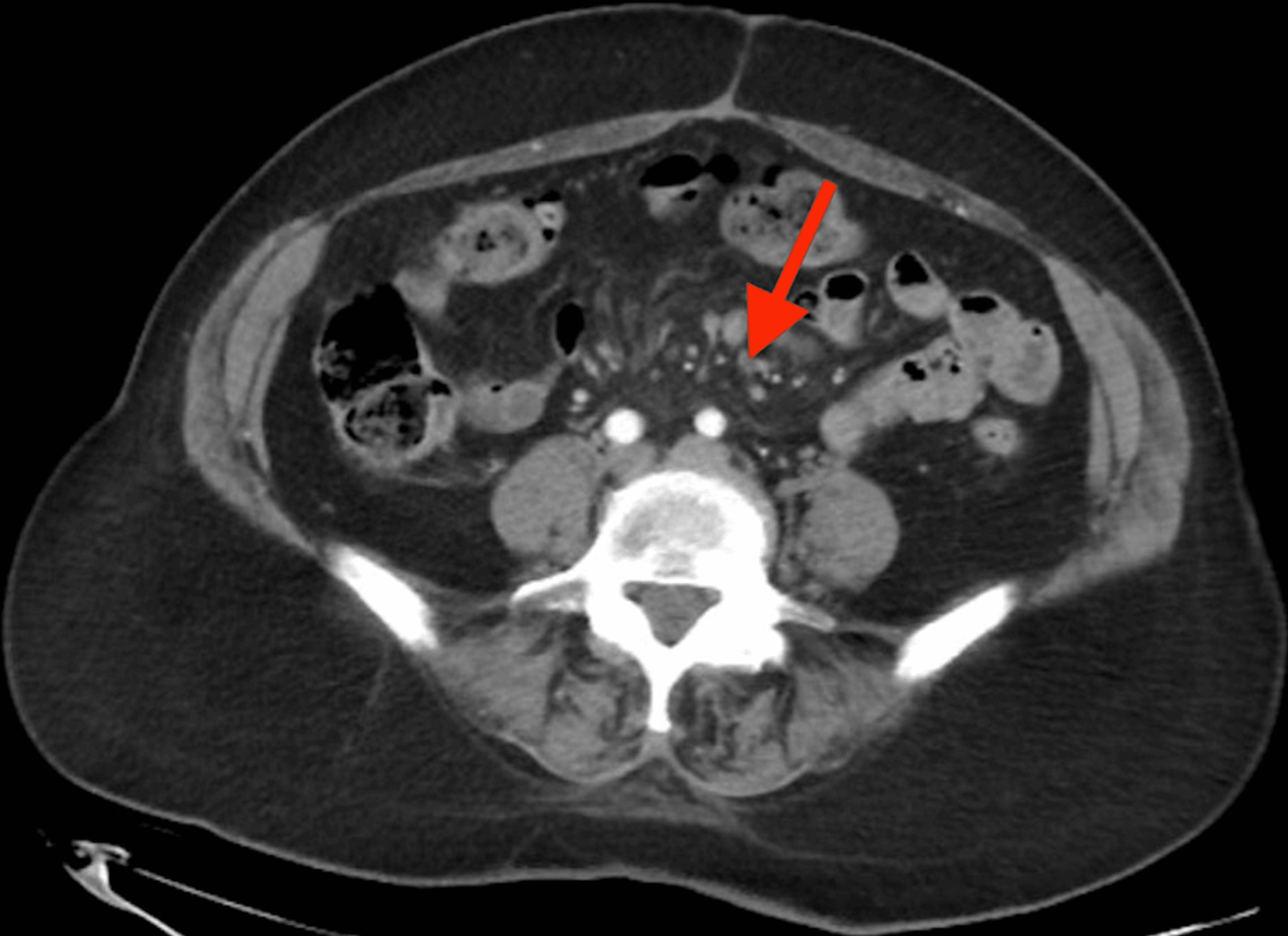
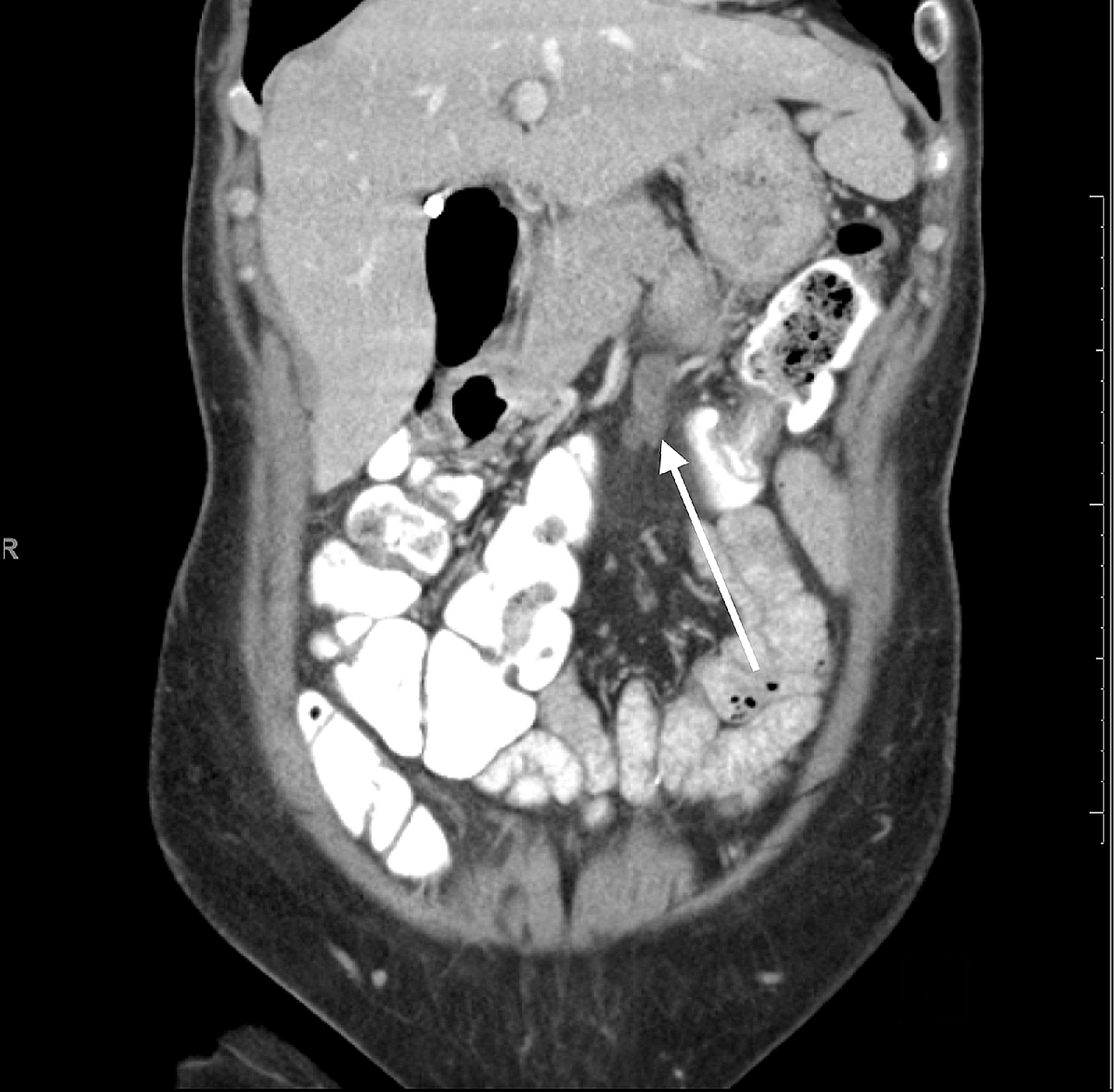
Chalky White Lesions In Mesentery . photograph of an axial image of the abdomen obtained on computerized axial tomographic (ct) assessment of a. the white chalky deposits are the saponificated remains of the fat in the mesentery and around the pancreas. pathologic conditions of the mesentery can present a diagnostic challenge for radiologists because many. a variety of cystic lesions can occur in the mesentery including enteric duplication cysts,. the aim of this article is to describe the normal anatomy of the root of the small bowel mesentery (rsbm) as. sclerosing mesenteritis is a rare disease of the mesentery. sclerosing mesenteritis (sm), an idiopathic nonneoplastic condition affecting 0.18% to 3.14% of the population, is characterized by chronic.
