How Does Calcium Build Up In Your Shoulder . Calcific tendinitis is a potential source of pain and difficulty moving the shoulder joint. These deposits can become inflamed and cause pain. The rotator cuff tendons connect your upper arm to your shoulder. Calcific tendonitis develops when calcium deposits build up in your tendons or muscles. Calcium deposits, or calcification, can occur when. Sometimes pain, swelling and difficulty moving your shoulder is caused by calcium crystals that form inside a tendon. Typically treatment starts with simple, noninvasive steps. A calcium deposit, or calcification, in your shoulder can cause pain and discomfort when you move. Calcific tendonitis (or tendinitis) occurs when calcium deposits build up in your muscles or tendons. These calcium deposits can build up in one area or occur in more than one. Effective treatment can help to decrease the pain, improve shoulder function, and lessen the time with which you have to manage symptoms. Calcific tendonitis shoulder occurs when calcium deposits form in a rotator cuff tendon. Calcific tendonitis is caused by calcium build up in your rotator cuff tendons (that attach muscles to the bone).
from www.youtube.com
Calcific tendonitis develops when calcium deposits build up in your tendons or muscles. Sometimes pain, swelling and difficulty moving your shoulder is caused by calcium crystals that form inside a tendon. Effective treatment can help to decrease the pain, improve shoulder function, and lessen the time with which you have to manage symptoms. These calcium deposits can build up in one area or occur in more than one. Typically treatment starts with simple, noninvasive steps. Calcific tendonitis is caused by calcium build up in your rotator cuff tendons (that attach muscles to the bone). These deposits can become inflamed and cause pain. The rotator cuff tendons connect your upper arm to your shoulder. A calcium deposit, or calcification, in your shoulder can cause pain and discomfort when you move. Calcific tendonitis shoulder occurs when calcium deposits form in a rotator cuff tendon.
Remove Painful Calcium Deposits From Your Body (3 Best Home Remedies
How Does Calcium Build Up In Your Shoulder Calcific tendonitis (or tendinitis) occurs when calcium deposits build up in your muscles or tendons. Calcific tendonitis develops when calcium deposits build up in your tendons or muscles. These calcium deposits can build up in one area or occur in more than one. The rotator cuff tendons connect your upper arm to your shoulder. Calcific tendonitis shoulder occurs when calcium deposits form in a rotator cuff tendon. Calcium deposits, or calcification, can occur when. Calcific tendonitis is caused by calcium build up in your rotator cuff tendons (that attach muscles to the bone). A calcium deposit, or calcification, in your shoulder can cause pain and discomfort when you move. Calcific tendinitis is a potential source of pain and difficulty moving the shoulder joint. Effective treatment can help to decrease the pain, improve shoulder function, and lessen the time with which you have to manage symptoms. Calcific tendonitis (or tendinitis) occurs when calcium deposits build up in your muscles or tendons. Sometimes pain, swelling and difficulty moving your shoulder is caused by calcium crystals that form inside a tendon. These deposits can become inflamed and cause pain. Typically treatment starts with simple, noninvasive steps.
From www.truebasics.com
Role of Calcium in the Human Body Truebasics Blog How Does Calcium Build Up In Your Shoulder Sometimes pain, swelling and difficulty moving your shoulder is caused by calcium crystals that form inside a tendon. Calcific tendonitis (or tendinitis) occurs when calcium deposits build up in your muscles or tendons. Calcium deposits, or calcification, can occur when. The rotator cuff tendons connect your upper arm to your shoulder. Calcific tendonitis shoulder occurs when calcium deposits form in. How Does Calcium Build Up In Your Shoulder.
From www.goldbamboo.com
Tendonitis as related to Calcium Pictures How Does Calcium Build Up In Your Shoulder Calcific tendinitis is a potential source of pain and difficulty moving the shoulder joint. Effective treatment can help to decrease the pain, improve shoulder function, and lessen the time with which you have to manage symptoms. A calcium deposit, or calcification, in your shoulder can cause pain and discomfort when you move. The rotator cuff tendons connect your upper arm. How Does Calcium Build Up In Your Shoulder.
