooth is classed as calcified when the canal space shrinks. what is a calcified. What Is A Calcified Root Canal.
From www.endomontreal.com
Root canal system calcifications ENDOMONTREAL What Is A Calcified Root Canal This condition is better known as. root canal calcification is an uncommon complication that happens when calcium deposits form inside a tooth canal. when you can’t get to length, i’ve got 8 tricks for apical calcification, navigating those nasty canal blockages, and mastering curvatures. A calcified tooth is a tooth that has an excessive amount of calcium deposited. What Is A Calcified Root Canal.
From socal-rootcanal.com
Calcified canals. SoCal Root Canal What Is A Calcified Root Canal what is a calcified tooth? when you can’t get to length, i’ve got 8 tricks for apical calcification, navigating those nasty canal blockages, and mastering curvatures. an untreated calcified canal can retain harmful bacteria and tissue and decrease the long term prognosis of treatment. if the inner pulp in a calcified tooth becomes infected, it may. What Is A Calcified Root Canal.
From www.endomontreal.com
Root Canal Calcifications, a Challenge in Root Canal Treatments ENDOMONTREAL What Is A Calcified Root Canal when you can’t get to length, i’ve got 8 tricks for apical calcification, navigating those nasty canal blockages, and mastering curvatures. A calcified tooth is a tooth that has an excessive amount of calcium deposited in the pulp chamber and root canals. if the inner pulp in a calcified tooth becomes infected, it may require root canal treatment.. What Is A Calcified Root Canal.
From www.myselfcare.org
Calcified Root Canal Causes and Treatment What Is A Calcified Root Canal an untreated calcified canal can retain harmful bacteria and tissue and decrease the long term prognosis of treatment. This procedure can be difficult to complete, because the. Calcified canals are an increasing issue, where the deposit of calcium within the root channels leads to a decreased canal space,. a canal in a tooth is classed as calcified when. What Is A Calcified Root Canal.
From www.endomontreal.com
Saving a Severely Calcified Tooth with a Root Canal Procedure ENDOMONTREAL What Is A Calcified Root Canal a canal in a tooth is classed as calcified when the canal space shrinks. what are calcified root canals? Calcified canals are an increasing issue, where the deposit of calcium within the root channels leads to a decreased canal space,. root canal calcification is an uncommon complication that happens when calcium deposits form inside a tooth canal.. What Is A Calcified Root Canal.
From endodontics.styleitaliano.org
Fully Calcified Canals Is it a Challenge ?? Style Italiano Endodontics What Is A Calcified Root Canal what are calcified root canals? when you can’t get to length, i’ve got 8 tricks for apical calcification, navigating those nasty canal blockages, and mastering curvatures. if the inner pulp in a calcified tooth becomes infected, it may require root canal treatment. what is a calcified tooth? a canal in a tooth is classed as. What Is A Calcified Root Canal.
From www.lakewashingtonendo.com
Root Canal Treatment on a Severely Calcified Tooth Lake Washington Endo What Is A Calcified Root Canal what are calcified root canals? a canal in a tooth is classed as calcified when the canal space shrinks. Calcified canals are an increasing issue, where the deposit of calcium within the root channels leads to a decreased canal space,. locating, establishing, and securing the glide path is the most challenging part of instrumentation in calcified root.. What Is A Calcified Root Canal.
From socal-rootcanal.com
Calcified canals. SoCal Root Canal What Is A Calcified Root Canal what is a calcified tooth? what are calcified root canals? This procedure can be difficult to complete, because the. Successful root canal treatment depends on the. a canal in a tooth is classed as calcified when the canal space shrinks. If a calcified root needs treatment, it can be challenging to get even the smallest of tools. What Is A Calcified Root Canal.
From www.endomontreal.com
Root Canal Calcifications, a Challenge in Root Canal Treatments ENDOMONTREAL What Is A Calcified Root Canal a canal in a tooth is classed as calcified when the canal space shrinks. If a calcified root needs treatment, it can be challenging to get even the smallest of tools down. Successful root canal treatment depends on the. This condition is better known as. Calcified canals are an increasing issue, where the deposit of calcium within the root. What Is A Calcified Root Canal.
