Gingival Margin Elevation . Deep margin elevation (dme) is a restorative approach offering the possibility of performing stepwise elevation of deep proximal. Deep margin elevation (dme) is a treatment approach to relocate the cervical margin of teeth with subgingival defects to a supragingival position with a direct restoration to facilitate. Deep margin elevation is a solution to the problem of localized subgingival margins when preparing a tooth for direct, semidirect, or indirect restorations. Deep margin elevation (dme) is one of the minimally invasive and successful procedure performing in deep subgingival. A margin elevation matrix will give.
from www.semanticscholar.org
Deep margin elevation (dme) is a treatment approach to relocate the cervical margin of teeth with subgingival defects to a supragingival position with a direct restoration to facilitate. Deep margin elevation is a solution to the problem of localized subgingival margins when preparing a tooth for direct, semidirect, or indirect restorations. Deep margin elevation (dme) is a restorative approach offering the possibility of performing stepwise elevation of deep proximal. A margin elevation matrix will give. Deep margin elevation (dme) is one of the minimally invasive and successful procedure performing in deep subgingival.
Figure 1 from Periodontal health evaluation for deep margin elevation
Gingival Margin Elevation Deep margin elevation is a solution to the problem of localized subgingival margins when preparing a tooth for direct, semidirect, or indirect restorations. Deep margin elevation (dme) is a restorative approach offering the possibility of performing stepwise elevation of deep proximal. A margin elevation matrix will give. Deep margin elevation (dme) is a treatment approach to relocate the cervical margin of teeth with subgingival defects to a supragingival position with a direct restoration to facilitate. Deep margin elevation is a solution to the problem of localized subgingival margins when preparing a tooth for direct, semidirect, or indirect restorations. Deep margin elevation (dme) is one of the minimally invasive and successful procedure performing in deep subgingival.
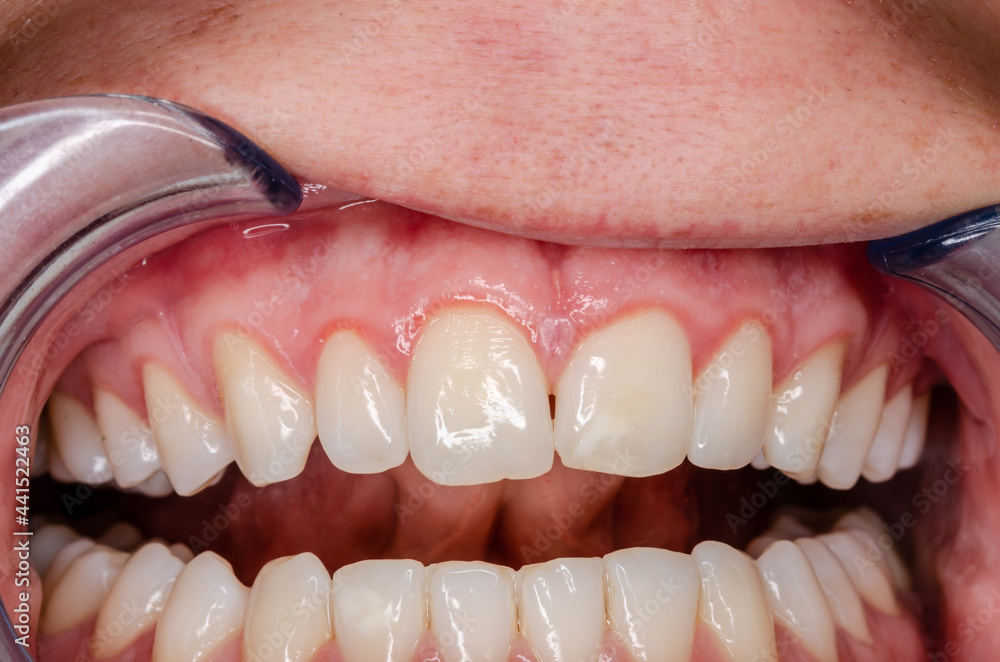
From stock.adobe.com
distinct gingivitis at frontal teeth, vessel growth at the gingival Gingival Margin Elevation Deep margin elevation (dme) is one of the minimally invasive and successful procedure performing in deep subgingival. Deep margin elevation (dme) is a restorative approach offering the possibility of performing stepwise elevation of deep proximal. Deep margin elevation (dme) is a treatment approach to relocate the cervical margin of teeth with subgingival defects to a supragingival position with a direct. Gingival Margin Elevation.
