Lupus And Pneumonia . Learn about the connection between lupus and lung disorders, such as pleuritis, pneumonitis, pulmonary emboli, and pulmonary hypertension. Background and objective pneumonia remains the main cause of mortality in patients with systemic lupus erythematosus (sle). Systemic lupus erythematosus (sle) is a chronic systemic autoimmune disease characterized by a wide spectrum of clinical. Pulmonary manifestations of the disease include disorders of the lung parenchyma, pleura, and pulmonary vasculature. Systemic lupus erythematosus (sle) is a chronic, autoimmune disorder that can present with a wide array of clinical and immunological abnormalities (1). Although many bacterial infections are more prevalent in patients with sle than in healthy people, the causal organisms do not. Differential diagnosis requires exclusion of. Systemic lupus erythematosus (sle) is a complex autoimmune disease with potential multiorgan involvement, including pulmonary involvement,. Fulminant lupus pneumonitis is a rare but potentially life threatening complication of sle.
from www.academia.edu
Fulminant lupus pneumonitis is a rare but potentially life threatening complication of sle. Pulmonary manifestations of the disease include disorders of the lung parenchyma, pleura, and pulmonary vasculature. Background and objective pneumonia remains the main cause of mortality in patients with systemic lupus erythematosus (sle). Systemic lupus erythematosus (sle) is a chronic, autoimmune disorder that can present with a wide array of clinical and immunological abnormalities (1). Learn about the connection between lupus and lung disorders, such as pleuritis, pneumonitis, pulmonary emboli, and pulmonary hypertension. Systemic lupus erythematosus (sle) is a complex autoimmune disease with potential multiorgan involvement, including pulmonary involvement,. Although many bacterial infections are more prevalent in patients with sle than in healthy people, the causal organisms do not. Systemic lupus erythematosus (sle) is a chronic systemic autoimmune disease characterized by a wide spectrum of clinical. Differential diagnosis requires exclusion of.
(PDF) Life threatening pneumonia in a lupus patient a case report
Lupus And Pneumonia Systemic lupus erythematosus (sle) is a chronic, autoimmune disorder that can present with a wide array of clinical and immunological abnormalities (1). Although many bacterial infections are more prevalent in patients with sle than in healthy people, the causal organisms do not. Systemic lupus erythematosus (sle) is a chronic systemic autoimmune disease characterized by a wide spectrum of clinical. Learn about the connection between lupus and lung disorders, such as pleuritis, pneumonitis, pulmonary emboli, and pulmonary hypertension. Background and objective pneumonia remains the main cause of mortality in patients with systemic lupus erythematosus (sle). Systemic lupus erythematosus (sle) is a chronic, autoimmune disorder that can present with a wide array of clinical and immunological abnormalities (1). Fulminant lupus pneumonitis is a rare but potentially life threatening complication of sle. Differential diagnosis requires exclusion of. Pulmonary manifestations of the disease include disorders of the lung parenchyma, pleura, and pulmonary vasculature. Systemic lupus erythematosus (sle) is a complex autoimmune disease with potential multiorgan involvement, including pulmonary involvement,.
From www.pinterest.com
first rule out infection. d/d acquired pneumonia 2) lupus Lupus And Pneumonia Systemic lupus erythematosus (sle) is a chronic systemic autoimmune disease characterized by a wide spectrum of clinical. Systemic lupus erythematosus (sle) is a chronic, autoimmune disorder that can present with a wide array of clinical and immunological abnormalities (1). Background and objective pneumonia remains the main cause of mortality in patients with systemic lupus erythematosus (sle). Learn about the connection. Lupus And Pneumonia.
