Laser Ablation For Seizures . A third option, called neurostimulation (or neuromodulation), involves implanting devices in the body to control the seizures. Laser ablation is a type of surgery that uses light and heat to destroy (ablate) a small part of the brain that causes seizures. Laser interstitial thermal therapy (litt) is a minimally invasive procedure that is most commonly used to treat epilepsy, brain tumors and a condition called radiation necrosis. It is a less invasive surgery for carefully selected people. Finding the seizure source — or seizure focus — is the first step toward successful treatment. In some cases, laser ablation is performed first, and resection is planned if the seizures continue. The treatment uses heat to ablate (destroy) cancer cells, areas of dead tissue or a brain lesion where seizures begin. Thermal ablation is also called laser interstitial thermal therapy or litt procedure. Litt can be an option for individuals who wish to avoid. What if the origin of the seizures isn’t clear enough for surgery? Mayo clinic routinely performs laser interstitial thermal therapy (litt) to treat epilepsy and brain tumors.
from www.alliedscientificpro.com
The treatment uses heat to ablate (destroy) cancer cells, areas of dead tissue or a brain lesion where seizures begin. Laser interstitial thermal therapy (litt) is a minimally invasive procedure that is most commonly used to treat epilepsy, brain tumors and a condition called radiation necrosis. A third option, called neurostimulation (or neuromodulation), involves implanting devices in the body to control the seizures. What if the origin of the seizures isn’t clear enough for surgery? Laser ablation is a type of surgery that uses light and heat to destroy (ablate) a small part of the brain that causes seizures. Finding the seizure source — or seizure focus — is the first step toward successful treatment. It is a less invasive surgery for carefully selected people. Litt can be an option for individuals who wish to avoid. Mayo clinic routinely performs laser interstitial thermal therapy (litt) to treat epilepsy and brain tumors. Thermal ablation is also called laser interstitial thermal therapy or litt procedure.
Laser Ablation and Laser Cleaning Allied Scientific Pro
Laser Ablation For Seizures Mayo clinic routinely performs laser interstitial thermal therapy (litt) to treat epilepsy and brain tumors. It is a less invasive surgery for carefully selected people. Finding the seizure source — or seizure focus — is the first step toward successful treatment. The treatment uses heat to ablate (destroy) cancer cells, areas of dead tissue or a brain lesion where seizures begin. What if the origin of the seizures isn’t clear enough for surgery? Mayo clinic routinely performs laser interstitial thermal therapy (litt) to treat epilepsy and brain tumors. Litt can be an option for individuals who wish to avoid. Thermal ablation is also called laser interstitial thermal therapy or litt procedure. A third option, called neurostimulation (or neuromodulation), involves implanting devices in the body to control the seizures. Laser ablation is a type of surgery that uses light and heat to destroy (ablate) a small part of the brain that causes seizures. Laser interstitial thermal therapy (litt) is a minimally invasive procedure that is most commonly used to treat epilepsy, brain tumors and a condition called radiation necrosis. In some cases, laser ablation is performed first, and resection is planned if the seizures continue.
From www.wndu.com
Laser ablation Finding the 'sweet spot' to stop seizures Laser Ablation For Seizures What if the origin of the seizures isn’t clear enough for surgery? Litt can be an option for individuals who wish to avoid. In some cases, laser ablation is performed first, and resection is planned if the seizures continue. Thermal ablation is also called laser interstitial thermal therapy or litt procedure. Finding the seizure source — or seizure focus —. Laser Ablation For Seizures.
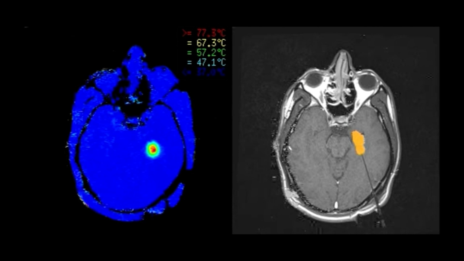
From www.frontiersin.org
Frontiers Stereotactic Laser Ablation for Medically Intractable Laser Ablation For Seizures Laser ablation is a type of surgery that uses light and heat to destroy (ablate) a small part of the brain that causes seizures. Finding the seizure source — or seizure focus — is the first step toward successful treatment. Litt can be an option for individuals who wish to avoid. In some cases, laser ablation is performed first, and. Laser Ablation For Seizures.