From quizlet.com
gingivae Diagram Quizlet Gingival Margin Elevation A margin elevation matrix will give. Deep margin elevation (dme) is one of the minimally invasive and successful procedure performing in deep subgingival. Deep margin elevation (dme) is a restorative approach offering the possibility of performing stepwise elevation of deep proximal. Deep margin elevation is a solution to the problem of localized subgingival margins when preparing a tooth for direct,. Gingival Margin Elevation.
From www.gildentalclinic.com
What is the gingival recession and how to treat it? Gil Dental Clinic Gingival Margin Elevation Deep margin elevation (dme) is a treatment approach to relocate the cervical margin of teeth with subgingival defects to a supragingival position with a direct restoration to facilitate. Deep margin elevation is a solution to the problem of localized subgingival margins when preparing a tooth for direct, semidirect, or indirect restorations. Deep margin elevation (dme) is one of the minimally. Gingival Margin Elevation.
From www.researchgate.net
Measurement points Five vertical lines perpendicular to the gingival Gingival Margin Elevation Deep margin elevation (dme) is a treatment approach to relocate the cervical margin of teeth with subgingival defects to a supragingival position with a direct restoration to facilitate. Deep margin elevation is a solution to the problem of localized subgingival margins when preparing a tooth for direct, semidirect, or indirect restorations. Deep margin elevation (dme) is one of the minimally. Gingival Margin Elevation.
From www.youtube.com
The Double Band Technique for Deep Margin Elevation (DME) Dr. JD Gingival Margin Elevation Deep margin elevation (dme) is a restorative approach offering the possibility of performing stepwise elevation of deep proximal. A margin elevation matrix will give. Deep margin elevation (dme) is a treatment approach to relocate the cervical margin of teeth with subgingival defects to a supragingival position with a direct restoration to facilitate. Deep margin elevation (dme) is one of the. Gingival Margin Elevation.
From www.slideserve.com
PPT STRUCTURE AND FUNCTIONS OF THE GINGIVA PowerPoint Presentation Gingival Margin Elevation Deep margin elevation (dme) is a treatment approach to relocate the cervical margin of teeth with subgingival defects to a supragingival position with a direct restoration to facilitate. Deep margin elevation is a solution to the problem of localized subgingival margins when preparing a tooth for direct, semidirect, or indirect restorations. Deep margin elevation (dme) is one of the minimally. Gingival Margin Elevation.
From pocketdentistry.com
8 Clinical Assessment Pocket Dentistry Gingival Margin Elevation Deep margin elevation (dme) is a treatment approach to relocate the cervical margin of teeth with subgingival defects to a supragingival position with a direct restoration to facilitate. Deep margin elevation is a solution to the problem of localized subgingival margins when preparing a tooth for direct, semidirect, or indirect restorations. A margin elevation matrix will give. Deep margin elevation. Gingival Margin Elevation.
From www.researchgate.net
a. Gingival margin position immediate post operation by Tarnow's Gingival Margin Elevation Deep margin elevation (dme) is one of the minimally invasive and successful procedure performing in deep subgingival. A margin elevation matrix will give. Deep margin elevation is a solution to the problem of localized subgingival margins when preparing a tooth for direct, semidirect, or indirect restorations. Deep margin elevation (dme) is a treatment approach to relocate the cervical margin of. Gingival Margin Elevation.
From www.semanticscholar.org
Figure 3 from Retrospective Clinical Evaluation of Subgingival Gingival Margin Elevation A margin elevation matrix will give. Deep margin elevation (dme) is one of the minimally invasive and successful procedure performing in deep subgingival. Deep margin elevation is a solution to the problem of localized subgingival margins when preparing a tooth for direct, semidirect, or indirect restorations. Deep margin elevation (dme) is a restorative approach offering the possibility of performing stepwise. Gingival Margin Elevation.
