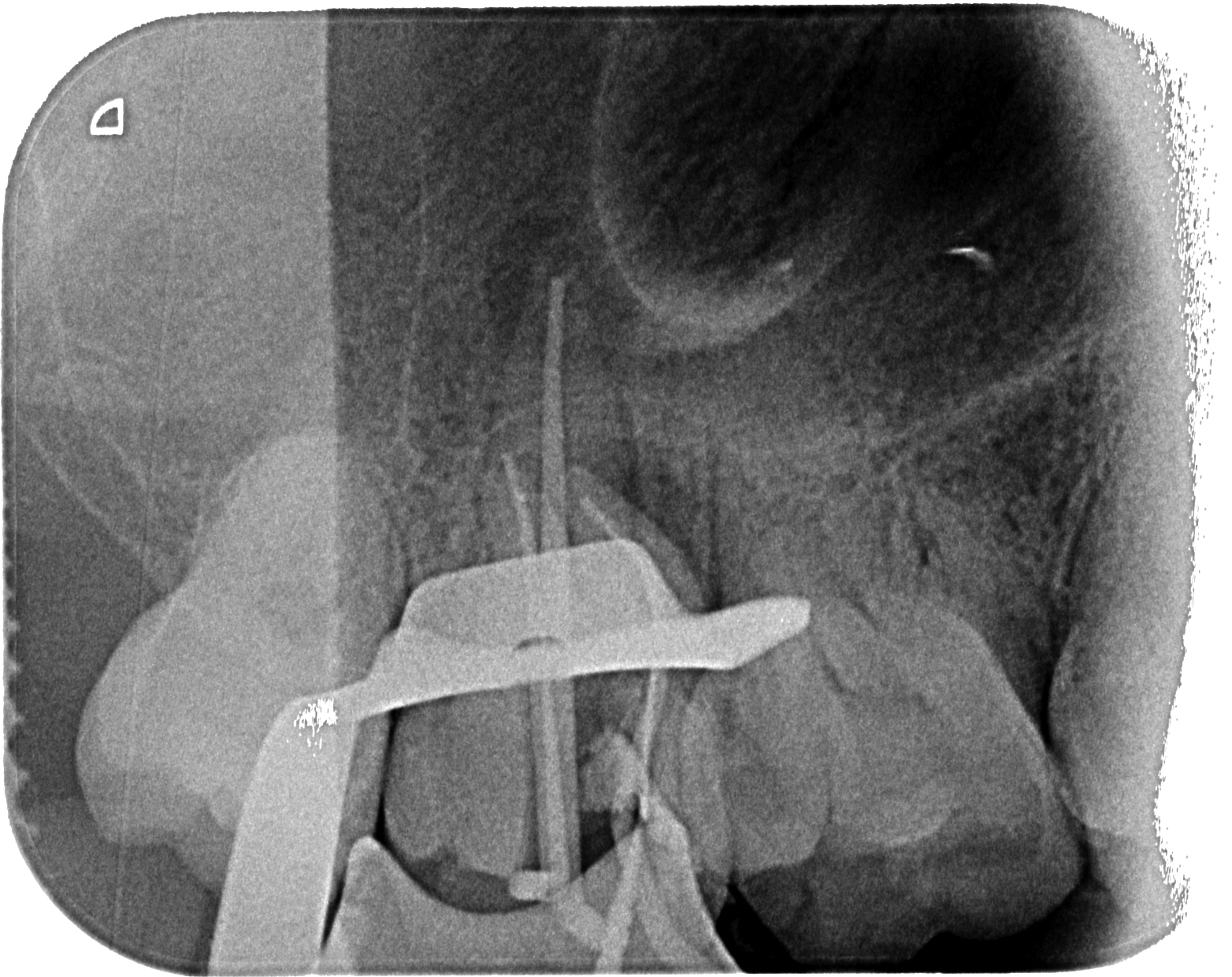
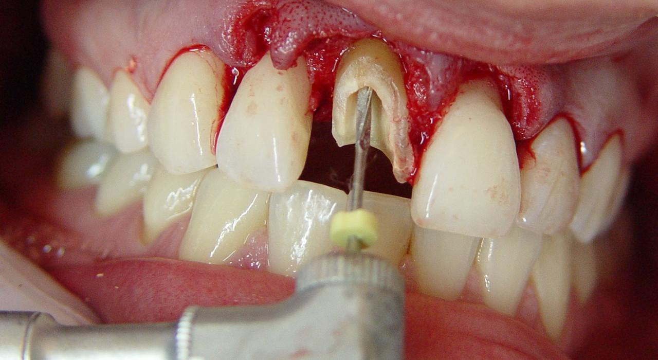
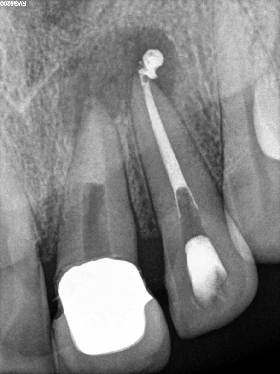
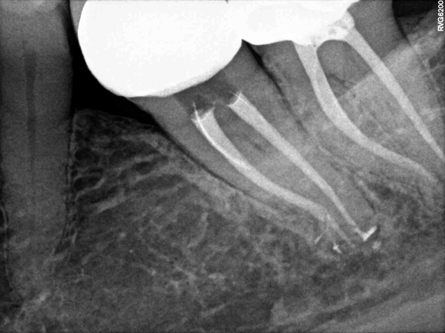
Stop Apical Endodoncia . This retrospective study evaluated cases of unintentional overfillings during root canal treatment for the fate of the extruded sealer and its influence on the outcome. Root canal shaping in the age of minimally invasive endodontics (mie) technology. The extent of the apical obturation when performing root canal therapy is a key factor that influences the success of the treatment. The concept of instrumentation beyond the apical foramen by small flexible file. To this end, instrument stops should be used and instruments should be. The data presented in this review can aid in. Traumatic injury to the surrounding (periapical) soft tissue should be avoided at all times. The extent of apical enlargement can impact the outcome of endodontic treatment. Stephen buchanan and christophe verbanck say that minimally invasive endodontics can be.
from www.royal-dent.com
This retrospective study evaluated cases of unintentional overfillings during root canal treatment for the fate of the extruded sealer and its influence on the outcome. The extent of apical enlargement can impact the outcome of endodontic treatment. The extent of the apical obturation when performing root canal therapy is a key factor that influences the success of the treatment. The data presented in this review can aid in. The concept of instrumentation beyond the apical foramen by small flexible file. To this end, instrument stops should be used and instruments should be. Stephen buchanan and christophe verbanck say that minimally invasive endodontics can be. Root canal shaping in the age of minimally invasive endodontics (mie) technology. Traumatic injury to the surrounding (periapical) soft tissue should be avoided at all times.
Insert cirugía Apical Endosuccess Apical Surgery AS3DAS6DAS9DASLD
Stop Apical Endodoncia The concept of instrumentation beyond the apical foramen by small flexible file. The concept of instrumentation beyond the apical foramen by small flexible file. The extent of the apical obturation when performing root canal therapy is a key factor that influences the success of the treatment. Root canal shaping in the age of minimally invasive endodontics (mie) technology. The extent of apical enlargement can impact the outcome of endodontic treatment. To this end, instrument stops should be used and instruments should be. This retrospective study evaluated cases of unintentional overfillings during root canal treatment for the fate of the extruded sealer and its influence on the outcome. Traumatic injury to the surrounding (periapical) soft tissue should be avoided at all times. Stephen buchanan and christophe verbanck say that minimally invasive endodontics can be. The data presented in this review can aid in.
From www.youtube.com
Stop Apical completo YouTube Stop Apical Endodoncia The concept of instrumentation beyond the apical foramen by small flexible file. Traumatic injury to the surrounding (periapical) soft tissue should be avoided at all times. Root canal shaping in the age of minimally invasive endodontics (mie) technology. The data presented in this review can aid in. The extent of apical enlargement can impact the outcome of endodontic treatment. To. Stop Apical Endodoncia.
