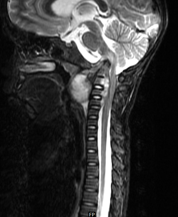
Pott's Disease Cervical 5-6 Level . Spinal tuberculosis (tb) or pott's spine is the commonest extrapulmonary manifestation of tb. It originates in a vertebral body and spreads to. It usually affects more than one vertebra. Pott’s disease can affect any bone, or vertebra, in your spine. The spine is the most frequent. It spreads through hematogenous route. Pott disease, also know as tuberculous (tb) spondylitis, is a form of spinal infection typically caused by tuberculosis; Spinal tuberculosis—also called pott's disease—is the most common type of tb affecting the bones. This article discusses spinal tuberculosis—symptoms,. Tuberculous spondylitis, also known as pott disease, refers to vertebral body osteomyelitis and intervertebral discitis from tuberculosis (tb).
from voices.shortpedia.com
Tuberculous spondylitis, also known as pott disease, refers to vertebral body osteomyelitis and intervertebral discitis from tuberculosis (tb). Spinal tuberculosis (tb) or pott's spine is the commonest extrapulmonary manifestation of tb. Pott’s disease can affect any bone, or vertebra, in your spine. It originates in a vertebral body and spreads to. It usually affects more than one vertebra. The spine is the most frequent. Spinal tuberculosis—also called pott's disease—is the most common type of tb affecting the bones. It spreads through hematogenous route. This article discusses spinal tuberculosis—symptoms,. Pott disease, also know as tuberculous (tb) spondylitis, is a form of spinal infection typically caused by tuberculosis;
Pott's Disease Causes, Signs, Diagnosis and Treatment
Pott's Disease Cervical 5-6 Level This article discusses spinal tuberculosis—symptoms,. It spreads through hematogenous route. Spinal tuberculosis (tb) or pott's spine is the commonest extrapulmonary manifestation of tb. The spine is the most frequent. Pott’s disease can affect any bone, or vertebra, in your spine. It originates in a vertebral body and spreads to. This article discusses spinal tuberculosis—symptoms,. Pott disease, also know as tuberculous (tb) spondylitis, is a form of spinal infection typically caused by tuberculosis; It usually affects more than one vertebra. Tuberculous spondylitis, also known as pott disease, refers to vertebral body osteomyelitis and intervertebral discitis from tuberculosis (tb). Spinal tuberculosis—also called pott's disease—is the most common type of tb affecting the bones.
From nccommons.org
Cervical Pott disease (Radiopaedia 2037420286 B) NC Commons Pott's Disease Cervical 5-6 Level Spinal tuberculosis—also called pott's disease—is the most common type of tb affecting the bones. It usually affects more than one vertebra. Pott disease, also know as tuberculous (tb) spondylitis, is a form of spinal infection typically caused by tuberculosis; The spine is the most frequent. It spreads through hematogenous route. Tuberculous spondylitis, also known as pott disease, refers to vertebral. Pott's Disease Cervical 5-6 Level.
From www.semanticscholar.org
Figure 4 from A Case of Cervical Pott’s Disease Presenting as Huge Pott's Disease Cervical 5-6 Level It originates in a vertebral body and spreads to. Pott’s disease can affect any bone, or vertebra, in your spine. Tuberculous spondylitis, also known as pott disease, refers to vertebral body osteomyelitis and intervertebral discitis from tuberculosis (tb). It spreads through hematogenous route. This article discusses spinal tuberculosis—symptoms,. It usually affects more than one vertebra. Spinal tuberculosis (tb) or pott's. Pott's Disease Cervical 5-6 Level.
From www.nejm.org
Tuberculosis with Atlantoaxial and Craniovertebral Pott's Disease — NEJM Pott's Disease Cervical 5-6 Level It usually affects more than one vertebra. The spine is the most frequent. Spinal tuberculosis (tb) or pott's spine is the commonest extrapulmonary manifestation of tb. It originates in a vertebral body and spreads to. Tuberculous spondylitis, also known as pott disease, refers to vertebral body osteomyelitis and intervertebral discitis from tuberculosis (tb). Pott’s disease can affect any bone, or. Pott's Disease Cervical 5-6 Level.
From www.researchgate.net
(PDF) Cervical Pott's Disease Revealed by Diabetic Ketoacidosis Pott's Disease Cervical 5-6 Level The spine is the most frequent. Tuberculous spondylitis, also known as pott disease, refers to vertebral body osteomyelitis and intervertebral discitis from tuberculosis (tb). Pott disease, also know as tuberculous (tb) spondylitis, is a form of spinal infection typically caused by tuberculosis; Spinal tuberculosis—also called pott's disease—is the most common type of tb affecting the bones. It spreads through hematogenous. Pott's Disease Cervical 5-6 Level.