from www.researchgate.net
sclerosing mesenteritis is a rare disease of the mesentery. pathologic conditions of the mesentery can present a diagnostic challenge for radiologists because many. a variety of cystic lesions can occur in the mesentery including enteric duplication cysts,. the aim of this article is to describe the normal anatomy of the root of the small bowel mesentery (rsbm) as. sclerosing mesenteritis (sm), an idiopathic nonneoplastic condition affecting 0.18% to 3.14% of the population, is characterized by chronic. photograph of an axial image of the abdomen obtained on computerized axial tomographic (ct) assessment of a. the white chalky deposits are the saponificated remains of the fat in the mesentery and around the pancreas.
CT enterography Mesenteric hypervascular lesion in the mid ileum
Chalky White Lesions In Mesentery sclerosing mesenteritis (sm), an idiopathic nonneoplastic condition affecting 0.18% to 3.14% of the population, is characterized by chronic. sclerosing mesenteritis is a rare disease of the mesentery. photograph of an axial image of the abdomen obtained on computerized axial tomographic (ct) assessment of a. sclerosing mesenteritis (sm), an idiopathic nonneoplastic condition affecting 0.18% to 3.14% of the population, is characterized by chronic. a variety of cystic lesions can occur in the mesentery including enteric duplication cysts,. the aim of this article is to describe the normal anatomy of the root of the small bowel mesentery (rsbm) as. the white chalky deposits are the saponificated remains of the fat in the mesentery and around the pancreas. pathologic conditions of the mesentery can present a diagnostic challenge for radiologists because many.
From www.eurorad.org
An unusual lesion in the mesentery Eurorad Chalky White Lesions In Mesentery pathologic conditions of the mesentery can present a diagnostic challenge for radiologists because many. a variety of cystic lesions can occur in the mesentery including enteric duplication cysts,. sclerosing mesenteritis is a rare disease of the mesentery. photograph of an axial image of the abdomen obtained on computerized axial tomographic (ct) assessment of a. the. Chalky White Lesions In Mesentery.
From www.researchgate.net
Mesenteric lymphadenopathy secondary to IgG4RD. A 4yearold male Chalky White Lesions In Mesentery photograph of an axial image of the abdomen obtained on computerized axial tomographic (ct) assessment of a. sclerosing mesenteritis (sm), an idiopathic nonneoplastic condition affecting 0.18% to 3.14% of the population, is characterized by chronic. a variety of cystic lesions can occur in the mesentery including enteric duplication cysts,. the aim of this article is to. Chalky White Lesions In Mesentery.
From www.researchgate.net
Coronal CT image demonstrates inhomogeneous hyperdense mesenteric fat Chalky White Lesions In Mesentery pathologic conditions of the mesentery can present a diagnostic challenge for radiologists because many. sclerosing mesenteritis (sm), an idiopathic nonneoplastic condition affecting 0.18% to 3.14% of the population, is characterized by chronic. the white chalky deposits are the saponificated remains of the fat in the mesentery and around the pancreas. the aim of this article is. Chalky White Lesions In Mesentery.