From www.institutodentalbravocorpas.es
Qué es una endodoncia Instituto Dental Bravo Corpas Talavera Stop Apical Endodoncia This retrospective study evaluated cases of unintentional overfillings during root canal treatment for the fate of the extruded sealer and its influence on the outcome. To this end, instrument stops should be used and instruments should be. The extent of apical enlargement can impact the outcome of endodontic treatment. The data presented in this review can aid in. Root canal. Stop Apical Endodoncia.
From endodonciabadajoz.blog
Reabsorción apical sellado con M.T.A. Endodoncia Badajoz Stop Apical Endodoncia The extent of the apical obturation when performing root canal therapy is a key factor that influences the success of the treatment. Root canal shaping in the age of minimally invasive endodontics (mie) technology. The data presented in this review can aid in. Traumatic injury to the surrounding (periapical) soft tissue should be avoided at all times. The concept of. Stop Apical Endodoncia.
From barcelonatmjclinic.com
Endodoncia y Cirugía Apical Barcelona TMJ Clinic Stop Apical Endodoncia This retrospective study evaluated cases of unintentional overfillings during root canal treatment for the fate of the extruded sealer and its influence on the outcome. To this end, instrument stops should be used and instruments should be. Root canal shaping in the age of minimally invasive endodontics (mie) technology. Stephen buchanan and christophe verbanck say that minimally invasive endodontics can. Stop Apical Endodoncia.
From casosclinicosjcalonso.blogspot.com
CASOS CLÍNICOS ENDODONCIA Stop Apical Endodoncia The concept of instrumentation beyond the apical foramen by small flexible file. The data presented in this review can aid in. Root canal shaping in the age of minimally invasive endodontics (mie) technology. This retrospective study evaluated cases of unintentional overfillings during root canal treatment for the fate of the extruded sealer and its influence on the outcome. The extent. Stop Apical Endodoncia.
From ninacamborda.es
Barreras apicales con Biodentine Nina Camborda Endodoncista Stop Apical Endodoncia Traumatic injury to the surrounding (periapical) soft tissue should be avoided at all times. This retrospective study evaluated cases of unintentional overfillings during root canal treatment for the fate of the extruded sealer and its influence on the outcome. Stephen buchanan and christophe verbanck say that minimally invasive endodontics can be. The extent of apical enlargement can impact the outcome. Stop Apical Endodoncia.
From updental.es
Capacitación práctica en endodoncia y cirugía apical Stop Apical Endodoncia This retrospective study evaluated cases of unintentional overfillings during root canal treatment for the fate of the extruded sealer and its influence on the outcome. Root canal shaping in the age of minimally invasive endodontics (mie) technology. To this end, instrument stops should be used and instruments should be. The extent of the apical obturation when performing root canal therapy. Stop Apical Endodoncia.
From ninacamborda.es
Barreras apicales con Biodentine Nina Camborda Endodoncista Stop Apical Endodoncia The extent of the apical obturation when performing root canal therapy is a key factor that influences the success of the treatment. To this end, instrument stops should be used and instruments should be. Root canal shaping in the age of minimally invasive endodontics (mie) technology. This retrospective study evaluated cases of unintentional overfillings during root canal treatment for the. Stop Apical Endodoncia.
From www.slideshare.net
Endo note 10 preparation of straight canal Stop Apical Endodoncia The extent of apical enlargement can impact the outcome of endodontic treatment. Root canal shaping in the age of minimally invasive endodontics (mie) technology. Traumatic injury to the surrounding (periapical) soft tissue should be avoided at all times. The data presented in this review can aid in. This retrospective study evaluated cases of unintentional overfillings during root canal treatment for. Stop Apical Endodoncia.