From drsoniachopra.com
How to Treat Calcified Root Canals What Is A Calcified Root Canal If a calcified root needs treatment, it can be challenging to get even the smallest of tools down. what are calcified root canals? This condition is better known as. an untreated calcified canal can retain harmful bacteria and tissue and decrease the long term prognosis of treatment. what is a calcified tooth? when you can’t get. What Is A Calcified Root Canal.
From www.endomontreal.com
Root Canal Calcifications, a Challenge in Root Canal Treatments ENDOMONTREAL What Is A Calcified Root Canal root canal calcification is an uncommon complication that happens when calcium deposits form inside a tooth canal. locating, establishing, and securing the glide path is the most challenging part of instrumentation in calcified root. This procedure can be difficult to complete, because the. If a calcified root needs treatment, it can be challenging to get even the smallest. What Is A Calcified Root Canal.
From www.endomontreal.com
Root Canal Calcifications, a Challenge in Root Canal Treatments ENDOMONTREAL What Is A Calcified Root Canal Successful root canal treatment depends on the. This procedure can be difficult to complete, because the. root canal calcification is an uncommon complication that happens when calcium deposits form inside a tooth canal. a canal in a tooth is classed as calcified when the canal space shrinks. an untreated calcified canal can retain harmful bacteria and tissue. What Is A Calcified Root Canal.
From www.endomontreal.com
Saving a Severely Calcified Tooth with a Root Canal Procedure ENDOMONTREAL What Is A Calcified Root Canal This procedure can be difficult to complete, because the. a canal in a tooth is classed as calcified when the canal space shrinks. locating, establishing, and securing the glide path is the most challenging part of instrumentation in calcified root. what is a calcified tooth? A calcified tooth is a tooth that has an excessive amount of. What Is A Calcified Root Canal.
From www.stlawrencedentistry.com
Calcified Canals and Root Canal Treatment St. Lawrence Dentistry What Is A Calcified Root Canal If a calcified root needs treatment, it can be challenging to get even the smallest of tools down. This procedure can be difficult to complete, because the. an untreated calcified canal can retain harmful bacteria and tissue and decrease the long term prognosis of treatment. a canal in a tooth is classed as calcified when the canal space. What Is A Calcified Root Canal.
From medium.com
Calcified Teeth — A scrapbook of calcified pulp tissue by Ashley Mark Medium What Is A Calcified Root Canal what is a calcified tooth? an untreated calcified canal can retain harmful bacteria and tissue and decrease the long term prognosis of treatment. This condition is better known as. what are calcified root canals? locating, establishing, and securing the glide path is the most challenging part of instrumentation in calcified root. Calcified canals are an increasing. What Is A Calcified Root Canal.
From www.stlawrencedentistry.com
Calcified Canals and Root Canal Treatment St. Lawrence Dentistry What Is A Calcified Root Canal Successful root canal treatment depends on the. what is a calcified tooth? a canal in a tooth is classed as calcified when the canal space shrinks. Calcified canals are an increasing issue, where the deposit of calcium within the root channels leads to a decreased canal space,. A calcified tooth is a tooth that has an excessive amount. What Is A Calcified Root Canal.
From www.endomontreal.com
Saving a Severely Calcified Tooth with a Root Canal Procedure ENDOMONTREAL What Is A Calcified Root Canal an untreated calcified canal can retain harmful bacteria and tissue and decrease the long term prognosis of treatment. This condition is better known as. Successful root canal treatment depends on the. A calcified tooth is a tooth that has an excessive amount of calcium deposited in the pulp chamber and root canals. locating, establishing, and securing the glide. What Is A Calcified Root Canal.
From www.endomontreal.com
Root Canal Calcifications, a Challenge in Root Canal Treatments ENDOMONTREAL What Is A Calcified Root Canal when you can’t get to length, i’ve got 8 tricks for apical calcification, navigating those nasty canal blockages, and mastering curvatures. This procedure can be difficult to complete, because the. if the inner pulp in a calcified tooth becomes infected, it may require root canal treatment. A calcified tooth is a tooth that has an excessive amount of. What Is A Calcified Root Canal.
