Ortho Retainer Instructions . for the first 6 months after your braces are removed, you will wear the retainer full time, depending on dr. learn essential tips for taking care of your retainers to maintain your newly aligned smile and ensure orthodontic success. there are three main types of retainers: This is an information leaflet to help you manage with your new orthodontic retainer. Hawley retainers, essix retainers, and bonded (permanent) retainers. We hope you are ready for the final phase. retainer instructions orthodontic retainers are just as important as the orthodontic treatment you received to straighten your. Congratulations on getting your braces off! your orthodontic retainers have been carefully designed to hold your teeth in their new positions.
from orthosandiego.com
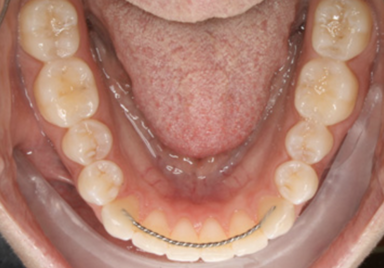
This is an information leaflet to help you manage with your new orthodontic retainer. learn essential tips for taking care of your retainers to maintain your newly aligned smile and ensure orthodontic success. your orthodontic retainers have been carefully designed to hold your teeth in their new positions. We hope you are ready for the final phase. Congratulations on getting your braces off! retainer instructions orthodontic retainers are just as important as the orthodontic treatment you received to straighten your. there are three main types of retainers: Hawley retainers, essix retainers, and bonded (permanent) retainers. for the first 6 months after your braces are removed, you will wear the retainer full time, depending on dr.
Retainer care instructions How long to wear your retainer We serve
Ortho Retainer Instructions This is an information leaflet to help you manage with your new orthodontic retainer. retainer instructions orthodontic retainers are just as important as the orthodontic treatment you received to straighten your. This is an information leaflet to help you manage with your new orthodontic retainer. learn essential tips for taking care of your retainers to maintain your newly aligned smile and ensure orthodontic success. Congratulations on getting your braces off! there are three main types of retainers: for the first 6 months after your braces are removed, you will wear the retainer full time, depending on dr. We hope you are ready for the final phase. your orthodontic retainers have been carefully designed to hold your teeth in their new positions. Hawley retainers, essix retainers, and bonded (permanent) retainers.
From www.comellaortho.com
Retainer Instructions Comella Orthodontics Rochester Victor NY Ortho Retainer Instructions This is an information leaflet to help you manage with your new orthodontic retainer. your orthodontic retainers have been carefully designed to hold your teeth in their new positions. retainer instructions orthodontic retainers are just as important as the orthodontic treatment you received to straighten your. learn essential tips for taking care of your retainers to maintain. Ortho Retainer Instructions.
From www.smileoutloud.com
Retainer Instructions Gina B. Pinamonti, DDS Orthodontics Pittsburg KS Ortho Retainer Instructions learn essential tips for taking care of your retainers to maintain your newly aligned smile and ensure orthodontic success. your orthodontic retainers have been carefully designed to hold your teeth in their new positions. for the first 6 months after your braces are removed, you will wear the retainer full time, depending on dr. Hawley retainers, essix. Ortho Retainer Instructions.
From swanortho.com
Orthodontic Retainer Instructions Swan Orthodontics Grand Rapids Ortho Retainer Instructions learn essential tips for taking care of your retainers to maintain your newly aligned smile and ensure orthodontic success. there are three main types of retainers: This is an information leaflet to help you manage with your new orthodontic retainer. retainer instructions orthodontic retainers are just as important as the orthodontic treatment you received to straighten your.. Ortho Retainer Instructions.
From dentallab-direct.com
Buy Hawley Orthodontic Retainers Dental Lab Direct Ortho Retainer Instructions Congratulations on getting your braces off! learn essential tips for taking care of your retainers to maintain your newly aligned smile and ensure orthodontic success. your orthodontic retainers have been carefully designed to hold your teeth in their new positions. We hope you are ready for the final phase. retainer instructions orthodontic retainers are just as important. Ortho Retainer Instructions.
From www.eastendvaortho.com
Retainer Instructions Sandston, VA East End Orthodontics Ortho Retainer Instructions for the first 6 months after your braces are removed, you will wear the retainer full time, depending on dr. This is an information leaflet to help you manage with your new orthodontic retainer. learn essential tips for taking care of your retainers to maintain your newly aligned smile and ensure orthodontic success. there are three main. Ortho Retainer Instructions.
