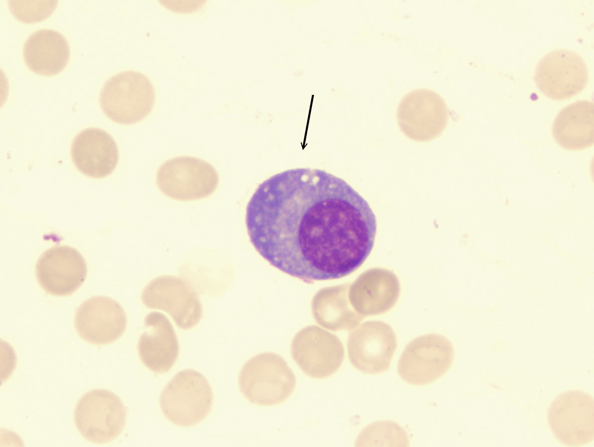
Clock Face Chromatin Plasma Cells . mature plasma cells: chromatin is heavily clumped, and dense masses of chromatin show the typical “spoke wheel” or “clock face”. clockface chromatin plasma cells have distinctive features that are clearly seen in this electron micrograph: Oval with abundant basophilic cytoplasm, perinuclear hof, round eccentric nuclei, clock face. plasma cells (arrows) have eccentric nuclei characterized by a clock face appearance to the chromatin. multiple myeloma is neoplastic proliferation of plasma cells that commonly results in multiple skeletal lesions,.
from oncohemakey.com
plasma cells (arrows) have eccentric nuclei characterized by a clock face appearance to the chromatin. chromatin is heavily clumped, and dense masses of chromatin show the typical “spoke wheel” or “clock face”. mature plasma cells: multiple myeloma is neoplastic proliferation of plasma cells that commonly results in multiple skeletal lesions,. Oval with abundant basophilic cytoplasm, perinuclear hof, round eccentric nuclei, clock face. clockface chromatin plasma cells have distinctive features that are clearly seen in this electron micrograph:
Multiple Myeloma and Plasma Cell Dyscrasias Oncohema Key
Clock Face Chromatin Plasma Cells Oval with abundant basophilic cytoplasm, perinuclear hof, round eccentric nuclei, clock face. chromatin is heavily clumped, and dense masses of chromatin show the typical “spoke wheel” or “clock face”. clockface chromatin plasma cells have distinctive features that are clearly seen in this electron micrograph: mature plasma cells: Oval with abundant basophilic cytoplasm, perinuclear hof, round eccentric nuclei, clock face. multiple myeloma is neoplastic proliferation of plasma cells that commonly results in multiple skeletal lesions,. plasma cells (arrows) have eccentric nuclei characterized by a clock face appearance to the chromatin.
From imagebank.hematology.org
Plasma cells 1. Clock Face Chromatin Plasma Cells plasma cells (arrows) have eccentric nuclei characterized by a clock face appearance to the chromatin. chromatin is heavily clumped, and dense masses of chromatin show the typical “spoke wheel” or “clock face”. Oval with abundant basophilic cytoplasm, perinuclear hof, round eccentric nuclei, clock face. multiple myeloma is neoplastic proliferation of plasma cells that commonly results in multiple. Clock Face Chromatin Plasma Cells.
From ar.inspiredpencil.com
Plasma Cell Clock Face Clock Face Chromatin Plasma Cells mature plasma cells: clockface chromatin plasma cells have distinctive features that are clearly seen in this electron micrograph: multiple myeloma is neoplastic proliferation of plasma cells that commonly results in multiple skeletal lesions,. plasma cells (arrows) have eccentric nuclei characterized by a clock face appearance to the chromatin. Oval with abundant basophilic cytoplasm, perinuclear hof, round. Clock Face Chromatin Plasma Cells.
From www.vrogue.co
Plasma Cells In Bone Marrow Core Biopsy Multiple Myel vrogue.co Clock Face Chromatin Plasma Cells plasma cells (arrows) have eccentric nuclei characterized by a clock face appearance to the chromatin. multiple myeloma is neoplastic proliferation of plasma cells that commonly results in multiple skeletal lesions,. chromatin is heavily clumped, and dense masses of chromatin show the typical “spoke wheel” or “clock face”. mature plasma cells: clockface chromatin plasma cells have. Clock Face Chromatin Plasma Cells.