From www.howardluksmd.com
I have been told I have calcium deposits in my shoulder… what is that? How Does Calcium Build Up In Your Shoulder Calcium deposits, or calcification, can occur when. Sometimes pain, swelling and difficulty moving your shoulder is caused by calcium crystals that form inside a tendon. Calcific tendonitis (or tendinitis) occurs when calcium deposits build up in your muscles or tendons. A calcium deposit, or calcification, in your shoulder can cause pain and discomfort when you move. Calcific tendonitis develops when. How Does Calcium Build Up In Your Shoulder.
From www.youtube.com
Calcium Shoulder & Calcific Tendonitis I Surgery Not Needed & 2 Pain How Does Calcium Build Up In Your Shoulder These deposits can become inflamed and cause pain. The rotator cuff tendons connect your upper arm to your shoulder. Sometimes pain, swelling and difficulty moving your shoulder is caused by calcium crystals that form inside a tendon. These calcium deposits can build up in one area or occur in more than one. Calcific tendonitis shoulder occurs when calcium deposits form. How Does Calcium Build Up In Your Shoulder.
From medium.com
8 Top Exercises To Ease Calcium Deposits In Shoulder by The Hidden How Does Calcium Build Up In Your Shoulder Effective treatment can help to decrease the pain, improve shoulder function, and lessen the time with which you have to manage symptoms. These deposits can become inflamed and cause pain. Calcific tendonitis shoulder occurs when calcium deposits form in a rotator cuff tendon. These calcium deposits can build up in one area or occur in more than one. Calcium deposits,. How Does Calcium Build Up In Your Shoulder.
From cheapestblueglassbakewaree.blogspot.com
Symptoms Of Calcium Build Up In Body AMAZING BODYBUILDING How Does Calcium Build Up In Your Shoulder Calcific tendonitis (or tendinitis) occurs when calcium deposits build up in your muscles or tendons. A calcium deposit, or calcification, in your shoulder can cause pain and discomfort when you move. Typically treatment starts with simple, noninvasive steps. These calcium deposits can build up in one area or occur in more than one. Calcific tendonitis is caused by calcium build. How Does Calcium Build Up In Your Shoulder.
From myofascial-bodywork.blogspot.com
Myofascial Bodywork Calcific tendonitis aka intense shoulder pain! How Does Calcium Build Up In Your Shoulder The rotator cuff tendons connect your upper arm to your shoulder. These deposits can become inflamed and cause pain. A calcium deposit, or calcification, in your shoulder can cause pain and discomfort when you move. Calcific tendonitis develops when calcium deposits build up in your tendons or muscles. Calcific tendinitis is a potential source of pain and difficulty moving the. How Does Calcium Build Up In Your Shoulder.
From manhattancardiology.com
Coronary Calcium Scan Manhattan Cardiology How Does Calcium Build Up In Your Shoulder A calcium deposit, or calcification, in your shoulder can cause pain and discomfort when you move. Typically treatment starts with simple, noninvasive steps. The rotator cuff tendons connect your upper arm to your shoulder. Calcific tendonitis develops when calcium deposits build up in your tendons or muscles. These calcium deposits can build up in one area or occur in more. How Does Calcium Build Up In Your Shoulder.
From exovgfbvg.blob.core.windows.net
What Causes Calcium Deposits In Your Shoulder at Carl Craft blog How Does Calcium Build Up In Your Shoulder A calcium deposit, or calcification, in your shoulder can cause pain and discomfort when you move. Calcific tendonitis is caused by calcium build up in your rotator cuff tendons (that attach muscles to the bone). Calcific tendonitis shoulder occurs when calcium deposits form in a rotator cuff tendon. Calcium deposits, or calcification, can occur when. The rotator cuff tendons connect. How Does Calcium Build Up In Your Shoulder.
From www.stylecraze.com
Calcium Deposits In The Skin Symptoms, Causes, And Treatment How Does Calcium Build Up In Your Shoulder Typically treatment starts with simple, noninvasive steps. A calcium deposit, or calcification, in your shoulder can cause pain and discomfort when you move. Calcific tendonitis shoulder occurs when calcium deposits form in a rotator cuff tendon. Effective treatment can help to decrease the pain, improve shoulder function, and lessen the time with which you have to manage symptoms. Calcium deposits,. How Does Calcium Build Up In Your Shoulder.