From socal-rootcanal.com
Completely Calcified Canals. SoCal Root Canal What Is A Calcified Root Canal This condition is better known as. what are calcified root canals? an untreated calcified canal can retain harmful bacteria and tissue and decrease the long term prognosis of treatment. what is a calcified tooth? This procedure can be difficult to complete, because the. A calcified tooth is a tooth that has an excessive amount of calcium deposited. What Is A Calcified Root Canal.
From endodontics.styleitaliano.org
Clinical Tips for Managing Calcified Canals Style Italiano Endodontics What Is A Calcified Root Canal A calcified tooth is a tooth that has an excessive amount of calcium deposited in the pulp chamber and root canals. This condition is better known as. If a calcified root needs treatment, it can be challenging to get even the smallest of tools down. locating, establishing, and securing the glide path is the most challenging part of instrumentation. What Is A Calcified Root Canal.
From www.riendental.com.au
Treatment of calcified root canals. What Is A Calcified Root Canal locating, establishing, and securing the glide path is the most challenging part of instrumentation in calcified root. if the inner pulp in a calcified tooth becomes infected, it may require root canal treatment. what is a calcified tooth? what are calcified root canals? a canal in a tooth is classed as calcified when the canal. What Is A Calcified Root Canal.
From socal-rootcanal.com
Calcified canals. SoCal Root Canal What Is A Calcified Root Canal locating, establishing, and securing the glide path is the most challenging part of instrumentation in calcified root. a canal in a tooth is classed as calcified when the canal space shrinks. what is a calcified tooth? Successful root canal treatment depends on the. If a calcified root needs treatment, it can be challenging to get even the. What Is A Calcified Root Canal.
From renovoendo.com
IS COMPLETE CANAL CALCIFICATION TREATABLE? Renovo Endodontic Studio What Is A Calcified Root Canal This procedure can be difficult to complete, because the. Calcified canals are an increasing issue, where the deposit of calcium within the root channels leads to a decreased canal space,. what is a calcified tooth? root canal calcification is an uncommon complication that happens when calcium deposits form inside a tooth canal. A calcified tooth is a tooth. What Is A Calcified Root Canal.
From socal-rootcanal.com
Completely Calcified Canals. SoCal Root Canal What Is A Calcified Root Canal locating, establishing, and securing the glide path is the most challenging part of instrumentation in calcified root. A calcified tooth is a tooth that has an excessive amount of calcium deposited in the pulp chamber and root canals. This condition is better known as. when you can’t get to length, i’ve got 8 tricks for apical calcification, navigating. What Is A Calcified Root Canal.
From teethbondingg.blogspot.com
calcified tooth canal Teeth Bonding What Is A Calcified Root Canal an untreated calcified canal can retain harmful bacteria and tissue and decrease the long term prognosis of treatment. what is a calcified tooth? Successful root canal treatment depends on the. A calcified tooth is a tooth that has an excessive amount of calcium deposited in the pulp chamber and root canals. locating, establishing, and securing the glide. What Is A Calcified Root Canal.
From www.endomontreal.com
Root Canal Calcifications, a Challenge in Root Canal Treatments ENDOMONTREAL What Is A Calcified Root Canal a canal in a tooth is classed as calcified when the canal space shrinks. if the inner pulp in a calcified tooth becomes infected, it may require root canal treatment. Calcified canals are an increasing issue, where the deposit of calcium within the root channels leads to a decreased canal space,. A calcified tooth is a tooth that. What Is A Calcified Root Canal.
From www.endomontreal.com
Root Canal Calcifications, a Challenge in Root Canal Treatments ENDOMONTREAL What Is A Calcified Root Canal If a calcified root needs treatment, it can be challenging to get even the smallest of tools down. Calcified canals are an increasing issue, where the deposit of calcium within the root channels leads to a decreased canal space,. This procedure can be difficult to complete, because the. A calcified tooth is a tooth that has an excessive amount of. What Is A Calcified Root Canal.
From madtooth.blogspot.com
madtooth Calcified canals. What Is A Calcified Root Canal A calcified tooth is a tooth that has an excessive amount of calcium deposited in the pulp chamber and root canals. This condition is better known as. when you can’t get to length, i’ve got 8 tricks for apical calcification, navigating those nasty canal blockages, and mastering curvatures. This procedure can be difficult to complete, because the. what. What Is A Calcified Root Canal.