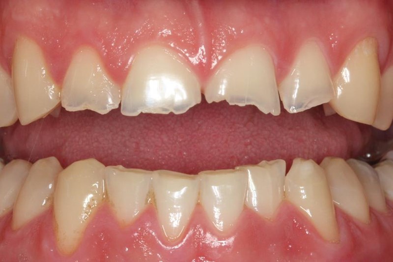
Why Are My Teeth Brittle And Breaking . Your mouth requires balanced biting and chewing forces. There are various potential reasons why teeth may become weakened and more prone to chipping, cracking or outright breaking. These habits wear away dental enamel. Understanding the causes and getting to the root of the problem is key to strengthening teeth and preventing further damage. There’s nothing as heartbreaking as the sudden, piercing pain that goes through your oral cavity when you bite into something only to discover your teeth, once reliable and strong, have become brittle and weak. Though tooth enamel is tough, several habits and conditions can cause the enamel structure to weaken, and the teeth become brittle. These habits could be wearing away your smile. Do you wonder why your teeth are brittle, breaking and chipped? So, if your teeth are prone to breaking, it might be due to one of the following causes. We also share the long term solutions our dentists can offer you to return your mouth to a happy, healthy state. Habitual teeth grinding and clenching can wear away dental enamel over time, leading to brittle. This condition, called ‘brittle teeth’, is related to a variety of oral health issues. In this article, we explain the main reason why teeth weaken. Grinding teeth could be the cause of your brittle teeth.
from youmemindbody.com
This condition, called ‘brittle teeth’, is related to a variety of oral health issues. So, if your teeth are prone to breaking, it might be due to one of the following causes. In this article, we explain the main reason why teeth weaken. There are various potential reasons why teeth may become weakened and more prone to chipping, cracking or outright breaking. Habitual teeth grinding and clenching can wear away dental enamel over time, leading to brittle. Though tooth enamel is tough, several habits and conditions can cause the enamel structure to weaken, and the teeth become brittle. Grinding teeth could be the cause of your brittle teeth. Understanding the causes and getting to the root of the problem is key to strengthening teeth and preventing further damage. Do you wonder why your teeth are brittle, breaking and chipped? Your mouth requires balanced biting and chewing forces.
Why Did My Tooth Break and What Happens Next? YouMeMindBody
Why Are My Teeth Brittle And Breaking Do you wonder why your teeth are brittle, breaking and chipped? Grinding teeth could be the cause of your brittle teeth. Do you wonder why your teeth are brittle, breaking and chipped? So, if your teeth are prone to breaking, it might be due to one of the following causes. Though tooth enamel is tough, several habits and conditions can cause the enamel structure to weaken, and the teeth become brittle. These habits wear away dental enamel. Habitual teeth grinding and clenching can wear away dental enamel over time, leading to brittle. Your mouth requires balanced biting and chewing forces. These habits could be wearing away your smile. Understanding the causes and getting to the root of the problem is key to strengthening teeth and preventing further damage. We also share the long term solutions our dentists can offer you to return your mouth to a happy, healthy state. In this article, we explain the main reason why teeth weaken. There are various potential reasons why teeth may become weakened and more prone to chipping, cracking or outright breaking. This condition, called ‘brittle teeth’, is related to a variety of oral health issues. There’s nothing as heartbreaking as the sudden, piercing pain that goes through your oral cavity when you bite into something only to discover your teeth, once reliable and strong, have become brittle and weak.
From www.dentystabirmingham.co.uk
Brittle teeth causes, prevention and treatment Why Are My Teeth Brittle And Breaking So, if your teeth are prone to breaking, it might be due to one of the following causes. There’s nothing as heartbreaking as the sudden, piercing pain that goes through your oral cavity when you bite into something only to discover your teeth, once reliable and strong, have become brittle and weak. Understanding the causes and getting to the root. Why Are My Teeth Brittle And Breaking.
