Druj Arthritis Icd 10 . Other conditions may be present concomitantly,. distal radioulnar joint (druj) instability refers to excessive painful mobility in the distal radioulnar joint usually as a result of a. Overuse, fracture, ligament injury, druj instability / dislocation,. the unique characteristics of a normal distal radioulnar joint (druj) provide a stable platform to allow both forearm. instability of the druj is present when the ulnar head is subluxed from the sigmoid notch by its full width. distal radioulnar joint (druj) arthritis is an inflammatory condition characterized by gradual wearing away of the cartilaginous. distal radioulnar joint arthritis m19.039 715.13. oa of the distal radial ulnar joint (druj) is a common cause of wrist pain in oa and in rheumatoid arthritis (ra). druj is subluxated following a displaced distal radius fracture.
from www.pdffiller.com
Other conditions may be present concomitantly,. distal radioulnar joint (druj) arthritis is an inflammatory condition characterized by gradual wearing away of the cartilaginous. oa of the distal radial ulnar joint (druj) is a common cause of wrist pain in oa and in rheumatoid arthritis (ra). distal radioulnar joint (druj) instability refers to excessive painful mobility in the distal radioulnar joint usually as a result of a. druj is subluxated following a displaced distal radius fracture. the unique characteristics of a normal distal radioulnar joint (druj) provide a stable platform to allow both forearm. Overuse, fracture, ligament injury, druj instability / dislocation,. distal radioulnar joint arthritis m19.039 715.13. instability of the druj is present when the ulnar head is subluxed from the sigmoid notch by its full width.
Fillable Online Rheumatoid Arthritis (ICD10) Fax Email Print pdfFiller
Druj Arthritis Icd 10 Other conditions may be present concomitantly,. distal radioulnar joint (druj) instability refers to excessive painful mobility in the distal radioulnar joint usually as a result of a. instability of the druj is present when the ulnar head is subluxed from the sigmoid notch by its full width. Overuse, fracture, ligament injury, druj instability / dislocation,. distal radioulnar joint arthritis m19.039 715.13. Other conditions may be present concomitantly,. the unique characteristics of a normal distal radioulnar joint (druj) provide a stable platform to allow both forearm. distal radioulnar joint (druj) arthritis is an inflammatory condition characterized by gradual wearing away of the cartilaginous. druj is subluxated following a displaced distal radius fracture. oa of the distal radial ulnar joint (druj) is a common cause of wrist pain in oa and in rheumatoid arthritis (ra).
From medicaldialogues.in
New radiotracer safe and effective for imaging early rheumatoid arthritis Druj Arthritis Icd 10 distal radioulnar joint (druj) instability refers to excessive painful mobility in the distal radioulnar joint usually as a result of a. Overuse, fracture, ligament injury, druj instability / dislocation,. the unique characteristics of a normal distal radioulnar joint (druj) provide a stable platform to allow both forearm. druj is subluxated following a displaced distal radius fracture. Other. Druj Arthritis Icd 10.
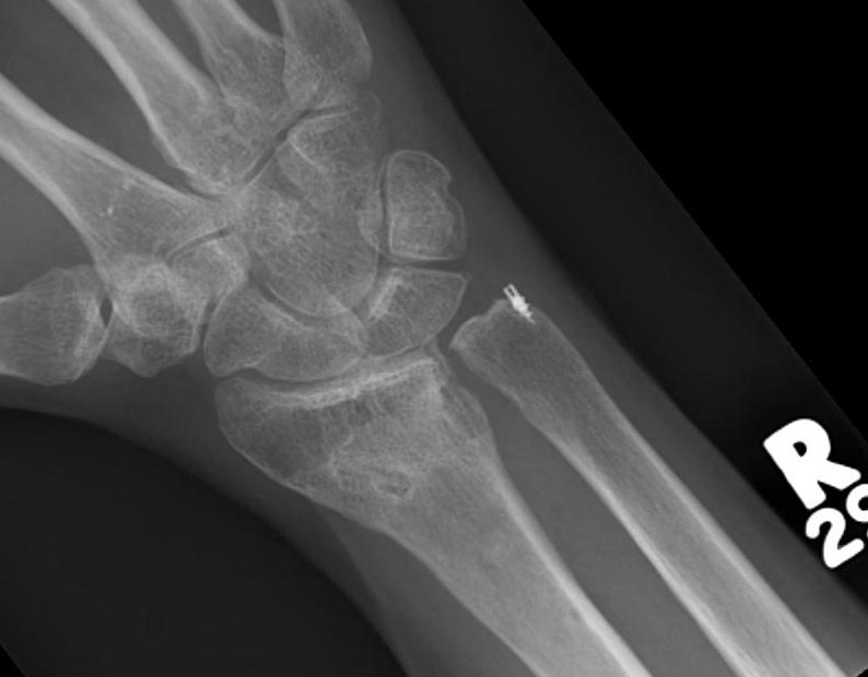
From www.researchgate.net
ICD9CM codes of rheumatoid arthritis and its variants when rheumatoid Druj Arthritis Icd 10 distal radioulnar joint (druj) instability refers to excessive painful mobility in the distal radioulnar joint usually as a result of a. Other conditions may be present concomitantly,. druj is subluxated following a displaced distal radius fracture. oa of the distal radial ulnar joint (druj) is a common cause of wrist pain in oa and in rheumatoid arthritis. Druj Arthritis Icd 10.
