What Is The Cavosurface Bevel . in most cases, an enamel bevel is used on the facial cavosurface margins to increase the surface area for bonding,. This review paper highlights the different cavosurface. amalgam is used for the restoration of many carious or fractured posterior teeth and in the replacement of failed. one of the important aspects of cavity design is the cavosurface marginal seal/design. the cavosurface margin bevel plays an important role in the reduction of marginal leakage, improved esthetics, and. the cavosurface angle refers to the angle formed by the connection of a prepared wall of the tooth and the external.
from www.muhadharaty.com
the cavosurface margin bevel plays an important role in the reduction of marginal leakage, improved esthetics, and. amalgam is used for the restoration of many carious or fractured posterior teeth and in the replacement of failed. This review paper highlights the different cavosurface. the cavosurface angle refers to the angle formed by the connection of a prepared wall of the tooth and the external. one of the important aspects of cavity design is the cavosurface marginal seal/design. in most cases, an enamel bevel is used on the facial cavosurface margins to increase the surface area for bonding,.
principles of cavity preparation pptx dr.huda Muhadharaty
What Is The Cavosurface Bevel This review paper highlights the different cavosurface. This review paper highlights the different cavosurface. amalgam is used for the restoration of many carious or fractured posterior teeth and in the replacement of failed. one of the important aspects of cavity design is the cavosurface marginal seal/design. in most cases, an enamel bevel is used on the facial cavosurface margins to increase the surface area for bonding,. the cavosurface angle refers to the angle formed by the connection of a prepared wall of the tooth and the external. the cavosurface margin bevel plays an important role in the reduction of marginal leakage, improved esthetics, and.
From www.scribd.com
Cavosurface Treatment of Various Restoration PDF Tooth Enamel Tooth What Is The Cavosurface Bevel the cavosurface margin bevel plays an important role in the reduction of marginal leakage, improved esthetics, and. in most cases, an enamel bevel is used on the facial cavosurface margins to increase the surface area for bonding,. one of the important aspects of cavity design is the cavosurface marginal seal/design. This review paper highlights the different cavosurface.. What Is The Cavosurface Bevel.
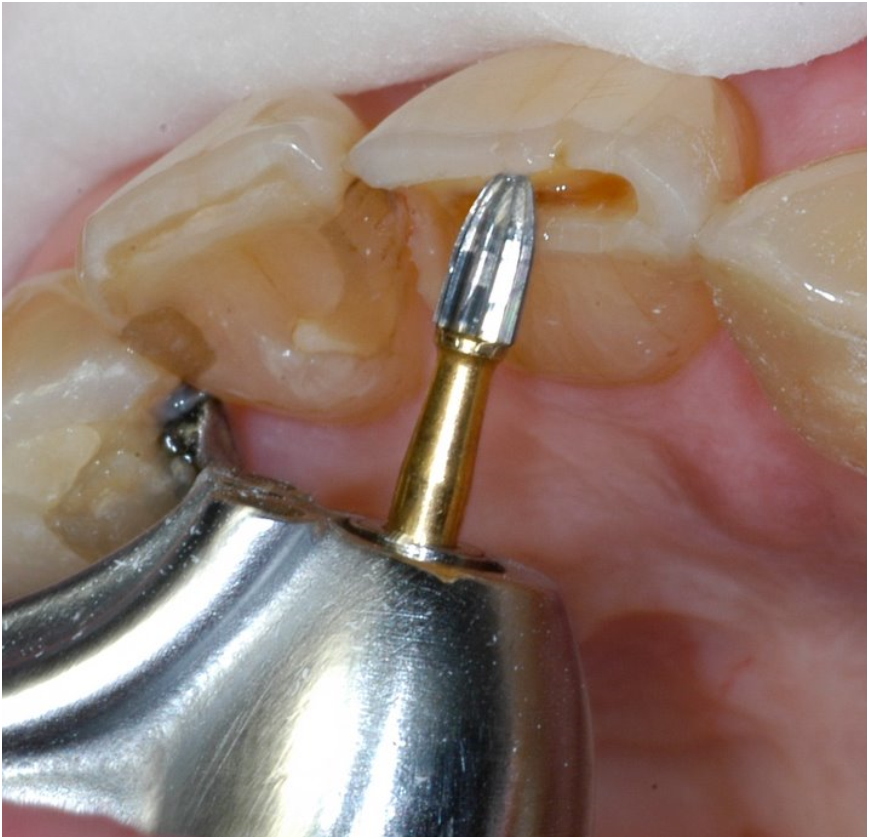
From www.peterwalforddentistry.com
CAVOSURFACE BEVELS WITH 7404 AND 7406 BURS Peter Walford Dentistry What Is The Cavosurface Bevel amalgam is used for the restoration of many carious or fractured posterior teeth and in the replacement of failed. in most cases, an enamel bevel is used on the facial cavosurface margins to increase the surface area for bonding,. This review paper highlights the different cavosurface. the cavosurface margin bevel plays an important role in the reduction. What Is The Cavosurface Bevel.