From claussortho.com
Orthodontic Retainer Instructions Watertown Orthodontics Dr Clauss Ortho Retainer Instructions retainer instructions orthodontic retainers are just as important as the orthodontic treatment you received to straighten your. for the first 6 months after your braces are removed, you will wear the retainer full time, depending on dr. Congratulations on getting your braces off! This is an information leaflet to help you manage with your new orthodontic retainer. We. Ortho Retainer Instructions.
From myorthodonticspecialists.com
Retainer Instructions Orthodontic Specialists Ortho Retainer Instructions We hope you are ready for the final phase. Congratulations on getting your braces off! your orthodontic retainers have been carefully designed to hold your teeth in their new positions. retainer instructions orthodontic retainers are just as important as the orthodontic treatment you received to straighten your. Hawley retainers, essix retainers, and bonded (permanent) retainers. This is an. Ortho Retainer Instructions.
From dxobarkqr.blob.core.windows.net
Brace Positions Instructions at Andrew McKenzie blog Ortho Retainer Instructions retainer instructions orthodontic retainers are just as important as the orthodontic treatment you received to straighten your. Hawley retainers, essix retainers, and bonded (permanent) retainers. Congratulations on getting your braces off! We hope you are ready for the final phase. learn essential tips for taking care of your retainers to maintain your newly aligned smile and ensure orthodontic. Ortho Retainer Instructions.
From www.smileconcepts.com.au
PostOp Instructions Orthodontic Retainers Ortho Retainer Instructions there are three main types of retainers: your orthodontic retainers have been carefully designed to hold your teeth in their new positions. for the first 6 months after your braces are removed, you will wear the retainer full time, depending on dr. Hawley retainers, essix retainers, and bonded (permanent) retainers. We hope you are ready for the. Ortho Retainer Instructions.
From www.olmstedorthodontics.com
Retainer Instructions in Oak Ridge, NC Olmsted Orthodontics Ortho Retainer Instructions your orthodontic retainers have been carefully designed to hold your teeth in their new positions. Hawley retainers, essix retainers, and bonded (permanent) retainers. retainer instructions orthodontic retainers are just as important as the orthodontic treatment you received to straighten your. learn essential tips for taking care of your retainers to maintain your newly aligned smile and ensure. Ortho Retainer Instructions.
From www.smilebig.ca
Retention Popowich Orthodontics Ortho Retainer Instructions for the first 6 months after your braces are removed, you will wear the retainer full time, depending on dr. learn essential tips for taking care of your retainers to maintain your newly aligned smile and ensure orthodontic success. Hawley retainers, essix retainers, and bonded (permanent) retainers. your orthodontic retainers have been carefully designed to hold your. Ortho Retainer Instructions.
From www.comellaortho.com
Retainer Instructions Comella Orthodontics Rochester Victor NY Ortho Retainer Instructions Hawley retainers, essix retainers, and bonded (permanent) retainers. there are three main types of retainers: We hope you are ready for the final phase. your orthodontic retainers have been carefully designed to hold your teeth in their new positions. Congratulations on getting your braces off! learn essential tips for taking care of your retainers to maintain your. Ortho Retainer Instructions.
From www.youtube.com
Orthodontic Retainer Hawley Instruction and Care YouTube Ortho Retainer Instructions learn essential tips for taking care of your retainers to maintain your newly aligned smile and ensure orthodontic success. Hawley retainers, essix retainers, and bonded (permanent) retainers. We hope you are ready for the final phase. retainer instructions orthodontic retainers are just as important as the orthodontic treatment you received to straighten your. Congratulations on getting your braces. Ortho Retainer Instructions.
From www.hinterlandviewdental.com.au
Orthodontic Retainers Your Caring Sunshine Coast Dentist Hinterland Ortho Retainer Instructions there are three main types of retainers: for the first 6 months after your braces are removed, you will wear the retainer full time, depending on dr. learn essential tips for taking care of your retainers to maintain your newly aligned smile and ensure orthodontic success. Hawley retainers, essix retainers, and bonded (permanent) retainers. retainer instructions. Ortho Retainer Instructions.
From spsdentalclinic.com
Retainers after braces treatment... ??SPS Dental & Orthodontic clinicvizag Ortho Retainer Instructions your orthodontic retainers have been carefully designed to hold your teeth in their new positions. learn essential tips for taking care of your retainers to maintain your newly aligned smile and ensure orthodontic success. This is an information leaflet to help you manage with your new orthodontic retainer. Congratulations on getting your braces off! retainer instructions orthodontic. Ortho Retainer Instructions.
