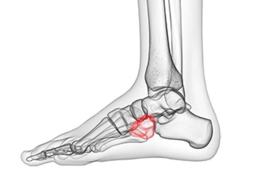
What Is A Nutcracker Fracture . nutcracker fractures are rare and most commonly occur with other injuries of the foot, such as the calcaneal fracture, which occurred in this case. The patient described in this case sustained. a nutcracker fracture of the cuboid refers to a cuboid bone fracture with associated navicular avulsion fracture due to. The mechanism of injury often involves axial loading and requires significant force, as the cuboid is generally protected in the midfoot. a particular type of isolated cuboid fracture was presented in the. the ‘nutcracker‘ fracture is caused by compression between the calcaneus proximally and the bases of the 4th and 5th. a nutcracker fracture is characterized by a cuboid bone that is crushed in between the heel bone.
from www.researchgate.net
The mechanism of injury often involves axial loading and requires significant force, as the cuboid is generally protected in the midfoot. a particular type of isolated cuboid fracture was presented in the. a nutcracker fracture of the cuboid refers to a cuboid bone fracture with associated navicular avulsion fracture due to. a nutcracker fracture is characterized by a cuboid bone that is crushed in between the heel bone. the ‘nutcracker‘ fracture is caused by compression between the calcaneus proximally and the bases of the 4th and 5th. nutcracker fractures are rare and most commonly occur with other injuries of the foot, such as the calcaneal fracture, which occurred in this case. The patient described in this case sustained.
(PDF) Nutcracker Cuboid Fractures are never Isolated Injuries
What Is A Nutcracker Fracture nutcracker fractures are rare and most commonly occur with other injuries of the foot, such as the calcaneal fracture, which occurred in this case. a particular type of isolated cuboid fracture was presented in the. The patient described in this case sustained. the ‘nutcracker‘ fracture is caused by compression between the calcaneus proximally and the bases of the 4th and 5th. a nutcracker fracture is characterized by a cuboid bone that is crushed in between the heel bone. The mechanism of injury often involves axial loading and requires significant force, as the cuboid is generally protected in the midfoot. a nutcracker fracture of the cuboid refers to a cuboid bone fracture with associated navicular avulsion fracture due to. nutcracker fractures are rare and most commonly occur with other injuries of the foot, such as the calcaneal fracture, which occurred in this case.
From www.directorthocare.com
Not So Sweet Nutcracker Fracture Direct Orthopedic Care What Is A Nutcracker Fracture nutcracker fractures are rare and most commonly occur with other injuries of the foot, such as the calcaneal fracture, which occurred in this case. a particular type of isolated cuboid fracture was presented in the. The mechanism of injury often involves axial loading and requires significant force, as the cuboid is generally protected in the midfoot. a. What Is A Nutcracker Fracture.
From journals.healio.com
“Nutcracker” Cuboid Fracture in a Collegiate Football Player Athletic What Is A Nutcracker Fracture The mechanism of injury often involves axial loading and requires significant force, as the cuboid is generally protected in the midfoot. The patient described in this case sustained. a nutcracker fracture of the cuboid refers to a cuboid bone fracture with associated navicular avulsion fracture due to. a particular type of isolated cuboid fracture was presented in the.. What Is A Nutcracker Fracture.
From www.semanticscholar.org
[PDF] Nutcracker fracture of the cuboid management and results What Is A Nutcracker Fracture a particular type of isolated cuboid fracture was presented in the. a nutcracker fracture is characterized by a cuboid bone that is crushed in between the heel bone. The mechanism of injury often involves axial loading and requires significant force, as the cuboid is generally protected in the midfoot. nutcracker fractures are rare and most commonly occur. What Is A Nutcracker Fracture.
From www.mdpi.com
JFMK Free FullText The Use of LowProfile AngularStability Plates What Is A Nutcracker Fracture The mechanism of injury often involves axial loading and requires significant force, as the cuboid is generally protected in the midfoot. The patient described in this case sustained. a nutcracker fracture is characterized by a cuboid bone that is crushed in between the heel bone. nutcracker fractures are rare and most commonly occur with other injuries of the. What Is A Nutcracker Fracture.
From www.jem-journal.com
The Nutcracker Fracture; Not Just Another Dancer's Injury Journal of What Is A Nutcracker Fracture The mechanism of injury often involves axial loading and requires significant force, as the cuboid is generally protected in the midfoot. a particular type of isolated cuboid fracture was presented in the. a nutcracker fracture is characterized by a cuboid bone that is crushed in between the heel bone. The patient described in this case sustained. a. What Is A Nutcracker Fracture.