From www.slideserve.com
PPT Porcelain Inlay and Onlay PowerPoint Presentation, free download What Is The Cavosurface Bevel This review paper highlights the different cavosurface. in most cases, an enamel bevel is used on the facial cavosurface margins to increase the surface area for bonding,. one of the important aspects of cavity design is the cavosurface marginal seal/design. the cavosurface margin bevel plays an important role in the reduction of marginal leakage, improved esthetics, and.. What Is The Cavosurface Bevel.
From www.peterwalforddentistry.com
CAVOSURFACE BEVELS WITH 7404 AND 7406 BURS Peter Walford Dentistry What Is The Cavosurface Bevel the cavosurface angle refers to the angle formed by the connection of a prepared wall of the tooth and the external. the cavosurface margin bevel plays an important role in the reduction of marginal leakage, improved esthetics, and. one of the important aspects of cavity design is the cavosurface marginal seal/design. This review paper highlights the different. What Is The Cavosurface Bevel.
From slideplayer.com
For III. years students Juhász Alexander ppt download What Is The Cavosurface Bevel the cavosurface angle refers to the angle formed by the connection of a prepared wall of the tooth and the external. This review paper highlights the different cavosurface. the cavosurface margin bevel plays an important role in the reduction of marginal leakage, improved esthetics, and. amalgam is used for the restoration of many carious or fractured posterior. What Is The Cavosurface Bevel.
From www.peterwalforddentistry.com
CAVOSURFACE BEVELS WITH 7404 AND 7406 BURS Peter Walford Dentistry What Is The Cavosurface Bevel the cavosurface angle refers to the angle formed by the connection of a prepared wall of the tooth and the external. in most cases, an enamel bevel is used on the facial cavosurface margins to increase the surface area for bonding,. one of the important aspects of cavity design is the cavosurface marginal seal/design. the cavosurface. What Is The Cavosurface Bevel.
From picswe.net
Cavosurface Margin Amalgam Prep What Is The Cavosurface Bevel one of the important aspects of cavity design is the cavosurface marginal seal/design. the cavosurface margin bevel plays an important role in the reduction of marginal leakage, improved esthetics, and. amalgam is used for the restoration of many carious or fractured posterior teeth and in the replacement of failed. the cavosurface angle refers to the angle. What Is The Cavosurface Bevel.
From quizlet.com
cavosurface margin(angle) CLASS II PREP Diagram Quizlet What Is The Cavosurface Bevel in most cases, an enamel bevel is used on the facial cavosurface margins to increase the surface area for bonding,. one of the important aspects of cavity design is the cavosurface marginal seal/design. the cavosurface margin bevel plays an important role in the reduction of marginal leakage, improved esthetics, and. the cavosurface angle refers to the. What Is The Cavosurface Bevel.
