Is There A Cure For Hailey Hailey Disease . Familial benign pemphigus waxes and wanes in intensity. There is no cure and the treatment is challenging, including measures to control heat, sweat and friction, topical medications. Soothing compresses (aluminum acetate 1:40. There is no cure and the treatment is challenging, including measures to control heat, sweat and friction, topical medications (corticosteroids,. Despite progression in our understanding of the molecular genetics of hhd, therapy remains suboptimal and there is no. Despite progression in our understanding of the molecular genetics of hhd, therapy remains suboptimal and there is no known cure.
from www.electdermatology.com
Despite progression in our understanding of the molecular genetics of hhd, therapy remains suboptimal and there is no known cure. There is no cure and the treatment is challenging, including measures to control heat, sweat and friction, topical medications (corticosteroids,. There is no cure and the treatment is challenging, including measures to control heat, sweat and friction, topical medications. Despite progression in our understanding of the molecular genetics of hhd, therapy remains suboptimal and there is no. Soothing compresses (aluminum acetate 1:40. Familial benign pemphigus waxes and wanes in intensity.
HaileyHailey Disease Treatment Dermatologist in New Braunfels, TX
Is There A Cure For Hailey Hailey Disease There is no cure and the treatment is challenging, including measures to control heat, sweat and friction, topical medications (corticosteroids,. Soothing compresses (aluminum acetate 1:40. Despite progression in our understanding of the molecular genetics of hhd, therapy remains suboptimal and there is no known cure. There is no cure and the treatment is challenging, including measures to control heat, sweat and friction, topical medications (corticosteroids,. There is no cure and the treatment is challenging, including measures to control heat, sweat and friction, topical medications. Despite progression in our understanding of the molecular genetics of hhd, therapy remains suboptimal and there is no. Familial benign pemphigus waxes and wanes in intensity.
From www.mdedge.com
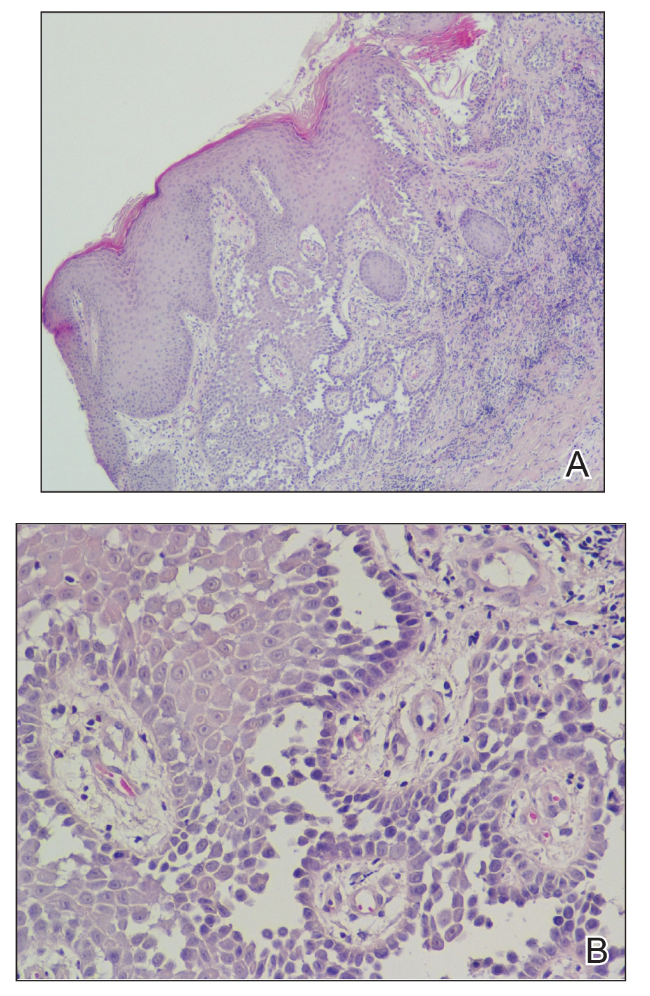
HaileyHailey Disease A Diagnostic Challenge MDedge Dermatology Is There A Cure For Hailey Hailey Disease There is no cure and the treatment is challenging, including measures to control heat, sweat and friction, topical medications (corticosteroids,. Despite progression in our understanding of the molecular genetics of hhd, therapy remains suboptimal and there is no known cure. There is no cure and the treatment is challenging, including measures to control heat, sweat and friction, topical medications. Despite. Is There A Cure For Hailey Hailey Disease.