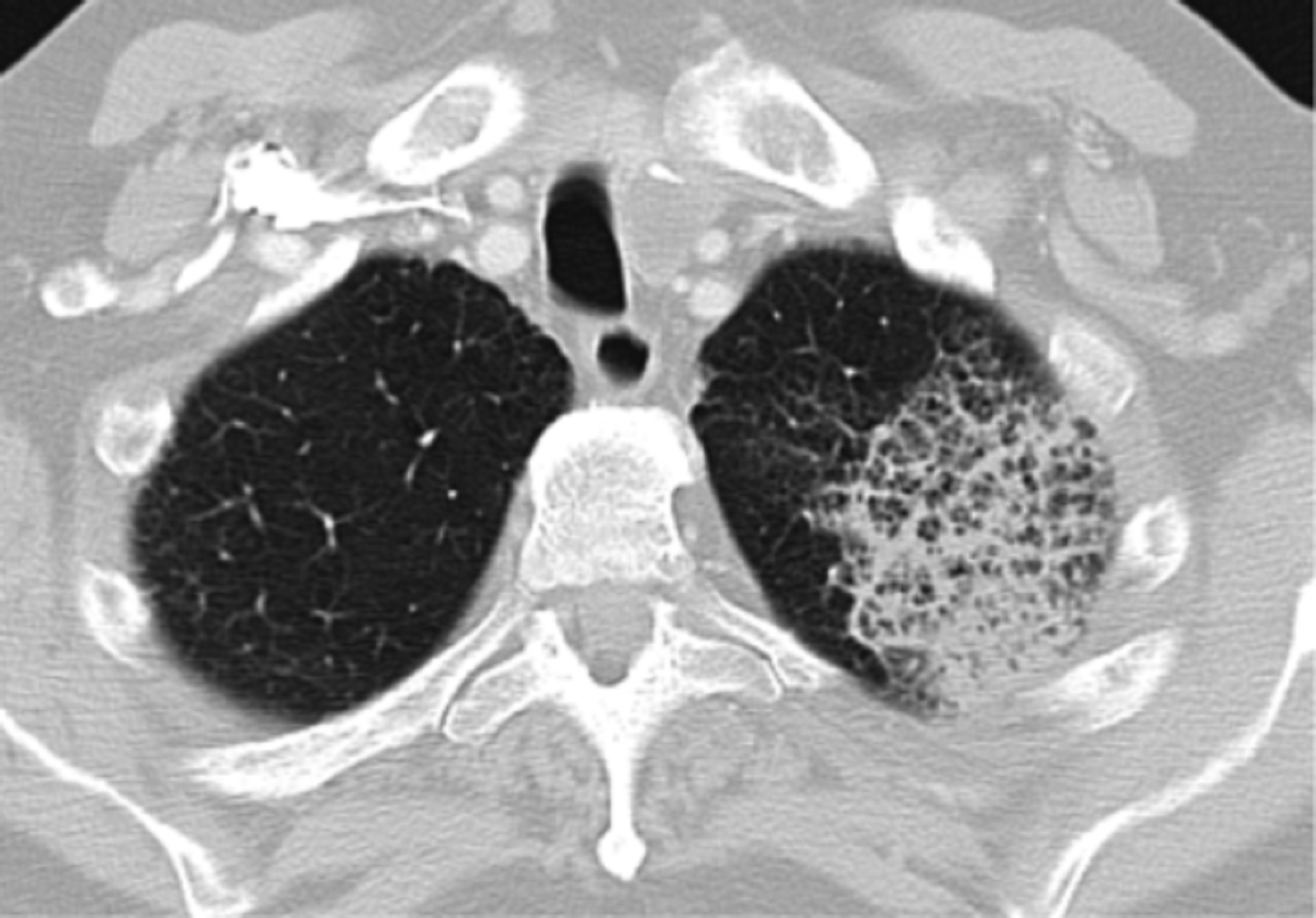
From www.archbronconeumol.org
Systemic Lupus Erythematosus Presenting as Acute Lupus Pneumonitis Lupus And Pneumonia Learn about the connection between lupus and lung disorders, such as pleuritis, pneumonitis, pulmonary emboli, and pulmonary hypertension. Pulmonary manifestations of the disease include disorders of the lung parenchyma, pleura, and pulmonary vasculature. Systemic lupus erythematosus (sle) is a chronic, autoimmune disorder that can present with a wide array of clinical and immunological abnormalities (1). Although many bacterial infections are. Lupus And Pneumonia.
From www.cureus.com
The First Case of Rowell Syndrome with Lupus Nephritis and Lobar Lupus And Pneumonia Learn about the connection between lupus and lung disorders, such as pleuritis, pneumonitis, pulmonary emboli, and pulmonary hypertension. Systemic lupus erythematosus (sle) is a chronic, autoimmune disorder that can present with a wide array of clinical and immunological abnormalities (1). Differential diagnosis requires exclusion of. Background and objective pneumonia remains the main cause of mortality in patients with systemic lupus. Lupus And Pneumonia.
