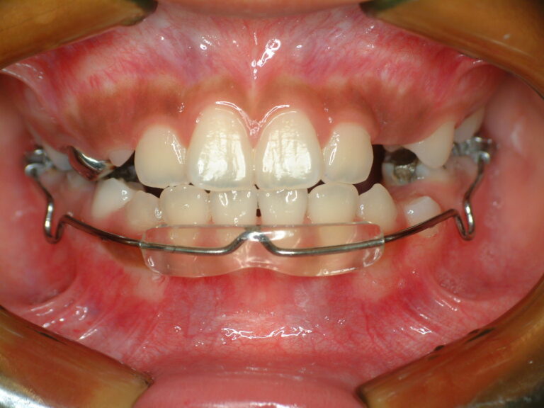
What Does Lip Bumper Do . To negate the hypertonic lip pressure to allow the lower anteriors to flare. What is a lip bumper? A lip bumper is a dental appliance that is a wire (partially coated in plastic) that slides into two metal molar bands at either end and lies in front. It consists of a metal wire, which is fitted around the lower arch (between the teeth and the lips/cheeks) and attaches to two bands on each side of the mouth. Lip bumper (lb) therapy may represent a management alternative for the resolution of future space deficiency in the mandibular dental arch reducing the necessity for tooth. A lip bumper is an orthodontic appliance used to help expand the dental arch and provide a space for erupting teeth. A lip bumper is a molded piece of plastic, rubber or acrylic attached to the bottom arch wire that pushes the lower molars back to create more space. To hold the lower molars in place.
from www.smiletogether.ca
What is a lip bumper? To hold the lower molars in place. A lip bumper is an orthodontic appliance used to help expand the dental arch and provide a space for erupting teeth. A lip bumper is a molded piece of plastic, rubber or acrylic attached to the bottom arch wire that pushes the lower molars back to create more space. Lip bumper (lb) therapy may represent a management alternative for the resolution of future space deficiency in the mandibular dental arch reducing the necessity for tooth. A lip bumper is a dental appliance that is a wire (partially coated in plastic) that slides into two metal molar bands at either end and lies in front. It consists of a metal wire, which is fitted around the lower arch (between the teeth and the lips/cheeks) and attaches to two bands on each side of the mouth. To negate the hypertonic lip pressure to allow the lower anteriors to flare.
lip bumper3 Smile Together Dental Clinic
What Does Lip Bumper Do A lip bumper is a molded piece of plastic, rubber or acrylic attached to the bottom arch wire that pushes the lower molars back to create more space. A lip bumper is a molded piece of plastic, rubber or acrylic attached to the bottom arch wire that pushes the lower molars back to create more space. To hold the lower molars in place. A lip bumper is an orthodontic appliance used to help expand the dental arch and provide a space for erupting teeth. A lip bumper is a dental appliance that is a wire (partially coated in plastic) that slides into two metal molar bands at either end and lies in front. Lip bumper (lb) therapy may represent a management alternative for the resolution of future space deficiency in the mandibular dental arch reducing the necessity for tooth. It consists of a metal wire, which is fitted around the lower arch (between the teeth and the lips/cheeks) and attaches to two bands on each side of the mouth. What is a lip bumper? To negate the hypertonic lip pressure to allow the lower anteriors to flare.
From www.researchgate.net
Various types of modified lip bumpers. Download Scientific Diagram What Does Lip Bumper Do Lip bumper (lb) therapy may represent a management alternative for the resolution of future space deficiency in the mandibular dental arch reducing the necessity for tooth. What is a lip bumper? A lip bumper is a molded piece of plastic, rubber or acrylic attached to the bottom arch wire that pushes the lower molars back to create more space. A. What Does Lip Bumper Do.
From es.scribd.com
Lip Bumper PDF Ortodoncia Medicina What Does Lip Bumper Do What is a lip bumper? To negate the hypertonic lip pressure to allow the lower anteriors to flare. A lip bumper is an orthodontic appliance used to help expand the dental arch and provide a space for erupting teeth. To hold the lower molars in place. A lip bumper is a dental appliance that is a wire (partially coated in. What Does Lip Bumper Do.
From www.youtube.com
How to Use a Lip Bumper YouTube What Does Lip Bumper Do What is a lip bumper? A lip bumper is a molded piece of plastic, rubber or acrylic attached to the bottom arch wire that pushes the lower molars back to create more space. To hold the lower molars in place. To negate the hypertonic lip pressure to allow the lower anteriors to flare. A lip bumper is an orthodontic appliance. What Does Lip Bumper Do.