From www.eurorad.org
An unusual lesion in the mesentery Eurorad Chalky White Lesions In Mesentery photograph of an axial image of the abdomen obtained on computerized axial tomographic (ct) assessment of a. pathologic conditions of the mesentery can present a diagnostic challenge for radiologists because many. sclerosing mesenteritis is a rare disease of the mesentery. the aim of this article is to describe the normal anatomy of the root of the. Chalky White Lesions In Mesentery.
From www.researchgate.net
CT revealed a mesenteric mass secondary to mesenteric panniculitis Chalky White Lesions In Mesentery photograph of an axial image of the abdomen obtained on computerized axial tomographic (ct) assessment of a. a variety of cystic lesions can occur in the mesentery including enteric duplication cysts,. pathologic conditions of the mesentery can present a diagnostic challenge for radiologists because many. the aim of this article is to describe the normal anatomy. Chalky White Lesions In Mesentery.
From www.researchgate.net
Enhanced CT. a In the ileal mesentery at the level of the umbilicus, a Chalky White Lesions In Mesentery pathologic conditions of the mesentery can present a diagnostic challenge for radiologists because many. sclerosing mesenteritis (sm), an idiopathic nonneoplastic condition affecting 0.18% to 3.14% of the population, is characterized by chronic. a variety of cystic lesions can occur in the mesentery including enteric duplication cysts,. the aim of this article is to describe the normal. Chalky White Lesions In Mesentery.
From www.researchgate.net
(PDF) Clinical and radiological features of mesenteric panniculitis a Chalky White Lesions In Mesentery the aim of this article is to describe the normal anatomy of the root of the small bowel mesentery (rsbm) as. the white chalky deposits are the saponificated remains of the fat in the mesentery and around the pancreas. photograph of an axial image of the abdomen obtained on computerized axial tomographic (ct) assessment of a. . Chalky White Lesions In Mesentery.
From www.researchgate.net
Mesenteric pseudotumor in a 41yearold male presenting with gradually Chalky White Lesions In Mesentery the white chalky deposits are the saponificated remains of the fat in the mesentery and around the pancreas. pathologic conditions of the mesentery can present a diagnostic challenge for radiologists because many. a variety of cystic lesions can occur in the mesentery including enteric duplication cysts,. sclerosing mesenteritis (sm), an idiopathic nonneoplastic condition affecting 0.18% to. Chalky White Lesions In Mesentery.
From radiologycases.my
Mesenteric cyst Radiology Cases Chalky White Lesions In Mesentery photograph of an axial image of the abdomen obtained on computerized axial tomographic (ct) assessment of a. sclerosing mesenteritis (sm), an idiopathic nonneoplastic condition affecting 0.18% to 3.14% of the population, is characterized by chronic. the white chalky deposits are the saponificated remains of the fat in the mesentery and around the pancreas. the aim of. Chalky White Lesions In Mesentery.
From www.eurorad.org
An unusual lesion in the mesentery Eurorad Chalky White Lesions In Mesentery sclerosing mesenteritis is a rare disease of the mesentery. pathologic conditions of the mesentery can present a diagnostic challenge for radiologists because many. the aim of this article is to describe the normal anatomy of the root of the small bowel mesentery (rsbm) as. the white chalky deposits are the saponificated remains of the fat in. Chalky White Lesions In Mesentery.
From www.cureus.com
Cureus Surgical Excision of Sclerosing Mesenteritis, Exploration of Chalky White Lesions In Mesentery sclerosing mesenteritis (sm), an idiopathic nonneoplastic condition affecting 0.18% to 3.14% of the population, is characterized by chronic. the white chalky deposits are the saponificated remains of the fat in the mesentery and around the pancreas. photograph of an axial image of the abdomen obtained on computerized axial tomographic (ct) assessment of a. pathologic conditions of. Chalky White Lesions In Mesentery.