From www.lifeslittlesteps.com
Cuboid Fractures of the Foot A Helpful Guide What Is A Nutcracker Fracture a nutcracker fracture of the cuboid refers to a cuboid bone fracture with associated navicular avulsion fracture due to. The mechanism of injury often involves axial loading and requires significant force, as the cuboid is generally protected in the midfoot. a nutcracker fracture is characterized by a cuboid bone that is crushed in between the heel bone. . What Is A Nutcracker Fracture.
From www.semanticscholar.org
Figure 1 from Unusual Variant of the Nutcracker Fracture of the What Is A Nutcracker Fracture The mechanism of injury often involves axial loading and requires significant force, as the cuboid is generally protected in the midfoot. a nutcracker fracture is characterized by a cuboid bone that is crushed in between the heel bone. the ‘nutcracker‘ fracture is caused by compression between the calcaneus proximally and the bases of the 4th and 5th. The. What Is A Nutcracker Fracture.
From www.wikiradiography.net
Nutcracker Fracture of the Cuboid wikiRadiography What Is A Nutcracker Fracture a nutcracker fracture is characterized by a cuboid bone that is crushed in between the heel bone. The patient described in this case sustained. a particular type of isolated cuboid fracture was presented in the. a nutcracker fracture of the cuboid refers to a cuboid bone fracture with associated navicular avulsion fracture due to. the ‘nutcracker‘. What Is A Nutcracker Fracture.
From www.researchgate.net
(PDF) Nutcracker Cuboid Fracture A Case Report and Review What Is A Nutcracker Fracture a particular type of isolated cuboid fracture was presented in the. The mechanism of injury often involves axial loading and requires significant force, as the cuboid is generally protected in the midfoot. a nutcracker fracture of the cuboid refers to a cuboid bone fracture with associated navicular avulsion fracture due to. The patient described in this case sustained.. What Is A Nutcracker Fracture.
From www.wikiradiography.net
Nutcracker Fracture of the Cuboid wikiRadiography What Is A Nutcracker Fracture The patient described in this case sustained. nutcracker fractures are rare and most commonly occur with other injuries of the foot, such as the calcaneal fracture, which occurred in this case. a particular type of isolated cuboid fracture was presented in the. a nutcracker fracture is characterized by a cuboid bone that is crushed in between the. What Is A Nutcracker Fracture.
From www.wikiradiography.net
Nutcracker Fracture of the Cuboid wikiRadiography What Is A Nutcracker Fracture the ‘nutcracker‘ fracture is caused by compression between the calcaneus proximally and the bases of the 4th and 5th. a nutcracker fracture of the cuboid refers to a cuboid bone fracture with associated navicular avulsion fracture due to. a nutcracker fracture is characterized by a cuboid bone that is crushed in between the heel bone. The patient. What Is A Nutcracker Fracture.
From www.researchgate.net
(PDF) Nutcracker Cuboid Fractures are never Isolated Injuries What Is A Nutcracker Fracture nutcracker fractures are rare and most commonly occur with other injuries of the foot, such as the calcaneal fracture, which occurred in this case. The mechanism of injury often involves axial loading and requires significant force, as the cuboid is generally protected in the midfoot. a particular type of isolated cuboid fracture was presented in the. a. What Is A Nutcracker Fracture.
From www.semanticscholar.org
Figure 1 from Nutcracker Cuboid Fractures are never Isolated Injuries What Is A Nutcracker Fracture the ‘nutcracker‘ fracture is caused by compression between the calcaneus proximally and the bases of the 4th and 5th. nutcracker fractures are rare and most commonly occur with other injuries of the foot, such as the calcaneal fracture, which occurred in this case. The patient described in this case sustained. The mechanism of injury often involves axial loading. What Is A Nutcracker Fracture.
From casereports.bmj.com
Cuboid nutcracker fracture in a 9yearold child BMJ Case Reports What Is A Nutcracker Fracture a particular type of isolated cuboid fracture was presented in the. a nutcracker fracture is characterized by a cuboid bone that is crushed in between the heel bone. a nutcracker fracture of the cuboid refers to a cuboid bone fracture with associated navicular avulsion fracture due to. The patient described in this case sustained. the ‘nutcracker‘. What Is A Nutcracker Fracture.
From www.ajronline.org
Acute Fracture of the Anterior Process of Calcaneus Does It Herald a What Is A Nutcracker Fracture a nutcracker fracture is characterized by a cuboid bone that is crushed in between the heel bone. The mechanism of injury often involves axial loading and requires significant force, as the cuboid is generally protected in the midfoot. a nutcracker fracture of the cuboid refers to a cuboid bone fracture with associated navicular avulsion fracture due to. . What Is A Nutcracker Fracture.