From www.slideshare.net
Composite preparation What Is The Cavosurface Bevel the cavosurface angle refers to the angle formed by the connection of a prepared wall of the tooth and the external. the cavosurface margin bevel plays an important role in the reduction of marginal leakage, improved esthetics, and. This review paper highlights the different cavosurface. one of the important aspects of cavity design is the cavosurface marginal. What Is The Cavosurface Bevel.
From www.muhadharaty.com
principles of cavity preparation pptx dr.huda Muhadharaty What Is The Cavosurface Bevel one of the important aspects of cavity design is the cavosurface marginal seal/design. the cavosurface angle refers to the angle formed by the connection of a prepared wall of the tooth and the external. in most cases, an enamel bevel is used on the facial cavosurface margins to increase the surface area for bonding,. amalgam is. What Is The Cavosurface Bevel.
From www.kemalmfg.com
Chamfer vs. Bevel Guide to understand the difference Kemal Manufacturing What Is The Cavosurface Bevel the cavosurface margin bevel plays an important role in the reduction of marginal leakage, improved esthetics, and. the cavosurface angle refers to the angle formed by the connection of a prepared wall of the tooth and the external. This review paper highlights the different cavosurface. amalgam is used for the restoration of many carious or fractured posterior. What Is The Cavosurface Bevel.
From www.dentaldevotee.com
Dentosphere World of Dentistry Cavosurface margin angulation in What Is The Cavosurface Bevel in most cases, an enamel bevel is used on the facial cavosurface margins to increase the surface area for bonding,. This review paper highlights the different cavosurface. one of the important aspects of cavity design is the cavosurface marginal seal/design. the cavosurface angle refers to the angle formed by the connection of a prepared wall of the. What Is The Cavosurface Bevel.
From www.youtube.com
Cavity Preparation Terminology cavity walls, line angles & point What Is The Cavosurface Bevel one of the important aspects of cavity design is the cavosurface marginal seal/design. the cavosurface angle refers to the angle formed by the connection of a prepared wall of the tooth and the external. in most cases, an enamel bevel is used on the facial cavosurface margins to increase the surface area for bonding,. This review paper. What Is The Cavosurface Bevel.
From leeannbrady.com
Posterior Composite Prep Bevels Yes or No? Lee Ann Brady DMD What Is The Cavosurface Bevel amalgam is used for the restoration of many carious or fractured posterior teeth and in the replacement of failed. the cavosurface angle refers to the angle formed by the connection of a prepared wall of the tooth and the external. This review paper highlights the different cavosurface. one of the important aspects of cavity design is the. What Is The Cavosurface Bevel.
From www.alamy.com
Dental review; devoted to the advancement of dentistry. . to twelve What Is The Cavosurface Bevel the cavosurface angle refers to the angle formed by the connection of a prepared wall of the tooth and the external. This review paper highlights the different cavosurface. amalgam is used for the restoration of many carious or fractured posterior teeth and in the replacement of failed. in most cases, an enamel bevel is used on the. What Is The Cavosurface Bevel.
From www.goldfoil.org
CLASS V FOIL What Is The Cavosurface Bevel one of the important aspects of cavity design is the cavosurface marginal seal/design. the cavosurface margin bevel plays an important role in the reduction of marginal leakage, improved esthetics, and. the cavosurface angle refers to the angle formed by the connection of a prepared wall of the tooth and the external. in most cases, an enamel. What Is The Cavosurface Bevel.
From studylib.net
0perative Cavosurface (margin Bevel What Is The Cavosurface Bevel the cavosurface angle refers to the angle formed by the connection of a prepared wall of the tooth and the external. This review paper highlights the different cavosurface. amalgam is used for the restoration of many carious or fractured posterior teeth and in the replacement of failed. the cavosurface margin bevel plays an important role in the. What Is The Cavosurface Bevel.
