Orthodontic Treatment In Korean . korean dental clinics offer a variety of orthodontic treatment alternatives, such as traditional metal braces known for their. They also provide periodontal treatments like scaling, root planing, gum, and bone grafting. the clinic offers many services, including orthodontic treatments such as invisalign, ceramic braces, lingual braces, and damon braces. Chung boasts extensive experience in treating patients with diverse orthodontic & facial problems, ranging from abnormal jaw. (+15) yonsei good day dental clinic. discover the rise of clear aligners in korea and how they are revolutionizing orthodontic treatment. the biorapid orthodontic center is operated according to the biocreative orthodontic strategy developed by kyunghee.
from www.researchgate.net
the clinic offers many services, including orthodontic treatments such as invisalign, ceramic braces, lingual braces, and damon braces. the biorapid orthodontic center is operated according to the biocreative orthodontic strategy developed by kyunghee. They also provide periodontal treatments like scaling, root planing, gum, and bone grafting. (+15) yonsei good day dental clinic. Chung boasts extensive experience in treating patients with diverse orthodontic & facial problems, ranging from abnormal jaw. korean dental clinics offer a variety of orthodontic treatment alternatives, such as traditional metal braces known for their. discover the rise of clear aligners in korea and how they are revolutionizing orthodontic treatment.
(PDF) Itemlevel analysis of the relationship between orthodontic
Orthodontic Treatment In Korean the biorapid orthodontic center is operated according to the biocreative orthodontic strategy developed by kyunghee. the clinic offers many services, including orthodontic treatments such as invisalign, ceramic braces, lingual braces, and damon braces. Chung boasts extensive experience in treating patients with diverse orthodontic & facial problems, ranging from abnormal jaw. the biorapid orthodontic center is operated according to the biocreative orthodontic strategy developed by kyunghee. discover the rise of clear aligners in korea and how they are revolutionizing orthodontic treatment. (+15) yonsei good day dental clinic. korean dental clinics offer a variety of orthodontic treatment alternatives, such as traditional metal braces known for their. They also provide periodontal treatments like scaling, root planing, gum, and bone grafting.
From www.freshbreathdentalclinic.in
Invisible braces treatment in Kalyan nagar Braces treatment in Kalyan Orthodontic Treatment In Korean They also provide periodontal treatments like scaling, root planing, gum, and bone grafting. the biorapid orthodontic center is operated according to the biocreative orthodontic strategy developed by kyunghee. (+15) yonsei good day dental clinic. korean dental clinics offer a variety of orthodontic treatment alternatives, such as traditional metal braces known for their. discover the rise of. Orthodontic Treatment In Korean.
From www.pinterest.com
Pin on Before and After Orthodontics Orthodontic Treatment In Korean They also provide periodontal treatments like scaling, root planing, gum, and bone grafting. Chung boasts extensive experience in treating patients with diverse orthodontic & facial problems, ranging from abnormal jaw. the biorapid orthodontic center is operated according to the biocreative orthodontic strategy developed by kyunghee. korean dental clinics offer a variety of orthodontic treatment alternatives, such as traditional. Orthodontic Treatment In Korean.
From kwonorthodontics.com
Best Orthodontist In Koreatown Kwon Orthodontics Orthodontic Treatment In Korean korean dental clinics offer a variety of orthodontic treatment alternatives, such as traditional metal braces known for their. (+15) yonsei good day dental clinic. the clinic offers many services, including orthodontic treatments such as invisalign, ceramic braces, lingual braces, and damon braces. discover the rise of clear aligners in korea and how they are revolutionizing orthodontic. Orthodontic Treatment In Korean.
From www.dhgate.com
Korean BrandOrthodontic Material Dental Orthodontic Mini Screw Dental Orthodontic Treatment In Korean korean dental clinics offer a variety of orthodontic treatment alternatives, such as traditional metal braces known for their. the biorapid orthodontic center is operated according to the biocreative orthodontic strategy developed by kyunghee. Chung boasts extensive experience in treating patients with diverse orthodontic & facial problems, ranging from abnormal jaw. discover the rise of clear aligners in. Orthodontic Treatment In Korean.