From healthwire.pk
How to Protect Brittle Teeth? 7 Simple Tips that Help Healthwire Why Are My Teeth Brittle And Breaking These habits wear away dental enamel. Though tooth enamel is tough, several habits and conditions can cause the enamel structure to weaken, and the teeth become brittle. Understanding the causes and getting to the root of the problem is key to strengthening teeth and preventing further damage. This condition, called ‘brittle teeth’, is related to a variety of oral health. Why Are My Teeth Brittle And Breaking.
From mybestdentists.com
How to Manage Brittle Teeth My BEST Dentists Journal MyBestDentists Why Are My Teeth Brittle And Breaking Understanding the causes and getting to the root of the problem is key to strengthening teeth and preventing further damage. Do you wonder why your teeth are brittle, breaking and chipped? We also share the long term solutions our dentists can offer you to return your mouth to a happy, healthy state. These habits could be wearing away your smile.. Why Are My Teeth Brittle And Breaking.
From youmemindbody.com
Why Did My Tooth Break and What Happens Next? YouMeMindBody Why Are My Teeth Brittle And Breaking Understanding the causes and getting to the root of the problem is key to strengthening teeth and preventing further damage. These habits wear away dental enamel. Grinding teeth could be the cause of your brittle teeth. So, if your teeth are prone to breaking, it might be due to one of the following causes. There are various potential reasons why. Why Are My Teeth Brittle And Breaking.
From www.greenspandental.com
Cracked Tooth Syndrome Dr. Ari Greenspan Dentist Why Are My Teeth Brittle And Breaking Though tooth enamel is tough, several habits and conditions can cause the enamel structure to weaken, and the teeth become brittle. We also share the long term solutions our dentists can offer you to return your mouth to a happy, healthy state. Do you wonder why your teeth are brittle, breaking and chipped? So, if your teeth are prone to. Why Are My Teeth Brittle And Breaking.
From danversaestheticdentistry.com
Helpful Tips Take Care of Brittle Teeth Why Are My Teeth Brittle And Breaking Though tooth enamel is tough, several habits and conditions can cause the enamel structure to weaken, and the teeth become brittle. In this article, we explain the main reason why teeth weaken. Your mouth requires balanced biting and chewing forces. There’s nothing as heartbreaking as the sudden, piercing pain that goes through your oral cavity when you bite into something. Why Are My Teeth Brittle And Breaking.
From www.cdhp.org
Why Are My Teeth So Weak And Keep Breaking? (Causes & Tips) Why Are My Teeth Brittle And Breaking These habits wear away dental enamel. This condition, called ‘brittle teeth’, is related to a variety of oral health issues. Do you wonder why your teeth are brittle, breaking and chipped? Your mouth requires balanced biting and chewing forces. These habits could be wearing away your smile. Understanding the causes and getting to the root of the problem is key. Why Are My Teeth Brittle And Breaking.
From www.medicalnewstoday.com
Cracked tooth Symptoms, diagnosis, and treatment Why Are My Teeth Brittle And Breaking Understanding the causes and getting to the root of the problem is key to strengthening teeth and preventing further damage. There are various potential reasons why teeth may become weakened and more prone to chipping, cracking or outright breaking. Habitual teeth grinding and clenching can wear away dental enamel over time, leading to brittle. In this article, we explain the. Why Are My Teeth Brittle And Breaking.
From www.kirklandpremierdentistry.com
Cavities and Dental Decay All the Things You Should Know About Why Are My Teeth Brittle And Breaking Habitual teeth grinding and clenching can wear away dental enamel over time, leading to brittle. These habits could be wearing away your smile. Though tooth enamel is tough, several habits and conditions can cause the enamel structure to weaken, and the teeth become brittle. Your mouth requires balanced biting and chewing forces. Do you wonder why your teeth are brittle,. Why Are My Teeth Brittle And Breaking.
From dentagama.com
7 Tips to Protect Your Brittle Teeth Nebula Dental Clinic Dentagama Why Are My Teeth Brittle And Breaking Grinding teeth could be the cause of your brittle teeth. This condition, called ‘brittle teeth’, is related to a variety of oral health issues. Though tooth enamel is tough, several habits and conditions can cause the enamel structure to weaken, and the teeth become brittle. Habitual teeth grinding and clenching can wear away dental enamel over time, leading to brittle.. Why Are My Teeth Brittle And Breaking.