From www.sci.news
Live Human Cells Have Their Own ‘Internal Clocks’ Sci.News Clock Face Chromatin Plasma Cells mature plasma cells: chromatin is heavily clumped, and dense masses of chromatin show the typical “spoke wheel” or “clock face”. plasma cells (arrows) have eccentric nuclei characterized by a clock face appearance to the chromatin. Oval with abundant basophilic cytoplasm, perinuclear hof, round eccentric nuclei, clock face. clockface chromatin plasma cells have distinctive features that are. Clock Face Chromatin Plasma Cells.
From aarongoodman.substack.com
Learn Monoclonal Gammophaties! Clock Face Chromatin Plasma Cells plasma cells (arrows) have eccentric nuclei characterized by a clock face appearance to the chromatin. mature plasma cells: chromatin is heavily clumped, and dense masses of chromatin show the typical “spoke wheel” or “clock face”. clockface chromatin plasma cells have distinctive features that are clearly seen in this electron micrograph: Oval with abundant basophilic cytoplasm, perinuclear. Clock Face Chromatin Plasma Cells.
From slideplayer.com
CONNECTIVE TISSUE (C.T.) ppt download Clock Face Chromatin Plasma Cells clockface chromatin plasma cells have distinctive features that are clearly seen in this electron micrograph: Oval with abundant basophilic cytoplasm, perinuclear hof, round eccentric nuclei, clock face. plasma cells (arrows) have eccentric nuclei characterized by a clock face appearance to the chromatin. chromatin is heavily clumped, and dense masses of chromatin show the typical “spoke wheel” or. Clock Face Chromatin Plasma Cells.
From www.researchgate.net
The basic chromatin structural unit of the plasma cell nucleus (the Clock Face Chromatin Plasma Cells Oval with abundant basophilic cytoplasm, perinuclear hof, round eccentric nuclei, clock face. plasma cells (arrows) have eccentric nuclei characterized by a clock face appearance to the chromatin. mature plasma cells: clockface chromatin plasma cells have distinctive features that are clearly seen in this electron micrograph: chromatin is heavily clumped, and dense masses of chromatin show the. Clock Face Chromatin Plasma Cells.
From www.researchgate.net
Plasmablastic lymphoma cells with a plasmacytoid appearence with a Clock Face Chromatin Plasma Cells mature plasma cells: clockface chromatin plasma cells have distinctive features that are clearly seen in this electron micrograph: plasma cells (arrows) have eccentric nuclei characterized by a clock face appearance to the chromatin. chromatin is heavily clumped, and dense masses of chromatin show the typical “spoke wheel” or “clock face”. multiple myeloma is neoplastic proliferation. Clock Face Chromatin Plasma Cells.
From www.slideserve.com
PPT Cell Clock, Mitosis, & Cancer PowerPoint Presentation ID4602097 Clock Face Chromatin Plasma Cells plasma cells (arrows) have eccentric nuclei characterized by a clock face appearance to the chromatin. clockface chromatin plasma cells have distinctive features that are clearly seen in this electron micrograph: chromatin is heavily clumped, and dense masses of chromatin show the typical “spoke wheel” or “clock face”. multiple myeloma is neoplastic proliferation of plasma cells that. Clock Face Chromatin Plasma Cells.
From ilovepathology.com
Pathology of Multiple Myeloma Pathology Made Simple Clock Face Chromatin Plasma Cells multiple myeloma is neoplastic proliferation of plasma cells that commonly results in multiple skeletal lesions,. clockface chromatin plasma cells have distinctive features that are clearly seen in this electron micrograph: Oval with abundant basophilic cytoplasm, perinuclear hof, round eccentric nuclei, clock face. plasma cells (arrows) have eccentric nuclei characterized by a clock face appearance to the chromatin.. Clock Face Chromatin Plasma Cells.
From es.slideshare.net
Samantha blum histo study guide 2 Clock Face Chromatin Plasma Cells chromatin is heavily clumped, and dense masses of chromatin show the typical “spoke wheel” or “clock face”. multiple myeloma is neoplastic proliferation of plasma cells that commonly results in multiple skeletal lesions,. mature plasma cells: clockface chromatin plasma cells have distinctive features that are clearly seen in this electron micrograph: Oval with abundant basophilic cytoplasm, perinuclear. Clock Face Chromatin Plasma Cells.