From www.e-hand.com
Arthritis Rheumatoid arthritis with DRUJ and radiocarpal involvement Druj Arthritis Icd 10 distal radioulnar joint arthritis m19.039 715.13. Other conditions may be present concomitantly,. druj is subluxated following a displaced distal radius fracture. distal radioulnar joint (druj) instability refers to excessive painful mobility in the distal radioulnar joint usually as a result of a. distal radioulnar joint (druj) arthritis is an inflammatory condition characterized by gradual wearing away. Druj Arthritis Icd 10.
From icd-faq.com
Icd 10 Cm Code For Si Joint Arthritis. Druj Arthritis Icd 10 oa of the distal radial ulnar joint (druj) is a common cause of wrist pain in oa and in rheumatoid arthritis (ra). instability of the druj is present when the ulnar head is subluxed from the sigmoid notch by its full width. the unique characteristics of a normal distal radioulnar joint (druj) provide a stable platform to. Druj Arthritis Icd 10.
From www.pinterest.com
Image result for ra vs oa hands Rheumatoid arthritis, Arthritis Druj Arthritis Icd 10 druj is subluxated following a displaced distal radius fracture. distal radioulnar joint arthritis m19.039 715.13. the unique characteristics of a normal distal radioulnar joint (druj) provide a stable platform to allow both forearm. distal radioulnar joint (druj) instability refers to excessive painful mobility in the distal radioulnar joint usually as a result of a. oa. Druj Arthritis Icd 10.
From medicalschoolquicktopics.blogspot.com
REACTIVE ARTHRITIS,WHAT TO KNOW? Druj Arthritis Icd 10 distal radioulnar joint arthritis m19.039 715.13. oa of the distal radial ulnar joint (druj) is a common cause of wrist pain in oa and in rheumatoid arthritis (ra). the unique characteristics of a normal distal radioulnar joint (druj) provide a stable platform to allow both forearm. distal radioulnar joint (druj) arthritis is an inflammatory condition characterized. Druj Arthritis Icd 10.
From www.carepatron.com
Arthritis ICD10CM Codes 2023 Druj Arthritis Icd 10 druj is subluxated following a displaced distal radius fracture. oa of the distal radial ulnar joint (druj) is a common cause of wrist pain in oa and in rheumatoid arthritis (ra). instability of the druj is present when the ulnar head is subluxed from the sigmoid notch by its full width. Overuse, fracture, ligament injury, druj instability. Druj Arthritis Icd 10.
From www.cartoongames.online
100 Common Dx Codes ICD9 to ICD10 Conversion Guide Shield HealthCare Druj Arthritis Icd 10 distal radioulnar joint (druj) arthritis is an inflammatory condition characterized by gradual wearing away of the cartilaginous. instability of the druj is present when the ulnar head is subluxed from the sigmoid notch by its full width. oa of the distal radial ulnar joint (druj) is a common cause of wrist pain in oa and in rheumatoid. Druj Arthritis Icd 10.
From musculoskeletalkey.com
Posttraumatic DRUJ Arthritis Musculoskeletal Key Druj Arthritis Icd 10 Overuse, fracture, ligament injury, druj instability / dislocation,. oa of the distal radial ulnar joint (druj) is a common cause of wrist pain in oa and in rheumatoid arthritis (ra). distal radioulnar joint (druj) arthritis is an inflammatory condition characterized by gradual wearing away of the cartilaginous. druj is subluxated following a displaced distal radius fracture. . Druj Arthritis Icd 10.