From navimumbai.kokilabenhospital.com
Signs and symptoms of pneumonia Lupus And Pneumonia Systemic lupus erythematosus (sle) is a complex autoimmune disease with potential multiorgan involvement, including pulmonary involvement,. Systemic lupus erythematosus (sle) is a chronic, autoimmune disorder that can present with a wide array of clinical and immunological abnormalities (1). Although many bacterial infections are more prevalent in patients with sle than in healthy people, the causal organisms do not. Differential diagnosis. Lupus And Pneumonia.
From www.pinterest.com
Although there are many symptoms of lupus, here are some common ones Lupus And Pneumonia Although many bacterial infections are more prevalent in patients with sle than in healthy people, the causal organisms do not. Background and objective pneumonia remains the main cause of mortality in patients with systemic lupus erythematosus (sle). Pulmonary manifestations of the disease include disorders of the lung parenchyma, pleura, and pulmonary vasculature. Fulminant lupus pneumonitis is a rare but potentially. Lupus And Pneumonia.
From thorax.bmj.com
Pleuropulmonary manifestations of systemic lupus erythematosus Thorax Lupus And Pneumonia Pulmonary manifestations of the disease include disorders of the lung parenchyma, pleura, and pulmonary vasculature. Background and objective pneumonia remains the main cause of mortality in patients with systemic lupus erythematosus (sle). Fulminant lupus pneumonitis is a rare but potentially life threatening complication of sle. Systemic lupus erythematosus (sle) is a chronic systemic autoimmune disease characterized by a wide spectrum. Lupus And Pneumonia.
From www.frontiersin.org
Frontiers Mycoplasma pneumonia Infection Is Associated With an Lupus And Pneumonia Pulmonary manifestations of the disease include disorders of the lung parenchyma, pleura, and pulmonary vasculature. Systemic lupus erythematosus (sle) is a complex autoimmune disease with potential multiorgan involvement, including pulmonary involvement,. Although many bacterial infections are more prevalent in patients with sle than in healthy people, the causal organisms do not. Fulminant lupus pneumonitis is a rare but potentially life. Lupus And Pneumonia.
From www.cureus.com
Cureus The First Case of Rowell Syndrome with Lupus Nephritis and Lupus And Pneumonia Systemic lupus erythematosus (sle) is a complex autoimmune disease with potential multiorgan involvement, including pulmonary involvement,. Systemic lupus erythematosus (sle) is a chronic systemic autoimmune disease characterized by a wide spectrum of clinical. Background and objective pneumonia remains the main cause of mortality in patients with systemic lupus erythematosus (sle). Although many bacterial infections are more prevalent in patients with. Lupus And Pneumonia.
From www.mdpi.com
JCM Free FullText Systemic Lupus Erythematosus and Lung Lupus And Pneumonia Differential diagnosis requires exclusion of. Systemic lupus erythematosus (sle) is a chronic, autoimmune disorder that can present with a wide array of clinical and immunological abnormalities (1). Background and objective pneumonia remains the main cause of mortality in patients with systemic lupus erythematosus (sle). Systemic lupus erythematosus (sle) is a complex autoimmune disease with potential multiorgan involvement, including pulmonary involvement,.. Lupus And Pneumonia.
From www.researchgate.net
(PDF) Pneumonia with systemic lupus erythematous Lupus And Pneumonia Systemic lupus erythematosus (sle) is a chronic, autoimmune disorder that can present with a wide array of clinical and immunological abnormalities (1). Pulmonary manifestations of the disease include disorders of the lung parenchyma, pleura, and pulmonary vasculature. Background and objective pneumonia remains the main cause of mortality in patients with systemic lupus erythematosus (sle). Learn about the connection between lupus. Lupus And Pneumonia.
From www.researchgate.net
(PDF) Mycoplasma pneumonia Infection Is Associated With an Increased Lupus And Pneumonia Systemic lupus erythematosus (sle) is a complex autoimmune disease with potential multiorgan involvement, including pulmonary involvement,. Differential diagnosis requires exclusion of. Systemic lupus erythematosus (sle) is a chronic, autoimmune disorder that can present with a wide array of clinical and immunological abnormalities (1). Fulminant lupus pneumonitis is a rare but potentially life threatening complication of sle. Pulmonary manifestations of the. Lupus And Pneumonia.