From master-endodoncia.blogspot.com
Master Endodoncia Caso clínico Master Molar Prenavideño Stop Apical Endodoncia The data presented in this review can aid in. Stephen buchanan and christophe verbanck say that minimally invasive endodontics can be. Root canal shaping in the age of minimally invasive endodontics (mie) technology. The extent of apical enlargement can impact the outcome of endodontic treatment. The concept of instrumentation beyond the apical foramen by small flexible file. This retrospective study. Stop Apical Endodoncia.
From ninacamborda.es
Deltas apicales Nina Camborda Endodoncista Stop Apical Endodoncia The data presented in this review can aid in. Stephen buchanan and christophe verbanck say that minimally invasive endodontics can be. The extent of the apical obturation when performing root canal therapy is a key factor that influences the success of the treatment. The extent of apical enlargement can impact the outcome of endodontic treatment. To this end, instrument stops. Stop Apical Endodoncia.
From www.youtube.com
Instrumentación en endodoncia, técnica corono apical "crowndown" YouTube Stop Apical Endodoncia Root canal shaping in the age of minimally invasive endodontics (mie) technology. The extent of the apical obturation when performing root canal therapy is a key factor that influences the success of the treatment. To this end, instrument stops should be used and instruments should be. The extent of apical enlargement can impact the outcome of endodontic treatment. Traumatic injury. Stop Apical Endodoncia.
From www.tv.odontologiavirtual.com
ENDODONTIA Limite Apical de Obturação Video 1 Stop Apical Endodoncia The extent of the apical obturation when performing root canal therapy is a key factor that influences the success of the treatment. Traumatic injury to the surrounding (periapical) soft tissue should be avoided at all times. The data presented in this review can aid in. To this end, instrument stops should be used and instruments should be. The extent of. Stop Apical Endodoncia.
From www.miendodoncia.com
PUFF APICAL EN ENDODONCIA Stop Apical Endodoncia Traumatic injury to the surrounding (periapical) soft tissue should be avoided at all times. This retrospective study evaluated cases of unintentional overfillings during root canal treatment for the fate of the extruded sealer and its influence on the outcome. The concept of instrumentation beyond the apical foramen by small flexible file. The extent of apical enlargement can impact the outcome. Stop Apical Endodoncia.
From endodonciamississippi.blogspot.com
endodonciamississippi Endodoncia 12 con periodontitis apical cronica Stop Apical Endodoncia The data presented in this review can aid in. The concept of instrumentation beyond the apical foramen by small flexible file. To this end, instrument stops should be used and instruments should be. This retrospective study evaluated cases of unintentional overfillings during root canal treatment for the fate of the extruded sealer and its influence on the outcome. The extent. Stop Apical Endodoncia.
From www.youtube.com
ENDODONCIA MOLAR INFERIOR Técnica Corono Apical Con Gates Glidden Stop Apical Endodoncia The concept of instrumentation beyond the apical foramen by small flexible file. Stephen buchanan and christophe verbanck say that minimally invasive endodontics can be. To this end, instrument stops should be used and instruments should be. Traumatic injury to the surrounding (periapical) soft tissue should be avoided at all times. The data presented in this review can aid in. The. Stop Apical Endodoncia.
From www.youtube.com
Apical Stop Work Around for EndoSync EndoSync A I Combo Quick Stop Apical Endodoncia To this end, instrument stops should be used and instruments should be. This retrospective study evaluated cases of unintentional overfillings during root canal treatment for the fate of the extruded sealer and its influence on the outcome. Traumatic injury to the surrounding (periapical) soft tissue should be avoided at all times. The data presented in this review can aid in.. Stop Apical Endodoncia.
From www.perlego.com
[PDF] Extrusión apical en endodoncia by Disha Baxi eBook Perlego Stop Apical Endodoncia To this end, instrument stops should be used and instruments should be. Stephen buchanan and christophe verbanck say that minimally invasive endodontics can be. Traumatic injury to the surrounding (periapical) soft tissue should be avoided at all times. Root canal shaping in the age of minimally invasive endodontics (mie) technology. This retrospective study evaluated cases of unintentional overfillings during root. Stop Apical Endodoncia.