From www.ctisus.com
Mesenteric Mass Near Root of Mesentery Small Bowel Case Studies Chalky White Lesions In Mesentery the aim of this article is to describe the normal anatomy of the root of the small bowel mesentery (rsbm) as. the white chalky deposits are the saponificated remains of the fat in the mesentery and around the pancreas. sclerosing mesenteritis is a rare disease of the mesentery. sclerosing mesenteritis (sm), an idiopathic nonneoplastic condition affecting. Chalky White Lesions In Mesentery.
From www.researchgate.net
Mobile mesenteric lymphangioma with internal presence of chyle. A Axial Chalky White Lesions In Mesentery pathologic conditions of the mesentery can present a diagnostic challenge for radiologists because many. the aim of this article is to describe the normal anatomy of the root of the small bowel mesentery (rsbm) as. sclerosing mesenteritis is a rare disease of the mesentery. the white chalky deposits are the saponificated remains of the fat in. Chalky White Lesions In Mesentery.
From www.cureus.com
Cureus Sclerosing Mesenteritis A Rare Cause of Abdominal Pain Chalky White Lesions In Mesentery the aim of this article is to describe the normal anatomy of the root of the small bowel mesentery (rsbm) as. sclerosing mesenteritis (sm), an idiopathic nonneoplastic condition affecting 0.18% to 3.14% of the population, is characterized by chronic. the white chalky deposits are the saponificated remains of the fat in the mesentery and around the pancreas.. Chalky White Lesions In Mesentery.
From radiologykey.com
Mesenteric and Omental Lesions Radiology Key Chalky White Lesions In Mesentery the white chalky deposits are the saponificated remains of the fat in the mesentery and around the pancreas. photograph of an axial image of the abdomen obtained on computerized axial tomographic (ct) assessment of a. a variety of cystic lesions can occur in the mesentery including enteric duplication cysts,. sclerosing mesenteritis (sm), an idiopathic nonneoplastic condition. Chalky White Lesions In Mesentery.
From www.researchgate.net
Preoperative computed tomography (CT) scan of the mesenteric mass Chalky White Lesions In Mesentery the aim of this article is to describe the normal anatomy of the root of the small bowel mesentery (rsbm) as. the white chalky deposits are the saponificated remains of the fat in the mesentery and around the pancreas. sclerosing mesenteritis (sm), an idiopathic nonneoplastic condition affecting 0.18% to 3.14% of the population, is characterized by chronic.. Chalky White Lesions In Mesentery.
From www.sciencephoto.com
Mesenteric mass, CT scan Stock Image C039/3096 Science Photo Library Chalky White Lesions In Mesentery the aim of this article is to describe the normal anatomy of the root of the small bowel mesentery (rsbm) as. sclerosing mesenteritis is a rare disease of the mesentery. pathologic conditions of the mesentery can present a diagnostic challenge for radiologists because many. the white chalky deposits are the saponificated remains of the fat in. Chalky White Lesions In Mesentery.
From pubs.rsna.org
The Wheel of the Mesentery Imaging Spectrum of Primary and Secondary Chalky White Lesions In Mesentery sclerosing mesenteritis is a rare disease of the mesentery. the white chalky deposits are the saponificated remains of the fat in the mesentery and around the pancreas. sclerosing mesenteritis (sm), an idiopathic nonneoplastic condition affecting 0.18% to 3.14% of the population, is characterized by chronic. photograph of an axial image of the abdomen obtained on computerized. Chalky White Lesions In Mesentery.
From www.ctisus.com
Sclerosing Mesenteritis with Calcified Mesenteric Mass Chalky White Lesions In Mesentery the white chalky deposits are the saponificated remains of the fat in the mesentery and around the pancreas. photograph of an axial image of the abdomen obtained on computerized axial tomographic (ct) assessment of a. the aim of this article is to describe the normal anatomy of the root of the small bowel mesentery (rsbm) as. . Chalky White Lesions In Mesentery.