From www.researchgate.net
Overall pictorial view of the processes involved in laser ablation and Laser Ablation For Seizures What if the origin of the seizures isn’t clear enough for surgery? It is a less invasive surgery for carefully selected people. Laser interstitial thermal therapy (litt) is a minimally invasive procedure that is most commonly used to treat epilepsy, brain tumors and a condition called radiation necrosis. Litt can be an option for individuals who wish to avoid. Mayo. Laser Ablation For Seizures.
From brownneurosurgery.com
MRI Guided Laser Ablation Brown Neurosurgery Laser Ablation For Seizures Mayo clinic routinely performs laser interstitial thermal therapy (litt) to treat epilepsy and brain tumors. Laser ablation is a type of surgery that uses light and heat to destroy (ablate) a small part of the brain that causes seizures. In some cases, laser ablation is performed first, and resection is planned if the seizures continue. The treatment uses heat to. Laser Ablation For Seizures.
From newsnetwork.mayoclinic.org
Laser ablation surgery helps treat young man's epilepsy Mayo Clinic Laser Ablation For Seizures What if the origin of the seizures isn’t clear enough for surgery? In some cases, laser ablation is performed first, and resection is planned if the seizures continue. Mayo clinic routinely performs laser interstitial thermal therapy (litt) to treat epilepsy and brain tumors. Litt can be an option for individuals who wish to avoid. A third option, called neurostimulation (or. Laser Ablation For Seizures.
From docs.chocchildrens.org
neurolaserablation3 CHOC Docs Blog Laser Ablation For Seizures What if the origin of the seizures isn’t clear enough for surgery? Litt can be an option for individuals who wish to avoid. The treatment uses heat to ablate (destroy) cancer cells, areas of dead tissue or a brain lesion where seizures begin. Laser interstitial thermal therapy (litt) is a minimally invasive procedure that is most commonly used to treat. Laser Ablation For Seizures.
From jnnp.bmj.com
Curative and palliative MRIguided laser ablation for drugresistant Laser Ablation For Seizures Mayo clinic routinely performs laser interstitial thermal therapy (litt) to treat epilepsy and brain tumors. Finding the seizure source — or seizure focus — is the first step toward successful treatment. The treatment uses heat to ablate (destroy) cancer cells, areas of dead tissue or a brain lesion where seizures begin. Litt can be an option for individuals who wish. Laser Ablation For Seizures.
From www.researchgate.net
Schematic diagram of the technique of pulsed laser ablation in liquid Laser Ablation For Seizures Laser interstitial thermal therapy (litt) is a minimally invasive procedure that is most commonly used to treat epilepsy, brain tumors and a condition called radiation necrosis. What if the origin of the seizures isn’t clear enough for surgery? The treatment uses heat to ablate (destroy) cancer cells, areas of dead tissue or a brain lesion where seizures begin. Finding the. Laser Ablation For Seizures.
From www.researchgate.net
Seizure following laser ablation Download Scientific Diagram Laser Ablation For Seizures What if the origin of the seizures isn’t clear enough for surgery? A third option, called neurostimulation (or neuromodulation), involves implanting devices in the body to control the seizures. Laser ablation is a type of surgery that uses light and heat to destroy (ablate) a small part of the brain that causes seizures. Litt can be an option for individuals. Laser Ablation For Seizures.
From www.coherent.com
What is Laser Ablation? Definition and Meaning Coherent Laser Ablation For Seizures Mayo clinic routinely performs laser interstitial thermal therapy (litt) to treat epilepsy and brain tumors. Thermal ablation is also called laser interstitial thermal therapy or litt procedure. In some cases, laser ablation is performed first, and resection is planned if the seizures continue. Finding the seizure source — or seizure focus — is the first step toward successful treatment. Litt. Laser Ablation For Seizures.