From www.youtube.com
Deep Margin Elevation (DME) Step by Step YouTube Gingival Margin Elevation Deep margin elevation (dme) is a treatment approach to relocate the cervical margin of teeth with subgingival defects to a supragingival position with a direct restoration to facilitate. Deep margin elevation is a solution to the problem of localized subgingival margins when preparing a tooth for direct, semidirect, or indirect restorations. Deep margin elevation (dme) is a restorative approach offering. Gingival Margin Elevation.
From www.mdpi.com
Children Free FullText Gingival Margins’ Modifications during Gingival Margin Elevation Deep margin elevation is a solution to the problem of localized subgingival margins when preparing a tooth for direct, semidirect, or indirect restorations. A margin elevation matrix will give. Deep margin elevation (dme) is a treatment approach to relocate the cervical margin of teeth with subgingival defects to a supragingival position with a direct restoration to facilitate. Deep margin elevation. Gingival Margin Elevation.
From www.royal-dent.com
Banda Matriz de elvación del margen gingival Margin Elevation Gingival Margin Elevation Deep margin elevation is a solution to the problem of localized subgingival margins when preparing a tooth for direct, semidirect, or indirect restorations. Deep margin elevation (dme) is a treatment approach to relocate the cervical margin of teeth with subgingival defects to a supragingival position with a direct restoration to facilitate. Deep margin elevation (dme) is one of the minimally. Gingival Margin Elevation.
From www.speareducation.com
Benefits of Deep Margin Elevation For Treating Subgingival Margins Gingival Margin Elevation Deep margin elevation (dme) is a restorative approach offering the possibility of performing stepwise elevation of deep proximal. Deep margin elevation is a solution to the problem of localized subgingival margins when preparing a tooth for direct, semidirect, or indirect restorations. Deep margin elevation (dme) is one of the minimally invasive and successful procedure performing in deep subgingival. A margin. Gingival Margin Elevation.
From www.thejpd.org
MiM for DME matrixinamatrix technique for deep margin elevation Gingival Margin Elevation A margin elevation matrix will give. Deep margin elevation (dme) is one of the minimally invasive and successful procedure performing in deep subgingival. Deep margin elevation is a solution to the problem of localized subgingival margins when preparing a tooth for direct, semidirect, or indirect restorations. Deep margin elevation (dme) is a restorative approach offering the possibility of performing stepwise. Gingival Margin Elevation.
From exoukspdt.blob.core.windows.net
Bacterial Plaque Forms Around The Margin Of The Gingiva at Alice Jason blog Gingival Margin Elevation Deep margin elevation is a solution to the problem of localized subgingival margins when preparing a tooth for direct, semidirect, or indirect restorations. A margin elevation matrix will give. Deep margin elevation (dme) is a treatment approach to relocate the cervical margin of teeth with subgingival defects to a supragingival position with a direct restoration to facilitate. Deep margin elevation. Gingival Margin Elevation.
From www.speareducation.com
Benefits of Deep Margin Elevation For Treating Subgingival Margins Gingival Margin Elevation Deep margin elevation is a solution to the problem of localized subgingival margins when preparing a tooth for direct, semidirect, or indirect restorations. Deep margin elevation (dme) is a treatment approach to relocate the cervical margin of teeth with subgingival defects to a supragingival position with a direct restoration to facilitate. Deep margin elevation (dme) is one of the minimally. Gingival Margin Elevation.
From www.researchgate.net
Schematic drawing illustrating the landmarks used for the measurement Gingival Margin Elevation Deep margin elevation (dme) is one of the minimally invasive and successful procedure performing in deep subgingival. A margin elevation matrix will give. Deep margin elevation (dme) is a treatment approach to relocate the cervical margin of teeth with subgingival defects to a supragingival position with a direct restoration to facilitate. Deep margin elevation (dme) is a restorative approach offering. Gingival Margin Elevation.
From what-when-how.com
Orofacial Complex Form and Function (Dental Anatomy, Physiology and Gingival Margin Elevation A margin elevation matrix will give. Deep margin elevation (dme) is one of the minimally invasive and successful procedure performing in deep subgingival. Deep margin elevation is a solution to the problem of localized subgingival margins when preparing a tooth for direct, semidirect, or indirect restorations. Deep margin elevation (dme) is a restorative approach offering the possibility of performing stepwise. Gingival Margin Elevation.