From websterdentalstl.com
10 Common, Everyday Things That Lead to Damaged, Brittle Teeth Why Are My Teeth Brittle And Breaking Do you wonder why your teeth are brittle, breaking and chipped? Though tooth enamel is tough, several habits and conditions can cause the enamel structure to weaken, and the teeth become brittle. Your mouth requires balanced biting and chewing forces. Understanding the causes and getting to the root of the problem is key to strengthening teeth and preventing further damage.. Why Are My Teeth Brittle And Breaking.
From teethinsights.com
Why Are My Teeth Breaking Off At The Gum Line? Teeth Insights Why Are My Teeth Brittle And Breaking There are various potential reasons why teeth may become weakened and more prone to chipping, cracking or outright breaking. Habitual teeth grinding and clenching can wear away dental enamel over time, leading to brittle. There’s nothing as heartbreaking as the sudden, piercing pain that goes through your oral cavity when you bite into something only to discover your teeth, once. Why Are My Teeth Brittle And Breaking.
From mybestdentists.com
How to Manage Brittle Teeth My BEST Dentists Journal MyBestDentists Why Are My Teeth Brittle And Breaking This condition, called ‘brittle teeth’, is related to a variety of oral health issues. These habits could be wearing away your smile. Habitual teeth grinding and clenching can wear away dental enamel over time, leading to brittle. In this article, we explain the main reason why teeth weaken. These habits wear away dental enamel. Your mouth requires balanced biting and. Why Are My Teeth Brittle And Breaking.
From topglobenews.com
What Causes Brittle Teeth? How To Protect It Top Globe News Why Are My Teeth Brittle And Breaking Understanding the causes and getting to the root of the problem is key to strengthening teeth and preventing further damage. Do you wonder why your teeth are brittle, breaking and chipped? Habitual teeth grinding and clenching can wear away dental enamel over time, leading to brittle. This condition, called ‘brittle teeth’, is related to a variety of oral health issues.. Why Are My Teeth Brittle And Breaking.
From www.blogpls.com
7 FACTS YOU SHOULD KNOW ABOUT TOOTH PROBLEM Why Are My Teeth Brittle And Breaking Grinding teeth could be the cause of your brittle teeth. Do you wonder why your teeth are brittle, breaking and chipped? Your mouth requires balanced biting and chewing forces. Understanding the causes and getting to the root of the problem is key to strengthening teeth and preventing further damage. These habits wear away dental enamel. So, if your teeth are. Why Are My Teeth Brittle And Breaking.
From goldensquaredental.com.au
Cracked Teeth Treatment Bendigo For A Healthier Smile Why Are My Teeth Brittle And Breaking These habits wear away dental enamel. Though tooth enamel is tough, several habits and conditions can cause the enamel structure to weaken, and the teeth become brittle. We also share the long term solutions our dentists can offer you to return your mouth to a happy, healthy state. There’s nothing as heartbreaking as the sudden, piercing pain that goes through. Why Are My Teeth Brittle And Breaking.
From klabypixe.blob.core.windows.net
Paste To Fix Teeth at Elias McLean blog Why Are My Teeth Brittle And Breaking Understanding the causes and getting to the root of the problem is key to strengthening teeth and preventing further damage. In this article, we explain the main reason why teeth weaken. Grinding teeth could be the cause of your brittle teeth. This condition, called ‘brittle teeth’, is related to a variety of oral health issues. These habits could be wearing. Why Are My Teeth Brittle And Breaking.
From mypenndentist.org
Broken Tooth Penn Dental Family Practice Why Are My Teeth Brittle And Breaking So, if your teeth are prone to breaking, it might be due to one of the following causes. Do you wonder why your teeth are brittle, breaking and chipped? Understanding the causes and getting to the root of the problem is key to strengthening teeth and preventing further damage. Though tooth enamel is tough, several habits and conditions can cause. Why Are My Teeth Brittle And Breaking.
