What Is Dental Fistula . Learn about the potential causes, recognizable symptoms, and. A dental fistula is a drainage pathway that connects a dental abscess with the outside. Dental fistulas usually emerge from bacterial inflammation affecting a tooth or its root, more precisely at the root tip. Learn how to diagnose and treat a fistula, and how to prevent it with proper oral care. Learn how to identify, treat, and prevent this. A dental fistula is an abnormal channel that transports fluids, such as pus, from an area of inflammation to the exterior. Learn how to recognize the signs of infection, how it's diagnosed and how it's treated by a dentist. A dental fistula is a small bump on your gums that forms when an infection inside your tooth needs a way to drain. A dental fistula is a new pathway that drains infection from an abscess under the gumline. The principle is similar to how a drain works. A dental fistula is a canal that forms when an abscess has nowhere to drain. Learn how to recognize the signs and symptoms, and how to treat and prevent this. A dental fistula is a small tunnel that drains pus from an infected tooth or gum. Learn how to identify, treat, and prevent this oral health. A dental fistula is a canal that drains an infection from an abscess, often caused by trauma, bacteria, or surgery.
from www.animalia-life.club
A dental fistula is a canal that forms when an abscess has nowhere to drain. Dental fistulas usually emerge from bacterial inflammation affecting a tooth or its root, more precisely at the root tip. Learn about the potential causes, recognizable symptoms, and. Learn how to diagnose and treat a fistula, and how to prevent it with proper oral care. A dental fistula is a small bump on your gums that forms when an infection inside your tooth needs a way to drain. A dental fistula is an abnormal channel that transports fluids, such as pus, from an area of inflammation to the exterior. A dental fistula is a canal that drains an infection from an abscess, often caused by trauma, bacteria, or surgery. Learn how to recognize the signs and symptoms, and how to treat and prevent this. The principle is similar to how a drain works. A dental fistula is a drainage pathway that connects a dental abscess with the outside.
Fistula Gums
What Is Dental Fistula Learn how to identify, treat, and prevent this oral health. Learn how to diagnose and treat a fistula, and how to prevent it with proper oral care. A dental fistula is a small tunnel that drains pus from an infected tooth or gum. A dental fistula is a new pathway that drains infection from an abscess under the gumline. A dental fistula is a drainage pathway that connects a dental abscess with the outside. A dental fistula is a small bump on your gums that forms when an infection inside your tooth needs a way to drain. Learn how to recognize the. Learn how to identify, treat, and prevent this oral health. A dental fistula is a canal that drains an infection from an abscess, often caused by trauma, bacteria, or surgery. The principle is similar to how a drain works. Dental fistulas usually emerge from bacterial inflammation affecting a tooth or its root, more precisely at the root tip. Learn how to identify, treat, and prevent this. Learn about the potential causes, recognizable symptoms, and. Learn how to recognize the signs of infection, how it's diagnosed and how it's treated by a dentist. A dental fistula is a canal that forms when an abscess has nowhere to drain. Learn how to recognize the signs and symptoms, and how to treat and prevent this.
From www.primagem.org
Draining Fistula Dental Best Drain Photos What Is Dental Fistula A dental fistula is a small tunnel that drains pus from an infected tooth or gum. A dental fistula is a canal that forms when an abscess has nowhere to drain. Learn how to identify, treat, and prevent this oral health. A dental fistula is an abnormal channel that transports fluids, such as pus, from an area of inflammation to. What Is Dental Fistula.
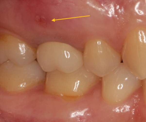
From www.leadingimplantcenters.com
Dental Fistula Description, causes and treatment Leading Implant What Is Dental Fistula A dental fistula is an abnormal channel that transports fluids, such as pus, from an area of inflammation to the exterior. A dental fistula is a drainage pathway that connects a dental abscess with the outside. Learn how to identify, treat, and prevent this oral health. Learn how to diagnose and treat a fistula, and how to prevent it with. What Is Dental Fistula.
From clinicasoraldents.com.br
Fístula dental o que é, causas e tratamento Clinica OralDents What Is Dental Fistula A dental fistula is a small bump on your gums that forms when an infection inside your tooth needs a way to drain. Learn how to identify, treat, and prevent this. Dental fistulas usually emerge from bacterial inflammation affecting a tooth or its root, more precisely at the root tip. A dental fistula is a canal that forms when an. What Is Dental Fistula.