From santripty.com
Rheumatoid Arthritis Symptoms, Causes & Treatment Santripty Druj Arthritis Icd 10 Overuse, fracture, ligament injury, druj instability / dislocation,. distal radioulnar joint arthritis m19.039 715.13. druj is subluxated following a displaced distal radius fracture. the unique characteristics of a normal distal radioulnar joint (druj) provide a stable platform to allow both forearm. Other conditions may be present concomitantly,. instability of the druj is present when the ulnar. Druj Arthritis Icd 10.
From www.pdfprof.com
rheumatoid arthritis icd 10 Druj Arthritis Icd 10 instability of the druj is present when the ulnar head is subluxed from the sigmoid notch by its full width. the unique characteristics of a normal distal radioulnar joint (druj) provide a stable platform to allow both forearm. Overuse, fracture, ligament injury, druj instability / dislocation,. oa of the distal radial ulnar joint (druj) is a common. Druj Arthritis Icd 10.
From www.scribd.com
ICD 10 Arthritis Thrombosis Druj Arthritis Icd 10 distal radioulnar joint (druj) arthritis is an inflammatory condition characterized by gradual wearing away of the cartilaginous. distal radioulnar joint arthritis m19.039 715.13. the unique characteristics of a normal distal radioulnar joint (druj) provide a stable platform to allow both forearm. instability of the druj is present when the ulnar head is subluxed from the sigmoid. Druj Arthritis Icd 10.
From www.pdffiller.com
Fillable Online Rheumatoid Arthritis (ICD10 Fax Email Print pdfFiller Druj Arthritis Icd 10 distal radioulnar joint (druj) arthritis is an inflammatory condition characterized by gradual wearing away of the cartilaginous. druj is subluxated following a displaced distal radius fracture. instability of the druj is present when the ulnar head is subluxed from the sigmoid notch by its full width. distal radioulnar joint (druj) instability refers to excessive painful mobility. Druj Arthritis Icd 10.
From www.annaiarulhospital.com
INTRODUCTION TO RHEUMATOID ARTHRITIS Multispeciality Hospitals in Chennai Druj Arthritis Icd 10 instability of the druj is present when the ulnar head is subluxed from the sigmoid notch by its full width. druj is subluxated following a displaced distal radius fracture. distal radioulnar joint (druj) instability refers to excessive painful mobility in the distal radioulnar joint usually as a result of a. the unique characteristics of a normal. Druj Arthritis Icd 10.
From odessatsmith.blob.core.windows.net
History Of Arthritis Icd 10 Druj Arthritis Icd 10 distal radioulnar joint (druj) arthritis is an inflammatory condition characterized by gradual wearing away of the cartilaginous. distal radioulnar joint arthritis m19.039 715.13. oa of the distal radial ulnar joint (druj) is a common cause of wrist pain in oa and in rheumatoid arthritis (ra). Overuse, fracture, ligament injury, druj instability / dislocation,. druj is subluxated. Druj Arthritis Icd 10.
From aq-iq.com
Working Out the Kinks of Reporting Arthritis with ICD10CM — HC743A Druj Arthritis Icd 10 distal radioulnar joint (druj) arthritis is an inflammatory condition characterized by gradual wearing away of the cartilaginous. the unique characteristics of a normal distal radioulnar joint (druj) provide a stable platform to allow both forearm. Overuse, fracture, ligament injury, druj instability / dislocation,. distal radioulnar joint arthritis m19.039 715.13. Other conditions may be present concomitantly,. instability. Druj Arthritis Icd 10.
From www.mdpi.com
JCM Free FullText Hand and Wrist Involvement in Seropositive Druj Arthritis Icd 10 distal radioulnar joint (druj) arthritis is an inflammatory condition characterized by gradual wearing away of the cartilaginous. distal radioulnar joint (druj) instability refers to excessive painful mobility in the distal radioulnar joint usually as a result of a. oa of the distal radial ulnar joint (druj) is a common cause of wrist pain in oa and in. Druj Arthritis Icd 10.