From ridgecrestorthodontics.com
Retainer Instructions Ridgecrest Orthodontics Ortho Retainer Instructions Congratulations on getting your braces off! learn essential tips for taking care of your retainers to maintain your newly aligned smile and ensure orthodontic success. your orthodontic retainers have been carefully designed to hold your teeth in their new positions. retainer instructions orthodontic retainers are just as important as the orthodontic treatment you received to straighten your.. Ortho Retainer Instructions.
From montclair-orthodontics.com
Retainer Instructions Montclair Orthodontists Dr. Gold and Dr. Rubino Ortho Retainer Instructions your orthodontic retainers have been carefully designed to hold your teeth in their new positions. there are three main types of retainers: retainer instructions orthodontic retainers are just as important as the orthodontic treatment you received to straighten your. We hope you are ready for the final phase. This is an information leaflet to help you manage. Ortho Retainer Instructions.
From orthosandiego.com
Retainer care instructions How long to wear your retainer We serve Ortho Retainer Instructions retainer instructions orthodontic retainers are just as important as the orthodontic treatment you received to straighten your. This is an information leaflet to help you manage with your new orthodontic retainer. for the first 6 months after your braces are removed, you will wear the retainer full time, depending on dr. there are three main types of. Ortho Retainer Instructions.
From www.ashburnpediatricdentalcenter.com
Retainer Instructions in Ashburn, VA Ashburn Pediatric Dental Center Ortho Retainer Instructions Hawley retainers, essix retainers, and bonded (permanent) retainers. there are three main types of retainers: This is an information leaflet to help you manage with your new orthodontic retainer. retainer instructions orthodontic retainers are just as important as the orthodontic treatment you received to straighten your. We hope you are ready for the final phase. Congratulations on getting. Ortho Retainer Instructions.
From www.smileconcepts.com.au
PostOp Instructions Orthodontic Retainers Ortho Retainer Instructions Congratulations on getting your braces off! We hope you are ready for the final phase. This is an information leaflet to help you manage with your new orthodontic retainer. for the first 6 months after your braces are removed, you will wear the retainer full time, depending on dr. your orthodontic retainers have been carefully designed to hold. Ortho Retainer Instructions.
From www.trotterorthoaugusta.com
Retainer Instructions Trotter Orthodontics Ortho Retainer Instructions retainer instructions orthodontic retainers are just as important as the orthodontic treatment you received to straighten your. Hawley retainers, essix retainers, and bonded (permanent) retainers. We hope you are ready for the final phase. This is an information leaflet to help you manage with your new orthodontic retainer. there are three main types of retainers: your orthodontic. Ortho Retainer Instructions.
From bernuyortho.com
Using Your Orthodontic Retainer Retainer Instructions Ortho Retainer Instructions Hawley retainers, essix retainers, and bonded (permanent) retainers. We hope you are ready for the final phase. for the first 6 months after your braces are removed, you will wear the retainer full time, depending on dr. retainer instructions orthodontic retainers are just as important as the orthodontic treatment you received to straighten your. learn essential tips. Ortho Retainer Instructions.
From www.greaterhartfordortho.com
How Should A Retainer Fit? Greater Hartford Ortho Ortho Retainer Instructions learn essential tips for taking care of your retainers to maintain your newly aligned smile and ensure orthodontic success. for the first 6 months after your braces are removed, you will wear the retainer full time, depending on dr. Hawley retainers, essix retainers, and bonded (permanent) retainers. Congratulations on getting your braces off! there are three main. Ortho Retainer Instructions.
From freemanorthodontics.com
Retention Freeman Orthodontics Ortho Retainer Instructions for the first 6 months after your braces are removed, you will wear the retainer full time, depending on dr. We hope you are ready for the final phase. there are three main types of retainers: your orthodontic retainers have been carefully designed to hold your teeth in their new positions. learn essential tips for taking. Ortho Retainer Instructions.
From www.dbqortho.com
Instructions for Retainers Ortho Retainer Instructions Congratulations on getting your braces off! We hope you are ready for the final phase. for the first 6 months after your braces are removed, you will wear the retainer full time, depending on dr. learn essential tips for taking care of your retainers to maintain your newly aligned smile and ensure orthodontic success. your orthodontic retainers. Ortho Retainer Instructions.
