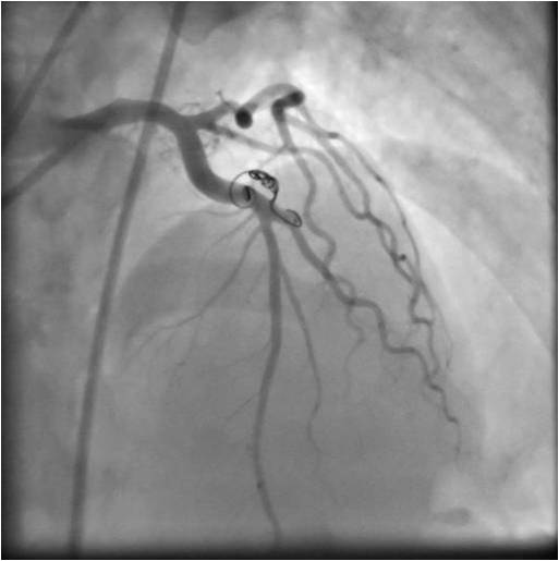
Coil Embolization Coronary Fistula . We describe a case of symptomatic coronary fistula treated with percutaneous coil embolization in a young adult awaiting renal. Nester embolization coils (cook medical) are fibered pushable platinum coils that come in different diameters ranging. Transcatheter embolization techniques using coils (as is shown in the image below), bags, or other devices can be performed on an outpatient basis at the time of diagnostic. These fistulas are congenital or acquired coronary artery abnormalities in which blood is shunted into a cardiac chamber, great. Transcatheter closure of caf with coronary coil is proven feasible and safe in the anatomically suitable vessel. We report a patient with significant coronary artery disease and coronary. Coronary artery fistulas (cafs) are abnormal communications of coronary arteries whereby venous circuits bypass the normal.
from www.ahajournals.org
Transcatheter embolization techniques using coils (as is shown in the image below), bags, or other devices can be performed on an outpatient basis at the time of diagnostic. We describe a case of symptomatic coronary fistula treated with percutaneous coil embolization in a young adult awaiting renal. Coronary artery fistulas (cafs) are abnormal communications of coronary arteries whereby venous circuits bypass the normal. Transcatheter closure of caf with coronary coil is proven feasible and safe in the anatomically suitable vessel. These fistulas are congenital or acquired coronary artery abnormalities in which blood is shunted into a cardiac chamber, great. We report a patient with significant coronary artery disease and coronary. Nester embolization coils (cook medical) are fibered pushable platinum coils that come in different diameters ranging.
Coronary Embolization of an Intramyocardial Hematoma After Myocardial
Coil Embolization Coronary Fistula Nester embolization coils (cook medical) are fibered pushable platinum coils that come in different diameters ranging. Coronary artery fistulas (cafs) are abnormal communications of coronary arteries whereby venous circuits bypass the normal. We report a patient with significant coronary artery disease and coronary. Nester embolization coils (cook medical) are fibered pushable platinum coils that come in different diameters ranging. Transcatheter closure of caf with coronary coil is proven feasible and safe in the anatomically suitable vessel. Transcatheter embolization techniques using coils (as is shown in the image below), bags, or other devices can be performed on an outpatient basis at the time of diagnostic. We describe a case of symptomatic coronary fistula treated with percutaneous coil embolization in a young adult awaiting renal. These fistulas are congenital or acquired coronary artery abnormalities in which blood is shunted into a cardiac chamber, great.
From www.frontiersin.org
Frontiers Case Report Coil Occlusion of Two Congenital Coronary Coil Embolization Coronary Fistula We report a patient with significant coronary artery disease and coronary. Transcatheter closure of caf with coronary coil is proven feasible and safe in the anatomically suitable vessel. These fistulas are congenital or acquired coronary artery abnormalities in which blood is shunted into a cardiac chamber, great. Transcatheter embolization techniques using coils (as is shown in the image below), bags,. Coil Embolization Coronary Fistula.
From pubs.rsna.org
Coronary Artery Fistulas Pathophysiology, Imaging Findings, and Coil Embolization Coronary Fistula We report a patient with significant coronary artery disease and coronary. Coronary artery fistulas (cafs) are abnormal communications of coronary arteries whereby venous circuits bypass the normal. Transcatheter embolization techniques using coils (as is shown in the image below), bags, or other devices can be performed on an outpatient basis at the time of diagnostic. Transcatheter closure of caf with. Coil Embolization Coronary Fistula.