From www.greatoaksdentists.com
Unraveling The Mystery Of Brittle Teeth Causes And Solutions Great Why Are My Teeth Brittle And Breaking There’s nothing as heartbreaking as the sudden, piercing pain that goes through your oral cavity when you bite into something only to discover your teeth, once reliable and strong, have become brittle and weak. Your mouth requires balanced biting and chewing forces. Habitual teeth grinding and clenching can wear away dental enamel over time, leading to brittle. These habits wear. Why Are My Teeth Brittle And Breaking.
From www.amitisdentalstudio.com.au
Broken Teeth Treatment Cost in Brisbane Causes & Preventation Why Are My Teeth Brittle And Breaking We also share the long term solutions our dentists can offer you to return your mouth to a happy, healthy state. So, if your teeth are prone to breaking, it might be due to one of the following causes. In this article, we explain the main reason why teeth weaken. There’s nothing as heartbreaking as the sudden, piercing pain that. Why Are My Teeth Brittle And Breaking.
From patuxentorthodontics.com
Why are My Teeth Breaking All of a Sudden? Why Are My Teeth Brittle And Breaking Do you wonder why your teeth are brittle, breaking and chipped? These habits wear away dental enamel. These habits could be wearing away your smile. Your mouth requires balanced biting and chewing forces. Habitual teeth grinding and clenching can wear away dental enamel over time, leading to brittle. Understanding the causes and getting to the root of the problem is. Why Are My Teeth Brittle And Breaking.
From www.williamsburgdentalllc.com
Cracked Tooth Causes and Treatment in Williamsburg Williamsburg Dental Why Are My Teeth Brittle And Breaking Habitual teeth grinding and clenching can wear away dental enamel over time, leading to brittle. Do you wonder why your teeth are brittle, breaking and chipped? There are various potential reasons why teeth may become weakened and more prone to chipping, cracking or outright breaking. These habits wear away dental enamel. So, if your teeth are prone to breaking, it. Why Are My Teeth Brittle And Breaking.
From www.gotoapro.org
Broken Tooth/Teeth American College of Prosthodontists Why Are My Teeth Brittle And Breaking There’s nothing as heartbreaking as the sudden, piercing pain that goes through your oral cavity when you bite into something only to discover your teeth, once reliable and strong, have become brittle and weak. Do you wonder why your teeth are brittle, breaking and chipped? This condition, called ‘brittle teeth’, is related to a variety of oral health issues. These. Why Are My Teeth Brittle And Breaking.
From www.cdhp.org
Why Are My Teeth Rotting And Breaking Off? (Causes & Treatments) Why Are My Teeth Brittle And Breaking So, if your teeth are prone to breaking, it might be due to one of the following causes. Habitual teeth grinding and clenching can wear away dental enamel over time, leading to brittle. There’s nothing as heartbreaking as the sudden, piercing pain that goes through your oral cavity when you bite into something only to discover your teeth, once reliable. Why Are My Teeth Brittle And Breaking.
From zdentistrydfw.com
Why Do I Have Chipped Teeth? Z Dentistry Why Are My Teeth Brittle And Breaking Habitual teeth grinding and clenching can wear away dental enamel over time, leading to brittle. There’s nothing as heartbreaking as the sudden, piercing pain that goes through your oral cavity when you bite into something only to discover your teeth, once reliable and strong, have become brittle and weak. This condition, called ‘brittle teeth’, is related to a variety of. Why Are My Teeth Brittle And Breaking.
From www.coastalperio.net
Loose Teeth & Bite Problems Coastal Periodontics & Implant Dentistry Why Are My Teeth Brittle And Breaking Your mouth requires balanced biting and chewing forces. Though tooth enamel is tough, several habits and conditions can cause the enamel structure to weaken, and the teeth become brittle. These habits wear away dental enamel. There are various potential reasons why teeth may become weakened and more prone to chipping, cracking or outright breaking. Grinding teeth could be the cause. Why Are My Teeth Brittle And Breaking.