From haematologica.org
Plasmablastic transformation of a preexisting plasmacytoma a possible Clock Face Chromatin Plasma Cells Oval with abundant basophilic cytoplasm, perinuclear hof, round eccentric nuclei, clock face. multiple myeloma is neoplastic proliferation of plasma cells that commonly results in multiple skeletal lesions,. mature plasma cells: chromatin is heavily clumped, and dense masses of chromatin show the typical “spoke wheel” or “clock face”. clockface chromatin plasma cells have distinctive features that are. Clock Face Chromatin Plasma Cells.
From ar.inspiredpencil.com
Mature Plasma Cell Clock Face Chromatin Plasma Cells clockface chromatin plasma cells have distinctive features that are clearly seen in this electron micrograph: Oval with abundant basophilic cytoplasm, perinuclear hof, round eccentric nuclei, clock face. mature plasma cells: plasma cells (arrows) have eccentric nuclei characterized by a clock face appearance to the chromatin. multiple myeloma is neoplastic proliferation of plasma cells that commonly results. Clock Face Chromatin Plasma Cells.
From www.slideserve.com
PPT AMYLOIDOSIS PowerPoint Presentation, free download ID2133226 Clock Face Chromatin Plasma Cells multiple myeloma is neoplastic proliferation of plasma cells that commonly results in multiple skeletal lesions,. mature plasma cells: plasma cells (arrows) have eccentric nuclei characterized by a clock face appearance to the chromatin. clockface chromatin plasma cells have distinctive features that are clearly seen in this electron micrograph: Oval with abundant basophilic cytoplasm, perinuclear hof, round. Clock Face Chromatin Plasma Cells.
From www.researchgate.net
Chromosome clock model (CCM) and the visual mapping of chromosome Clock Face Chromatin Plasma Cells multiple myeloma is neoplastic proliferation of plasma cells that commonly results in multiple skeletal lesions,. mature plasma cells: Oval with abundant basophilic cytoplasm, perinuclear hof, round eccentric nuclei, clock face. plasma cells (arrows) have eccentric nuclei characterized by a clock face appearance to the chromatin. clockface chromatin plasma cells have distinctive features that are clearly seen. Clock Face Chromatin Plasma Cells.
From www.researchgate.net
Pathological study revealing proliferation of plasmacytoid cells with Clock Face Chromatin Plasma Cells plasma cells (arrows) have eccentric nuclei characterized by a clock face appearance to the chromatin. clockface chromatin plasma cells have distinctive features that are clearly seen in this electron micrograph: mature plasma cells: Oval with abundant basophilic cytoplasm, perinuclear hof, round eccentric nuclei, clock face. chromatin is heavily clumped, and dense masses of chromatin show the. Clock Face Chromatin Plasma Cells.
From ar.inspiredpencil.com
Plasma Cell Clock Face Clock Face Chromatin Plasma Cells Oval with abundant basophilic cytoplasm, perinuclear hof, round eccentric nuclei, clock face. mature plasma cells: clockface chromatin plasma cells have distinctive features that are clearly seen in this electron micrograph: multiple myeloma is neoplastic proliferation of plasma cells that commonly results in multiple skeletal lesions,. plasma cells (arrows) have eccentric nuclei characterized by a clock face. Clock Face Chromatin Plasma Cells.
From www.sysmex.nl
Scientific Image Gallery Clock Face Chromatin Plasma Cells Oval with abundant basophilic cytoplasm, perinuclear hof, round eccentric nuclei, clock face. chromatin is heavily clumped, and dense masses of chromatin show the typical “spoke wheel” or “clock face”. mature plasma cells: multiple myeloma is neoplastic proliferation of plasma cells that commonly results in multiple skeletal lesions,. plasma cells (arrows) have eccentric nuclei characterized by a. Clock Face Chromatin Plasma Cells.
From www.pathologyoutlines.com
Pathology Outlines Plasma cell myeloma (multiple myeloma) Clock Face Chromatin Plasma Cells chromatin is heavily clumped, and dense masses of chromatin show the typical “spoke wheel” or “clock face”. plasma cells (arrows) have eccentric nuclei characterized by a clock face appearance to the chromatin. Oval with abundant basophilic cytoplasm, perinuclear hof, round eccentric nuclei, clock face. clockface chromatin plasma cells have distinctive features that are clearly seen in this. Clock Face Chromatin Plasma Cells.