From www.tctmd.com
TCT 753 Coil Embolization in an Acute Retroflexed Coronary Fistula Coil Embolization Coronary Fistula We report a patient with significant coronary artery disease and coronary. Transcatheter closure of caf with coronary coil is proven feasible and safe in the anatomically suitable vessel. We describe a case of symptomatic coronary fistula treated with percutaneous coil embolization in a young adult awaiting renal. Nester embolization coils (cook medical) are fibered pushable platinum coils that come in. Coil Embolization Coronary Fistula.
From www.semanticscholar.org
Figure 1 from Right coronary artery fistula to left ventricle treated Coil Embolization Coronary Fistula Nester embolization coils (cook medical) are fibered pushable platinum coils that come in different diameters ranging. We describe a case of symptomatic coronary fistula treated with percutaneous coil embolization in a young adult awaiting renal. Coronary artery fistulas (cafs) are abnormal communications of coronary arteries whereby venous circuits bypass the normal. Transcatheter closure of caf with coronary coil is proven. Coil Embolization Coronary Fistula.
From www.researchgate.net
Coil embolization of the coronary fistula. A Microcatheter placement Coil Embolization Coronary Fistula Coronary artery fistulas (cafs) are abnormal communications of coronary arteries whereby venous circuits bypass the normal. Nester embolization coils (cook medical) are fibered pushable platinum coils that come in different diameters ranging. These fistulas are congenital or acquired coronary artery abnormalities in which blood is shunted into a cardiac chamber, great. Transcatheter embolization techniques using coils (as is shown in. Coil Embolization Coronary Fistula.
From www.researchgate.net
(PDF) Complex Coronary Artery Fistula Causing Angina is Resolved Coil Embolization Coronary Fistula These fistulas are congenital or acquired coronary artery abnormalities in which blood is shunted into a cardiac chamber, great. We describe a case of symptomatic coronary fistula treated with percutaneous coil embolization in a young adult awaiting renal. Nester embolization coils (cook medical) are fibered pushable platinum coils that come in different diameters ranging. We report a patient with significant. Coil Embolization Coronary Fistula.
From www.journalofcardiologycases.com
Transcatheter coil embolization of coronary artery fistulas Journal Coil Embolization Coronary Fistula Coronary artery fistulas (cafs) are abnormal communications of coronary arteries whereby venous circuits bypass the normal. We describe a case of symptomatic coronary fistula treated with percutaneous coil embolization in a young adult awaiting renal. These fistulas are congenital or acquired coronary artery abnormalities in which blood is shunted into a cardiac chamber, great. We report a patient with significant. Coil Embolization Coronary Fistula.
From www.revportcardiol.org
Atrial tachycardia treated by coil embolization of a giant coronary Coil Embolization Coronary Fistula Transcatheter embolization techniques using coils (as is shown in the image below), bags, or other devices can be performed on an outpatient basis at the time of diagnostic. Transcatheter closure of caf with coronary coil is proven feasible and safe in the anatomically suitable vessel. Coronary artery fistulas (cafs) are abnormal communications of coronary arteries whereby venous circuits bypass the. Coil Embolization Coronary Fistula.
From www.revportcardiol.org
Percutaneous embolization of coronary fistulas A singlecenter Coil Embolization Coronary Fistula Nester embolization coils (cook medical) are fibered pushable platinum coils that come in different diameters ranging. Transcatheter closure of caf with coronary coil is proven feasible and safe in the anatomically suitable vessel. Transcatheter embolization techniques using coils (as is shown in the image below), bags, or other devices can be performed on an outpatient basis at the time of. Coil Embolization Coronary Fistula.
From europepmc.org
Transcatheter Coil Embolization of Single Coronary Artery Fistula Using Coil Embolization Coronary Fistula We report a patient with significant coronary artery disease and coronary. Nester embolization coils (cook medical) are fibered pushable platinum coils that come in different diameters ranging. Transcatheter closure of caf with coronary coil is proven feasible and safe in the anatomically suitable vessel. These fistulas are congenital or acquired coronary artery abnormalities in which blood is shunted into a. Coil Embolization Coronary Fistula.