From www.slideserve.com
PPT Midfoot Fractures PowerPoint Presentation, free download ID2951103 What Is A Nutcracker Fracture nutcracker fractures are rare and most commonly occur with other injuries of the foot, such as the calcaneal fracture, which occurred in this case. a nutcracker fracture is characterized by a cuboid bone that is crushed in between the heel bone. a nutcracker fracture of the cuboid refers to a cuboid bone fracture with associated navicular avulsion. What Is A Nutcracker Fracture.
From www.hotzxgirl.com
Cuboid Fracture Cuboid Bone Fracture Symptoms And Treatment Hot Sex What Is A Nutcracker Fracture nutcracker fractures are rare and most commonly occur with other injuries of the foot, such as the calcaneal fracture, which occurred in this case. a nutcracker fracture of the cuboid refers to a cuboid bone fracture with associated navicular avulsion fracture due to. the ‘nutcracker‘ fracture is caused by compression between the calcaneus proximally and the bases. What Is A Nutcracker Fracture.
From www.injuryjournal.com
Cuboid nutcracker fracture in children Management and results Injury What Is A Nutcracker Fracture a nutcracker fracture of the cuboid refers to a cuboid bone fracture with associated navicular avulsion fracture due to. nutcracker fractures are rare and most commonly occur with other injuries of the foot, such as the calcaneal fracture, which occurred in this case. The patient described in this case sustained. the ‘nutcracker‘ fracture is caused by compression. What Is A Nutcracker Fracture.
From www.researchgate.net
(PDF) A Case Report of Isolated Cuboid Nutcracker Fracture What Is A Nutcracker Fracture a nutcracker fracture of the cuboid refers to a cuboid bone fracture with associated navicular avulsion fracture due to. The mechanism of injury often involves axial loading and requires significant force, as the cuboid is generally protected in the midfoot. the ‘nutcracker‘ fracture is caused by compression between the calcaneus proximally and the bases of the 4th and. What Is A Nutcracker Fracture.
From dxowxmhhv.blob.core.windows.net
Nutcracker Fracture Treatment at Donald Wagnon blog What Is A Nutcracker Fracture a nutcracker fracture is characterized by a cuboid bone that is crushed in between the heel bone. the ‘nutcracker‘ fracture is caused by compression between the calcaneus proximally and the bases of the 4th and 5th. The patient described in this case sustained. The mechanism of injury often involves axial loading and requires significant force, as the cuboid. What Is A Nutcracker Fracture.
From dxowxmhhv.blob.core.windows.net
Nutcracker Fracture Treatment at Donald Wagnon blog What Is A Nutcracker Fracture the ‘nutcracker‘ fracture is caused by compression between the calcaneus proximally and the bases of the 4th and 5th. The patient described in this case sustained. nutcracker fractures are rare and most commonly occur with other injuries of the foot, such as the calcaneal fracture, which occurred in this case. The mechanism of injury often involves axial loading. What Is A Nutcracker Fracture.
From www.semanticscholar.org
Figure 1 from A Case Report of Isolated Cuboid Nutcracker Fracture What Is A Nutcracker Fracture The patient described in this case sustained. a nutcracker fracture is characterized by a cuboid bone that is crushed in between the heel bone. nutcracker fractures are rare and most commonly occur with other injuries of the foot, such as the calcaneal fracture, which occurred in this case. a nutcracker fracture of the cuboid refers to a. What Is A Nutcracker Fracture.
From www.semanticscholar.org
Figure 1 from Nutcracker Cuboid Fracture A Case Report and Review What Is A Nutcracker Fracture a particular type of isolated cuboid fracture was presented in the. The patient described in this case sustained. a nutcracker fracture of the cuboid refers to a cuboid bone fracture with associated navicular avulsion fracture due to. The mechanism of injury often involves axial loading and requires significant force, as the cuboid is generally protected in the midfoot.. What Is A Nutcracker Fracture.
From casereports.bmj.com
Cuboid nutcracker fracture in a 9yearold child BMJ Case Reports What Is A Nutcracker Fracture The patient described in this case sustained. a particular type of isolated cuboid fracture was presented in the. a nutcracker fracture is characterized by a cuboid bone that is crushed in between the heel bone. the ‘nutcracker‘ fracture is caused by compression between the calcaneus proximally and the bases of the 4th and 5th. a nutcracker. What Is A Nutcracker Fracture.
From casereports.bmj.com
Cuboid nutcracker fracture in a 9yearold child BMJ Case Reports What Is A Nutcracker Fracture the ‘nutcracker‘ fracture is caused by compression between the calcaneus proximally and the bases of the 4th and 5th. a particular type of isolated cuboid fracture was presented in the. The patient described in this case sustained. The mechanism of injury often involves axial loading and requires significant force, as the cuboid is generally protected in the midfoot.. What Is A Nutcracker Fracture.