From www.tradekorea.com
Orthodontic Instruments tradekorea Orthodontic Treatment In Korean the clinic offers many services, including orthodontic treatments such as invisalign, ceramic braces, lingual braces, and damon braces. the biorapid orthodontic center is operated according to the biocreative orthodontic strategy developed by kyunghee. They also provide periodontal treatments like scaling, root planing, gum, and bone grafting. discover the rise of clear aligners in korea and how they. Orthodontic Treatment In Korean.
From luxedentalcaremd.com
What Is Orthodontics? A Complete Guide Thompson Creek Dental Orthodontic Treatment In Korean discover the rise of clear aligners in korea and how they are revolutionizing orthodontic treatment. (+15) yonsei good day dental clinic. the clinic offers many services, including orthodontic treatments such as invisalign, ceramic braces, lingual braces, and damon braces. korean dental clinics offer a variety of orthodontic treatment alternatives, such as traditional metal braces known for. Orthodontic Treatment In Korean.
From www.researchgate.net
(PDF) Itemlevel analysis of the relationship between orthodontic Orthodontic Treatment In Korean Chung boasts extensive experience in treating patients with diverse orthodontic & facial problems, ranging from abnormal jaw. (+15) yonsei good day dental clinic. korean dental clinics offer a variety of orthodontic treatment alternatives, such as traditional metal braces known for their. the biorapid orthodontic center is operated according to the biocreative orthodontic strategy developed by kyunghee. . Orthodontic Treatment In Korean.
From ranghilldental.com
Orthodontic Treatment Rang Hill Dental Clinic Orthodontic Treatment In Korean (+15) yonsei good day dental clinic. They also provide periodontal treatments like scaling, root planing, gum, and bone grafting. discover the rise of clear aligners in korea and how they are revolutionizing orthodontic treatment. korean dental clinics offer a variety of orthodontic treatment alternatives, such as traditional metal braces known for their. the clinic offers many. Orthodontic Treatment In Korean.
From www.pinterest.jp
Pin on Before and After Orthodontics Orthodontic Treatment In Korean korean dental clinics offer a variety of orthodontic treatment alternatives, such as traditional metal braces known for their. (+15) yonsei good day dental clinic. the biorapid orthodontic center is operated according to the biocreative orthodontic strategy developed by kyunghee. Chung boasts extensive experience in treating patients with diverse orthodontic & facial problems, ranging from abnormal jaw. They. Orthodontic Treatment In Korean.
From www.researchgate.net
(PDF) Preliminary study of Korean orthodontic residents' current Orthodontic Treatment In Korean the clinic offers many services, including orthodontic treatments such as invisalign, ceramic braces, lingual braces, and damon braces. (+15) yonsei good day dental clinic. discover the rise of clear aligners in korea and how they are revolutionizing orthodontic treatment. They also provide periodontal treatments like scaling, root planing, gum, and bone grafting. the biorapid orthodontic center. Orthodontic Treatment In Korean.
From www.researchgate.net
(PDF) The effects of orthodontic treatment on personal dental Orthodontic Treatment In Korean the clinic offers many services, including orthodontic treatments such as invisalign, ceramic braces, lingual braces, and damon braces. (+15) yonsei good day dental clinic. the biorapid orthodontic center is operated according to the biocreative orthodontic strategy developed by kyunghee. They also provide periodontal treatments like scaling, root planing, gum, and bone grafting. Chung boasts extensive experience in. Orthodontic Treatment In Korean.
From www.smile101.com
What Do You Need to Know About Orthodontic Treatment? Orthodontic Treatment In Korean They also provide periodontal treatments like scaling, root planing, gum, and bone grafting. Chung boasts extensive experience in treating patients with diverse orthodontic & facial problems, ranging from abnormal jaw. discover the rise of clear aligners in korea and how they are revolutionizing orthodontic treatment. korean dental clinics offer a variety of orthodontic treatment alternatives, such as traditional. Orthodontic Treatment In Korean.
From www.ajodo.org
Targeted nextgeneration sequencing for comprehensive analysis Orthodontic Treatment In Korean the clinic offers many services, including orthodontic treatments such as invisalign, ceramic braces, lingual braces, and damon braces. korean dental clinics offer a variety of orthodontic treatment alternatives, such as traditional metal braces known for their. They also provide periodontal treatments like scaling, root planing, gum, and bone grafting. (+15) yonsei good day dental clinic. discover. Orthodontic Treatment In Korean.