From www.medicalnewstoday.com
Lupus Causes, symptoms, and research Lupus And Pneumonia Fulminant lupus pneumonitis is a rare but potentially life threatening complication of sle. Systemic lupus erythematosus (sle) is a chronic systemic autoimmune disease characterized by a wide spectrum of clinical. Although many bacterial infections are more prevalent in patients with sle than in healthy people, the causal organisms do not. Background and objective pneumonia remains the main cause of mortality. Lupus And Pneumonia.
From www.researchgate.net
(PDF) Lymphocytic Interstitial Pneumoniae as an extremely rare Lupus And Pneumonia Differential diagnosis requires exclusion of. Systemic lupus erythematosus (sle) is a chronic, autoimmune disorder that can present with a wide array of clinical and immunological abnormalities (1). Fulminant lupus pneumonitis is a rare but potentially life threatening complication of sle. Background and objective pneumonia remains the main cause of mortality in patients with systemic lupus erythematosus (sle). Pulmonary manifestations of. Lupus And Pneumonia.
From www.researchgate.net
Forms of systemic lupus erythematosusrelated interstitial pneumonia Lupus And Pneumonia Learn about the connection between lupus and lung disorders, such as pleuritis, pneumonitis, pulmonary emboli, and pulmonary hypertension. Systemic lupus erythematosus (sle) is a complex autoimmune disease with potential multiorgan involvement, including pulmonary involvement,. Differential diagnosis requires exclusion of. Systemic lupus erythematosus (sle) is a chronic systemic autoimmune disease characterized by a wide spectrum of clinical. Although many bacterial infections. Lupus And Pneumonia.
From www.steadyhealth.com
Pneumonia Clinical Features, Treatment, and Complications Lupus And Pneumonia Fulminant lupus pneumonitis is a rare but potentially life threatening complication of sle. Pulmonary manifestations of the disease include disorders of the lung parenchyma, pleura, and pulmonary vasculature. Systemic lupus erythematosus (sle) is a complex autoimmune disease with potential multiorgan involvement, including pulmonary involvement,. Learn about the connection between lupus and lung disorders, such as pleuritis, pneumonitis, pulmonary emboli, and. Lupus And Pneumonia.
From www.semanticscholar.org
Figure 1 from Bronchiolitis obliterans organizing pneumonia as the Lupus And Pneumonia Systemic lupus erythematosus (sle) is a chronic systemic autoimmune disease characterized by a wide spectrum of clinical. Background and objective pneumonia remains the main cause of mortality in patients with systemic lupus erythematosus (sle). Learn about the connection between lupus and lung disorders, such as pleuritis, pneumonitis, pulmonary emboli, and pulmonary hypertension. Pulmonary manifestations of the disease include disorders of. Lupus And Pneumonia.
From mungfali.com
Pathophysiology Of Aspiration Pneumonia Lupus And Pneumonia Differential diagnosis requires exclusion of. Systemic lupus erythematosus (sle) is a complex autoimmune disease with potential multiorgan involvement, including pulmonary involvement,. Fulminant lupus pneumonitis is a rare but potentially life threatening complication of sle. Learn about the connection between lupus and lung disorders, such as pleuritis, pneumonitis, pulmonary emboli, and pulmonary hypertension. Systemic lupus erythematosus (sle) is a chronic systemic. Lupus And Pneumonia.
From www.researchgate.net
(PDF) Cytomegalovirus pneumonia in a patient with systemic lupus Lupus And Pneumonia Fulminant lupus pneumonitis is a rare but potentially life threatening complication of sle. Learn about the connection between lupus and lung disorders, such as pleuritis, pneumonitis, pulmonary emboli, and pulmonary hypertension. Systemic lupus erythematosus (sle) is a chronic systemic autoimmune disease characterized by a wide spectrum of clinical. Systemic lupus erythematosus (sle) is a complex autoimmune disease with potential multiorgan. Lupus And Pneumonia.
From casereports.bmj.com
Acute lupus pneumonitis as the initial presentation of systemic lupus Lupus And Pneumonia Systemic lupus erythematosus (sle) is a complex autoimmune disease with potential multiorgan involvement, including pulmonary involvement,. Differential diagnosis requires exclusion of. Pulmonary manifestations of the disease include disorders of the lung parenchyma, pleura, and pulmonary vasculature. Systemic lupus erythematosus (sle) is a chronic systemic autoimmune disease characterized by a wide spectrum of clinical. Although many bacterial infections are more prevalent. Lupus And Pneumonia.