From link.springer.com
HaileyHailey Disease (Familial Benign Pemphigus) SpringerLink Is There A Cure For Hailey Hailey Disease Despite progression in our understanding of the molecular genetics of hhd, therapy remains suboptimal and there is no known cure. Soothing compresses (aluminum acetate 1:40. Despite progression in our understanding of the molecular genetics of hhd, therapy remains suboptimal and there is no. There is no cure and the treatment is challenging, including measures to control heat, sweat and friction,. Is There A Cure For Hailey Hailey Disease.
From www.researchgate.net
(PDF) HaileyHailey disease treated with methotrexate Is There A Cure For Hailey Hailey Disease There is no cure and the treatment is challenging, including measures to control heat, sweat and friction, topical medications (corticosteroids,. Despite progression in our understanding of the molecular genetics of hhd, therapy remains suboptimal and there is no. Despite progression in our understanding of the molecular genetics of hhd, therapy remains suboptimal and there is no known cure. Soothing compresses. Is There A Cure For Hailey Hailey Disease.
From www.electdermatology.com
HaileyHailey Disease Treatment Dermatologist in New Braunfels, TX Is There A Cure For Hailey Hailey Disease There is no cure and the treatment is challenging, including measures to control heat, sweat and friction, topical medications (corticosteroids,. Despite progression in our understanding of the molecular genetics of hhd, therapy remains suboptimal and there is no known cure. Familial benign pemphigus waxes and wanes in intensity. There is no cure and the treatment is challenging, including measures to. Is There A Cure For Hailey Hailey Disease.
From healthjade.net
Hailey Hailey disease causes, symptoms, diagnosis, treatment & prognosis Is There A Cure For Hailey Hailey Disease Despite progression in our understanding of the molecular genetics of hhd, therapy remains suboptimal and there is no known cure. Despite progression in our understanding of the molecular genetics of hhd, therapy remains suboptimal and there is no. There is no cure and the treatment is challenging, including measures to control heat, sweat and friction, topical medications. Familial benign pemphigus. Is There A Cure For Hailey Hailey Disease.
From archderm.jamanetwork.com
Topical Tacrolimus Ointment Is an Effective Therapy for HaileyHailey Is There A Cure For Hailey Hailey Disease There is no cure and the treatment is challenging, including measures to control heat, sweat and friction, topical medications (corticosteroids,. There is no cure and the treatment is challenging, including measures to control heat, sweat and friction, topical medications. Familial benign pemphigus waxes and wanes in intensity. Soothing compresses (aluminum acetate 1:40. Despite progression in our understanding of the molecular. Is There A Cure For Hailey Hailey Disease.
From clinics.elsevier.es
Topical aluminum chloride as a treatment option for HaileyHailey Is There A Cure For Hailey Hailey Disease There is no cure and the treatment is challenging, including measures to control heat, sweat and friction, topical medications (corticosteroids,. There is no cure and the treatment is challenging, including measures to control heat, sweat and friction, topical medications. Familial benign pemphigus waxes and wanes in intensity. Soothing compresses (aluminum acetate 1:40. Despite progression in our understanding of the molecular. Is There A Cure For Hailey Hailey Disease.
From www.sciencephoto.com
HaileyHailey disease Stock Image C054/8790 Science Photo Library Is There A Cure For Hailey Hailey Disease There is no cure and the treatment is challenging, including measures to control heat, sweat and friction, topical medications. Familial benign pemphigus waxes and wanes in intensity. Soothing compresses (aluminum acetate 1:40. Despite progression in our understanding of the molecular genetics of hhd, therapy remains suboptimal and there is no known cure. Despite progression in our understanding of the molecular. Is There A Cure For Hailey Hailey Disease.
From ar.inspiredpencil.com
For Hailey Hailey Treatment Is There A Cure For Hailey Hailey Disease Despite progression in our understanding of the molecular genetics of hhd, therapy remains suboptimal and there is no known cure. Familial benign pemphigus waxes and wanes in intensity. Soothing compresses (aluminum acetate 1:40. There is no cure and the treatment is challenging, including measures to control heat, sweat and friction, topical medications. There is no cure and the treatment is. Is There A Cure For Hailey Hailey Disease.