From www.semanticscholar.org
Figure 1 from Unusual Variant of the Nutcracker Fracture of the What Is A Nutcracker Fracture The patient described in this case sustained. a nutcracker fracture is characterized by a cuboid bone that is crushed in between the heel bone. a nutcracker fracture of the cuboid refers to a cuboid bone fracture with associated navicular avulsion fracture due to. The mechanism of injury often involves axial loading and requires significant force, as the cuboid. What Is A Nutcracker Fracture.
From www.youtube.com
Nutcracker eponym seriesNutcracker esophagusNutcracker testis What Is A Nutcracker Fracture a particular type of isolated cuboid fracture was presented in the. The patient described in this case sustained. the ‘nutcracker‘ fracture is caused by compression between the calcaneus proximally and the bases of the 4th and 5th. The mechanism of injury often involves axial loading and requires significant force, as the cuboid is generally protected in the midfoot.. What Is A Nutcracker Fracture.
From www.semanticscholar.org
[PDF] Unusual Variant of the Nutcracker Fracture of the Calcaneus and What Is A Nutcracker Fracture a particular type of isolated cuboid fracture was presented in the. the ‘nutcracker‘ fracture is caused by compression between the calcaneus proximally and the bases of the 4th and 5th. a nutcracker fracture is characterized by a cuboid bone that is crushed in between the heel bone. The mechanism of injury often involves axial loading and requires. What Is A Nutcracker Fracture.
From www.thefootanklecenter.com
What Is a Nutcracker Fracture? What Is A Nutcracker Fracture The mechanism of injury often involves axial loading and requires significant force, as the cuboid is generally protected in the midfoot. nutcracker fractures are rare and most commonly occur with other injuries of the foot, such as the calcaneal fracture, which occurred in this case. the ‘nutcracker‘ fracture is caused by compression between the calcaneus proximally and the. What Is A Nutcracker Fracture.
From www.jem-journal.com
The Nutcracker Fracture; Not Just Another Dancer's Injury Journal of What Is A Nutcracker Fracture The patient described in this case sustained. a nutcracker fracture is characterized by a cuboid bone that is crushed in between the heel bone. a nutcracker fracture of the cuboid refers to a cuboid bone fracture with associated navicular avulsion fracture due to. The mechanism of injury often involves axial loading and requires significant force, as the cuboid. What Is A Nutcracker Fracture.
From www.researchgate.net
(A) Nutcracker fracture of cuboid was seen on an anteroposterior What Is A Nutcracker Fracture The patient described in this case sustained. a particular type of isolated cuboid fracture was presented in the. The mechanism of injury often involves axial loading and requires significant force, as the cuboid is generally protected in the midfoot. the ‘nutcracker‘ fracture is caused by compression between the calcaneus proximally and the bases of the 4th and 5th.. What Is A Nutcracker Fracture.
From footeducation.com
Cuboid Impaction (Nutcracker) Fracture FootEducation What Is A Nutcracker Fracture the ‘nutcracker‘ fracture is caused by compression between the calcaneus proximally and the bases of the 4th and 5th. The mechanism of injury often involves axial loading and requires significant force, as the cuboid is generally protected in the midfoot. a particular type of isolated cuboid fracture was presented in the. The patient described in this case sustained.. What Is A Nutcracker Fracture.
From www.researchgate.net
(PDF) A Case Report of Isolated Cuboid Nutcracker Fracture What Is A Nutcracker Fracture a nutcracker fracture of the cuboid refers to a cuboid bone fracture with associated navicular avulsion fracture due to. the ‘nutcracker‘ fracture is caused by compression between the calcaneus proximally and the bases of the 4th and 5th. a particular type of isolated cuboid fracture was presented in the. The patient described in this case sustained. . What Is A Nutcracker Fracture.
From www.semanticscholar.org
Figure 3 from A Case Report of Isolated Cuboid Nutcracker Fracture What Is A Nutcracker Fracture nutcracker fractures are rare and most commonly occur with other injuries of the foot, such as the calcaneal fracture, which occurred in this case. The patient described in this case sustained. a particular type of isolated cuboid fracture was presented in the. The mechanism of injury often involves axial loading and requires significant force, as the cuboid is. What Is A Nutcracker Fracture.
From casereports.bmj.com
Cuboid nutcracker fracture in a 9yearold child BMJ Case Reports What Is A Nutcracker Fracture nutcracker fractures are rare and most commonly occur with other injuries of the foot, such as the calcaneal fracture, which occurred in this case. The patient described in this case sustained. The mechanism of injury often involves axial loading and requires significant force, as the cuboid is generally protected in the midfoot. the ‘nutcracker‘ fracture is caused by. What Is A Nutcracker Fracture.