From www.tpsearchtool.com
Fistula Dental Que Es Y Como Tratarla Colgate Images What Is Dental Fistula Learn how to recognize the signs and symptoms, and how to treat and prevent this. Learn how to recognize the. A dental fistula is a small tunnel that drains pus from an infected tooth or gum. Learn how to diagnose and treat a fistula, and how to prevent it with proper oral care. A dental fistula is an abnormal channel. What Is Dental Fistula.
From www.youtube.com
What is a parulis or Fistula?dental abscesses, infected tooth YouTube What Is Dental Fistula Learn how to recognize the signs of infection, how it's diagnosed and how it's treated by a dentist. Learn about the potential causes, recognizable symptoms, and. A dental fistula is a drainage pathway that connects a dental abscess with the outside. Dental fistulas usually emerge from bacterial inflammation affecting a tooth or its root, more precisely at the root tip.. What Is Dental Fistula.
From prodentalsantacruz.es
Fístula Dental Síntomas y Tratamiento Prodental What Is Dental Fistula Learn about the potential causes, recognizable symptoms, and. Learn how to identify, treat, and prevent this. Learn how to diagnose and treat a fistula, and how to prevent it with proper oral care. A dental fistula is a drainage pathway that connects a dental abscess with the outside. Dental fistulas usually emerge from bacterial inflammation affecting a tooth or its. What Is Dental Fistula.
From dentagama.com
What is a dental fistula? News Dentagama What Is Dental Fistula Dental fistulas usually emerge from bacterial inflammation affecting a tooth or its root, more precisely at the root tip. Learn how to identify, treat, and prevent this. A dental fistula is a canal that drains an infection from an abscess, often caused by trauma, bacteria, or surgery. Learn how to diagnose and treat a fistula, and how to prevent it. What Is Dental Fistula.
From www.propdental.es
Fístula en la encía ¿Qué es y tratamiento de la Fístula dental? What Is Dental Fistula The principle is similar to how a drain works. Learn how to identify, treat, and prevent this. A dental fistula is a canal that drains an infection from an abscess, often caused by trauma, bacteria, or surgery. Learn about the potential causes, recognizable symptoms, and. Learn how to identify, treat, and prevent this oral health. Learn how to recognize the. What Is Dental Fistula.
From suburbanessexdental.com
What Is A Parulis? Dental Fistula Causes, Treatment Suburban Essex What Is Dental Fistula A dental fistula is a canal that drains an infection from an abscess, often caused by trauma, bacteria, or surgery. A dental fistula is a small tunnel that drains pus from an infected tooth or gum. Learn how to identify, treat, and prevent this. A dental fistula is a small bump on your gums that forms when an infection inside. What Is Dental Fistula.
From ar.inspiredpencil.com
Fistula In Mouth What Is Dental Fistula A dental fistula is a new pathway that drains infection from an abscess under the gumline. A dental fistula is a small tunnel that drains pus from an infected tooth or gum. A dental fistula is a drainage pathway that connects a dental abscess with the outside. The principle is similar to how a drain works. Dental fistulas usually emerge. What Is Dental Fistula.
From formacion.clinicaesteve.es
EndoResto molar inferior con fístula Formación Clínica Dental Esteve What Is Dental Fistula Learn how to identify, treat, and prevent this. A dental fistula is a new pathway that drains infection from an abscess under the gumline. Learn how to recognize the. A dental fistula is a drainage pathway that connects a dental abscess with the outside. A dental fistula is an abnormal channel that transports fluids, such as pus, from an area. What Is Dental Fistula.
From www.propdental.es
Fístula en la encía ¿Qué es y tratamiento de la Fístula dental? What Is Dental Fistula A dental fistula is a small bump on your gums that forms when an infection inside your tooth needs a way to drain. Learn about the potential causes, recognizable symptoms, and. A dental fistula is a drainage pathway that connects a dental abscess with the outside. Learn how to diagnose and treat a fistula, and how to prevent it with. What Is Dental Fistula.
From kuipersortho.com
What to do about a fistula on the gums? What Is Dental Fistula A dental fistula is a canal that forms when an abscess has nowhere to drain. A dental fistula is a canal that drains an infection from an abscess, often caused by trauma, bacteria, or surgery. A dental fistula is a small bump on your gums that forms when an infection inside your tooth needs a way to drain. Learn how. What Is Dental Fistula.
From curaprox.us
Dental fistulas Symptoms, causes, treatment CURAPROX What Is Dental Fistula A dental fistula is a new pathway that drains infection from an abscess under the gumline. Learn how to identify, treat, and prevent this oral health. Learn how to identify, treat, and prevent this. Learn how to diagnose and treat a fistula, and how to prevent it with proper oral care. Learn about the potential causes, recognizable symptoms, and. A. What Is Dental Fistula.