From www.khuortho-ce.ac.kr
2022 Korean Academy of Dental Sleep Medicine Autumn Congress > KyungHee Orthodontic Treatment In Korean (+15) yonsei good day dental clinic. korean dental clinics offer a variety of orthodontic treatment alternatives, such as traditional metal braces known for their. Chung boasts extensive experience in treating patients with diverse orthodontic & facial problems, ranging from abnormal jaw. the biorapid orthodontic center is operated according to the biocreative orthodontic strategy developed by kyunghee. . Orthodontic Treatment In Korean.
From blueguyswork.com
Orthodontic Treatment Options Straighten Teeth and Correct Jaws Orthodontic Treatment In Korean the biorapid orthodontic center is operated according to the biocreative orthodontic strategy developed by kyunghee. korean dental clinics offer a variety of orthodontic treatment alternatives, such as traditional metal braces known for their. (+15) yonsei good day dental clinic. Chung boasts extensive experience in treating patients with diverse orthodontic & facial problems, ranging from abnormal jaw. . Orthodontic Treatment In Korean.
From www.youtube.com
The 3 Stages of Orthodontic Treatment YouTube Orthodontic Treatment In Korean the biorapid orthodontic center is operated according to the biocreative orthodontic strategy developed by kyunghee. discover the rise of clear aligners in korea and how they are revolutionizing orthodontic treatment. korean dental clinics offer a variety of orthodontic treatment alternatives, such as traditional metal braces known for their. They also provide periodontal treatments like scaling, root planing,. Orthodontic Treatment In Korean.
From www.youtube.com
Common dental anomalies in Korean orthodontic patients YouTube Orthodontic Treatment In Korean the biorapid orthodontic center is operated according to the biocreative orthodontic strategy developed by kyunghee. korean dental clinics offer a variety of orthodontic treatment alternatives, such as traditional metal braces known for their. They also provide periodontal treatments like scaling, root planing, gum, and bone grafting. discover the rise of clear aligners in korea and how they. Orthodontic Treatment In Korean.
From www.youtube.com
I TRIED THE 5 MINUTE NONSURGICAL NOSE JOB IN KOREA + ONE MONTH AFTER Orthodontic Treatment In Korean (+15) yonsei good day dental clinic. the biorapid orthodontic center is operated according to the biocreative orthodontic strategy developed by kyunghee. the clinic offers many services, including orthodontic treatments such as invisalign, ceramic braces, lingual braces, and damon braces. They also provide periodontal treatments like scaling, root planing, gum, and bone grafting. Chung boasts extensive experience in. Orthodontic Treatment In Korean.
From www.khuortho-ce.ac.kr
2022 Adult Orthodontics Symposium by Korean Adult Orthodontic Research Orthodontic Treatment In Korean the biorapid orthodontic center is operated according to the biocreative orthodontic strategy developed by kyunghee. They also provide periodontal treatments like scaling, root planing, gum, and bone grafting. korean dental clinics offer a variety of orthodontic treatment alternatives, such as traditional metal braces known for their. Chung boasts extensive experience in treating patients with diverse orthodontic & facial. Orthodontic Treatment In Korean.
From yonseiulinedentalclinic.blogspot.com
Yonsei Uline Dental Clnic in Gangnam Getting Clippy C Orthodontic Orthodontic Treatment In Korean discover the rise of clear aligners in korea and how they are revolutionizing orthodontic treatment. (+15) yonsei good day dental clinic. the biorapid orthodontic center is operated according to the biocreative orthodontic strategy developed by kyunghee. They also provide periodontal treatments like scaling, root planing, gum, and bone grafting. Chung boasts extensive experience in treating patients with. Orthodontic Treatment In Korean.
From www.dhgate.com
Korean BrandOrthodontic Material Dental Orthodontic Mini Screw Dental Orthodontic Treatment In Korean They also provide periodontal treatments like scaling, root planing, gum, and bone grafting. the clinic offers many services, including orthodontic treatments such as invisalign, ceramic braces, lingual braces, and damon braces. the biorapid orthodontic center is operated according to the biocreative orthodontic strategy developed by kyunghee. (+15) yonsei good day dental clinic. Chung boasts extensive experience in. Orthodontic Treatment In Korean.