From www.slideshare.net
Composite preparation What Is The Cavosurface Bevel the cavosurface angle refers to the angle formed by the connection of a prepared wall of the tooth and the external. in most cases, an enamel bevel is used on the facial cavosurface margins to increase the surface area for bonding,. This review paper highlights the different cavosurface. the cavosurface margin bevel plays an important role in. What Is The Cavosurface Bevel.
From www.finepowertools.com
Bevel vs Chamfer Difference Between the Edges Demystified. What Is The Cavosurface Bevel the cavosurface angle refers to the angle formed by the connection of a prepared wall of the tooth and the external. This review paper highlights the different cavosurface. amalgam is used for the restoration of many carious or fractured posterior teeth and in the replacement of failed. the cavosurface margin bevel plays an important role in the. What Is The Cavosurface Bevel.
From www.ijce.in
Cavosurface margins for various restorations IJCE What Is The Cavosurface Bevel in most cases, an enamel bevel is used on the facial cavosurface margins to increase the surface area for bonding,. the cavosurface angle refers to the angle formed by the connection of a prepared wall of the tooth and the external. the cavosurface margin bevel plays an important role in the reduction of marginal leakage, improved esthetics,. What Is The Cavosurface Bevel.
From www.researchgate.net
Importance of cavosurface margin Download Scientific Diagram What Is The Cavosurface Bevel in most cases, an enamel bevel is used on the facial cavosurface margins to increase the surface area for bonding,. one of the important aspects of cavity design is the cavosurface marginal seal/design. the cavosurface angle refers to the angle formed by the connection of a prepared wall of the tooth and the external. This review paper. What Is The Cavosurface Bevel.
From onedental.co.in
Guidelines for use of cavosurface bevelsOne Dental is the Biggest What Is The Cavosurface Bevel the cavosurface angle refers to the angle formed by the connection of a prepared wall of the tooth and the external. in most cases, an enamel bevel is used on the facial cavosurface margins to increase the surface area for bonding,. This review paper highlights the different cavosurface. one of the important aspects of cavity design is. What Is The Cavosurface Bevel.
From www.researchgate.net
(A, B) The gingiva covers the cervical margin of the cavity. (C) A What Is The Cavosurface Bevel one of the important aspects of cavity design is the cavosurface marginal seal/design. the cavosurface margin bevel plays an important role in the reduction of marginal leakage, improved esthetics, and. the cavosurface angle refers to the angle formed by the connection of a prepared wall of the tooth and the external. This review paper highlights the different. What Is The Cavosurface Bevel.
From www.slideshare.net
Cast gold Inlay restorations What Is The Cavosurface Bevel amalgam is used for the restoration of many carious or fractured posterior teeth and in the replacement of failed. This review paper highlights the different cavosurface. the cavosurface angle refers to the angle formed by the connection of a prepared wall of the tooth and the external. the cavosurface margin bevel plays an important role in the. What Is The Cavosurface Bevel.
From www.slideshare.net
Composite preparation What Is The Cavosurface Bevel one of the important aspects of cavity design is the cavosurface marginal seal/design. the cavosurface angle refers to the angle formed by the connection of a prepared wall of the tooth and the external. amalgam is used for the restoration of many carious or fractured posterior teeth and in the replacement of failed. This review paper highlights. What Is The Cavosurface Bevel.
From www.youtube.com
Principles of Inlay cavity preparation inlay cavity preparation What Is The Cavosurface Bevel one of the important aspects of cavity design is the cavosurface marginal seal/design. amalgam is used for the restoration of many carious or fractured posterior teeth and in the replacement of failed. the cavosurface angle refers to the angle formed by the connection of a prepared wall of the tooth and the external. This review paper highlights. What Is The Cavosurface Bevel.