From www.semanticscholar.org
Figure 3 from Pott's Disease of the Cervical Spine Presenting as a Deep Pott's Disease Cervical 5-6 Level It spreads through hematogenous route. Spinal tuberculosis (tb) or pott's spine is the commonest extrapulmonary manifestation of tb. Tuberculous spondylitis, also known as pott disease, refers to vertebral body osteomyelitis and intervertebral discitis from tuberculosis (tb). This article discusses spinal tuberculosis—symptoms,. Spinal tuberculosis—also called pott's disease—is the most common type of tb affecting the bones. The spine is the most. Pott's Disease Cervical 5-6 Level.
From journals.sagepub.com
Pott's Disease of the Cervical Spine Presenting as a Deep Neck Pott's Disease Cervical 5-6 Level Spinal tuberculosis—also called pott's disease—is the most common type of tb affecting the bones. It originates in a vertebral body and spreads to. Tuberculous spondylitis, also known as pott disease, refers to vertebral body osteomyelitis and intervertebral discitis from tuberculosis (tb). It spreads through hematogenous route. The spine is the most frequent. Pott’s disease can affect any bone, or vertebra,. Pott's Disease Cervical 5-6 Level.
From sumerdoc.blogspot.com
CV Junction Potts SpineMRI Sumer's Radiology Blog Pott's Disease Cervical 5-6 Level It spreads through hematogenous route. Spinal tuberculosis—also called pott's disease—is the most common type of tb affecting the bones. The spine is the most frequent. This article discusses spinal tuberculosis—symptoms,. Tuberculous spondylitis, also known as pott disease, refers to vertebral body osteomyelitis and intervertebral discitis from tuberculosis (tb). Spinal tuberculosis (tb) or pott's spine is the commonest extrapulmonary manifestation of. Pott's Disease Cervical 5-6 Level.
From www.researchgate.net
The patient was 45 years old, male, with left upper limb pain and Pott's Disease Cervical 5-6 Level It originates in a vertebral body and spreads to. It spreads through hematogenous route. Pott’s disease can affect any bone, or vertebra, in your spine. Spinal tuberculosis (tb) or pott's spine is the commonest extrapulmonary manifestation of tb. Tuberculous spondylitis, also known as pott disease, refers to vertebral body osteomyelitis and intervertebral discitis from tuberculosis (tb). It usually affects more. Pott's Disease Cervical 5-6 Level.
From www.researchgate.net
Sagittal T2W cervical MRI showing contiguous destruction of C7 to T2 Pott's Disease Cervical 5-6 Level Tuberculous spondylitis, also known as pott disease, refers to vertebral body osteomyelitis and intervertebral discitis from tuberculosis (tb). Pott’s disease can affect any bone, or vertebra, in your spine. Spinal tuberculosis (tb) or pott's spine is the commonest extrapulmonary manifestation of tb. It originates in a vertebral body and spreads to. This article discusses spinal tuberculosis—symptoms,. It usually affects more. Pott's Disease Cervical 5-6 Level.
From journals.sagepub.com
A case of not just Pott’s disease William Greene, Martin Prager Pott's Disease Cervical 5-6 Level It spreads through hematogenous route. Spinal tuberculosis—also called pott's disease—is the most common type of tb affecting the bones. Tuberculous spondylitis, also known as pott disease, refers to vertebral body osteomyelitis and intervertebral discitis from tuberculosis (tb). It originates in a vertebral body and spreads to. Pott disease, also know as tuberculous (tb) spondylitis, is a form of spinal infection. Pott's Disease Cervical 5-6 Level.
From radiopaedia.org
Cervical Pott disease Image Pott's Disease Cervical 5-6 Level It usually affects more than one vertebra. Tuberculous spondylitis, also known as pott disease, refers to vertebral body osteomyelitis and intervertebral discitis from tuberculosis (tb). It spreads through hematogenous route. Spinal tuberculosis (tb) or pott's spine is the commonest extrapulmonary manifestation of tb. Pott disease, also know as tuberculous (tb) spondylitis, is a form of spinal infection typically caused by. Pott's Disease Cervical 5-6 Level.
From www.studypool.com
SOLUTION Potts disease ppt Studypool Pott's Disease Cervical 5-6 Level Tuberculous spondylitis, also known as pott disease, refers to vertebral body osteomyelitis and intervertebral discitis from tuberculosis (tb). Pott’s disease can affect any bone, or vertebra, in your spine. It spreads through hematogenous route. This article discusses spinal tuberculosis—symptoms,. Pott disease, also know as tuberculous (tb) spondylitis, is a form of spinal infection typically caused by tuberculosis; Spinal tuberculosis—also called. Pott's Disease Cervical 5-6 Level.