From www.pinterest.com
Comfort Cover Lip Bumper For Dental Braces Dental braces What Does Lip Bumper Do To negate the hypertonic lip pressure to allow the lower anteriors to flare. What is a lip bumper? To hold the lower molars in place. It consists of a metal wire, which is fitted around the lower arch (between the teeth and the lips/cheeks) and attaches to two bands on each side of the mouth. Lip bumper (lb) therapy may. What Does Lip Bumper Do.
From www.congress-intercultural.eu
What Is A Lip Bumper?, 43 OFF What Does Lip Bumper Do A lip bumper is a dental appliance that is a wire (partially coated in plastic) that slides into two metal molar bands at either end and lies in front. It consists of a metal wire, which is fitted around the lower arch (between the teeth and the lips/cheeks) and attaches to two bands on each side of the mouth. Lip. What Does Lip Bumper Do.
From williamsgporthodontics.com
Orthodontic Demonstration Lip Bumper [Video] Williams GP What Does Lip Bumper Do A lip bumper is an orthodontic appliance used to help expand the dental arch and provide a space for erupting teeth. It consists of a metal wire, which is fitted around the lower arch (between the teeth and the lips/cheeks) and attaches to two bands on each side of the mouth. What is a lip bumper? A lip bumper is. What Does Lip Bumper Do.
From williamsgporthodontics.com
Orthodontic Demonstration Lip Bumper [Video] Williams GP What Does Lip Bumper Do It consists of a metal wire, which is fitted around the lower arch (between the teeth and the lips/cheeks) and attaches to two bands on each side of the mouth. To hold the lower molars in place. Lip bumper (lb) therapy may represent a management alternative for the resolution of future space deficiency in the mandibular dental arch reducing the. What Does Lip Bumper Do.
From www.verywellhealth.com
What Is A Lip Bumper? What Does Lip Bumper Do It consists of a metal wire, which is fitted around the lower arch (between the teeth and the lips/cheeks) and attaches to two bands on each side of the mouth. Lip bumper (lb) therapy may represent a management alternative for the resolution of future space deficiency in the mandibular dental arch reducing the necessity for tooth. A lip bumper is. What Does Lip Bumper Do.
From www.orthopatienteducationcenter.com
Care & Use Form Lip Bumper What Does Lip Bumper Do To hold the lower molars in place. To negate the hypertonic lip pressure to allow the lower anteriors to flare. What is a lip bumper? A lip bumper is an orthodontic appliance used to help expand the dental arch and provide a space for erupting teeth. A lip bumper is a dental appliance that is a wire (partially coated in. What Does Lip Bumper Do.
From www.youtube.com
Lip Bumper by Orthodontic Associates YouTube What Does Lip Bumper Do A lip bumper is an orthodontic appliance used to help expand the dental arch and provide a space for erupting teeth. To hold the lower molars in place. It consists of a metal wire, which is fitted around the lower arch (between the teeth and the lips/cheeks) and attaches to two bands on each side of the mouth. What is. What Does Lip Bumper Do.
From www.youtube.com
Orthodontic Space Management Lip Bumper Appliance YouTube What Does Lip Bumper Do To hold the lower molars in place. Lip bumper (lb) therapy may represent a management alternative for the resolution of future space deficiency in the mandibular dental arch reducing the necessity for tooth. To negate the hypertonic lip pressure to allow the lower anteriors to flare. A lip bumper is an orthodontic appliance used to help expand the dental arch. What Does Lip Bumper Do.
From burkeredfordorthodontists.com
Orthodontic Lip Bumper Creates Space for Your Teeth What Does Lip Bumper Do A lip bumper is an orthodontic appliance used to help expand the dental arch and provide a space for erupting teeth. It consists of a metal wire, which is fitted around the lower arch (between the teeth and the lips/cheeks) and attaches to two bands on each side of the mouth. A lip bumper is a molded piece of plastic,. What Does Lip Bumper Do.
From www.smiletogether.ca
lip bumper3 Smile Together Dental Clinic What Does Lip Bumper Do What is a lip bumper? To hold the lower molars in place. A lip bumper is a dental appliance that is a wire (partially coated in plastic) that slides into two metal molar bands at either end and lies in front. To negate the hypertonic lip pressure to allow the lower anteriors to flare. A lip bumper is an orthodontic. What Does Lip Bumper Do.
From www.teethsavings.com
Lip and Cheek Bumpers Treatments and Prices What Does Lip Bumper Do A lip bumper is an orthodontic appliance used to help expand the dental arch and provide a space for erupting teeth. To hold the lower molars in place. It consists of a metal wire, which is fitted around the lower arch (between the teeth and the lips/cheeks) and attaches to two bands on each side of the mouth. Lip bumper. What Does Lip Bumper Do.