From www.slideshare.net
Endodoncia Clinica Odontologica Dentilaser Stop Apical Endodoncia The concept of instrumentation beyond the apical foramen by small flexible file. To this end, instrument stops should be used and instruments should be. The data presented in this review can aid in. Traumatic injury to the surrounding (periapical) soft tissue should be avoided at all times. Stephen buchanan and christophe verbanck say that minimally invasive endodontics can be. The. Stop Apical Endodoncia.
From endogalicia.com
Gran lesión apical en piezas 4546. La importancia de un correcto Stop Apical Endodoncia To this end, instrument stops should be used and instruments should be. Stephen buchanan and christophe verbanck say that minimally invasive endodontics can be. The extent of the apical obturation when performing root canal therapy is a key factor that influences the success of the treatment. Traumatic injury to the surrounding (periapical) soft tissue should be avoided at all times.. Stop Apical Endodoncia.
From www.youtube.com
LÍMITE APICAL DE LA PREPARACIÓN ENDODÓNTICA YouTube Stop Apical Endodoncia This retrospective study evaluated cases of unintentional overfillings during root canal treatment for the fate of the extruded sealer and its influence on the outcome. The concept of instrumentation beyond the apical foramen by small flexible file. Stephen buchanan and christophe verbanck say that minimally invasive endodontics can be. Root canal shaping in the age of minimally invasive endodontics (mie). Stop Apical Endodoncia.
From cursosodontologia.pe
Maestría en Endodoncia y Microcirugía Apical Stop Apical Endodoncia The extent of apical enlargement can impact the outcome of endodontic treatment. The data presented in this review can aid in. This retrospective study evaluated cases of unintentional overfillings during root canal treatment for the fate of the extruded sealer and its influence on the outcome. The concept of instrumentation beyond the apical foramen by small flexible file. The extent. Stop Apical Endodoncia.
From endodoncia-mexico.com
Microcirugía Apical Endodóntica Dra Marion Ormeño México Stop Apical Endodoncia This retrospective study evaluated cases of unintentional overfillings during root canal treatment for the fate of the extruded sealer and its influence on the outcome. The concept of instrumentation beyond the apical foramen by small flexible file. Traumatic injury to the surrounding (periapical) soft tissue should be avoided at all times. The extent of the apical obturation when performing root. Stop Apical Endodoncia.
From ninacamborda.es
Barreras apicales con Biodentine Nina Camborda Endodoncista Stop Apical Endodoncia The concept of instrumentation beyond the apical foramen by small flexible file. This retrospective study evaluated cases of unintentional overfillings during root canal treatment for the fate of the extruded sealer and its influence on the outcome. The extent of apical enlargement can impact the outcome of endodontic treatment. Root canal shaping in the age of minimally invasive endodontics (mie). Stop Apical Endodoncia.
From www.royal-dent.com
Insert cirugía Apical Endosuccess Apical Surgery AS3DAS6DAS9DASLD Stop Apical Endodoncia Traumatic injury to the surrounding (periapical) soft tissue should be avoided at all times. To this end, instrument stops should be used and instruments should be. Root canal shaping in the age of minimally invasive endodontics (mie) technology. The extent of apical enlargement can impact the outcome of endodontic treatment. This retrospective study evaluated cases of unintentional overfillings during root. Stop Apical Endodoncia.
From www.dentaltix.com
Cómo el localizador apical mejora la eficacia de las endodoncias Stop Apical Endodoncia The extent of the apical obturation when performing root canal therapy is a key factor that influences the success of the treatment. Stephen buchanan and christophe verbanck say that minimally invasive endodontics can be. The concept of instrumentation beyond the apical foramen by small flexible file. The extent of apical enlargement can impact the outcome of endodontic treatment. To this. Stop Apical Endodoncia.