From www.youtube.com
Team Orthodontics' Retainer Care Instructions YouTube Ortho Retainer Instructions Congratulations on getting your braces off! your orthodontic retainers have been carefully designed to hold your teeth in their new positions. for the first 6 months after your braces are removed, you will wear the retainer full time, depending on dr. learn essential tips for taking care of your retainers to maintain your newly aligned smile and. Ortho Retainer Instructions.
From www.3dental.ie
The Ultimate Guide to Orthodontic Retainers Clear Dental Retainers Ortho Retainer Instructions for the first 6 months after your braces are removed, you will wear the retainer full time, depending on dr. Hawley retainers, essix retainers, and bonded (permanent) retainers. retainer instructions orthodontic retainers are just as important as the orthodontic treatment you received to straighten your. We hope you are ready for the final phase. learn essential tips. Ortho Retainer Instructions.
From missioncreekortho.com
Retainer Instructions Mission Creek Orthodontics Ortho Retainer Instructions We hope you are ready for the final phase. retainer instructions orthodontic retainers are just as important as the orthodontic treatment you received to straighten your. learn essential tips for taking care of your retainers to maintain your newly aligned smile and ensure orthodontic success. Congratulations on getting your braces off! there are three main types of. Ortho Retainer Instructions.
From www.braceplace.co.uk
Retainer Care Instructions Braceplace Orthodontics Ortho Retainer Instructions there are three main types of retainers: We hope you are ready for the final phase. This is an information leaflet to help you manage with your new orthodontic retainer. learn essential tips for taking care of your retainers to maintain your newly aligned smile and ensure orthodontic success. Hawley retainers, essix retainers, and bonded (permanent) retainers. . Ortho Retainer Instructions.
From www.citysmilesandorthodontics.com
10 Instructions To Take Care Of Your Retainers City Smiles Dental and Ortho Retainer Instructions This is an information leaflet to help you manage with your new orthodontic retainer. there are three main types of retainers: Hawley retainers, essix retainers, and bonded (permanent) retainers. retainer instructions orthodontic retainers are just as important as the orthodontic treatment you received to straighten your. Congratulations on getting your braces off! your orthodontic retainers have been. Ortho Retainer Instructions.
From puresmilesortho.com
Retainers Replacement / Repaire Austin TX Pure Smiles Orthodontics Ortho Retainer Instructions Hawley retainers, essix retainers, and bonded (permanent) retainers. your orthodontic retainers have been carefully designed to hold your teeth in their new positions. there are three main types of retainers: This is an information leaflet to help you manage with your new orthodontic retainer. We hope you are ready for the final phase. Congratulations on getting your braces. Ortho Retainer Instructions.
From puresmilesortho.com
Retainers Replacement / Repaire Austin TX Pure Smiles Orthodontics Ortho Retainer Instructions Congratulations on getting your braces off! your orthodontic retainers have been carefully designed to hold your teeth in their new positions. Hawley retainers, essix retainers, and bonded (permanent) retainers. learn essential tips for taking care of your retainers to maintain your newly aligned smile and ensure orthodontic success. for the first 6 months after your braces are. Ortho Retainer Instructions.
From www.hashemorthodontics.com
Retainer Instructions Hashem Orthodontics Colleyville Flower Mound TX Ortho Retainer Instructions Congratulations on getting your braces off! learn essential tips for taking care of your retainers to maintain your newly aligned smile and ensure orthodontic success. This is an information leaflet to help you manage with your new orthodontic retainer. retainer instructions orthodontic retainers are just as important as the orthodontic treatment you received to straighten your. for. Ortho Retainer Instructions.
From www.encinoortho.com
BRACES 101 RETAINER INSTRUCTION Dr.Fouy Chau, DDS MS MBA Ortho Retainer Instructions learn essential tips for taking care of your retainers to maintain your newly aligned smile and ensure orthodontic success. your orthodontic retainers have been carefully designed to hold your teeth in their new positions. there are three main types of retainers: This is an information leaflet to help you manage with your new orthodontic retainer. retainer. Ortho Retainer Instructions.
From www.suffolkbraces.com
Retainer Instructions Smile Suffolk Braces Suffolk, VA Orthodontist Ortho Retainer Instructions learn essential tips for taking care of your retainers to maintain your newly aligned smile and ensure orthodontic success. Hawley retainers, essix retainers, and bonded (permanent) retainers. This is an information leaflet to help you manage with your new orthodontic retainer. your orthodontic retainers have been carefully designed to hold your teeth in their new positions. retainer. Ortho Retainer Instructions.