From www.researchgate.net
(PDF) Dermoscopy as a Noninvasive Diagnostic Tool for HaileyHailey Is There A Cure For Hailey Hailey Disease There is no cure and the treatment is challenging, including measures to control heat, sweat and friction, topical medications (corticosteroids,. Familial benign pemphigus waxes and wanes in intensity. Despite progression in our understanding of the molecular genetics of hhd, therapy remains suboptimal and there is no known cure. Soothing compresses (aluminum acetate 1:40. There is no cure and the treatment. Is There A Cure For Hailey Hailey Disease.
From www.researchgate.net
(PDF) Successful Treatment of Refractory HaileyHailey Disease with Is There A Cure For Hailey Hailey Disease There is no cure and the treatment is challenging, including measures to control heat, sweat and friction, topical medications (corticosteroids,. Familial benign pemphigus waxes and wanes in intensity. Despite progression in our understanding of the molecular genetics of hhd, therapy remains suboptimal and there is no. There is no cure and the treatment is challenging, including measures to control heat,. Is There A Cure For Hailey Hailey Disease.
From www.researchgate.net
(PDF) HaileyHailey disease treatment with Botulinum toxin type A Is There A Cure For Hailey Hailey Disease There is no cure and the treatment is challenging, including measures to control heat, sweat and friction, topical medications (corticosteroids,. Despite progression in our understanding of the molecular genetics of hhd, therapy remains suboptimal and there is no known cure. Soothing compresses (aluminum acetate 1:40. Familial benign pemphigus waxes and wanes in intensity. Despite progression in our understanding of the. Is There A Cure For Hailey Hailey Disease.
From www.dovemed.com
HaileyHailey Disease Is There A Cure For Hailey Hailey Disease Soothing compresses (aluminum acetate 1:40. Despite progression in our understanding of the molecular genetics of hhd, therapy remains suboptimal and there is no known cure. There is no cure and the treatment is challenging, including measures to control heat, sweat and friction, topical medications. There is no cure and the treatment is challenging, including measures to control heat, sweat and. Is There A Cure For Hailey Hailey Disease.
From www.researchgate.net
(PDF) HaileyHailey disease improved by fractional CO 2 laser Is There A Cure For Hailey Hailey Disease There is no cure and the treatment is challenging, including measures to control heat, sweat and friction, topical medications. Soothing compresses (aluminum acetate 1:40. Despite progression in our understanding of the molecular genetics of hhd, therapy remains suboptimal and there is no known cure. Despite progression in our understanding of the molecular genetics of hhd, therapy remains suboptimal and there. Is There A Cure For Hailey Hailey Disease.
From www.semanticscholar.org
Figure 2 from Treatment of HaileyHailey disease with narrowband Is There A Cure For Hailey Hailey Disease There is no cure and the treatment is challenging, including measures to control heat, sweat and friction, topical medications (corticosteroids,. There is no cure and the treatment is challenging, including measures to control heat, sweat and friction, topical medications. Despite progression in our understanding of the molecular genetics of hhd, therapy remains suboptimal and there is no known cure. Despite. Is There A Cure For Hailey Hailey Disease.
From www.youtube.com
HaileyHailey Disease Pathology mini tutorial YouTube Is There A Cure For Hailey Hailey Disease Soothing compresses (aluminum acetate 1:40. There is no cure and the treatment is challenging, including measures to control heat, sweat and friction, topical medications. Despite progression in our understanding of the molecular genetics of hhd, therapy remains suboptimal and there is no. Despite progression in our understanding of the molecular genetics of hhd, therapy remains suboptimal and there is no. Is There A Cure For Hailey Hailey Disease.
From www.termedia.pl
HaileyHailey disease exacerbated by scabies the role of dermatoscopy Is There A Cure For Hailey Hailey Disease Despite progression in our understanding of the molecular genetics of hhd, therapy remains suboptimal and there is no known cure. There is no cure and the treatment is challenging, including measures to control heat, sweat and friction, topical medications (corticosteroids,. There is no cure and the treatment is challenging, including measures to control heat, sweat and friction, topical medications. Familial. Is There A Cure For Hailey Hailey Disease.
From www.semanticscholar.org
Figure 2 from HaileyHailey Disease Treated with Topical Tacalcitol Is There A Cure For Hailey Hailey Disease Soothing compresses (aluminum acetate 1:40. There is no cure and the treatment is challenging, including measures to control heat, sweat and friction, topical medications. Despite progression in our understanding of the molecular genetics of hhd, therapy remains suboptimal and there is no. Familial benign pemphigus waxes and wanes in intensity. Despite progression in our understanding of the molecular genetics of. Is There A Cure For Hailey Hailey Disease.