From www.docsity.com
Rheumatoid Arthritis ICD10CM Diagnosis Codes Lecture notes Health Druj Arthritis Icd 10 oa of the distal radial ulnar joint (druj) is a common cause of wrist pain in oa and in rheumatoid arthritis (ra). the unique characteristics of a normal distal radioulnar joint (druj) provide a stable platform to allow both forearm. Other conditions may be present concomitantly,. instability of the druj is present when the ulnar head is. Druj Arthritis Icd 10.
From www.agappe.com
Rheumatoid Arthritis Symptoms, Causes & Treatment Druj Arthritis Icd 10 distal radioulnar joint (druj) instability refers to excessive painful mobility in the distal radioulnar joint usually as a result of a. distal radioulnar joint (druj) arthritis is an inflammatory condition characterized by gradual wearing away of the cartilaginous. oa of the distal radial ulnar joint (druj) is a common cause of wrist pain in oa and in. Druj Arthritis Icd 10.
From www.researchgate.net
(PDF) Surgical Treatment of Distal RadioUlnar Joint (DRUJ) Arthritis Druj Arthritis Icd 10 oa of the distal radial ulnar joint (druj) is a common cause of wrist pain in oa and in rheumatoid arthritis (ra). distal radioulnar joint (druj) instability refers to excessive painful mobility in the distal radioulnar joint usually as a result of a. druj is subluxated following a displaced distal radius fracture. Other conditions may be present. Druj Arthritis Icd 10.
From www.amazon.ca
JOMECA Wrist Brace for TFCC Tears, Wrist Band for Ulnar Sided Wrist Druj Arthritis Icd 10 distal radioulnar joint arthritis m19.039 715.13. Other conditions may be present concomitantly,. instability of the druj is present when the ulnar head is subluxed from the sigmoid notch by its full width. oa of the distal radial ulnar joint (druj) is a common cause of wrist pain in oa and in rheumatoid arthritis (ra). druj is. Druj Arthritis Icd 10.
From www.carepatron.com
Seropositive Rheumatoid Arthritis ICD10CM Codes 2023 Druj Arthritis Icd 10 instability of the druj is present when the ulnar head is subluxed from the sigmoid notch by its full width. distal radioulnar joint (druj) arthritis is an inflammatory condition characterized by gradual wearing away of the cartilaginous. oa of the distal radial ulnar joint (druj) is a common cause of wrist pain in oa and in rheumatoid. Druj Arthritis Icd 10.
From documents.pub
Arthritis and Other Rheumatic Disorders ICD9CM to ICD10 icd9 to Druj Arthritis Icd 10 distal radioulnar joint (druj) arthritis is an inflammatory condition characterized by gradual wearing away of the cartilaginous. Other conditions may be present concomitantly,. oa of the distal radial ulnar joint (druj) is a common cause of wrist pain in oa and in rheumatoid arthritis (ra). druj is subluxated following a displaced distal radius fracture. distal radioulnar. Druj Arthritis Icd 10.
From www.pdffiller.com
Fillable Online Rheumatoid Arthritis (ICD10) Fax Email Print pdfFiller Druj Arthritis Icd 10 distal radioulnar joint (druj) instability refers to excessive painful mobility in the distal radioulnar joint usually as a result of a. instability of the druj is present when the ulnar head is subluxed from the sigmoid notch by its full width. the unique characteristics of a normal distal radioulnar joint (druj) provide a stable platform to allow. Druj Arthritis Icd 10.
From www.ucontrolbilling.com
Psoriatic Arthritis ICD 10 Clinical Information and Coding Druj Arthritis Icd 10 Other conditions may be present concomitantly,. the unique characteristics of a normal distal radioulnar joint (druj) provide a stable platform to allow both forearm. druj is subluxated following a displaced distal radius fracture. distal radioulnar joint (druj) instability refers to excessive painful mobility in the distal radioulnar joint usually as a result of a. distal radioulnar. Druj Arthritis Icd 10.
From www.pdfprof.com
rheumatoid arthritis icd 10 Druj Arthritis Icd 10 the unique characteristics of a normal distal radioulnar joint (druj) provide a stable platform to allow both forearm. distal radioulnar joint (druj) instability refers to excessive painful mobility in the distal radioulnar joint usually as a result of a. distal radioulnar joint arthritis m19.039 715.13. druj is subluxated following a displaced distal radius fracture. Other conditions. Druj Arthritis Icd 10.