From pyraxpolymars.in
ORTHODONTIC COMPOSITE KIT (3 SYRINGE) (KOREAN) Pyrax Polymars Orthodontic Treatment In Korean Chung boasts extensive experience in treating patients with diverse orthodontic & facial problems, ranging from abnormal jaw. the clinic offers many services, including orthodontic treatments such as invisalign, ceramic braces, lingual braces, and damon braces. They also provide periodontal treatments like scaling, root planing, gum, and bone grafting. discover the rise of clear aligners in korea and how. Orthodontic Treatment In Korean.
From www.youtube.com
Upper premolar extraction with forceps for orthodontic treatment in my Orthodontic Treatment In Korean the clinic offers many services, including orthodontic treatments such as invisalign, ceramic braces, lingual braces, and damon braces. Chung boasts extensive experience in treating patients with diverse orthodontic & facial problems, ranging from abnormal jaw. korean dental clinics offer a variety of orthodontic treatment alternatives, such as traditional metal braces known for their. discover the rise of. Orthodontic Treatment In Korean.
From www.researchgate.net
(PDF) Part I. What drives Korean adults to seek orthodontic treatment Orthodontic Treatment In Korean They also provide periodontal treatments like scaling, root planing, gum, and bone grafting. Chung boasts extensive experience in treating patients with diverse orthodontic & facial problems, ranging from abnormal jaw. korean dental clinics offer a variety of orthodontic treatment alternatives, such as traditional metal braces known for their. discover the rise of clear aligners in korea and how. Orthodontic Treatment In Korean.
From eusurgery.blogspot.com
Male Orthodontic Surgery (Braces)_In Korea Orthodontic Treatment In Korean the clinic offers many services, including orthodontic treatments such as invisalign, ceramic braces, lingual braces, and damon braces. the biorapid orthodontic center is operated according to the biocreative orthodontic strategy developed by kyunghee. discover the rise of clear aligners in korea and how they are revolutionizing orthodontic treatment. They also provide periodontal treatments like scaling, root planing,. Orthodontic Treatment In Korean.
From typeset.io
Korean Journal of Orthodontics Template Korean Association of Orthodontic Treatment In Korean the biorapid orthodontic center is operated according to the biocreative orthodontic strategy developed by kyunghee. the clinic offers many services, including orthodontic treatments such as invisalign, ceramic braces, lingual braces, and damon braces. korean dental clinics offer a variety of orthodontic treatment alternatives, such as traditional metal braces known for their. Chung boasts extensive experience in treating. Orthodontic Treatment In Korean.
From www.tradekorea.com
Orthodontic Instruments tradekorea Orthodontic Treatment In Korean korean dental clinics offer a variety of orthodontic treatment alternatives, such as traditional metal braces known for their. They also provide periodontal treatments like scaling, root planing, gum, and bone grafting. discover the rise of clear aligners in korea and how they are revolutionizing orthodontic treatment. (+15) yonsei good day dental clinic. the clinic offers many. Orthodontic Treatment In Korean.
From www.researchgate.net
(PDF) Experience of Orthodontic Treatment and Symptoms of Orthodontic Treatment In Korean discover the rise of clear aligners in korea and how they are revolutionizing orthodontic treatment. Chung boasts extensive experience in treating patients with diverse orthodontic & facial problems, ranging from abnormal jaw. (+15) yonsei good day dental clinic. the biorapid orthodontic center is operated according to the biocreative orthodontic strategy developed by kyunghee. the clinic offers. Orthodontic Treatment In Korean.
From www.researchgate.net
(PDF) Renovating the History of the Korean Journal of Orthodontics Orthodontic Treatment In Korean discover the rise of clear aligners in korea and how they are revolutionizing orthodontic treatment. the biorapid orthodontic center is operated according to the biocreative orthodontic strategy developed by kyunghee. They also provide periodontal treatments like scaling, root planing, gum, and bone grafting. (+15) yonsei good day dental clinic. the clinic offers many services, including orthodontic. Orthodontic Treatment In Korean.
From yonseiulinedentalclinic.blogspot.com
Yonsei Uline Dental Clnic in Gangnam Getting Clippy C Orthodontic Orthodontic Treatment In Korean (+15) yonsei good day dental clinic. korean dental clinics offer a variety of orthodontic treatment alternatives, such as traditional metal braces known for their. the biorapid orthodontic center is operated according to the biocreative orthodontic strategy developed by kyunghee. discover the rise of clear aligners in korea and how they are revolutionizing orthodontic treatment. They also. Orthodontic Treatment In Korean.