From www.archwired.com
What Is A Lip Bumper in Orthodontic Braces? ArchWired What Does Lip Bumper Do To negate the hypertonic lip pressure to allow the lower anteriors to flare. A lip bumper is a dental appliance that is a wire (partially coated in plastic) that slides into two metal molar bands at either end and lies in front. A lip bumper is an orthodontic appliance used to help expand the dental arch and provide a space. What Does Lip Bumper Do.
From www.youtube.com
️Elaboración de "LIP BUMPER" Odontología🦷 2020 YouTube What Does Lip Bumper Do What is a lip bumper? It consists of a metal wire, which is fitted around the lower arch (between the teeth and the lips/cheeks) and attaches to two bands on each side of the mouth. To hold the lower molars in place. Lip bumper (lb) therapy may represent a management alternative for the resolution of future space deficiency in the. What Does Lip Bumper Do.
From williamsgporthodontics.com
Orthodontic Demonstration Lip Bumper [Video] Williams GP What Does Lip Bumper Do What is a lip bumper? To hold the lower molars in place. Lip bumper (lb) therapy may represent a management alternative for the resolution of future space deficiency in the mandibular dental arch reducing the necessity for tooth. A lip bumper is an orthodontic appliance used to help expand the dental arch and provide a space for erupting teeth. A. What Does Lip Bumper Do.
From williamsgporthodontics.com
Orthodontic Demonstration Lip Bumper [Video] Williams GP What Does Lip Bumper Do It consists of a metal wire, which is fitted around the lower arch (between the teeth and the lips/cheeks) and attaches to two bands on each side of the mouth. To hold the lower molars in place. A lip bumper is a dental appliance that is a wire (partially coated in plastic) that slides into two metal molar bands at. What Does Lip Bumper Do.
From williamsgporthodontics.com
Orthodontic Demonstration Lip Bumper [Video] Williams GP What Does Lip Bumper Do A lip bumper is a molded piece of plastic, rubber or acrylic attached to the bottom arch wire that pushes the lower molars back to create more space. To negate the hypertonic lip pressure to allow the lower anteriors to flare. A lip bumper is a dental appliance that is a wire (partially coated in plastic) that slides into two. What Does Lip Bumper Do.
From www.youtube.com
Lip Bumper by Orthodontic Associates YouTube What Does Lip Bumper Do What is a lip bumper? To hold the lower molars in place. It consists of a metal wire, which is fitted around the lower arch (between the teeth and the lips/cheeks) and attaches to two bands on each side of the mouth. A lip bumper is a dental appliance that is a wire (partially coated in plastic) that slides into. What Does Lip Bumper Do.
From www.celebritystyleguide.com
The 5 Best Lip Plumpers of 2024! CelebrityStyleGuide What Does Lip Bumper Do A lip bumper is a molded piece of plastic, rubber or acrylic attached to the bottom arch wire that pushes the lower molars back to create more space. What is a lip bumper? To hold the lower molars in place. Lip bumper (lb) therapy may represent a management alternative for the resolution of future space deficiency in the mandibular dental. What Does Lip Bumper Do.
From williamsgporthodontics.com
Orthodontic Demonstration Lip Bumper [Video] Williams GP What Does Lip Bumper Do Lip bumper (lb) therapy may represent a management alternative for the resolution of future space deficiency in the mandibular dental arch reducing the necessity for tooth. It consists of a metal wire, which is fitted around the lower arch (between the teeth and the lips/cheeks) and attaches to two bands on each side of the mouth. To hold the lower. What Does Lip Bumper Do.
From yourindicatinfo.blogspot.com
Lip Bumper What Does Lip Bumper Do Lip bumper (lb) therapy may represent a management alternative for the resolution of future space deficiency in the mandibular dental arch reducing the necessity for tooth. What is a lip bumper? To negate the hypertonic lip pressure to allow the lower anteriors to flare. A lip bumper is a dental appliance that is a wire (partially coated in plastic) that. What Does Lip Bumper Do.
From williamsgporthodontics.com
Orthodontic Demonstration Lip Bumper [Video] Williams GP What Does Lip Bumper Do A lip bumper is a dental appliance that is a wire (partially coated in plastic) that slides into two metal molar bands at either end and lies in front. A lip bumper is an orthodontic appliance used to help expand the dental arch and provide a space for erupting teeth. To hold the lower molars in place. It consists of. What Does Lip Bumper Do.
From williamsgporthodontics.com
Orthodontic Demonstration Lip Bumper [Video] Williams GP What Does Lip Bumper Do To hold the lower molars in place. It consists of a metal wire, which is fitted around the lower arch (between the teeth and the lips/cheeks) and attaches to two bands on each side of the mouth. A lip bumper is a molded piece of plastic, rubber or acrylic attached to the bottom arch wire that pushes the lower molars. What Does Lip Bumper Do.