From www.bostonscientific.com
Interlock and IDC Detachable Embolization Coils Boston Scientific Coil Embolization Coronary Fistula We describe a case of symptomatic coronary fistula treated with percutaneous coil embolization in a young adult awaiting renal. We report a patient with significant coronary artery disease and coronary. These fistulas are congenital or acquired coronary artery abnormalities in which blood is shunted into a cardiac chamber, great. Transcatheter embolization techniques using coils (as is shown in the image. Coil Embolization Coronary Fistula.
From www.tctmd.com
Complete Closure of a Coronary ArteryVenous Fistula by Coil Coil Embolization Coronary Fistula Transcatheter closure of caf with coronary coil is proven feasible and safe in the anatomically suitable vessel. Nester embolization coils (cook medical) are fibered pushable platinum coils that come in different diameters ranging. These fistulas are congenital or acquired coronary artery abnormalities in which blood is shunted into a cardiac chamber, great. We describe a case of symptomatic coronary fistula. Coil Embolization Coronary Fistula.
From www.ahajournals.org
Transcatheter Therapeutic Embolization of Multiple Coronary Artery Coil Embolization Coronary Fistula Transcatheter closure of caf with coronary coil is proven feasible and safe in the anatomically suitable vessel. These fistulas are congenital or acquired coronary artery abnormalities in which blood is shunted into a cardiac chamber, great. We report a patient with significant coronary artery disease and coronary. Transcatheter embolization techniques using coils (as is shown in the image below), bags,. Coil Embolization Coronary Fistula.
From www.ajnr.org
TurnBack Embolization Technique for Effective Transvenous Embolization Coil Embolization Coronary Fistula Transcatheter closure of caf with coronary coil is proven feasible and safe in the anatomically suitable vessel. Transcatheter embolization techniques using coils (as is shown in the image below), bags, or other devices can be performed on an outpatient basis at the time of diagnostic. Coronary artery fistulas (cafs) are abnormal communications of coronary arteries whereby venous circuits bypass the. Coil Embolization Coronary Fistula.
From pubs.rsna.org
Coronary Artery Fistulas Pathophysiology, Imaging Findings, and Coil Embolization Coronary Fistula We describe a case of symptomatic coronary fistula treated with percutaneous coil embolization in a young adult awaiting renal. Nester embolization coils (cook medical) are fibered pushable platinum coils that come in different diameters ranging. Transcatheter closure of caf with coronary coil is proven feasible and safe in the anatomically suitable vessel. Coronary artery fistulas (cafs) are abnormal communications of. Coil Embolization Coronary Fistula.
From www.radcliffecardiology.com
Figure 3 Coil Embolisation of Coronary Artery Fistula Radcliffe Coil Embolization Coronary Fistula Nester embolization coils (cook medical) are fibered pushable platinum coils that come in different diameters ranging. Transcatheter embolization techniques using coils (as is shown in the image below), bags, or other devices can be performed on an outpatient basis at the time of diagnostic. Coronary artery fistulas (cafs) are abnormal communications of coronary arteries whereby venous circuits bypass the normal.. Coil Embolization Coronary Fistula.
From heart.bmj.com
Coil embolisation of isolated congenital coronary arteriovenous fistula Coil Embolization Coronary Fistula Nester embolization coils (cook medical) are fibered pushable platinum coils that come in different diameters ranging. Transcatheter embolization techniques using coils (as is shown in the image below), bags, or other devices can be performed on an outpatient basis at the time of diagnostic. Coronary artery fistulas (cafs) are abnormal communications of coronary arteries whereby venous circuits bypass the normal.. Coil Embolization Coronary Fistula.
From www.ahajournals.org
Coronary Artery Fistula With a Huge Aneurysm Treated by Transcatheter Coil Embolization Coronary Fistula Transcatheter closure of caf with coronary coil is proven feasible and safe in the anatomically suitable vessel. We report a patient with significant coronary artery disease and coronary. We describe a case of symptomatic coronary fistula treated with percutaneous coil embolization in a young adult awaiting renal. These fistulas are congenital or acquired coronary artery abnormalities in which blood is. Coil Embolization Coronary Fistula.