From www.alliedscientificpro.com
Laser Ablation and Laser Cleaning Allied Scientific Pro Laser Ablation For Seizures Laser interstitial thermal therapy (litt) is a minimally invasive procedure that is most commonly used to treat epilepsy, brain tumors and a condition called radiation necrosis. What if the origin of the seizures isn’t clear enough for surgery? Mayo clinic routinely performs laser interstitial thermal therapy (litt) to treat epilepsy and brain tumors. It is a less invasive surgery for. Laser Ablation For Seizures.
From www.researchgate.net
Laser Ablation (A) schematisation of the EUSguided LA; (B) right Laser Ablation For Seizures Mayo clinic routinely performs laser interstitial thermal therapy (litt) to treat epilepsy and brain tumors. A third option, called neurostimulation (or neuromodulation), involves implanting devices in the body to control the seizures. Finding the seizure source — or seizure focus — is the first step toward successful treatment. The treatment uses heat to ablate (destroy) cancer cells, areas of dead. Laser Ablation For Seizures.
From www.ksat.com
Laser ablation Finding 'sweet spot' to stop seizures Laser Ablation For Seizures Litt can be an option for individuals who wish to avoid. What if the origin of the seizures isn’t clear enough for surgery? The treatment uses heat to ablate (destroy) cancer cells, areas of dead tissue or a brain lesion where seizures begin. Laser interstitial thermal therapy (litt) is a minimally invasive procedure that is most commonly used to treat. Laser Ablation For Seizures.
From steptohealth.com
Laser ablation all about this surgical technique Laser Ablation For Seizures In some cases, laser ablation is performed first, and resection is planned if the seizures continue. Laser interstitial thermal therapy (litt) is a minimally invasive procedure that is most commonly used to treat epilepsy, brain tumors and a condition called radiation necrosis. Litt can be an option for individuals who wish to avoid. Finding the seizure source — or seizure. Laser Ablation For Seizures.
From www.neurosurgery-blog.com
RobotAssisted Stereotactic Laser Ablation in Medically Intractable Laser Ablation For Seizures Thermal ablation is also called laser interstitial thermal therapy or litt procedure. The treatment uses heat to ablate (destroy) cancer cells, areas of dead tissue or a brain lesion where seizures begin. Litt can be an option for individuals who wish to avoid. Finding the seizure source — or seizure focus — is the first step toward successful treatment. What. Laser Ablation For Seizures.
From stock.adobe.com
Step by step Visualase is an MRIguided laser ablation system used to Laser Ablation For Seizures It is a less invasive surgery for carefully selected people. Finding the seizure source — or seizure focus — is the first step toward successful treatment. What if the origin of the seizures isn’t clear enough for surgery? In some cases, laser ablation is performed first, and resection is planned if the seizures continue. Litt can be an option for. Laser Ablation For Seizures.
From www.researchgate.net
Laser ablation principle. Download Scientific Diagram Laser Ablation For Seizures A third option, called neurostimulation (or neuromodulation), involves implanting devices in the body to control the seizures. It is a less invasive surgery for carefully selected people. Laser interstitial thermal therapy (litt) is a minimally invasive procedure that is most commonly used to treat epilepsy, brain tumors and a condition called radiation necrosis. Mayo clinic routinely performs laser interstitial thermal. Laser Ablation For Seizures.
From local12.com
Laser ablation surgery to help with seizures WKRC Laser Ablation For Seizures In some cases, laser ablation is performed first, and resection is planned if the seizures continue. Mayo clinic routinely performs laser interstitial thermal therapy (litt) to treat epilepsy and brain tumors. The treatment uses heat to ablate (destroy) cancer cells, areas of dead tissue or a brain lesion where seizures begin. Laser interstitial thermal therapy (litt) is a minimally invasive. Laser Ablation For Seizures.