From www.youtube.com
"PREPARACIÓN BIOMECÁNICA" y apertura coronaria Endodoncia YouTube Stop Apical Endodoncia The concept of instrumentation beyond the apical foramen by small flexible file. The data presented in this review can aid in. The extent of the apical obturation when performing root canal therapy is a key factor that influences the success of the treatment. This retrospective study evaluated cases of unintentional overfillings during root canal treatment for the fate of the. Stop Apical Endodoncia.
From www.endomurcia.com
Endodoncia de 1.5 (Conducto Lateral Apical) EndoMurcia Stop Apical Endodoncia The extent of the apical obturation when performing root canal therapy is a key factor that influences the success of the treatment. Root canal shaping in the age of minimally invasive endodontics (mie) technology. The data presented in this review can aid in. The concept of instrumentation beyond the apical foramen by small flexible file. Traumatic injury to the surrounding. Stop Apical Endodoncia.
From drbridge.wordpress.com
Apical Surgery for Complete Endodontic Healing Bridgers Blog Stop Apical Endodoncia To this end, instrument stops should be used and instruments should be. The extent of the apical obturation when performing root canal therapy is a key factor that influences the success of the treatment. The concept of instrumentation beyond the apical foramen by small flexible file. Stephen buchanan and christophe verbanck say that minimally invasive endodontics can be. The data. Stop Apical Endodoncia.
From www.dentaltix.com
Kit Insertos Endo Success para Cirugía Apical SATELEC Dentaltix Stop Apical Endodoncia Traumatic injury to the surrounding (periapical) soft tissue should be avoided at all times. The extent of the apical obturation when performing root canal therapy is a key factor that influences the success of the treatment. The extent of apical enlargement can impact the outcome of endodontic treatment. Root canal shaping in the age of minimally invasive endodontics (mie) technology.. Stop Apical Endodoncia.
From clinicasalcodent.com
Endodoncia Clínica Dental Salcodent 🦷 Getafe Stop Apical Endodoncia The data presented in this review can aid in. Root canal shaping in the age of minimally invasive endodontics (mie) technology. The extent of apical enlargement can impact the outcome of endodontic treatment. This retrospective study evaluated cases of unintentional overfillings during root canal treatment for the fate of the extruded sealer and its influence on the outcome. Traumatic injury. Stop Apical Endodoncia.
From www.clinicacooldent.com
Endodoncia qué es y cómo se realiza Cooldent Algeciras Stop Apical Endodoncia This retrospective study evaluated cases of unintentional overfillings during root canal treatment for the fate of the extruded sealer and its influence on the outcome. Root canal shaping in the age of minimally invasive endodontics (mie) technology. To this end, instrument stops should be used and instruments should be. The extent of apical enlargement can impact the outcome of endodontic. Stop Apical Endodoncia.
From www.youtube.com
Curso Obturación Apical y Sellado Radicular simultáneo en Endodoncia Stop Apical Endodoncia The extent of the apical obturation when performing root canal therapy is a key factor that influences the success of the treatment. This retrospective study evaluated cases of unintentional overfillings during root canal treatment for the fate of the extruded sealer and its influence on the outcome. Root canal shaping in the age of minimally invasive endodontics (mie) technology. The. Stop Apical Endodoncia.
From ninacamborda.es
Deltas apicales Nina Camborda Endodoncista Stop Apical Endodoncia Traumatic injury to the surrounding (periapical) soft tissue should be avoided at all times. Root canal shaping in the age of minimally invasive endodontics (mie) technology. The extent of apical enlargement can impact the outcome of endodontic treatment. This retrospective study evaluated cases of unintentional overfillings during root canal treatment for the fate of the extruded sealer and its influence. Stop Apical Endodoncia.
From degregorioendodoncia.com
Barrera Apical De Gregorio Endodoncia Stop Apical Endodoncia Traumatic injury to the surrounding (periapical) soft tissue should be avoided at all times. To this end, instrument stops should be used and instruments should be. Stephen buchanan and christophe verbanck say that minimally invasive endodontics can be. Root canal shaping in the age of minimally invasive endodontics (mie) technology. The extent of the apical obturation when performing root canal. Stop Apical Endodoncia.