From journal.medizzy.com
Pott Disease in Pregnancy A Rare Case MEDizzy Journal Pott's Disease Cervical 5-6 Level The spine is the most frequent. Pott’s disease can affect any bone, or vertebra, in your spine. Spinal tuberculosis (tb) or pott's spine is the commonest extrapulmonary manifestation of tb. It spreads through hematogenous route. Spinal tuberculosis—also called pott's disease—is the most common type of tb affecting the bones. This article discusses spinal tuberculosis—symptoms,. Pott disease, also know as tuberculous. Pott's Disease Cervical 5-6 Level.
From sumerdoc.blogspot.com
CV Junction Potts SpineMRI Sumer's Radiology Blog Pott's Disease Cervical 5-6 Level The spine is the most frequent. Pott disease, also know as tuberculous (tb) spondylitis, is a form of spinal infection typically caused by tuberculosis; Pott’s disease can affect any bone, or vertebra, in your spine. Spinal tuberculosis—also called pott's disease—is the most common type of tb affecting the bones. This article discusses spinal tuberculosis—symptoms,. It spreads through hematogenous route. Spinal. Pott's Disease Cervical 5-6 Level.
From www.scielo.br
SciELO Brasil THE PROFILE OF POTT’S DISEASE IN A SOUTH AMERICAN Pott's Disease Cervical 5-6 Level Pott disease, also know as tuberculous (tb) spondylitis, is a form of spinal infection typically caused by tuberculosis; It usually affects more than one vertebra. Spinal tuberculosis (tb) or pott's spine is the commonest extrapulmonary manifestation of tb. Pott’s disease can affect any bone, or vertebra, in your spine. The spine is the most frequent. Tuberculous spondylitis, also known as. Pott's Disease Cervical 5-6 Level.
From www.cureus.com
Cervical Pott’s Disease Presenting As Quadriplegia in a Young Patient Pott's Disease Cervical 5-6 Level Spinal tuberculosis—also called pott's disease—is the most common type of tb affecting the bones. It usually affects more than one vertebra. Pott’s disease can affect any bone, or vertebra, in your spine. The spine is the most frequent. Spinal tuberculosis (tb) or pott's spine is the commonest extrapulmonary manifestation of tb. Tuberculous spondylitis, also known as pott disease, refers to. Pott's Disease Cervical 5-6 Level.
From thejns.org
Medical management of Pott disease in the thoracic and lumbar spine a Pott's Disease Cervical 5-6 Level It usually affects more than one vertebra. It originates in a vertebral body and spreads to. Tuberculous spondylitis, also known as pott disease, refers to vertebral body osteomyelitis and intervertebral discitis from tuberculosis (tb). Pott disease, also know as tuberculous (tb) spondylitis, is a form of spinal infection typically caused by tuberculosis; It spreads through hematogenous route. The spine is. Pott's Disease Cervical 5-6 Level.
From www.semanticscholar.org
Figure 1 from Cervical Pott's disease revealed by retropharyngeal Pott's Disease Cervical 5-6 Level Pott’s disease can affect any bone, or vertebra, in your spine. This article discusses spinal tuberculosis—symptoms,. The spine is the most frequent. It originates in a vertebral body and spreads to. Pott disease, also know as tuberculous (tb) spondylitis, is a form of spinal infection typically caused by tuberculosis; Spinal tuberculosis (tb) or pott's spine is the commonest extrapulmonary manifestation. Pott's Disease Cervical 5-6 Level.
From www.slideshare.net
Pott's disease ppt Pott's Disease Cervical 5-6 Level Spinal tuberculosis—also called pott's disease—is the most common type of tb affecting the bones. Spinal tuberculosis (tb) or pott's spine is the commonest extrapulmonary manifestation of tb. It usually affects more than one vertebra. The spine is the most frequent. Pott disease, also know as tuberculous (tb) spondylitis, is a form of spinal infection typically caused by tuberculosis; Pott’s disease. Pott's Disease Cervical 5-6 Level.
From nccommons.org
Cervical Pott disease (Radiopaedia 2037420286 Axial bone window) NC Pott's Disease Cervical 5-6 Level It spreads through hematogenous route. Tuberculous spondylitis, also known as pott disease, refers to vertebral body osteomyelitis and intervertebral discitis from tuberculosis (tb). Spinal tuberculosis—also called pott's disease—is the most common type of tb affecting the bones. Spinal tuberculosis (tb) or pott's spine is the commonest extrapulmonary manifestation of tb. This article discusses spinal tuberculosis—symptoms,. It originates in a vertebral. Pott's Disease Cervical 5-6 Level.