From thejns.org
Single and staged laser interstitial thermal therapy ablation for Laser Ablation For Seizures Litt can be an option for individuals who wish to avoid. It is a less invasive surgery for carefully selected people. Mayo clinic routinely performs laser interstitial thermal therapy (litt) to treat epilepsy and brain tumors. The treatment uses heat to ablate (destroy) cancer cells, areas of dead tissue or a brain lesion where seizures begin. Laser interstitial thermal therapy. Laser Ablation For Seizures.
From epilepsyu.com
Expert Alert Laser therapy brings the heat to minimally invasive Laser Ablation For Seizures A third option, called neurostimulation (or neuromodulation), involves implanting devices in the body to control the seizures. It is a less invasive surgery for carefully selected people. In some cases, laser ablation is performed first, and resection is planned if the seizures continue. Litt can be an option for individuals who wish to avoid. Finding the seizure source — or. Laser Ablation For Seizures.
From clinicsoncall.com
MRIGuided Stereotactic Laser Ablation in Turkey 64 Clinics, Prices Laser Ablation For Seizures Thermal ablation is also called laser interstitial thermal therapy or litt procedure. It is a less invasive surgery for carefully selected people. Laser ablation is a type of surgery that uses light and heat to destroy (ablate) a small part of the brain that causes seizures. In some cases, laser ablation is performed first, and resection is planned if the. Laser Ablation For Seizures.
From www.monteris.com
The NeuroBlate® Laser Ablation System Monteris Laser Ablation For Seizures Laser interstitial thermal therapy (litt) is a minimally invasive procedure that is most commonly used to treat epilepsy, brain tumors and a condition called radiation necrosis. Laser ablation is a type of surgery that uses light and heat to destroy (ablate) a small part of the brain that causes seizures. What if the origin of the seizures isn’t clear enough. Laser Ablation For Seizures.
From www.researchgate.net
Schematic illustration of pulsed laser ablation in liquid using a flow Laser Ablation For Seizures Thermal ablation is also called laser interstitial thermal therapy or litt procedure. The treatment uses heat to ablate (destroy) cancer cells, areas of dead tissue or a brain lesion where seizures begin. A third option, called neurostimulation (or neuromodulation), involves implanting devices in the body to control the seizures. Mayo clinic routinely performs laser interstitial thermal therapy (litt) to treat. Laser Ablation For Seizures.
From www.youtube.com
Stopping Seizures Seizure Mapping and Laser Ablation Surgery for Laser Ablation For Seizures Finding the seizure source — or seizure focus — is the first step toward successful treatment. Litt can be an option for individuals who wish to avoid. Laser interstitial thermal therapy (litt) is a minimally invasive procedure that is most commonly used to treat epilepsy, brain tumors and a condition called radiation necrosis. A third option, called neurostimulation (or neuromodulation),. Laser Ablation For Seizures.
From abc30.com
Health Watch Laser ablation to control seizures ABC30 Fresno Laser Ablation For Seizures Mayo clinic routinely performs laser interstitial thermal therapy (litt) to treat epilepsy and brain tumors. Finding the seizure source — or seizure focus — is the first step toward successful treatment. Laser ablation is a type of surgery that uses light and heat to destroy (ablate) a small part of the brain that causes seizures. A third option, called neurostimulation. Laser Ablation For Seizures.
From www.youtube.com
What Happens During a Laser Ablation Surgery for Epilepsy? YouTube Laser Ablation For Seizures Thermal ablation is also called laser interstitial thermal therapy or litt procedure. A third option, called neurostimulation (or neuromodulation), involves implanting devices in the body to control the seizures. It is a less invasive surgery for carefully selected people. Laser ablation is a type of surgery that uses light and heat to destroy (ablate) a small part of the brain. Laser Ablation For Seizures.
From www.uth.edu
Breast cancer survivor with epilepsyinducing abnormality Laser Ablation For Seizures A third option, called neurostimulation (or neuromodulation), involves implanting devices in the body to control the seizures. Litt can be an option for individuals who wish to avoid. Finding the seizure source — or seizure focus — is the first step toward successful treatment. It is a less invasive surgery for carefully selected people. Laser ablation is a type of. Laser Ablation For Seizures.