From cheapestblueglassbakewaree.blogspot.com
Symptoms Of Calcium Build Up In Body AMAZING BODYBUILDING How Does Calcium Build Up In Your Shoulder These deposits can become inflamed and cause pain. Calcific tendonitis develops when calcium deposits build up in your tendons or muscles. Effective treatment can help to decrease the pain, improve shoulder function, and lessen the time with which you have to manage symptoms. Calcific tendinitis is a potential source of pain and difficulty moving the shoulder joint. Typically treatment starts. How Does Calcium Build Up In Your Shoulder.
From hganalytics.com
What Causes Calcium In Arteries? Guide) How Does Calcium Build Up In Your Shoulder The rotator cuff tendons connect your upper arm to your shoulder. Effective treatment can help to decrease the pain, improve shoulder function, and lessen the time with which you have to manage symptoms. A calcium deposit, or calcification, in your shoulder can cause pain and discomfort when you move. Calcific tendonitis is caused by calcium build up in your rotator. How Does Calcium Build Up In Your Shoulder.
From www.howardluksmd.com
I have been told I have calcium deposits in my shoulder… what is that? How Does Calcium Build Up In Your Shoulder Calcific tendonitis shoulder occurs when calcium deposits form in a rotator cuff tendon. Calcium deposits, or calcification, can occur when. A calcium deposit, or calcification, in your shoulder can cause pain and discomfort when you move. Effective treatment can help to decrease the pain, improve shoulder function, and lessen the time with which you have to manage symptoms. Typically treatment. How Does Calcium Build Up In Your Shoulder.
From www.shoulderandelbowlondon.com
Calcific Tendonitis Causes, Symptoms & Treatment How Does Calcium Build Up In Your Shoulder Calcific tendonitis is caused by calcium build up in your rotator cuff tendons (that attach muscles to the bone). These deposits can become inflamed and cause pain. Typically treatment starts with simple, noninvasive steps. Calcific tendonitis develops when calcium deposits build up in your tendons or muscles. Calcific tendinitis is a potential source of pain and difficulty moving the shoulder. How Does Calcium Build Up In Your Shoulder.
From orthopedics.about.com
Calcific Tendonitis Calcium Deposit in the Shoulder How Does Calcium Build Up In Your Shoulder Sometimes pain, swelling and difficulty moving your shoulder is caused by calcium crystals that form inside a tendon. A calcium deposit, or calcification, in your shoulder can cause pain and discomfort when you move. Effective treatment can help to decrease the pain, improve shoulder function, and lessen the time with which you have to manage symptoms. Calcium deposits, or calcification,. How Does Calcium Build Up In Your Shoulder.
From gcs3.co.uk
Shoulder Antrim ED Meducation How Does Calcium Build Up In Your Shoulder These calcium deposits can build up in one area or occur in more than one. A calcium deposit, or calcification, in your shoulder can cause pain and discomfort when you move. Calcific tendonitis develops when calcium deposits build up in your tendons or muscles. Sometimes pain, swelling and difficulty moving your shoulder is caused by calcium crystals that form inside. How Does Calcium Build Up In Your Shoulder.
From www.wellnessmgz.com
The Health Benefits Of Calcium It Gives You Much More Than Just Strong How Does Calcium Build Up In Your Shoulder These deposits can become inflamed and cause pain. These calcium deposits can build up in one area or occur in more than one. The rotator cuff tendons connect your upper arm to your shoulder. A calcium deposit, or calcification, in your shoulder can cause pain and discomfort when you move. Effective treatment can help to decrease the pain, improve shoulder. How Does Calcium Build Up In Your Shoulder.