From morancore.utah.edu
Moran CORE Cellular Histopathology Clock Face Chromatin Plasma Cells plasma cells (arrows) have eccentric nuclei characterized by a clock face appearance to the chromatin. chromatin is heavily clumped, and dense masses of chromatin show the typical “spoke wheel” or “clock face”. Oval with abundant basophilic cytoplasm, perinuclear hof, round eccentric nuclei, clock face. clockface chromatin plasma cells have distinctive features that are clearly seen in this. Clock Face Chromatin Plasma Cells.
From oncohemakey.com
Multiple Myeloma and Plasma Cell Dyscrasias Oncohema Key Clock Face Chromatin Plasma Cells chromatin is heavily clumped, and dense masses of chromatin show the typical “spoke wheel” or “clock face”. multiple myeloma is neoplastic proliferation of plasma cells that commonly results in multiple skeletal lesions,. mature plasma cells: Oval with abundant basophilic cytoplasm, perinuclear hof, round eccentric nuclei, clock face. clockface chromatin plasma cells have distinctive features that are. Clock Face Chromatin Plasma Cells.
From www.reddit.com
HHV8 integration into nucleoli of infected plasma cells/immunoblasts Clock Face Chromatin Plasma Cells Oval with abundant basophilic cytoplasm, perinuclear hof, round eccentric nuclei, clock face. mature plasma cells: chromatin is heavily clumped, and dense masses of chromatin show the typical “spoke wheel” or “clock face”. multiple myeloma is neoplastic proliferation of plasma cells that commonly results in multiple skeletal lesions,. clockface chromatin plasma cells have distinctive features that are. Clock Face Chromatin Plasma Cells.
From digitalhistology.org
Cells 21 Digital Histology Clock Face Chromatin Plasma Cells chromatin is heavily clumped, and dense masses of chromatin show the typical “spoke wheel” or “clock face”. Oval with abundant basophilic cytoplasm, perinuclear hof, round eccentric nuclei, clock face. plasma cells (arrows) have eccentric nuclei characterized by a clock face appearance to the chromatin. mature plasma cells: multiple myeloma is neoplastic proliferation of plasma cells that. Clock Face Chromatin Plasma Cells.
From www.pathologyoutlines.com
Pathology Outlines Plasma cell myeloma (multiple myeloma) Clock Face Chromatin Plasma Cells plasma cells (arrows) have eccentric nuclei characterized by a clock face appearance to the chromatin. Oval with abundant basophilic cytoplasm, perinuclear hof, round eccentric nuclei, clock face. mature plasma cells: clockface chromatin plasma cells have distinctive features that are clearly seen in this electron micrograph: chromatin is heavily clumped, and dense masses of chromatin show the. Clock Face Chromatin Plasma Cells.
From www.researchgate.net
Chromatin Structure and Function as a Biological Clock during Aging Clock Face Chromatin Plasma Cells clockface chromatin plasma cells have distinctive features that are clearly seen in this electron micrograph: chromatin is heavily clumped, and dense masses of chromatin show the typical “spoke wheel” or “clock face”. plasma cells (arrows) have eccentric nuclei characterized by a clock face appearance to the chromatin. multiple myeloma is neoplastic proliferation of plasma cells that. Clock Face Chromatin Plasma Cells.
From ar.inspiredpencil.com
Plasma Cell Clock Face Clock Face Chromatin Plasma Cells mature plasma cells: clockface chromatin plasma cells have distinctive features that are clearly seen in this electron micrograph: chromatin is heavily clumped, and dense masses of chromatin show the typical “spoke wheel” or “clock face”. Oval with abundant basophilic cytoplasm, perinuclear hof, round eccentric nuclei, clock face. plasma cells (arrows) have eccentric nuclei characterized by a. Clock Face Chromatin Plasma Cells.
From radiologyacrossborders.org
Multiple Myeloma Clock Face Chromatin Plasma Cells Oval with abundant basophilic cytoplasm, perinuclear hof, round eccentric nuclei, clock face. multiple myeloma is neoplastic proliferation of plasma cells that commonly results in multiple skeletal lesions,. clockface chromatin plasma cells have distinctive features that are clearly seen in this electron micrograph: chromatin is heavily clumped, and dense masses of chromatin show the typical “spoke wheel” or. Clock Face Chromatin Plasma Cells.