From casesjournal.biomedcentral.com
Life threatening pneumonia in a lupus patient a case report Cases Lupus And Pneumonia Differential diagnosis requires exclusion of. Although many bacterial infections are more prevalent in patients with sle than in healthy people, the causal organisms do not. Systemic lupus erythematosus (sle) is a chronic, autoimmune disorder that can present with a wide array of clinical and immunological abnormalities (1). Background and objective pneumonia remains the main cause of mortality in patients with. Lupus And Pneumonia.
From www.mayoclinic.org
Lupus facial rash Mayo Clinic Lupus And Pneumonia Differential diagnosis requires exclusion of. Systemic lupus erythematosus (sle) is a chronic, autoimmune disorder that can present with a wide array of clinical and immunological abnormalities (1). Systemic lupus erythematosus (sle) is a complex autoimmune disease with potential multiorgan involvement, including pulmonary involvement,. Fulminant lupus pneumonitis is a rare but potentially life threatening complication of sle. Although many bacterial infections. Lupus And Pneumonia.
From www.researchgate.net
(PDF) Lymphocytic interstitial pneumonia associated with systemic lupus Lupus And Pneumonia Learn about the connection between lupus and lung disorders, such as pleuritis, pneumonitis, pulmonary emboli, and pulmonary hypertension. Systemic lupus erythematosus (sle) is a chronic systemic autoimmune disease characterized by a wide spectrum of clinical. Background and objective pneumonia remains the main cause of mortality in patients with systemic lupus erythematosus (sle). Fulminant lupus pneumonitis is a rare but potentially. Lupus And Pneumonia.
From casereports.bmj.com
Acute lupus pneumonitis as the initial presentation of systemic lupus Lupus And Pneumonia Differential diagnosis requires exclusion of. Systemic lupus erythematosus (sle) is a chronic systemic autoimmune disease characterized by a wide spectrum of clinical. Fulminant lupus pneumonitis is a rare but potentially life threatening complication of sle. Pulmonary manifestations of the disease include disorders of the lung parenchyma, pleura, and pulmonary vasculature. Background and objective pneumonia remains the main cause of mortality. Lupus And Pneumonia.
From www.academia.edu
(PDF) Life threatening pneumonia in a lupus patient a case report Lupus And Pneumonia Differential diagnosis requires exclusion of. Learn about the connection between lupus and lung disorders, such as pleuritis, pneumonitis, pulmonary emboli, and pulmonary hypertension. Systemic lupus erythematosus (sle) is a complex autoimmune disease with potential multiorgan involvement, including pulmonary involvement,. Background and objective pneumonia remains the main cause of mortality in patients with systemic lupus erythematosus (sle). Although many bacterial infections. Lupus And Pneumonia.
From onlinelibrary.wiley.com
Organizing pneumonia as an initial presentation in a male lupus A rare Lupus And Pneumonia Systemic lupus erythematosus (sle) is a chronic systemic autoimmune disease characterized by a wide spectrum of clinical. Pulmonary manifestations of the disease include disorders of the lung parenchyma, pleura, and pulmonary vasculature. Systemic lupus erythematosus (sle) is a complex autoimmune disease with potential multiorgan involvement, including pulmonary involvement,. Fulminant lupus pneumonitis is a rare but potentially life threatening complication of. Lupus And Pneumonia.
From www.geeksforgeeks.org
Pneumonia Causes, Symptoms, Diagnosis & Treatment Lupus And Pneumonia Systemic lupus erythematosus (sle) is a chronic systemic autoimmune disease characterized by a wide spectrum of clinical. Background and objective pneumonia remains the main cause of mortality in patients with systemic lupus erythematosus (sle). Fulminant lupus pneumonitis is a rare but potentially life threatening complication of sle. Pulmonary manifestations of the disease include disorders of the lung parenchyma, pleura, and. Lupus And Pneumonia.
From healthjade.com
Pneumonia Causes, Signs, Symptoms, Shot & Pneumonia Treatment Lupus And Pneumonia Differential diagnosis requires exclusion of. Pulmonary manifestations of the disease include disorders of the lung parenchyma, pleura, and pulmonary vasculature. Although many bacterial infections are more prevalent in patients with sle than in healthy people, the causal organisms do not. Systemic lupus erythematosus (sle) is a chronic, autoimmune disorder that can present with a wide array of clinical and immunological. Lupus And Pneumonia.