From cheapestblueglassbakewaree.blogspot.com
Symptoms Of Calcium Build Up In Body AMAZING BODYBUILDING How Does Calcium Build Up In Your Shoulder Calcium deposits, or calcification, can occur when. The rotator cuff tendons connect your upper arm to your shoulder. Effective treatment can help to decrease the pain, improve shoulder function, and lessen the time with which you have to manage symptoms. Calcific tendonitis (or tendinitis) occurs when calcium deposits build up in your muscles or tendons. These calcium deposits can build. How Does Calcium Build Up In Your Shoulder.
From tammy.ai
Understanding Calcium Buildup Causes, Risks, and Solutions How Does Calcium Build Up In Your Shoulder Calcific tendinitis is a potential source of pain and difficulty moving the shoulder joint. Calcific tendonitis shoulder occurs when calcium deposits form in a rotator cuff tendon. The rotator cuff tendons connect your upper arm to your shoulder. These deposits can become inflamed and cause pain. These calcium deposits can build up in one area or occur in more than. How Does Calcium Build Up In Your Shoulder.
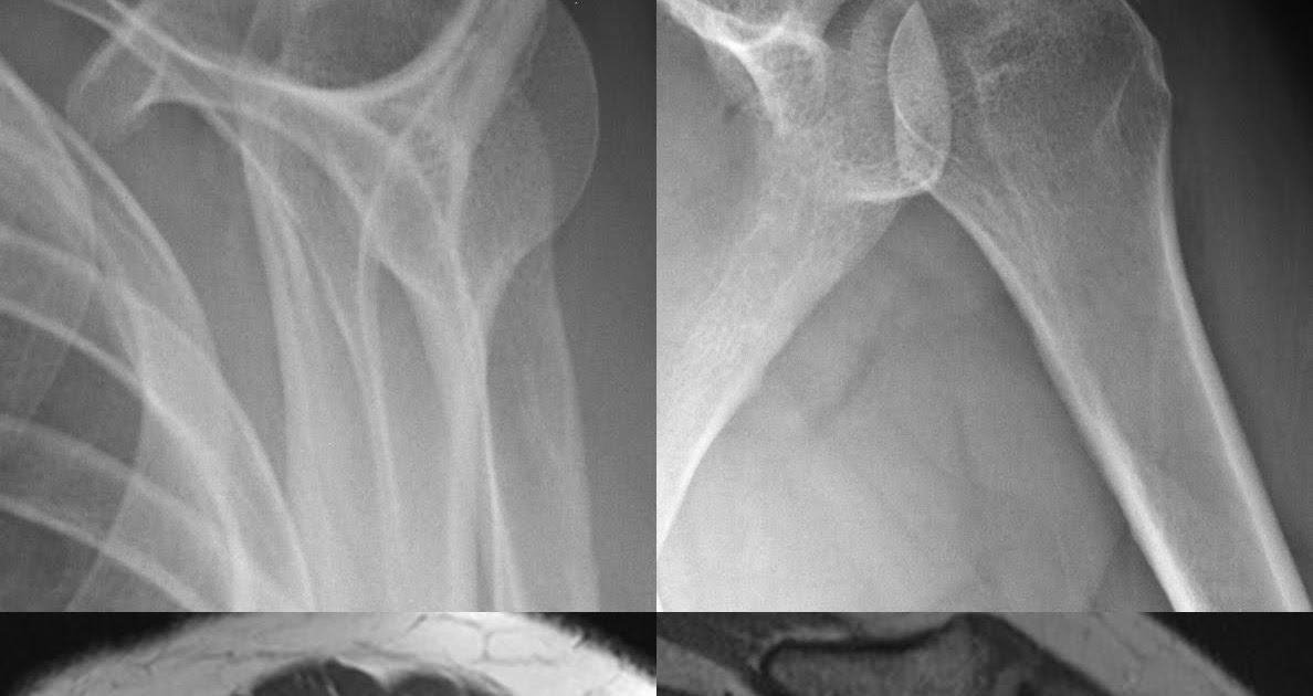
From roentgenrayreader.blogspot.com
Roentgen Ray Reader Calcium Hydroxyapatite Deposition Disease Shoulder How Does Calcium Build Up In Your Shoulder Calcium deposits, or calcification, can occur when. Calcific tendonitis develops when calcium deposits build up in your tendons or muscles. Effective treatment can help to decrease the pain, improve shoulder function, and lessen the time with which you have to manage symptoms. Calcific tendonitis (or tendinitis) occurs when calcium deposits build up in your muscles or tendons. Sometimes pain, swelling. How Does Calcium Build Up In Your Shoulder.