From www.ausdoc.com.au
Superficial radiotherapy tied to complete remission in severe Hailey Is There A Cure For Hailey Hailey Disease Despite progression in our understanding of the molecular genetics of hhd, therapy remains suboptimal and there is no. There is no cure and the treatment is challenging, including measures to control heat, sweat and friction, topical medications. Soothing compresses (aluminum acetate 1:40. There is no cure and the treatment is challenging, including measures to control heat, sweat and friction, topical. Is There A Cure For Hailey Hailey Disease.
From www.pinterest.com
HaileyHailey disease Hereditary diseases, Disease, Hailey Is There A Cure For Hailey Hailey Disease There is no cure and the treatment is challenging, including measures to control heat, sweat and friction, topical medications (corticosteroids,. There is no cure and the treatment is challenging, including measures to control heat, sweat and friction, topical medications. Familial benign pemphigus waxes and wanes in intensity. Soothing compresses (aluminum acetate 1:40. Despite progression in our understanding of the molecular. Is There A Cure For Hailey Hailey Disease.
From www.sciencephoto.com
HaileyHailey disease lesion Stock Image C045/9565 Science Photo Is There A Cure For Hailey Hailey Disease There is no cure and the treatment is challenging, including measures to control heat, sweat and friction, topical medications. There is no cure and the treatment is challenging, including measures to control heat, sweat and friction, topical medications (corticosteroids,. Soothing compresses (aluminum acetate 1:40. Despite progression in our understanding of the molecular genetics of hhd, therapy remains suboptimal and there. Is There A Cure For Hailey Hailey Disease.
From www.bldgactive.com
Pioneering Treatments for HaileyHailey Disease BLDG Active Is There A Cure For Hailey Hailey Disease There is no cure and the treatment is challenging, including measures to control heat, sweat and friction, topical medications (corticosteroids,. There is no cure and the treatment is challenging, including measures to control heat, sweat and friction, topical medications. Soothing compresses (aluminum acetate 1:40. Familial benign pemphigus waxes and wanes in intensity. Despite progression in our understanding of the molecular. Is There A Cure For Hailey Hailey Disease.
From www.sciencephoto.com
HaileyHailey disease lesion Stock Image C046/5304 Science Photo Is There A Cure For Hailey Hailey Disease Despite progression in our understanding of the molecular genetics of hhd, therapy remains suboptimal and there is no known cure. There is no cure and the treatment is challenging, including measures to control heat, sweat and friction, topical medications. Familial benign pemphigus waxes and wanes in intensity. Despite progression in our understanding of the molecular genetics of hhd, therapy remains. Is There A Cure For Hailey Hailey Disease.
From www.studocu.com
HaileyHailey Disease Introduction to Hailey Hailey disease Hailey Is There A Cure For Hailey Hailey Disease Familial benign pemphigus waxes and wanes in intensity. There is no cure and the treatment is challenging, including measures to control heat, sweat and friction, topical medications. Despite progression in our understanding of the molecular genetics of hhd, therapy remains suboptimal and there is no known cure. Soothing compresses (aluminum acetate 1:40. There is no cure and the treatment is. Is There A Cure For Hailey Hailey Disease.
From www.bldgactive.com
Pioneering Treatments for HaileyHailey Disease BLDG Active Is There A Cure For Hailey Hailey Disease Familial benign pemphigus waxes and wanes in intensity. Soothing compresses (aluminum acetate 1:40. Despite progression in our understanding of the molecular genetics of hhd, therapy remains suboptimal and there is no. Despite progression in our understanding of the molecular genetics of hhd, therapy remains suboptimal and there is no known cure. There is no cure and the treatment is challenging,. Is There A Cure For Hailey Hailey Disease.
From diseases-club.blogspot.com
haileyhailey disease Hailey disease tacrolimus topical ointment Is There A Cure For Hailey Hailey Disease There is no cure and the treatment is challenging, including measures to control heat, sweat and friction, topical medications (corticosteroids,. Despite progression in our understanding of the molecular genetics of hhd, therapy remains suboptimal and there is no known cure. Soothing compresses (aluminum acetate 1:40. Familial benign pemphigus waxes and wanes in intensity. Despite progression in our understanding of the. Is There A Cure For Hailey Hailey Disease.