From www.onlymyhealth.com
What Causes Pneumonia and How Serious Is It? OnlyMyHealth Lupus And Pneumonia Systemic lupus erythematosus (sle) is a chronic systemic autoimmune disease characterized by a wide spectrum of clinical. Fulminant lupus pneumonitis is a rare but potentially life threatening complication of sle. Systemic lupus erythematosus (sle) is a chronic, autoimmune disorder that can present with a wide array of clinical and immunological abnormalities (1). Differential diagnosis requires exclusion of. Background and objective. Lupus And Pneumonia.
From www.researchgate.net
(PDF) Streptococcus pneumoniae sepsis as the initial presentation of Lupus And Pneumonia Systemic lupus erythematosus (sle) is a chronic, autoimmune disorder that can present with a wide array of clinical and immunological abnormalities (1). Background and objective pneumonia remains the main cause of mortality in patients with systemic lupus erythematosus (sle). Systemic lupus erythematosus (sle) is a complex autoimmune disease with potential multiorgan involvement, including pulmonary involvement,. Differential diagnosis requires exclusion of.. Lupus And Pneumonia.
From casereports.bmj.com
Bronchiolitis obliterans organising pneumonia as an initial Lupus And Pneumonia Pulmonary manifestations of the disease include disorders of the lung parenchyma, pleura, and pulmonary vasculature. Learn about the connection between lupus and lung disorders, such as pleuritis, pneumonitis, pulmonary emboli, and pulmonary hypertension. Background and objective pneumonia remains the main cause of mortality in patients with systemic lupus erythematosus (sle). Fulminant lupus pneumonitis is a rare but potentially life threatening. Lupus And Pneumonia.
From www.semanticscholar.org
Systemic lupus erythematosus (SLE) pneumonitis mimicking swine Lupus And Pneumonia Although many bacterial infections are more prevalent in patients with sle than in healthy people, the causal organisms do not. Systemic lupus erythematosus (sle) is a complex autoimmune disease with potential multiorgan involvement, including pulmonary involvement,. Differential diagnosis requires exclusion of. Systemic lupus erythematosus (sle) is a chronic, autoimmune disorder that can present with a wide array of clinical and. Lupus And Pneumonia.
From thorax.bmj.com
Pleuropulmonary manifestations of systemic lupus erythematosus Thorax Lupus And Pneumonia Background and objective pneumonia remains the main cause of mortality in patients with systemic lupus erythematosus (sle). Pulmonary manifestations of the disease include disorders of the lung parenchyma, pleura, and pulmonary vasculature. Systemic lupus erythematosus (sle) is a chronic, autoimmune disorder that can present with a wide array of clinical and immunological abnormalities (1). Differential diagnosis requires exclusion of. Systemic. Lupus And Pneumonia.
From www.cureus.com
Cureus A Case of junii Cavitary Pneumonia With Lupus And Pneumonia Systemic lupus erythematosus (sle) is a complex autoimmune disease with potential multiorgan involvement, including pulmonary involvement,. Background and objective pneumonia remains the main cause of mortality in patients with systemic lupus erythematosus (sle). Differential diagnosis requires exclusion of. Fulminant lupus pneumonitis is a rare but potentially life threatening complication of sle. Although many bacterial infections are more prevalent in patients. Lupus And Pneumonia.
From pharmacylibrary.com
Pneumonia Symptoms PharmacyLibrary Lupus And Pneumonia Background and objective pneumonia remains the main cause of mortality in patients with systemic lupus erythematosus (sle). Differential diagnosis requires exclusion of. Systemic lupus erythematosus (sle) is a complex autoimmune disease with potential multiorgan involvement, including pulmonary involvement,. Systemic lupus erythematosus (sle) is a chronic, autoimmune disorder that can present with a wide array of clinical and immunological abnormalities (1).. Lupus And Pneumonia.
From www.verywellhealth.com
Pneumonia Signs, Symptoms, and Complications Lupus And Pneumonia Pulmonary manifestations of the disease include disorders of the lung parenchyma, pleura, and pulmonary vasculature. Systemic lupus erythematosus (sle) is a chronic, autoimmune disorder that can present with a wide array of clinical and immunological abnormalities (1). Differential diagnosis requires exclusion of. Background and objective pneumonia remains the main cause of mortality in patients with systemic lupus erythematosus (sle). Systemic. Lupus And Pneumonia.