From steptohealth.com
What is a dental fistula and how can it be treated? What Is Dental Fistula A dental fistula is a small tunnel that drains pus from an infected tooth or gum. A dental fistula is a small bump on your gums that forms when an infection inside your tooth needs a way to drain. A dental fistula is a new pathway that drains infection from an abscess under the gumline. A dental fistula is an. What Is Dental Fistula.
From www.youtube.com
How to treat a dental Fistula YouTube What Is Dental Fistula A dental fistula is a small bump on your gums that forms when an infection inside your tooth needs a way to drain. A dental fistula is an abnormal channel that transports fluids, such as pus, from an area of inflammation to the exterior. Learn how to identify, treat, and prevent this. Learn how to recognize the. Learn how to. What Is Dental Fistula.
From www.allsmiles-dentalblogformoms.com
What is a Dental Fistula & How To Check For Them What Is Dental Fistula Learn how to recognize the signs of infection, how it's diagnosed and how it's treated by a dentist. A dental fistula is a small tunnel that drains pus from an infected tooth or gum. Learn about the potential causes, recognizable symptoms, and. A dental fistula is a drainage pathway that connects a dental abscess with the outside. A dental fistula. What Is Dental Fistula.
From www.stemjar.com
What is Dental Fistula? Its Treatment and Prevention Stemjar What Is Dental Fistula Learn how to recognize the signs of infection, how it's diagnosed and how it's treated by a dentist. Learn how to recognize the. A dental fistula is a new pathway that drains infection from an abscess under the gumline. A dental fistula is a drainage pathway that connects a dental abscess with the outside. A dental fistula is a canal. What Is Dental Fistula.
From www.animalia-life.club
Fistula Gums What Is Dental Fistula A dental fistula is an abnormal channel that transports fluids, such as pus, from an area of inflammation to the exterior. A dental fistula is a small bump on your gums that forms when an infection inside your tooth needs a way to drain. Learn how to identify, treat, and prevent this oral health. Learn about the potential causes, recognizable. What Is Dental Fistula.
From condientes.blogspot.com
¿QUÉ ES UNA FISTULA INTRAORAL? 🦷Con Dientes Salud Bucal What Is Dental Fistula A dental fistula is a canal that drains an infection from an abscess, often caused by trauma, bacteria, or surgery. A dental fistula is a canal that forms when an abscess has nowhere to drain. Learn how to recognize the signs and symptoms, and how to treat and prevent this. Learn about the potential causes, recognizable symptoms, and. Learn how. What Is Dental Fistula.
From clinicaruiz.es
Diagnóstico de Conducto Lateral con Fístula en un 11 Clínica dental What Is Dental Fistula A dental fistula is a canal that drains an infection from an abscess, often caused by trauma, bacteria, or surgery. Learn how to diagnose and treat a fistula, and how to prevent it with proper oral care. Learn about the potential causes, recognizable symptoms, and. A dental fistula is a canal that forms when an abscess has nowhere to drain.. What Is Dental Fistula.
From drdison.com
What Is a Dental Fistula Fistula Dental Dental Fistula After Implant What Is Dental Fistula Learn how to identify, treat, and prevent this oral health. A dental fistula is a canal that forms when an abscess has nowhere to drain. A dental fistula is a new pathway that drains infection from an abscess under the gumline. Learn how to recognize the signs of infection, how it's diagnosed and how it's treated by a dentist. Learn. What Is Dental Fistula.
From dentalxuquer.com
¿Qué es una fístula dental? Clínica Dental Xúquer What Is Dental Fistula Learn how to diagnose and treat a fistula, and how to prevent it with proper oral care. Learn how to identify, treat, and prevent this. Learn how to recognize the signs of infection, how it's diagnosed and how it's treated by a dentist. The principle is similar to how a drain works. A dental fistula is a small tunnel that. What Is Dental Fistula.
From www.youtube.com
Dental Fistula (Sinus Tract) YouTube What Is Dental Fistula A dental fistula is a small tunnel that drains pus from an infected tooth or gum. Learn how to recognize the signs of infection, how it's diagnosed and how it's treated by a dentist. A dental fistula is a canal that forms when an abscess has nowhere to drain. A dental fistula is a small bump on your gums that. What Is Dental Fistula.