From thejns.org
Transarterial approach for selective intravenous coil embolization of a Coil Embolization Coronary Fistula We describe a case of symptomatic coronary fistula treated with percutaneous coil embolization in a young adult awaiting renal. We report a patient with significant coronary artery disease and coronary. Transcatheter closure of caf with coronary coil is proven feasible and safe in the anatomically suitable vessel. Transcatheter embolization techniques using coils (as is shown in the image below), bags,. Coil Embolization Coronary Fistula.
From www.jacc.org
TCTAP C037 The Rule of Coronary Coil Embolization in Coronary Artery Coil Embolization Coronary Fistula These fistulas are congenital or acquired coronary artery abnormalities in which blood is shunted into a cardiac chamber, great. Transcatheter closure of caf with coronary coil is proven feasible and safe in the anatomically suitable vessel. We describe a case of symptomatic coronary fistula treated with percutaneous coil embolization in a young adult awaiting renal. Transcatheter embolization techniques using coils. Coil Embolization Coronary Fistula.
From www.frontiersin.org
Frontiers Serous retinal detachment secondary to an unsuccessful Coil Embolization Coronary Fistula Transcatheter embolization techniques using coils (as is shown in the image below), bags, or other devices can be performed on an outpatient basis at the time of diagnostic. Coronary artery fistulas (cafs) are abnormal communications of coronary arteries whereby venous circuits bypass the normal. These fistulas are congenital or acquired coronary artery abnormalities in which blood is shunted into a. Coil Embolization Coronary Fistula.
From www.semanticscholar.org
Figure 1 from Percutaneous Coil Embolization of Coronary Artery Fistula Coil Embolization Coronary Fistula We report a patient with significant coronary artery disease and coronary. Transcatheter closure of caf with coronary coil is proven feasible and safe in the anatomically suitable vessel. Nester embolization coils (cook medical) are fibered pushable platinum coils that come in different diameters ranging. We describe a case of symptomatic coronary fistula treated with percutaneous coil embolization in a young. Coil Embolization Coronary Fistula.
From www.cns.org
Coil embolization of sigmoid dural arteriovenous fistula (dAVF) Coil Embolization Coronary Fistula Coronary artery fistulas (cafs) are abnormal communications of coronary arteries whereby venous circuits bypass the normal. Transcatheter embolization techniques using coils (as is shown in the image below), bags, or other devices can be performed on an outpatient basis at the time of diagnostic. Transcatheter closure of caf with coronary coil is proven feasible and safe in the anatomically suitable. Coil Embolization Coronary Fistula.
From www.semanticscholar.org
Figure 1 from CoronaryPulmonary Artery Fistula Repair With Coil Coil Embolization Coronary Fistula We report a patient with significant coronary artery disease and coronary. Coronary artery fistulas (cafs) are abnormal communications of coronary arteries whereby venous circuits bypass the normal. Nester embolization coils (cook medical) are fibered pushable platinum coils that come in different diameters ranging. Transcatheter embolization techniques using coils (as is shown in the image below), bags, or other devices can. Coil Embolization Coronary Fistula.
From www.revportcardiol.org
Atrial tachycardia treated by coil embolization of a giant coronary Coil Embolization Coronary Fistula We report a patient with significant coronary artery disease and coronary. Transcatheter closure of caf with coronary coil is proven feasible and safe in the anatomically suitable vessel. These fistulas are congenital or acquired coronary artery abnormalities in which blood is shunted into a cardiac chamber, great. Coronary artery fistulas (cafs) are abnormal communications of coronary arteries whereby venous circuits. Coil Embolization Coronary Fistula.
From www.ahajournals.org
Coronary Embolization of an Intramyocardial Hematoma After Myocardial Coil Embolization Coronary Fistula Nester embolization coils (cook medical) are fibered pushable platinum coils that come in different diameters ranging. Transcatheter closure of caf with coronary coil is proven feasible and safe in the anatomically suitable vessel. We describe a case of symptomatic coronary fistula treated with percutaneous coil embolization in a young adult awaiting renal. We report a patient with significant coronary artery. Coil Embolization Coronary Fistula.
From www.ahajournals.org
Coronary Artery Fistula With a Huge Aneurysm Treated by Transcatheter Coil Embolization Coronary Fistula Nester embolization coils (cook medical) are fibered pushable platinum coils that come in different diameters ranging. These fistulas are congenital or acquired coronary artery abnormalities in which blood is shunted into a cardiac chamber, great. Coronary artery fistulas (cafs) are abnormal communications of coronary arteries whereby venous circuits bypass the normal. We report a patient with significant coronary artery disease. Coil Embolization Coronary Fistula.