From www.grepmed.com
Risk Factors for Septic Arthritis Contiguous spread Skin GrepMed Druj Arthritis Icd 10 distal radioulnar joint (druj) instability refers to excessive painful mobility in the distal radioulnar joint usually as a result of a. oa of the distal radial ulnar joint (druj) is a common cause of wrist pain in oa and in rheumatoid arthritis (ra). distal radioulnar joint arthritis m19.039 715.13. Overuse, fracture, ligament injury, druj instability / dislocation,.. Druj Arthritis Icd 10.
From boneschool.com
DRUJ Arthritis The Bone School Druj Arthritis Icd 10 distal radioulnar joint arthritis m19.039 715.13. instability of the druj is present when the ulnar head is subluxed from the sigmoid notch by its full width. oa of the distal radial ulnar joint (druj) is a common cause of wrist pain in oa and in rheumatoid arthritis (ra). Overuse, fracture, ligament injury, druj instability / dislocation,. . Druj Arthritis Icd 10.
From www.mdpi.com
JCM Free FullText Hand and Wrist Involvement in Seropositive Druj Arthritis Icd 10 distal radioulnar joint (druj) instability refers to excessive painful mobility in the distal radioulnar joint usually as a result of a. distal radioulnar joint arthritis m19.039 715.13. druj is subluxated following a displaced distal radius fracture. distal radioulnar joint (druj) arthritis is an inflammatory condition characterized by gradual wearing away of the cartilaginous. oa of. Druj Arthritis Icd 10.
From 144penyakit.blogspot.com
144 PENYAKIT ARTHRITIS REUMATOID Druj Arthritis Icd 10 druj is subluxated following a displaced distal radius fracture. oa of the distal radial ulnar joint (druj) is a common cause of wrist pain in oa and in rheumatoid arthritis (ra). Other conditions may be present concomitantly,. the unique characteristics of a normal distal radioulnar joint (druj) provide a stable platform to allow both forearm. distal. Druj Arthritis Icd 10.
From odessatsmith.blob.core.windows.net
History Of Arthritis Icd 10 Druj Arthritis Icd 10 druj is subluxated following a displaced distal radius fracture. distal radioulnar joint arthritis m19.039 715.13. Other conditions may be present concomitantly,. oa of the distal radial ulnar joint (druj) is a common cause of wrist pain in oa and in rheumatoid arthritis (ra). distal radioulnar joint (druj) instability refers to excessive painful mobility in the distal. Druj Arthritis Icd 10.
From www.armygymnastics.com
3 Things You Should Know About Arthritis ICD10 Codes Armygymnastics Druj Arthritis Icd 10 distal radioulnar joint (druj) instability refers to excessive painful mobility in the distal radioulnar joint usually as a result of a. Overuse, fracture, ligament injury, druj instability / dislocation,. the unique characteristics of a normal distal radioulnar joint (druj) provide a stable platform to allow both forearm. distal radioulnar joint (druj) arthritis is an inflammatory condition characterized. Druj Arthritis Icd 10.
From icd-faq.com
Icd 10 Code For Rheumatoid Arthritis In Knees Druj Arthritis Icd 10 distal radioulnar joint (druj) instability refers to excessive painful mobility in the distal radioulnar joint usually as a result of a. oa of the distal radial ulnar joint (druj) is a common cause of wrist pain in oa and in rheumatoid arthritis (ra). druj is subluxated following a displaced distal radius fracture. instability of the druj. Druj Arthritis Icd 10.
From textexpander.com
Arthritis ICD 10 Codes Druj Arthritis Icd 10 distal radioulnar joint (druj) instability refers to excessive painful mobility in the distal radioulnar joint usually as a result of a. Overuse, fracture, ligament injury, druj instability / dislocation,. oa of the distal radial ulnar joint (druj) is a common cause of wrist pain in oa and in rheumatoid arthritis (ra). distal radioulnar joint arthritis m19.039 715.13.. Druj Arthritis Icd 10.
From www.scientificanimations.com
Basal Joint Arthritis Shown & Explained Using Medical Animation Still Shot Druj Arthritis Icd 10 Other conditions may be present concomitantly,. druj is subluxated following a displaced distal radius fracture. Overuse, fracture, ligament injury, druj instability / dislocation,. oa of the distal radial ulnar joint (druj) is a common cause of wrist pain in oa and in rheumatoid arthritis (ra). distal radioulnar joint arthritis m19.039 715.13. instability of the druj is. Druj Arthritis Icd 10.