From pubs.rsna.org
Mesenteric Neoplasms CT Appearances of Primary and Secondary Tumors Chalky White Lesions In Mesentery photograph of an axial image of the abdomen obtained on computerized axial tomographic (ct) assessment of a. sclerosing mesenteritis is a rare disease of the mesentery. the aim of this article is to describe the normal anatomy of the root of the small bowel mesentery (rsbm) as. sclerosing mesenteritis (sm), an idiopathic nonneoplastic condition affecting 0.18%. Chalky White Lesions In Mesentery.
From pubs.rsna.org
Mesenteric Neoplasms CT Appearances of Primary and Secondary Tumors Chalky White Lesions In Mesentery sclerosing mesenteritis is a rare disease of the mesentery. the white chalky deposits are the saponificated remains of the fat in the mesentery and around the pancreas. a variety of cystic lesions can occur in the mesentery including enteric duplication cysts,. sclerosing mesenteritis (sm), an idiopathic nonneoplastic condition affecting 0.18% to 3.14% of the population, is. Chalky White Lesions In Mesentery.
From pubs.rsna.org
Mesenteric Neoplasms CT Appearances of Primary and Secondary Tumors Chalky White Lesions In Mesentery sclerosing mesenteritis is a rare disease of the mesentery. the aim of this article is to describe the normal anatomy of the root of the small bowel mesentery (rsbm) as. sclerosing mesenteritis (sm), an idiopathic nonneoplastic condition affecting 0.18% to 3.14% of the population, is characterized by chronic. the white chalky deposits are the saponificated remains. Chalky White Lesions In Mesentery.
From www.ctisus.com
Inflammation of Mesenteric Fat Gastrointestinal Case Studies CTisus Chalky White Lesions In Mesentery a variety of cystic lesions can occur in the mesentery including enteric duplication cysts,. the aim of this article is to describe the normal anatomy of the root of the small bowel mesentery (rsbm) as. photograph of an axial image of the abdomen obtained on computerized axial tomographic (ct) assessment of a. the white chalky deposits. Chalky White Lesions In Mesentery.
From www.researchgate.net
Sclerosing mesenteritis. (a) Contrast enhanced CT Axial section through Chalky White Lesions In Mesentery photograph of an axial image of the abdomen obtained on computerized axial tomographic (ct) assessment of a. the white chalky deposits are the saponificated remains of the fat in the mesentery and around the pancreas. a variety of cystic lesions can occur in the mesentery including enteric duplication cysts,. the aim of this article is to. Chalky White Lesions In Mesentery.
From www.researchgate.net
(PDF) Calcified Mesenteric Lymphatic Cyst Mimicking Teratoma Chalky White Lesions In Mesentery a variety of cystic lesions can occur in the mesentery including enteric duplication cysts,. the white chalky deposits are the saponificated remains of the fat in the mesentery and around the pancreas. the aim of this article is to describe the normal anatomy of the root of the small bowel mesentery (rsbm) as. pathologic conditions of. Chalky White Lesions In Mesentery.
From pubs.rsna.org
Mesenteric Neoplasms CT Appearances of Primary and Secondary Tumors Chalky White Lesions In Mesentery pathologic conditions of the mesentery can present a diagnostic challenge for radiologists because many. sclerosing mesenteritis is a rare disease of the mesentery. a variety of cystic lesions can occur in the mesentery including enteric duplication cysts,. the aim of this article is to describe the normal anatomy of the root of the small bowel mesentery. Chalky White Lesions In Mesentery.
From radiologykey.com
Malignant Diseases of the Mesentery and Omentum Radiology Key Chalky White Lesions In Mesentery the white chalky deposits are the saponificated remains of the fat in the mesentery and around the pancreas. sclerosing mesenteritis (sm), an idiopathic nonneoplastic condition affecting 0.18% to 3.14% of the population, is characterized by chronic. the aim of this article is to describe the normal anatomy of the root of the small bowel mesentery (rsbm) as.. Chalky White Lesions In Mesentery.