From www.researchgate.net
(PDF) Complex Coronary Artery Fistula Causing Angina is Resolved Coil Embolization Coronary Fistula Nester embolization coils (cook medical) are fibered pushable platinum coils that come in different diameters ranging. We describe a case of symptomatic coronary fistula treated with percutaneous coil embolization in a young adult awaiting renal. Transcatheter embolization techniques using coils (as is shown in the image below), bags, or other devices can be performed on an outpatient basis at the. Coil Embolization Coronary Fistula.
From www.semanticscholar.org
Figure 1 from Percutaneous Coil Embolization of Coronary Artery Fistula Coil Embolization Coronary Fistula Coronary artery fistulas (cafs) are abnormal communications of coronary arteries whereby venous circuits bypass the normal. We report a patient with significant coronary artery disease and coronary. We describe a case of symptomatic coronary fistula treated with percutaneous coil embolization in a young adult awaiting renal. Nester embolization coils (cook medical) are fibered pushable platinum coils that come in different. Coil Embolization Coronary Fistula.
From pubs.rsna.org
Coronary Artery Fistulas Pathophysiology, Imaging Findings, and Coil Embolization Coronary Fistula Transcatheter closure of caf with coronary coil is proven feasible and safe in the anatomically suitable vessel. These fistulas are congenital or acquired coronary artery abnormalities in which blood is shunted into a cardiac chamber, great. Coronary artery fistulas (cafs) are abnormal communications of coronary arteries whereby venous circuits bypass the normal. We describe a case of symptomatic coronary fistula. Coil Embolization Coronary Fistula.
From www.semanticscholar.org
Figure 1 from CoronaryCameral Fistula Caused by Guidewire Trauma and Coil Embolization Coronary Fistula Transcatheter closure of caf with coronary coil is proven feasible and safe in the anatomically suitable vessel. We report a patient with significant coronary artery disease and coronary. Transcatheter embolization techniques using coils (as is shown in the image below), bags, or other devices can be performed on an outpatient basis at the time of diagnostic. We describe a case. Coil Embolization Coronary Fistula.
From www.semanticscholar.org
Figure 2 from CoronaryPulmonary Artery Fistula Repair With Coil Coil Embolization Coronary Fistula We report a patient with significant coronary artery disease and coronary. Nester embolization coils (cook medical) are fibered pushable platinum coils that come in different diameters ranging. Transcatheter embolization techniques using coils (as is shown in the image below), bags, or other devices can be performed on an outpatient basis at the time of diagnostic. We describe a case of. Coil Embolization Coronary Fistula.
From pubs.rsna.org
Coronary Artery Fistulas Pathophysiology, Imaging Findings, and Coil Embolization Coronary Fistula We report a patient with significant coronary artery disease and coronary. Coronary artery fistulas (cafs) are abnormal communications of coronary arteries whereby venous circuits bypass the normal. Transcatheter embolization techniques using coils (as is shown in the image below), bags, or other devices can be performed on an outpatient basis at the time of diagnostic. Nester embolization coils (cook medical). Coil Embolization Coronary Fistula.
From pubs.rsna.org
Coronary Artery Fistulas Pathophysiology, Imaging Findings, and Coil Embolization Coronary Fistula We report a patient with significant coronary artery disease and coronary. These fistulas are congenital or acquired coronary artery abnormalities in which blood is shunted into a cardiac chamber, great. Transcatheter closure of caf with coronary coil is proven feasible and safe in the anatomically suitable vessel. Coronary artery fistulas (cafs) are abnormal communications of coronary arteries whereby venous circuits. Coil Embolization Coronary Fistula.
From www.ahajournals.org
Coronary Artery Fistula With a Huge Aneurysm Treated by Transcatheter Coil Embolization Coronary Fistula Transcatheter closure of caf with coronary coil is proven feasible and safe in the anatomically suitable vessel. These fistulas are congenital or acquired coronary artery abnormalities in which blood is shunted into a cardiac chamber, great. Transcatheter embolization techniques using coils (as is shown in the image below), bags, or other devices can be performed on an outpatient basis at. Coil Embolization Coronary Fistula.