From www.researchgate.net
Measurement of height of gingival margin (HGM), height of mesial Gingival Margin Elevation Deep margin elevation (dme) is one of the minimally invasive and successful procedure performing in deep subgingival. Deep margin elevation (dme) is a treatment approach to relocate the cervical margin of teeth with subgingival defects to a supragingival position with a direct restoration to facilitate. Deep margin elevation is a solution to the problem of localized subgingival margins when preparing. Gingival Margin Elevation.
From www.researchgate.net
A Adjusted curves on the gingival margins at the original model and B Gingival Margin Elevation A margin elevation matrix will give. Deep margin elevation (dme) is one of the minimally invasive and successful procedure performing in deep subgingival. Deep margin elevation (dme) is a restorative approach offering the possibility of performing stepwise elevation of deep proximal. Deep margin elevation (dme) is a treatment approach to relocate the cervical margin of teeth with subgingival defects to. Gingival Margin Elevation.
From www.researchgate.net
Shortening of gingival margin of maxillary right central incisor Gingival Margin Elevation Deep margin elevation (dme) is a restorative approach offering the possibility of performing stepwise elevation of deep proximal. Deep margin elevation is a solution to the problem of localized subgingival margins when preparing a tooth for direct, semidirect, or indirect restorations. Deep margin elevation (dme) is one of the minimally invasive and successful procedure performing in deep subgingival. A margin. Gingival Margin Elevation.
From quizlet.com
cavosurface margin(angle) CLASS II PREP Diagram Quizlet Gingival Margin Elevation Deep margin elevation (dme) is one of the minimally invasive and successful procedure performing in deep subgingival. Deep margin elevation (dme) is a treatment approach to relocate the cervical margin of teeth with subgingival defects to a supragingival position with a direct restoration to facilitate. Deep margin elevation (dme) is a restorative approach offering the possibility of performing stepwise elevation. Gingival Margin Elevation.
From www.youtube.com
Performing the Deep Margin Elevation Technique (DME) with Dr. JD Corey Gingival Margin Elevation Deep margin elevation (dme) is a restorative approach offering the possibility of performing stepwise elevation of deep proximal. Deep margin elevation is a solution to the problem of localized subgingival margins when preparing a tooth for direct, semidirect, or indirect restorations. Deep margin elevation (dme) is a treatment approach to relocate the cervical margin of teeth with subgingival defects to. Gingival Margin Elevation.
From www.semanticscholar.org
Figure 1 from Periodontal health evaluation for deep margin elevation Gingival Margin Elevation Deep margin elevation (dme) is a restorative approach offering the possibility of performing stepwise elevation of deep proximal. Deep margin elevation (dme) is a treatment approach to relocate the cervical margin of teeth with subgingival defects to a supragingival position with a direct restoration to facilitate. Deep margin elevation (dme) is one of the minimally invasive and successful procedure performing. Gingival Margin Elevation.
From niledental.com
margin elevation bands Nile Dental Gingival Margin Elevation Deep margin elevation is a solution to the problem of localized subgingival margins when preparing a tooth for direct, semidirect, or indirect restorations. Deep margin elevation (dme) is a treatment approach to relocate the cervical margin of teeth with subgingival defects to a supragingival position with a direct restoration to facilitate. Deep margin elevation (dme) is one of the minimally. Gingival Margin Elevation.
From dentalcaseoftheday.com
Indirect Restoration of Deep Distal Decay with Deep Margin Elevation Gingival Margin Elevation A margin elevation matrix will give. Deep margin elevation is a solution to the problem of localized subgingival margins when preparing a tooth for direct, semidirect, or indirect restorations. Deep margin elevation (dme) is a restorative approach offering the possibility of performing stepwise elevation of deep proximal. Deep margin elevation (dme) is a treatment approach to relocate the cervical margin. Gingival Margin Elevation.