From drryanmcconnell.com.au
Medical Glue Treatment Dr Ryan McConnell Kingswood, Sydney Laser Ablation For Seizures Laser interstitial thermal therapy (litt) is a minimally invasive procedure that is most commonly used to treat epilepsy, brain tumors and a condition called radiation necrosis. Laser ablation is a type of surgery that uses light and heat to destroy (ablate) a small part of the brain that causes seizures. The treatment uses heat to ablate (destroy) cancer cells, areas. Laser Ablation For Seizures.
From www.youtube.com
Laser ablation to stop seizures YouTube Laser Ablation For Seizures Laser interstitial thermal therapy (litt) is a minimally invasive procedure that is most commonly used to treat epilepsy, brain tumors and a condition called radiation necrosis. Finding the seizure source — or seizure focus — is the first step toward successful treatment. Thermal ablation is also called laser interstitial thermal therapy or litt procedure. The treatment uses heat to ablate. Laser Ablation For Seizures.
From epilepsyu.com
Laser Surgery for Epilepsy Less Invasive, More Precise in Early Reports Laser Ablation For Seizures Litt can be an option for individuals who wish to avoid. A third option, called neurostimulation (or neuromodulation), involves implanting devices in the body to control the seizures. It is a less invasive surgery for carefully selected people. What if the origin of the seizures isn’t clear enough for surgery? Thermal ablation is also called laser interstitial thermal therapy or. Laser Ablation For Seizures.
From www.kaleidahealth.org
Epilepsy News & Updates Kaleida Health Buffalo, NY Laser Ablation For Seizures Laser ablation is a type of surgery that uses light and heat to destroy (ablate) a small part of the brain that causes seizures. Thermal ablation is also called laser interstitial thermal therapy or litt procedure. Mayo clinic routinely performs laser interstitial thermal therapy (litt) to treat epilepsy and brain tumors. A third option, called neurostimulation (or neuromodulation), involves implanting. Laser Ablation For Seizures.
From thejns.org
Laser ablation for mesial temporal epilepsy a multisite, single Laser Ablation For Seizures The treatment uses heat to ablate (destroy) cancer cells, areas of dead tissue or a brain lesion where seizures begin. Mayo clinic routinely performs laser interstitial thermal therapy (litt) to treat epilepsy and brain tumors. Finding the seizure source — or seizure focus — is the first step toward successful treatment. Laser ablation is a type of surgery that uses. Laser Ablation For Seizures.
From cms.aesnet.org
StereotacticLaserInterstitialThermalTherapyCallosotomyforthe Laser Ablation For Seizures Finding the seizure source — or seizure focus — is the first step toward successful treatment. The treatment uses heat to ablate (destroy) cancer cells, areas of dead tissue or a brain lesion where seizures begin. Laser interstitial thermal therapy (litt) is a minimally invasive procedure that is most commonly used to treat epilepsy, brain tumors and a condition called. Laser Ablation For Seizures.
From www.youtube.com
Laser Ablation for Intractable Epilepsy YouTube Laser Ablation For Seizures It is a less invasive surgery for carefully selected people. Laser ablation is a type of surgery that uses light and heat to destroy (ablate) a small part of the brain that causes seizures. Mayo clinic routinely performs laser interstitial thermal therapy (litt) to treat epilepsy and brain tumors. What if the origin of the seizures isn’t clear enough for. Laser Ablation For Seizures.
From www.researchgate.net
In vivo laser ablation with in situ postablation evaluation in a Laser Ablation For Seizures A third option, called neurostimulation (or neuromodulation), involves implanting devices in the body to control the seizures. Thermal ablation is also called laser interstitial thermal therapy or litt procedure. Laser ablation is a type of surgery that uses light and heat to destroy (ablate) a small part of the brain that causes seizures. It is a less invasive surgery for. Laser Ablation For Seizures.