From www.youtube.com
HaileyHailey disease (Medical Condition) YouTube Is There A Cure For Hailey Hailey Disease There is no cure and the treatment is challenging, including measures to control heat, sweat and friction, topical medications (corticosteroids,. Familial benign pemphigus waxes and wanes in intensity. Despite progression in our understanding of the molecular genetics of hhd, therapy remains suboptimal and there is no. Despite progression in our understanding of the molecular genetics of hhd, therapy remains suboptimal. Is There A Cure For Hailey Hailey Disease.
From www.animalia-life.club
Hailey Rash Is There A Cure For Hailey Hailey Disease Soothing compresses (aluminum acetate 1:40. There is no cure and the treatment is challenging, including measures to control heat, sweat and friction, topical medications (corticosteroids,. Despite progression in our understanding of the molecular genetics of hhd, therapy remains suboptimal and there is no. Familial benign pemphigus waxes and wanes in intensity. Despite progression in our understanding of the molecular genetics. Is There A Cure For Hailey Hailey Disease.
From oncologyspasolutions.com
O Skin LoveĀ® MD Ahh...mazing Oil (Tamanu Oil) Is There A Cure For Hailey Hailey Disease There is no cure and the treatment is challenging, including measures to control heat, sweat and friction, topical medications. Despite progression in our understanding of the molecular genetics of hhd, therapy remains suboptimal and there is no. Soothing compresses (aluminum acetate 1:40. Familial benign pemphigus waxes and wanes in intensity. There is no cure and the treatment is challenging, including. Is There A Cure For Hailey Hailey Disease.
From www.researchgate.net
(PDF) HaileyHailey disease presenting at unusual site Is There A Cure For Hailey Hailey Disease There is no cure and the treatment is challenging, including measures to control heat, sweat and friction, topical medications (corticosteroids,. Familial benign pemphigus waxes and wanes in intensity. There is no cure and the treatment is challenging, including measures to control heat, sweat and friction, topical medications. Despite progression in our understanding of the molecular genetics of hhd, therapy remains. Is There A Cure For Hailey Hailey Disease.
From www.bldgactive.com
Thriving with HaileyHailey Disease Daily Life Perspectives BLDG Active Is There A Cure For Hailey Hailey Disease Despite progression in our understanding of the molecular genetics of hhd, therapy remains suboptimal and there is no known cure. Despite progression in our understanding of the molecular genetics of hhd, therapy remains suboptimal and there is no. There is no cure and the treatment is challenging, including measures to control heat, sweat and friction, topical medications. Soothing compresses (aluminum. Is There A Cure For Hailey Hailey Disease.
From www.mdedge.com
HaileyHailey Disease A Diagnostic Challenge MDedge Dermatology Is There A Cure For Hailey Hailey Disease There is no cure and the treatment is challenging, including measures to control heat, sweat and friction, topical medications. There is no cure and the treatment is challenging, including measures to control heat, sweat and friction, topical medications (corticosteroids,. Despite progression in our understanding of the molecular genetics of hhd, therapy remains suboptimal and there is no. Familial benign pemphigus. Is There A Cure For Hailey Hailey Disease.
From www.bldgactive.com
Delving into HaileyHailey Disease From to Triggers BLDG Active Is There A Cure For Hailey Hailey Disease Despite progression in our understanding of the molecular genetics of hhd, therapy remains suboptimal and there is no. There is no cure and the treatment is challenging, including measures to control heat, sweat and friction, topical medications (corticosteroids,. Familial benign pemphigus waxes and wanes in intensity. Soothing compresses (aluminum acetate 1:40. Despite progression in our understanding of the molecular genetics. Is There A Cure For Hailey Hailey Disease.
From www.bldgactive.com
HaileyHailey Disease Comprehensive Diagnosis Steps BLDG Active Is There A Cure For Hailey Hailey Disease Soothing compresses (aluminum acetate 1:40. Despite progression in our understanding of the molecular genetics of hhd, therapy remains suboptimal and there is no. There is no cure and the treatment is challenging, including measures to control heat, sweat and friction, topical medications. Familial benign pemphigus waxes and wanes in intensity. Despite progression in our understanding of the molecular genetics of. Is There A Cure For Hailey Hailey Disease.
From www.youtube.com
Know what's HaileyHailey Disease by Dr. Rohit Batra YouTube Is There A Cure For Hailey Hailey Disease Familial benign pemphigus waxes and wanes in intensity. Despite progression in our understanding of the molecular genetics of hhd, therapy remains suboptimal and there is no. Despite progression in our understanding of the molecular genetics of hhd, therapy remains suboptimal and there is no known cure. There is no cure and the treatment is challenging, including measures to control heat,. Is There A Cure For Hailey Hailey Disease.