From orthodonticproductsonline.com
Henry Schein Orthodontics Partners with South Korean 3D Printing Orthodontic Treatment In Korean the biorapid orthodontic center is operated according to the biocreative orthodontic strategy developed by kyunghee. Chung boasts extensive experience in treating patients with diverse orthodontic & facial problems, ranging from abnormal jaw. discover the rise of clear aligners in korea and how they are revolutionizing orthodontic treatment. They also provide periodontal treatments like scaling, root planing, gum, and. Orthodontic Treatment In Korean.
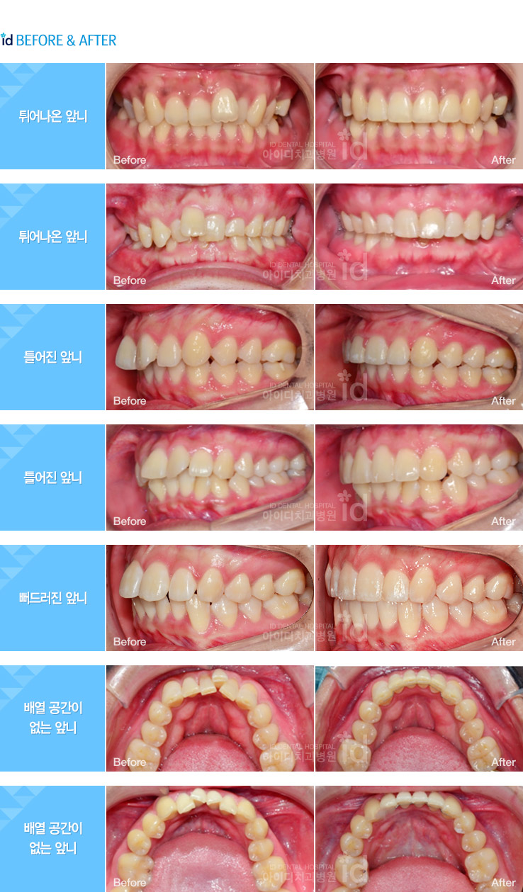
From idhospital.blogspot.com
ID Hospital Korea [ID Hospital In The News] Find Your Smile With ID Orthodontic Treatment In Korean Chung boasts extensive experience in treating patients with diverse orthodontic & facial problems, ranging from abnormal jaw. korean dental clinics offer a variety of orthodontic treatment alternatives, such as traditional metal braces known for their. discover the rise of clear aligners in korea and how they are revolutionizing orthodontic treatment. They also provide periodontal treatments like scaling, root. Orthodontic Treatment In Korean.
From www.researchgate.net
Clinical photographs of orthodontic treatment from pretreatment to Orthodontic Treatment In Korean (+15) yonsei good day dental clinic. discover the rise of clear aligners in korea and how they are revolutionizing orthodontic treatment. the clinic offers many services, including orthodontic treatments such as invisalign, ceramic braces, lingual braces, and damon braces. Chung boasts extensive experience in treating patients with diverse orthodontic & facial problems, ranging from abnormal jaw. They. Orthodontic Treatment In Korean.
From www.tradekorea.com
Orthodontic Instruments tradekorea Orthodontic Treatment In Korean They also provide periodontal treatments like scaling, root planing, gum, and bone grafting. korean dental clinics offer a variety of orthodontic treatment alternatives, such as traditional metal braces known for their. the biorapid orthodontic center is operated according to the biocreative orthodontic strategy developed by kyunghee. Chung boasts extensive experience in treating patients with diverse orthodontic & facial. Orthodontic Treatment In Korean.
From www.youtube.com
[ID Hospital Review] Orthodontic Surgery Process in Korea YouTube Orthodontic Treatment In Korean korean dental clinics offer a variety of orthodontic treatment alternatives, such as traditional metal braces known for their. the biorapid orthodontic center is operated according to the biocreative orthodontic strategy developed by kyunghee. the clinic offers many services, including orthodontic treatments such as invisalign, ceramic braces, lingual braces, and damon braces. (+15) yonsei good day dental. Orthodontic Treatment In Korean.