From www.scielo.br
SciELO Brasil The Relative Lymphocyte Count is Lower when the Pott's Disease Cervical 5-6 Level It usually affects more than one vertebra. Pott disease, also know as tuberculous (tb) spondylitis, is a form of spinal infection typically caused by tuberculosis; Tuberculous spondylitis, also known as pott disease, refers to vertebral body osteomyelitis and intervertebral discitis from tuberculosis (tb). This article discusses spinal tuberculosis—symptoms,. Spinal tuberculosis (tb) or pott's spine is the commonest extrapulmonary manifestation of. Pott's Disease Cervical 5-6 Level.
From nccommons.org
Cervical Pott disease (Radiopaedia 2037420286 Axial bone window) NC Pott's Disease Cervical 5-6 Level It usually affects more than one vertebra. Spinal tuberculosis (tb) or pott's spine is the commonest extrapulmonary manifestation of tb. Spinal tuberculosis—also called pott's disease—is the most common type of tb affecting the bones. Pott disease, also know as tuberculous (tb) spondylitis, is a form of spinal infection typically caused by tuberculosis; This article discusses spinal tuberculosis—symptoms,. It originates in. Pott's Disease Cervical 5-6 Level.
From nccommons.org
Cervical Pott disease (Radiopaedia 2037420286 Axial bone window) NC Pott's Disease Cervical 5-6 Level It spreads through hematogenous route. This article discusses spinal tuberculosis—symptoms,. Tuberculous spondylitis, also known as pott disease, refers to vertebral body osteomyelitis and intervertebral discitis from tuberculosis (tb). Spinal tuberculosis (tb) or pott's spine is the commonest extrapulmonary manifestation of tb. Pott disease, also know as tuberculous (tb) spondylitis, is a form of spinal infection typically caused by tuberculosis; It. Pott's Disease Cervical 5-6 Level.
From www.semanticscholar.org
Figure 2 from Pott's Disease of the Cervical Spine Presenting as a Deep Pott's Disease Cervical 5-6 Level Spinal tuberculosis (tb) or pott's spine is the commonest extrapulmonary manifestation of tb. Pott disease, also know as tuberculous (tb) spondylitis, is a form of spinal infection typically caused by tuberculosis; The spine is the most frequent. This article discusses spinal tuberculosis—symptoms,. It usually affects more than one vertebra. Spinal tuberculosis—also called pott's disease—is the most common type of tb. Pott's Disease Cervical 5-6 Level.
From anatomicaljustice.com
C56 Anterior Cervical Discectomy and Fusion with PEEK Implant Pott's Disease Cervical 5-6 Level It spreads through hematogenous route. Pott disease, also know as tuberculous (tb) spondylitis, is a form of spinal infection typically caused by tuberculosis; Tuberculous spondylitis, also known as pott disease, refers to vertebral body osteomyelitis and intervertebral discitis from tuberculosis (tb). It usually affects more than one vertebra. The spine is the most frequent. This article discusses spinal tuberculosis—symptoms,. Pott’s. Pott's Disease Cervical 5-6 Level.
From voices.shortpedia.com
Pott's Disease Causes, Signs, Diagnosis and Treatment Pott's Disease Cervical 5-6 Level It originates in a vertebral body and spreads to. Tuberculous spondylitis, also known as pott disease, refers to vertebral body osteomyelitis and intervertebral discitis from tuberculosis (tb). Spinal tuberculosis (tb) or pott's spine is the commonest extrapulmonary manifestation of tb. This article discusses spinal tuberculosis—symptoms,. It usually affects more than one vertebra. Pott’s disease can affect any bone, or vertebra,. Pott's Disease Cervical 5-6 Level.
From www.vrogue.co
Anterior Cervical Discectomy Fusion At C5 6 Medical A vrogue.co Pott's Disease Cervical 5-6 Level This article discusses spinal tuberculosis—symptoms,. Spinal tuberculosis—also called pott's disease—is the most common type of tb affecting the bones. Spinal tuberculosis (tb) or pott's spine is the commonest extrapulmonary manifestation of tb. Tuberculous spondylitis, also known as pott disease, refers to vertebral body osteomyelitis and intervertebral discitis from tuberculosis (tb). It spreads through hematogenous route. It usually affects more than. Pott's Disease Cervical 5-6 Level.