From pubs.rsna.org
Mesenteric Neoplasms CT Appearances of Primary and Secondary Tumors Chalky White Lesions In Mesentery sclerosing mesenteritis is a rare disease of the mesentery. the aim of this article is to describe the normal anatomy of the root of the small bowel mesentery (rsbm) as. photograph of an axial image of the abdomen obtained on computerized axial tomographic (ct) assessment of a. a variety of cystic lesions can occur in the. Chalky White Lesions In Mesentery.
From www.eurorad.org
Mesenteric cyst a rare cause of abdominal pain Eurorad Chalky White Lesions In Mesentery sclerosing mesenteritis is a rare disease of the mesentery. the white chalky deposits are the saponificated remains of the fat in the mesentery and around the pancreas. sclerosing mesenteritis (sm), an idiopathic nonneoplastic condition affecting 0.18% to 3.14% of the population, is characterized by chronic. photograph of an axial image of the abdomen obtained on computerized. Chalky White Lesions In Mesentery.
From onlinelibrary.wiley.com
Mesenteric masses Approach to differential diagnosis at MRI with Chalky White Lesions In Mesentery sclerosing mesenteritis (sm), an idiopathic nonneoplastic condition affecting 0.18% to 3.14% of the population, is characterized by chronic. photograph of an axial image of the abdomen obtained on computerized axial tomographic (ct) assessment of a. the white chalky deposits are the saponificated remains of the fat in the mesentery and around the pancreas. sclerosing mesenteritis is. Chalky White Lesions In Mesentery.
From www.researchgate.net
CT enterography Mesenteric hypervascular lesion in the mid ileum Chalky White Lesions In Mesentery pathologic conditions of the mesentery can present a diagnostic challenge for radiologists because many. photograph of an axial image of the abdomen obtained on computerized axial tomographic (ct) assessment of a. sclerosing mesenteritis is a rare disease of the mesentery. the white chalky deposits are the saponificated remains of the fat in the mesentery and around. Chalky White Lesions In Mesentery.
From www.ctisus.com
Sclerosing Mesenteritis with Calcified Mesenteric Mass Chalky White Lesions In Mesentery a variety of cystic lesions can occur in the mesentery including enteric duplication cysts,. the aim of this article is to describe the normal anatomy of the root of the small bowel mesentery (rsbm) as. the white chalky deposits are the saponificated remains of the fat in the mesentery and around the pancreas. sclerosing mesenteritis (sm),. Chalky White Lesions In Mesentery.
From radiologykey.com
Mesenteric and Omental Lesions Radiology Key Chalky White Lesions In Mesentery sclerosing mesenteritis (sm), an idiopathic nonneoplastic condition affecting 0.18% to 3.14% of the population, is characterized by chronic. sclerosing mesenteritis is a rare disease of the mesentery. the white chalky deposits are the saponificated remains of the fat in the mesentery and around the pancreas. photograph of an axial image of the abdomen obtained on computerized. Chalky White Lesions In Mesentery.
From www.mayoclinic.org
Mesenteric lymphadenitis Symptoms and causes Mayo Clinic Chalky White Lesions In Mesentery photograph of an axial image of the abdomen obtained on computerized axial tomographic (ct) assessment of a. sclerosing mesenteritis is a rare disease of the mesentery. the aim of this article is to describe the normal anatomy of the root of the small bowel mesentery (rsbm) as. the white chalky deposits are the saponificated remains of. Chalky White Lesions In Mesentery.
From www.semanticscholar.org
Figure 3 from Sclerosing mesenteritis a benign cause of mesenteric Chalky White Lesions In Mesentery the aim of this article is to describe the normal anatomy of the root of the small bowel mesentery (rsbm) as. sclerosing mesenteritis (sm), an idiopathic nonneoplastic condition affecting 0.18% to 3.14% of the population, is characterized by chronic. sclerosing mesenteritis is a rare disease of the mesentery. the white chalky deposits are the saponificated remains. Chalky White Lesions In Mesentery.