From williamsgporthodontics.com
Orthodontic Demonstration Lip Bumper [Video] Williams GP What Does Lip Bumper Do A lip bumper is a molded piece of plastic, rubber or acrylic attached to the bottom arch wire that pushes the lower molars back to create more space. A lip bumper is a dental appliance that is a wire (partially coated in plastic) that slides into two metal molar bands at either end and lies in front. To hold the. What Does Lip Bumper Do.
From loudounorthodontics.com
What Is a Lip Bumper? Loudoun Orthodontics What Does Lip Bumper Do Lip bumper (lb) therapy may represent a management alternative for the resolution of future space deficiency in the mandibular dental arch reducing the necessity for tooth. A lip bumper is a molded piece of plastic, rubber or acrylic attached to the bottom arch wire that pushes the lower molars back to create more space. To negate the hypertonic lip pressure. What Does Lip Bumper Do.
From www.youtube.com
LIP BUMPER (MYOFUNCTIONAL APPLIANCE ) YouTube What Does Lip Bumper Do What is a lip bumper? A lip bumper is a molded piece of plastic, rubber or acrylic attached to the bottom arch wire that pushes the lower molars back to create more space. A lip bumper is an orthodontic appliance used to help expand the dental arch and provide a space for erupting teeth. To hold the lower molars in. What Does Lip Bumper Do.
From williamsgporthodontics.com
Orthodontic Demonstration Lip Bumper [Video] Williams GP What Does Lip Bumper Do A lip bumper is a molded piece of plastic, rubber or acrylic attached to the bottom arch wire that pushes the lower molars back to create more space. Lip bumper (lb) therapy may represent a management alternative for the resolution of future space deficiency in the mandibular dental arch reducing the necessity for tooth. To negate the hypertonic lip pressure. What Does Lip Bumper Do.
From www.odontovida.com
¿Qué es el LipBumper? Características y funciones OdontoVida What Does Lip Bumper Do To hold the lower molars in place. To negate the hypertonic lip pressure to allow the lower anteriors to flare. A lip bumper is an orthodontic appliance used to help expand the dental arch and provide a space for erupting teeth. A lip bumper is a molded piece of plastic, rubber or acrylic attached to the bottom arch wire that. What Does Lip Bumper Do.
From williamsgporthodontics.com
Orthodontic Demonstration Lip Bumper [Video] Williams GP What Does Lip Bumper Do It consists of a metal wire, which is fitted around the lower arch (between the teeth and the lips/cheeks) and attaches to two bands on each side of the mouth. To negate the hypertonic lip pressure to allow the lower anteriors to flare. To hold the lower molars in place. What is a lip bumper? A lip bumper is a. What Does Lip Bumper Do.
From williamsgporthodontics.com
Orthodontic Demonstration Lip Bumper [Video] Williams GP What Does Lip Bumper Do A lip bumper is an orthodontic appliance used to help expand the dental arch and provide a space for erupting teeth. To hold the lower molars in place. What is a lip bumper? It consists of a metal wire, which is fitted around the lower arch (between the teeth and the lips/cheeks) and attaches to two bands on each side. What Does Lip Bumper Do.
From odlortho.com
Lip Bumper ODL Orthodontic Labs What Does Lip Bumper Do Lip bumper (lb) therapy may represent a management alternative for the resolution of future space deficiency in the mandibular dental arch reducing the necessity for tooth. To hold the lower molars in place. What is a lip bumper? A lip bumper is an orthodontic appliance used to help expand the dental arch and provide a space for erupting teeth. To. What Does Lip Bumper Do.
From williamsgporthodontics.com
Orthodontic Demonstration Lip Bumper [Video] Williams GP What Does Lip Bumper Do It consists of a metal wire, which is fitted around the lower arch (between the teeth and the lips/cheeks) and attaches to two bands on each side of the mouth. A lip bumper is a molded piece of plastic, rubber or acrylic attached to the bottom arch wire that pushes the lower molars back to create more space. A lip. What Does Lip Bumper Do.
From williamsgporthodontics.com
Orthodontic Demonstration Lip Bumper [Video] Williams GP What Does Lip Bumper Do To hold the lower molars in place. A lip bumper is an orthodontic appliance used to help expand the dental arch and provide a space for erupting teeth. A lip bumper is a molded piece of plastic, rubber or acrylic attached to the bottom arch wire that pushes the lower molars back to create more space. To negate the hypertonic. What Does Lip Bumper Do.