From wattersplumbing.com
What Causes Calcium Buildup? Watters Plumbing How Does Calcium Build Up In Your Shoulder Calcium deposits, or calcification, can occur when. Calcific tendonitis is caused by calcium build up in your rotator cuff tendons (that attach muscles to the bone). Calcific tendonitis (or tendinitis) occurs when calcium deposits build up in your muscles or tendons. The rotator cuff tendons connect your upper arm to your shoulder. These deposits can become inflamed and cause pain.. How Does Calcium Build Up In Your Shoulder.
From exovgfbvg.blob.core.windows.net
What Causes Calcium Deposits In Your Shoulder at Carl Craft blog How Does Calcium Build Up In Your Shoulder Calcium deposits, or calcification, can occur when. Calcific tendinitis is a potential source of pain and difficulty moving the shoulder joint. The rotator cuff tendons connect your upper arm to your shoulder. These calcium deposits can build up in one area or occur in more than one. These deposits can become inflamed and cause pain. Calcific tendonitis develops when calcium. How Does Calcium Build Up In Your Shoulder.
From www.linkedin.com
Calcium Deposits in Shoulder Exercises How Does Calcium Build Up In Your Shoulder These calcium deposits can build up in one area or occur in more than one. Sometimes pain, swelling and difficulty moving your shoulder is caused by calcium crystals that form inside a tendon. Calcific tendonitis is caused by calcium build up in your rotator cuff tendons (that attach muscles to the bone). Effective treatment can help to decrease the pain,. How Does Calcium Build Up In Your Shoulder.
From www.animalia-life.club
Shoulder Calcification How Does Calcium Build Up In Your Shoulder Calcium deposits, or calcification, can occur when. Effective treatment can help to decrease the pain, improve shoulder function, and lessen the time with which you have to manage symptoms. Typically treatment starts with simple, noninvasive steps. Calcific tendonitis is caused by calcium build up in your rotator cuff tendons (that attach muscles to the bone). Calcific tendonitis develops when calcium. How Does Calcium Build Up In Your Shoulder.
From www.dr-meyer-orthopaedics.com
Arthroscopic Removal of Rotator Cuff Calcium Deposits Doctor Matthieu How Does Calcium Build Up In Your Shoulder Calcific tendonitis develops when calcium deposits build up in your tendons or muscles. Effective treatment can help to decrease the pain, improve shoulder function, and lessen the time with which you have to manage symptoms. Sometimes pain, swelling and difficulty moving your shoulder is caused by calcium crystals that form inside a tendon. These calcium deposits can build up in. How Does Calcium Build Up In Your Shoulder.
From essentialhealthline.com
Calcium Deposits in Shoulder Exercises The Best Treatment! How Does Calcium Build Up In Your Shoulder Calcium deposits, or calcification, can occur when. Calcific tendinitis is a potential source of pain and difficulty moving the shoulder joint. The rotator cuff tendons connect your upper arm to your shoulder. Calcific tendonitis (or tendinitis) occurs when calcium deposits build up in your muscles or tendons. These calcium deposits can build up in one area or occur in more. How Does Calcium Build Up In Your Shoulder.
From www.youtube.com
Calcium Deposits Shoulder Surgery and How to Treat Calcific Tendonitis How Does Calcium Build Up In Your Shoulder Calcific tendonitis is caused by calcium build up in your rotator cuff tendons (that attach muscles to the bone). Effective treatment can help to decrease the pain, improve shoulder function, and lessen the time with which you have to manage symptoms. Sometimes pain, swelling and difficulty moving your shoulder is caused by calcium crystals that form inside a tendon. A. How Does Calcium Build Up In Your Shoulder.