From www.pinterest.com
Achieve Longlasting Results with Deep Margin Elevation Gingival Margin Elevation Deep margin elevation is a solution to the problem of localized subgingival margins when preparing a tooth for direct, semidirect, or indirect restorations. Deep margin elevation (dme) is one of the minimally invasive and successful procedure performing in deep subgingival. A margin elevation matrix will give. Deep margin elevation (dme) is a treatment approach to relocate the cervical margin of. Gingival Margin Elevation.
From www.researchgate.net
PPD, CAL and REC measurements. PPD (blue line) is the distance from the Gingival Margin Elevation Deep margin elevation (dme) is one of the minimally invasive and successful procedure performing in deep subgingival. Deep margin elevation (dme) is a treatment approach to relocate the cervical margin of teeth with subgingival defects to a supragingival position with a direct restoration to facilitate. Deep margin elevation (dme) is a restorative approach offering the possibility of performing stepwise elevation. Gingival Margin Elevation.
From www.mdpi.com
Medicina Free FullText Deep Margin Elevation Current Concepts and Gingival Margin Elevation A margin elevation matrix will give. Deep margin elevation (dme) is a restorative approach offering the possibility of performing stepwise elevation of deep proximal. Deep margin elevation (dme) is one of the minimally invasive and successful procedure performing in deep subgingival. Deep margin elevation (dme) is a treatment approach to relocate the cervical margin of teeth with subgingival defects to. Gingival Margin Elevation.
From www.researchgate.net
Clinical appearance of gingiva A) Attached gingiva above and Gingival Margin Elevation Deep margin elevation (dme) is a treatment approach to relocate the cervical margin of teeth with subgingival defects to a supragingival position with a direct restoration to facilitate. A margin elevation matrix will give. Deep margin elevation (dme) is a restorative approach offering the possibility of performing stepwise elevation of deep proximal. Deep margin elevation (dme) is one of the. Gingival Margin Elevation.
From www.researchgate.net
Shortening of the gingival margin height of the maxillary right central Gingival Margin Elevation Deep margin elevation (dme) is a restorative approach offering the possibility of performing stepwise elevation of deep proximal. Deep margin elevation (dme) is a treatment approach to relocate the cervical margin of teeth with subgingival defects to a supragingival position with a direct restoration to facilitate. A margin elevation matrix will give. Deep margin elevation (dme) is one of the. Gingival Margin Elevation.
From www.pinterest.com
healthy gingiva attached gingiva is non movable gingiva as the name Gingival Margin Elevation Deep margin elevation is a solution to the problem of localized subgingival margins when preparing a tooth for direct, semidirect, or indirect restorations. Deep margin elevation (dme) is one of the minimally invasive and successful procedure performing in deep subgingival. Deep margin elevation (dme) is a restorative approach offering the possibility of performing stepwise elevation of deep proximal. A margin. Gingival Margin Elevation.
From www.researchgate.net
Drawings showing the locations of the proximal segments (a) the side Gingival Margin Elevation Deep margin elevation (dme) is a restorative approach offering the possibility of performing stepwise elevation of deep proximal. A margin elevation matrix will give. Deep margin elevation is a solution to the problem of localized subgingival margins when preparing a tooth for direct, semidirect, or indirect restorations. Deep margin elevation (dme) is a treatment approach to relocate the cervical margin. Gingival Margin Elevation.
From dokumen.tips
(PDF) Margin Elevation Technique 2 and 3 Deep Subgingival Caries Gingival Margin Elevation Deep margin elevation (dme) is one of the minimally invasive and successful procedure performing in deep subgingival. Deep margin elevation is a solution to the problem of localized subgingival margins when preparing a tooth for direct, semidirect, or indirect restorations. A margin elevation matrix will give. Deep margin elevation (dme) is a treatment approach to relocate the cervical margin of. Gingival Margin Elevation.
From www.dent-wiki.com
Level of the Free Gingival Margin Foundations of Periodontics Pocket Gingival Margin Elevation Deep margin elevation (dme) is a restorative approach offering the possibility of performing stepwise elevation of deep proximal. Deep margin elevation (dme) is a treatment approach to relocate the cervical margin of teeth with subgingival defects to a supragingival position with a direct restoration to facilitate. Deep margin elevation is a solution to the problem of localized subgingival margins when. Gingival Margin Elevation.