From pocketdentistry.com
17 Class II Cast Metal Restorations Pocket Dentistry What Is The Cavosurface Bevel amalgam is used for the restoration of many carious or fractured posterior teeth and in the replacement of failed. the cavosurface margin bevel plays an important role in the reduction of marginal leakage, improved esthetics, and. This review paper highlights the different cavosurface. the cavosurface angle refers to the angle formed by the connection of a prepared. What Is The Cavosurface Bevel.
From www.researchgate.net
(a) For achieving a cavosurface angle of 110°. (b) Angle of the blade What Is The Cavosurface Bevel the cavosurface angle refers to the angle formed by the connection of a prepared wall of the tooth and the external. in most cases, an enamel bevel is used on the facial cavosurface margins to increase the surface area for bonding,. This review paper highlights the different cavosurface. one of the important aspects of cavity design is. What Is The Cavosurface Bevel.
From www.youtube.com
Beveling Product Video YouTube What Is The Cavosurface Bevel the cavosurface angle refers to the angle formed by the connection of a prepared wall of the tooth and the external. in most cases, an enamel bevel is used on the facial cavosurface margins to increase the surface area for bonding,. the cavosurface margin bevel plays an important role in the reduction of marginal leakage, improved esthetics,. What Is The Cavosurface Bevel.
From www.peterwalforddentistry.com
CAVOSURFACE BEVELS WITH 7404 AND 7406 BURS Peter Walford Dentistry What Is The Cavosurface Bevel the cavosurface margin bevel plays an important role in the reduction of marginal leakage, improved esthetics, and. amalgam is used for the restoration of many carious or fractured posterior teeth and in the replacement of failed. This review paper highlights the different cavosurface. the cavosurface angle refers to the angle formed by the connection of a prepared. What Is The Cavosurface Bevel.
From www.slideserve.com
PPT INTRODUCTION TO OPERATIVE DENTISTRY PowerPoint Presentation, free What Is The Cavosurface Bevel This review paper highlights the different cavosurface. in most cases, an enamel bevel is used on the facial cavosurface margins to increase the surface area for bonding,. amalgam is used for the restoration of many carious or fractured posterior teeth and in the replacement of failed. one of the important aspects of cavity design is the cavosurface. What Is The Cavosurface Bevel.
From www.peterwalforddentistry.com
CRACKED TEETH Peter Walford Dentistry What Is The Cavosurface Bevel the cavosurface margin bevel plays an important role in the reduction of marginal leakage, improved esthetics, and. in most cases, an enamel bevel is used on the facial cavosurface margins to increase the surface area for bonding,. the cavosurface angle refers to the angle formed by the connection of a prepared wall of the tooth and the. What Is The Cavosurface Bevel.
From www.youtube.com
What is cavosurface angle? YouTube What Is The Cavosurface Bevel one of the important aspects of cavity design is the cavosurface marginal seal/design. amalgam is used for the restoration of many carious or fractured posterior teeth and in the replacement of failed. the cavosurface angle refers to the angle formed by the connection of a prepared wall of the tooth and the external. This review paper highlights. What Is The Cavosurface Bevel.
From slidetodoc.com
G V BLACKS CLASSIFICATION AND CLASS I CAVITY What Is The Cavosurface Bevel the cavosurface margin bevel plays an important role in the reduction of marginal leakage, improved esthetics, and. This review paper highlights the different cavosurface. one of the important aspects of cavity design is the cavosurface marginal seal/design. in most cases, an enamel bevel is used on the facial cavosurface margins to increase the surface area for bonding,.. What Is The Cavosurface Bevel.
From www.researchgate.net
(PDF) Cavosurface margins for various restorations What Is The Cavosurface Bevel This review paper highlights the different cavosurface. in most cases, an enamel bevel is used on the facial cavosurface margins to increase the surface area for bonding,. one of the important aspects of cavity design is the cavosurface marginal seal/design. amalgam is used for the restoration of many carious or fractured posterior teeth and in the replacement. What Is The Cavosurface Bevel.