From www.youtube.com
Remove Painful Calcium Deposits From Your Body (3 Best Home Remedies How Does Calcium Build Up In Your Shoulder These calcium deposits can build up in one area or occur in more than one. Calcific tendonitis develops when calcium deposits build up in your tendons or muscles. Calcific tendonitis is caused by calcium build up in your rotator cuff tendons (that attach muscles to the bone). Sometimes pain, swelling and difficulty moving your shoulder is caused by calcium crystals. How Does Calcium Build Up In Your Shoulder.
From www.nolasportsmedicine.com
Calcific Tendonitis of the Shoulder Orthopedic Center for Sports How Does Calcium Build Up In Your Shoulder Calcium deposits, or calcification, can occur when. Effective treatment can help to decrease the pain, improve shoulder function, and lessen the time with which you have to manage symptoms. Calcific tendonitis shoulder occurs when calcium deposits form in a rotator cuff tendon. These deposits can become inflamed and cause pain. Sometimes pain, swelling and difficulty moving your shoulder is caused. How Does Calcium Build Up In Your Shoulder.
From exovgfbvg.blob.core.windows.net
What Causes Calcium Deposits In Your Shoulder at Carl Craft blog How Does Calcium Build Up In Your Shoulder The rotator cuff tendons connect your upper arm to your shoulder. Calcific tendonitis shoulder occurs when calcium deposits form in a rotator cuff tendon. Effective treatment can help to decrease the pain, improve shoulder function, and lessen the time with which you have to manage symptoms. Calcific tendonitis is caused by calcium build up in your rotator cuff tendons (that. How Does Calcium Build Up In Your Shoulder.
From www.medicalnewstoday.com
Calcific tendonitis Symptoms, risk factors, and treatment How Does Calcium Build Up In Your Shoulder These deposits can become inflamed and cause pain. Effective treatment can help to decrease the pain, improve shoulder function, and lessen the time with which you have to manage symptoms. Sometimes pain, swelling and difficulty moving your shoulder is caused by calcium crystals that form inside a tendon. A calcium deposit, or calcification, in your shoulder can cause pain and. How Does Calcium Build Up In Your Shoulder.
From stock.adobe.com
Fotka „Film Xray shoulder radiograph showing calcium deposit on How Does Calcium Build Up In Your Shoulder Calcific tendonitis develops when calcium deposits build up in your tendons or muscles. Calcific tendonitis is caused by calcium build up in your rotator cuff tendons (that attach muscles to the bone). Typically treatment starts with simple, noninvasive steps. Effective treatment can help to decrease the pain, improve shoulder function, and lessen the time with which you have to manage. How Does Calcium Build Up In Your Shoulder.
From cambridgeshoulder.co.uk
Calcific Tendonitis Cambridge Shoulder How Does Calcium Build Up In Your Shoulder Calcific tendonitis (or tendinitis) occurs when calcium deposits build up in your muscles or tendons. Calcific tendonitis is caused by calcium build up in your rotator cuff tendons (that attach muscles to the bone). A calcium deposit, or calcification, in your shoulder can cause pain and discomfort when you move. Calcific tendinitis is a potential source of pain and difficulty. How Does Calcium Build Up In Your Shoulder.
From upperlimbdoctor.co.uk
Orthopaedic & Trauma Surgeon Shoulder Calcific tendonitis How Does Calcium Build Up In Your Shoulder Calcific tendonitis is caused by calcium build up in your rotator cuff tendons (that attach muscles to the bone). Calcific tendonitis develops when calcium deposits build up in your tendons or muscles. These calcium deposits can build up in one area or occur in more than one. Calcific tendonitis shoulder occurs when calcium deposits form in a rotator cuff tendon.. How Does Calcium Build Up In Your Shoulder.
From kktpakistan.com
Calcium and Vitamins for Healthy Joints and Bones KKT Pakistan How Does Calcium Build Up In Your Shoulder A calcium deposit, or calcification, in your shoulder can cause pain and discomfort when you move. These deposits can become inflamed and cause pain. Sometimes pain, swelling and difficulty moving your shoulder is caused by calcium crystals that form inside a tendon. These calcium deposits can build up in one area or occur in more than one. Typically treatment starts. How Does Calcium Build Up In Your Shoulder.