From tamiamidentalcenter.com
How Can I Manage My Brittle Teeth? Tamiami Dental Center Why Are My Teeth Brittle And Breaking Do you wonder why your teeth are brittle, breaking and chipped? Habitual teeth grinding and clenching can wear away dental enamel over time, leading to brittle. These habits wear away dental enamel. Grinding teeth could be the cause of your brittle teeth. Your mouth requires balanced biting and chewing forces. There are various potential reasons why teeth may become weakened. Why Are My Teeth Brittle And Breaking.
From www.dentistrywithaheart.com
11 Reasons Your Teeth Keep Breaking Why Are My Teeth Brittle And Breaking This condition, called ‘brittle teeth’, is related to a variety of oral health issues. So, if your teeth are prone to breaking, it might be due to one of the following causes. Do you wonder why your teeth are brittle, breaking and chipped? We also share the long term solutions our dentists can offer you to return your mouth to. Why Are My Teeth Brittle And Breaking.
From www.riendental.com.au
Fix a broken tooth. Why Are My Teeth Brittle And Breaking This condition, called ‘brittle teeth’, is related to a variety of oral health issues. Habitual teeth grinding and clenching can wear away dental enamel over time, leading to brittle. Understanding the causes and getting to the root of the problem is key to strengthening teeth and preventing further damage. These habits could be wearing away your smile. These habits wear. Why Are My Teeth Brittle And Breaking.
From pediatricdentistrichmond.com
Enamel What??? Enamel Hypoplasia Q & A Atkins, Maestrello, Miller Why Are My Teeth Brittle And Breaking These habits wear away dental enamel. There are various potential reasons why teeth may become weakened and more prone to chipping, cracking or outright breaking. Understanding the causes and getting to the root of the problem is key to strengthening teeth and preventing further damage. Though tooth enamel is tough, several habits and conditions can cause the enamel structure to. Why Are My Teeth Brittle And Breaking.
From www.smileworksdental.co.uk
Cracked Teeth Causes and Treatments Smile Works Dental Why Are My Teeth Brittle And Breaking Habitual teeth grinding and clenching can wear away dental enamel over time, leading to brittle. We also share the long term solutions our dentists can offer you to return your mouth to a happy, healthy state. Though tooth enamel is tough, several habits and conditions can cause the enamel structure to weaken, and the teeth become brittle. These habits wear. Why Are My Teeth Brittle And Breaking.
From www.springvaledental.com.au
What To Do When Front Tooth Cracked Springvale Dental Clinic Why Are My Teeth Brittle And Breaking Grinding teeth could be the cause of your brittle teeth. Understanding the causes and getting to the root of the problem is key to strengthening teeth and preventing further damage. In this article, we explain the main reason why teeth weaken. There’s nothing as heartbreaking as the sudden, piercing pain that goes through your oral cavity when you bite into. Why Are My Teeth Brittle And Breaking.
From www.mcfarlanedental.com
Fractured Tooth Before and After McFarlane Dental Why Are My Teeth Brittle And Breaking So, if your teeth are prone to breaking, it might be due to one of the following causes. Habitual teeth grinding and clenching can wear away dental enamel over time, leading to brittle. This condition, called ‘brittle teeth’, is related to a variety of oral health issues. In this article, we explain the main reason why teeth weaken. Though tooth. Why Are My Teeth Brittle And Breaking.
From www.westgreenfamilydental.com
What causes brittle teeth? Why Are My Teeth Brittle And Breaking Your mouth requires balanced biting and chewing forces. These habits wear away dental enamel. Understanding the causes and getting to the root of the problem is key to strengthening teeth and preventing further damage. In this article, we explain the main reason why teeth weaken. Do you wonder why your teeth are brittle, breaking and chipped? Habitual teeth grinding and. Why Are My Teeth Brittle And Breaking.
From soundviewfamilydental.blogspot.com
Soundview Family Dental Why Are My Teeth Breaking? Why Are My Teeth Brittle And Breaking Understanding the causes and getting to the root of the problem is key to strengthening teeth and preventing further damage. There’s nothing as heartbreaking as the sudden, piercing pain that goes through your oral cavity when you bite into something only to discover your teeth, once reliable and strong, have become brittle and weak. We also share the long term. Why Are My Teeth Brittle And Breaking.