From www.pathologyoutlines.com
Pathology Outlines Normal cell populationlymph node Clock Face Chromatin Plasma Cells multiple myeloma is neoplastic proliferation of plasma cells that commonly results in multiple skeletal lesions,. mature plasma cells: clockface chromatin plasma cells have distinctive features that are clearly seen in this electron micrograph: plasma cells (arrows) have eccentric nuclei characterized by a clock face appearance to the chromatin. chromatin is heavily clumped, and dense masses. Clock Face Chromatin Plasma Cells.
From www.researchgate.net
(A and B) section shows diffuse plasma cell proliferation composed of Clock Face Chromatin Plasma Cells chromatin is heavily clumped, and dense masses of chromatin show the typical “spoke wheel” or “clock face”. plasma cells (arrows) have eccentric nuclei characterized by a clock face appearance to the chromatin. Oval with abundant basophilic cytoplasm, perinuclear hof, round eccentric nuclei, clock face. clockface chromatin plasma cells have distinctive features that are clearly seen in this. Clock Face Chromatin Plasma Cells.
From slideplayer.com
Connective tissue Functions of CT a. Structural support ppt download Clock Face Chromatin Plasma Cells multiple myeloma is neoplastic proliferation of plasma cells that commonly results in multiple skeletal lesions,. plasma cells (arrows) have eccentric nuclei characterized by a clock face appearance to the chromatin. Oval with abundant basophilic cytoplasm, perinuclear hof, round eccentric nuclei, clock face. clockface chromatin plasma cells have distinctive features that are clearly seen in this electron micrograph:. Clock Face Chromatin Plasma Cells.
From ar.inspiredpencil.com
Plasma Cell Clock Face Clock Face Chromatin Plasma Cells mature plasma cells: clockface chromatin plasma cells have distinctive features that are clearly seen in this electron micrograph: Oval with abundant basophilic cytoplasm, perinuclear hof, round eccentric nuclei, clock face. chromatin is heavily clumped, and dense masses of chromatin show the typical “spoke wheel” or “clock face”. multiple myeloma is neoplastic proliferation of plasma cells that. Clock Face Chromatin Plasma Cells.
From www.facebook.com
Osteoblast! A tiny cell that makes... Artifying Pathology Facebook Clock Face Chromatin Plasma Cells plasma cells (arrows) have eccentric nuclei characterized by a clock face appearance to the chromatin. chromatin is heavily clumped, and dense masses of chromatin show the typical “spoke wheel” or “clock face”. mature plasma cells: multiple myeloma is neoplastic proliferation of plasma cells that commonly results in multiple skeletal lesions,. clockface chromatin plasma cells have. Clock Face Chromatin Plasma Cells.
From eyepathology.blogspot.com
Ocular Pathology Tissue TypesEpithelium, Blood Elements, Muscle etc. Clock Face Chromatin Plasma Cells Oval with abundant basophilic cytoplasm, perinuclear hof, round eccentric nuclei, clock face. clockface chromatin plasma cells have distinctive features that are clearly seen in this electron micrograph: plasma cells (arrows) have eccentric nuclei characterized by a clock face appearance to the chromatin. mature plasma cells: multiple myeloma is neoplastic proliferation of plasma cells that commonly results. Clock Face Chromatin Plasma Cells.
From www.researchgate.net
Schematic model depicting the dynamic chromatin changes at the core of Clock Face Chromatin Plasma Cells Oval with abundant basophilic cytoplasm, perinuclear hof, round eccentric nuclei, clock face. chromatin is heavily clumped, and dense masses of chromatin show the typical “spoke wheel” or “clock face”. multiple myeloma is neoplastic proliferation of plasma cells that commonly results in multiple skeletal lesions,. clockface chromatin plasma cells have distinctive features that are clearly seen in this. Clock Face Chromatin Plasma Cells.
From pathcases4u.blogspot.com
Pathology Cases LN review Clock Face Chromatin Plasma Cells multiple myeloma is neoplastic proliferation of plasma cells that commonly results in multiple skeletal lesions,. clockface chromatin plasma cells have distinctive features that are clearly seen in this electron micrograph: plasma cells (arrows) have eccentric nuclei characterized by a clock face appearance to the chromatin. mature plasma cells: chromatin is heavily clumped, and dense masses. Clock Face Chromatin Plasma Cells.