From www.chapintv.com
¿Qué es una fístula dental y cómo se trata? Chapin TV What Is Dental Fistula Learn how to identify, treat, and prevent this oral health. Learn about the potential causes, recognizable symptoms, and. A dental fistula is a small tunnel that drains pus from an infected tooth or gum. A dental fistula is an abnormal channel that transports fluids, such as pus, from an area of inflammation to the exterior. A dental fistula is a. What Is Dental Fistula.
From surprisesmilesdental.com
Dental Fistula What Is It? What Is Dental Fistula A dental fistula is an abnormal channel that transports fluids, such as pus, from an area of inflammation to the exterior. Learn how to identify, treat, and prevent this. A dental fistula is a small tunnel that drains pus from an infected tooth or gum. Learn how to recognize the signs of infection, how it's diagnosed and how it's treated. What Is Dental Fistula.
From ar.inspiredpencil.com
Fistula In Mouth What Is Dental Fistula A dental fistula is a small bump on your gums that forms when an infection inside your tooth needs a way to drain. Learn about the potential causes, recognizable symptoms, and. Learn how to recognize the signs and symptoms, and how to treat and prevent this. Dental fistulas usually emerge from bacterial inflammation affecting a tooth or its root, more. What Is Dental Fistula.
From kiserdental.com
Oral Fistula Traced Advanced Dentistry & Dental Implant Center What Is Dental Fistula Learn how to identify, treat, and prevent this oral health. A dental fistula is a small tunnel that drains pus from an infected tooth or gum. A dental fistula is an abnormal channel that transports fluids, such as pus, from an area of inflammation to the exterior. Learn about the potential causes, recognizable symptoms, and. Learn how to recognize the. What Is Dental Fistula.
From clinicablasi.com
Fístula Dental ¿Qué es? Clínica Blasi What Is Dental Fistula A dental fistula is a new pathway that drains infection from an abscess under the gumline. A dental fistula is a small tunnel that drains pus from an infected tooth or gum. Learn how to recognize the. The principle is similar to how a drain works. A dental fistula is a canal that drains an infection from an abscess, often. What Is Dental Fistula.
From www.animalia-life.club
Fistula Gums What Is Dental Fistula A dental fistula is an abnormal channel that transports fluids, such as pus, from an area of inflammation to the exterior. Learn about the potential causes, recognizable symptoms, and. Learn how to identify, treat, and prevent this oral health. A dental fistula is a small bump on your gums that forms when an infection inside your tooth needs a way. What Is Dental Fistula.
From www.emergencydentalclinics.ca
Dental Fistula What is it? Edmonton Dentists What Is Dental Fistula Learn how to diagnose and treat a fistula, and how to prevent it with proper oral care. A dental fistula is a new pathway that drains infection from an abscess under the gumline. Learn how to identify, treat, and prevent this. A dental fistula is a canal that drains an infection from an abscess, often caused by trauma, bacteria, or. What Is Dental Fistula.
From www.dentalcarebarcelona.com
Fístula dental síntomas, causas y tratamiento Dental Care Barcelona What Is Dental Fistula A dental fistula is an abnormal channel that transports fluids, such as pus, from an area of inflammation to the exterior. A dental fistula is a drainage pathway that connects a dental abscess with the outside. Learn about the potential causes, recognizable symptoms, and. Learn how to recognize the signs and symptoms, and how to treat and prevent this. Dental. What Is Dental Fistula.
From www.colgate.com
Fístula dental ¿qué es y cómo tratarla? Colgate® What Is Dental Fistula Learn how to identify, treat, and prevent this oral health. A dental fistula is a canal that drains an infection from an abscess, often caused by trauma, bacteria, or surgery. Learn how to identify, treat, and prevent this. A dental fistula is a canal that forms when an abscess has nowhere to drain. A dental fistula is a small bump. What Is Dental Fistula.
From www.youtube.com
FISTULA ON THE GUMS, CYST IN THE TOOTH dentist dentistry dental What Is Dental Fistula A dental fistula is an abnormal channel that transports fluids, such as pus, from an area of inflammation to the exterior. Learn how to identify, treat, and prevent this. A dental fistula is a small tunnel that drains pus from an infected tooth or gum. The principle is similar to how a drain works. A dental fistula is a new. What Is Dental Fistula.
From estudidentalbarcelona.com
¿Qué es una fístula dental? ED Barcelona What Is Dental Fistula A dental fistula is a canal that forms when an abscess has nowhere to drain. Learn how to recognize the signs of infection, how it's diagnosed and how it's treated by a dentist. A dental fistula is a new pathway that drains infection from an abscess under the gumline. Learn how to identify, treat, and prevent this. Learn how to. What Is Dental Fistula.