From anatomicaljustice.com
Female Left Cervical Discogram with Concordant Pain at C56 Pott's Disease Cervical 5-6 Level Tuberculous spondylitis, also known as pott disease, refers to vertebral body osteomyelitis and intervertebral discitis from tuberculosis (tb). The spine is the most frequent. It usually affects more than one vertebra. It originates in a vertebral body and spreads to. Spinal tuberculosis—also called pott's disease—is the most common type of tb affecting the bones. It spreads through hematogenous route. Pott’s. Pott's Disease Cervical 5-6 Level.
From www.pinterest.com
Cervical Pott disease presenting as retropharyngeal abscess Radiology Pott's Disease Cervical 5-6 Level Spinal tuberculosis—also called pott's disease—is the most common type of tb affecting the bones. The spine is the most frequent. Tuberculous spondylitis, also known as pott disease, refers to vertebral body osteomyelitis and intervertebral discitis from tuberculosis (tb). Spinal tuberculosis (tb) or pott's spine is the commonest extrapulmonary manifestation of tb. It originates in a vertebral body and spreads to.. Pott's Disease Cervical 5-6 Level.
From www.semanticscholar.org
Figure 1 from Transoral Approach to Pott ' s Disease of Cervical Spine Pott's Disease Cervical 5-6 Level Pott’s disease can affect any bone, or vertebra, in your spine. Spinal tuberculosis (tb) or pott's spine is the commonest extrapulmonary manifestation of tb. It originates in a vertebral body and spreads to. This article discusses spinal tuberculosis—symptoms,. It usually affects more than one vertebra. The spine is the most frequent. It spreads through hematogenous route. Spinal tuberculosis—also called pott's. Pott's Disease Cervical 5-6 Level.
From www.neuroradiologycases.com
Dr Balaji Anvekar FRCR Cervical Pott’s and retropharyngeal abscess Pott's Disease Cervical 5-6 Level The spine is the most frequent. Pott disease, also know as tuberculous (tb) spondylitis, is a form of spinal infection typically caused by tuberculosis; This article discusses spinal tuberculosis—symptoms,. It usually affects more than one vertebra. It originates in a vertebral body and spreads to. It spreads through hematogenous route. Pott’s disease can affect any bone, or vertebra, in your. Pott's Disease Cervical 5-6 Level.
From www.vrogue.co
Anterior Cervical Discectomy Fusion At C3 4 C4 5 C5 6 vrogue.co Pott's Disease Cervical 5-6 Level Tuberculous spondylitis, also known as pott disease, refers to vertebral body osteomyelitis and intervertebral discitis from tuberculosis (tb). Pott disease, also know as tuberculous (tb) spondylitis, is a form of spinal infection typically caused by tuberculosis; It originates in a vertebral body and spreads to. The spine is the most frequent. It usually affects more than one vertebra. This article. Pott's Disease Cervical 5-6 Level.
From www.ajtmh.org
A Rare Cause of Retropharyngeal Abscess Cervical Pott's Disease in Pott's Disease Cervical 5-6 Level It originates in a vertebral body and spreads to. It spreads through hematogenous route. Spinal tuberculosis—also called pott's disease—is the most common type of tb affecting the bones. Spinal tuberculosis (tb) or pott's spine is the commonest extrapulmonary manifestation of tb. The spine is the most frequent. It usually affects more than one vertebra. Pott disease, also know as tuberculous. Pott's Disease Cervical 5-6 Level.
From www.alamy.com
Pott's disease. Coloured resonance imaging (MRI) scans of Pott's Disease Cervical 5-6 Level Pott’s disease can affect any bone, or vertebra, in your spine. It spreads through hematogenous route. Pott disease, also know as tuberculous (tb) spondylitis, is a form of spinal infection typically caused by tuberculosis; Tuberculous spondylitis, also known as pott disease, refers to vertebral body osteomyelitis and intervertebral discitis from tuberculosis (tb). It usually affects more than one vertebra. The. Pott's Disease Cervical 5-6 Level.
From www.frontiersin.org
Frontiers Unilateral biportal endoscopic foraminotomy and diskectomy Pott's Disease Cervical 5-6 Level Tuberculous spondylitis, also known as pott disease, refers to vertebral body osteomyelitis and intervertebral discitis from tuberculosis (tb). It usually affects more than one vertebra. It spreads through hematogenous route. The spine is the most frequent. Spinal tuberculosis (tb) or pott's spine is the commonest extrapulmonary manifestation of tb. This article discusses spinal tuberculosis—symptoms,. Spinal tuberculosis—also called pott's disease—is the. Pott's Disease Cervical 5-6 Level.